429 Too Many Requests

429 Too Many Requests


nginx

CARACTERÍSTICAS Y VENTAJAS

1

TECNOLOGÍA DE POLIMERIZACIÓN INNOVADORA

El cemento fotopolimerizable ofrece un tiempo de trabajo prolongado, que facilita la colocación simultánea de varias carillas. PANAVIA™ V5 Tooth Primer sella la superficie de adhesión mediante la polimerización inmediata tras el contacto con la pasta (polimerización por contacto). El resultado es una unión fuerte y duradera.

2

ESTÉTICA ELEVADA

La fina película y el pulido óptimo permiten a los usuarios crear márgenes lisos. Los cuatro tonos diferentes seleccionados y cromáticamente muy estables ofrecen una estética duradera. Las pastas para la prueba en boca del color simplifican la selección del tono adecuado.

3

MANIPULACIÓN OPTIMIZADA

La pasta posee una viscosidad y una consistencia adecuadas, que permiten una dispensación más sencilla y el asiento correcto de la restauración, al tiempo que la función de polimerización rápida ("tack cure") en un segundo asegura la fácil remoción del exceso de cemento.

INDICACIONES

PANAVIA Veneer LC se puede usar
para la cementación definitiva de
la cerámica y el composite:

  • Carillas
  • Incrustaciones y onlays con
    un espesor inferior a 2 mm

INDICACIONES

PANAVIA Veneer LC se puede usar para la
cementación definitiva de la cerámica y el
composite:

  • Carillas
  • Incrustaciones y onlays con
    un espesor inferior a 2 mm

TECNOLOGÍA DE POLIMERIZACIÓN INNOVADORA

Un cemento de carillas debe ofrecer un tiempo de trabajo prolongado y una fuerza de adhesión estable a lo largo del tiempo. Kuraray Noritake Dental Inc. ha desarrollado una forma de usar la tecnología de polimerización por contacto con un cemento fotopolimerizable para ofrecer ambas cosas.
PANAVIA Veneer LC es un sistema de cemento de resina fotopolimerizable, que ofrece una estabilidad excelente en condiciones de luz ambiental, permitiendo así un tiempo de trabajo de 200 segundos*. Así usted puede colocar varias carillas de manera simultánea sin tener que correr en contra del tiempo de fraguado. La polimerización se inicia cuando usted está preparado.

*Tiempo de trabajo en condiciones de luz ambiental (8000 lux): 200 segundos.

200
S
TIEMPO DE TRABAJO*
PRIMER AUTOGRABANTE DE UN SOLO COMPONENTE

PRIMER AUTOGRABANTE DE UN SOLO COMPONENTE

Contribuye a la polimerización de la superficie adhesiva.

PASTA DE CEMENTO FOTOPOLIMERIZABLE

PASTA DE CEMENTO FOTOPOLIMERIZABLE

Excelente estabilidad en condiciones de luz ambiental.

FOTOPOLIMERIZACIÓN

Sella la superficie de contacto de adhesión con la estructura dentaria mediante la
polimerización por contacto, al tiempo que asegura suficiente tiempo de operación.

Image

Estética elevada

Las carillas suelen tener un grosor mínimo y ser muy translúcidas, por lo que el color del cemento influye en gran medida sobre su aspecto estético. Por este motivo, es fundamental usar un cemento de resina de color estable y crear márgenes que permanezcan imperceptibles a lo largo del tiempo. PANAVIA Veneer LC cumple con estas funciones.

High Aesthetics

RESISTENCIA A LA DECOLORACIÓN

Una estabilidad del color alta es, probablemente, la característica más importante responsable de una estética duradera, y se logra con una fórmula correctamente equilibrada y la tecnología de polimerización por contacto.

Tand image (Desktop)
Tand image (Mobile)

MANIPULACIÓN OPTIMIZADA

Optimised Handling

¿Es posible reducir el tiempo y el esfuerzo necesarios para la colocación de las carillas con un cemento que permite una aplicación homogénea, una colocación uniforme de las carillas, la eliminación del exceso de material y el pulido rápido? PANAVIA Veneer LC ofrece todas las cualidades necesarias y asegura un alto control gracias a su punta aplicadora especialmente diseñada.

NO PEGAJOSO

El cemento de resina ofrece una consistencia excelente y perfecta para una aplicación sencilla y segura en toda la superficie interior, porque no se queda pegado a la punta aplicadora gracias a la tecnología de relleno de nanoclústeres.

