429 Too Many Requests

429 Too Many Requests


nginx

Identificazione

Il contenuto del sito www.kuraraynoritake.eu/sw_it è riservato agli operatori sanitari e riporta informazioni sui prodotti che possono creare situazioni di pericolo per la salute e la sicurezza del paziente se non correttamente lette, comprese ed applicate da un professionista.

In ottemperanza con quanto previsto dalla normativa vigente, dichiaro quindi, sotto la mia responsabilità, di essere un professionista del settore odontoiatrico e/o odontotecnico e di essere pertanto autorizzato a prendere visione del contenuto presente in questo sito internet

CARATTERISTICHE & BENEFICI

1

INNOVATIVA TECNOLOGIA DI POLIMERIZZAZIONE

Questo cemento fotopolimerizzabile consente un lungo tempo di lavorazione, semplificando il posizionamento contemporaneo di più faccette. PANAVIA™ V5 Tooth Primer sigilla l’interfaccia di adesione attivando una polimerizzazione immediata non appena entra in contatto con la pasta (Touch-cure Technology). Il risultato è un’adesione affidabile che dura nel tempo.

2

ELEVATO LIVELLO DI ESTETICA

Spessore ridotto del film e ottima lucidabilità consentono di creare margini regolari e uniformi. Quattro diversi colori attentamente selezionati, di eccezionale stabilità e resistenza, consentono di ottenere risultati estetici che durano nel tempo. La disponibilità di paste prova (try-in paste) facilita la scelta della giusta tonalità cromatica.

3

OTTIMO HANDLING

Viscosità e consistenza adeguate facilitano l’erogazione e il corretto posizionamento del restauro, mentre la funzione di polimerizzazione per contatto di un solo secondo consente l’agevole rimozione del cemento in eccesso.

INDICAZIONI

PANAVIA Veneer LC può essere utilizzato
per la cementazione definitiva di:

  • Faccette
  • Inlay e onlay fino a 2 mm
    di spessore

INDICAZIONI

PANAVIA Veneer LC può essere utilizzato
per la cementazione definitiva di:

  • Faccette
  • Inlay e onlay fino a 2 mm
    di spessore

INNOVATIVA TECNOLOGIA
DI POLIMERIZZAZIONE

Un cemento per faccette deve consentire un lungo tempo di lavorazione, garantendo, al tempo stesso, un’elevata resistenza e stabilità dell’adesione nel tempo. Per soddisfare entrambe queste esigenze, Kuraray Noritake Dental Inc. ha sviluppato un sistema per utilizzare la tecnica di polimerizzazione per contatto (Touch-cure Technology) con un cemento fotopolimerizzabile.
PANAVIA Veneer LC è un cemento resina fotopolimerizzabile dotato di un’ottima stabilità in condizioni di luce ambientale che consente un tempo di lavorazione di 200 secondi*. In questo modo, è possibile applicare più faccette alla volta senza dover lottare contro il tempo di indurimento e si potrà avviare la polimerizzazione quando si è pronti.

*Tempo di lavorazione in luce ambientale (8000 lux.): 200 secondi.

200
SEC
TEMPO DI LAVORAZIONE*
PRIMER SELF-ETCH

PRIMER SELF-ETCH

Contribuisce alla polimerizzazione dell’interfaccia di adesione.

CEMENTO FOTOPOLIMERIZZABILE

CEMENTO FOTOPOLIMERIZZABILE

Eccellente stabilità in luce ambientale.

FOTOPOLIMERIZZAZIONE

Sigilla l’interfaccia di adesione con la struttura dentale mediante
polimerizzazione per contatto, assicurando un tempo di lavorazione
sufficiente.

Image

ESTETICA ELEVATA

Dato che le faccette sono generalmente caratterizzate da uno spessore minimo e da un elevato livello di traslucenza, il loro aspetto estetico risente fortemente del colore del cemento. Ecco perché è indispensabile utilizzare un cemento resinoso cromaticamente stabile, che consenta di creare margini impercettibili anche con il passare del tempo. Queste sono esattamente le proprietà offerte da PANAVIA Veneer LC.

High Aesthetics

RESISTENZA ALLA DECOLORAZIONE

L’elevata stabilità del colore è probabilmente la caratteristica più importante ai fini di una resa estetica di lunga durata. La giusta stabilità è permessa da una formulazione ben equilibrata e dalla tecnologia di polimerizzazione per contatto.

