429 Too Many Requests

429 Too Many Requests


nginx

EGENSKAPER & FÖRDELAR

1

INNOVATIV HÄRDNINGSTEKNOLOGI

PANAVIA™ V5 Tooth Primer underlättar ett starkt och hållbart adhesivt gränssnitt genom härdning vid kontakt med cementet. PANAVIA Veneer LC ger ändå en lång arbetstid som till och med tillåter samtidig placering av flera fasader. Sammantaget är resultatet starkt och hållbart.

2

HÖG ESTETIK

Låg filmtjocklek och bra polerbarhet gör att användarna kan skapa snygga marginaler. Fyra utvalda olika, mycket färgstabila färger ger en bestående estetik. Matchande try-in-pastor gör det enkelt att välja rätt färg.

3

OPTIMERAD HANTERING

Viskositeten och tixotropin är optimerade för enkel dispensering och placering. En punkthärdning (en sekund) gör att överskott enkelt kan avlägsnas.

INDIKATIONER

PANAVIA Veneer LC kan användas
för permanent cementering av
keramer och komposit:

  • Fasader
  • Inlägg och onlays med mindre
    än 2 mm tjocklek

INDIKATIONER

PANAVIA Veneer LC kan användas för permanent
cementering av keramer och komposit:

  • Fasader
  • Inlägg och onlays med mindre än
    2 mm tjocklek

INNOVATIV HÄRDNINGSTEKNOLOGI

Kuraray Noritake Dental Inc. har utvecklat ett sätt att använda sin innovativa kontakthärdning med ett ljushärdande cement. Men ändå med lång arbetstid och bestående höga bindningsstyrkor.
PANAVIA Veneer LC är ett ljushärdande resincement som är mycket okänsligt för omgivande ljus, vilket ger en arbetstid på 200 sekunder*. Detta gör att du kan placera flera fasader på samma gång utan att behöva stressa innan härdningen börjar. Polymeriseringen kan startas när du är redo.

*Arbetstid under omgivande ljus (8000 lux): 200 sekunder.

200
SEK
ARBETSTID*
EN-KOMPONENTS SJÄLVETSANDE PRIMER

EN-KOMPONENTS SJÄLVETSANDE PRIMER

Bidrar till polymerisation av det adhesiva gränssnittet.

LJUSHÄRDANDE CEMENT

LJUSHÄRDANDE CEMENT

Mycket okänsligt för omgivande ljus.

LJUSHÄRDA

Det adhesiva gränssnittet förseglas med kontakthärdning
medan den långa arbetstiden bibehålls.

Image

Hög estetik

På grund av den generellt låga tjockleken och höga translucensen, påverkas det estetiska intrycket av fasader starkt av cementfärgen. PANAVIA Veneer LC är färgstabilt och ger marginaler som förblir osynliga över tiden.

High Aesthetics

MOTSTÅND MOT MISSFÄRGNING

PANAVIA Veneer LC:s välbalanserade sammansättning och kontakthärdningsteknologin ger motstånd mot missfärgning och därmed en hög färgstabilitet, vilket förmodligen är den viktigaste egenskapen för en bestående estetik.

Tand image (Desktop)

OPTIMERAD HANTERING

Optimised Handling

Är det möjligt att minska tiden och arbetet som krävs för att placera fasader? PANAVIA Veneer LC underlättar homogen applicering av cement, smidig fasadplacering, enkelt avlägsnande av överskott och snabb polering. Hög kontroll vid applicering uppnås tack vare den speciellt designade sprutan och spetsen.

KLIBBFRITT

Teknologin med nanokluster i PANAVIA Veneer LC förhindrar trådbildning och den utmärkta och idealiska konsistensen ger en enkel och säker applicering.

IDEALISK KONSISTENS

Tack vare cementets tixotropa egenskaper kommer fasaderna inte längre att glida eller lossna. Den utmärkta hanteringen underlättas av de nyligen utvecklade sfäriska fillerna av kiseldioxid. PANAVIA Veneer LC ger en kontrollerad applicering, det stannar där det applicerats men flyter väl när fasaden placeras på tanden.

