429 Too Many Requests

429 Too Many Requests


nginx

EGENSKABER OG FORDELE

1

INNOVATIV HÆRDNINGSTEKNOLOGI

PANAVIA™ V5 Tooth Primer fremmer en stærk og holdbar adhæsionsflade ved at hærde ved kontakt med cementen. PANAVIA Veneer LC byder stadigvæk på en lang arbejdstid, som gør det muligt at placere flere facader samtidig. Kombinationen giver et stærkt og holdbart resultat.

2

HØJ ÆSTETIK

Lav filmtykkelse og god polerbarhed giver brugerne mulighed for at skabe god kanttilslutning. Fire forskellige udvalgte, meget farve stabile nuancer tilbyder holdbar æstetik. De matchende indprøvningspastaer gør det nemt at vælge den rette farve.

3

OPTIMERET HÅNDTERING

Viskositeten og tiksotropien er optimeret med henblik på nem dispensering og placering. Punkthærdning på blot et sekund giver mulighed for ubesværet fjernelse af overskydende materiale.

INDIKATIONER

PANAVIA Veneer LC kan anvendes til
permanent cementering af keramik
og komposit:

  • Facader
  • Indlæg og onlays med mindre
    end 2 mm tykkelse

INDIKATIONER

PANAVIA Veneer LC kan anvendes til permanent
cementering af keramik og komposit:

  • Facader
  • Indlæg og onlays med mindre
    end 2 mm tykkelse

INNOVATIV HÆRDNINGSTEKNOLOGI

Kuraray Noritake Dental Inc. har udviklet en måde at bruge deres innovative kontakthærdningsteknologi med en lyspolymeriserende cement. Den byder fortsat på en lang arbejdstid og holdbare høje bindingsstyrker.
PANAVIA Veneer LC er en lyshærdende resincement, der tilbyder fremragende stabilitet i omgivende lys, hvilket fører til en arbejdstid på 200 sekunder*. Dette giver dig mulighed for at placere flere facader på en gang uden at skulle skynde dig, inden det hærder. Polymeriseringen kan startes, når du er klar til det.

*Arbejdstid i omgivende lys (8000 lux.): 200 sekunder.

200
SEK
ARBEJDSTID*
ENKELTKOMPONENT SELVÆTSENDE PRIMER

ENKELTKOMPONENT SELVÆTSENDE PRIMER

Bidrager til polymeriseringen af adhæsionsfladen.

LYSPOLYMERISERENDE CEMENT

LYSPOLYMERISERENDE CEMENT

Fremragende stabilitet i omgivende lys.

LYSHÆRDNING

Forsegl adhæsionsfladen på tandstrukturen ved kontakthærdning,
samtidig med at der sikres tilstrækkelig arbejdstid.

Image

Høj æstetik

På grund af deres generelt minimale tykkelse og høje translucens, påvirkes facaders æstetiske udseende kraftigt af cementfarven. PANAVIA Veneer LC er farvestabil og kanterne forbliver usynlige over tid.

High Aesthetics

MODSTÅR MISFARVNING

PANAVIA Veneer LC's velafbalancerede sammensætning og kontakthærdningsteknologi giver modstandsdygtighed over for misfarvning og dermed en høj farvestabilitet, hvilket sandsynligvis er den vigtigste egenskab når det gælder langvarig bevaring af æstetik.

Tand image (Desktop)
Tand image (Mobile)

OPTIMERET HÅNDTERING

Optimised Handling

Er det muligt at reducere den tid og indsats, der er forbundet med placering af facader? PANAVIA Veneer LC understøtter homogen applicering af cement, problemfri placering af facader, nem fjernelse af overskydende materiale og hurtigt polering. Høj kontrol ved applicering opnås takket være den specialdesignede sprøjte og spids.

IKKE-KLÆBRIG

Nanocluster fyldstofteknologien i PANAVIA Veneer LC forhindrer dannelse af strenge, og dens fremragende og ideelle konsistens giver en nem og sikker applicering.

IDEEL KONSISTENS

Takket være cementens tiksotrope egenskaber kommer facaderne ikke mere til at glide eller løsne. Den fremragende håndtering er forbedret af de nyudviklede sfæriske silikafillere. PANAVIA Veneer LC giver en kontrolleret påføring, den bliver siddende, hvor den påføres, men flyder godt, når facaderne placeres på tanden.

NEM FJERNELSE AF OVERSKUD

Overskydende cement kan fjernes i ét stykke med en sonde efter et-sekunds hærdning.