CONSISTENCIA IDEAL

Los nuevos rellenos de sílice esférica del cemento hacen que el material se mantenga en el lugar donde se ha aplicado, pero fluye óptimamente cuando la carilla se asienta sobre el diente: para una colocación sencilla sin desplazamiento ni hundimiento.

REMOCIÓN SENCILLA DEL EXCESO DE CEMENTO

El exceso de cemento se puede eliminar como un solo bloque usando una sonda exploradora después de una polimerización rápida de un segundo.

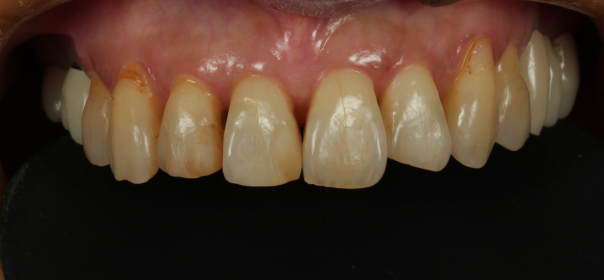
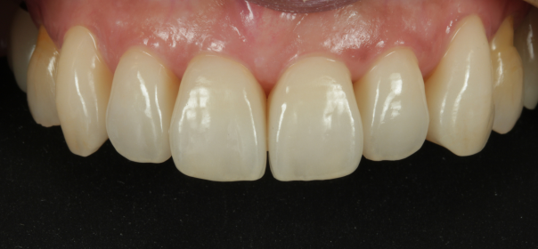
CASO CLÍNICO

Por cortesía del Dr. Sato

CASO CLÍNICO

Por cortesía del Dr. Sato

Image 1

1. Estado inicial antes de la preparación de 6 carillas (de 13 a 23).

Image 2

2. La excelente consistencia y viscosidad de PANAVIA Veneer LC permitió una dispensación, un asiento y una eliminación del exceso de cemento más fáciles.

Image 3

3. Fotopolimerización de cada área y de los márgenes.

Image 4

4. Resultado final después de la cementación de seis carillas KATANA™ Zirconia STML.

 

Consulte las instrucciones detalladas en el manual de uso.

CIENCIA

Pulido y conservación del brillo extraordinarios

Un pulido extraordinario y una conservación del brillo excelente favorecen unos márgenes estéticos a lo largo del tiempo.

PANAVIA V5 Tooth Primer es un adhesivo autograbante para la estructura dentaria (dentina y esmalte), que sella la superficie de contacto entre el diente y el adhesivo de manera segura tan pronto como PANAVIA Veneer LC Paste se aplica sobre ella. Esta tecnología de polimerización por contacto inicia la polimerización solo en la superficie de contacto adhesiva, y crea una fuerte unión con el esmalte y la dentina sin influir sobre la reacción de fraguado del cemento. Usando el CLEARFIL™ CERAMIC PRIMER PLUS probado se consigue una alta fuerza de adhesión a los materiales restauradores.

CONSERVACIÓN DEL BRILLO
CONSERVACIÓN DEL BRILLO
PANAVIA Veneer LC Paste

Fuente: Kuraray Noritake Dental Inc.

CONSERVACIÓN DEL BRILLO
CONSERVACIÓN DEL BRILLO
PANAVIA Veneer LC Paste
Variolink* Esthetic LC
RelyX* Veneer

Condiciones de la prueba: ø de la muestra 10 mm, grosor 2 mm. Después de alisar la superficie con papel abrasivo resistente al agua del n.º 1000 a n.º 2500, pulido final con film de pulido. Valor inicial (medición del nivel de brillo después del pulido*). Abrasión por el cepillo de dientes (medido después de 40.000 impactos con una carga de 250 g, 30 impactos/minuto, 10 % en peso de la pasta de dientes*). Medido con el brillómetro VG 2000 (Nippon Denshoku Kogyo) en un ángulo de 60°. Nota: Los valores pueden variar dependiendo de las condiciones de la medición.

Fuente: Kuraray Noritake Dental Inc.
*No es una marca comercial de KURARAY CO., LTD.

RESISTENCIA DE ADHESIÓN AL CIZALLAMIENTO SOBRE DIENTES
HUMANOS
RESISTENCIA DE ADHESIÓN AL CIZALLAMIENTO SOBRE DIENTES<br/>HUMANOS
Esmalte
Dentina

Condiciones del test: pulido n.º 1000, aplicando cada agente de imprimación PANAVIA Veneer LC Paste: fotopolimerización durante 20 s, cementación de la lámina de SUS (3 mm) con PANAVIA SA Cement Universal. Medido después de la conservación en agua a 37 °C durante 1 día, ciclo térmico a 4-60 °C.

