Identificazione

Il contenuto del sito www.kuraraynoritake.eu/it è riservato agli operatori sanitari e riporta informazioni sui prodotti che possono creare situazioni di pericolo per la salute e la sicurezza del paziente se non correttamente lette, comprese ed applicate da un professionista.

In ottemperanza con quanto previsto dalla normativa vigente, dichiaro quindi, sotto la mia responsabilità, di essere un professionista del settore odontoiatrico e/o odontotecnico e di essere pertanto autorizzato a prendere visione del contenuto presente in questo sito internet

Avvitato o incollato? Come scegliere il protocollo giusto nelle grandi riabilitazioni in zirconia

Nella gestione delle riabilitazioni dento-scheletriche estese, la scelta tra soluzione avvitata e incollata è spesso presentata come un'alternativa netta. In realtà, chi lavora su casi complessi lo sa bene: non esiste una risposta universale. Esiste però un metodo per trovare quella giusta, che passa dalla corretta lettura del caso clinico, dalla scelta del materiale e dalla padronanza dei protocolli operativi.
Nel volume Zirconia in odontoiatria – Protocolli clinici ed evidenze (Kuraray Noritake/Edra, 2025), l'Odt. Marco Stoppaccioli e i suoi collaboratori descrivono il percorso evolutivo che ha portato alla definizione di tre approcci distinti per il trattamento delle atrofie gravi, tutti basati sull'impiego di KATANA™ Zirconia.

 

Zirconia su zirconia: tenacità ed estetica nello stesso manufatto

Il protocollo "zirconia su zirconia", ideato da Stoppaccioli nel 2016, nasce dalla necessità di conciliare due requisiti che in passato sembravano incompatibili: la tenacità strutturale e la resa estetica. La letteratura aveva già evidenziato l'importanza di parametri quali i requisiti di spazio e dimensione, la geometria della distribuzione implantare e il design della struttura come fattori determinanti per il successo clinico a lungo termine delle riabilitazioni monolitiche su impianti.¹
La soluzione sta nella scomposizione del progetto in due file distinti: uno strutturale, realizzato in KATANA™ Zirconia HTML PLUS (1200 MPa), e uno anatomico, in KATANA™ Zirconia STML multilayer ad alta traslucenza (750 MPa). I due elementi vengono fusi in laboratorio attraverso ceramica specifica per zirconia, ottenendo un manufatto monolitico che sfrutta al massimo le proprietà di entrambi i materiali.²
Questo approccio consente di centrare correttamente l'impiego del multilayer in funzione del volume da ricostruire — un aspetto spesso critico nelle protesi dento-scheletriche estese — e di controllare con precisione la biomodulazione ottica del manufatto finale. La zirconia monolitica lucidata presenta inoltre coefficienti di abrasione inferiori a quelli del disilicato di litio e delle ceramiche stratificate, con effetti positivi sulla longevità dell'arcata antagonista.³

 

Fig. 1: Integrazione biomimetica della riabilitazione protesica nel cavo orale (caso di M. Stoppaccioli).

 

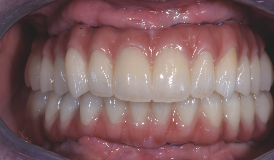
Zirconia su titanio incollata: quando l'interfaccia strutturale fa la differenza

Nei casi in cui la complessità biomeccanica o la posizione degli impianti richiede un supporto strutturale più resistente, il frame in titanio fresato CAD/CAM diventa la base portante della riabilitazione. Studi retrospettivi hanno dimostrato come le strutture in zirconia pura tendano a concentrare le sollecitazioni in misura maggiore rispetto al titanio, con potenziale aumento del rischio di frattura nel lungo termine.⁴
La sovrastruttura anatomica, realizzata in KATANA™ Zirconia YML (gradiente progressivo 1100-750 MPa), viene incollata alla barra in titanio con PANAVIA™ V5 bianco opaco in laboratorio, su modello di precisione. Il risultato è una struttura ibrida che combina la resistenza meccanica del titanio con la biocompatibilità e la biomodulazione ottica della zirconia, garantendo al contempo un'interfaccia transmucosa anatomicamente ideale e una bassa adesione batterica.
Questa soluzione è particolarmente indicata per mascherare derivazioni implantari vestibolari e per creare un'interfaccia facilmente rimovibile dal clinico in fase di follow-up e igiene.

