KENMERKEN & VOORDELEN

1

INNOVATIEVE UITHARDINGSTECHNOLOGIE

PANAVIA™ V5 Tooth Primer zorgt voor een sterke en duurzame adhesieve interface door uitharding bij contact met de pasta. PANAVIA Veneer LC biedt een lange verwerkingstijd en maakt het gelijktijdig plaatsen van meerdere veneers mogelijk. Gecombineerd is het eindresultaat sterk en duurzaam.

2

HOOGWAARDIGE
ESTHETIEK

Dankzij lage filmdikte en goede polijstbaarheid realiseren gebruikers gladde marginale randen. Vier selecte tinten met een hoge kleurstabiliteit staan garant voor duurzame esthetiek. Dankzij de afgestemde try-in pasta's kan de juiste kleur gemakkelijk worden geselecteerd.

3

GEOPTIMALISEERDE VERWERKING

De viscositeit en thixotropie zijn geoptimaliseerd voor gemakkelijk appliceren en plaatsen. Verwijder overmaat gemakkelijk dankzij de tack-cure (1 sec. belichten).

INDICATIES

Gebruik PANAVIA Veneer LC voor
permanent cementeren van
keramiek en composieten:

  • Veneers
  • Inlays en onlays met een dikte
    van minder dan 2 mm

 

INDICATIES

Gebruik PANAVIA Veneer LC voor permanent
cementeren van keramiek en composieten:

  • Veneers
  • Inlays en onlays met een dikte
    van minder dan 2 mm

INNOVATIEVE UITHARDINGSTECHNOLOGIE

Kuraray Noritake Dental Inc. heeft een methode ontwikkeld om haar innovatieve touch-cure-technologie toe te passen in een lichtuithardend cement. Met behoudt van een lange verwerkingstijd en een duurzame hoge hechtsterkte.
PANAVIA Veneer LC is een lichtuithardend cement; het biedt een uitstekende stabiliteit onder omgevingslicht, wat een verwerkingstijd van 200 seconden* oplevert. Plaats meerdere veneers gelijktijdig zonder een race tegen de uithardings-klok. Start met polymeriseren als u daar aan toe bent.

*Verwerkingstijd onder omgevingslicht (8.000 lux): 200 seconden.

200
SEC.
VERWERKINGSTIJD*
ZELFETSENDE 1-COMPONENT PRIMER

ZELFETSENDE 1-COMPONENT PRIMER

Draagt bij de polymerisatie van de adhesieve interface.

LICHTUITHARDENDE CEMENTPASTA

LICHTUITHARDENDE CEMENTPASTA

Uitstekende stabiliteit onder omgevingslicht.

LICHTUITHARDING

Seal de adhesieve interface met het tandweefsel door middel van
touch-cure; hierbij blijft voldoende verwerkingstijd behouden.

Image

Hoogwaardige esthetiek

Door minimale dikte en hoge translucentie van veneers wordt de esthetisch uitstraling sterk beïnvloed door de cementkleur. PANAVIA Veneer LC is kleurstabiel en de randen blijven na verloop van tijd onzichtbaar.

High Aesthetics

BESTAND TEGEN VERKLEURING

De uitgebalanceerde samenstelling en touch-cure-technologie van PANAVIA Veneer LC zorgen voor bestendigheid tegen verkleuring en daarmee voor een hoge kleurstabiliteit; wellicht de belangrijkste producteigenschap voor duurzame esthetiek.

Tand image (Desktop)
Tand image (Mobile)

GEOPTIMALISEERDE VERWERKING

Optimised Handling

Is het mogelijk om minder tijd en inspanning te besteden aan de plaatsing van veneers? PANAVIA Veneer LC ondersteunt homogeen aanbrengen van cement, een soepele plaatsing van de veneer, gemakkelijke overmaat verwijdering en snel polijsten. De speciaal ontworpen spuit en applicatietip zorgen voor gecontroleerd aanbrengen.

KLEEFT NIET

De technologie van PANAVIA Veneer LC met nanoclustervullers voorkomt 'kaasdraad'-vorming en de voortreffelijke, ideale consistentie zorgt voor een gemakkelijke en betrouwbare verwerking.

IDEALE CONSISTENTIE

De Thixotropische eigenschappen zorgen voor een gecontroleerde applicatie; het bijft daar waar het wordt aangebracht, maar vloeit goed tijdens het plaatsen van de veneer op het element. De uitstekende verwerking wordt mogelijk gemaakt door de nieuw ontwikkelde silica vuldeeltjes.