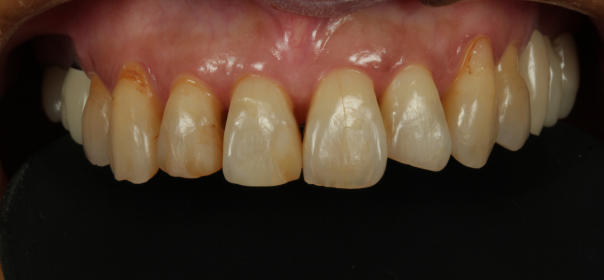
KLINISK EKSEMPEL

Anvendt med tilladelse fra Dr. Sato:

KLINISK EKSEMPEL

Anvendt med tilladelse fra Dr. Sato:

Image 1

1. Indledende status før præparation til 6 facader (fra #13 til #23).

Image 2

2. Den fremragende konsistens og viskositet ved PANAVIA Veneer LC gav mulighed for lettere dispensering, placering og fjernelse af overskydende cement.

Image 3

3. Lyshærdning af hvert område og kantområder.

Image 4

4. Afsluttende resultat efter cementering af seks KATANA™ Zirconia STML-facader.

Se brugsanvisningerne for at få detaljerede oplysninger.

VIDENSKABEN BAG

FREMRAGENDE POLERBARHED OG GLANSBEVARING

En fremragende polerbarhed og en fremragende glansbevaring er med til at give æstetiske kantområder, der holder længe.

PANAVIA V5 Tooth Primer er et selvætsende adhæsiv til tandstruktur (dentin og emalje), der forsegler adhæsionsfladen sikkert, så snart PANAVIA Veneer LC cementen appliceres på den. Denne kontakthærdningsteknologi igangsætter kun polymeriseringen ved adhæsionsfladen og etablerer en stærk binding til emalje og dentin, men den påvirker ikke cementens afbindingsreaktion. En høj bindingsstyrke til restaureringsmaterialer opnås ved brug af den gennemtestede CLEARFIL™ CERAMIC PRIMER PLUS.

GLANSBEVARING
GLANSBEVARING
PANAVIA Veneer LC Paste

Kilde: Kuraray Noritake Dental Inc.

GLANSBEVARING
GLANSBEVARING
PANAVIA Veneer LC Paste
Variolink* Esthetic LC
RelyX* Veneer

Testforhold: Prøveemne ø10 mm, tykkelse 2 mm. Efter udjævning af overfladen med vandafvisende slibepapir #1000 til #2500, afsluttende polering med slibepappir. Initialværdi (mål glansniveauet efter polering*). Tandbørsteslid (målt efter 40.000 strøg med 250 g belastning, 30 strøg/minut, 10 wt% tandpasta*). Målt med en glansmåler VG 2000 (Nippon Denshoku Kogyo) ved en vinkel på 60°. Bemærk: Værdier kan variere alt efter måleforhold.

Kilde: Kuraray Noritake Dental Inc.
*Ikke et varemærke tilhørende KURARAY CO., LTD.

BINDINGSSTYRKE TIL HUMANE TÆNDER
BINDINGSSTYRKE TIL HUMANE TÆNDER
Emalje
Dentin

Testforhold: Polering #1000, applicering af hver primermiddel PANAVIA Veneer LC Paste: Lyshærdning i 20 sek., cementering af SUS chip (3 mm). Målt efter opbevaring i vand 37 °C i 1 dag. Termisk cyklus 4-60 °C.

Kilde: Kuraray Noritake Dental Inc.
*Ikke et varemærke tilhørende KURARAY CO., LTD.

BINDINGSSTYRKE TIL RESTAURERINGSMATERIALE
BINDINGSSTYRKE TIL RESTAURERINGSMATERIALE
37 °C 1 dag
TC3000

Testforhold: Polering #1000, sandblæsning (“KATANA™ Zirconia”) eller flussyreætsning (glaskeramik), SUS chip (dia. 5 mm), målt efter opbevaring i vand 37 °C på dag 1, eller termisk cyklus på 4-60 °C.

Kilde: Kuraray Noritake Dental Inc.
*Ikke et varemærke tilhørende KURARAY CO., LTD.

FARVER

PANAVIA V5 TRY-IN PASTE
Clear
Universal
White
Brown

FIRE HØJÆSTETISKE FARVER

MATCHENDE INDPRØVNINGSPASTAER

MINIMAL FILMTYKKELSE

Med en farve der matcher det individuelle krav, er det nemt at opnå naturtro resultater.

PANAVIA V5 Try-In Pastes matcher PANAVIA Veneer LC-farverne og gør det muligt at simulere det endelige udseende.

