429 Too Many Requests

429 Too Many Requests


nginx

OMINAISUUDET JA HYÖDYT

1

INNOVATIIVINEN KOVETUSTEKNOLOGIA

Tullessaan kosketuksiin PANAVIA™ V5 -esikäsittelynesteellä käsitellyn hammasrakenteen kanssa, PANAVIA Veneer LC kovettuu välittömästi sidospinnalla luoden vahvan ja kestävän pohjan sidokselle. PANAVIA Veneer LC:n pitkä työskentelyaika mahdollistaa useiden laminaattien kiinnittämisen samalla kertaa. Lopputuloksena on vahva ja kestävä sidos.

2

ERINOMAINEN ESTETIIKKA

Ohut sementtikerros ja hyvä kiillotettavuus mahdollistavat siistit, esteettiset saumat. Neljä tarkkaan valittua, haalistumatonta sävyä mahdollistavat kestävän, kauniin estetiikan. Yhteensopivan sovituspastan ansiosta sävynvalinta on helppoa.

3

IHANTEELLINEN KÄSITELTÄVYYS

Sementin viskositeetti ja tiksotropia on optimoitu helppoa annostelua ja asettamista ajatellen. Yhden sekunnin "tack-cure"-esikovetus tekee ylimääräisen sementin poistamisesta vaivatonta.

KÄYTTÖINDIKAATIOT

PANAVIA Veneer LC sopii käytettäväksi
sementoitaessa keraamisia tai
yhdistelmämuovista valmistettuja

  • laminaatteja
  • alle 2 mm paksuja inlay-
    ja onlay-täytteitä.

KÄYTTÖINDIKAATIOT

PANAVIA Veneer LC sopii käytettäväksi
sementoitaessa keraamisia tai
yhdistelmämuovista valmistettuja

  • laminaatteja
  • alle 2 mm paksuja inlay-
    ja onlay-täytteitä.

INNOVATIIVINEN KOVETUSTEKNOLOGIA

Kuraray Noritake Dental Inc. on kehittänyt tavan yhdistää innovatiivisen touch-cure-teknologiansa sementin valokovetukseen. Tuloksena on tuote, joka tarjoaa pitkän työskentelyajan yhdistettynä lujaan, kestävään sidokseen.
PANAVIA Veneer LC on valokovetteinen resiinisementtijärjestelmä, joka on erittäin vakaa tavanomaisessa huoneenvalossa – ominaisuus, joka mahdollistaa 200 sekunnin työskentelyajan*. Voit siis halutessasi kiinnittää useita laminaatteja joutumatta kiirehtimään työtä kovettumisajan lyhyyden vuoksi. Voit aloittaa sementin polymerisoinnin heti kun olet valmis.

*Työskentelyaika tavanomaisessa huoneenvalossa (8000 lx): 200 sekuntia.

200
S.
TYÖSKENTELYAIKA*
ITSE-ETSAAVA YKSIKOMPONENTTINEN ESIKÄSITTELYNESTE

ITSE-ETSAAVA YKSIKOMPONENTTINEN ESIKÄSITTELYNESTE

Tehostaa polymerisaatiota sidospinnassa.

VALOKOVETTEINEN SEMENTTI

VALOKOVETTEINEN SEMENTTI

Erinomainen vakaus tavanomaisessa valaistuksessa.

VALOKOVETUS

Sidospinta hammasrakenteeseen kovettuu
touch-cure-mekanismilla varmistaen samalla
riittävän työskentelyajan.

Image

Erinomainen estetiikka

Koska laminaatit ovat yleensä erittäin ohuita ja läpikuultavia, on sementin sävyllä suuri vaikutus niiden estetiikkaan. PANAVIA Veneer LC säilyttää sävynsä hyvin ja mahdollistaa saumat, jotka pysyvät näkymättöminä.

High Aesthetics

SÄILYTTÄÄ VÄRINSÄ

Tasapainoisen koostumuksensa ja touch-cure-teknologian ansiosta PANAVIA Veneer LC kestää haalistumatta ja säilyttää näin ollen hyvin värinsä - ominaisuus, joka on keskeinen hyvän, pitkäkestoisen estetiikan kannalta.

