429 Too Many Requests

429 Too Many Requests


nginx

CARACTERISTICI ȘI BENEFICII

1

TEHNOLOGIE DE POLIMERIZARE INOVATOARE

Cimentul cu fotopolimerizare oferă un timp de lucru îndelungat care facilitează aplicarea simultană a fațetelor multiple. PANAVIA™ V5 Tooth Primer sigilează interfața adezivă prin polimerizarea imediată la contactul cu pasta (touch-cure). Rezultatul este o adeziune rezistentă și durabilă.

2

ESTETICĂ ÎNALTĂ

Grosimea redusă a filmului și capacitatea bună de lustruire permit utilizatorilor să creeze margini netede. Cele patru nuanțe diferite selectate, cu o stabilitate cromatică înaltă oferă o estetică durabilă. Pastele de probă corespunzătoare facilitează selectarea nuanței corecte.

3

MANIPULARE OPTIMIZATĂ

O vâscozitate și consistență corespunzătoare a pastei permit distribuirea mai ușoară și aplicarea corectă a restaurării, în timp ce funcția tack-cure de o secundă permite îndepărtarea ușoară a cimentului în exces.

INDICAȚII

PANAVIA Veneer LC poate fi utilizat
pentru cimentarea permanentă a
materialelor ceramice și compozite:

  • Fațete
  • Inlay-uri și onlay-uri cu
    o grosime sub 2 mm

INDICAȚII

PANAVIA Veneer LC poate fi utilizat pentru
cimentarea permanentă a materialelor
ceramice și compozite:

  • Fațete
  • Inlay-uri și onlay-uri cu
    o grosime sub 2 mm

TEHNOLOGIE DE POLIMERIZARE INOVATOARE

Un ciment pentru fațete trebuie să ofere un timp de lucru îndelungat, dar totuși să se obțină o rezistență adezivă înaltă care să fie stabilă în timp. Kuraray Noritake Dental Inc. a dezvoltat o cale de a utiliza tehnologia touch-cure în cazul unui ciment fotopolimerizabil, pentru a oferi ambele tehnologii.
PANAVIA Veneer LC este un sistem de ciment rășinic cu fotopolimerizare care oferă o stabilitate excelentă în lumina ambientală, ceea ce duce la un timp de lucru de 200 secunde*. Aceasta vă permite să aplicați fațete multiple în mod simultan, fără să fie nevoie să vă grăbiți din cauza prizei. Polimerizarea poate fi pornită oricând sunteți gata.

*Timp de lucru în lumina ambientală (8000 lux.): 200 secunde.

200
SEC
TIMP DE LUCRU*
PRIMER AUTOGRAVANT MONOCOMPONENT

PRIMER AUTOGRAVANT MONOCOMPONENT

Contribuie la polimerizarea interfeței adezive.

FOTOPOLIMERIZAȚI PASTA DE CIMENT

FOTOPOLIMERIZAȚI PASTA DE CIMENT

Stabilitate excelentă în lumina ambientală.

FOTOPOLIMERIZAȚI

Sigilați interfața adezivă de la nivelul structurii dintelui
prin polimerizare touch-cure, în timp ce asigurați un
timp de operare suficient.

Image

Estetică înaltă

Datorită în general grosimii lor minime și translucidității lor înalte, aspectul estetic al fațetelor este puternic afectat de culoarea cimentului. De aceea, este esențială utilizarea unui ciment rășinic care este stabil cromatic și produce margini care rămân nedetectabile în timp. PANAVIA Veneer LC îndeplinește aceste cerințe.

High Aesthetics

REZISTENȚA LA MODIFICAREA CULORII

Stabilitatea cromatică înaltă este probabil cea mai importantă caracteristică responsabilă de estetica durabilă, care este oferită de o formulă bine echilibrată și de tehnologia touch-cure.

Tand image (Desktop)
Tand image (Mobile)

MANIPULARE OPTIMIZATĂ

Optimised Handling

Este posibil să se reducă timpul și efortul implicate în aplicarea fațetelor cu un ciment care susține aplicarea omogenă a cimentului, poziționarea ușoară a fațetelor și îndepărtarea excesului, precum și lustruirea rapidă? PANAVIA Veneer LC oferă toate caracteristicile necesare și conferă un control înalt datorită vârfului de aplicare conceput în mod special.