Tand image (Desktop)
Tand image (Mobile)

OTTIMO HANDLING

Optimised Handling

Il tempo e l’impegno necessari per posizionare la faccetta possono essere ridotti utilizzando un cemento che consente un’applicazione uniforme, un agevole posizionamento della faccetta, una facile rimozione del cemento in eccesso, e una rapida lucidatura. PANAVIA Veneer LC offre tutte queste caratteristiche e permette un maggiore controllo, grazie alla speciale configurazione della punta dell’applicatore.

NON APPICCICOSO

Il cemento resina offre un’eccellente consistenza, ideale per un’applicazione facile e sicura su tutta la superficie interna della protesi e, grazie alla tecnologia dei nanofiller, non si attacca alla punta dell’erogatore.

CONSISTENZA IDEALE

Grazie ai nuovi filler di silicio sferici contenuti al suo interno, il cemento rimane nel punto in cui è stato applicato, ma conserva la fluidità necessaria per un corretto e agevole posizionamento della faccetta sul dente, senza spostarsi o scivolare verso il basso.

FACILE RIMOZIONE DEL CEMENTO IN ECCESSO

Il cemento in eccesso può essere facilmente rimosso tutto in una volta con uno specillo, dopo un secondo di polimerizzazione per contatto.

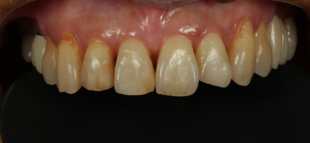
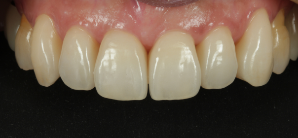
CASO CLINICO

Per gentile concessione del Dr. Sato

CASO CLINICO

Per gentile concessione del Dr. Sato

Image 1

1. Condizioni iniziali prima della preparazione di sei faccette (dall’elemento 13 all’elemento 23).

Image 2

2. L’eccellente consistenza e viscosità di PANAVIA Veneer LC facilitano l’erogazione, il posizionamento e la rimozione del cemento in eccesso.

Image 3

3. Fotopolimerizzazione delle aree e dei margini.

Image 4

4. Risultato finale dopo cementazione di sei faccette in KATANA™ Zirconia STML.

Per istruzioni più dettagliate, consultare le Istruzioni per l’Uso.

SCIENZA

OTTIMA LUCIDABILITÀ E LUCENTEZZA DURATURA

L’eccellente lucidabilità e la lunga durata della lucentezza preservano l’estetica dei margini nel corso del tempo.

PANAVIA V5 Tooth Primer è un primer self-etch per la struttura del dente (dentina e smalto) che sigilla perfettamente l’interfaccia tra adesivo e dente non appena viene applicato PANAVIA Veneer LC Paste. Questo sistema di polimerizzazione per contatto attiva la polimerizzazione esclusivamente a livello dell’interfaccia di adesione, creando un forte legame con lo smalto e con la dentina senza interferire con la reazione di indurimento del cemento. L’utilizzo di CLEARFIL™ CERAMIC PRIMER PLUS offre un’elevata forza di adesione al materiale da restauro.

DURATA DELLA LUCENTEZZA
DURATA DELLA LUCENTEZZA
PANAVIA Veneer LC Paste

Fonte: Kuraray Noritake Dental Inc.

DURATA DELLA LUCENTEZZA
DURATA DELLA LUCENTEZZA
PANAVIA Veneer LC Paste
Variolink* Esthetic LC
RelyX* Veneer

Condizioni di Prova: Campione ø 10mm, spessore 2mm. Dopo aver levigato la superficie con carta abrasiva resistente all’acqua of #1000 to #2500, lucidatura finale con pellicola per lappatura. Valore iniziale (misurare il livello lucentezza dopo la lucideatura*). Usura da spazzolamento (misurato dopo 40.000 passaggi con carico da 250g, 30 passaggi/ minuto, peso dentifricio 10%*). Misurato con glossimetro VG 2000 (Nippon Denshoku Kogyo) a un angolo di 60°. Nota: I valori possono variare in base alle condizioni di misurazione.

Fonte: Kuraray Noritake Dental Inc.
*Non è un marchio KURARAY CO., LTD.

RESISTENZA AL TAGLIO DELL’ADESIONE SU DENTE UMANO
RESISTENZA AL TAGLIO DELL’ADESIONE SU DENTE UMANO
Smalto
Dentina

Condizioni di prova: Lucidatura #1000, mordenzatura smalto con acido fosforico, chip SUS (dia. 3mm), misurazione a 37°C per 1 giorno.