Tand image (Desktop)
Tand image (Mobile)

IHANTEELLINEN KÄSITELTÄVYYS

Optimised Handling

Voidaanko laminaatien kiinnitämiseen vaadittavaa aikaa ja vaivaa vähentää? PANAVIA Veneer LC tekee sementin tasaisen levittämisen, laminaattien asettamisen ja sementtiylimäärän poistamisen helpoksi ja nopeuttaa kiillottamista. Erityisesti suunniteltu annosteluruisku ja annostelukärki tekevät annostelun kontrolloinnista helppoa.

TARTTUMATTOMUUS

PANAVIA Veneer LC:n nanoklusteriteknologia ehkäisee säikeiden muodostumista, ja sementin ihanteellinen koostumus tekee annostelusta helppoa ja ennakoitavaa.

IHANTEELLINEN KOOSTUMUS

PANAVIA Veneer LC:n tiksotrooppisten ominaisuuksien ansiosta voit sanoa hyvästit restauraation valumiselle ja liikkumiselle sementoinnin aikana. Erinomaiset käsittelyominaisuudet ovat kehittämiemme uusien silikafillerien ansiota. PANAVIA Veneer LC on helppo annostella haluttuun kohteeseen ja pysyy siinä mihin se on annosteltu, mutta on sopivan juoksevaa asetettaessa laminaattia hampaaseen.

HELPPO YLIMÄÄÄRÄN POISTAMINEN

Sementin ylimäärä on helppo poistaa sondilla yhtenä palana yhden sekunnin esikovetuksen jälkeen.

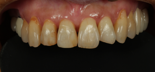
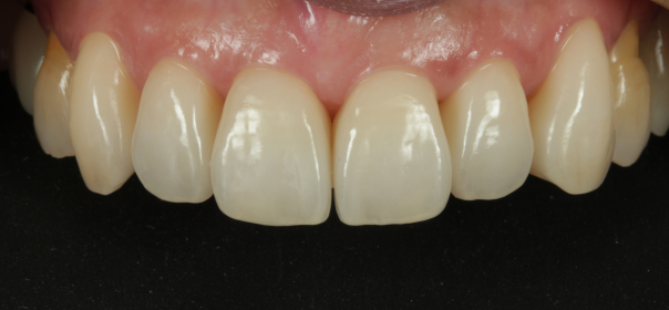
KLIININEN ESIMERKKITAPAUS

HLT Saton kliinisestä työstä

KLIININEN ESIMERKKITAPAUS

HLT Saton kliinisestä työstä

Image 1

1. Alkutilanne ennen preparointia 6 laminaatille (D.13–D.23).

Image 2

2. PANAVIA Veneer LC:n erinomainen koostumus ja viskositeetti mahdollistivat helpomman annostelun, laminaattien paikoilleen asettamisen ja sementtiylimäärän poistamisen.

Image 3

3. Sementoitujen alueiden ja saumojen valokovetus.

Image 4

4. Lopputulos: kuusi KATANA™ Zirkonia STML -laminaattia paikoiilleen sementoituna.

 

Katso tarkemmat käyttöohjeet käyttöoppaasta.

TIETEELLINEN TAUSTA

Helppo kiillotettavuus ja kestävä kiilto

Helppo kiillotettavuus ja kiillon erinomainen kestävyys mahdollistavat saumojen aikaa kestävän estetiikan.

PANAVIA V5 Tooth Primer -esikäsittelyneste on itse-etsaava sidosaine hammasrakenteelle (dentiinille tai kiiltelle), joka muodostaa sidoksen hampaan sidospintaan välittömästi levitettäessä PANAVIA Veneer LC -sementtiä sillä käsitellylle pinnalle. Tämä touch-cure-teknologia käynnistää polymerisaation, joka rajoittuu vain sidospintaan luoden vahvan sidoksen kiilteeseen ja dentiiniin vaikuttamatta itse sementin kovettumisreaktioon. Suuri sidoslujuus restauraatiomateriaaliin saavutetaan käyttämällä hyväksi todettua CLEARFIL™ CERAMIC PRIMER PLUS -esikäsittelynestettä.

