CARACTÉRISTIQUES & BÉNÉFICES

1

TECHNOLOGIE DE POLYMÉRISATION INNOVANTE

PANAVIA™ V5 Tooth Primer favorise une interface adhésive solide et durable par la polymérisation après contact avec la pâte. PANAVIA Veneer LC présente un temps de traitement plus long qui autorise la pose simultanée de plusieurs facettes. Pour un résultat solide et durable.

2

ESTHÉTIQUE SUPÉRIEURE

La faible épaisseur du film et la bonne polissabilité permettent aux utilisateurs de créer des bords lisses. Quatre teintes différentes sont proposées pour une bonne stabilité de la couleur et un résultat esthétique durable. Des pâtes d'essai assorties facilitent la sélection de la bonne teinte.

3

MANIPULATION OPTIMISÉE

La viscosité et les propriétés thixotropiques sont optimisées pour une distribution et un placement aisés. La polymérisation tack-cure (d'une seconde) permet d'éliminer l'excédent sans effort.

Indications

PANAVIA Veneer LC peut être utilisé
pour le collage permanent de
céramique et composite :

  • Facettes
  • Inlays et onlays de moins de
    2 mm d'épaisseur

Indications

PANAVIA Veneer LC peut être utilisé pour
le collage permanent de céramique et
composite :

  • Facettes
  • Inlays et onlays de moins de
    2 mm d'épaisseur

TECHNOLOGIE DE POLYMÉRISATION
INNOVANTE

Kuraray Noritake Dental Inc. a développé la technologie innovante "touch-cure", méthode de polymérisation avec une colle qui offre un temps de traitement plus long ainsi qu'une force d'adhésion élevée et durable.
PANAVIA Veneer LC est un système de colle résine photopolymérisable qui présente une excellente stabilité à la lumière ambiante, ce qui entraîne un temps de traitement de 200 secondes*. Cela vous permet de poser plusieurs facettes en même temps sans avoir à courir contre la montre. Vous commencez la polymérisation quand vous êtes prêt.

*Temps de traitement à lumière ambiante (8 000 lux) : 200 secondes.

200
s
TEMPS DE TRAITEMENT*
APPRÊT D'AUTO-MORDANÇAGE<br>À UN SEUL COMPOSANT

APPRÊT D'AUTO-MORDANÇAGE
À UN SEUL COMPOSANT

Contribue à la polymérisation de l'interface adhésive.

PÂTE DE COLLAGE<br>PHOTOPOLYMÉRISABLE

PÂTE DE COLLAGE
PHOTOPOLYMÉRISABLE

Excellente stabilité à la lumière ambiante.

PHOTOPOLYMÉRISATION

Collage de l'interface adhésive avec la structure
dentaire par polymérisation "touch-cure" avec la
garantie d'un temps de traitement suffisant.

Image

Esthétique supérieure

Les facettes ayant généralement une épaisseur minimale et une haute translucidité, leur aspect esthétique est fortement influencé par la couleur de la colle. PANAVIA Veneer LC offre une stabilité des couleurs et permet des bords qui restent invisibles au fil du temps.

High Aesthetics

RÉSISTANCE À LA DÉCOLORATION

La formulation équilibrée de PANAVIA Veneer LC et sa technologie de polymérisation "touch-cure" apportent une résistance à la décoloration et donc une stabilité des couleurs élevée, ce qui est déterminant pour un résultat esthétique durable.

Tand image (Desktop)
Tand image (Mobile)

MANIPULATION OPTIMISÉE

Optimised Handling

Est-il possible de réduire le temps et l'effort requis pour la pose de facettes ? PANAVIA Veneer LC favorise l'application homogène de la colle, un positionnement efficace des facettes, une élimination facile de l'excédent et un polissage rapide. Grâce à la seringue spécialement conçue avec embout applicateur, l'application est très largement contrôlée.

NE COLLE PAS

La technologie de nanoclusters de remplissage contenue dans PANAVIA Veneer LC empêche le défilement et l'excellente consistance est idéale pour une application facile et sûre.

CONSISTANCE IDÉALE

Plus de relâchement ou dérive grâce aux propriétés thixotropiques de la colle. La grande facilité de manipulation est soutenue par les charges de silice sphériques nouvellement développées. PANAVIA Veneer LC permet une application contrôlée, reste en place une fois appliquée mais s'étire bien quand la facette est placée sur la dent.

