ESTETYKA UŚMIECHU PO LECZENIU ORTODONTYCZNYM Z WYKORZYSTANIEM CLEARFIL MAJESTY™ ES FLOW
Opublikowane dzięki uprzejmości lek. dent. Michała Jaczewskiego
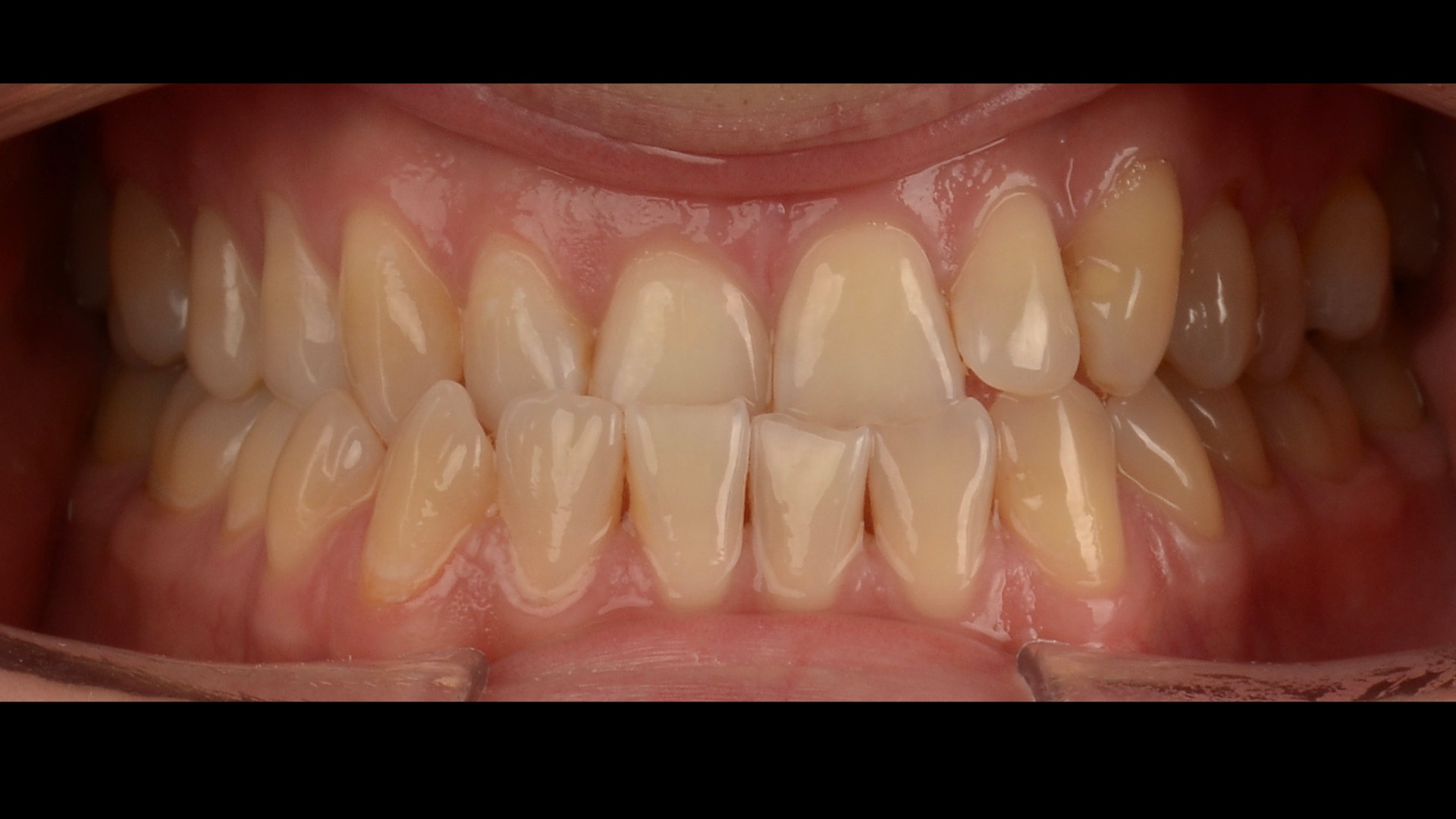
SYTUACJA POCZĄTKOWA
Pacjentka zgłosiła się do gabinetu w celu poprawy estetyki uśmiechu. Stan przed leczeniem ortodontycznym.

