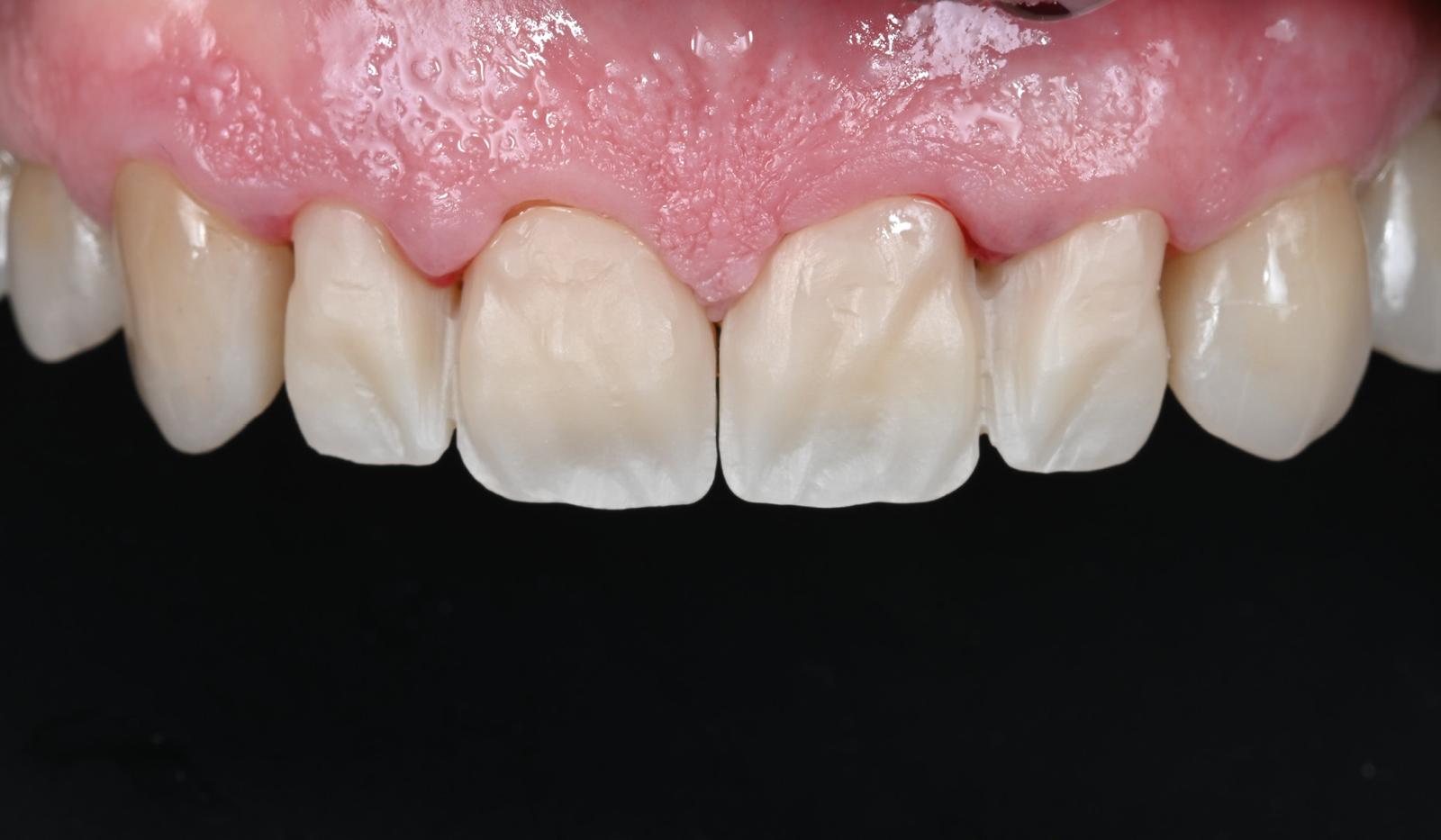
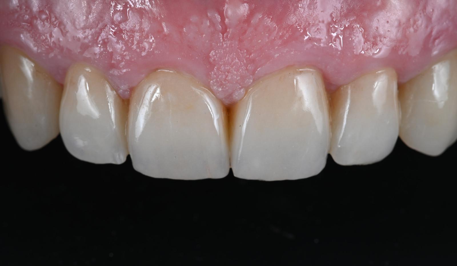
Clinical Cases Calea precisă către zâmbete frumoase Caz de TD VASILIS VASILIOU MICRO-STRATIFICARE CU CERABIEN™ MiLai Indiferent dacă sunt tineri sau bătrâni, bărbați sau femei: Pacienții noștri merită un zâmbet frumos care să se potrivească cu dinții adiacenți, cu fața, cu caracterul și cu nevoile lor individuale. Pentru a putea realiza restaurări frumoase care să le schimbe viața în bine, noi (ca tehnicieni dentari) trebuie să observăm cu atenție – și să ascultăm cu atenție poveștile pe care le spun ,,Trebuie să observăm cu atenție – și să ascultăm cu atenție poveștile pe care ni le spun pacienții noștri.”– Vasilis Vasiliou – Domnul Andreas este un exemplu perfect. S-a prezentat la cabinetul stomatologic având nevoie de o reabilitare completă a cavității bucale și dorind să îmbunătățească estetica zâmbetului său. A solicitat o restaurare cu un aspect natural, adecvată vârstei sale. După ce l-am ascultat și l-am observat cu atenție, am decis că cea mai bună metodă de a-i restaura incisivii maxilari ar fi cu restaurări din zirconiu. Planul era să frezez structurile folosind KATANA™ Zirconia YML cu valoare redusă, nuanța D3 (Kuraray Noritake Dental Inc.). Pentru a facilita integrarea unor efecte naturale, a fost selectat un aspect cu o structură cu tăiere predominant vestibulară. Tehnica de finisare aleasăa fost microstratificarea cu CERABIEN™ MiLai (Kuraray Noritake Dental Inc.), o ceramică concepută special pentru această abordare. Pașii importanți în procedura de finisare au fost: • Personalizarea zirconiului frezat cu soluții pentru colorare • Pretratarea suprafețelor de zirconiu sablate cu SS Fluoro și Margin porcelain • Colorarea internă cu coloranți interni CERABIEN™ MiLai• Aplicarea ceramicii lucioase CERABIEN™ MiLai PROTOCOL LABORATOR Coroanele dentare individuale din zirconiu au fost proiectate cu contur complet cu ajutorul Bibliotecii Leahu, care include modele de dinți personalizate (parte a Bibliotecii Truedental disponibilă pentru software-ul de proiectare exocad DentalCAD; Fig. 1), tăiate doar în zona vestibulară folosind opțiunea de reducere „calma” (Fig. 2), apoi frezate și personalizate cu soluții pentru colorare pentru a optimiza croma. Figura 3 prezintă structurile sinterizate pe model, iar Figura 4 proba în gura pacientului. Deoarece forma și adaptarea restaurărilor s-au dovedit a fi excelente, a venit momentul să se planifice procedura de colorare internă și micro-stratificare (Fig. 5 și 6), încercând întotdeauna să imităm natura cât mai fidel posibil. Partea dificilă este utilizarea cu înțelepciune a spațiului disponibil – motiv pentru care o schiță detaliată de stratificare este utilă chiar și în contextul micro-stratificării. După ce procedura de stratificare planificată a fost pusă în practică (Fig. 7-10), textura suprafeței a fost finalizată, iar restaurările au fost testate din nou pentru o evaluare estetică. În cele din urmă, acestea au fost cimentate cu cimentul adeziv pe bază de rășină PANAVIA™ V5 (Kuraray Noritake Dental Inc.). Rezultatul superb al tratamentului este prezentat în Figura 11. Figura 1: Proiectare asistată de calculator a structurilor de zirconiu: coroane individuale, care apar transparente