429 Too Many Requests

429 Too Many Requests


nginx

Vlastnosti a výhody

1

Inovativní technologie vytvrzování

Světlem tuhnoucí cement nabízí dlouhou dobu zpracování, což umožňuje současné umístění více fazet. Primer PANAVIA™ V5 Tooth Primer utěsňuje adhezivní styčnou plochu okamžitým vytvrzením při kontaktu s pastou (touch-cure). Výsledkem je pevný a odolný spoj.

2

Vysoce estetický vzhled

Malá tloušťka vrstvy a dobrá leštitelnost umožňují uživatelům vytvářet hladké okraje. Čtyři různé odstíny s vysokou barevnou stálostí nabízejí dlouhotrvající estetický vzhled. Výběr správného odstínu usnadňují odpovídající zkušební pasty.

3

Optimalizovaná manipulace

Vhodná viskozita a konzistence pasty umožňují snazší dávkování a správné umístění náhrady, zatímco funkce jednosekundového vytvrzení zajišťuje bezproblémové odstranění přebytečného cementu.

Zprávy
Nejnovější informace o naší společnosti a produktech naleznete v sekci Novinky.

Indikace

Produkt PANAVIA Veneer LC lze použít k
finálnímu cementování keramiky
a kompozitu:

  • Fazety
  • Inleje a onleje o tloušťce menší než 2 mm

Indikace

Produkt PANAVIA Veneer LC lze použít k trvalému
cementování keramiky a kompozitu:

  • Fazety
  • Inleje a onleje o tloušťce menší než 2 mm

Inovativní technologie vytvrzování

Cement na upevňování fazet by měl mít dlouhou dobu zpracování, ale přitom vysokou vazebnou pevnost, která bude dlouhodobě stabilní. Společnost Kuraray Noritake Dental Inc. vyvinula u svého světlem tuhnoucího cementu způsob využití technologie touch-cure, která umožňuje obojí.
PANAVIA Veneer LC je světlem tuhnoucí pryskyřičný cement, který nabízí vynikající stabilitu při běžném světle, což zajišťuje dobu zpracování až 200 sekund.* Díky tomu můžete umístit více fazet najednou, aniž byste museli závodit s tuhnutím. Polymeraci lze zahájit, kdykoli jste na ni připraveni.

*Doba zpracování při běžném světle (8 000 luxů): 200 sekund.

200
S
DOBA ZPRACOVÁNÍ*
JEDNOSLOŽKOVÝ SAMOLEPTACÍ PRIMER

JEDNOSLOŽKOVÝ SAMOLEPTACÍ PRIMER

Přispívá k polymeraci adhezivní styčné plochy.

SVĚTLEM TUHNOUCÍ CEMENT VE FORMĚ PASTY

SVĚTLEM TUHNOUCÍ CEMENT VE FORMĚ PASTY

Vynikající stabilita při běžném světle.

VYTVRZOVÁNÍ SVĚTLEM

Utěsněte adhezivní styčnou plochu se strukturou zubu pomocí techniky
touch-cure a zároveň zajistěte dostatečnou dobu zpracování.

Obrázek

Vysoce estetický vzhled

Estetický vzhled fazet je vzhledem k jejich obecně minimální tloušťce a vysoké translucenci silně ovlivněn barvou cementu. Proto je nezbytné používat pryskyřičný cement, který je barevně stálý a vytváří okraje, které zůstávají v průběhu času neznatelné. Produkt PANAVIA Veneer LC tyto úkoly splňuje.

Vysoce estetický vzhled

ODOLNOST VŮČI ZABARVENÍ

Vysoká barevná stálost je pravděpodobně nejdůležitější vlastností, která je zodpovědná za dlouhotrvající estetický vzhled, jenž je zajištěn vyváženým složením a technologií touch-cure.

Tand image (počítač)
Tand image (mobil)

Optimalizovaná manipulace

Optimalizovaná manipulace

Je možné pomocí cementu, který podporuje homogenní nanášení cementu, bezproblémové umístění fazety, snadné odstranění přebytků a rychlé leštění, zkrátit čas a snížit námahu spojenou s umístěním fazet? Produkt PANAVIA Veneer LC nabízí všechny požadované funkce a díky speciálně navrženému aplikačnímu hrotu poskytuje vysokou kontrolu.

NELEPIVOST

Pryskyřičný cement nabízí vynikající a ideální konzistenci pro snadnou a bezpečnou aplikaci po celém vnitřním povrchu fazety, protože se díky technologii nanoklastrového plniva nelepí na aplikační hrot.

