Odontoiatria minimamente invasiva e flusso digitale: applicazione clinica della Flow Injection Technique
Caso clinico realizzato da Dr.ssa Claudia Mazzitelli e Dr. Edoardo Mancuso
Introduzione
L’estetica dentale è sempre più centrale e richiede trattamenti predicibili, rapidi ed economicamente accessibili. L’odontoiatria minimamente invasiva privilegia restauri diretti, semplificati oggi dall’evoluzione dei compositi fluidi, che hanno raggiunto caratteristiche ottiche e meccaniche pari o superiori a quelle dei materiali a pasta. L’evoluzione delle resine fluide ha trovato largo impiego nella flow injection technique (FIT). Inoltre, la possibilità di stampa 3D delle mascherine permette di ridurre la variabilità operatore-dipendente garantendo estetica di alto livello.
Caso clinico
Un paziente di 24 anni lamentava un inestetismo del sorriso. Dopo esami clinici e radiografici, è stato pianificato un restauro estetico tramite FIT. La ceratura digitale, realizzata con scansione intraorale (Trios 5), ha permesso di progettare una mascherina personalizzata in resina trasparente (IBT Flex Resin, Formlabs). Dopo la preparazione e l’isolamento, i denti sono stati sabbiati, mordenzati, e un adesivo
universale (CLEARFIL™ Universal Bond Quick 2) è stato applicato e fotopolimerizzato. Attraverso i fori della mascherina è stata iniettata resina fluida (CLEARFIL MAJESTY™ ES Flow Low), seguita da rifinitura e lucidatura (TWIST™ DIA for Composite).