pentru a putea vizualiza dinții stâlpi. Figura 2: Proiectare asistată de calculator a structurilor din zirconiu: Conturul exterior al coroanelor individuale cu o textură a suprafeței puternic elaborată și spațiu suficient pentru micro-stratificare. Figura 3: Resturările după personalizare cu soluții de colorare și sinterizare pe model. Figura 4: Proba coroanelor Figura 5: Schiță de stratificarepentru restaurări: Colorare internă Figura 6: Schiță de stratificare pentru restaurări:Aplicarea ceramicii lucioase Figura 7: Colorare internă – caracteristici specifice elaborate pentru un efect de profunzime naturală Figura 8: Stratificare în zonele cervicale și cele medii Figura 9: Stratificare finală cu ceramici lucioase pentru completarea morfologiei Figura 10: Restaurările finale după finisarea și lustruirea suprafeței, precum și glazurarea pe model Figura 11: Rezultatul tratamentului CONCLUZIEPacientul a fost pe deplin mulțumit de rezultatul tratamentului și încrezător că investiția sa a meritat pe deplin. Adaptându-mi abordarea la nevoile sale unice, observându-i cu atenție dinții, zâmbetul și expresiile faciale și utilizându-mi cunoștințele vaste despre materiale, am reușit să ating acest obiectiv cu succes. Cu toate acestea, rămân dedicat îmbunătățirii continue prin evaluarea critică a fiecărei restaurări și căutarea unor domenii de îmbunătățire. Dedicarea mea pentru dezvoltare, susținută de mentoriexcepționali care împărtășesc tehnici și perspective inovatoare, mă ajută să rămân în avangarda domeniului meu, străduindu-mă să ofer în mod constant cea mai bună îngrijire posibilă. Îi sunt profund recunoscător Dr. Zinonas Evagorou pentru parteneriatul neprețuit și expertiza clinică, care au fost esențiale în obținerea acestui rezultat. Tehnician dentar: VASILIS VASILIOU Vasilis Vasiliou s-a născut în Nicosia, Cipru, și a absolvit Școala Tehnică pentru Tehnicieni Dentari din Atena în 2004. Și-a continuat studiile participând la mai multe seminarii avansate conduse de mentori și experți în domeniu, precum Ilias Psarris și Nondas Vlachopoulos. De-a lungul carierei sale, Vasilis a adus contribuții semnificative comunității stomatologice, inclusiv prezentări la diverse conferințe în Grecia și publicarea de articole în reviste stomatologice grecești. Din 2020, este un lider de opinie pentru MPF Brush Company și, din 2022, este ambasador HASS. Vasilis este membru activ al Echipei Internaționale de Implantologie (ITI) din 2019. Împreună cu tatăl său, Vasilis conduce un laborator dentar de succes în Nicosia, specializat în restaurări integral ceramice și restaurări pe implanturi. Experiența sa vastă și angajamentul față de excelență l-au consacrat ca un profesionist respectat în domeniul său. 19 apr. 2026 Panavia V5 Resin Cement Dental Technician Kuraray Noritake Prosthodontics Katana Zirconia YML Restorative Dentistry CERABIEN MiLai Prosthetic dentistry Lab Dental Ceramics Cad Cam Discs Esthetic Cosmetic Chair PANAVIA V5 Vizualizare Produs KATANA Zirconia YML Vizualizare Produs Abonează-te la buletinul nostru informativ Alăturați-vă miilor de profesioniști din domeniul stomatologic și primiți sfaturi gratuite care vă pot ajuta pe dumneavoastră și cariera dumneavoastră. Nu vă vom trimite spam și nu vă vom distribui e-mail-ul.