KIILLON KESTO
KIILLON KESTO
PANAVIA Veneer LC Paste

Lähde: Kuraray Noritake Dental Inc.

KIILLON KESTO
KIILLON KESTO
PANAVIA Veneer LC Paste
Variolink* Esthetic LC
RelyX* Veneer

Koeasetelma: Näytteen halkaisija 10 mm, paksuus 2 mm. Pinnan tasoitus vesihiomapaperilla karkeuksilla 1 000–2 500, jonka jälkeen lopullinen kiillotus hiomakalvolla. Lähtöarvo (mitattu kiilto kiillotuksen jälkeen*). Hammasharjan aikaansaama kuluminen (mitattu 40 000 harjanvedon jälkeen, harjausvoima 250 g, 30 harjanvetoa minuutissa, harjausseoksessa hammastahnaa 10 paino-%). Mitattu VG 2000 -kiiltomittarilla (Nippon Denshoku Kogyo) 60° tulokulmalla. Huom: Mittausarvot voivat vaihdella mittausolosuhteista riippuen.

Lähde Kuraray Noritake Dental Inc.
*Ei KURARAY CO., LTD:n tavaramerkki.

SIDOKSEN LEIKKAUSLUJUUS IHMISEN HAMMASKUDOKSEEN SIDOSTETTAESSA
SIDOKSEN LEIKKAUSLUJUUS IHMISEN HAMMASKUDOKSEEN SIDOSTETTAESSA
Kiille
Dentiini

Koeasetelma: Kiillotus karkeudella 1 000, käytössä molemmat esikäsittelyaineet. PANAVIA Veneer LC -sementti: valokovetus 20 s., sementointi ruostumattomasta teräksestä valmistettuun 3 mm kiekkoon. Mittaus yhden vuorokauden 37 °C vedessä pidon jälkeen, lämpösykli: 4–60 °C.

Lähde Kuraray Noritake Dental Inc.
*Ei KURARAY CO., LTD:n tavaramerkki.

SIDOKSEN LEIKKAUSLUJUUS RESTAURAATIOMATERIAALIIN SIDOSTETTAESSA
SIDOKSEN LEIKKAUSLUJUUS RESTAURAATIOMATERIAALIIN SIDOSTETTAESSA
37 °C, 1 vuorokausi
TC3000

Koeasetelma: Kiillotus karkeudella 1 000, hiekkapuhallus (KATANA™-zirkonia) tai etsaus fluorivetyhapolla (lasikeramiikka), ruostumattomasta teräksestä valmistettu kiekko (halkaisija 5 mm), mittaus joko 1 vuorokauden 37 °C vedessä säilytyksen tai 4–60 °C lämpösyklin jälkeen.

Lähde Kuraray Noritake Dental Inc.
*Ei KURARAY CO., LTD:n tavaramerkki.

SÄVYT

PANAVIA V5 SOVITUSPASTA
Clear
Universal
White
Brown

NELJÄ ESTEETTISTÄ
SÄVYÄ

YHTEENSOPIVAT SOVITUSPASTAT

MINIMAALINEN KERROSPAKSUUS

Yksilöllisiin tarpeisiin sopivien sävyjen ansiosta luonnollisen lopputuloksen luominen on helppoa.

PANAVIA V5 -sovituspastan sävyt vastaavat PANAVIA Veneer LC:n sävyjä ja mahdollistavat lopullisen estetiikan simuloimisen.

Juoksevuuden ja muodostamansa kalvon ohuuden ansiosta PANAVIA Veneer LC muodostaa ohuen, tasaisesti levittyvän sementtikerroksen, mikä helpottaa restauraation paikoilleen asettamista ja esteettisten saumojen luomista.

