Utilizarea noului compozit CLEARFIL MAJESTY ES FLOW Universal
Caz de Dr. Michał Jaczewski
TEHNICA DE INJECTARE FLUIDĂ
Care sunt cele mai importante proprietăți ale unui compozit fluid utilizat pentru tehnica de injectare fluidă? Experiența personală arată că proprietățile optice echilibrate sunt esențiale, cu o transluciditate adecvată, o capacitate de adaptare a culorii și un luciu excepțional al suprafeței. Cu toate acestea, proprietățile mecanice sunt, de asemenea, importante, nu în ultimul rând pentru că materialul de restaurare va fi în contact direct cu dinții antagoniști. Și, în final, proprietățile de manipulare sunt esențiale: Nivelul potrivit de fluiditate este necesar pentru o injectare adecvată, în timp ce o aplicare fără goluri de aer este necesară pentru o suprafață intactă, rezistentă la colorare.
În ultimii șapte ani, CLEARFIL MAJESTY™ ES Flow Low (Kuraray Noritake Dental Inc.) a fost compozitul fluid preferat pentru tehnica de injectare fluidă. Nivelul său de fluiditate este ideal pentru tehnica din regiunea anterioară și cea posterioară. Ori de câte ori am nevoie de o fluiditate mai mică, pot să aleg varianta Super Low. În plus, îmi place gama de culori care – împreună cu finisarea superioară a materialului – generează un aspect natural. În cele din urmă, proprietățile sale mecanice sunt atât de bune încât produsul este aprobat pentru o gamă largă de indicații, fără limitări legate de forțele oculzale.
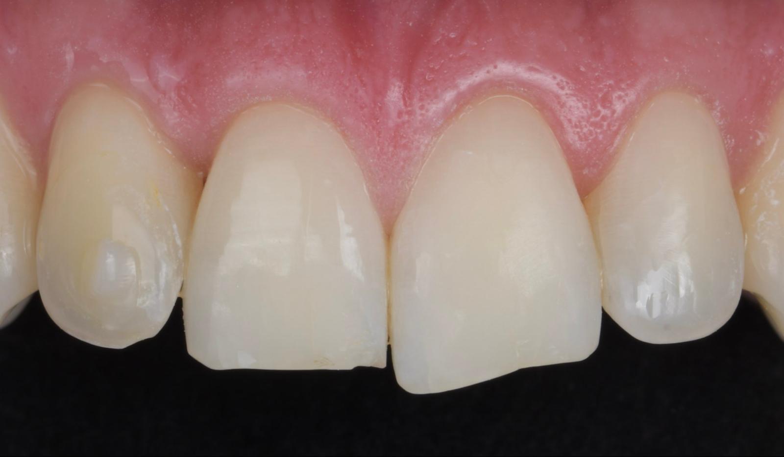
Când compania a anunțat lansarea CLEARFIL MAJESTY™ ES Flow Universal, disponibil în doar două nuanțe universale și două variante diferite de fluiditate (Low și Super Low), am decis imediat să încerc: Perspectiva unor proprietăți echilibrate cu care sunt deja familiarizat, combinată cu o selecție simplificată a nuanțelor, părea foarte promițătoare. Până acum, noul produs se ridică la înălțimea așteptărilor mele: Următorul caz clinic dezvăluie simplitatea procedurii și frumusețea rezultatelor. Pacientul s-a prezentat în timpul unui tratament ortodontic (aligner) pentru o corecție a formei în regiunea anterioară din cauza uzurii marginii incizale.

Fig. 1: Situație clinică inițială: Pacient care necesită o corecție a formei în regiunea incisivilor maxilari.

Fig. 2: Aplicarea CLEARFIL™ Universal Bond Quick 2 (Kuraray Noritake Dental Inc.) pe smalțul incisivului central, care a fost tratat prin abraziune cu aer și oxid de aluminiu (50 µm la presiune scăzută), urmată de gravare cu acid fosforic.

