429 Too Many Requests

429 Too Many Requests


nginx

Identyfikacja

Dziękujemy za wizytę na naszej stronie

Zgodnie z aktualnymi przepisami prawa, treści zamieszczone na stronie Kuraray Noritake Polska zastrzeżone są dla profesjonalistów z branży stomatologicznej (lekarz stomatolog, asystentka, higienistka, technik dentystyczny lub inna osoba zawodowo związana z branżą).

Prosimy potwierdź swój status poniżej:
Oświadczam, iż jestem profesjonalistą związanym zawodowo z branżą stomatologiczną.

BIOMIMETYKA, A OCZEKIWANIA PACJENTÓW. W POSZUKIWANIU IDEALNEJ RÓWNOWAGI.

Autor: MDT Leonidas Dimitriou

 

WPROWADZENIE

Obecnie oczekiwania pacjentów są bardziej sprecyzowane niż kiedykolwiek wcześniej. Pod wpływem mediów społecznościowych i zmieniających się kanonów piękna coraz częściej oczekują jasnego, wręcz wybielonego uśmiechu lub uzupełnień o ściśle określonym kształcie zębów, zamiast wiernego odwzorowania natury.
Dla nas, techników dentystycznych, wyzwaniem jest znalezienie idealnej równowagi między spełnianiem tych oczekiwań a poszanowaniem ugruntowanych zasad estetyki i funkcji inspirowanych biomimetyką.

Aby sprostać tym zadaniom, musimy wiedzieć, których zasad należy przestrzegać, a gdzie jest miejsce na kreatywność. Jednocześnie niezbędna jest dogłębna znajomość najnowszych osiągnięć technologicznych oraz postępu w dziedzinie materiałów stomatologicznych, aby móc dobrać właściwe metody do wykonania odbudowy. Tylko dzięki gruntownej znajomości wybranych materiałów i narzędzi technologicznych będziemy w stanie w pełni wykorzystać ich potencjał i zapewnić najlepsze możliwe rozwiązanie.
Podsumowując - musimy jedną nogą stać w łodzi nauki, a drugą w łodzi sztuki. Tylko zachowując równowagę między nimi, możemy skutecznie poruszać się pośród szybkich zmian w tej dziedzinie, dbając o dobro pacjenta i unikając działań pozbawionych celu lub sensu.

 

Wyzwanie polega na znalezieniu idealnej równowagi pomiędzy spełnianiem oczekiwań pacjenta a poszanowaniem ugruntowanych zasad estetyki i funkcji inspirowanych biomimetyką.

 

DOBÓR MATERIAŁÓW

Do naszych ulubionych materiałów konstrukcyjnych do wykonywania estetycznych uzupełnień w odcinku przednim należą dyski cyrkonowe KATANA™ Zirconia UTML oraz KATANA™ Zirconia STML (oba firmy Kuraray Noritake Dental Inc.) oraz podbudowy z dwukrzemianu litu Amber® Press (HASS).
Dzięki swojej wytrzymałości powyższe materiały znakomicie spełniają oczekiwania estetyczne i funkcjonalne w przypadku uzupełnień w odcinku przednim. Ich zrównoważone właściwości optyczne pozwalają tworzyć rekonstrukcje o naturalnym wyglądzie, natomiast właściwości fizyczne i mechaniczne zapewniają stabilność na wszystkich etapach klinicznych - od przymiarki po ostateczne osadzenie. Materiały te charakteryzują się także sporym marginesem tolerancji błędów - drobne korekty lub modyfikacje można wprowadzać bez ryzyka powstawania pęknięć lub odkształceń podczas wielokrotnego wypalania a także istnieją do nich sprawdzone procedury cementowania. Co więcej, oba materiały są w pełni kompatybilne z cyfrowym workflow, co ułatwia szybkie i precyzyjne dopasowanie mock-upów, uzupełnień tymczasowych i ostatecznych oraz ewentualne powtórne wykonanie prac.