Fuente: Kuraray Noritake Dental Inc.
*No es una marca comercial de KURARAY CO., LTD.

RESISTENCIA DE ADHESIÓN AL CIZALLAMIENTO SOBRE EL MATERIAL PROTÉSICO
RESISTENCIA DE ADHESIÓN AL CIZALLAMIENTO SOBRE EL MATERIAL PROTÉSICO
37 °C 1 día
TC3000

Condiciones del test: pulido n.º 1000, chorreado con arena (KATANA Zirconia HT) o grabado con ácido fluorhídrico (vitrocerámica), aplicando PANAVIA V5 Tooth Primer durante 20 s. PANAVIA Veneer LC Paste: fotopolimerización durante 20 s, cementación de la punta de SUS (5 mm) con PANAVIA SA Cement Universal. Medido después de la conservación en agua a 37 °C durante 1 día, ciclo térmico a 4-60 °C.

Fuente: Kuraray Noritake Dental Inc.
*No es una marca comercial de KURARAY CO., LTD.

TONOS

PANAVIA V5 TRY-IN PASTE
Clear
Universal
White
Brown

CUATRO TONOS
ALTAMENTE ESTÉTICOS

PASTAS PARA LA PRUEBA
EN BOCA DEL COLOR

ESPESOR MÍNIMO
DE LA PELÍCULA

Con un tono acorde a los requisitos individuales es fácil conseguir unos resultados naturales.

Las PANAVIA V5 Try-In Pastes coinciden con los tonos de PANAVIA Veneer LC y permiten simular el aspecto final.

Gracias a su fluidez y al mínimo espesor de capa, PANAVIA Veneer LC crea una capa de cemento fina y uniforme que contribuye a un asiento sencillo sin interferencias y a unos márgenes muy estéticos.

CUATRO TONOS ALTAMENTE ESTÉTICOS

Con un tono acorde a los requisitos individuales es fácil conseguir unos resultados naturales.

PASTAS PARA LA PRUEBA EN BOCA DEL COLOR

Las PANAVIA V5 Try-In Pastes coinciden con los tonos de PANAVIA Veneer LC y permiten simular el aspecto final.

ESPESOR MÍNIMO DE LA PELÍCULA

Gracias a su fluidez y al mínimo espesor de capa, PANAVIA Veneer LC crea una capa de cemento fina y uniforme que contribuye a un asiento sencillo sin interferencias y a unos márgenes muy estéticos.

  • Internationally highly valued

     

    Testimonials

  • Afbeelding Dr. Greg Campbell, DDS
  • Dr. Greg Campbell, DDS
    USA

    “Love the versatility of the new PANAVIA Veneer LC cement when it comes to delivering my Veneers and Onlays. I can use the PANAVIA V5 Tooth Primer or my CLEARFIL Universal adhesive and get the proven benefits of the Original-MDP and the “Gold Standard” bonding we have come to expect from Kuraray. Easy to use, easy to clean up and extremely strong bonds. Four shades and try-in pastes give me complete control and ensures clinical success time and time again!
    Thank you, Kuraray Noritake for another great product.”

     

  •  

    Dr. Karyn Halpern, DDS
    USA

    “I am so impressed by the bond of this new cement. It’s not only strong but it was super easy to use, place, and clean up!
    Needless to say, I am a fan!”

     

     

  • Afbeelding Dr. Karyn Halpern DDS
  • Afbeelding Dr. Gianmarco O'Brien, DDS, Inc.
  • Dr. Gianmarco O'Brien, DDS, Inc.
    USA

    "This product is what I have come to expect from a company like Kuraray, the leader in adhesive dentistry. Easy to use clinically (excellent handling), very color stable since there is NO POST-BONDING GRAYING effect from tertiary amines (aromatic amine). I have total confidence in the DURABLE bond strength with their products. This is my new go-to veneer adhesive resin cement system!"

     

Productos

Para hacer un pedido, elija entre las siguientes opciones.

PANAVIA V5  Try-in Paste
PANAVIA V5 Try-in Paste

1.8ml

Universal (A2)
Clear
Brown (A4)
White
Opaque

Este producto no está disponible.
-
+
PANAVIA™ Veneer LC KITS
PANAVIA™ Veneer LC KITS
-
+
CLEARFIL™ CERAMIC PRIMER PLUS
CLEARFIL™ CERAMIC PRIMER PLUS

4ml

-
+
PANAVIA™ Veneer LC Applicator tip
PANAVIA™ Veneer LC Applicator tip

20 Applicator tips (16g)

-
+
PANAVIA™ Veneer LC PASTE
PANAVIA™ Veneer LC PASTE
-
+
PANAVIA V5  Tooth Primer
PANAVIA V5 Tooth Primer

4ml

-
+

Preguntas más frecuentes

Hemos elaborado una lista de respuestas a las preguntas más pertinentes.

