Îmbunătățirea formei și nuanței: înlocuirea unei punți adezive din motive estetice
Articol de Dr. Tom Boujenah și Dr. Olivier Boujenah
PĂSTRAȚI SIMPLITATEA ÎN TIMP CE RESPECTAȚI CERINȚELE PACIENTULUI
În fiecare zi, în cabinetele noastre, ne confruntăm cu alegerea între diferite opțiuni de tratament. Experiența, literatura științifică și cerințele pacienților ne ajută să ne îndreptăm într-o direcție sau alta.
Cazul prezentat mai jos ar fi putut fi gestionat folosind o abordare diferită, dar soluția aleasă s-a aliniat filozofiei noastre: să păstrăm lucrurile simple, respectând în același timp cerințele individuale ale pacientului.
UN PACIENT CU CERINȚE ESTETICE ÎNALTE
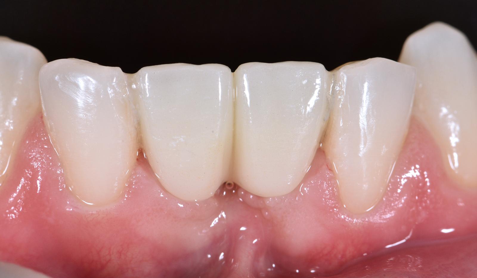
Un pacient tânăr – în jur de douăzeci ani, s-a prezentat la consultație cu o preocupare pur estetică. Avea, de mai mulți ani, o restaurare dentară cu dublu retainer, cimentată cu rășină (punte Maryland) (Figura 1), din cauza absenței congenitale a incisivilor centrali mandibulari. Deși puntea îi fusese utilă din punct de vedere funcțional, pacientul dorea acum să o înlocuiască cu o soluție mai estetică, care să se potrivească mai bine cu nuanța actuală a dinților săi naturali. După evaluarea clinică și radiologică, au fost luate în considerare mai multe opțiuni de tratament, ținând cont de vârsta pacientului, volumul osos și așteptările estetice.
Decizia finală a fost realizarea unei noi punți adezive, îmbunătățită atât din punct de vedere al designului, cât și al culorii, utilizând zirconiu multistrat pentru a obține un rezultat cu aspect natural.

Figura 1: Situația inițială

Figura 2: iTero 5D+ scanarea optică
PAȘII PRELIMINARI ÎN CABINETUL STOMATOLOGIC
O amprentă a punții a fost luată înainte de îndepărtarea acesteia, utilizând scanerul iTero 5D+ (Align Technology; Figura 2). Aceste scanări pre-tratament, care sunt efectuate aproape sistematic pentru reconstrucțiile noastre protetice, permit laboratorului să capteze volumul protezei existente, să reproducă forma anterioară (dacă este potrivită) și adesea să vizualizeze suprafețele uzate. Acest lucru ajută la minimizarea sau chiar eliminarea necesității adaptărilor ulterioare. Apoi, puntea existentă a fost îndepărtată, iar dinții stâlpi au fost preparați cât mai minim invaziv posibil. Încă o dată, scanerul intraoral a fost utilizat pentru a lua o amprentă a situației (Figura 3)

Figura 3: Amprentă după îndepărtarea punții și pregătirea minimă a suprafețelor
REALIZAREA PUNȚII ADEZIVE
Scanarea a fost trimisă direct: de la scanerul intraoral către platforma Design4me (o platformă de proiectare 3D) pentru a realiza designul digital al punții planificate (Figurile 4 și 5). De asemenea, tehnicienii dentari au creat o cheie de repoziționare pentru a asigura o așezare precisă a punții în timpul cimentării (Figura 6). Materialul ales a fost KATANA™ Zirconia YML, un zirconiu multistrat de la Kuraray Noritake Dental Inc., nuanța B1. A părut cel mai potrivit datorită proprietăților sale fizice și estetice remarcabile - în special gradientului de transluciditate a culorii și rezistenței la încovoiere (Figura 7).