Fonte: Kuraray Noritake Dental Inc.
*Non è un marchio KURARAY CO., LTD.

RESISTENZA AL TAGLIO DELL’ADESIONE SU MATERIALE PROTESICO
RESISTENZA AL TAGLIO DELL’ADESIONE SU MATERIALE PROTESICO
37°C 1 giorno
TC3000

Condizioni di prova: Lucidatura#1000, sabbiatura (“KATANA™ Zirconia”) mordenzatura con acido fluoridrico (vetroceramica), chip SUS (dia. 5mm), misurazione dopo conservazione in acqua 37°C per 1 giorno, o ciclo termico a 4-60°C.

Fonte: Kuraray Noritake Dental Inc.
*Non è un marchio KURARAY CO., LTD.

GAMMA COLORI

PANAVIA V5 TRY-IN PASTE
Clear
Universal
White
Brown

4 COLORI ALTAMENTE
ESTETICI

PASTE PROVA
(TRY-IN PASTE)

SPESSORE MINIMO
DEL FILM

 

La possibilità di scegliere il giusto colore tra i 4 disponibili della gamma, facilita l’ottenimento di risultati dall’aspetto naturale.

 

Le paste PANAVIA V5 try-in hanno un perfetto abbinamento con i colori di PANAVIA Veneer LC, consentendo di simulare l’aspetto del risultato finale.

 

Grazie alla sua fluidità e al ridotto spessore del film, PANAVIA Veneer LC produce uno strato di cemento sottile e uniformemente distribuito, per un posizionamento agevole e senza interferenze, con margini dall’estetica ottimale.

4 COLORI ALTAMENTE ESTETICI

La possibilità di scegliere il giusto colore tra i 4 disponibili della gamma, facilita l’ottenimento di risultati dall’aspetto naturale.

PASTE PROVA (TRY-IN PASTE)

 

Le paste PANAVIA V5 try-in hanno un perfetto abbinamento con i colori di PANAVIA Veneer LC, consentendo di simulare l’aspetto del risultato finale.

SPESSORE MINIMO DEL FILM

Grazie alla sua fluidità e al ridotto spessore del film, PANAVIA Veneer LC produce uno strato di cemento sottile e uniformemente distribuito, per un posizionamento agevole e senza interferenze, con margini dall’estetica ottimale.

  • Internationally highly valued

     

    Testimonials

  • Afbeelding Dr. Greg Campbell, DDS
  • Dr. Greg Campbell, DDS
    USA

    “Love the versatility of the new PANAVIA Veneer LC cement when it comes to delivering my Veneers and Onlays. I can use the PANAVIA V5 Tooth Primer or my CLEARFIL Universal adhesive and get the proven benefits of the Original-MDP and the “Gold Standard” bonding we have come to expect from Kuraray. Easy to use, easy to clean up and extremely strong bonds. Four shades and try-in pastes give me complete control and ensures clinical success time and time again!
    Thank you, Kuraray Noritake for another great product.”

     

  •  

    Dr. Karyn Halpern, DDS
    USA

    “I am so impressed by the bond of this new cement. It’s not only strong but it was super easy to use, place, and clean up!
    Needless to say, I am a fan!”

     

     

  • Afbeelding Dr. Karyn Halpern DDS
  • Afbeelding Dr. Gianmarco O'Brien, DDS, Inc.
  • Dr. Gianmarco O'Brien, DDS, Inc.
    USA

    "This product is what I have come to expect from a company like Kuraray, the leader in adhesive dentistry. Easy to use clinically (excellent handling), very color stable since there is NO POST-BONDING GRAYING effect from tertiary amines (aromatic amine). I have total confidence in the DURABLE bond strength with their products. This is my new go-to veneer adhesive resin cement system!"

     

Prodotti

Per ordinare, scegliere tra le seguenti opzioni.

PANAVIA V5  Try-in Paste
PANAVIA V5 Try-in Paste

1.8ml

Universal (A2)
Clear
Brown (A4)
White
Opaque

-
+
PANAVIA™ Veneer LC KITS
PANAVIA™ Veneer LC KITS
-
+
CLEARFIL™ CERAMIC PRIMER PLUS
CLEARFIL™ CERAMIC PRIMER PLUS

4ml

-
+
PANAVIA™ Veneer LC Applicator tip
PANAVIA™ Veneer LC Applicator tip

20 Applicator tips (16g)

-
+
PANAVIA™ Veneer LC PASTE
PANAVIA™ Veneer LC PASTE
-
+
PANAVIA V5  Tooth Primer
PANAVIA V5 Tooth Primer

4ml

-
+

Domande frequenti

Ecco un elenco di risposte alle domande più frequenti.

