PRZYWRACANIE NATURALNEGO UŚMIECHU: technika warstwowa odbudowy kompozytowej - odcienie Premium
Technika odbudowy kompozytowej (mono shade/single shade) przy użyciu jednego odcienia materiału, cieszy się coraz większą popularnością wśród lekarzy dentystów ze względu na łatwość pracy. Stosowanie jej w połączeniu z nowoczesnymi materiałami kompozytowymi o ulepszonych właściwościach optycznych, pozwala uzyskać estetyczny efekt w wielu sytuacjach klinicznych. Jednak w przypadku odbudowy zębów przednich o wyraźnej przezierności szkliwa i żywej wewnętrznej strukturze kolorystycznej lepszym rozwiązaniem może okazać się technika dwuwarstwowa (dual shade/multi shade), wykorzystująca dwa odcienie przezierności kompozytu.
Na szczęście metoda ta nie musi być skomplikowana. Dzięki materiałowi CLEARFIL MAJESTY™ ES-2 Premium (Kuraray Noritake Dental Inc.) lekarze dentyści zyskują możliwość stosowania uproszczonych procedur, które zapewniają przewidywalne i estetyczne efekty. Linia Premium zawiera stałe kombinacje odcieni – zębinowego i szkliwnego – z których każdy obejmuje trzy odcienie odpowiadające kolorom z kolornika VITA. Dzięki temu eliminuje się potrzebę stosowania skomplikowanych schematów odcieni oraz ogranicza liczbę użytych odcieni.
Poniżej przedstawiono przykład zastosowania materiału w procedurze odbudowy zębów przednich.
KROK 1. IZOLACJA. SYTUACJA WYJŚCIOWA
W celu zapewnienia optymalnej kontroli wilgoci i dobrej widoczności pola zabiegowego wykonano izolację przy użyciu koferdamu. Wykonano również zdjęcia dokumentujące stan przedzabiegowy. Ubytki występowały na zębach 22 (mezjalnie), 21 (dystalnie), 11 (dystalnie) i 12 (mezjalnie).

Fot. 1. Izolacja z użyciem koferdamu.

Fot. 2. Sytuacja początkowa.
KROK 2. DOBÓR ODCIENIA
Doboru odcienia dokonano po założeniu koferdamu, z wykorzystaniem kolornika przeznaczonego do kompozytu CLEARFIL MAJESTY™ ES-2 Premium (Kuraray Noritake Dental Inc.).
Wybrano odcienie A1D (dla zębiny)i A1E (dla szkliwa) z gamy CLEARFIL MAJESTY™ ES-2

Fot. 3. Dobór odcienia.

Fot. 4. Wybrane odcienie do A1D oraz A1E z gamy CLEARFIL MAJESTY™ ES-2 Premium.
KROK 3. PREPARACJA UBYTKÓW.
Po doborze odcienia w zębach 22, 21, 11, 12 usunięto próchnicę. Opracowano ubytek III klasy, zwracając uwagę na zachowanie jak największej ilości szkliwa i struktury zęba. Zdjęcia wykonane od strony podniebnej i policzkowej dokumentują zakres poszerzenia ubytków oraz ich preparacji.

Fot. 5. Usunięto próchnicę w zębach 22, 21, 11, 12.

Fot. 6. Opracowanie ubytków III klasy.

Fot. 7. Zdjęcie od strony podniebiennej i policzkowej.
KROK 4. WYTRAWIANIE.
Przeprowadzono selektywne wytrawianie (tylko szkliwa) z użyciem kwasu fosforowego K-Etchant (Kuraray Noritake Dental Inc.) na krawędziach szkliwa opracowanych ubytków. Sąsiednie zęby zabezpieczono taśmą PTFE, aby zapobiec ich przypadkowemu wytrawieniu. Etap ten zapewnia optymalną retencję mikromechaniczną i zwiększa wytrzymałość wiązania systemu adhezyjnego.