LIPSA ADERENȚEI

Cimentul rășinic oferă o consistență excelentă și ideală pentru o aplicare ușoară și sigură de-a lungul suprafeței interioare a lucrării, deoarece nu aderă de vârful de aplicare datorită tehnologiei cu material de umplere de tip nanocluster.

CONSISTENȚĂ IDEALĂ

Noile materiale de umplere cu dioxid de siliciu sferic din ciment asigură rămânerea materialului acolo unde este aplicat, dar acesta curge bine când fațeta este aplicată pe dinte, pentru o poziționare ușoară, fără deplasare sau scufundare.

ÎNDEPĂRTAREA UȘOARĂ A EXCESULUI

Cimentul în exces poate fi îndepărtat într-o singură bucată cu o sondă, după o secundă de tack-cure.

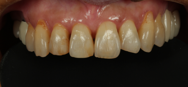
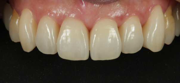
CAZ CLINIC

Prin bunăvoința Dr. Sato

CAZ CLINIC

Prin bunăvoința Dr. Sato

Image 1

1. Stadiul inițial înainte de prepararea a șase fațete (de la #13 până la #23).

Image 2

2. Consistența și vâscozitatea excelentă a pastei PANAVIA Veneer LC au permis distribuirea, priza și îndepărtarea mai ușoară a cimentului în exces.

Image 3

3. Fotopolimerizarea fiecărei zone și a marginilor.

Image 4

4. Rezultat final după cimentarea celor șase fațete din KATANA™ Zirconia STML.

 

Pentru instrucțiuni detaliate, vă rugăm să consultați instrucțiunile de utilizare.

DETALII ȘTIINȚIFICE

Capacitate superioară de lustruire și păstrarea luciului

Capacitatea superioară de lustruire și păstrarea excelentă a luciului susțin marginile estetice în timp.

PANAVIA V5 Tooth Primer este un adeziv autogravant pentru structura dintelui (dentină și smalț) care sigilează interfața aderentă la dinte în condiții de siguranță de îndată ce PANAVIA Veneer LC Paste este aplicată pe acesta. Această tehnologie touch-cure inițiază polimerizarea numai la interfața adezivă și creează o adeziune puternică la smalț și dentină, dar nu afectează reacția de priză a cimentului. O rezistență adezivă înaltă la materialele de restaurare se obține prin utilizarea produsului consacrat CLEARFIL™ CERAMIC PRIMER PLUS.

PĂSTRAREA LUCIULUI
PĂSTRAREA LUCIULUI
PANAVIA Veneer LC Paste

Sursa: Kuraray Noritake Dental Inc.

PĂSTRAREA LUCIULUI
PĂSTRAREA LUCIULUI
PANAVIA Veneer LC Paste
Variolink* Esthetic LC
RelyX* Veneer

Condiții de testare: probă ø10mm, grosime 2mm. După netezirea suprafeței cu hârtie abrazivă rezistentă la apă, de #1000 până la #2500, lustruire finală cu film de lepuire. Luminozitatea inițială (măsurați nivelul luciului după lustruire*). Uzura datorată periuței dentare (măsurată după 40.000 lovituri cu o încărcătură de 250g, 30 lovituri/minut, pastă de dinți* 10 %masă). Măsurat cu glossmetru VG 2000 (Nippon Denshoku Kogyo) la un unghi de 60°. Notă: Valorile pot varia în funcție de condițiile de măsurare.

Sursa: Kuraray Noritake Dental Inc.
*Nu este o marcă comercială de la KURARAY CO., LTD.

REZISTENȚĂ ADEZIVĂ ÎNALTĂ LA DINȚII UMANI
REZISTENȚĂ ADEZIVĂ ÎNALTĂ LA DINȚII UMANI
Smalț
Dentină

Condiții de testare: Lustruire #1000, aplicarea fiecărui agent de priming PANAVIA Veneer LC Paste: Fotopolimerizare timp de 20 sec., lipirea așchiei SUS (3 mm) cu PANAVIA SA Cement Universal. Măsurat după păstrare în apă la 37°C, timp de o zi, ciclu termic: 4-60°C.

Sursa: Kuraray Noritake Dental Inc.
*Nu este o marcă comercială de la KURARAY CO., LTD.