 

Uzupełnienia protetyczne są zazwyczaj projektowane w pełnym anatomicznym kształcie a redukcja na powierzchni wargowej o wartości 0,3–0,5 mm zapewnia wystarczającą przestrzeń na ręcznie nakładaną porcelanę. Zalecaną metodą warstwowania ceramiką jest mikrowarstwowanie w połączeniu z techniką wewnętrznych dobarwień (internal live stain technique), która umożliwia kontrolowany przebieg pracy oraz uzyskanie przewidywalnych, wysoce estetycznych rezultatów z efektem głębi - i to wszystko w krótkim czasie. Materiał do licowania, który w pełni odpowiada naszym wymaganiom, dotyczącym zalecanej metody i jest doskonale kompatybilny zarówno z dwukrzemianem litu, jak i cyrkonem, to CERABIEN™ MiLai (Kuraray Noritake Dental Inc.).

Poniższe dwa opisy przypadków pokazują, jak ceramika ta współpracuje z różnymi materiałami konstrukcyjnymi i jakie dodatkowe korzyści daje zastosowanie wybranych  technik pracy.

PRZYPADEK KLINICZNY #01

LICÓWKI Z DWUKRZEMIANU LITU

36-letnia pacjentka zgłosiła chęć wymiany swoich licówek kompozytowych. Wyraziła życzenie uzyskania jaśniejszego, wybielonego uśmiechu (NW 0,5). Zaplanowano odbudowę sześciu przednich zębów szczęki oraz pierwszych przedtrzonowców. Jednocześnie zależało jej, aby przygotowanie zębów do zabiegu było jak najmniej inwazyjne.

Ponadto pacjentka wyraźnie zażądała, aby zęby miały nieco kwadratowy kształt, przy czym siekacze boczne były tej samej długości co siekacze centralne, a brzegi sieczne były proste, bez zaokrąglonych kątów - zgodnie ze współczesnymi standardami estetyki. Wyjaśniliśmy jej nasze obawy dotyczące ewentualnych problemów estetycznych i funkcjonalnych, które mogłyby wymagać dalszych interwencji lub korekt, jednak pacjentka pozostała nieugięta w swoich wyborach.

 

Od projektu do gotowej podbudowy

Zgodnie z życzeniem pacjentki zaplanowano odbudowę zębów szczęki od czwórki do czwórki za pomocą licówek z dwukrzemianu litu (Amber® Press HT w odcieniu W2), co pozwoliło na uzyskanie jasnego koloru przy minimalnie inwazyjnym przygotowaniu zębów. Po przygotowaniu zębów pobrano wycisk, który przesłano do laboratorium. Następnie przypadek został zdigitalizowany w celu wykonania wirtualnego projektu licówek. Aby stworzyć odpowiednią przestrzeń dla porcelany, powierzchnie wargowe pełnokonturowych uzupełnień zostały zredukowane o 0,3 mm przy użyciu oprogramowania exocad® DentalCAD (rys. 1 i 2).

 

Rys. 1: Oszlifowana struktura zęba widoczna pod półprzeziernymi, pełnokonturowymi licówkami.

Rys. 2: Projekt ośmiu licówek z redukcją wargową (cut-back).

 

Następnie podbudowy zostały wyfrezowane w wosku, odlane w masie formierskiej i wytłoczone z pastylki Amber® Press HT w odcieniu W2 (rys. 3 i 4). Po tym odcięto kanały wlewowe, a powierzchnie podbudów licówek opracowano za pomocą Diagen-Turbo-Grinder Ø 3,5 × 11 mm Cone and Wheel.

Rys. 3: Wyfrezowane w wosku podbudowy, przygotowane do procedury powielenia i tłoczenia.

Rys. 4: Podbudowa z dwukrzemianu litu na pełnym modelu roboczym.

 

Mikrowarstwowanie i barwienie wewnętrzne
Do zaplanowania procedury warstwowania i dobarwień opracowano mapę chromatyczną (Rys. 5). Podczas aplikacji CERABIEN™ MiLai na podbudowę z dwukrzemianu litu konieczne jest wykonanie wypalania wstępnego („wash bake”) z użyciem Value Liner (Rys. 6 i 7). Value Liner nie tylko zapewnia trwałe połączenie z ceramiką, ale także zwiększa krycie wysoce przezroczystej konstrukcji z dwukrzemianu litu i ogranicza spadek jej jasności, dzięki czemu unika się uzyskania szarego odcienia uzupełnień, który  mógł by być widoczny po bezpośrednim nałożeniu porcelany.