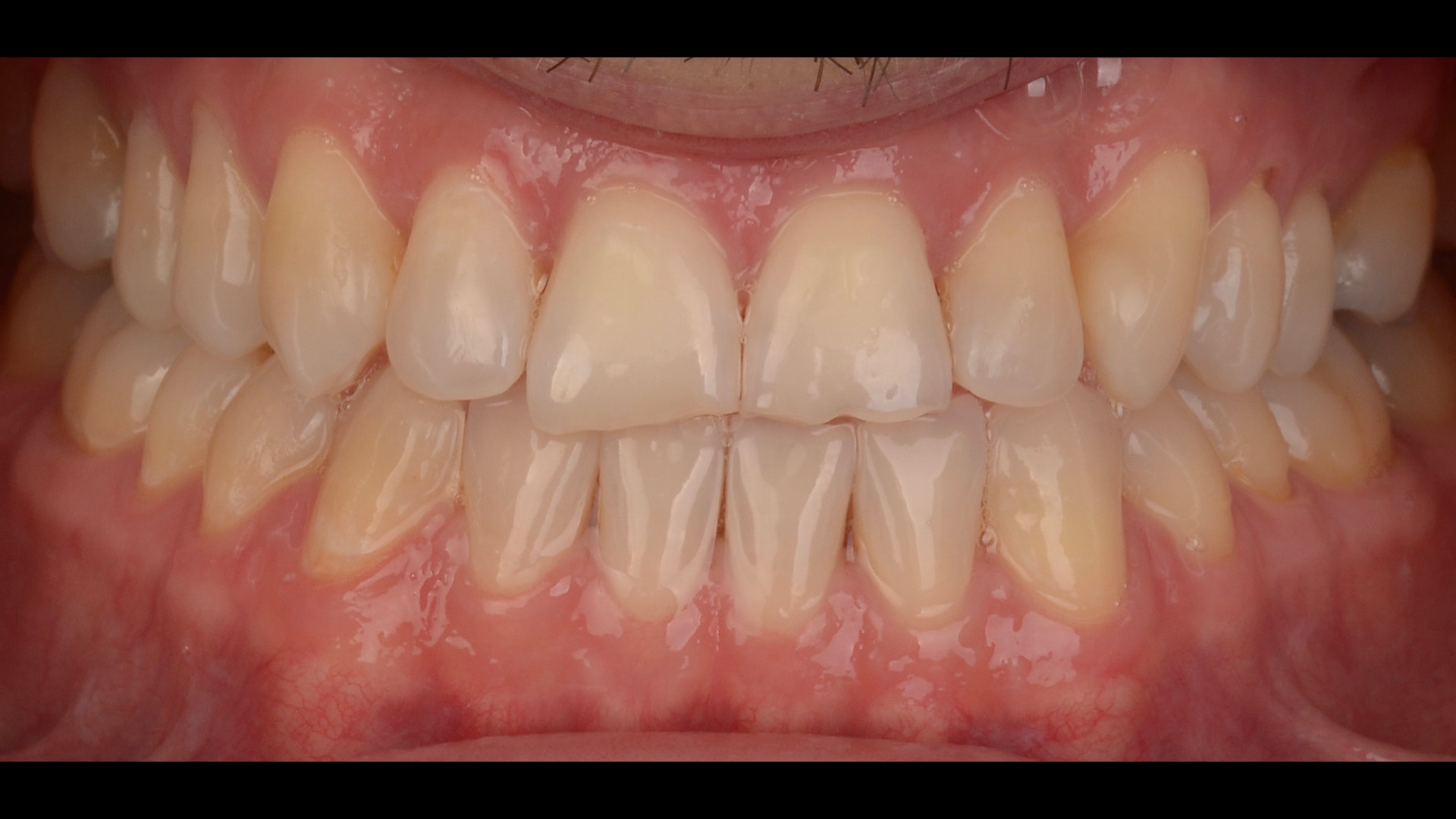
SYTUACJA PO LECZENIU ORTODONTYCZNYM I WYBIELANIU ZĘBÓW
Aby poprawić ustawienie zębów oraz relację między nimi, pacjentce zaproponowano leczenie ortodontyczne. Po zakończeniu leczenia, zęby zostały dodatkowo poddanie zabiegowi wybielania.