NELJÄ ESTEETTISTÄ SÄVYÄ

Yksilöllisiin tarpeisiin sopivien sävyjen ansiosta luonnollisen lopputuloksen luominen on helppoa.

YHTEENSOPIVAT SOVITUSPASTAT

PANAVIA V5 -sovituspastan sävyt vastaavat PANAVIA Veneer LC:n sävyjä ja mahdollistavat lopullisen estetiikan simuloimisen.

MINIMAALINEN KERROSPAKSUUS

Juoksevuuden ja muodostamansa kalvon ohuuden ansiosta PANAVIA Veneer LC muodostaa ohuen, tasaisesti levittyvän sementtikerroksen, mikä helpottaa restauraation paikoilleen asettamista ja esteettisten saumojen luomista.

  • Internationally highly valued

     

    Testimonials

  • Afbeelding Dr. Greg Campbell, DDS
  • Dr. Greg Campbell, DDS
    USA

    “Love the versatility of the new PANAVIA Veneer LC cement when it comes to delivering my Veneers and Onlays. I can use the PANAVIA V5 Tooth Primer or my CLEARFIL Universal adhesive and get the proven benefits of the Original-MDP and the “Gold Standard” bonding we have come to expect from Kuraray. Easy to use, easy to clean up and extremely strong bonds. Four shades and try-in pastes give me complete control and ensures clinical success time and time again!
    Thank you, Kuraray Noritake for another great product.”

     

  •  

    Dr. Karyn Halpern, DDS
    USA

    “I am so impressed by the bond of this new cement. It’s not only strong but it was super easy to use, place, and clean up!
    Needless to say, I am a fan!”

     

     

  • Afbeelding Dr. Karyn Halpern DDS
  • Afbeelding Dr. Gianmarco O'Brien, DDS, Inc.
  • Dr. Gianmarco O'Brien, DDS, Inc.
    USA

    "This product is what I have come to expect from a company like Kuraray, the leader in adhesive dentistry. Easy to use clinically (excellent handling), very color stable since there is NO POST-BONDING GRAYING effect from tertiary amines (aromatic amine). I have total confidence in the DURABLE bond strength with their products. This is my new go-to veneer adhesive resin cement system!"

     

Tuotteet

Tilaa valitsemalla jokin seuraavista vaihtoehdoista.

PANAVIA V5  Try-in Paste
PANAVIA V5 Try-in Paste

1.8ml

Universal (A2)
Clear
Brown (A4)
White
Opaque

-
+
PANAVIA™ Veneer LC KITS
PANAVIA™ Veneer LC KITS
-
+
CLEARFIL™ CERAMIC PRIMER PLUS
CLEARFIL™ CERAMIC PRIMER PLUS

4ml

-
+
PANAVIA™ Veneer LC Applicator tip
PANAVIA™ Veneer LC Applicator tip

20 Applicator tips (16g)

-
+
PANAVIA™ Veneer LC PASTE
PANAVIA™ Veneer LC PASTE
-
+
PANAVIA V5  Tooth Primer
PANAVIA V5 Tooth Primer

4ml

-
+

Usein esitettyjä kysymyksiä

Olemme koonneet vastaukset useimmin esitettyihin olennaisiin kysymyksiin.

What is “PANAVIA™ Veneer LC”?

“PANAVIA™ Veneer LC” is a light-cure adhesive resin cement system. It consists of the “PANAVIA™ Veneer LC” Paste (a light-cure cement paste), “CLEARFIL™ CERAMIC PRIMER PLUS” (a silane, zirconia & metal primer), K-ETCHANT Syringe (Phosphoric Acid), and “PANAVIA™ V5” Try-in Paste. “CLEARFIL™ Universal Bond Quick” or “PANAVIA™ V5” Tooth Primer can be chosen for tooth treatment.

What are the indications?

Cementation of ceramic and composite inlays, onlays and laminate veneers with less than 2 mm thickness of the following materials: silica-based ceramics (e.g. conventional porcelain, lithium disilicate), hybrid ceramics, composite resin and “KATANA™ Zirconia” STML/UTML/YML (with a thickness of less than 1.2 mm).