Risultati
Il trattamento, completato in due ore, ha portato a un miglioramento estetico immediato e stabile, confermato ai controlli a una settimana e sei mesi, con ottima salute gengivale e mantenimento dei restauri.
Discussione
La FIT offre risultati estetici predicibili, workflow digitale e riduzione dei tempi clinici rispetto ai restauri indiretti, mantenendo la possibilità di futuri trattamenti protesici. L’evoluzione dei compositi fluidi e delle mascherine 3D ha migliorato la precisione del trasferimento clinico e la riproducibilità, permettendo soluzioni estetiche rapide e conservative.
Caso clinico
Un paziente di sesso maschile di 24 anni si è presentato presso il nostro studio riferendo disagio estetico legato al sorriso, con ripercussioni sulla spontaneità e sulla vita sociale. Dopo anamnesi medica e odontoiatrica, è stato effettuato un colloquio per comprendere le aspettative estetico-funzionali e le possibilità economiche.
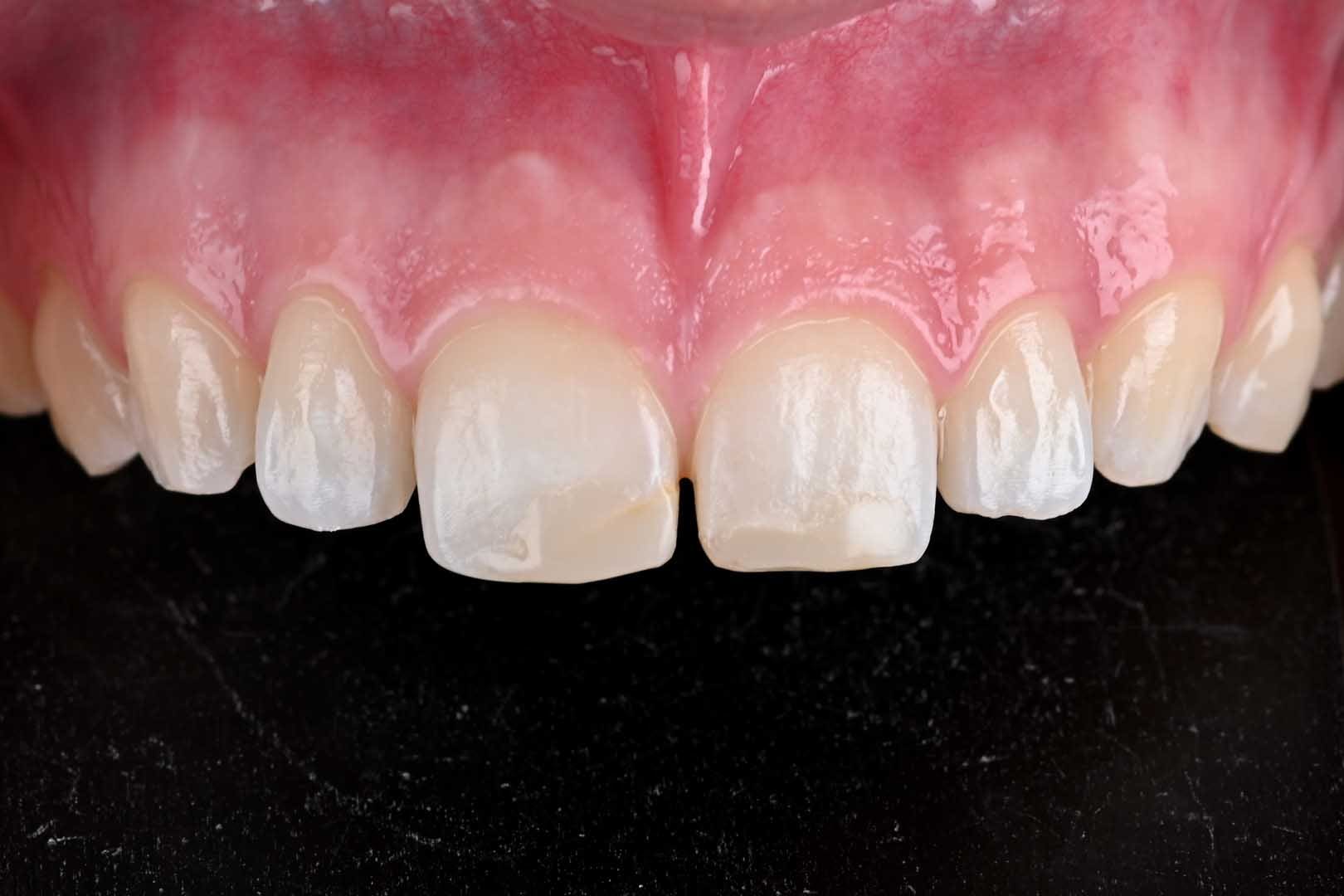
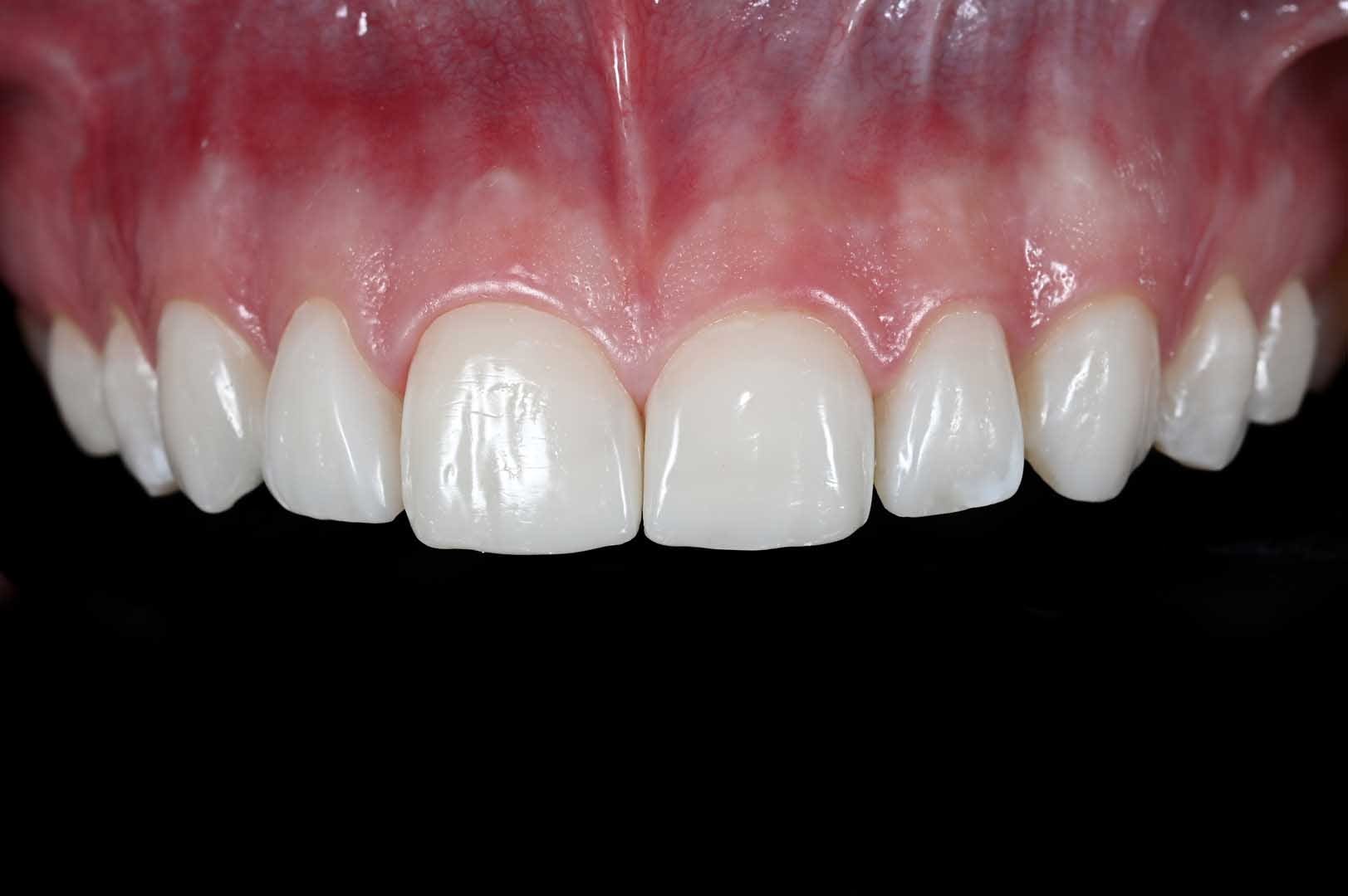
L’esame obiettivo, accompagnato da fotografie, video in posizione statica e dinamica, analisi parodontale e radiografie, ha evidenziato restauri incongrui di IV classe sugli elementi 11 e 21, con asimmetria del sestante anterosuperiore (Fig. 1). È stata quindi proposta una riabilitazione estetica mediante Flow Injection Technique estesa da 1.3 a 2.3.