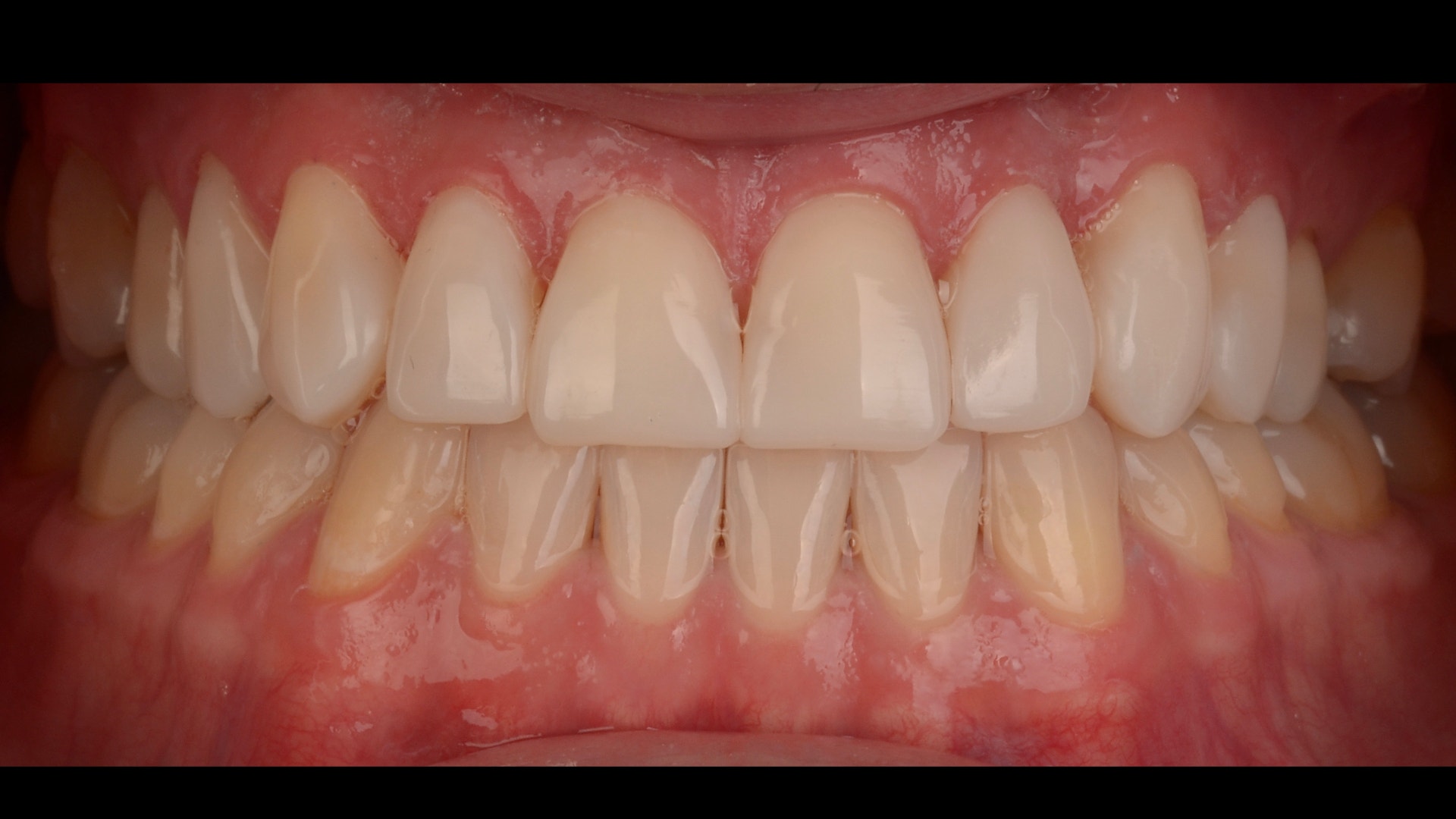
EFEKT KOŃCOWY
Stan po korekcie kształtu i wielkości zębów techniką Injection Flow przy zastosowaniu płynnego kompozytu CLEARFIL MAJESTY™ ES Flow w pośredniej gęstości Low i odcieniu XW. Do nadania odbudowie połysku użyto m.in. dwuetapowego systemu gumek TWIST™ DIA for Composite.

- 13 lut 2023