REZISTENȚĂ ADEZIVĂ ÎNALTĂ LA MATERIALUL PROTETIC
REZISTENȚĂ ADEZIVĂ ÎNALTĂ LA MATERIALUL PROTETIC
37°C o zi
TC3000

Condiții de testare: Lustruire #1000, sablare (KATANA Zirconia HT) sau gravare cu acid fluorhidric (ceramică de sticlă), aplicare de PANAVIA V5 Tooth Primer timp de 20 sec. PANAVIA Veneer LC Paste: Fotopolimerizare timp de 20 sec., lipirea vârfului SUS (5 mm) cu PANAVIA SA Cement Universal. Măsurat după păstrare în apă la 37°C, timp de o zi, ciclu termic: 4-60°C.

Sursa: Kuraray Noritake Dental Inc.
*Nu este o marcă comercială de la KURARAY CO., LTD.

NUANȚE

PANAVIA V5 TRY-IN PASTE
Clear
Universal
White
Brown

PATRU NUANȚE
FOARTE ESTETICE

PASTE DE PROBĂ
CORESPUNZĂTOARE

GROSIMEA MINIMĂ
A FILMULUI

Cu o nuanță care corespunde cerințelor individuale, se obțin cu ușurință rezultate cu aspect natural.

PANAVIA V5 Try-In Pastes corespund nuanțelor de PANAVIA Veneer LC și permit simularea aspectului final.

Datorită fluidității sale și grosimii reduse a filmului, PANAVIA Veneer LC produce un strat de ciment subțire, distribuit uniform, care contribuie la o aplicare ușoară, fără interferențe și la margini foarte estetice.

PATRU NUANȚE FOARTE ESTETICE

 

Cu o nuanță care corespunde cerințelor individuale, se obțin cu ușurință rezultate cu aspect natural.

PASTE DE PROBĂ CORESPUNZĂTOARE

 

PANAVIA V5 Try-In Pastes corespund nuanțelor de PANAVIA Veneer LC și permit simularea aspectului final.

GROSIMEA MINIMĂ A FILMULUI

 

Datorită fluidității sale și grosimii reduse a filmului, PANAVIA Veneer LC produce un strat de ciment subțire, distribuit uniform, care contribuie la o aplicare ușoară, fără interferențe și la margini foarte estetice.

  • Internationally highly valued

     

    Testimonials

  • Afbeelding Dr. Greg Campbell, DDS
  • Dr. Greg Campbell, DDS
    USA

    “Love the versatility of the new PANAVIA Veneer LC cement when it comes to delivering my Veneers and Onlays. I can use the PANAVIA V5 Tooth Primer or my CLEARFIL Universal adhesive and get the proven benefits of the Original-MDP and the “Gold Standard” bonding we have come to expect from Kuraray. Easy to use, easy to clean up and extremely strong bonds. Four shades and try-in pastes give me complete control and ensures clinical success time and time again!
    Thank you, Kuraray Noritake for another great product.”

     

  •  

    Dr. Karyn Halpern, DDS
    USA

    “I am so impressed by the bond of this new cement. It’s not only strong but it was super easy to use, place, and clean up!
    Needless to say, I am a fan!”

     

     

  • Afbeelding Dr. Karyn Halpern DDS
  • Afbeelding Dr. Gianmarco O'Brien, DDS, Inc.
  • Dr. Gianmarco O'Brien, DDS, Inc.
    USA

    "This product is what I have come to expect from a company like Kuraray, the leader in adhesive dentistry. Easy to use clinically (excellent handling), very color stable since there is NO POST-BONDING GRAYING effect from tertiary amines (aromatic amine). I have total confidence in the DURABLE bond strength with their products. This is my new go-to veneer adhesive resin cement system!"

     

Products

To order, choose from the following options.

PANAVIA V5  Try-in Paste
PANAVIA V5 Try-in Paste

1.8ml

Universal (A2)
Clear
Brown (A4)
White
Opaque

-
+
PANAVIA™ Veneer LC KITS
PANAVIA™ Veneer LC KITS
-
+
CLEARFIL™ CERAMIC PRIMER PLUS
CLEARFIL™ CERAMIC PRIMER PLUS

4ml

-
+
PANAVIA™ Veneer LC Applicator tip
PANAVIA™ Veneer LC Applicator tip

20 Applicator tips (16g)

-
+
PANAVIA™ Veneer LC PASTE
PANAVIA™ Veneer LC PASTE
-
+
PANAVIA V5  Tooth Primer
PANAVIA V5 Tooth Primer

4ml

-
+

Întrebări frecvente

Am alcătuit o listă de răspunsuri la cele mai pertinente întrebări.

What is “PANAVIA™ Veneer LC”?

