429 Too Many Requests

429 Too Many Requests


nginx

EGENSKAPER OG FORDELER

1

INNOVATIV HERDETEKNOLOGI

PANAVIA V5 Tooth Primer gir en sterk og holdbar adhesiv overflate ved at den starter herdingen når den kommer i kontakt med pastaen. Likevel har PANAVIA Veneer LC lang arbeidstid som til og med muliggjør plassering av flere fasader samtidig. Sluttresultatet er sterkt og holdbart.

2

HØYESTETIKK

Lav filmtykkelse og gode poleringsegenskaper lar brukeren skape glatte overganger. Fire forskjellige, stabile farger tilbyr estetikk med lang holdbarhet. Matchende innprøvingspastaer gjør det enkelt å velge riktig farge.

3

OPTIMALISERT HÅNDTERING

Viskositeten og de tiksotrope egenskapene er optimalisert for enkel applisering og plassering. Overskudd fjernes enkelt etter en rask lysherding (1 sek.).

INDIKASJONER

PANAVIA Veneer LC kan brukes for
permanent sementering av:

  • Skallfasetter
  • Innlegg og onlays med mindre enn
    2 mm tykkelse både i keramikk og
    kompositt

INDIKASJONER

PANAVIA Veneer LC kan brukes for permanent
sementering av:

  • Skallfasetter
  • Innlegg og onlays med mindre enn
    2 mm tykkelse både i keramikk og
    kompositt

INNOVATIV HERDETEKNOLOGI

Kuraray Noritake Dental Inc. har utviklet en ny måte å bruke sin innovative kontakt-herdende teknologi sammen med lysherdende sementer på. Denne beholder lang arbeidstid og holdbar bindingsstyrke.
PANAVIA Veneer LC er et lysherdende resinsement-system som tilbyr fremragende stabilitet i lyse omgivelser og derved oppnås en arbeidstid på 200 sek.* Dette gjør at du kan plassere flere fasetter om gangen uten bekymring for at materialet skal stivne. Polymeriseringen starter når du er klar.

*Arbeidstid i rombelysning (8000 lux): 200 sek.

200
SEK.
ARBEIDSTID*
EN-KOMPONENT SELVETSENDE PRIMER

EN-KOMPONENT SELVETSENDE PRIMER

Bidrar til polymeriseringen på den adhesive overflaten.

LYSHERDENDE SEMENTPASTA

LYSHERDENDE SEMENTPASTA

Fremragende stabilitet ved bakgrunnsbelysning.

LYSHERDENDE

Forsegler den adhesive kontaktflaten mot tannsubstans,
mens tilstrekkelig arbeidstid opprettholdes.

Image

HØYESTETISK

På grunn av den ofte lave materialtykkelsen og høy translucens, vil utseendet av skallfasetter påvirkes kraftig av fargen på sementen. PANAVIA Veneer LC er fargestabil og gir restaureringsgrenser som er usynlige over lang tid.

High Aesthetics

MOTSTANDSDYKTIGHET
MOT MISFARGING

PANAVIA Veneer LC har velbalansert sammensetning og kontakt-herdings teknologi som gir motstandsdyktighet mot misfarging og derved høy fargestabilitet. Dette er antagelig den viktigste faktoren for å muliggjøre estetikk som varer lenge.

Tand image (Desktop)
Tand image (Mobile)

OPTIMALISERT HÅNDTERING

Optimised Handling

Er det mulig å redusere tiden og stresset ved plasseringen av skallfasetter? PANAVIA Veneer LC gir homogen applisering av sement, enkel plassering av fasetten, enkel fjerning av overskudd og rask polering. Spesialdesignet sprøyte og appliseringsspiss sikrer god kontroll over appliseringen.

IKKE KLEBENDE

Nanocluster fillerteknologien i PANAVIA Veneer LC forhindrer trådtrekking og den ideelle konsistensen gir enkel og sikker applisering.

IDEELL KONSISTENS

De tiksotrope egenskapene til sementen forhindrer siging og renning. De gode håndteringsegenskapene skyldes delvis de nye nyutviklede sfæriske silika-fillerne. PANAVIA Veneer LC leverer kontrollert applisering. Den holder seg på plass, men flyter lett når fasettene plasseres på tannen.