ENKELT ATT AVLÄGSNA ÖVERSKOTT

Överskottscement kan avlägsnas i ett stycke med en sond efter punkthärdning på en sekund.

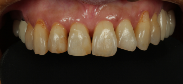
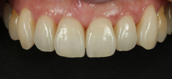
KLINISKT FALL

Med tillstånd av Dr. Sato

KLINISKT FALL

Med tillstånd av Dr. Sato

Image 1

1. Initial status innan preparation för 6 fasader (13 till 23).

Image 2

2. PANAVIA Veneer LC:s utmärkta konsistens och viskositet gav enklare dispensering, placering och avlägsnande av överskott.

Image 3

3. Ljushärdning av varje yta och marginaler.

Image 4

4. Slutligt resultat efter cementering av sex fasader av KATANA™ Zirconia STML.

Se gärna bruksanvisningen för detaljerad information.

VETENSKAP

Strålande polerbarhet och glansretention

En strålande polerbarhet och utmärkt retention av glansen behåller estetiska marginaler över tiden.

PANAVIA V5 Tooth Primer är en självetsande adhesiv för tandstruktur (dentin och emalj) som säkert förseglar gränssnittet tand-adhesiv så snart som cementet PANAVIA Veneer LC appliceras på den. Denna teknologi för kontakthärdning initierar polymerisationen endast vid adhesivgränssnittet och etablerar en stark bindning till emalj och dentin, men påverkar inte stelningsreaktionen hos cementet. En hög bindningsstyrka till restaurationsmaterialet uppnås med hjälp av den beprövade CLEARFIL™ CERAMIC PRIMER PLUS.

GLANSRETENTION
GLANSRETENTION
PANAVIA Veneer LC Paste

Källa: Kuraray Noritake Dental Inc.

GLANSRETENTION
GLANSRETENTION
PANAVIA Veneer LC Paste
Variolink* Esthetic LC
RelyX* Veneer

Testförhållanden: Provkropp ø10 mm, tjocklek 2 mm. Efter utjämning av ytan med vattenfast slippapper #1000 till #2500, slutlig polering med lapping film. Initialt värde (mätning av glansvärdet efter polering*). Tandborstnötning (mätt efter 40 000 drag med 250 g last, 30 drag/minut, 10 % (vikt) tandkräm*). Mätt med glansmätare VG 2000 (Nippon Denshoku Kogyo) vid en vinkel på 60°. Obs: Värdet kan variera beroende på mätförhållanden.

Källa: Kuraray Noritake Dental Inc.
*Inte ett varumärke som tillhör KURARAY CO., LTD.

BINDNINGSSTYRKA TILL HUMANA TÄNDER
BINDNINGSSTYRKA TILL HUMANA TÄNDER
Emalj
Dentin

Testförhållanden: Polering #1000, applicering av respektive primer PANAVIA Veneer LC cement: Ljushärdning 20 sek., cementering av SUS-chip (3 mm). Mätt efter förvaring i vatten 37 °C i 1 dag. Termisk cykel: 4-60 °C.

Källa: Kuraray Noritake Dental Inc.
*Inte ett varumärke som tillhör KURARAY CO., LTD.

BINDNINGSSTYRKA TILL PROTETISKT MATERIAL
BINDNINGSSTYRKA TILL PROTETISKT MATERIAL
37 °C 1 dag
TC3000

Testförhållanden: Polering #1000, sandblästring (“KATANA™ Zirconia”) eller etsning med fluorvätesyra (glaskeramik), SUS-chip (dia. 5 mm), mätt efter förvaring i vatten 37 °C i 1 dag, eller termisk cykel 4-60 °C.

Källa: Kuraray Noritake Dental Inc.
*Inte ett varumärke som tillhör KURARAY CO., LTD.

FÄRGER

PANAVIA V5 TRY-IN-PASTA
Clear
Universal
White
Brown

FYRA HÖGESTETISKA
FÄRGER

MATCHANDE TRY-IN-PASTOR

MINIMAL FILMTJOCKLEK

Med en färg som matchar individuella krav, uppnås lätt naturliga resultat.