 

Fig. 2: Integrazione estetica e funzionale del lavoro nel cavo orale (caso di M. Stoppaccioli).

 

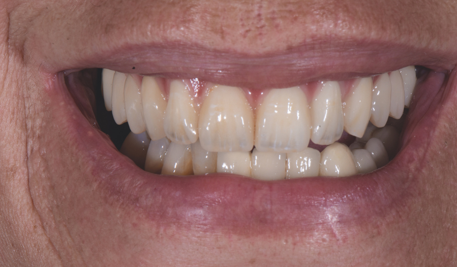
Zirconia su titanio hybrid avvitata: la risposta ai casi di ritrattamento

I casi di ritrattamento implanto-protesico — pazienti con impianti integrati ma protesi fallite — rappresentano una quota crescente del lavoro quotidiano in laboratorio. Gestirli richiede flessibilità progettuale e materiali che garantiscano longevità senza penalizzare la reversibilità. La letteratura ha documentato come procedure computer-guidate associate a protesi ibride producano outcome clinici significativamente migliori rispetto agli approcci convenzionali in termini di complicanze e costi a lungo termine.⁵
Il protocollo "zirconia su titanio hybrid" risponde a questa esigenza combinando una struttura individualizzata in titanio — progettata per portare Ti-base dedicati e compensare posizioni implantari non ideali — con sovrastrutture in zirconia monolitica avvitate sulle connessioni intermedie. La removibilità del manufatto facilita i controlli di igiene, riduce l'impatto sulle sedute di follow-up e consente interventi correttivi senza demolire l'intera riabilitazione.

 

Fig.3: Estetica del sorriso (caso di M. Stoppaccioli).

 

Il metodo prima del protocollo

Qualunque sia la soluzione adottata, la letteratura e l'esperienza clinica concordano su un punto: la predicibilità di una riabilitazione dento-scheletrica in zirconia dipende dalla qualità della pianificazione, non solo dalla scelta del materiale. Un recente studio retrospettivo su 14 pazienti riabilitati con full arch in zirconia — con follow-up medio di 36 mesi — ha riportato un tasso di sopravvivenza protesica del 100% e un successo protesico complessivo del 92,86%, con il 78,57% dei pazienti completamente soddisfatti del risultato.⁶
Requisiti di spazio e dimensione, geometria della distribuzione implantare, ap spread, cantilever, design della struttura e schema occlusale sono i parametri che vanno definiti prima ancora di aprire il software di fresaggio. La chirurgia guidata e il flusso digitale integrato — dalla ceratura diagnostica al provvisorio funzionalizzato, fino al definitivo — sono oggi gli strumenti che rendono questi protocolli predicibili e riproducibili anche nei casi più sfavorevoli.

 

 

Bibliografia
1.    Blasi A, Torosian AD, Aimplee S, Im S Bin, Camba AM, Chiche GJ. Implantatgetragene Gesamtrehabilitationen aus Zirkonoxid. QZ – Quintessenz Zahntechnik. 2018;1:38-60.
2.    Venezia P, Torsello F, Cavalcanti R, D'Amato S. Retrospective analysis of 26 complete-arch implant-supported monolithic zirconia prostheses with feldspathic porcelain veneering limited to the facial surface. J Prosthet Dent. 2015;114(4):506-512.
3.    Lawson NC, Janyavula S, Syklawer S, McLaren EA, Burgess JO. Wear of enamel opposing zirconia and lithium disilicate after adjustment, polishing and glazing. J Dent. 2014;42(12):1586-1591.
4.    Cinquini C, Alfonsi F, Marchio V, et al. The Use of Zirconia for Implant-Supported Fixed Complete Dental Prostheses: A Narrative Review. Dent J (Basel). 2023;11(6).
5.    Ravidà A, Barootchi S, Tattan M, Saleh MHA, Gargallo-Albiol J, Wang H. Clinical outcomes and cost effectiveness of computer-guided versus conventional implant-retained hybrid prostheses: A long-term retrospective analysis of treatment protocols. J Periodontol. 2018;89(9):1015-1024.
6.    Marchio V, Cinquini C, Alfonsi F, Romeggio S, Stoppaccioli M, et al. Retrospective Analysis of Full-Arch Zirconia Rehabilitations on Dental Implants: Clinical Outcomes and Patient Satisfaction. Appl Sci. 2025;15(1):416.