Identyfikacja

Dziękujemy za wizytę na naszej stronie

Zgodnie z aktualnymi przepisami prawa, treści zamieszczone na stronie Kuraray Noritake Polska zastrzeżone są dla profesjonalistów z branży stomatologicznej (lekarz stomatolog, asystentka, higienistka, technik dentystyczny lub inna osoba zawodowo związana z branżą).

Prosimy potwierdź swój status poniżej:
Oświadczam, iż jestem profesjonalistą związanym zawodowo z branżą stomatologiczną.

KATANA™ Zirconia: Przewodnik doboru kolorów: jak uzyskać optymalne efekty estetyczne dzięki właściwemu doborowi odcieni.

W Kuraray Noritake Dental Inc. naszym celem jest dostarczanie materiałów protetycznych i stomatologicznych najwyższej jakości, które pozwalają osiągać optymalne efekty leczenia zarówno pod względem funkcjonalnym, jak i estetycznym. Doskonałym przykładem jest seria produktów KATANA™ Zirconia Multi-Layered. Ta popularna linia wytrzymałych materiałów cyrkonowych oferuje dyski o starannie zrównoważonych właściwościach optycznych, umożliwiające tworzenie realistycznych uzupełnień protetycznych. Aby uzyskać najlepsze efekty, przygotowaliśmy szczegółowe zalecenia doboru koloru dla KATANA™ Zirconia, dostosowane do różnych metod wykonawstwa i charakteryzacji oraz do planowanego schematu pracy.

Czynniki wpływające na ostateczny wygląd, a tym samym na dobór koloru, to m.in.:

  • kolor zęba filarowego,
  • grubość ścianki uzupełnienia cyrkonowego (zwykle od 0,4 mm w odcinku przednim do 1,0 mm w odcinku bocznym),
  • umiejscowienie uzupełnienia cyrkonowego w jamie ustnej,
  • warunki frezowania (na sucho lub na mokro),
  • sposób synteryzacji (nocna lub szybka),
  • procedura wykańczania (polerowanie, charakteryzacja farbkami lub indywidualizacja przy użyciu porcelany).

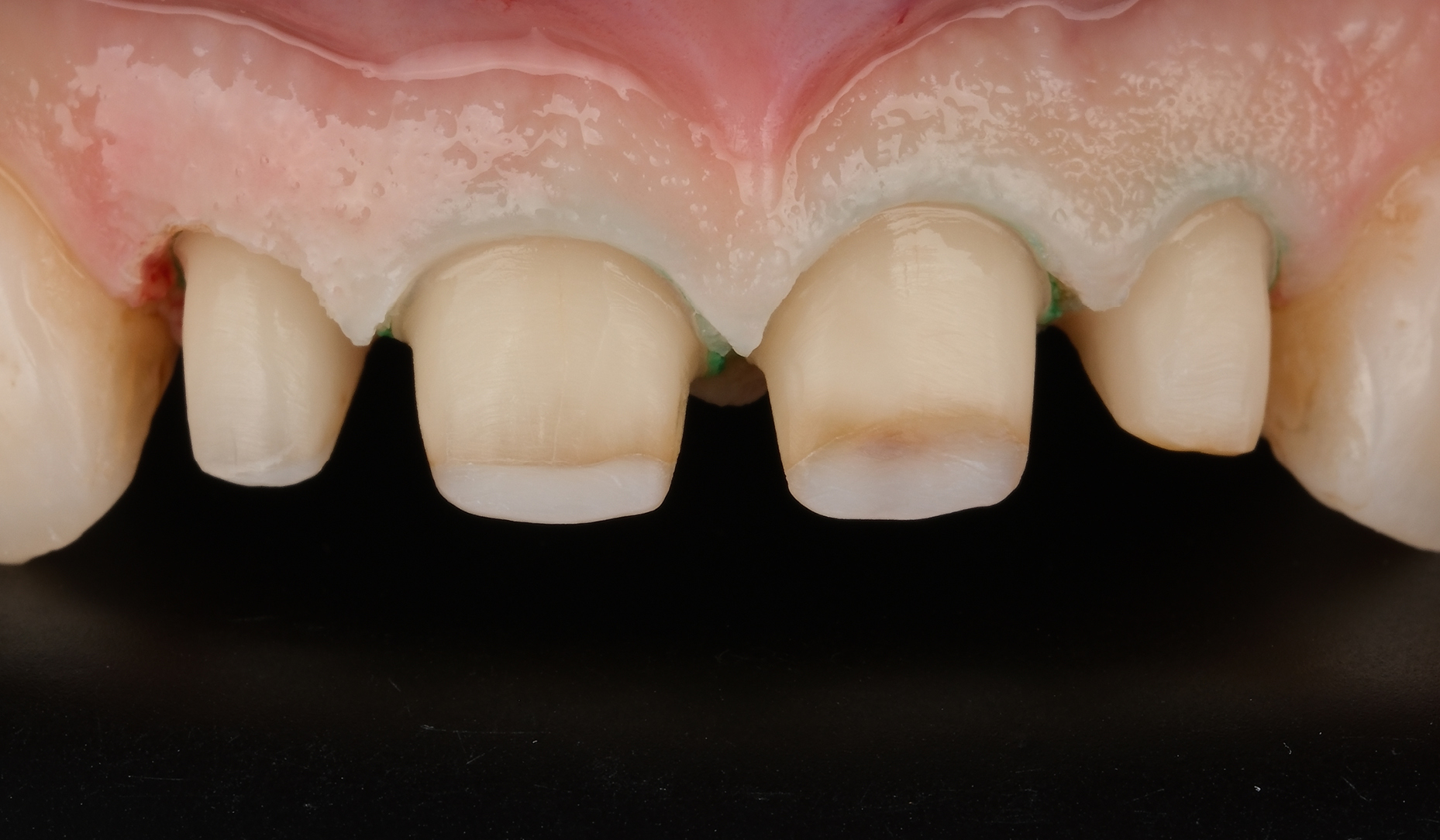
Przebarwiony ząb filarowy - wybierz dysk o jeden odcień jaśniejszy