IDEÁLNÍ KONZISTENCE

Nově vyvinutá obsažená sférická plniva s oxidem křemičitým zajišťují, že cement zůstává na místě, kam byl nanesen, ale je dostatečně tekutý pro snadné umístění fazety bez posouvání nebo sesouvání.

BEZPROBLÉMOVÉ ODSTRANĚNÍ PŘEBYTEČNÉHO CEMENTU

Přebytečný cement lze po jednosekundovém vytvrzení odstranit v jednom kuse pomocí sondy.

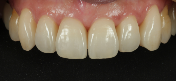
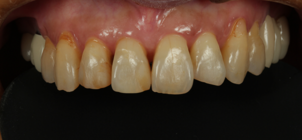
KLINICKÝ PŘÍPAD

S laskavým svolením dr. Satoa

KLINICKÝ PŘÍPAD

S laskavým svolením dr. Satoa

Obrázek 1

1. Počáteční stav před preparací pro 6 fazet (od č. 13 do č. 23).

Obrázek 2

2. Vynikající konzistence a viskozita pasty PANAVIA Veneer LC umožnila snazší nanesení cementu, umístění fazet i odstranění přebytečného cementu.

Obrázek 3

3. Vytvrzení každé oblasti a okrajů světlem.

Obrázek 4

4. Konečný výsledek po upevnění 6 fazet z materiálu KATANA™ Zirconia STML.

Podrobnější informace naleznete v návodu k použití.

Věda

Skvělá leštitelnost a udržení lesku

Skvělá leštitelnost, dlouhodobě vynikající udržení lesku a estetické okraje.

PANAVIA V5 Tooth Primer je samoleptací adhezivum na struktury zubu (dentin a sklovinu), které poté, co je nanesena pasta PANAVIA Veneer LC Paste, bezpečně utěsní styčnou plochu zubu a adheziva. Tato technologie touch-cure iniciuje polymeraci pouze na styčné ploše adheziva a vytváří pevnou vazbu ke sklovině a dentinu, ale neovlivňuje reakci tuhnutí cementu. Vysoké pevnosti vazby k materiálům náhrady je dosaženo použitím osvědčeného produktu CLEARFIL™ CERAMIC PRIMER PLUS.

Zachování lesku
Zachování lesku
PANAVIA Veneer LC Paste

Zdroj: Kuraray Noritake Dental Inc.

Zachování lesku
Zachování lesku
PANAVIA Veneer LC Paste
Variolink* Esthetic LC
RelyX* Veneer

Zkušební podmínky: Po vyhlazení povrchu voděodolným brusným papírem č. 1 000 až 2 500 se provede závěrečné leštění lapovací fólií. Počáteční hodnota (měření úrovně lesku po vyleštění).* Opotřebení zubního kartáčku (měřeno po 40 000 pohybech při zatížení 250 g, 30 pohybů za minutu, 10 % hm. zubní pasty)*. Měřeno leskoměrem VG 2000 (Nippon Denshoku Kogyo) pod úhlem 60°. Poznámka: Hodnoty se mohou lišit v závislosti na podmínkách měření.

Zdroj: Kuraray Noritake Dental Inc.
*Není ochrannou známkou společnosti KURARAY CO., LTD.

Smyková pevnost spoje vůči lidským zubům
Smyková pevnost spoje vůči lidským zubům
Sklovina
Dentin

Zkušební podmínky: Leštění č. 1 000, leptání skloviny kyselinou fosforečnou, SUS čip (průměr 3 mm), měřeno po uložení ve vodě při 37 °C po dobu 1 dne.

Zdroj: Kuraray Noritake Dental Inc.
*Není ochrannou známkou společnosti KURARAY CO., LTD.

Smyková pevnost spoje vůči protetickému materiálu
Smyková pevnost spoje vůči protetickému materiálu
37 °C 1 den
TC3000

Zkušební podmínky: Leštění č. 1 000, pískování (KATANA™ Zirconia) nebo leptání fluorovodíkem (sklokeramika), SUS čip (průměr 5 mm), měřeno po uložení ve vodě při 37 °C po dobu 1 dne nebo po tepelném cyklu při teplotě 4–60 °C.

Zdroj: Kuraray Noritake Dental Inc.
*Není ochrannou známkou společnosti KURARAY CO., LTD.