Fig. 1
Pianificazione
Tramite la scansione intraorale (Trios 5, 3shape) è stata realizzata una ceratura digitale sulle basi della quale è stato progettato digitalmente una mascherina digitale per l’iniezione del materiale (Fig. 2). La mascherina è stata quindi stampata in resina trasparente (IBT Flex Resin, Formlabs) (Fig. 3). Una volta terminato la post-polimerizzazione, sono stati realizzati dei fori calibrati per il puntale della siringa utilizzata per l’iniezione della resina composita fluida (Fig. 4).

Fig. 2

Fig. 3

Fig. 4
Procedura operativa
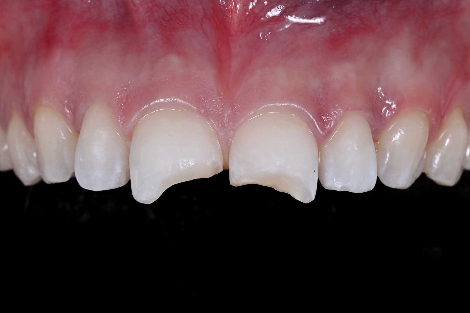
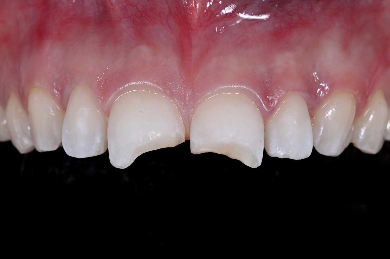
Dopo ottenimento del consenso informato, i vecchi restauri su 11 e 21 sono stati rimossi con frese diamantate sotto irrigazione. I margini sono stati rifiniti e bisellati (Fig. 5). La mascherina è stata posizionata sull’arcata superiore e valutata per stabilità e ritenzione. Irestauri sono stati eseguiti in maniera alternata e per isolare gli elementi adiacenti, è stato applicato uno strato di Teflon (0,076 mm). Le superfici dei denti da restaurare sono state sabbiate con ossido di allumina (50µm), mordenzate con acido ortofosforico al 37% per 15 s, risciacquate e asciugate (Fig. 6).