What is “PANAVIA™ Veneer LC”?

“PANAVIA™ Veneer LC” is a light-cure adhesive resin cement system. It consists of the “PANAVIA™ Veneer LC” Paste (a light-cure cement paste), “CLEARFIL™ CERAMIC PRIMER PLUS” (a silane, zirconia & metal primer), K-ETCHANT Syringe (Phosphoric Acid), and “PANAVIA™ V5” Try-in Paste. “CLEARFIL™ Universal Bond Quick” or “PANAVIA™ V5” Tooth Primer can be chosen for tooth treatment.

What are the indications?

Cementation of ceramic and composite inlays, onlays and laminate veneers with less than 2 mm thickness of the following materials: silica-based ceramics (e.g. conventional porcelain, lithium disilicate), hybrid ceramics, composite resin and “KATANA™ Zirconia” STML/UTML/YML (with a thickness of less than 1.2 mm).

How can I treat the prosthetic restoration?

Follow the Instructions for Use of the restorative material. In the absence of specific instructions, we recommend the following procedures and application of the provided “CLEARFIL™ CERAMIC PRIMER PLUS”: if the adherent surface is silica-based ceramic (e.g. conventional porcelain, lithium disilicate), hybrid ceramic or composite resin: Based on the type of restoration, hydrofluoric acid etching or air abrasion treatment may be used:

 

Acid Etching Treatment (e.g. conventional porcelain, lithium disilicate):
Etch the adherent surface with a hydrofluoric acid solution in accordance with the Instructions for Use of the solution. Rinse the adherent surface with water and dry.

 

Air Abrasion Treatment (e.g. composite resin):
Roughen the adherent surface by blasting with alumina powder (30-50 μm) using air pressure of 0.1-0.2 MPa (1-2 kgf/cm2, 15-29 psi, 1-2 Bar). The air pressure and powder size should be properly adjusted to suit the material and/or shape of the prosthetic restoration, using caution to prevent chipping. Clean the prosthetic restoration in an ultrasonic cleaning unit for 2 minutes or with “KATANA™ Cleaner” with 10 seconds of rubbing and then rinse with water.

Is it possible to use “CLEARFIL™ Universal Bond Quick” for the surface treatments of veneer restorations?

Although technically possible, we recommend to use “CLEARFIL™ CERAMIC PRIMER PLUS” to get optimal performance for glass ceramics.

Are there additional steps, if I try-in the restoration after it is acid etched or air abraded?

Yes, doing that would contaminate the restoration and, hence, decrease the bond strength. To remove the contamination, use “KATANA™ Cleaner” for 10 seconds with a rubbing motion then rinse with water until the color has been disappeared and dry the restorations to remove contaminants, or apply K-ETCHANT Syringe (Phosphoric Acid) for 5 seconds in case of non-zirconia restorations.

How can I treat the prepared tooth?

There are 2 ways to treat the prepared tooth: with the “PANAVIA™ V5” Tooth Primer or “CLEARFIL™ Universal Bond Quick”.

 

a) “PANAVIA™ V5” Tooth Primer: Etch the enamel with the K-ETCHANT (phosphoric acid) for 10 seconds, rinse and dry. Apply the Tooth Primer to the entire prepared tooth surface, with an applicator brush and leave it in place for 20 seconds. Thoroughly dry the entire adherent surface sufficiently by blowing mild, oil-free air until all water is evaporated from the primer.

 

b) “CLEARFIL™ Universal Bond Quick”: Selective etch the enamel with K-ETCHANT syringe (phosphoric acid) for 10 seconds, rinse and dry. Apply BOND with a rubbing motion to the entire preparation with the applicator brush. No waiting time is required. Dry the entire cavity wall sufficiently by blowing mild air for more than 5 seconds until BOND does not move.

 

When cementing laminate veneers, there is no need to light-cure BOND prior to seating the laminate veneers. It should be cured after seating the laminate veneers with the “PANAVIA™ Veneer LC” cement. When cementing inlays or onlays, BOND should be light-cured before seating the restoration. Please confirm the curing time by referencing the Instructions for Use.

What are the differences of using the “PANAVIA™ V5” Tooth Primer or “CLEARFIL™ Universal Bond Quick” when treating the prepared tooth?