Jeżeli ząb filarowy jest ciemniejszy od planowanego koloru uzupełnienia, może to wpłynąć na jego ostateczny wygląd i sprawić, że uzupełnienie będzie wydawało się ciemniejsze. W takim przypadku zaleca się wybór dysku o jeden odcień jaśniejszego niż planowany kolor uzupełnienia. Dzięki temu efekt końcowy będzie bardziej naturalny i estetyczny.

Rys. 1: Zęby filarowe wykazujące przebarwienia  - zaleca się wybór ton jaśniejszego materiału na podbudowę.
Autor zdjęcia: Kostia Vyshamirski

 

Uzupełnienie o wyjątkowo grubych ściankach

  • wybierz dysk o jeden odcień jaśniejszy

Uzupełnienia z bardzo grubymi ściankami mogą wydawać się ciemniejsze niż te o cienkich ściankach. Dlatego zaleca się wybór o ton jaśniejszego odcienia niż planowany kolor uzupełnienia, aby zniwelować ten efekt i uzyskać optymalną estetykę.

Rys. 2: Grubość ścianek uzupełnień cyrkonowych może wynosić od 0,4 do 0,6 mm w przypadku licówek w odcinku przednim…
Autor zdjęcia: Daniele Rondoni

Rys. 3: … do ponad 1 mm w przypadku koron w odcinku bocznym …
Autor zdjęcia: Daniele Rondoni

Rys. 4: …lub w przypadku złożonych uzupełnień opartych na implantach.
Autor zdjęcia: Pier Francesco Golfarelli

 

Pojedyncza korona w odcinku bocznym - wybierz dysk o jeden odcień ciemniejszy

W tylnym odcinku zębów bocznych pojedyncze korony cyrkonowe często wyglądają jaśniej niż zęby sąsiednie. Wynika to z wyższego współczynnika załamania światła tlenku cyrkonu w porównaniu z naturalnym szkliwem. Dlatego w takich przypadkach zaleca się zastosowanie dysku o jeden ton ciemniejszym odcieniu, aby efekt był bardziej naturalny.

 

WORKFLOW W GABINECIE

Typowy schemat pracy przy wykonywaniu uzupełnienień podczas jednej wizyty: frezowanie na mokro, szybka synteryzacja, polerowanie.

  • wybierz dysk w docelowym kolorze lub o jeden ton ciemniejszy

Monolityczny cyrkon ma tendencję do lekkiego przyciemnienia po wypolerowaniu, co jest wynikiem osadzania się cząstek polerskich na powierzchni uzupełnienia podczas procesu polerowania. Z kolei frezowanie na mokro, czyli kontakt materiału z wodą w stanie surowym, oraz szybka synteryzacja nadają uzupełnieniu nieco jaśniejszy i bardziej opakerowy wygląd. Dlatego w takich przypadkach zaleca się wybór ton ciemniejszego koloru, co pozwala łatwiej uzyskać pożądany efekt przy minimalnym nakładzie pracy.

Rys. 5: Porównanie metod wykańczania i ich wpływu na jasność (value) cyrkonu.

 

WORKFLOW W LABORATORIUM

Typowy przebieg pracy w laboratorium: konstrukcja z cyrkonu wykończona porcelaną, uzupełnienie cyrkonowe charakteryzowane płynną ceramiką lub wykończone glazurą:

  • Wybierz dysk o jeden odcień jaśniejszy

Bardziej czasochłonne metody wykończeń, takie jak napalanie porcelany lub charakteryzacja przy użyciu płynnej ceramiki CERABIEN™ ZR FC Paste Stain, zazwyczaj wykonuje się w laboratorium protetycznym, gdzie najczęściej stosuje się frezarkę pracującą na sucho. W takich warunkach odcień cyrkonu zwykle odpowiada wybranemu kolorowi docelowemu.