GEMAKKELIJKE OVERMAAT VERWIJDERING

Verwijder overtollig cement in een keer met een sonde na 1 seconde tack-cure.

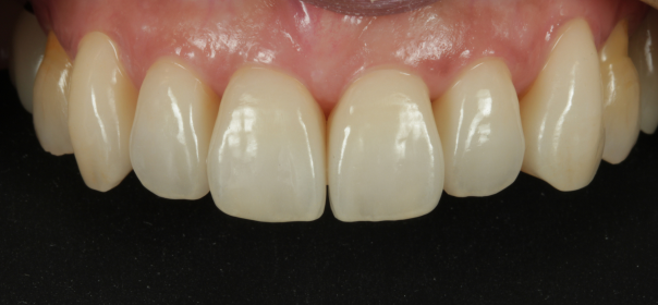
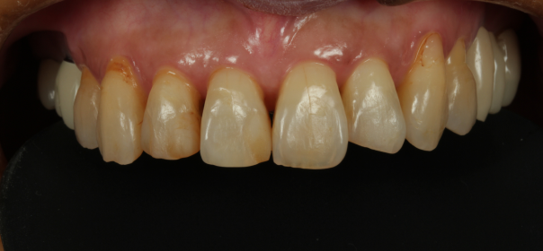
KLINISCHE CASUS

Met dank aan Dr. Sato

KLINISCHE CASUS

Met dank aan Dr. Sato

Image 1

1. Aanvankelijke situatie vóór preparatie van 6 veneers (van 13 tot 23).

Image 2

2. Door de uitstekende consistentie en viscositeit van PANAVIA Veneer LC was doseren, plaatsen en overmaatverwijdering gemakkelijk.

Image 3

3. Lichtuitharding van alle gebieden en randen.

Image 4

4. Eindresultaat na cementeren van zes KATANA™ Zirconia STML veneers.

Zie de gebruiksinstructies voor gedetailleerde informatie.

WETENSCHAP

Uitstekende polijstbaarheid en behoud van glans

De uitstekende polijstbaarheid en het voortreffelijke behoud van glans zorgt ook op de lange termijn voor esthetische randen.

PANAVIA V5 Tooth Primer is een zelfetsend adhesief dat de interface verzegelt zodra PANAVIA Veneer LC wordt aangebracht. De touch-cure-technologie initieert de polymerisatie van de adhesieve interface en zorgt voor een sterke hechting aan glazuur en dentine, zonder de uithardingsreactie van het cement te beïnvloeden. Het gebruik van de erkende CLEARFIL™ CERAMIC PRIMER PLUS zorgt voor een hoge hechtsterkte aan restauratieve materialen.

BEHOUD VAN GLANS
BEHOUD VAN GLANS
PANAVIA Veneer LC Paste

Bron: Kuraray Noritake Dental Inc.

BEHOUD VAN GLANS
BEHOUD VAN GLANS
PANAVIA Veneer LC Paste
Variolink* Esthetic LC
RelyX* Veneer

Testomstandigheden: Sample ø 10 mm, dikte 2 mm. Na gladmaken van het oppervlak met waterproof schuurpapier korrel 1000 tot 2500, afrondend polijsten met lapping film. Startwaarde (meting van glansniveau na polijsten*). Slijtage met tandenborstel (gemeten na 40.000 borstelbewegingen met een belasting van 250 g, 30 borstelbewegingen/minuut, 10 wt% tandpasta*). Gemeten met een VG 2000 glansmeter (Nippon Denshoku Kogyo) onder een hoek van 60°. NB; de waarden zijn afhankelijk van de meetomstandigheden.

Bron: Kuraray Noritake Dental Inc.
*Geen handelsmerk van KURARAY CO., LTD.

AFSCHUIFSTERKTE AAN MENSELIJKE ELEMENTEN
AFSCHUIFSTERKTE AAN MENSELIJKE ELEMENTEN
Glazuur
Dentine

Testomstandigheden: Polijsten #1000, aanbrengen van beiden primers en PANAVIA Veneer LC Paste: Lichtuitharding gedurende 20 sec., bonding met SUS chip (3 mm). Gemeten na opslag in water van 37°C gedurende 1 dag, thermische cyclus: 4 - 60°C.

Bron: Kuraray Noritake Dental Inc.
*Geen handelsmerk van KURARAY CO., LTD.

