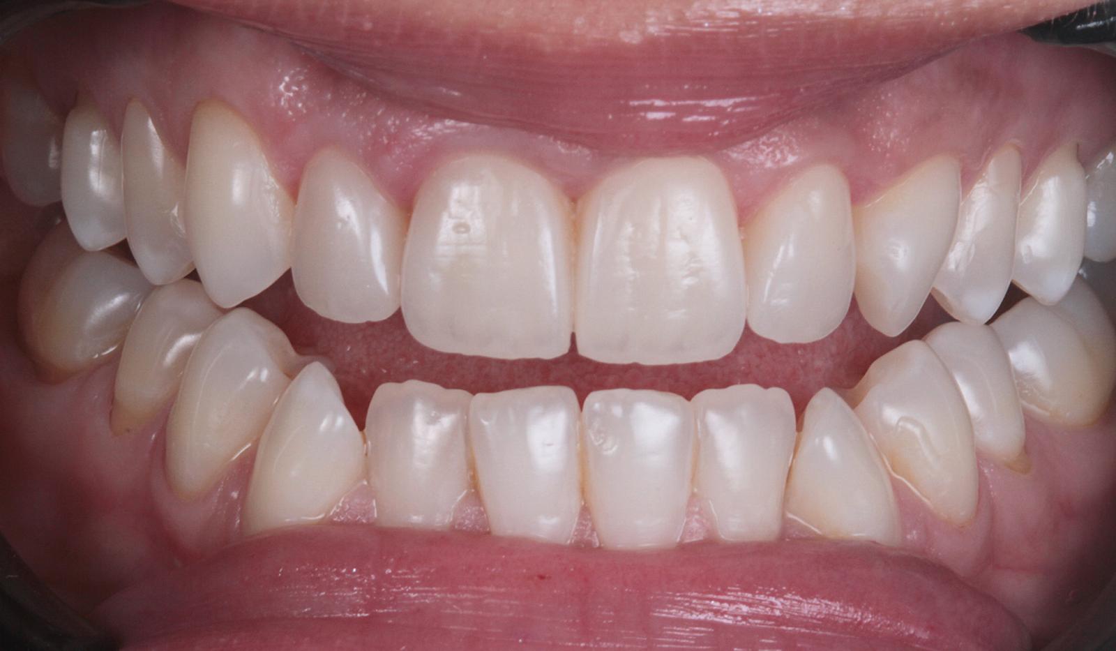
Clinical Cases Refacerea frumuseții naturale CAZ CLINIC DE VASILIS VASILIOU RESTAURAREA ESTETICĂ A INCISIVILOR SUPERIORI Momentul în care te îndrăgostești, sau aplici pentru primul loc de muncă, sau participi la nunta celui mai bun prieten: există atât de multe ocazii în viața tinerilor în care a arăta impecabil este important. De aceea, restaurarea frumuseții naturale a zâmbetului unui pacient tânăr este o misiune specială care ne solicită la maximum. Trebuie să le ascultăm poveștile emoționante, să le înțelegem nevoile și dorințele specifice - și, în final, să găsim o soluție care să le depășească așteptările. Atunci când planul nostru funcționează și este pus în aplicare corect, rezultatul este răsplătit cu recunoștință profundă de către cei implicați. În fond, nu restaurăm doar un zâmbet, ci și încrederea în sine și calitatea vieții pacienților. O SINGURĂ ARDERE, REZULTAT NATURAL Vestea bună: chiar și restaurările integral ceramice cu estetică superioară pot fi realizate cu un număr minim de arderi. Materialele moderne pentru structuri și sistemele ceramice actuale ne permit să reproducem un joc natural de culori și translucidități, un număr practic nelimitat de efecte individuale și o textură, vie, de suprafață – într-un mod predictibil. Un posibil protocol de lucru este ilustrat mai jos. În acest caz au fost utilizate KATANA Zirconia STML și CERABIEN ZR (Kuraray Noritake Dental Inc.), iar restaurarea a fost finalizată folosind tehnica One-Bake dezvoltată de Nondas Vlachopoulos, MDT. Fig. 1: Structuri din KATANA™ Zirconia STML în nuanța A1 Fig. 2: Procedură de stratificare cu o singură ardere: Aplicarea CERABIEN™ ZR Opacious Body în zona cervicală Fig. 3: …și în zona mameloanelor Fig. 4: Ceramica CERABIEN™ ZR Body aplicată în treimea medie Fig. 5: CERABIEN™ ZR Transitional Dentine utilizat pentru creșterea translucidității în zona incizală Fig. 6: CERABIEN™ ZR Opacious Body adăugat în anumite zone pentru a crea mai multă reflecție Fig. 7: Reducerea incizală și crearea structurii mamelonului, precum și adăugarea de T Blue pentru a da profunzime Fig. 8: …în treimea medie și în zona disto-incizală Fig. 9: Aplicarea Aqua Blue 1 și T Blue pe marginile incizale pentru a produce o transluciditate adecvată vârstei Fig. 10: Crearea efectului... Fig. 11: …de mameleoane Fig. 12: Aplicarea ceramicii Luster LTx, … Fig. 13: … ELT1 … Fig. 14: … și LT1 Fig. 15: Tehnica Cutback a dentinei pentru evidențierea efectului de halo