Odstíny

ZKUŠEBNÍ PASTA PANAVIA V5
Bezbarvá
Univerzální
White (bílá)
Brown (hnědá)

ČTYŘI VYSOCE
ESTETICKÉ ODSTÍNY

ODPOVÍDAJÍCÍ ZKUŠEBNÍ PASTY

MINIMÁLNÍ TLOUŠŤKA FILMU

S odstínem odpovídajícím individuálním požadavkům lze snadno dosáhnout realistických výsledků.

Zkušební pasty PANAVIA V5 se hodí k odstínům PANAVIA Veneer LC a umožňují simulaci konečného vzhledu.

Díky své tekutosti a malé tloušťce filmu vytváří PANAVIA Veneer LC tenkou, rovnoměrně rozloženou vrstvu cementu, která přispívá ke snadnému usazení bez rušivých vlivů a k vysoce estetickým okrajům.

ČTYŘI VYSOCE ESTETICKÉ ODSTÍNY

S odstínem odpovídajícím individuálním požadavkům lze snadno dosáhnout realistických výsledků.

SHODNÉ ZKUŠEBNÍ PASTY

Zkušební pasty PANAVIA V5 se hodí k odstínům PANAVIA Veneer LC a umožňují simulaci konečného vzhledu.

MINIMÁLNÍ TLOUŠŤKA FILMU

Díky své tekutosti a malé tloušťce vrstvy vytváří PANAVIA Veneer LC tenkou, rovnoměrně rozloženou vrstvu cementu, která přispívá ke snadnému umístění fazet bez rušivých vlivů a k vysoce estetickým okrajům.

  • Mezinárodně vysoce ceněný

     

    Reference

  • Afbeelding dr. Greg Campbell, DDS
  • dr. Greg Campbell, DDS
    USA

    „Líbí se mi všestrannost nového cementu PANAVIA Veneer LC při výrobě fazet a onlejí. Mohu použít primer PANAVIA V5 Tooth Primer nebo své adhezivum CLEARFIL Universal a získat osvědčené výhody originálu MDP a ‚zlatého standardu‘ bondování, který od společnosti Kuraray očekáváme. Snadné použití, snadné čištění a extrémně pevné spoje. Čtyři odstíny a zkušební pasty mi poskytují naprostou kontrolu a zajišťují opakovaný klinický úspěch!
    Děkuji společnosti Kuraray Noritake za další skvělý výrobek.“

     

  •  

    dr. Karyn Halpern, DDS
    USA

    „Jsem ohromena pevností spoje u tohoto nového cementu. Je nejen silný, ale také se velmi snadno používá, umisťuje a čistí!
    Netřeba dodávat, že jsem jeho fanouškem!“

     

     

  • Afbeelding dr. Karyn Halpern DDS
  • Afbeelding dr. Gianmarco O'Brien, DDS, Inc.
  • dr. Gianmarco O'Brien, DDS, Inc.
    USA

    „Tento výrobek je přesně takový, jaký jsem očekával od společnosti Kuraray, lídra v oblasti adhezivní stomatologie. Snadno se klinicky používá (výborná manipulace), je barevně velmi stálý, protože nedochází k žádnému efektu ZAŠEDNUTÍ PO UPEVNĚNÍ od terciárních aminů (aromatických aminů). S jejich produkty mám naprostou důvěru v TRVALOU vazebnou pevnost. Toto je můj nový systém pro upevňování fazet na bázi pryskyřice!“

     

Produkty

Pro objednání si vyberte z následujících možností.

PANAVIA V5  Try-in Paste
PANAVIA V5 Try-in Paste

1.8ml

Universal (A2)
Clear
Brown (A4)
White
Opaque

-
+
PANAVIA™ Veneer LC KITS
PANAVIA™ Veneer LC KITS
-
+
CLEARFIL™ CERAMIC PRIMER PLUS
CLEARFIL™ CERAMIC PRIMER PLUS

4ml

-
+
PANAVIA™ Veneer LC Applicator tip
PANAVIA™ Veneer LC Applicator tip

20 Applicator tips (16g)

-
+
PANAVIA™ Veneer LC PASTE
PANAVIA™ Veneer LC PASTE
-
+
PANAVIA V5  Tooth Primer
PANAVIA V5 Tooth Primer

4ml

-
+

Často kladené otázky

Připravili jsme pro vás seznam odpovědí na nejčastější otázky.

What is “PANAVIA™ Veneer LC”?