How can I treat the prosthetic restoration?

Follow the Instructions for Use of the restorative material. In the absence of specific instructions, we recommend the following procedures and application of the provided “CLEARFIL™ CERAMIC PRIMER PLUS”: if the adherent surface is silica-based ceramic (e.g. conventional porcelain, lithium disilicate), hybrid ceramic or composite resin: Based on the type of restoration, hydrofluoric acid etching or air abrasion treatment may be used:

 

Acid Etching Treatment (e.g. conventional porcelain, lithium disilicate):
Etch the adherent surface with a hydrofluoric acid solution in accordance with the Instructions for Use of the solution. Rinse the adherent surface with water and dry.

 

Air Abrasion Treatment (e.g. composite resin):
Roughen the adherent surface by blasting with alumina powder (30-50 μm) using air pressure of 0.1-0.2 MPa (1-2 kgf/cm2, 15-29 psi, 1-2 Bar). The air pressure and powder size should be properly adjusted to suit the material and/or shape of the prosthetic restoration, using caution to prevent chipping. Clean the prosthetic restoration in an ultrasonic cleaning unit for 2 minutes or with “KATANA™ Cleaner” with 10 seconds of rubbing and then rinse with water.

Is it possible to use “CLEARFIL™ Universal Bond Quick” for the surface treatments of veneer restorations?

Although technically possible, we recommend to use “CLEARFIL™ CERAMIC PRIMER PLUS” to get optimal performance for glass ceramics.

Are there additional steps, if I try-in the restoration after it is acid etched or air abraded?

Yes, doing that would contaminate the restoration and, hence, decrease the bond strength. To remove the contamination, use “KATANA™ Cleaner” for 10 seconds with a rubbing motion then rinse with water until the color has been disappeared and dry the restorations to remove contaminants, or apply K-ETCHANT Syringe (Phosphoric Acid) for 5 seconds in case of non-zirconia restorations.

How can I treat the prepared tooth?

There are 2 ways to treat the prepared tooth: with the “PANAVIA™ V5” Tooth Primer or “CLEARFIL™ Universal Bond Quick”.

 

a) “PANAVIA™ V5” Tooth Primer: Etch the enamel with the K-ETCHANT (phosphoric acid) for 10 seconds, rinse and dry. Apply the Tooth Primer to the entire prepared tooth surface, with an applicator brush and leave it in place for 20 seconds. Thoroughly dry the entire adherent surface sufficiently by blowing mild, oil-free air until all water is evaporated from the primer.

 

b) “CLEARFIL™ Universal Bond Quick”: Selective etch the enamel with K-ETCHANT syringe (phosphoric acid) for 10 seconds, rinse and dry. Apply BOND with a rubbing motion to the entire preparation with the applicator brush. No waiting time is required. Dry the entire cavity wall sufficiently by blowing mild air for more than 5 seconds until BOND does not move.

 

When cementing laminate veneers, there is no need to light-cure BOND prior to seating the laminate veneers. It should be cured after seating the laminate veneers with the “PANAVIA™ Veneer LC” cement. When cementing inlays or onlays, BOND should be light-cured before seating the restoration. Please confirm the curing time by referencing the Instructions for Use.

What are the differences of using the “PANAVIA™ V5” Tooth Primer or “CLEARFIL™ Universal Bond Quick” when treating the prepared tooth?

In terms of bond strength, both are similar and provide excellent results. Nevertheless, the “PANAVIA™ V5” Tooth Primer will provide a “touch-cure” mechanism that will seal the bonding interface before the final light curing. Additionally, while the application time is shorter with “CLEARFIL™ Universal Bond Quick” (no waiting time versus 20 s), there is a longer working time under ambient light with the “PANAVIA™ V5” Tooth Primer (200 seconds vs 160 seconds with the BOND).

What are the advantages of “PANAVIA™ Veneer LC” over competing products?