ÉLIMINATION FACILE DE L'EXCÉDENT

Après polymérisation tack-cure d'une seconde, l'excédent de colle peut être éliminé d'un seul tenant avec un instrument dentaire.

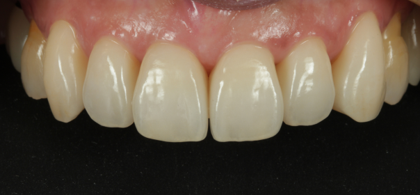
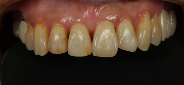
CAS CLINIQUE

Crédits Dr Sato

CAS CLINIQUE

Crédits Dr Sato

Image 1

1. État initial avant préparation de 6 facettes (de 13 à 23).

Image 2

2. L'excellente consistance et la viscosité de la pâte PANAVIA Veneer LC ont facilité la distribution, le placement et l'élimination de l'excédent de colle.

Image 3

3. Photopolymérisation de chaque zone et bord.

Image 4

4. Résultat final après assemblage de six facettes KATANA™ Zircone STML.

 

Veuillez consulter les consignes d'utilisation pour des informations détaillées.

Science

Hautes polissabilité et rétention de la brillance

Une grande polissabilité et une excellente rétention de la brillance contribuent à l'esthétisme des bords dans le temps.

PANAVIA V5 Tooth Primer est un adhésif auto-mordançant pour la structure dentaire (dentine et émail) qui colle l'interface adhésive dentaire en toute sécurité dès l'application de la pâte PANAVIA Veneer LC Paste. Cette technologie de polymérisation "touch-cure" amorce la polymérisation à l'interface adhésive uniquement et crée une adhésion solide à l'émail et à la dentine, mais n'affecte pas le comportement de prise de la colle. Une force d'adhésion élevée aux matériaux de restauration est obtenue par l'utilisation de CLEARFIL™ CERAMIC PRIMER PLUS qui a fait ses preuves.

CONSERVATION DE LA BRILLANCE
CONSERVATION DE LA BRILLANCE
PANAVIA Veneer LC Paste

Source : Kuraray Noritake Dental Inc.

CONSERVATION DE LA BRILLANCE
CONSERVATION DE LA BRILLANCE
PANAVIA Veneer LC Paste
Variolink* Esthetic LC
RelyX* Veneer

Conditions du test : Spécimen ø 10 mm, épaisseur 2 mm. Après lissage de la surface avec du papier abrasif résistant à l'eau (grain de 1 000 à 2 500), polissage final avec un film abrasif. Valeur initiale (mesure le niveau de brillance après polissage*). Usure de la brosse à dents (mesure après 40 000 coups avec une charge de 250 g, 30 coups/minute, 10 % du poids du dentifrice*). Mesuré avec un glossmètre VG 2000 (Nippon Denshoku Kogyo) à un angle de 60°. Remarque : Les valeurs peuvent varier en fonction des conditions de mesure.

Source : Kuraray Noritake Dental Inc.
* N'est pas une marque commercialisée par KURARAY CO., LTD.

FORCE D'ADHÉSION AUX DENTS HUMAINES
FORCE D'ADHÉSION AUX DENTS HUMAINES
Émail
Dentine

Conditions du test : Polissage #1 000, application de chaque agent d'apprêt PANAVIA Veneer LC Paste : Photopolymérisation pendant 20 s, assemblage SUS chip (3 mm). Mesure après stockage dans l'eau à 37°C pendant 1 jour, cycle thermal : 4-60 °C.

Source : Kuraray Noritake Dental Inc.
* Pas une marque commerciale de KURARAY CO., LTD.

FORCE D'ADHÉSION AU MATÉRIAU PROTHÉTIQUE
FORCE D'ADHÉSION AU MATÉRIAU PROTHÉTIQUE
37°C 1 jour
TC3000

Conditions du test : Polissage #1 000, application de chaque agent d'apprêt PANAVIA Veneer LC Paste : Photopolymérisation pendant 20 s, assemblage SUS chip (3 mm). Mesure après stockage dans l'eau à 37°C pendant 1 jour, cycle thermal : 4-60 °C.