Kolejnym etapem jest barwienie wewnętrzne - stosowane  jako podkład kolorystyczny,  pozwalający odtworzyć m.in. struktury mamelonów, zgodnie z anatomicznym wyglądem dolnych siekaczy pacjentki (Rys. 7). W dążeniu do jak najwierniejszego odwzorowania naturalnego uzębienia wzmocnienie głębi i wysycenia kolorem uzupełnień za pomocą barwników wewnętrznych wydaje się być najlepszym rozwiązaniem, zapewniającym piękne efekty.

Rys. 5: Mapa chromatyczna wykorzystana przy mikrowarstwowaniu oraz wewnętrznym barwieniu ceramiki z dwukrzemianu litu.

Rys. 6: Licówka pokryta warstwą "wash" z CERABIEN™ MiLai Value Liner 1.

Rys. 7: Uzupełnienia po wypaleniu (wash bake, 770 °C, czas przetrzymania 00:45 min).

Rys. 8: Efekt po barwieniu wewnętrznym i wypaleniu w 740 °C (bez czasu przetrzymania, w próżni).

Rys. 9: Aplikacja CERABIEN™ MiLai LT1.

Rys. 10: Nałożenie warstw Creamy Enamel zmieszanego z ELT1 w proporcji 70:30 %.

Rys. 11: … następnie nałożenie ELT1.

Rys. 12: Modelowanie brzegu siecznego. W obszarze mezjalnym i dystalnym użyto mieszanki LTx i ROYAL BLUE (w proporcji 70:30 %); w środkowej części czystego LTx i LT1; kształt uzupełniono, tworząc efekt HALO przy użyciu CREAMY ENAMEL.

Rys. 13: Licówki po wypaleniu w temperaturze 760 °C przez 45 minut - efekt widoczny od razu.

 

Wykańczanie i polerowanie powierzchni porcelany

Z własnego doświadczenia wiem, że w codziennej pracy warto korzystać tylko z kilku wyselekcjonowanych standardowych narzędzi. W ten sposób wypracowuje się rutynę i uzyskuje przewidywalne wyniki.

Aby zaplanować procedurę nadawania tekstury powierzchni, pożądane szczegóły morfologiczne i teksturalne zostały zaznaczone na powierzchni licówek dwukolorowym ołówkiem (rys. 14). Do konturowania użyliśmy różnych narzędzi diamentowych oraz zestawu Carving Diamond Point opracowanego przez Yasuhiro Odanakę (Ceraconcepts), co pozwoliło nadać licówkom charakterystyczne cechy morfologiczne i odpowiednią fakturę.

Następnie przeprowadzono polerowanie mechaniczne za pomocą stożków wykonanych z papieru ściernego o odpowiedniej gradacji oraz specjalnych gumek silikonowych (SoftCut-E PA / PB shape, Shofu Dental, rys. 15).

W ostatnim etapie niezbędne jest użycie pumeksu, w celu usunięcia pozostałości silikonu z powierzchni. Jeśli ten etap zostanie pominięty, nałożona później glazura może nie połączyć się z ceramiką.

W związku z tym konieczne może być powtórzenie etapu glazurowania, szczególnie w przypadku powierzchni z dwukrzemianu litu. Po glazurowaniu ponownie sprawdzono dopasowanie, a proces polerowania zakończono przy użyciu diamentowej pasty polerskiej (w tym przypadku Amber Glow firmy HASS).

Rysunki od 16 do 19 przedstawiają gotowe licówki po wykończeniu zewnętrznymi dobarwiaczami CERABIEN™ ZR FC Paste Stain oraz wypaleniu glazury w temperaturze 730 °C (czas przetrzymania 00:45 min.). Uzupełnienie zostało przedstawione w różnych warunkach oświetleniowych i z różnych perspektyw, ukazując naturalny kolor, przezierność oraz wygląd faktury powierzchni. Należy zauważyć, że na fakturę i chropowatość powierzchni wpływają nie tylko zabiegi mechaniczne, lecz także temperatura i czas przetrzymania podczas końcowego wypalania.

Rys. 14: Licówki z zaznaczonymi detalami powierzchni.

Rys. 15: Struktura powierzchni odwzorowana przy użyciu wyselekcjonowanych narzędzi.

Rys. 16: Ostateczne uzupełnienia na modelu - widok z przodu, ukazujący kwadratowy kształt oraz pożądaną długość uzupełnień.