Przy stosowaniu różnych metod wykończeń cyrkonu KATANA™ zwykle warto rozpocząć pracę od nieco jaśniejszego odcienia. Pozwala to na wprowadzanie poprawek i pełną swobodę charakteryzacji. Jeśli początkowy kolor jest zbyt ciemny, jego późniejsze rozjaśnienie może być trudne. Dlatego wybór jaśniejszego koloru od samego początku daje technikom dentystycznym elastyczność potrzebną do uzyskania optymalnego efektu końcowego.

Rys. 6: Przebieg pracy w laboratorium z wykorzystaniem podbudowy z KATANA™ Zirconia STML …

Rys. 7: … struktura została wykończona porcelaną CERABIEN™ ZR. Zaleca się wybór koloru ton jaśniejszego niż kolor docelowy.
Autor zdjęć: Andreas Chatzimpatzakis

WORKFLOW W GABINECIE

Bardziej złożony przebieg pracy przy uzupełnieniach wykonywanych podczas jednej wizyty: frezowanie na mokro, szybka synteryzacja, charakteryzacja lub glazurowanie.

Uzupełnienie monolityczne:

  • wybierz dysk w kolorze docelowym

W procesie CAD/CAM wykonywanym w gabinecie dentystycznym zazwyczaj stosuje się frezowanie na mokro oraz szybką synteryzację. Obie metody sprawiają, że uzupełnienia stają się nieco jaśniejsze niż zwykle, co daje pełną swobodę charakteryzacji przy użyciu płynnej ceramiki CERABIEN™ ZR FC Paste Stain. Jeśli przewiduje się tylko minimalne korekty koloru, można również wybrać dysk cyrkonowy w odcieniu o ton ciemniejszym niż kolor docelowy.

 

WORKFLOW W LABORATORIUM

Uproszczony przebieg pracy w laboratorium: polerowane uzupełnienia monolityczne, frezowanie na sucho, całonocna synteryzacja

  • wybierz dysk w kolorze docelowym lub o jeden odcień jaśniejszy

Generalnie frezowanie na sucho oraz całonocna synteryzacja, powszechnie stosowane w laboratoriach dentystycznych, pozwalają uzyskać monolityczną odbudowę z cyrkonu o wyglądzie zgodnym z oczekiwaniami według klasycznej skali kolorów VITA. Jednocześnie polerowanie może powodować lekkie przyciemnienie powierzchni monolitycznego cyrkonu. Dlatego w przypadku polerowania odbudowy frezowanej na sucho zaleca się wybór cyrkonu o nieco jaśniejszym odcieniu niż kolor docelowy.

 

PODSUMOWANIE

Powyższe zalecenia pokazują, że głównymi czynnikami decydującymi o wyborze odpowiedniego koloru wyjściowego cyrkonu KATANA™ są warunki obróbki i metoda wykończenia.
Poniższa tabela przedstawia praktyczny przegląd najważniejszych wskazówek, uzupełniony informacjami zaczerpniętymi z literatury naukowej oraz systemów konkurencyjnych.

Sytuacja kliniczna / techniczna

Wskazówka do doboru koloru dysku

Uwagi 

Przebarwiony (ciemny) ząb filarowy Dobór o jeden odcień jaśniejszy Zapobiega zbyt ciemnemu wyglądowi ostatecznej odbudowy
Grube ścianki odbudowy (~1 mm)  Dobór o jeden odcień jaśniejszy Gruba podbudowa cyrkonowa ma tendencję do ciemniejszego wyglądu
Pojedyncza korona w odcinku bocznym Dobór o jeden odcień ciemniejszy  Cyrkon w tylnym odcinku zębów bocznych ma tendencję do jaśniejszego wyglądu niż naturalne zęby
Polerowana powierzchnia cyrkonu  Dobór o jeden odcień jaśniejszy. Polerowanie nieznacznie przyciemnia cyrkon
Glazurowanie/charakteryzacja powierzchni Dobór zgodnie z kolorem docelowym  Glazurowanie powoduje jaśniejszy wygląd odbudowy.
Workflow w gabinecie (frezowanie na mokro + szybka synteryzacja)
Dobór zgodnie z kolorem docelowym lub o jeden odcień ciemniejszy
W przeciwnym razie odbudowa może wyglądać za jasno
Workflow w laboratorium (frezowanie na sucho + nocna synteryzacja)  Dobór zgodnie z kolorem docelowym lub o jeden odcień jaśniejszy  Polerowanie nieznacznie przyciemnia monolityczny cyrkon.
Dobór koloru przy użyciu instrumentu (spektrofotometr) Wyższa precyzja (ΔE” 2,1 w porównaniu z doborem wizualnym ΔE” 2,7)  Wykazane w porównawczych badaniach klinicznych
Warunki oświetleniowe podczas doboru koloru Stosować standardowe światło dzienne (D50/D65), czas doboru <7 s. 
Zapobiega to zmęczeniu wzroku i efektowi metamerii
Systemy konkurencyjne  Kolorniki wykonane z monolitycznego cyrkonu Zapewnia to dokładne dopasowanie koloru dla danego materiału

Stosując się do powyższych wskazówek, dobór koloru cyrkonu staje się prosty i pozwala osiągnąć pożądany efekt estetyczny.