“PANAVIA™ Veneer LC” is a light-cure adhesive resin cement system. It consists of the “PANAVIA™ Veneer LC” Paste (a light-cure cement paste), “CLEARFIL™ CERAMIC PRIMER PLUS” (a silane, zirconia & metal primer), K-ETCHANT Syringe (Phosphoric Acid), and “PANAVIA™ V5” Try-in Paste. “CLEARFIL™ Universal Bond Quick” or “PANAVIA™ V5” Tooth Primer can be chosen for tooth treatment.

What are the indications?

Cementation of ceramic and composite inlays, onlays and laminate veneers with less than 2 mm thickness of the following materials: silica-based ceramics (e.g. conventional porcelain, lithium disilicate), hybrid ceramics, composite resin and “KATANA™ Zirconia” STML/UTML/YML (with a thickness of less than 1.2 mm).

How can I treat the prosthetic restoration?

Follow the Instructions for Use of the restorative material. In the absence of specific instructions, we recommend the following procedures and application of the provided “CLEARFIL™ CERAMIC PRIMER PLUS”: if the adherent surface is silica-based ceramic (e.g. conventional porcelain, lithium disilicate), hybrid ceramic or composite resin: Based on the type of restoration, hydrofluoric acid etching or air abrasion treatment may be used:

 

Acid Etching Treatment (e.g. conventional porcelain, lithium disilicate):
Etch the adherent surface with a hydrofluoric acid solution in accordance with the Instructions for Use of the solution. Rinse the adherent surface with water and dry.

 

Air Abrasion Treatment (e.g. composite resin):
Roughen the adherent surface by blasting with alumina powder (30-50 μm) using air pressure of 0.1-0.2 MPa (1-2 kgf/cm2, 15-29 psi, 1-2 Bar). The air pressure and powder size should be properly adjusted to suit the material and/or shape of the prosthetic restoration, using caution to prevent chipping. Clean the prosthetic restoration in an ultrasonic cleaning unit for 2 minutes or with “KATANA™ Cleaner” with 10 seconds of rubbing and then rinse with water.

Is it possible to use “CLEARFIL™ Universal Bond Quick” for the surface treatments of veneer restorations?

Although technically possible, we recommend to use “CLEARFIL™ CERAMIC PRIMER PLUS” to get optimal performance for glass ceramics.

Are there additional steps, if I try-in the restoration after it is acid etched or air abraded?

Yes, doing that would contaminate the restoration and, hence, decrease the bond strength. To remove the contamination, use “KATANA™ Cleaner” for 10 seconds with a rubbing motion then rinse with water until the color has been disappeared and dry the restorations to remove contaminants, or apply K-ETCHANT Syringe (Phosphoric Acid) for 5 seconds in case of non-zirconia restorations.

How can I treat the prepared tooth?

There are 2 ways to treat the prepared tooth: with the “PANAVIA™ V5” Tooth Primer or “CLEARFIL™ Universal Bond Quick”.

 

a) “PANAVIA™ V5” Tooth Primer: Etch the enamel with the K-ETCHANT (phosphoric acid) for 10 seconds, rinse and dry. Apply the Tooth Primer to the entire prepared tooth surface, with an applicator brush and leave it in place for 20 seconds. Thoroughly dry the entire adherent surface sufficiently by blowing mild, oil-free air until all water is evaporated from the primer.

 

b) “CLEARFIL™ Universal Bond Quick”: Selective etch the enamel with K-ETCHANT syringe (phosphoric acid) for 10 seconds, rinse and dry. Apply BOND with a rubbing motion to the entire preparation with the applicator brush. No waiting time is required. Dry the entire cavity wall sufficiently by blowing mild air for more than 5 seconds until BOND does not move.

 

When cementing laminate veneers, there is no need to light-cure BOND prior to seating the laminate veneers. It should be cured after seating the laminate veneers with the “PANAVIA™ Veneer LC” cement. When cementing inlays or onlays, BOND should be light-cured before seating the restoration. Please confirm the curing time by referencing the Instructions for Use.

What are the differences of using the “PANAVIA™ V5” Tooth Primer or “CLEARFIL™ Universal Bond Quick” when treating the prepared tooth?

In terms of bond strength, both are similar and provide excellent results. Nevertheless, the “PANAVIA™ V5” Tooth Primer will provide a “touch-cure” mechanism that will seal the bonding interface before the final light curing. Additionally, while the application time is shorter with “CLEARFIL™ Universal Bond Quick” (no waiting time versus 20 s), there is a longer working time under ambient light with the “PANAVIA™ V5” Tooth Primer (200 seconds vs 160 seconds with the BOND).