AFSCHUIFSTERKTE AAN PROTHETISCH MATERIAAL
AFSCHUIFSTERKTE AAN PROTHETISCH MATERIAAL
37°C 1 dag
TC3000

Testomstandigheden: Polijsten #1000, zandstralen ('KATANA™ Zirconia') of etsen met waterstoffluoride (glaskeramiek), SUS chip (diameter 5 mm), gemeten na opslag in water van 37°C gedurende 1 dag, of thermische cyclus bij 4 - 60°C.

Bron: Kuraray Noritake Dental Inc.
*Geen handelsmerk van KURARAY CO., LTD.

Kleuren

PANAVIA V5 TRY-IN PASTE
Clear
Universal
White
Brown

VIER HOOGESTHETISCHE KLEUREN

TRY-IN-PASTA'S

MINIMALE FILMDIKTE

Met een kleur die voldoet aan de individuele eisen, zijn gemakkelijk natuurgetrouwe resultaten te bereiken.

De kleuren van de PANAVIA V5 Try-In pasta's komen overeen met die van PANAVIA Veneer LC, zodat het eindresultaat kan worden nagebootst.

De vloeibaarheid en geringe filmdikte van PANAVIA Veneer LC zorgen voor een dunne, gelijkmatig verdeelde cementlaag die bijdraagt aan hoogwaardige esthetische randen en een gemakkelijk plaatsen.

VIER HOOGESTHETISCHE KLEUREN

Met een kleur die voldoet aan de individuele eisen, zijn gemakkelijk natuurgetrouwe resultaten te bereiken.

TRY-IN-PASTA'S

De kleuren van de PANAVIA V5 Try-In pasta's komen overeen met die van PANAVIA Veneer LC, zodat het eindresultaat kan worden nagebootst.

MINIMALE FILMDIKTE

De vloeibaarheid en geringe filmdikte van PANAVIA Veneer LC zorgen voor een dunne, gelijkmatig verdeelde cementlaag die bijdraagt aan hoogwaardige esthetische randen en een gemakkelijk plaatsen.

  • Internationally highly valued

     

    Testimonials

  • Afbeelding Dr. Greg Campbell, DDS
  • Dr. Greg Campbell, DDS
    USA

    “Love the versatility of the new PANAVIA Veneer LC cement when it comes to delivering my Veneers and Onlays. I can use the PANAVIA V5 Tooth Primer or my CLEARFIL Universal adhesive and get the proven benefits of the Original-MDP and the “Gold Standard” bonding we have come to expect from Kuraray. Easy to use, easy to clean up and extremely strong bonds. Four shades and try-in pastes give me complete control and ensures clinical success time and time again!
    Thank you, Kuraray Noritake for another great product.”

     

  •  

    Dr. Karyn Halpern, DDS
    USA

    “I am so impressed by the bond of this new cement. It’s not only strong but it was super easy to use, place, and clean up!
    Needless to say, I am a fan!”

     

     

  • Afbeelding Dr. Karyn Halpern DDS
  • Afbeelding Dr. Gianmarco O'Brien, DDS, Inc.
  • Dr. Gianmarco O'Brien, DDS, Inc.
    USA

    "This product is what I have come to expect from a company like Kuraray, the leader in adhesive dentistry. Easy to use clinically (excellent handling), very color stable since there is NO POST-BONDING GRAYING effect from tertiary amines (aromatic amine). I have total confidence in the DURABLE bond strength with their products. This is my new go-to veneer adhesive resin cement system!"

     

Producten

Kies voor uw bestelling uit de volgende opties.

PANAVIA V5  Try-in Paste
PANAVIA V5 Try-in Paste

1.8ml

Universal (A2)
Clear
Brown (A4)
White
Opaque

-
+
PANAVIA™ Veneer LC KITS
PANAVIA™ Veneer LC KITS
-
+
CLEARFIL™ CERAMIC PRIMER PLUS
CLEARFIL™ CERAMIC PRIMER PLUS

4ml

-
+
PANAVIA™ Veneer LC Applicator tip
PANAVIA™ Veneer LC Applicator tip

20 Applicator tips (16g)

-
+
PANAVIA™ Veneer LC PASTE
PANAVIA™ Veneer LC PASTE
-
+
PANAVIA V5  Tooth Primer
PANAVIA V5 Tooth Primer

4ml

-
+

Veel gestelde vragen

We hebben een lijst samengesteld met antwoorden op de meest relevante vragen.