ENKEL FJERNING AV OVERSKUDD

Overskudd av sement kan fjernes i ett stykke med en sonde etter en rask ett-sekunds herding.

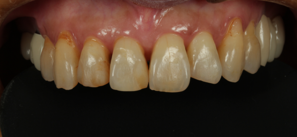
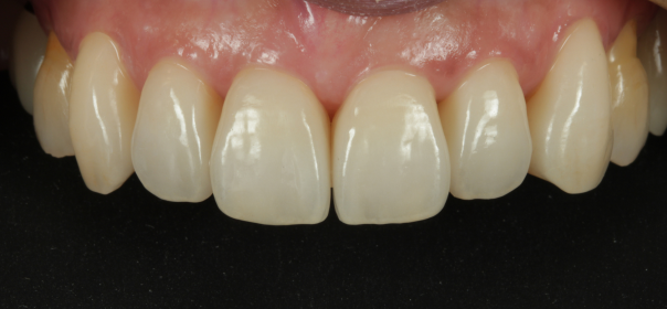
KLINISK KASUS

Med tillatelse av Dr. Sato

KLINISK KASUS

Med tillatelse av Dr. Sato

Image 1

1. Preoperativt før preparering for 6 fasetter. (13 til 23).

Image 2

2. PANAVIA Veneer LC´s gode konsistens og viskositet av pastaen sørget for enklere applisering, plassering og fjerning av overskudd.

Image 3

3. Lysherding av hvert område og kantene.

Image 4

4. Det endelige resultatet etter sementering av seks KATANA Zirconia STML skallfasetter.

Se vennligst bruksanvisningen for detaljert informasjon.

FORSKNINGEN BAK

Flotte poleringsegenskaper og holdbar glans

Flotte poleringsegenskaper og holdbar glans gir estetiske restaureringskanter over lang tid.

PANAVIA V5 Tooth Primer er en selvetsende adhesiv for tannvev (dentin og emalje) som forsegler den adhesive tannoverflaten straks PANAVIA Veneer LC pastaen appliseres på den. Denne kontaktherdings teknologien starter polymeriseringen utelukkende i kontaktområdet og etablerer en sterk binding til emalje og dentin, men påvirker ikke herdereaksjonen til sementen. En høy bindingsstyrke mot restaureringsmaterialer oppnås ved hjelp av den velprøvde CLEARFIL CERAMIC PRIMER PLUS.

HOLDBARHET AV HØYGLANS
HOLDBARHET AV HØYGLANS
PANAVIA Veneer LC Paste

Kilde: Kuraray Noritake Dental Inc.

HOLDBARHET AV HØYGLANS
HOLDBARHET AV HØYGLANS
PANAVIA Veneer LC Paste
Variolink* Esthetic LC
RelyX* Veneer

Testbetingelser: Prøvens diameter 10 mm, tykkelse 2 mm. Etter pussing av overflaten med vannfast slipepapir (#1000 til # 2500) sluttpolering med poleringsduk (lapping film) startverdi (glansnivå målt etter polering*). Slitasje fra tannbørsting (målt etter 40.000 pussebevegelser med trykk på 250 gram, 30 pussebevegelser/minutt, 10 vekt% tannpasta*). Målt med et glossmeter VG 2000 (Nippon Denshoku Kogyo) med en vinkel på 60 grader. Merk: Verdiene kan variere etter måleforholdene.

Kilde: Kuraray Noritake Dental Inc.
*Ikke et varemerke for KURARAY CO., LTD.

SHEAR BOND STRENGTH TIL HUMANE TENNER
SHEAR BOND STRENGTH TIL HUMANE TENNER
Emalje
Dentin

Testbetingelser: Overflatepolering #1000, applisering av primer PANAVIA Veneer LC pasta: Lysherding i 20 sekunder, SUS chip (3 mm). Målt etter oppbevaring i vann ved 37 grader C i en dag, Termisk syklus 4-60 grader C.

Kilde: Kuraray Noritake Dental Inc.
*Ikke et varemerke for KURARAY CO., LTD.

SHEAR BOND STRENGTH TIL RESTAURERINGSMATERIALE
SHEAR BOND STRENGTH TIL RESTAURERINGSMATERIALE
37 grader C, 1 dag
TC3000

Testbetingelser: Overflatepolering #1000, sandblåsing (KATANA Zirconia) eller etsing med flussyre (glasskeramikk), SUS chip (5 mm). Målt etter oppbevaring i vann ved 37 grader C i en dag, eller termisk syklus 4-60 grader C.