Source : Kuraray Noritake Dental Inc.
* N'est pas une marque commercialisée par KURARAY CO., LTD.

NUANCES

PANAVIA V5 TRY-IN PASTE
Clair
Universel
Blanc
Marron

QUATRE TEINTES
HAUTEMENT ESTHÉTIQUES

PÂTES D'ESSAI ASSORTIES

ÉPAISSEUR DE
FILM MINIMALE

Avec une teinte répondant aux exigences individuelles, il est facile d'obtenir des résultats réalistes.

Les pâtes d'essai PANAVIA V5 sont assorties aux teintes PANAVIA Veneer LC et permettent de simuler l'aspect final.

Grâce à sa fluidité et faible épaisseur de film, PANAVIA Veneer LC produit une couche de ciment fine et régulière qui facilite le placement sans interférence et des bords hautement esthétiques.

QUATRE TEINTES HAUTEMENT ESTHÉTIQUES

 

Avec une teinte répondant aux exigences individuelles, il est facile d'obtenir des résultats réalistes.

PÂTES D'ESSAI ASSORTIES

Les pâtes d'essai PANAVIA V5 sont assorties aux teintes PANAVIA Veneer LC et permettent de simuler l'aspect final.

ÉPAISSEUR DE FILM MINIMALE

 

Grâce à sa fluidité et faible épaisseur de film, PANAVIA Veneer LC produit une couche de ciment fine et régulière qui facilite le placement sans interférence et des bords hautement esthétiques.

  • Internationally highly valued

     

    Testimonials

  • Afbeelding Dr. Greg Campbell, DDS
  • Dr. Greg Campbell, DDS
    USA

    “Love the versatility of the new PANAVIA Veneer LC cement when it comes to delivering my Veneers and Onlays. I can use the PANAVIA V5 Tooth Primer or my CLEARFIL Universal adhesive and get the proven benefits of the Original-MDP and the “Gold Standard” bonding we have come to expect from Kuraray. Easy to use, easy to clean up and extremely strong bonds. Four shades and try-in pastes give me complete control and ensures clinical success time and time again!
    Thank you, Kuraray Noritake for another great product.”

     

  •  

    Dr. Karyn Halpern, DDS
    USA

    “I am so impressed by the bond of this new cement. It’s not only strong but it was super easy to use, place, and clean up!
    Needless to say, I am a fan!”

     

     

  • Afbeelding Dr. Karyn Halpern DDS
  • Afbeelding Dr. Gianmarco O'Brien, DDS, Inc.
  • Dr. Gianmarco O'Brien, DDS, Inc.
    USA

    "This product is what I have come to expect from a company like Kuraray, the leader in adhesive dentistry. Easy to use clinically (excellent handling), very color stable since there is NO POST-BONDING GRAYING effect from tertiary amines (aromatic amine). I have total confidence in the DURABLE bond strength with their products. This is my new go-to veneer adhesive resin cement system!"

     

Produits

Pour commander, choisissez parmi les options suivantes.

PANAVIA V5  Try-in Paste
PANAVIA V5 Try-in Paste

1.8ml

Universal (A2)
Clear
Brown (A4)
White
Opaque

-
+
PANAVIA™ Veneer LC KITS
PANAVIA™ Veneer LC KITS
-
+
CLEARFIL™ CERAMIC PRIMER PLUS
CLEARFIL™ CERAMIC PRIMER PLUS

4ml

-
+
PANAVIA™ Veneer LC Applicator tip
PANAVIA™ Veneer LC Applicator tip

20 Applicator tips (16g)

-
+
PANAVIA™ Veneer LC PASTE
PANAVIA™ Veneer LC PASTE
-
+
PANAVIA V5  Tooth Primer
PANAVIA V5 Tooth Primer

4ml

-
+

Foire Aux Questions FAQ

Nous avons rassemblé une liste de réponses aux questions les plus pertinentes.

What is “PANAVIA™ Veneer LC”?

“PANAVIA™ Veneer LC” is a light-cure adhesive resin cement system. It consists of the “PANAVIA™ Veneer LC” Paste (a light-cure cement paste), “CLEARFIL™ CERAMIC PRIMER PLUS” (a silane, zirconia & metal primer), K-ETCHANT Syringe (Phosphoric Acid), and “PANAVIA™ V5” Try-in Paste. “CLEARFIL™ Universal Bond Quick” or “PANAVIA™ V5” Tooth Primer can be chosen for tooth treatment.