Fig. 5

Fig. 6
È stato quindi applicato un adesivo universale (CLEARFIL™ Universal Bond Quick 2, Kuraray Noritake) (Fig. 7) e polimerizzato con lampada LED (SmartLite® Pro, Dentsply Sirona), 10 s per dente) (Fig. 8).
Attraverso i fori, è stata iniettata una resina fluida (CLEARFIL MAJESTY™ ES Flow Low, colore W, Kuraray Noritake) fino a riempire la mascherina dei primi denti preparati (Fig. 9). Dopo polimerizzazione per 40s per ciascun dente, la mascherina è stata rimossa e una seconda polimerizzazione è stata eseguita una volta rimossa la mascherina. Gli eccessi di resina sono poi stati eliminati con uno scaler.

Fig. 7

Fig. 8

Fig. 9
La medesima procedura è poi stata ripetuta sugli altri elementi interessati, isolando quelli già restaurati tramite l’utilizzo del nastro di Teflon (Figg. 10-15).

Fig. 10

Fig. 11

Fig. 12

Fig. 13

Fig. 14

Fig. 15
Una volta rimossa la mascherina sono stati eliminati gli eccessi, è stata inserita una diga di gomma tagliata in centro al fine di migliorare il comfort del paziente e la visibilità e i restauri sono stati rifiniti con frese diamantate a grana fine. Infine è stata effettuata una lucidatura progressiva con dischi in silicone (TWIST™ DIA for Composite, Kuraray Noritake) (Figg. 16-17 ).

Fig. 16

Fig. 17
Risultati clinici
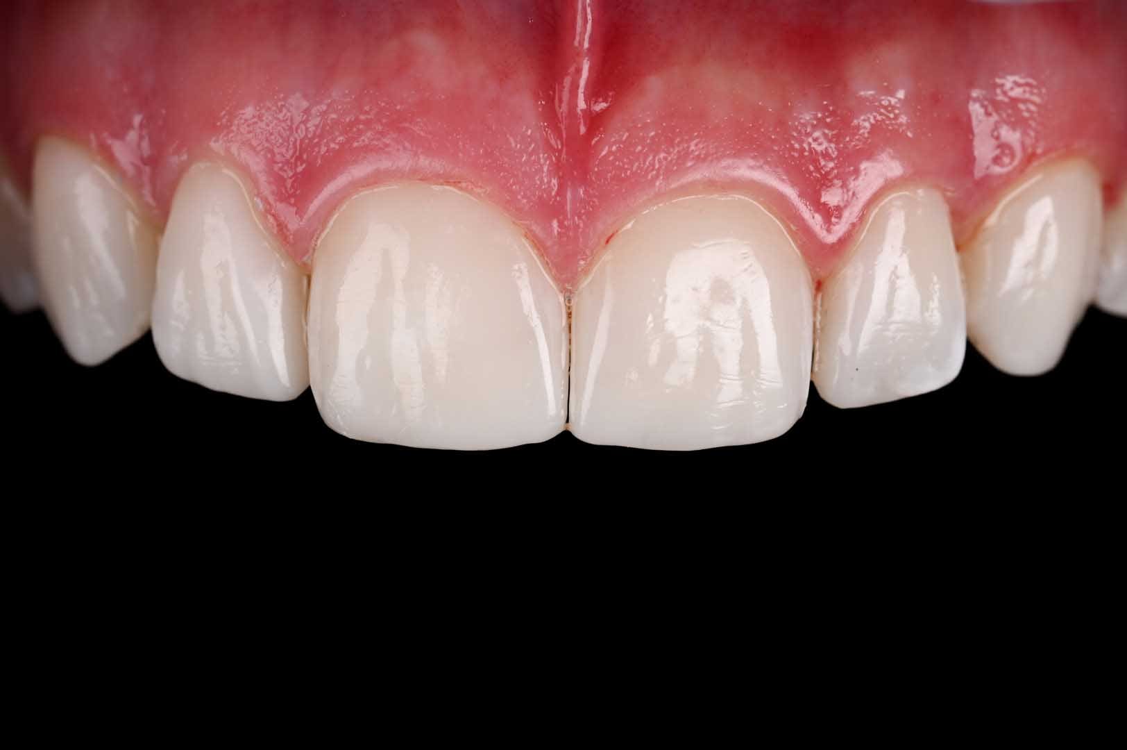
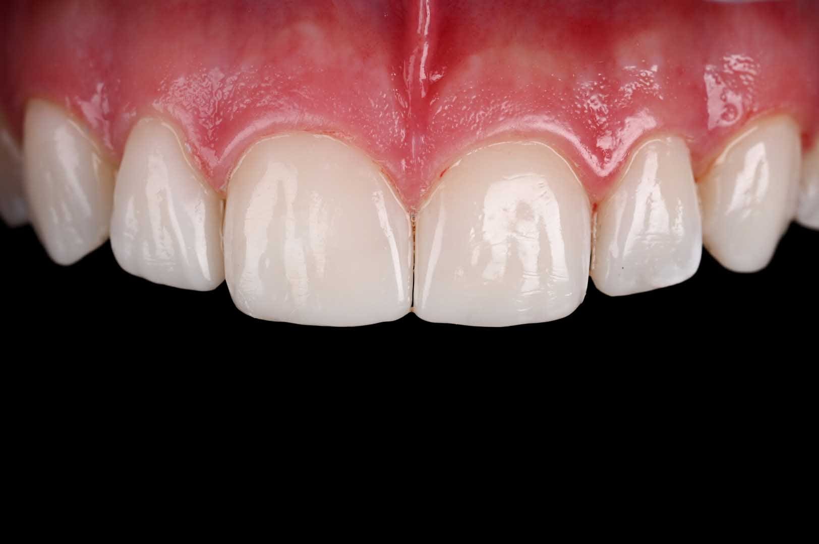
Una volta ultimati i restauri (Figg.18-19) e controllati i contatti occlusali e dinamici, il paziente ha espresso soddisfazione immediata, confermata al controllo a distanza di una settimana (Fig. 20). La riabilitazione ha richiesto complessivamente due ore, inclusa la documentazione fotografica, rappresentando un trattamento rapido, minimamente invasivo ed economicamente vantaggioso rispetto a restauri indiretti.