Kilde: Kuraray Noritake Dental Inc.
*Ikke et varemerke for KURARAY CO., LTD.

FARGER

PANAVIA V5 TRY-IN PASTE
Clear
Universal
White
Brown

FIRE HØYESTETISKE
FARGER

MATCHENDE INNPRØVINGSPASTAER

MINIMAL FILMTYKKELSE

Med en farge som matcher individuelle krav, oppnår man enkelt naturtro resultater.

PANAVIA V5 innprøvingspastaer matcher fargene til PANAVIA Veneer LC og muliggjør simulering av det endelige resultatet.

Takket være flowen og lav filmtykkelse, lager PANAVIA Veneer LC et tynt, jevnt fordelt sementlag som bidrar til enkel plassering av skallfasettene og svært estetiske restaureringskanter.

FIRE HØYESTETISKE FARGER

 

Med en farge som matcher individuelle krav, oppnår man enkelt naturtro resultater.

MATCHENDE INNPRØVINGSPASTAER

PANAVIA V5 innprøvingspastaer matcher fargene til PANAVIA Veneer LC og muliggjør simulering av det endelige resultatet.

MINIMAL FILMTYKKELSE

 

Takket være flowen og lav filmtykkelse, lager PANAVIA Veneer LC et tynt, jevnt fordelt sementlag som bidrar til enkel plassering av skallfasettene og svært estetiske restaureringskanter.

  • Internationally highly valued

     

    Testimonials

  • Afbeelding Dr. Greg Campbell, DDS
  • Dr. Greg Campbell, DDS
    USA

    “Love the versatility of the new PANAVIA Veneer LC cement when it comes to delivering my Veneers and Onlays. I can use the PANAVIA V5 Tooth Primer or my CLEARFIL Universal adhesive and get the proven benefits of the Original-MDP and the “Gold Standard” bonding we have come to expect from Kuraray. Easy to use, easy to clean up and extremely strong bonds. Four shades and try-in pastes give me complete control and ensures clinical success time and time again!
    Thank you, Kuraray Noritake for another great product.”

     

  •  

    Dr. Karyn Halpern, DDS
    USA

    “I am so impressed by the bond of this new cement. It’s not only strong but it was super easy to use, place, and clean up!
    Needless to say, I am a fan!”

     

     

  • Afbeelding Dr. Karyn Halpern DDS
  • Afbeelding Dr. Gianmarco O'Brien, DDS, Inc.
  • Dr. Gianmarco O'Brien, DDS, Inc.
    USA

    "This product is what I have come to expect from a company like Kuraray, the leader in adhesive dentistry. Easy to use clinically (excellent handling), very color stable since there is NO POST-BONDING GRAYING effect from tertiary amines (aromatic amine). I have total confidence in the DURABLE bond strength with their products. This is my new go-to veneer adhesive resin cement system!"

     

Produkter

For bestilling, velg blant følgende alternativer.

PANAVIA V5  Try-in Paste
PANAVIA V5 Try-in Paste

1.8ml

Universal (A2)
Clear
Brown (A4)
White
Opaque

-
+
PANAVIA™ Veneer LC KITS
PANAVIA™ Veneer LC KITS
-
+
CLEARFIL™ CERAMIC PRIMER PLUS
CLEARFIL™ CERAMIC PRIMER PLUS

4ml

-
+
PANAVIA™ Veneer LC Applicator tip
PANAVIA™ Veneer LC Applicator tip

20 Applicator tips (16g)

-
+
PANAVIA™ Veneer LC PASTE
PANAVIA™ Veneer LC PASTE
-
+
PANAVIA V5  Tooth Primer
PANAVIA V5 Tooth Primer

4ml

-
+

FAQ

Vi har satt sammen en liste med svar på de mest aktuelle spørsmålene.

What is “PANAVIA™ Veneer LC”?

“PANAVIA™ Veneer LC” is a light-cure adhesive resin cement system. It consists of the “PANAVIA™ Veneer LC” Paste (a light-cure cement paste), “CLEARFIL™ CERAMIC PRIMER PLUS” (a silane, zirconia & metal primer), K-ETCHANT Syringe (Phosphoric Acid), and “PANAVIA™ V5” Try-in Paste. “CLEARFIL™ Universal Bond Quick” or “PANAVIA™ V5” Tooth Primer can be chosen for tooth treatment.