What are the indications?

Cementation of ceramic and composite inlays, onlays and laminate veneers with less than 2 mm thickness of the following materials: silica-based ceramics (e.g. conventional porcelain, lithium disilicate), hybrid ceramics, composite resin and “KATANA™ Zirconia” STML/UTML/YML (with a thickness of less than 1.2 mm).

How can I treat the prosthetic restoration?

Follow the Instructions for Use of the restorative material. In the absence of specific instructions, we recommend the following procedures and application of the provided “CLEARFIL™ CERAMIC PRIMER PLUS”: if the adherent surface is silica-based ceramic (e.g. conventional porcelain, lithium disilicate), hybrid ceramic or composite resin: Based on the type of restoration, hydrofluoric acid etching or air abrasion treatment may be used:

 

Acid Etching Treatment (e.g. conventional porcelain, lithium disilicate):
Etch the adherent surface with a hydrofluoric acid solution in accordance with the Instructions for Use of the solution. Rinse the adherent surface with water and dry.

 

Air Abrasion Treatment (e.g. composite resin):
Roughen the adherent surface by blasting with alumina powder (30-50 μm) using air pressure of 0.1-0.2 MPa (1-2 kgf/cm2, 15-29 psi, 1-2 Bar). The air pressure and powder size should be properly adjusted to suit the material and/or shape of the prosthetic restoration, using caution to prevent chipping. Clean the prosthetic restoration in an ultrasonic cleaning unit for 2 minutes or with “KATANA™ Cleaner” with 10 seconds of rubbing and then rinse with water.

Is it possible to use “CLEARFIL™ Universal Bond Quick” for the surface treatments of veneer restorations?

Although technically possible, we recommend to use “CLEARFIL™ CERAMIC PRIMER PLUS” to get optimal performance for glass ceramics.

Are there additional steps, if I try-in the restoration after it is acid etched or air abraded?

Yes, doing that would contaminate the restoration and, hence, decrease the bond strength. To remove the contamination, use “KATANA™ Cleaner” for 10 seconds with a rubbing motion then rinse with water until the color has been disappeared and dry the restorations to remove contaminants, or apply K-ETCHANT Syringe (Phosphoric Acid) for 5 seconds in case of non-zirconia restorations.

How can I treat the prepared tooth?

There are 2 ways to treat the prepared tooth: with the “PANAVIA™ V5” Tooth Primer or “CLEARFIL™ Universal Bond Quick”.

 

a) “PANAVIA™ V5” Tooth Primer: Etch the enamel with the K-ETCHANT (phosphoric acid) for 10 seconds, rinse and dry. Apply the Tooth Primer to the entire prepared tooth surface, with an applicator brush and leave it in place for 20 seconds. Thoroughly dry the entire adherent surface sufficiently by blowing mild, oil-free air until all water is evaporated from the primer.

 

b) “CLEARFIL™ Universal Bond Quick”: Selective etch the enamel with K-ETCHANT syringe (phosphoric acid) for 10 seconds, rinse and dry. Apply BOND with a rubbing motion to the entire preparation with the applicator brush. No waiting time is required. Dry the entire cavity wall sufficiently by blowing mild air for more than 5 seconds until BOND does not move.

 

When cementing laminate veneers, there is no need to light-cure BOND prior to seating the laminate veneers. It should be cured after seating the laminate veneers with the “PANAVIA™ Veneer LC” cement. When cementing inlays or onlays, BOND should be light-cured before seating the restoration. Please confirm the curing time by referencing the Instructions for Use.

What are the differences of using the “PANAVIA™ V5” Tooth Primer or “CLEARFIL™ Universal Bond Quick” when treating the prepared tooth?

In terms of bond strength, both are similar and provide excellent results. Nevertheless, the “PANAVIA™ V5” Tooth Primer will provide a “touch-cure” mechanism that will seal the bonding interface before the final light curing. Additionally, while the application time is shorter with “CLEARFIL™ Universal Bond Quick” (no waiting time versus 20 s), there is a longer working time under ambient light with the “PANAVIA™ V5” Tooth Primer (200 seconds vs 160 seconds with the BOND).