What is “PANAVIA™ Veneer LC”?

“PANAVIA™ Veneer LC” is a light-cure adhesive resin cement system. It consists of the “PANAVIA™ Veneer LC” Paste (a light-cure cement paste), “CLEARFIL™ CERAMIC PRIMER PLUS” (a silane, zirconia & metal primer), K-ETCHANT Syringe (Phosphoric Acid), and “PANAVIA™ V5” Try-in Paste. “CLEARFIL™ Universal Bond Quick” or “PANAVIA™ V5” Tooth Primer can be chosen for tooth treatment.

What are the indications?

Cementation of ceramic and composite inlays, onlays and laminate veneers with less than 2 mm thickness of the following materials: silica-based ceramics (e.g. conventional porcelain, lithium disilicate), hybrid ceramics, composite resin and “KATANA™ Zirconia” STML/UTML/YML (with a thickness of less than 1.2 mm).

How can I treat the prosthetic restoration?

Follow the Instructions for Use of the restorative material. In the absence of specific instructions, we recommend the following procedures and application of the provided “CLEARFIL™ CERAMIC PRIMER PLUS”: if the adherent surface is silica-based ceramic (e.g. conventional porcelain, lithium disilicate), hybrid ceramic or composite resin: Based on the type of restoration, hydrofluoric acid etching or air abrasion treatment may be used:

 

Acid Etching Treatment (e.g. conventional porcelain, lithium disilicate):
Etch the adherent surface with a hydrofluoric acid solution in accordance with the Instructions for Use of the solution. Rinse the adherent surface with water and dry.

 

Air Abrasion Treatment (e.g. composite resin):
Roughen the adherent surface by blasting with alumina powder (30-50 μm) using air pressure of 0.1-0.2 MPa (1-2 kgf/cm2, 15-29 psi, 1-2 Bar). The air pressure and powder size should be properly adjusted to suit the material and/or shape of the prosthetic restoration, using caution to prevent chipping. Clean the prosthetic restoration in an ultrasonic cleaning unit for 2 minutes or with “KATANA™ Cleaner” with 10 seconds of rubbing and then rinse with water.

Is it possible to use “CLEARFIL™ Universal Bond Quick” for the surface treatments of veneer restorations?

Although technically possible, we recommend to use “CLEARFIL™ CERAMIC PRIMER PLUS” to get optimal performance for glass ceramics.

Are there additional steps, if I try-in the restoration after it is acid etched or air abraded?

Yes, doing that would contaminate the restoration and, hence, decrease the bond strength. To remove the contamination, use “KATANA™ Cleaner” for 10 seconds with a rubbing motion then rinse with water until the color has been disappeared and dry the restorations to remove contaminants, or apply K-ETCHANT Syringe (Phosphoric Acid) for 5 seconds in case of non-zirconia restorations.

How can I treat the prepared tooth?

There are 2 ways to treat the prepared tooth: with the “PANAVIA™ V5” Tooth Primer or “CLEARFIL™ Universal Bond Quick”.

 

a) “PANAVIA™ V5” Tooth Primer: Etch the enamel with the K-ETCHANT (phosphoric acid) for 10 seconds, rinse and dry. Apply the Tooth Primer to the entire prepared tooth surface, with an applicator brush and leave it in place for 20 seconds. Thoroughly dry the entire adherent surface sufficiently by blowing mild, oil-free air until all water is evaporated from the primer.

 

b) “CLEARFIL™ Universal Bond Quick”: Selective etch the enamel with K-ETCHANT syringe (phosphoric acid) for 10 seconds, rinse and dry. Apply BOND with a rubbing motion to the entire preparation with the applicator brush. No waiting time is required. Dry the entire cavity wall sufficiently by blowing mild air for more than 5 seconds until BOND does not move.

 

When cementing laminate veneers, there is no need to light-cure BOND prior to seating the laminate veneers. It should be cured after seating the laminate veneers with the “PANAVIA™ Veneer LC” cement. When cementing inlays or onlays, BOND should be light-cured before seating the restoration. Please confirm the curing time by referencing the Instructions for Use.

What are the differences of using the “PANAVIA™ V5” Tooth Primer or “CLEARFIL™ Universal Bond Quick” when treating the prepared tooth?