Fig. 18

Fig. 19

Fig. 20
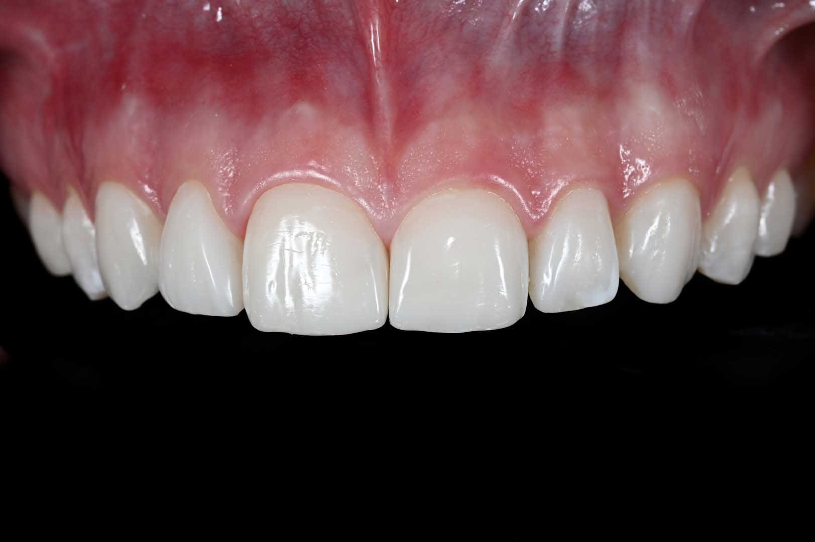
Il controllo a sei mesi (Figg. 21-22) non solo ha confermato la sopravvivenza dei restauri, ma evidenzia anche un’ottima salute gengivale, a dimostrazione della correttezza del profilo di emergenza e dell’elevata lucidabilità dei margini cervicali ottenuti con questa tecnica restaurativa.
Fig. 21