What are the advantages of “PANAVIA™ Veneer LC” over competing products?

PANAVIA™ Veneer LC” offers the ideal paste consistency, not being too high or too low as several competitive products. This will facilitate the dispensing of the paste onto the restoration and smooth seating of such restoration. A low film thickness and long working time are also advantages over competitive products. In addition, in case of using it with the “PANAVIA™ V5” Tooth Primer, the “touch-cure” mechanism will provide bonding interface sealing.

How should the excess cement be removed?

One of the following two techniques can be used:

 

Tack-Cure Clean-Up Technique: Light-cure any excess cement in several spots for 1 second at a distance of 10-15 mm. Hold the prosthetic restoration in position, remove the tack-cured excess cement using a dental instrument.

 

Wet Clean-Up Technique: Any excess cement remaining at the margins can be removed with a small brush, foam pellet, dental floss or dental explorer.

 

Regardless of the technique used, final curing will be required as the next step. Please refer to the Instructions for Use.

Should the margins be covered with a protective gel during final curing?

The use of a protective gel, like “PANAVIA™ F 2.0” OXYGUARD II, is beneficial to prevent the forming of an oxygen inhibited layer thus helping to create smooth margins.

How many shades of “PANAVIA™ Veneer LC” Paste are available?

There are 4 shades of “PANAVIA™ Veneer LC” Paste available: Clear, Universal (A2); White and Brown (A4). Each shade has a corresponding glycerin based, water soluble Try-In Paste.

How is the “PANAVIA™ V5” Try-in Paste used?

The “PANAVIA™ V5” Try-In Paste shades match the “PANAVIA™ Veneer LC” shades (in light-cured state) and allow for a simulation of the final appearance of the restoration. The “PANAVIA™ V5” Try-In Paste cannot be (light) cured, and can be removed easily with water.

Is “PANAVIA™ Veneer LC” color stable?

Yes, “PANAVIA™ Veneer LC” Paste is color stable.

What makes “PANAVIA™ Veneer LC” color stable?

Since “PANAVIA™ Veneer LC” Paste is only light curing, no amine reducing agent based redox curing system is included avoiding unwanted discoloration over time.

What is the filler load and particle size?

The total amount of inorganic filler is approximately, 66 wt%, 47 vol%. The particle size of inorganic fillers range from 0.05 μm to 8 μm.

What is the main filler form of “PANAVIA™ Veneer LC”?

“PANAVIA™ Veneer LC” Paste has spherical silica and nano cluster fillers. This provides a paste which is not runny, has excellent handling, and resistance to sagging.

What is the film thickness of “PANAVIA™ Veneer LC”?

“PANAVIA™ Veneer LC” Paste film thickness is around 8 μm.

Can “PANAVIA™ Veneer LC” be used to cement zirconia veneers and inlays/onlays?

Zirconia should not be used because it may not have sufficient translucency. However, zirconia of our products with high translucency (“KATANA™ Zirconia” STML/UTML, “KATANA™ Zirconia” Block STML) can be used with a thickness of less than 1.2 mm.

How is the bond strength of “PANAVIA™ Veneer LC”?

“PANAVIA™ Veneer LC” has excellent bond strength to several substrates (e.g. enamel, dentin, lithium disilicate, “KATANA™ Zirconia”, feldspar ceramic) at a similar level to the acclaimed “PANAVIA™ V5”.

How many treatments can be cemented with a single syringe?

Approximately 20-30 teeth for laminate veneer.

Do “CLEARFIL MAJESTY™ ES Flow” and “PANAVIA™ Veneer LC” use the same application tips?

No, the “PANAVIA™ Veneer LC” Paste tips are specially designed for an easy extrusion and application and their gauge, which is 16 (1.65 mm in diameter) and differ from the “CLEARFIL MAJESTY™ ES Flow” ones.

How do I store “PANAVIA™ Veneer LC”?

The product should be stored in the refrigerator. All components stored in the refrigerator should be brought to room temperature for 15 minutes before use in order to restore its normal viscosity and curing properties.

What is the shelf-life of the “PANAVIA™ Veneer LC” components?

The shelf-life of “PANAVIA™ Veneer LC” components is 36 months from date of manufacture with refrigeration.