In terms of bond strength, both are similar and provide excellent results. Nevertheless, the “PANAVIA™ V5” Tooth Primer will provide a “touch-cure” mechanism that will seal the bonding interface before the final light curing. Additionally, while the application time is shorter with “CLEARFIL™ Universal Bond Quick” (no waiting time versus 20 s), there is a longer working time under ambient light with the “PANAVIA™ V5” Tooth Primer (200 seconds vs 160 seconds with the BOND).

What are the advantages of “PANAVIA™ Veneer LC” over competing products?

PANAVIA™ Veneer LC” offers the ideal paste consistency, not being too high or too low as several competitive products. This will facilitate the dispensing of the paste onto the restoration and smooth seating of such restoration. A low film thickness and long working time are also advantages over competitive products. In addition, in case of using it with the “PANAVIA™ V5” Tooth Primer, the “touch-cure” mechanism will provide bonding interface sealing.

How should the excess cement be removed?

One of the following two techniques can be used:

 

Tack-Cure Clean-Up Technique: Light-cure any excess cement in several spots for 1 second at a distance of 10-15 mm. Hold the prosthetic restoration in position, remove the tack-cured excess cement using a dental instrument.

 

Wet Clean-Up Technique: Any excess cement remaining at the margins can be removed with a small brush, foam pellet, dental floss or dental explorer.

 

Regardless of the technique used, final curing will be required as the next step. Please refer to the Instructions for Use.

Should the margins be covered with a protective gel during final curing?

The use of a protective gel, like “PANAVIA™ F 2.0” OXYGUARD II, is beneficial to prevent the forming of an oxygen inhibited layer thus helping to create smooth margins.

How many shades of “PANAVIA™ Veneer LC” Paste are available?

There are 4 shades of “PANAVIA™ Veneer LC” Paste available: Clear, Universal (A2); White and Brown (A4). Each shade has a corresponding glycerin based, water soluble Try-In Paste.

How is the “PANAVIA™ V5” Try-in Paste used?

The “PANAVIA™ V5” Try-In Paste shades match the “PANAVIA™ Veneer LC” shades (in light-cured state) and allow for a simulation of the final appearance of the restoration. The “PANAVIA™ V5” Try-In Paste cannot be (light) cured, and can be removed easily with water.

Is “PANAVIA™ Veneer LC” color stable?

Yes, “PANAVIA™ Veneer LC” Paste is color stable.

What makes “PANAVIA™ Veneer LC” color stable?

Since “PANAVIA™ Veneer LC” Paste is only light curing, no amine reducing agent based redox curing system is included avoiding unwanted discoloration over time.

What is the filler load and particle size?

The total amount of inorganic filler is approximately, 66 wt%, 47 vol%. The particle size of inorganic fillers range from 0.05 μm to 8 μm.

What is the main filler form of “PANAVIA™ Veneer LC”?

“PANAVIA™ Veneer LC” Paste has spherical silica and nano cluster fillers. This provides a paste which is not runny, has excellent handling, and resistance to sagging.

What is the film thickness of “PANAVIA™ Veneer LC”?

“PANAVIA™ Veneer LC” Paste film thickness is around 8 μm.

Can “PANAVIA™ Veneer LC” be used to cement zirconia veneers and inlays/onlays?

Zirconia should not be used because it may not have sufficient translucency. However, zirconia of our products with high translucency (“KATANA™ Zirconia” STML/UTML, “KATANA™ Zirconia” Block STML) can be used with a thickness of less than 1.2 mm.

How is the bond strength of “PANAVIA™ Veneer LC”?

“PANAVIA™ Veneer LC” has excellent bond strength to several substrates (e.g. enamel, dentin, lithium disilicate, “KATANA™ Zirconia”, feldspar ceramic) at a similar level to the acclaimed “PANAVIA™ V5”.

How many treatments can be cemented with a single syringe?

Approximately 20-30 teeth for laminate veneer.

Do “CLEARFIL MAJESTY™ ES Flow” and “PANAVIA™ Veneer LC” use the same application tips?

No, the “PANAVIA™ Veneer LC” Paste tips are specially designed for an easy extrusion and application and their gauge, which is 16 (1.65 mm in diameter) and differ from the “CLEARFIL MAJESTY™ ES Flow” ones.

How do I store “PANAVIA™ Veneer LC”?

The product should be stored in the refrigerator. All components stored in the refrigerator should be brought to room temperature for 15 minutes before use in order to restore its normal viscosity and curing properties.

What is the shelf-life of the “PANAVIA™ Veneer LC” components?

The shelf-life of “PANAVIA™ Veneer LC” components is 36 months from date of manufacture with refrigeration.