Fig. 16: Formă finală: Efect de halo creat cu Body incizal Fig. 17: Rezultatul tratamentului după o primă ardere, urmată de ajustări minore, texturarea suprafeței și glazurare cu CERABIEN™ ZR FC Paste Stain Clear Glaze Fig. 18: Restaurări cimentate adeziv în gura pacientului CONCLUZIE Restaurarea zâmbetului unui pacient tânăr este o provocare deosebită, deoarece calitatea rezultatului are un impact major asupra încrederii în sine și a calității vieții acestuia. Ascultând cu atenție poveștile pacienților noștri, înțelegându-le nevoile și cunoscând foarte bine materialele pe care le folosim, putem oferi exact ceea ce au nevoie. Părerea lor pozitivă și bucuria pe care o exprimă sunt cele care mă motivează să nu încetez niciodată să învăț și să îmi perfecționez tehnicile de lucru cu ceramica, pentru îmbunătățire continuă și rezultate din ce în ce mai bune. Doresc să îi adresez mulțumiri Loukia Pedoulou pentru colaborarea profesională și sprijinul clinic oferit în obținerea acestui rezultat. Tehnician dentar: VASILIS VASILIOU Vasilis Vasiliou s-a născut în Nicosia, Cipru, și a absolvit Școala Tehnică pentru Tehnicieni Dentari din Atena în anul 2004. Și-a continuat studiile participând la mai multe seminarii avansate conduse de mentori și experți în domeniu, precum Ilias Psarris și Nondas Vlachopoulos. De-a lungul carierei sale, Vasilis a avut contribuții semnificative comunității stomatologice, susținând prezentări la diverse conferințe din Grecia și publicând articole în reviste stomatologice de specialitate. Din 2020 este lider de opinie pentru MPF Brush Company, iar din 2022 este ambasador HASS Bio. Din 2019 este membru activ al Echipei Internaționale de Implantologie (ITI). Împreună cu tatăl său, conduce un laborator dentar de succes în Nicosia, specializat în restaurări integral ceramice și restaurări pe implanturi. Experiența sa vastă și angajamentul pentru excelență l-au consacrat drept un profesionist respectat în domeniu. 18 apr. 2026 Dental Technician Kuraray Noritake Prosthodontics Clinical Case CZR Katana Zirconia STML Prosthetic dentistry Lab Dental Ceramics Cad Cam Discs CZR FC Pastestain KATANA Zirconia STML Vizualizare Produs CERABIEN ZR Vizualizare Produs CERABIEN ZR FC Paste Stain Vizualizare Produs Abonează-te la buletinul nostru informativ Alăturați-vă miilor de profesioniști din domeniul stomatologic și primiți sfaturi gratuite care vă pot ajuta pe dumneavoastră și cariera dumneavoastră. Nu vă vom trimite spam și nu vă vom distribui e-mail-ul.