Obnova přirozeného úsměvu
Autor kazuistiky: Dt. Koray Kendir, DDS, Turecko (İzmir)
TECHNIKA VRSTVENÍ KOMPOZITU POMOCÍ ODSTÍNŮ A1D A A1E
Techniky vrstvení kompozitu v jednom odstínu jsou díky své jednoduchosti mezi zubními lékaři stále oblíbenější. V kombinaci s moderními kompozitními materiály, které nabízejí vylepšené optické vlastnosti, vedou tyto techniky v mnoha klinických situacích k estetickým výsledkům. Pokud však jde o rekonstrukci frontálních zubů s výraznou translucencí skloviny a živou vnitřní barevnou strukturou, může být lepší volbou kombinace dvou odstínů a opacit kompozitu.
Naštěstí ani technika použití dvou odstínů nemusí být složitá: s CLEARFIL MAJESTY™ ES-2 Premium (Kuraray Noritake Dental Inc.) mají zubní lékaři k dispozici materiál, který umožňuje zjednodušené postupy a předvídatelné výsledky. Dodává se s pevnými kombinacemi dentinových a sklovinných odstínů, z nichž každý pokrývá tři odstíny VITA. Díky tomu odpadá potřeba složitých barevných schémat a vzorníků barevných kombinací.
Následující případ ukazuje, jak jej použít při postupu rekonstrukce frontálních zubů.
KROK 1 – IZOLACE A POČÁTEČNÍ VYHODNOCENÍ
Byla provedena izolace pomocí kofferdamu, aby byla zajištěna optimální kontrola nad vlhkostí a viditelnost v ošetřované oblasti. Byly pořízeny počáteční fotografie, aby byl zdokumentován stav před ošetřením. Defekty na zubech 22 (meziálně), 21 (distálně), 11 (distálně) a 12 (meziálně, označení FDI) byly vyhodnoceny za suchých podmínek.


KROK 2 – VÝBĚR ODSTÍNU
Výběr odstínu byl proveden za izolace kofferdamem pomocí vzorníku CLEARFIL MAJESTY™ ES-2 Premium (Kuraray Noritake Dental Inc.). Byly vybrány odstíny A1D (dentinový) a A1E (sklovinný) z řady CLEARFIL MAJESTY™ ES-2 Premium, které poskytují optimální splynutí s okolními přirozenými zuby.


KROK 3 – PREPARACE KAVITY
Po dokončení výběru odstínu byla ze zubů 22, 21, 11 a 12 důkladně odstraněna kariézní tkáň. Konzervativní kavita III. třídy byla preparována s důrazem na zachování maximální podpory skloviny a zachování zubní struktury. Byly zdokumentovány palatinální a bukální pohledy, aby se ukázal rozsah kavity a čistota preparace.




KROK 4 – LEPTÁNÍ
Selektivní leptání bylo provedeno pomocí leptadla K-ETCHANT Syringe (Kuraray Noritake Dental Inc.) na okrajích skloviny preparovaných kavit. Sousední zuby byly chráněny pomocí PTFE pásky, aby se zabránilo jejich nechtěnému naleptání. Tento krok zajišťuje optimální mikromechanickou retenci a zvyšuje pevnost adhezivního systému.


KROK 5 – NANÁŠENÍ ADHEZIVA
Jako adhezivní systém byl použit CLEARFIL™ SE BOND 2 (Kuraray Noritake Dental Inc.). V souladu s postupem od výrobce byl nejprve nanesen primer na všechny povrchy kavit, ponechán 20 sekund volně působit, aby mohl dostatečně proniknout, a poté byl jemně vysušen vzduchem. Poté byl nanesen bond, ztenčen vzduchem a vytvrzen světlem. Tento dvoufázový samoleptací adhezivní systém poskytuje spolehlivou adhezi a dlouhodobou stabilitu přímých výplní.


KROK 6 – SVĚTELNÁ POLYMERACE
Po nanesení adheziva byl každý povrch vytvrzen světlem pomocí vysoce výkonné LED polymerační lampy. Hrot polymerační lampy byl umístěn co nejblíže k bondovaným povrchům, aby byla zajištěna optimální polymerace adhezivní vrstvy.