Try-in-pastorna för PANAVIA V5 matchar färgerna för PANAVIA Veneer LC och låter dig simulera det slutliga utseendet.

Tack vare dess flytbarhet och låga filmtjocklek, ger PANAVIA Veneer LC ett tunt, jämnt fördelat cementskikt som bidrar till enkel placering utan störningar och till högestetiska marginaler.

FYRA HÖGESTETISKA FÄRGER

Med en färg som matchar individuella krav, uppnås lätt naturliga resultat.

MATCHANDE TRY-IN-PASTOR

Try-in-pastorna för PANAVIA V5 matchar färgerna för PANAVIA Veneer LC och låter dig simulera det slutliga utseendet.

MINIMAL FILMTJOCKLEK

Tack vare dess flytbarhet och låga filmtjocklek, ger PANAVIA Veneer LC ett tunt, jämnt fördelat cementskikt som bidrar till enkel placering utan störningar och till högestetiska marginaler.

  • Internationally highly valued

     

    Testimonials

  • Afbeelding Dr. Greg Campbell, DDS
  • Dr. Greg Campbell, DDS
    USA

    “Love the versatility of the new PANAVIA Veneer LC cement when it comes to delivering my Veneers and Onlays. I can use the PANAVIA V5 Tooth Primer or my CLEARFIL Universal adhesive and get the proven benefits of the Original-MDP and the “Gold Standard” bonding we have come to expect from Kuraray. Easy to use, easy to clean up and extremely strong bonds. Four shades and try-in pastes give me complete control and ensures clinical success time and time again!
    Thank you, Kuraray Noritake for another great product.”

     

  •  

    Dr. Karyn Halpern, DDS
    USA

    “I am so impressed by the bond of this new cement. It’s not only strong but it was super easy to use, place, and clean up!
    Needless to say, I am a fan!”

     

     

  • Afbeelding Dr. Karyn Halpern DDS
  • Afbeelding Dr. Gianmarco O'Brien, DDS, Inc.
  • Dr. Gianmarco O'Brien, DDS, Inc.
    USA

    "This product is what I have come to expect from a company like Kuraray, the leader in adhesive dentistry. Easy to use clinically (excellent handling), very color stable since there is NO POST-BONDING GRAYING effect from tertiary amines (aromatic amine). I have total confidence in the DURABLE bond strength with their products. This is my new go-to veneer adhesive resin cement system!"

     

Produkter

För beställning, välj bland följande produkter.

PANAVIA V5  Try-in Paste
PANAVIA V5 Try-in Paste

1.8ml

Universal (A2)
Clear
Brown (A4)
White
Opaque

-
+
PANAVIA™ Veneer LC KITS
PANAVIA™ Veneer LC KITS
-
+
CLEARFIL™ CERAMIC PRIMER PLUS
CLEARFIL™ CERAMIC PRIMER PLUS

4ml

-
+
PANAVIA™ Veneer LC Applicator tip
PANAVIA™ Veneer LC Applicator tip

20 Applicator tips (16g)

-
+
PANAVIA™ Veneer LC PASTE
PANAVIA™ Veneer LC PASTE
-
+
PANAVIA V5  Tooth Primer
PANAVIA V5 Tooth Primer

4ml

-
+

Frequently Asked Questions

Vi har sammanställt en lista över svar på de mest relevanta frågorna.

What is “PANAVIA™ Veneer LC”?

“PANAVIA™ Veneer LC” is a light-cure adhesive resin cement system. It consists of the “PANAVIA™ Veneer LC” Paste (a light-cure cement paste), “CLEARFIL™ CERAMIC PRIMER PLUS” (a silane, zirconia & metal primer), K-ETCHANT Syringe (Phosphoric Acid), and “PANAVIA™ V5” Try-in Paste. “CLEARFIL™ Universal Bond Quick” or “PANAVIA™ V5” Tooth Primer can be chosen for tooth treatment.

What are the indications?