Fig. 22
Discussione
La Flow Injection Technique rappresenta oggi una valida alternativa nell’ambito della restaurativa diretta, poiché unisce semplicità operativa a risultati estetici predicibili. Il principale vantaggio risiede nella riduzione della variabilità legata alla manualità dell’operatore, grazie al ruolo guida della mascherina che consente di trasferire in modo fedele il progetto digitale o il wax-up iniziale. L’esito estetico risulta quindi altamente controllabile, mentre l’approccio clinico rispetta i principi dell’ odontoiatria minimamente invasiva. A ciò si aggiunge l’efficienza del metodo, che permette tempi operativi contenuti e costi ridotti rispetto ad una riabilitazione con restauri indiretti, pur mantenendo aperta la possibilità di un successivo passaggio a soluzioni protesiche più complesse.
Elemento chiave di questo approccio è l’evoluzione dei compositi fluidi, la cui nuova generazione ha superato i limiti storici di fragilità e usura, offrendo caratteristiche meccaniche e ottiche comparabili, se non superiori, alle resine a pasta. Tale progresso ha reso possibile impiegare i materiali fluidi non solo come supporto complementare, ma come reale protagonista di una tecnica restaurativa che punta a semplificare il lavoro clinico e a migliorare la prevedibilità dei risultati.
Parallelamente, lo sviluppo della stampa 3D applicata alla produzione delle mascherine trasparenti ha introdotto un ulteriore salto qualitativo. Il workflow digitale consente infatti di ridurre i tempi di fabbricazione, di standardizzare le procedure, di ottenere una riproducibilità elevata e di progettare in maniera personalizzata a partire da scansioni intraorali. L’accuratezza del trasferimento clinico risulta così significativamente aumentata, con un impatto positivo sulla qualità e sulla stabilità del restauro finale.
La sinergia tra resine fluide performanti e mascherine digitali stampate in 3D offre dunque al clinico la possibilità di proporre al paziente soluzioni estetiche rapide, accessibili e al tempo stesso aderenti ai principi della odontoiatria conservativa moderna.
Conclusioni
La Flow Injection Technique, supportata dai compositi fluidi di ultima generazione e dalle potenzialità della stampa 3D, rappresenta una strategia restaurativa moderna ed efficace. Il caso clinico presentato evidenzia come sia possibile offrire al paziente un trattamento estetico soddisfacente, rapido e conservativo, mantenendo aperta la possibilità di un futuro passaggio a restauri indiretti qualora necessario.
Questa tecnica, unendo materiali innovativi e tecnologie digitali, segna un passo avanti verso un’odontoiatria estetica sempre più predicibile, accessibile e centrata sulle esigenze del paziente.
Bibliografia
Terry DA, Powers JM. A predictable resin composite injection technique, Part I. Dent Today. 2014 Apr;33(4):96, 98-101.
Checchi V, Generali L, Corciolani L, Breschi L, Mazzitelli C, Maravic T. Wear and roughness analysis of two highly filled flowable composites. Odontology. 2025 Apr;113(2):724-733. doi: 10.1007/s10266-024-01013-0.
Liaropoulou YM, Jiménez AK, Chierico F, Blatz MB. The Multilayer Flowable Injection Technique for Highly Esthetic Restorations. J Esthet Restor Dent. 2025 Jun 27. doi: 10.1111/jerd.13500.
Watanabe K, Tanaka E, Kamoi K, Tichy A, Shiba T, Yonerakura K, Nakajima M, Han R, Hosaka K. A dual composite resin injection molding technique with 3D-printed flexible indices for biomimetic replacement of a missing mandibular lateral incisor. J Prosthodont Res. 2024 Oct 16;68(4):667-671. doi: 10.2186/jpr.JPR_D_23_00239.
Shui Y, Wu J, Luo T, Sun M, Yu H. Three dimensionally printed template with an interproximal isolation design guide consecutive closure of multiple diastema with injectable resin composite. J Esthet Restor Dent. 2024 Oct;36(10):1381-1387. doi: 10.1111/jerd.13268.
Hulac S, Kois JC. Managing the transition to a complex full mouth rehabilitation utilizing injectable composite. J Esthet Restor Dent. 2023 Jul;35(5):796-802. doi: 10.1111/jerd.13065.
Lawson NC, Greene Z, Machado N, Tadros D, Robles A, Rocha M. Resin Composite Depth of Cure Through Transparent Matrix Materials Used for Injection Molding. Oper Dent. 2025 Mar 1;50(2):185-193. doi: 10.2341/24-100-L.
Autori
![]() |
![]() |
|
Dr.ssa Claudia Mazzitelli Responsabile scientifico laboratorio in Biomateriali Dentari, Tutor clinico presso il Master Int. in Odontoiatria Conservativa e Protesi Estetica, Resp. attività didattiche del Corso di Laurea in Igiene Dentale presso l'Università di Bologna. Relatrice a numerosi congressi nazionali e internazionali e autrice di pubblicazioni scientifiche su riviste indicizzate ad alto impatto. |
Dr. Edoardo Mancuso Esperto in odontoiatria conservativa e protesica ad approccio minimamente invasivo. Collabora con gruppi di ricerca internazionali su tecniche adesive e preparazioni minimamente invasive. Relatore e autore di lavori scientifici presentati a congressi nazionali e internazionali, pubblica articoli su riviste scientifiche di rilievo. |
- 14 nov 2025