PANAVIA™ Veneer LC” offers the ideal paste consistency, not being too high or too low as several competitive products. This will facilitate the dispensing of the paste onto the restoration and smooth seating of such restoration. A low film thickness and long working time are also advantages over competitive products. In addition, in case of using it with the “PANAVIA™ V5” Tooth Primer, the “touch-cure” mechanism will provide bonding interface sealing.

How should the excess cement be removed?

One of the following two techniques can be used:

 

Tack-Cure Clean-Up Technique: Light-cure any excess cement in several spots for 1 second at a distance of 10-15 mm. Hold the prosthetic restoration in position, remove the tack-cured excess cement using a dental instrument.

 

Wet Clean-Up Technique: Any excess cement remaining at the margins can be removed with a small brush, foam pellet, dental floss or dental explorer.

 

Regardless of the technique used, final curing will be required as the next step. Please refer to the Instructions for Use.

Should the margins be covered with a protective gel during final curing?

The use of a protective gel, like “PANAVIA™ F 2.0” OXYGUARD II, is beneficial to prevent the forming of an oxygen inhibited layer thus helping to create smooth margins.

How many shades of “PANAVIA™ Veneer LC” Paste are available?

There are 4 shades of “PANAVIA™ Veneer LC” Paste available: Clear, Universal (A2); White and Brown (A4). Each shade has a corresponding glycerin based, water soluble Try-In Paste.

How is the “PANAVIA™ V5” Try-in Paste used?

The “PANAVIA™ V5” Try-In Paste shades match the “PANAVIA™ Veneer LC” shades (in light-cured state) and allow for a simulation of the final appearance of the restoration. The “PANAVIA™ V5” Try-In Paste cannot be (light) cured, and can be removed easily with water.

Is “PANAVIA™ Veneer LC” color stable?

Yes, “PANAVIA™ Veneer LC” Paste is color stable.

What makes “PANAVIA™ Veneer LC” color stable?

Since “PANAVIA™ Veneer LC” Paste is only light curing, no amine reducing agent based redox curing system is included avoiding unwanted discoloration over time.

What is the filler load and particle size?

The total amount of inorganic filler is approximately, 66 wt%, 47 vol%. The particle size of inorganic fillers range from 0.05 μm to 8 μm.

What is the main filler form of “PANAVIA™ Veneer LC”?

“PANAVIA™ Veneer LC” Paste has spherical silica and nano cluster fillers. This provides a paste which is not runny, has excellent handling, and resistance to sagging.

What is the film thickness of “PANAVIA™ Veneer LC”?

“PANAVIA™ Veneer LC” Paste film thickness is around 8 μm.

Can “PANAVIA™ Veneer LC” be used to cement zirconia veneers and inlays/onlays?

Zirconia should not be used because it may not have sufficient translucency. However, zirconia of our products with high translucency (“KATANA™ Zirconia” STML/UTML, “KATANA™ Zirconia” Block STML) can be used with a thickness of less than 1.2 mm.

How is the bond strength of “PANAVIA™ Veneer LC”?

“PANAVIA™ Veneer LC” has excellent bond strength to several substrates (e.g. enamel, dentin, lithium disilicate, “KATANA™ Zirconia”, feldspar ceramic) at a similar level to the acclaimed “PANAVIA™ V5”.

How many treatments can be cemented with a single syringe?

Approximately 20-30 teeth for laminate veneer.

Do “CLEARFIL MAJESTY™ ES Flow” and “PANAVIA™ Veneer LC” use the same application tips?

No, the “PANAVIA™ Veneer LC” Paste tips are specially designed for an easy extrusion and application and their gauge, which is 16 (1.65 mm in diameter) and differ from the “CLEARFIL MAJESTY™ ES Flow” ones.

How do I store “PANAVIA™ Veneer LC”?

The product should be stored in the refrigerator. All components stored in the refrigerator should be brought to room temperature for 15 minutes before use in order to restore its normal viscosity and curing properties.

What is the shelf-life of the “PANAVIA™ Veneer LC” components?

The shelf-life of “PANAVIA™ Veneer LC” components is 36 months from date of manufacture with refrigeration.