What are the advantages of “PANAVIA™ Veneer LC” over competing products?

PANAVIA™ Veneer LC” offers the ideal paste consistency, not being too high or too low as several competitive products. This will facilitate the dispensing of the paste onto the restoration and smooth seating of such restoration. A low film thickness and long working time are also advantages over competitive products. In addition, in case of using it with the “PANAVIA™ V5” Tooth Primer, the “touch-cure” mechanism will provide bonding interface sealing.

How should the excess cement be removed?

One of the following two techniques can be used:

 

Tack-Cure Clean-Up Technique: Light-cure any excess cement in several spots for 1 second at a distance of 10-15 mm. Hold the prosthetic restoration in position, remove the tack-cured excess cement using a dental instrument.

 

Wet Clean-Up Technique: Any excess cement remaining at the margins can be removed with a small brush, foam pellet, dental floss or dental explorer.

 

Regardless of the technique used, final curing will be required as the next step. Please refer to the Instructions for Use.

Should the margins be covered with a protective gel during final curing?

The use of a protective gel, like “PANAVIA™ F 2.0” OXYGUARD II, is beneficial to prevent the forming of an oxygen inhibited layer thus helping to create smooth margins.

How many shades of “PANAVIA™ Veneer LC” Paste are available?

There are 4 shades of “PANAVIA™ Veneer LC” Paste available: Clear, Universal (A2); White and Brown (A4). Each shade has a corresponding glycerin based, water soluble Try-In Paste.

How is the “PANAVIA™ V5” Try-in Paste used?

The “PANAVIA™ V5” Try-In Paste shades match the “PANAVIA™ Veneer LC” shades (in light-cured state) and allow for a simulation of the final appearance of the restoration. The “PANAVIA™ V5” Try-In Paste cannot be (light) cured, and can be removed easily with water.

Is “PANAVIA™ Veneer LC” color stable?

Yes, “PANAVIA™ Veneer LC” Paste is color stable.

What makes “PANAVIA™ Veneer LC” color stable?

Since “PANAVIA™ Veneer LC” Paste is only light curing, no amine reducing agent based redox curing system is included avoiding unwanted discoloration over time.

What is the filler load and particle size?

The total amount of inorganic filler is approximately, 66 wt%, 47 vol%. The particle size of inorganic fillers range from 0.05 μm to 8 μm.

What is the main filler form of “PANAVIA™ Veneer LC”?

“PANAVIA™ Veneer LC” Paste has spherical silica and nano cluster fillers. This provides a paste which is not runny, has excellent handling, and resistance to sagging.

What is the film thickness of “PANAVIA™ Veneer LC”?

“PANAVIA™ Veneer LC” Paste film thickness is around 8 μm.

Can “PANAVIA™ Veneer LC” be used to cement zirconia veneers and inlays/onlays?

Zirconia should not be used because it may not have sufficient translucency. However, zirconia of our products with high translucency (“KATANA™ Zirconia” STML/UTML, “KATANA™ Zirconia” Block STML) can be used with a thickness of less than 1.2 mm.

How is the bond strength of “PANAVIA™ Veneer LC”?

“PANAVIA™ Veneer LC” has excellent bond strength to several substrates (e.g. enamel, dentin, lithium disilicate, “KATANA™ Zirconia”, feldspar ceramic) at a similar level to the acclaimed “PANAVIA™ V5”.

How many treatments can be cemented with a single syringe?

Approximately 20-30 teeth for laminate veneer.

Do “CLEARFIL MAJESTY™ ES Flow” and “PANAVIA™ Veneer LC” use the same application tips?

No, the “PANAVIA™ Veneer LC” Paste tips are specially designed for an easy extrusion and application and their gauge, which is 16 (1.65 mm in diameter) and differ from the “CLEARFIL MAJESTY™ ES Flow” ones.

How do I store “PANAVIA™ Veneer LC”?

The product should be stored in the refrigerator. All components stored in the refrigerator should be brought to room temperature for 15 minutes before use in order to restore its normal viscosity and curing properties.

What is the shelf-life of the “PANAVIA™ Veneer LC” components?

The shelf-life of “PANAVIA™ Veneer LC” components is 36 months from date of manufacture with refrigeration.