What is “PANAVIA™ Veneer LC”?

“PANAVIA™ Veneer LC” is a light-cure adhesive resin cement system. It consists of the “PANAVIA™ Veneer LC” Paste (a light-cure cement paste), “CLEARFIL™ CERAMIC PRIMER PLUS” (a silane, zirconia & metal primer), K-ETCHANT Syringe (Phosphoric Acid), and “PANAVIA™ V5” Try-in Paste. “CLEARFIL™ Universal Bond Quick” or “PANAVIA™ V5” Tooth Primer can be chosen for tooth treatment.

What are the indications?

Cementation of ceramic and composite inlays, onlays and laminate veneers with less than 2 mm thickness of the following materials: silica-based ceramics (e.g. conventional porcelain, lithium disilicate), hybrid ceramics, composite resin and “KATANA™ Zirconia” STML/UTML/YML (with a thickness of less than 1.2 mm).

How can I treat the prosthetic restoration?

Follow the Instructions for Use of the restorative material. In the absence of specific instructions, we recommend the following procedures and application of the provided “CLEARFIL™ CERAMIC PRIMER PLUS”: if the adherent surface is silica-based ceramic (e.g. conventional porcelain, lithium disilicate), hybrid ceramic or composite resin: Based on the type of restoration, hydrofluoric acid etching or air abrasion treatment may be used:

 

Acid Etching Treatment (e.g. conventional porcelain, lithium disilicate):
Etch the adherent surface with a hydrofluoric acid solution in accordance with the Instructions for Use of the solution. Rinse the adherent surface with water and dry.

 

Air Abrasion Treatment (e.g. composite resin):
Roughen the adherent surface by blasting with alumina powder (30-50 μm) using air pressure of 0.1-0.2 MPa (1-2 kgf/cm2, 15-29 psi, 1-2 Bar). The air pressure and powder size should be properly adjusted to suit the material and/or shape of the prosthetic restoration, using caution to prevent chipping. Clean the prosthetic restoration in an ultrasonic cleaning unit for 2 minutes or with “KATANA™ Cleaner” with 10 seconds of rubbing and then rinse with water.

Is it possible to use “CLEARFIL™ Universal Bond Quick” for the surface treatments of veneer restorations?

Although technically possible, we recommend to use “CLEARFIL™ CERAMIC PRIMER PLUS” to get optimal performance for glass ceramics.

Are there additional steps, if I try-in the restoration after it is acid etched or air abraded?

Yes, doing that would contaminate the restoration and, hence, decrease the bond strength. To remove the contamination, use “KATANA™ Cleaner” for 10 seconds with a rubbing motion then rinse with water until the color has been disappeared and dry the restorations to remove contaminants, or apply K-ETCHANT Syringe (Phosphoric Acid) for 5 seconds in case of non-zirconia restorations.

How can I treat the prepared tooth?

There are 2 ways to treat the prepared tooth: with the “PANAVIA™ V5” Tooth Primer or “CLEARFIL™ Universal Bond Quick”.

 

a) “PANAVIA™ V5” Tooth Primer: Etch the enamel with the K-ETCHANT (phosphoric acid) for 10 seconds, rinse and dry. Apply the Tooth Primer to the entire prepared tooth surface, with an applicator brush and leave it in place for 20 seconds. Thoroughly dry the entire adherent surface sufficiently by blowing mild, oil-free air until all water is evaporated from the primer.

 

b) “CLEARFIL™ Universal Bond Quick”: Selective etch the enamel with K-ETCHANT syringe (phosphoric acid) for 10 seconds, rinse and dry. Apply BOND with a rubbing motion to the entire preparation with the applicator brush. No waiting time is required. Dry the entire cavity wall sufficiently by blowing mild air for more than 5 seconds until BOND does not move.

 

When cementing laminate veneers, there is no need to light-cure BOND prior to seating the laminate veneers. It should be cured after seating the laminate veneers with the “PANAVIA™ Veneer LC” cement. When cementing inlays or onlays, BOND should be light-cured before seating the restoration. Please confirm the curing time by referencing the Instructions for Use.

What are the differences of using the “PANAVIA™ V5” Tooth Primer or “CLEARFIL™ Universal Bond Quick” when treating the prepared tooth?