Figura 4: Proiectarea noii punți folosind software-ul exocad (Design4me platform)

Figura 5: Vedere a țesutului moale de sub punte care prezintă o ușoară compresie gingivală

Figura 6: Cheie de repoziționare creată cu ajutorul software-ului exocad (platforma Design4me)

Figura 7: Disc KATANA™ Zirconia YML (Nuanța afișată nu este reprezentativă pentru cazul prezentat)
Centrul de producție, DIGISMILE, a primit ulterior fișierele STL ale punții și cheii de poziționare, modelate de tehnicienii dentari pe platforma Design4me, gata pentru frezare și printare. De asemenea, am furnizat laboratorului fotografii intraorale pentru a reproduce textura suprafeței, posibilele personalizări și nuanțe. Laboratorul a efectuat frezarea punții folosind o freză DWX-52D (Roland DG). Lustruirea, finisarea suprafeței și colorarea au fost efectuate folosind freze Komet și ceramică lichidă Miyo (Jensen). Cheia de repoziționare, între timp, a fost printată 3D cu o imprimantă 3D NextDent 5100 (3D Systems) folosind rășină de ghid chirurgical (Figura 8).

Figura 8: Punte frezată și cheie printată 3D după lustruire și colorare
APLICAREA DEFINITIVĂ ÎN CABINETUL STOMATOLOGIC
Procedura de cimentare adezivă este una dintre cele mai importante etape ale întregului protocol de lucru. Odată ce puntea a ajuns în cabinetul stomatologic și proba a fost finalizată cu succes, accentul s-a pus pe controlul umidității și stabilirea unor condiții ideale de adeziune. În acest context, izolarea strictă a câmpului de lucru cu aspiratoare de salivă, rulouri de vată și, în mod ideal, o digă dentară este esențială, urmată de pre-tratamentul dinților stâlpi și a aripioarelor de retainer ale punții din zirconiu.
PRE-TRATAMENTUL STRUCTURII DENTARE
Pentru că prepararea dentară este strict limitată la smalț, a fost adoptat următorul protocol conservator de adeziune:
• Demineralizare cu acid fosforic 30 secunde pe suprafețele de smalț.
• Clătire cu apă din abundență, urmată de uscare ușoară fără a usca excesiv smalțul.
• Aplicare a PANAVIA™ V5 Tooth Primer (Kuraray Noritake Dental Inc.), urmată de uscare completă cu aer după un timp de așteptare de 20 de secunde. Acest primer conține MDP, esențial pentru o adeziune fiabilă a smalțului/zirconiului.
PRE-TRATAMENTUL ARIPIOARELOR DE ZIRCONIU ALE PUNȚII
Chiar dacă suprafața internă a fost sablată în laborator, este esențial să se repete acest pas în clinică:
• Curățare cu KATANA™ Cleaner (Kuraray Noritake Dental Inc.) pentru 10 secunde sau curățare ultrasonică pentru 5 minute, urmată de clătire cu apă.
• Sablare cu 50 µm oxid de aluminiu (Al2O3) la 2 bar.
• Aplicare a CLEARFIL™ Ceramic Primer Plus (Kuraray Noritake Dental Inc.) pe suprafața internă fără a clăti, urmată de uscare ușoară. Acest primer conține și MDP, asigurând o adeziune chimică adecvată la zirconiu.
CIMENTARE ADEZIVĂ
Având toate suprafețele pre-tratate corespunzator, cimentarea adezivă are următorii pași:
• Aplicarea PANAVIA™ V5 Paste (nuanță universală A2) pe suprafața internă a punții.
• Inserția punții cu ajutorul cheii de repoziționare.
• Fotopolimerizare ușoară (“tack” cure) pentru 3-5 secunde pentru a fixa restaurarea.
• Îndepărtarea excesului de ciment rășinic cu o sondă dentară. Alternativ, excesul poate fi îndepărtat imediat cu o perie moale înainte de fotopolimerizarea marginilor.
• Fotopolimerizare finală completă conform instrucțiunilor producătorului (Figurile 9 și 10)