Cementation of ceramic and composite inlays, onlays and laminate veneers with less than 2 mm thickness of the following materials: silica-based ceramics (e.g. conventional porcelain, lithium disilicate), hybrid ceramics, composite resin and “KATANA™ Zirconia” STML/UTML/YML (with a thickness of less than 1.2 mm).

How can I treat the prosthetic restoration?

Follow the Instructions for Use of the restorative material. In the absence of specific instructions, we recommend the following procedures and application of the provided “CLEARFIL™ CERAMIC PRIMER PLUS”: if the adherent surface is silica-based ceramic (e.g. conventional porcelain, lithium disilicate), hybrid ceramic or composite resin: Based on the type of restoration, hydrofluoric acid etching or air abrasion treatment may be used:

 

Acid Etching Treatment (e.g. conventional porcelain, lithium disilicate):
Etch the adherent surface with a hydrofluoric acid solution in accordance with the Instructions for Use of the solution. Rinse the adherent surface with water and dry.

 

Air Abrasion Treatment (e.g. composite resin):
Roughen the adherent surface by blasting with alumina powder (30-50 μm) using air pressure of 0.1-0.2 MPa (1-2 kgf/cm2, 15-29 psi, 1-2 Bar). The air pressure and powder size should be properly adjusted to suit the material and/or shape of the prosthetic restoration, using caution to prevent chipping. Clean the prosthetic restoration in an ultrasonic cleaning unit for 2 minutes or with “KATANA™ Cleaner” with 10 seconds of rubbing and then rinse with water.

Is it possible to use “CLEARFIL™ Universal Bond Quick” for the surface treatments of veneer restorations?

Although technically possible, we recommend to use “CLEARFIL™ CERAMIC PRIMER PLUS” to get optimal performance for glass ceramics.

Are there additional steps, if I try-in the restoration after it is acid etched or air abraded?

Yes, doing that would contaminate the restoration and, hence, decrease the bond strength. To remove the contamination, use “KATANA™ Cleaner” for 10 seconds with a rubbing motion then rinse with water until the color has been disappeared and dry the restorations to remove contaminants, or apply K-ETCHANT Syringe (Phosphoric Acid) for 5 seconds in case of non-zirconia restorations.

How can I treat the prepared tooth?

There are 2 ways to treat the prepared tooth: with the “PANAVIA™ V5” Tooth Primer or “CLEARFIL™ Universal Bond Quick”.

 

a) “PANAVIA™ V5” Tooth Primer: Etch the enamel with the K-ETCHANT (phosphoric acid) for 10 seconds, rinse and dry. Apply the Tooth Primer to the entire prepared tooth surface, with an applicator brush and leave it in place for 20 seconds. Thoroughly dry the entire adherent surface sufficiently by blowing mild, oil-free air until all water is evaporated from the primer.

 

b) “CLEARFIL™ Universal Bond Quick”: Selective etch the enamel with K-ETCHANT syringe (phosphoric acid) for 10 seconds, rinse and dry. Apply BOND with a rubbing motion to the entire preparation with the applicator brush. No waiting time is required. Dry the entire cavity wall sufficiently by blowing mild air for more than 5 seconds until BOND does not move.

 

When cementing laminate veneers, there is no need to light-cure BOND prior to seating the laminate veneers. It should be cured after seating the laminate veneers with the “PANAVIA™ Veneer LC” cement. When cementing inlays or onlays, BOND should be light-cured before seating the restoration. Please confirm the curing time by referencing the Instructions for Use.

What are the differences of using the “PANAVIA™ V5” Tooth Primer or “CLEARFIL™ Universal Bond Quick” when treating the prepared tooth?

In terms of bond strength, both are similar and provide excellent results. Nevertheless, the “PANAVIA™ V5” Tooth Primer will provide a “touch-cure” mechanism that will seal the bonding interface before the final light curing. Additionally, while the application time is shorter with “CLEARFIL™ Universal Bond Quick” (no waiting time versus 20 s), there is a longer working time under ambient light with the “PANAVIA™ V5” Tooth Primer (200 seconds vs 160 seconds with the BOND).

What are the advantages of “PANAVIA™ Veneer LC” over competing products?