Rys. 17: Ostateczne uzupełnienia na modelu - widok pierwszej ćwiartki od strony wargowej.

Rys. 18: Ostateczne uzupełnienia na modelu - widok drugiej ćwiartki od strony wargowej.

 

Cementowanie i wynik leczenia

Po pomyślnym przebiegu przymiarki nadszedł czas na ostateczne osadzenie licówek. W tej sytuacji, odpowiednie dla danego materiału przygotowanie powierzchni adhezyjnych oraz przestrzeganie właściwych protokołów cementowania mają decydujący wpływ na długoterminowy sukces kliniczny.

Powierzchnie wewnętrzne licówek zostały przygotowane zgodnie z zaleceniami przy użyciu kwasu fluorowodorowego, a uzupełnienia zacementowano za pomocą PANAVIA™ V5 (Kuraray Noritake Dental Inc.). System ten zawiera specjalne pasty próbne do stosowania podczas przymiarek, które pozwoliły na wcześniejsze dobranie ostatecznego odcienia cementu.

Dzięki doborowi odpowiedniego koloru cementu możliwe jest precyzyjne dostosowanie nasycenia barwy i przezierności uzupełnienia. Efekt leczenia przedstawiono na rys. od 20 do 22.

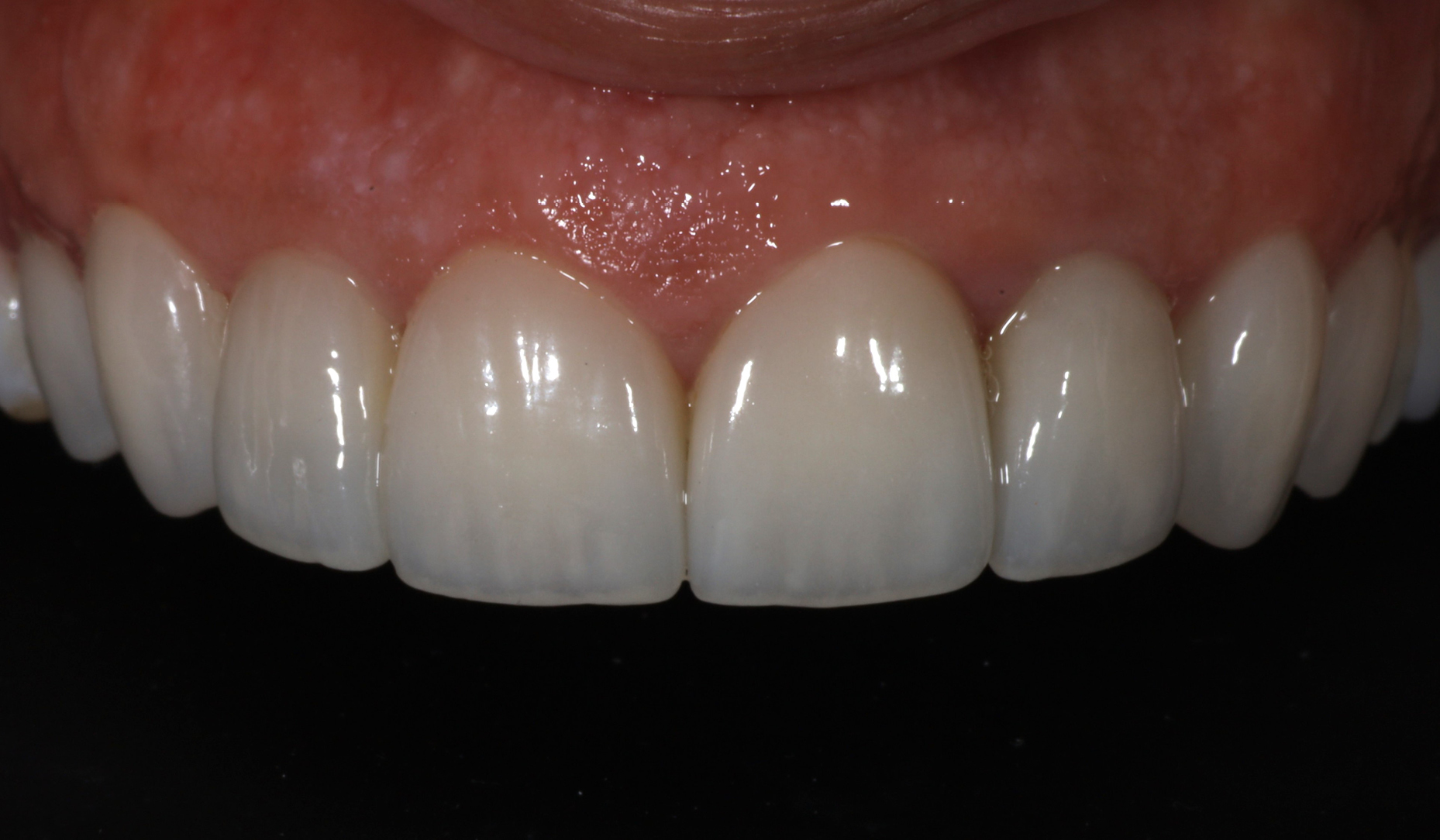
Rys. 20: Licówki zacementowane adhezyjnie …