Fot. 8. Trawienie selektywne z wykorzystaniem K-ETCHANT.

Fot. 9. Sąsiednie zęby zabezpieczono taśmą PTFE.
KROK 5. APLIKACJA SYSTEMU ADHEZYJNEGO.
Zastosowano dwubuteleczkowy system wiążący CLEARFIL™ SE BOND 2 (Kuraray Noritake Dental Inc.). Zgodnie z protokołem producenta najpierw na wszystkie powierzchnie ubytków nałożono PRIMER, pozostawiono go na 20 sekund, aby umożliwić odpowiednią penetrację tkanek, a następnie delikatnie osuszono powietrzem. Kolejną czynnością było nałożenie BONDu, osuszenie powietrzem i utwardzenie światłem. Ten dwubuteleczkowy, samotrawiący system wiążący szóstej generacji zapewnia niezawodną adhezję nawet w najtrudniejszych warunkach klinicznych oraz długotrwałe i skuteczne wiązanie zarówno ze szkliwem, jak i z zębiną w odbudowach bezpośrednich.

Fot. 10. Zastosowano CLEARFIL™ SE BOND 2 - PRIMER.

Fot. 11. Zastosowano CLEARFIL™ SE BOND2 - BOND.
KROK 6. POLIMERYZACJA ŚWIATŁEM
Po aplikacji (BONDu) każdą powierzchnię naświetlono lampą polimeryzacyjną LED, zgodnie z instrukcją producenta. Końcówkę lampy polimeryzacyjnej umieszczono jak najbliżej powierzchni, aby zapewnić optymalną polimeryzację warstwy adhezyjnej.

Fot. 12. Polimeryzacja warstwy adhezyjnej.
KROK 7. UZUPEŁNIENIE KOMPOZYTOWE I WYKOŃCZENIE.
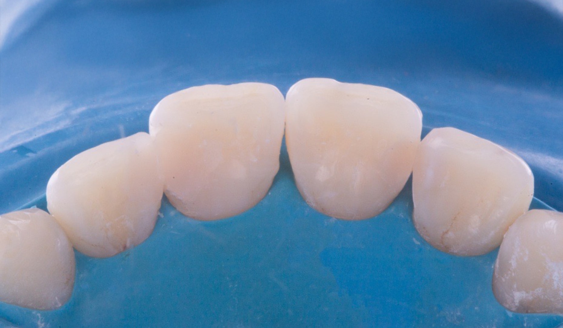
Uzupełnienia wykonano metodą wielowarstwową. Od strony podniebiennej ubytki wstępnie pokryto materiałem A1E (odcień szkliwa), aby odtworzyć kształt zęba. Część zębinową zrekonstruowano z wykorzystaniem materiału A1D, a następnie nałożono końcową warstwę szkliwną (A1E), uzyskując naturalną przezierność i teksturę powierzchni. W ostatnim etapie odbudowaną powierzchnię wypolerowano przy użyciu gumek polerskich TWIST DIA for Composite (Kuraray Noritake Dental Inc.), co pozwoliło uzyskać naturalny połysk oraz harmonijne dopasowanie do zębów sąsiadujących.

Fot. 13. Ubytki pokryto materiałem A1E oraz A1D.

Fot. 14. Wypolerowanie odbudowanej powierzchni przy użyciu TWIST DIA for Composite.
Dentysta:

Dt. Koray Kendir
Absolwent Wydziału Stomatologii Uniwersytetu Hacettepe i współzałożyciel prywatnej kliniki stomatologicznej w Izmirze. Specjalizuje się w stomatologii cyfrowej, projektowaniu uśmiechu oraz wspomaganym komputerowo leczeniu zachowawczym. Znany ze swojego innowacyjnego podejścia dr Kendir często wygłasza wykłady na krajowych kongresach stomatologicznych i pełni rolę doradcy dla kilku firm stomatologicznych.
- 15 paź 2025