PANAVIA™ Veneer LC” offers the ideal paste consistency, not being too high or too low as several competitive products. This will facilitate the dispensing of the paste onto the restoration and smooth seating of such restoration. A low film thickness and long working time are also advantages over competitive products. In addition, in case of using it with the “PANAVIA™ V5” Tooth Primer, the “touch-cure” mechanism will provide bonding interface sealing.

How should the excess cement be removed?

One of the following two techniques can be used:

 

Tack-Cure Clean-Up Technique: Light-cure any excess cement in several spots for 1 second at a distance of 10-15 mm. Hold the prosthetic restoration in position, remove the tack-cured excess cement using a dental instrument.

 

Wet Clean-Up Technique: Any excess cement remaining at the margins can be removed with a small brush, foam pellet, dental floss or dental explorer.

 

Regardless of the technique used, final curing will be required as the next step. Please refer to the Instructions for Use.

Should the margins be covered with a protective gel during final curing?

The use of a protective gel, like “PANAVIA™ F 2.0” OXYGUARD II, is beneficial to prevent the forming of an oxygen inhibited layer thus helping to create smooth margins.

How many shades of “PANAVIA™ Veneer LC” Paste are available?

There are 4 shades of “PANAVIA™ Veneer LC” Paste available: Clear, Universal (A2); White and Brown (A4). Each shade has a corresponding glycerin based, water soluble Try-In Paste.

How is the “PANAVIA™ V5” Try-in Paste used?

The “PANAVIA™ V5” Try-In Paste shades match the “PANAVIA™ Veneer LC” shades (in light-cured state) and allow for a simulation of the final appearance of the restoration. The “PANAVIA™ V5” Try-In Paste cannot be (light) cured, and can be removed easily with water.

Is “PANAVIA™ Veneer LC” color stable?

Yes, “PANAVIA™ Veneer LC” Paste is color stable.

What makes “PANAVIA™ Veneer LC” color stable?

Since “PANAVIA™ Veneer LC” Paste is only light curing, no amine reducing agent based redox curing system is included avoiding unwanted discoloration over time.

What is the filler load and particle size?

The total amount of inorganic filler is approximately, 66 wt%, 47 vol%. The particle size of inorganic fillers range from 0.05 μm to 8 μm.

What is the main filler form of “PANAVIA™ Veneer LC”?

“PANAVIA™ Veneer LC” Paste has spherical silica and nano cluster fillers. This provides a paste which is not runny, has excellent handling, and resistance to sagging.

What is the film thickness of “PANAVIA™ Veneer LC”?

“PANAVIA™ Veneer LC” Paste film thickness is around 8 μm.

Can “PANAVIA™ Veneer LC” be used to cement zirconia veneers and inlays/onlays?

Zirconia should not be used because it may not have sufficient translucency. However, zirconia of our products with high translucency (“KATANA™ Zirconia” STML/UTML, “KATANA™ Zirconia” Block STML) can be used with a thickness of less than 1.2 mm.

How is the bond strength of “PANAVIA™ Veneer LC”?

“PANAVIA™ Veneer LC” has excellent bond strength to several substrates (e.g. enamel, dentin, lithium disilicate, “KATANA™ Zirconia”, feldspar ceramic) at a similar level to the acclaimed “PANAVIA™ V5”.

How many treatments can be cemented with a single syringe?

Approximately 20-30 teeth for laminate veneer.

Do “CLEARFIL MAJESTY™ ES Flow” and “PANAVIA™ Veneer LC” use the same application tips?

No, the “PANAVIA™ Veneer LC” Paste tips are specially designed for an easy extrusion and application and their gauge, which is 16 (1.65 mm in diameter) and differ from the “CLEARFIL MAJESTY™ ES Flow” ones.

How do I store “PANAVIA™ Veneer LC”?

The product should be stored in the refrigerator. All components stored in the refrigerator should be brought to room temperature for 15 minutes before use in order to restore its normal viscosity and curing properties.

What is the shelf-life of the “PANAVIA™ Veneer LC” components?

The shelf-life of “PANAVIA™ Veneer LC” components is 36 months from date of manufacture with refrigeration.