Rys. 21: … w jamie ustnej pacjentki.

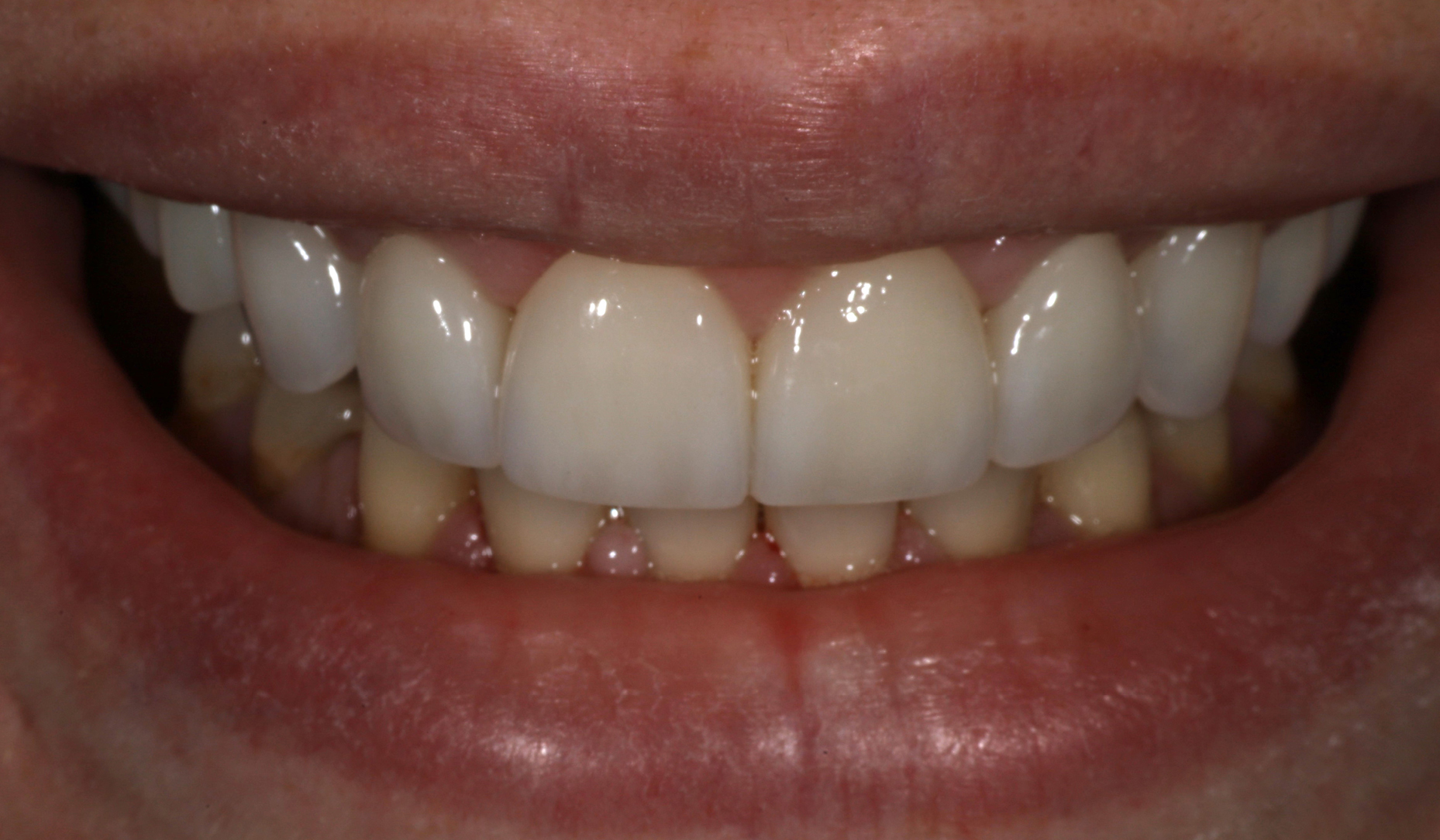
Rys. 22: Widok zębów szczęki z zacementowanymi uzupełnieniami protetycznymi, które odpowiadają oczekiwaniom pacjentki, zapewniając jednocześnie naturalny wygląd i prawidłową funkcję.