In terms of bond strength, both are similar and provide excellent results. Nevertheless, the “PANAVIA™ V5” Tooth Primer will provide a “touch-cure” mechanism that will seal the bonding interface before the final light curing. Additionally, while the application time is shorter with “CLEARFIL™ Universal Bond Quick” (no waiting time versus 20 s), there is a longer working time under ambient light with the “PANAVIA™ V5” Tooth Primer (200 seconds vs 160 seconds with the BOND).

What are the advantages of “PANAVIA™ Veneer LC” over competing products?

PANAVIA™ Veneer LC” offers the ideal paste consistency, not being too high or too low as several competitive products. This will facilitate the dispensing of the paste onto the restoration and smooth seating of such restoration. A low film thickness and long working time are also advantages over competitive products. In addition, in case of using it with the “PANAVIA™ V5” Tooth Primer, the “touch-cure” mechanism will provide bonding interface sealing.

How should the excess cement be removed?

One of the following two techniques can be used:

 

Tack-Cure Clean-Up Technique: Light-cure any excess cement in several spots for 1 second at a distance of 10-15 mm. Hold the prosthetic restoration in position, remove the tack-cured excess cement using a dental instrument.

 

Wet Clean-Up Technique: Any excess cement remaining at the margins can be removed with a small brush, foam pellet, dental floss or dental explorer.

 

Regardless of the technique used, final curing will be required as the next step. Please refer to the Instructions for Use.

Should the margins be covered with a protective gel during final curing?

The use of a protective gel, like “PANAVIA™ F 2.0” OXYGUARD II, is beneficial to prevent the forming of an oxygen inhibited layer thus helping to create smooth margins.

How many shades of “PANAVIA™ Veneer LC” Paste are available?

There are 4 shades of “PANAVIA™ Veneer LC” Paste available: Clear, Universal (A2); White and Brown (A4). Each shade has a corresponding glycerin based, water soluble Try-In Paste.

How is the “PANAVIA™ V5” Try-in Paste used?

The “PANAVIA™ V5” Try-In Paste shades match the “PANAVIA™ Veneer LC” shades (in light-cured state) and allow for a simulation of the final appearance of the restoration. The “PANAVIA™ V5” Try-In Paste cannot be (light) cured, and can be removed easily with water.

Is “PANAVIA™ Veneer LC” color stable?

Yes, “PANAVIA™ Veneer LC” Paste is color stable.

What makes “PANAVIA™ Veneer LC” color stable?

Since “PANAVIA™ Veneer LC” Paste is only light curing, no amine reducing agent based redox curing system is included avoiding unwanted discoloration over time.

What is the filler load and particle size?

The total amount of inorganic filler is approximately, 66 wt%, 47 vol%. The particle size of inorganic fillers range from 0.05 μm to 8 μm.

What is the main filler form of “PANAVIA™ Veneer LC”?

“PANAVIA™ Veneer LC” Paste has spherical silica and nano cluster fillers. This provides a paste which is not runny, has excellent handling, and resistance to sagging.

What is the film thickness of “PANAVIA™ Veneer LC”?

“PANAVIA™ Veneer LC” Paste film thickness is around 8 μm.

Can “PANAVIA™ Veneer LC” be used to cement zirconia veneers and inlays/onlays?

Zirconia should not be used because it may not have sufficient translucency. However, zirconia of our products with high translucency (“KATANA™ Zirconia” STML/UTML, “KATANA™ Zirconia” Block STML) can be used with a thickness of less than 1.2 mm.

How is the bond strength of “PANAVIA™ Veneer LC”?

“PANAVIA™ Veneer LC” has excellent bond strength to several substrates (e.g. enamel, dentin, lithium disilicate, “KATANA™ Zirconia”, feldspar ceramic) at a similar level to the acclaimed “PANAVIA™ V5”.

How many treatments can be cemented with a single syringe?

Approximately 20-30 teeth for laminate veneer.

Do “CLEARFIL MAJESTY™ ES Flow” and “PANAVIA™ Veneer LC” use the same application tips?

No, the “PANAVIA™ Veneer LC” Paste tips are specially designed for an easy extrusion and application and their gauge, which is 16 (1.65 mm in diameter) and differ from the “CLEARFIL MAJESTY™ ES Flow” ones.

How do I store “PANAVIA™ Veneer LC”?

The product should be stored in the refrigerator. All components stored in the refrigerator should be brought to room temperature for 15 minutes before use in order to restore its normal viscosity and curing properties.

What is the shelf-life of the “PANAVIA™ Veneer LC” components?

The shelf-life of “PANAVIA™ Veneer LC” components is 36 months from date of manufacture with refrigeration.