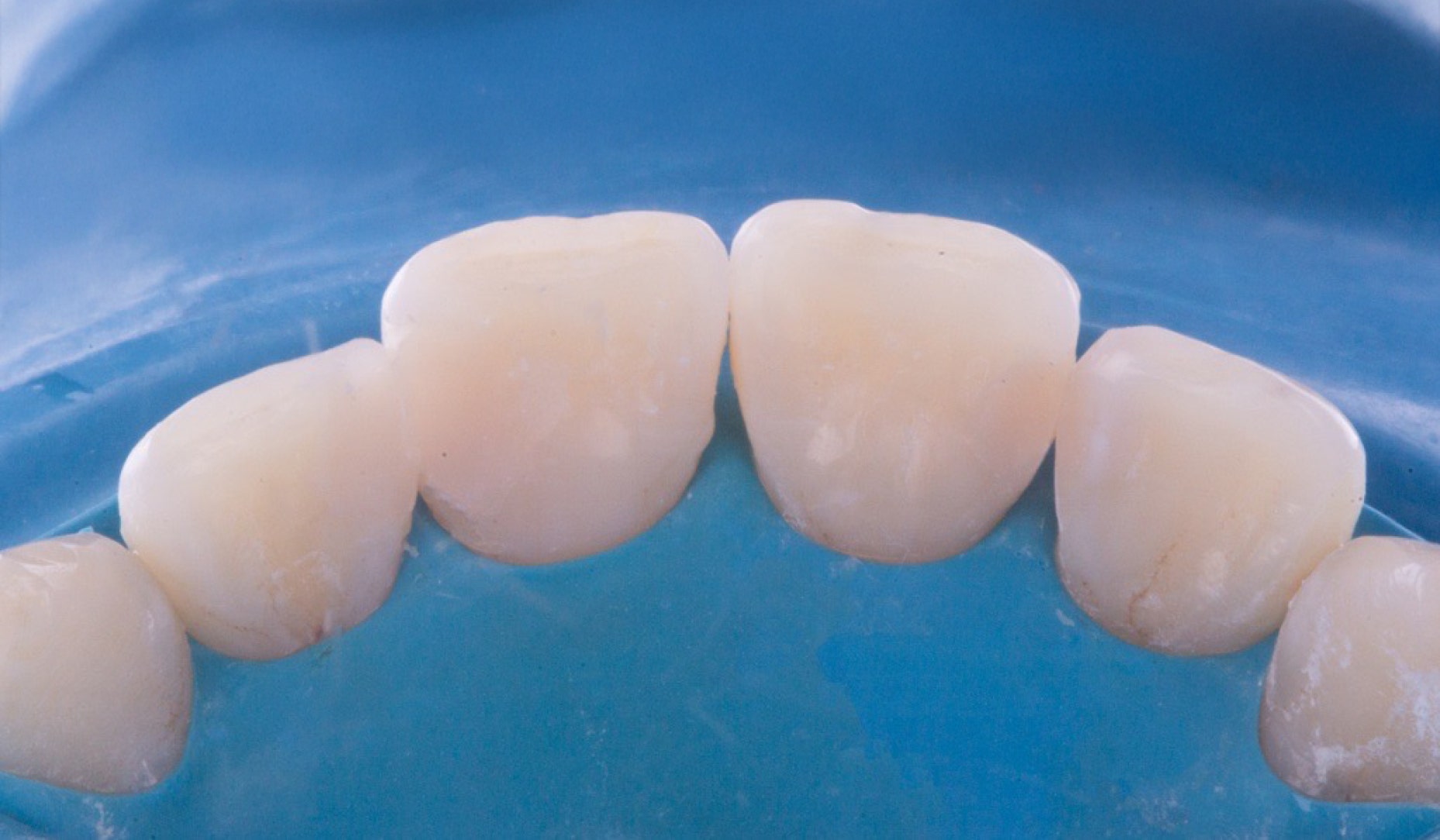
KROK 7 – KOMPOZITNÍ VÝPLŇ A DOKONČENÍ
Výplně byly dokončeny pomocí vícevrstvého přístupu. Palatinální skořepiny byly nejprve vytvořeny pomocí A1E (sklovinný odstín), aby se stanovil obrysový tvar. Dentinové tělo bylo rekonstruováno pomocí A1D, následně byla nanesena finální sklovinná vrstva (A1E), aby se dosáhlo přirozené translucence a povrchové textury. Po dokončení obrysů bylo provedeno leštění, aby se dosáhlo přirozeného lesku a hladkého splynutí s okolními zuby.




Zubní lékař:

KORAY KENDIR
Dt. Koray Kendir je absolventem Fakulty zubního lékařství Hacettepe University a spoluzakladatelem soukromé zubní kliniky v Izmiru. Specializuje se na digitální stomatologii, design úsměvu a počítačem podporované výplňové ošetření. Dr. Kendir, známý svým inovativním přístupem, je častým přednášejícím na národních stomatologických kongresech a působí jako poradce několika dentálních společností.

- 12. 11. 2025