 

PRZYPADEK KLINICZNY #01

LICÓWKI I KORONY CYRKONOWE

W przedstawionym przypadku 33-letnia pacjentka zgłosiła się z podobnym oczekiwaniem. Posiadała stare wypełnienia kompozytowe w odcinku przednim i chciała uzyskać jaśniejszy uśmiech oraz bardziej kwadratowy kształt zębów. Pacjentka od razu zaakceptowała zaproponowane leczenie obejmujące odbudowę sześciu zębów przednich szczęki przy użyciu licówek pełnoceramicznych.

Jednak ze względu na planowane wszczepienie implantu w okolicy prawego pierwszego przedtrzonowca szczęki (ząb 14) oraz konieczność odbudowy korony zęba 24, zdecydowano się na zastosowanie tlenku cyrkonu jako materiału konstrukcyjnego we wszystkich uzupełnieniach, a także na wykonanie licówki na lewym pierwszym przedtrzonowcu szczęki (ząb 24). Takie postępowanie stanowiło podstawę do uzyskania spójnego i estetycznie przewidywalnego rezultatu leczenia.

Wybrano dwa różne rodzaje cyrkonu: KATANA™ Zirconia UTML w odcieniu A1 zastosowano do wykonania licówek, ze względu na najwyższy możliwy poziom przezierności. Natomiast do pełnokonturowej korony cyrkonowej na implancie przewidziano nieco mniej przezierny i bardziej wytrzymały materiał KATANA™ Zirconia STML w odcieniu A1.

Od projektu do cementowania

Procedura była w dużej mierze podobna do opisanej powyżej, jednak na niektórych etapach zastosowano metody typowe dla tlenku cyrkonu. Poszczególne etapy, mapa chromatyczna oraz różnice w postępowaniu zostały szczegółowo opisane w podpisach pod Rys. od 23 do 38.

Zdecydowano się na zastosowanie tlenku cyrkonu jako materiału konstrukcyjnego we wszystkich uzupełnieniach oraz na wykonanie licówki również na lewym pierwszym przedtrzonowcu szczęki. Dzięki temu uzyskano harmonijny i estetycznie spójny wygląd całego uśmiechu.

Rys. 23: Licówki cyrkonowe - preparacje oraz pełnokonturowy projekt.

Rys. 24: Cyfrowy projekt podbudowy.

Rys. 25: Etap frezowania - zwróć uwagę na cienkie i wyraźne krawędzie uzupełnień.

Rys. 26: Wyfrezowane licówki i korona.

Rys. 27: Mapa chromatyczna do mikrowarstwowania i wewnętrznego barwienia licówek cyrkonowych.

Rys. 28: Uzupełnienia na pełnym modelu roboczym po charakteryzacji przy użyciu płynnych dobarwiaczy do presynteryzowanego tlenku cyrkonu (w celu wzmocnienia niebieskawego odcienia w części siecznej i nadania głębi uzupełnieniom) - efekt po synteryzacji.

Rys. 29: Wygląd licówek po nałożeniu CERABIEN™ MiLai Tx oraz pierwszej warstwy tzw. wash bake (780 °C, czas przetrzymania 1 min.).

Rys. 30: Licówki po wewnętrznym barwieniu CERABIEN™ MiLai internal stains i wypaleniu w temperaturze 740 °C, bez przetrzymania w próżni.

Rys. 31: Licowanie za pomocą CERABIEN™ MiLai w technice jednego palenia.