What are the indications?

Cementation of ceramic and composite inlays, onlays and laminate veneers with less than 2 mm thickness of the following materials: silica-based ceramics (e.g. conventional porcelain, lithium disilicate), hybrid ceramics, composite resin and “KATANA™ Zirconia” STML/UTML/YML (with a thickness of less than 1.2 mm).

How can I treat the prosthetic restoration?

Follow the Instructions for Use of the restorative material. In the absence of specific instructions, we recommend the following procedures and application of the provided “CLEARFIL™ CERAMIC PRIMER PLUS”: if the adherent surface is silica-based ceramic (e.g. conventional porcelain, lithium disilicate), hybrid ceramic or composite resin: Based on the type of restoration, hydrofluoric acid etching or air abrasion treatment may be used:

 

Acid Etching Treatment (e.g. conventional porcelain, lithium disilicate):
Etch the adherent surface with a hydrofluoric acid solution in accordance with the Instructions for Use of the solution. Rinse the adherent surface with water and dry.

 

Air Abrasion Treatment (e.g. composite resin):
Roughen the adherent surface by blasting with alumina powder (30-50 μm) using air pressure of 0.1-0.2 MPa (1-2 kgf/cm2, 15-29 psi, 1-2 Bar). The air pressure and powder size should be properly adjusted to suit the material and/or shape of the prosthetic restoration, using caution to prevent chipping. Clean the prosthetic restoration in an ultrasonic cleaning unit for 2 minutes or with “KATANA™ Cleaner” with 10 seconds of rubbing and then rinse with water.

Is it possible to use “CLEARFIL™ Universal Bond Quick” for the surface treatments of veneer restorations?

Although technically possible, we recommend to use “CLEARFIL™ CERAMIC PRIMER PLUS” to get optimal performance for glass ceramics.

Are there additional steps, if I try-in the restoration after it is acid etched or air abraded?

Yes, doing that would contaminate the restoration and, hence, decrease the bond strength. To remove the contamination, use “KATANA™ Cleaner” for 10 seconds with a rubbing motion then rinse with water until the color has been disappeared and dry the restorations to remove contaminants, or apply K-ETCHANT Syringe (Phosphoric Acid) for 5 seconds in case of non-zirconia restorations.

How can I treat the prepared tooth?

There are 2 ways to treat the prepared tooth: with the “PANAVIA™ V5” Tooth Primer or “CLEARFIL™ Universal Bond Quick”.

 

a) “PANAVIA™ V5” Tooth Primer: Etch the enamel with the K-ETCHANT (phosphoric acid) for 10 seconds, rinse and dry. Apply the Tooth Primer to the entire prepared tooth surface, with an applicator brush and leave it in place for 20 seconds. Thoroughly dry the entire adherent surface sufficiently by blowing mild, oil-free air until all water is evaporated from the primer.

 

b) “CLEARFIL™ Universal Bond Quick”: Selective etch the enamel with K-ETCHANT syringe (phosphoric acid) for 10 seconds, rinse and dry. Apply BOND with a rubbing motion to the entire preparation with the applicator brush. No waiting time is required. Dry the entire cavity wall sufficiently by blowing mild air for more than 5 seconds until BOND does not move.

 

When cementing laminate veneers, there is no need to light-cure BOND prior to seating the laminate veneers. It should be cured after seating the laminate veneers with the “PANAVIA™ Veneer LC” cement. When cementing inlays or onlays, BOND should be light-cured before seating the restoration. Please confirm the curing time by referencing the Instructions for Use.

What are the differences of using the “PANAVIA™ V5” Tooth Primer or “CLEARFIL™ Universal Bond Quick” when treating the prepared tooth?

In terms of bond strength, both are similar and provide excellent results. Nevertheless, the “PANAVIA™ V5” Tooth Primer will provide a “touch-cure” mechanism that will seal the bonding interface before the final light curing. Additionally, while the application time is shorter with “CLEARFIL™ Universal Bond Quick” (no waiting time versus 20 s), there is a longer working time under ambient light with the “PANAVIA™ V5” Tooth Primer (200 seconds vs 160 seconds with the BOND).