“PANAVIA™ Veneer LC” is a light-cure adhesive resin cement system. It consists of the “PANAVIA™ Veneer LC” Paste (a light-cure cement paste), “CLEARFIL™ CERAMIC PRIMER PLUS” (a silane, zirconia & metal primer), K-ETCHANT Syringe (Phosphoric Acid), and “PANAVIA™ V5” Try-in Paste. “CLEARFIL™ Universal Bond Quick” or “PANAVIA™ V5” Tooth Primer can be chosen for tooth treatment.

What are the indications?

Cementation of ceramic and composite inlays, onlays and laminate veneers with less than 2 mm thickness of the following materials: silica-based ceramics (e.g. conventional porcelain, lithium disilicate), hybrid ceramics, composite resin and “KATANA™ Zirconia” STML/UTML/YML (with a thickness of less than 1.2 mm).

How can I treat the prosthetic restoration?

Follow the Instructions for Use of the restorative material. In the absence of specific instructions, we recommend the following procedures and application of the provided “CLEARFIL™ CERAMIC PRIMER PLUS”: if the adherent surface is silica-based ceramic (e.g. conventional porcelain, lithium disilicate), hybrid ceramic or composite resin: Based on the type of restoration, hydrofluoric acid etching or air abrasion treatment may be used:

 

Acid Etching Treatment (e.g. conventional porcelain, lithium disilicate):
Etch the adherent surface with a hydrofluoric acid solution in accordance with the Instructions for Use of the solution. Rinse the adherent surface with water and dry.

 

Air Abrasion Treatment (e.g. composite resin):
Roughen the adherent surface by blasting with alumina powder (30-50 μm) using air pressure of 0.1-0.2 MPa (1-2 kgf/cm2, 15-29 psi, 1-2 Bar). The air pressure and powder size should be properly adjusted to suit the material and/or shape of the prosthetic restoration, using caution to prevent chipping. Clean the prosthetic restoration in an ultrasonic cleaning unit for 2 minutes or with “KATANA™ Cleaner” with 10 seconds of rubbing and then rinse with water.

Is it possible to use “CLEARFIL™ Universal Bond Quick” for the surface treatments of veneer restorations?

Although technically possible, we recommend to use “CLEARFIL™ CERAMIC PRIMER PLUS” to get optimal performance for glass ceramics.

Are there additional steps, if I try-in the restoration after it is acid etched or air abraded?

Yes, doing that would contaminate the restoration and, hence, decrease the bond strength. To remove the contamination, use “KATANA™ Cleaner” for 10 seconds with a rubbing motion then rinse with water until the color has been disappeared and dry the restorations to remove contaminants, or apply K-ETCHANT Syringe (Phosphoric Acid) for 5 seconds in case of non-zirconia restorations.

How can I treat the prepared tooth?

There are 2 ways to treat the prepared tooth: with the “PANAVIA™ V5” Tooth Primer or “CLEARFIL™ Universal Bond Quick”.

 

a) “PANAVIA™ V5” Tooth Primer: Etch the enamel with the K-ETCHANT (phosphoric acid) for 10 seconds, rinse and dry. Apply the Tooth Primer to the entire prepared tooth surface, with an applicator brush and leave it in place for 20 seconds. Thoroughly dry the entire adherent surface sufficiently by blowing mild, oil-free air until all water is evaporated from the primer.

 

b) “CLEARFIL™ Universal Bond Quick”: Selective etch the enamel with K-ETCHANT syringe (phosphoric acid) for 10 seconds, rinse and dry. Apply BOND with a rubbing motion to the entire preparation with the applicator brush. No waiting time is required. Dry the entire cavity wall sufficiently by blowing mild air for more than 5 seconds until BOND does not move.

 

When cementing laminate veneers, there is no need to light-cure BOND prior to seating the laminate veneers. It should be cured after seating the laminate veneers with the “PANAVIA™ Veneer LC” cement. When cementing inlays or onlays, BOND should be light-cured before seating the restoration. Please confirm the curing time by referencing the Instructions for Use.

What are the differences of using the “PANAVIA™ V5” Tooth Primer or “CLEARFIL™ Universal Bond Quick” when treating the prepared tooth?

In terms of bond strength, both are similar and provide excellent results. Nevertheless, the “PANAVIA™ V5” Tooth Primer will provide a “touch-cure” mechanism that will seal the bonding interface before the final light curing. Additionally, while the application time is shorter with “CLEARFIL™ Universal Bond Quick” (no waiting time versus 20 s), there is a longer working time under ambient light with the “PANAVIA™ V5” Tooth Primer (200 seconds vs 160 seconds with the BOND).