Rys. 32: Uzupełnienia na modelu po wypaleniu w temperaturze 760°C (czas przetrzymania 00:45 min.). Fakturę powierzchni nadano przy użyciu różnych narzędzi diamentowych oraz zestawu Carving Diamond Point opracowanego przez Yasuhiro Odanakę.

Rys. 33: Gotowe licówki po nałożeniu CERABIEN™ ZR FC Paste Stain i glazury.

Rys. 34: … oraz wypalenie glazury w temperaturze 730 °C (czas przetrzymania 00:30 min.).

Rys. 35: … widok uzupełnień w różnych warunkach oświetleniowych i z różnych perspektyw, …

Rys. 36: … zdjęcie ukazujące kolor, przezierność oraz wygląd faktury powierzchni uzupełnień.

Rys. 37: Efekt leczenia po przymiarkach, w trakcie których dokonano doboru koloru cementu przy użyciu past próbnych PANAVIA™ V5 Try In Paste, następnie powierzchnie wewnętrzne licówek piaskowano tlenkiem glinu (50 μm) i ostatecznie zacementowano adhezyjnie za pomocą PANAVIA™ V5.

Rys. 38: Widok szczęki po zacementowaniu wszystkich uzupełnień.

 

WNIOSKI

Nowoczesne materiały stomatologiczne, takie jak tlenek cyrkonu, dwukrzemian litu oraz porcelany zastosowane w przedstawionych przypadkach, w połączeniu z cyfrowymi technikami produkcji oraz zaawansowanymi metodami wykańczania, takimi jak barwienie wewnętrzne i mikrowarstwowanie, stanowią doskonałe wsparcie w tworzeniu uzupełnień spełniających zmieniające się oczekiwania młodych pacjentów.

Poprzez wsłuchiwanie się w ich potrzeby i pragnienia, dogłębną znajomość materiałów oraz wykorzystanie potencjału technologii cyfrowych i nowoczesnych metod, możliwe jest osiągnięcie współczesnych standardów estetycznych bez kompromisów w zakresie istotnych zasad biomimetyki.

Obie pacjentki okazały się niezwykle zadowolone z efektu leczenia, czując, że ich oczekiwania zostały uwzględnione. Mamy nadzieję, że będą mogły długo cieszyć się swoimi jasnymi i równymi uśmiechami o nieco kwadratowym kształcie zębów. Życzenie to z pewnością się spełni dzięki zrównoważonemu podejściu do wykonania przedstawionych powyżej prac.

Podejście to łączy zalety uzupełnień pełnokonturowych z korzyściami mikrowarstwowania porcelaną. Wykonane uzupełnienia cechują się nie tylko wysoką estetyką, ale także wytrzymałością, eliminują ryzyko odprysków, są cienkie i nie wymagają dużo miejsca, a tym samym pozwalają na minimalnie inwazyjne przygotowanie zębów - oraz wykazują wysoką biokompatybilność i łatwo się polerują. Wszystko to przyczynia się do długotrwałego sukcesu leczenia i realizacji nadrzędnego celu, jakim jest zachowanie pięknego uśmiechu pacjentek na całe życie.

 

O Autorze:

Leonidas Dimitriou urodził się w Atenach. W 1986 roku ukończył studia na kierunku techniki dentystyczne, a następnie kontynuował naukę w Katedrze Protetyki Stomatologicznej w Technologicznym Instytucie Edukacyjnym w Atenach.

Na przestrzeni lat uczestniczył w licznych wiodących seminariach stomatologicznych. Od 1993 roku jest właścicielem laboratorium dentystycznego DENTECH. W 2015 roku został również współpracownikiem laboratorium w Katedrze Protetyki Stomatologicznej w Technologicznym Instytucie Edukacyjnym w Atenach.

Leonidas jest pasjonatem edukacji i przekazywania wiedzy – od 2017 roku pełni funkcję oficjalnego instruktora i wykładowcy Noritake. W 2018 roku rozpoczął nauczanie z zakresu ceramiki i protetyki stałej na Uniwersytecie Zachodniej Attyki, na Wydziale Technik Dentystycznych. 

W ostatnich latach organizuje kursy dotyczące materiałów ceramicznych Noritake oraz regularnie prowadzi wykłady na międzynarodowych konferencjach i seminariach.