What are the advantages of “PANAVIA™ Veneer LC” over competing products?

PANAVIA™ Veneer LC” offers the ideal paste consistency, not being too high or too low as several competitive products. This will facilitate the dispensing of the paste onto the restoration and smooth seating of such restoration. A low film thickness and long working time are also advantages over competitive products. In addition, in case of using it with the “PANAVIA™ V5” Tooth Primer, the “touch-cure” mechanism will provide bonding interface sealing.

How should the excess cement be removed?

One of the following two techniques can be used:

 

Tack-Cure Clean-Up Technique: Light-cure any excess cement in several spots for 1 second at a distance of 10-15 mm. Hold the prosthetic restoration in position, remove the tack-cured excess cement using a dental instrument.

 

Wet Clean-Up Technique: Any excess cement remaining at the margins can be removed with a small brush, foam pellet, dental floss or dental explorer.

 

Regardless of the technique used, final curing will be required as the next step. Please refer to the Instructions for Use.

Should the margins be covered with a protective gel during final curing?

The use of a protective gel, like “PANAVIA™ F 2.0” OXYGUARD II, is beneficial to prevent the forming of an oxygen inhibited layer thus helping to create smooth margins.

How many shades of “PANAVIA™ Veneer LC” Paste are available?

There are 4 shades of “PANAVIA™ Veneer LC” Paste available: Clear, Universal (A2); White and Brown (A4). Each shade has a corresponding glycerin based, water soluble Try-In Paste.

How is the “PANAVIA™ V5” Try-in Paste used?

The “PANAVIA™ V5” Try-In Paste shades match the “PANAVIA™ Veneer LC” shades (in light-cured state) and allow for a simulation of the final appearance of the restoration. The “PANAVIA™ V5” Try-In Paste cannot be (light) cured, and can be removed easily with water.

Is “PANAVIA™ Veneer LC” color stable?

Yes, “PANAVIA™ Veneer LC” Paste is color stable.

What makes “PANAVIA™ Veneer LC” color stable?

Since “PANAVIA™ Veneer LC” Paste is only light curing, no amine reducing agent based redox curing system is included avoiding unwanted discoloration over time.

What is the filler load and particle size?

The total amount of inorganic filler is approximately, 66 wt%, 47 vol%. The particle size of inorganic fillers range from 0.05 μm to 8 μm.

What is the main filler form of “PANAVIA™ Veneer LC”?

“PANAVIA™ Veneer LC” Paste has spherical silica and nano cluster fillers. This provides a paste which is not runny, has excellent handling, and resistance to sagging.

What is the film thickness of “PANAVIA™ Veneer LC”?

“PANAVIA™ Veneer LC” Paste film thickness is around 8 μm.

Can “PANAVIA™ Veneer LC” be used to cement zirconia veneers and inlays/onlays?

Zirconia should not be used because it may not have sufficient translucency. However, zirconia of our products with high translucency (“KATANA™ Zirconia” STML/UTML, “KATANA™ Zirconia” Block STML) can be used with a thickness of less than 1.2 mm.

How is the bond strength of “PANAVIA™ Veneer LC”?

“PANAVIA™ Veneer LC” has excellent bond strength to several substrates (e.g. enamel, dentin, lithium disilicate, “KATANA™ Zirconia”, feldspar ceramic) at a similar level to the acclaimed “PANAVIA™ V5”.

How many treatments can be cemented with a single syringe?

Approximately 20-30 teeth for laminate veneer.

Do “CLEARFIL MAJESTY™ ES Flow” and “PANAVIA™ Veneer LC” use the same application tips?

No, the “PANAVIA™ Veneer LC” Paste tips are specially designed for an easy extrusion and application and their gauge, which is 16 (1.65 mm in diameter) and differ from the “CLEARFIL MAJESTY™ ES Flow” ones.

How do I store “PANAVIA™ Veneer LC”?

The product should be stored in the refrigerator. All components stored in the refrigerator should be brought to room temperature for 15 minutes before use in order to restore its normal viscosity and curing properties.

What is the shelf-life of the “PANAVIA™ Veneer LC” components?

The shelf-life of “PANAVIA™ Veneer LC” components is 36 months from date of manufacture with refrigeration.