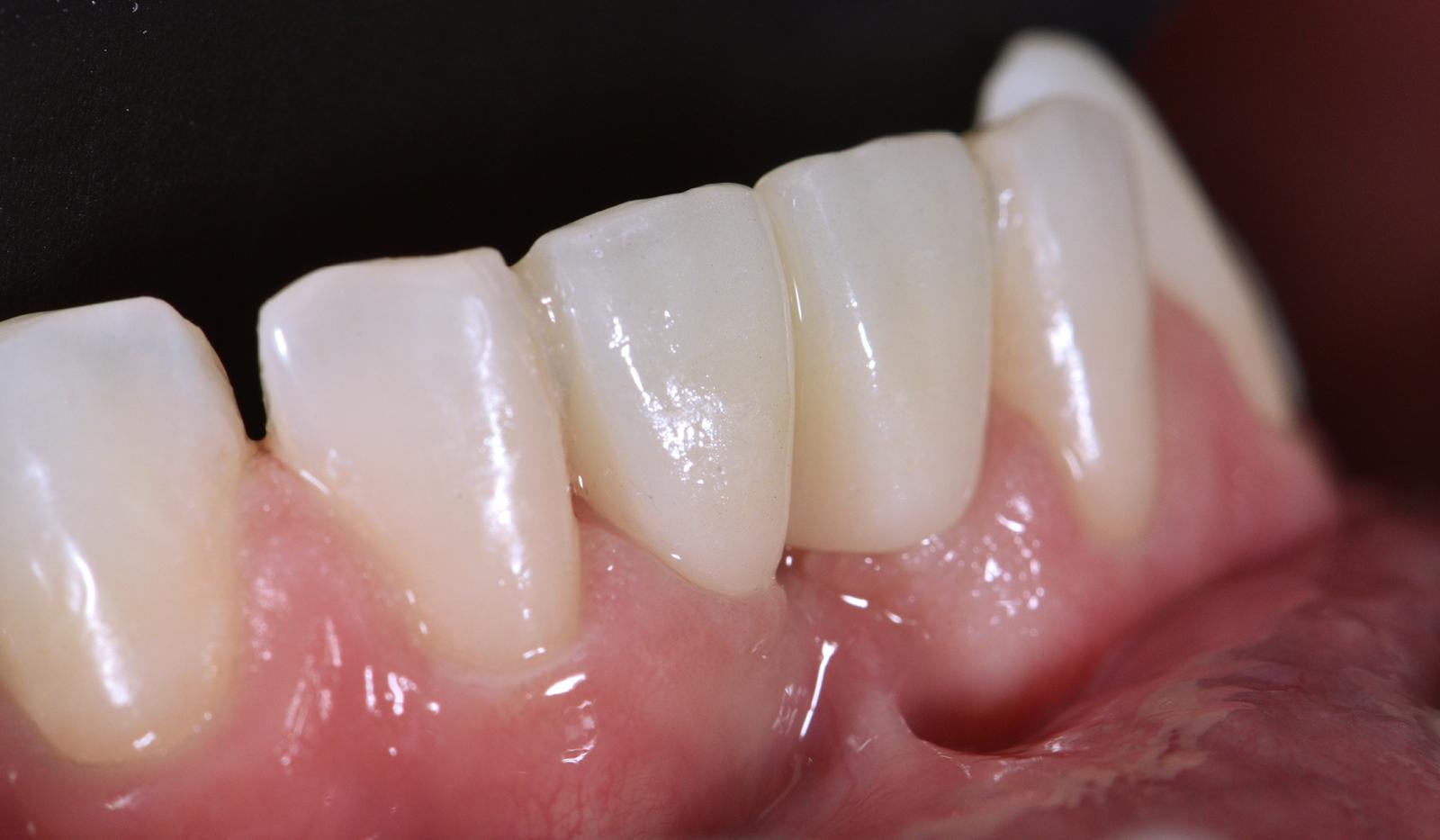
Figura 9: Situația clinică surprinsă imediat după cimentare