In terms of bond strength, both are similar and provide excellent results. Nevertheless, the “PANAVIA™ V5” Tooth Primer will provide a “touch-cure” mechanism that will seal the bonding interface before the final light curing. Additionally, while the application time is shorter with “CLEARFIL™ Universal Bond Quick” (no waiting time versus 20 s), there is a longer working time under ambient light with the “PANAVIA™ V5” Tooth Primer (200 seconds vs 160 seconds with the BOND).

What are the advantages of “PANAVIA™ Veneer LC” over competing products?

PANAVIA™ Veneer LC” offers the ideal paste consistency, not being too high or too low as several competitive products. This will facilitate the dispensing of the paste onto the restoration and smooth seating of such restoration. A low film thickness and long working time are also advantages over competitive products. In addition, in case of using it with the “PANAVIA™ V5” Tooth Primer, the “touch-cure” mechanism will provide bonding interface sealing.

How should the excess cement be removed?

One of the following two techniques can be used:

 

Tack-Cure Clean-Up Technique: Light-cure any excess cement in several spots for 1 second at a distance of 10-15 mm. Hold the prosthetic restoration in position, remove the tack-cured excess cement using a dental instrument.

 

Wet Clean-Up Technique: Any excess cement remaining at the margins can be removed with a small brush, foam pellet, dental floss or dental explorer.

 

Regardless of the technique used, final curing will be required as the next step. Please refer to the Instructions for Use.

Should the margins be covered with a protective gel during final curing?

The use of a protective gel, like “PANAVIA™ F 2.0” OXYGUARD II, is beneficial to prevent the forming of an oxygen inhibited layer thus helping to create smooth margins.

How many shades of “PANAVIA™ Veneer LC” Paste are available?

There are 4 shades of “PANAVIA™ Veneer LC” Paste available: Clear, Universal (A2); White and Brown (A4). Each shade has a corresponding glycerin based, water soluble Try-In Paste.

How is the “PANAVIA™ V5” Try-in Paste used?

The “PANAVIA™ V5” Try-In Paste shades match the “PANAVIA™ Veneer LC” shades (in light-cured state) and allow for a simulation of the final appearance of the restoration. The “PANAVIA™ V5” Try-In Paste cannot be (light) cured, and can be removed easily with water.

Is “PANAVIA™ Veneer LC” color stable?

Yes, “PANAVIA™ Veneer LC” Paste is color stable.

What makes “PANAVIA™ Veneer LC” color stable?

Since “PANAVIA™ Veneer LC” Paste is only light curing, no amine reducing agent based redox curing system is included avoiding unwanted discoloration over time.

What is the filler load and particle size?

The total amount of inorganic filler is approximately, 66 wt%, 47 vol%. The particle size of inorganic fillers range from 0.05 μm to 8 μm.

What is the main filler form of “PANAVIA™ Veneer LC”?

“PANAVIA™ Veneer LC” Paste has spherical silica and nano cluster fillers. This provides a paste which is not runny, has excellent handling, and resistance to sagging.

What is the film thickness of “PANAVIA™ Veneer LC”?

“PANAVIA™ Veneer LC” Paste film thickness is around 8 μm.

Can “PANAVIA™ Veneer LC” be used to cement zirconia veneers and inlays/onlays?

Zirconia should not be used because it may not have sufficient translucency. However, zirconia of our products with high translucency (“KATANA™ Zirconia” STML/UTML, “KATANA™ Zirconia” Block STML) can be used with a thickness of less than 1.2 mm.

How is the bond strength of “PANAVIA™ Veneer LC”?

“PANAVIA™ Veneer LC” has excellent bond strength to several substrates (e.g. enamel, dentin, lithium disilicate, “KATANA™ Zirconia”, feldspar ceramic) at a similar level to the acclaimed “PANAVIA™ V5”.

How many treatments can be cemented with a single syringe?

Approximately 20-30 teeth for laminate veneer.

Do “CLEARFIL MAJESTY™ ES Flow” and “PANAVIA™ Veneer LC” use the same application tips?

No, the “PANAVIA™ Veneer LC” Paste tips are specially designed for an easy extrusion and application and their gauge, which is 16 (1.65 mm in diameter) and differ from the “CLEARFIL MAJESTY™ ES Flow” ones.

How do I store “PANAVIA™ Veneer LC”?

The product should be stored in the refrigerator. All components stored in the refrigerator should be brought to room temperature for 15 minutes before use in order to restore its normal viscosity and curing properties.

What is the shelf-life of the “PANAVIA™ Veneer LC” components?

The shelf-life of “PANAVIA™ Veneer LC” components is 36 months from date of manufacture with refrigeration.