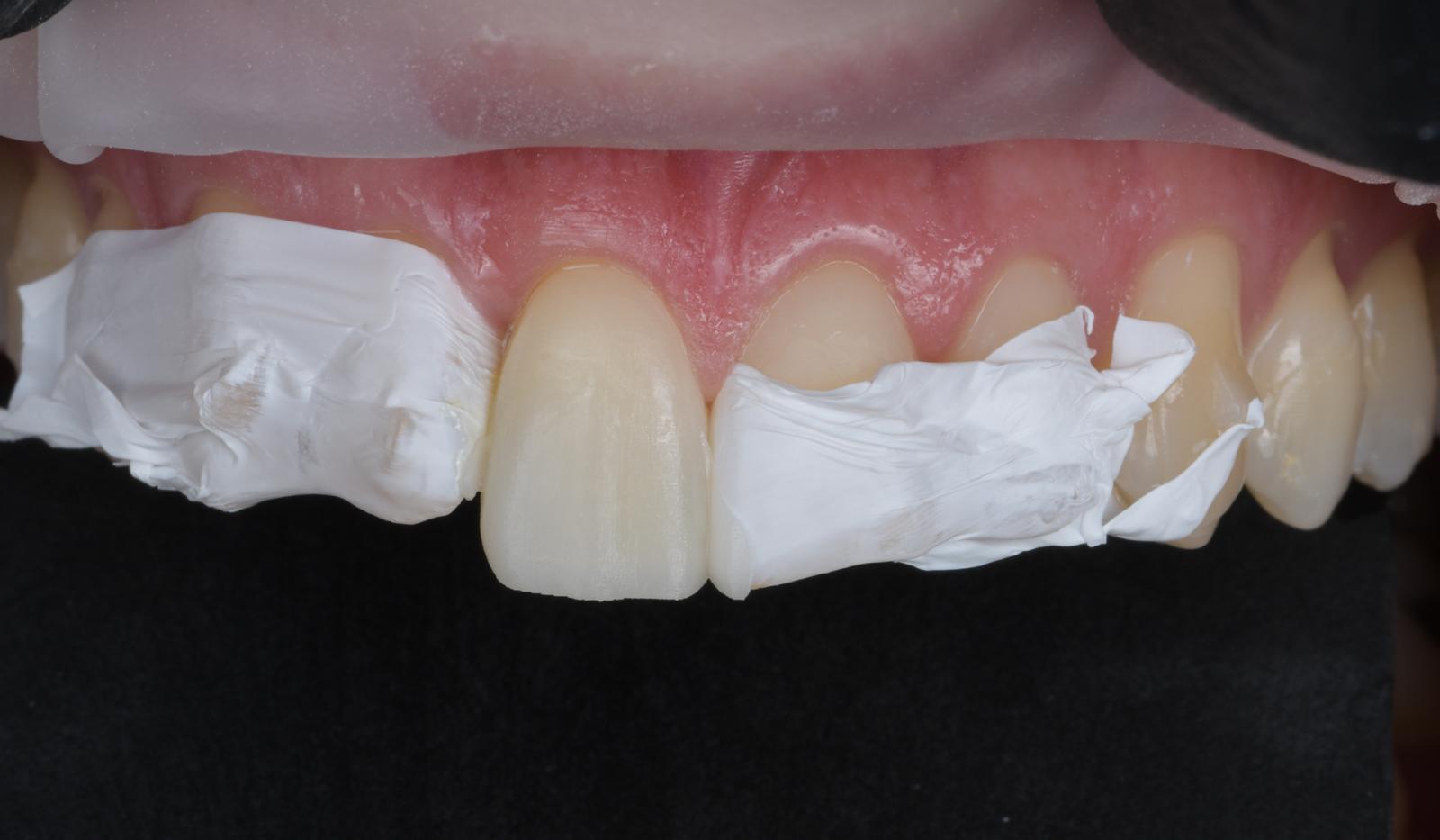
Fig. 3: Index transparent din silicon plasat în cavitatea bucală și CLEARFIL MAJESTY™ ES Flow Universal Low (nuanță U) deja injectat în poziția incisivului central maxilar drept.

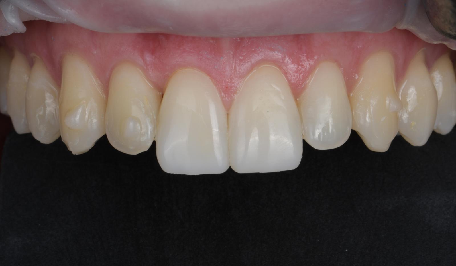
Fig. 4: Corecția formei incisivului central maxilar drept a fost finalizată.

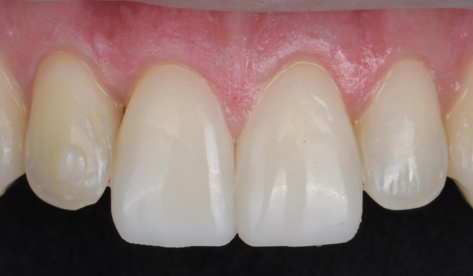
Fig. 5: Situația finală după finisarea și lustruirea restaurărilor de pe incisivi.

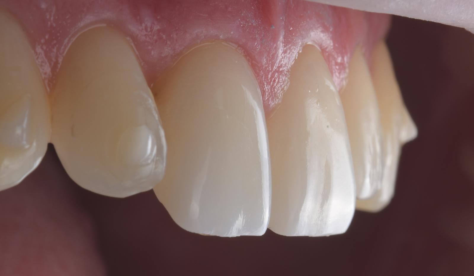
Fig. 6: Adaptarea corectă a culorii, ducând la o integrare perfectă cu structura naturală a dinților din jur

Fig. 7: Rezultat imediat al tratamentului care susține o îmbunătățire a esteticii zâmbetului și, prin urmare, a calității vieții pacientului în timpul tratamentului cu aligner.
REZULTATE CARE VORBESC DE LA SINE
La fel ca produsul său similar CLEARFIL MAJESTY™ ES Flow, versiunea cu nuanță universală CLEARFIL MAJESTY™ ES Flow Universal oferă proprietăți care sunt – dintr-o perspectivă personală – ideale pentru tehnica de injectare fluidă. Proprietățile de adaptare ale nuanței sunt uimitoare; transluciditatea este destul de ridicată atunci când compozitul este aplicat în straturi subțiri (astfel încât smalțul este foarte bine imitat), iar finisarea este la fel de bună ca cea a CLEARFIL MAJESTY™ ES Flow. Produsul vine într-o seringă cu design modern - pentru o injectare fără efort și fără bule. Și nu în ultimul rând, proprietățile mecanice ale produsului oferă siguranță chiar și în regiunea posterioară.
Doctor:

MICHAŁ JACZEWSKI
Michał Jaczewski a absolvit Universitatea de Medicină din Wroclaw în 2006 și în prezent își conduce cabinetul privat în orașul Legnica, Polonia. Este specializat în stomatologie minim invazivă și stomatologie digitală și este fondatorul Școlii Biofuncționale de Ocluzie. Aici predă și susține cursuri practice axate pe tratamente complete și complexe pentru pacienți.
- 18 apr. 2026