Figura 10: Vedere laterală a restaurării imediat după cimentare
REZULTATUL TRATAMENTULUI
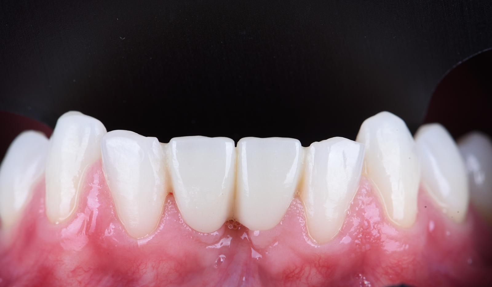
Datorită scanării înainte de tratament și suprapunerii vechii punți cu cea nouă, nu au fost necesare adaptări, deși controlul ocluziei a rămas esențial. La un control la 18 luni, integrarea gingivală a fost satisfăcătoare: pacientul a putut utiliza periuțe interdentare și a reușit să mențină proteza în mod corespunzător (Figurile 11 și 12).

Figura 11: Situația clinică la 18 luni după cimentarea definitivă

Figura 12: Vedere laterală la 18 luni
CONCLUZII
În acest caz clinic, alegerea de a realiza o punte dentară cu retainer dublu, aproape identică ca design cu cea anterioară, poate părea conservatoare. Cu toate acestea, această decizie este susținută de mai mulți factori: toleranța bună a pacientului la proteza anterioară, integritatea țesuturilor dinților stâlpi și, cel mai important, oportunitatea de a îmbunătăți semnificativ estetica datorită progreselor în materie de materiale și tehnici de adeziune, care ne-au permis să menținem preparările minim invazive.
Această nouă punte, realizată cu zirconiu multistrat, de estetică superioară și cimentată folosind un protocol strict, a obținut un rezultat perfect integrat și natural, fără a recurge la opțiuni mai invazive (gradient terapeutic). În plus, această abordare invită echipa de restaurare să ia în considerare tendințele emergente în proiectarea punților adezive, în special opțiunea de punți cantilever cu un singur retainer de fiecare parte, care ar putea fi luate în considerare în cazuri similare în viitor.
Acest caz evidențiază importanța planificării individualizate a tratamentului, care nu se bazează exclusiv pe inovație, ci pe o evaluare clinică precisă, ascultarea atentă a nevoilor și așteptărilor pacientului, implementarea atentă a instrumentelor disponibile și utilizarea unor materiale și protocoale de calitate superioară.
Doctori:

OLIVER BOUJENAH
Dr. Olivier Boujenah a obținut doctoratul în chirurgie dentară la Paris V în 1994 și o diplomă universitară în reabilitare chirurgicală maxilo-facială la Paris VII în 2008. Pionier în stomatologia digitală, a fondat DIGISMILE, un centru de formare și laborator complet digital, și DIGISMILE LAB, dedicat protezelor și ghidurilor chirurgicale. Predă în cadrul programului de masterat în stomatologie digitală la Universitatea din Geneva și a urmat cursuri de formare avansată la Universitatea Harvard în protocoale de lucru digitale și chirurgie ghidată.

TOM BOUJENAH
Dr. Tom Boujenah a absolvit Universitatea Europeană din Madrid în 2023 și a obținut o Diplomă Universitară în Reabilitare Orală pe Implanturi la Spitalul Pitié-Salpêtrière din Paris. Având o practică privată în arondismentul 16 din Paris, se concentrează pe reabilitarea orală estetică și funcțională, cu un interes deosebit pentru implantologia dentară și protocoalele de lucru digitale. Pasionat de inovație, integrează cele mai recente progrese în implantologie, protetică și stomatologie digitală pentru a oferi tratamente personalizate și de lungă durată.
- 18 apr. 2026