What are the advantages of “PANAVIA™ Veneer LC” over competing products?

PANAVIA™ Veneer LC” offers the ideal paste consistency, not being too high or too low as several competitive products. This will facilitate the dispensing of the paste onto the restoration and smooth seating of such restoration. A low film thickness and long working time are also advantages over competitive products. In addition, in case of using it with the “PANAVIA™ V5” Tooth Primer, the “touch-cure” mechanism will provide bonding interface sealing.

How should the excess cement be removed?

One of the following two techniques can be used:

 

Tack-Cure Clean-Up Technique: Light-cure any excess cement in several spots for 1 second at a distance of 10-15 mm. Hold the prosthetic restoration in position, remove the tack-cured excess cement using a dental instrument.

 

Wet Clean-Up Technique: Any excess cement remaining at the margins can be removed with a small brush, foam pellet, dental floss or dental explorer.

 

Regardless of the technique used, final curing will be required as the next step. Please refer to the Instructions for Use.

Should the margins be covered with a protective gel during final curing?

The use of a protective gel, like “PANAVIA™ F 2.0” OXYGUARD II, is beneficial to prevent the forming of an oxygen inhibited layer thus helping to create smooth margins.

How many shades of “PANAVIA™ Veneer LC” Paste are available?

There are 4 shades of “PANAVIA™ Veneer LC” Paste available: Clear, Universal (A2); White and Brown (A4). Each shade has a corresponding glycerin based, water soluble Try-In Paste.

How is the “PANAVIA™ V5” Try-in Paste used?

The “PANAVIA™ V5” Try-In Paste shades match the “PANAVIA™ Veneer LC” shades (in light-cured state) and allow for a simulation of the final appearance of the restoration. The “PANAVIA™ V5” Try-In Paste cannot be (light) cured, and can be removed easily with water.

Is “PANAVIA™ Veneer LC” color stable?

Yes, “PANAVIA™ Veneer LC” Paste is color stable.

What makes “PANAVIA™ Veneer LC” color stable?

Since “PANAVIA™ Veneer LC” Paste is only light curing, no amine reducing agent based redox curing system is included avoiding unwanted discoloration over time.

What is the filler load and particle size?

The total amount of inorganic filler is approximately, 66 wt%, 47 vol%. The particle size of inorganic fillers range from 0.05 μm to 8 μm.

What is the main filler form of “PANAVIA™ Veneer LC”?

“PANAVIA™ Veneer LC” Paste has spherical silica and nano cluster fillers. This provides a paste which is not runny, has excellent handling, and resistance to sagging.

What is the film thickness of “PANAVIA™ Veneer LC”?

“PANAVIA™ Veneer LC” Paste film thickness is around 8 μm.

Can “PANAVIA™ Veneer LC” be used to cement zirconia veneers and inlays/onlays?

Zirconia should not be used because it may not have sufficient translucency. However, zirconia of our products with high translucency (“KATANA™ Zirconia” STML/UTML, “KATANA™ Zirconia” Block STML) can be used with a thickness of less than 1.2 mm.

How is the bond strength of “PANAVIA™ Veneer LC”?

“PANAVIA™ Veneer LC” has excellent bond strength to several substrates (e.g. enamel, dentin, lithium disilicate, “KATANA™ Zirconia”, feldspar ceramic) at a similar level to the acclaimed “PANAVIA™ V5”.

How many treatments can be cemented with a single syringe?

Approximately 20-30 teeth for laminate veneer.

Do “CLEARFIL MAJESTY™ ES Flow” and “PANAVIA™ Veneer LC” use the same application tips?

No, the “PANAVIA™ Veneer LC” Paste tips are specially designed for an easy extrusion and application and their gauge, which is 16 (1.65 mm in diameter) and differ from the “CLEARFIL MAJESTY™ ES Flow” ones.

How do I store “PANAVIA™ Veneer LC”?

The product should be stored in the refrigerator. All components stored in the refrigerator should be brought to room temperature for 15 minutes before use in order to restore its normal viscosity and curing properties.

What is the shelf-life of the “PANAVIA™ Veneer LC” components?

The shelf-life of “PANAVIA™ Veneer LC” components is 36 months from date of manufacture with refrigeration.