Takket være dens flydeevne og lave filmtykkelse, frembringer PANAVIA Veneer LC et tyndt, jævnt fordelt cementlag, der bidrager til nem placering uden forstyrrelser og til højæstetiske kantområder.

FIRE HØJÆSTETISKE FARVER

Med en farve der matcher det individuelle krav, er det nemt at opnå naturtro resultater.

MATCHENDE INDPRØVNINGSPASTAER

PANAVIA V5 Try-In Pastes matcher PANAVIA Veneer LC-farverne og gør det muligt at simulere det endelige udseende.

MINIMAL FILMTYKKELSE

Takket være dens flydeevne og lave filmtykkelse, frembringer PANAVIA Veneer LC et tyndt, jævnt fordelt cementlag, der bidrager til nem placering uden forstyrrelser og til højæstetiske kantområder.

  • Internationally highly valued

     

    Testimonials

  • Afbeelding Dr. Greg Campbell, DDS
  • Dr. Greg Campbell, DDS
    USA

    “Love the versatility of the new PANAVIA Veneer LC cement when it comes to delivering my Veneers and Onlays. I can use the PANAVIA V5 Tooth Primer or my CLEARFIL Universal adhesive and get the proven benefits of the Original-MDP and the “Gold Standard” bonding we have come to expect from Kuraray. Easy to use, easy to clean up and extremely strong bonds. Four shades and try-in pastes give me complete control and ensures clinical success time and time again!
    Thank you, Kuraray Noritake for another great product.”

     

  •  

    Dr. Karyn Halpern, DDS
    USA

    “I am so impressed by the bond of this new cement. It’s not only strong but it was super easy to use, place, and clean up!
    Needless to say, I am a fan!”

     

     

  • Afbeelding Dr. Karyn Halpern DDS
  • Afbeelding Dr. Gianmarco O'Brien, DDS, Inc.
  • Dr. Gianmarco O'Brien, DDS, Inc.
    USA

    "This product is what I have come to expect from a company like Kuraray, the leader in adhesive dentistry. Easy to use clinically (excellent handling), very color stable since there is NO POST-BONDING GRAYING effect from tertiary amines (aromatic amine). I have total confidence in the DURABLE bond strength with their products. This is my new go-to veneer adhesive resin cement system!"

     

Produkter

For at bestille, vælg mellem følgende valgmuligheder.

PANAVIA V5  Try-in Paste
PANAVIA V5 Try-in Paste

1.8ml

Universal (A2)
Clear
Brown (A4)
White
Opaque

-
+
PANAVIA™ Veneer LC KITS
PANAVIA™ Veneer LC KITS
-
+
CLEARFIL™ CERAMIC PRIMER PLUS
CLEARFIL™ CERAMIC PRIMER PLUS

4ml

-
+
PANAVIA™ Veneer LC Applicator tip
PANAVIA™ Veneer LC Applicator tip

20 Applicator tips (16g)

-
+
PANAVIA™ Veneer LC PASTE
PANAVIA™ Veneer LC PASTE
-
+
PANAVIA V5  Tooth Primer
PANAVIA V5 Tooth Primer

4ml

-
+

Hyppigt stillede spørgsmål

Vi har sammensat en liste over svar på de mest relevante spørgsmål.

What is “PANAVIA™ Veneer LC”?

“PANAVIA™ Veneer LC” is a light-cure adhesive resin cement system. It consists of the “PANAVIA™ Veneer LC” Paste (a light-cure cement paste), “CLEARFIL™ CERAMIC PRIMER PLUS” (a silane, zirconia & metal primer), K-ETCHANT Syringe (Phosphoric Acid), and “PANAVIA™ V5” Try-in Paste. “CLEARFIL™ Universal Bond Quick” or “PANAVIA™ V5” Tooth Primer can be chosen for tooth treatment.

What are the indications?

Cementation of ceramic and composite inlays, onlays and laminate veneers with less than 2 mm thickness of the following materials: silica-based ceramics (e.g. conventional porcelain, lithium disilicate), hybrid ceramics, composite resin and “KATANA™ Zirconia” STML/UTML/YML (with a thickness of less than 1.2 mm).

How can I treat the prosthetic restoration?

Follow the Instructions for Use of the restorative material. In the absence of specific instructions, we recommend the following procedures and application of the provided “CLEARFIL™ CERAMIC PRIMER PLUS”: if the adherent surface is silica-based ceramic (e.g. conventional porcelain, lithium disilicate), hybrid ceramic or composite resin: Based on the type of restoration, hydrofluoric acid etching or air abrasion treatment may be used:

 

Acid Etching Treatment (e.g. conventional porcelain, lithium disilicate):
Etch the adherent surface with a hydrofluoric acid solution in accordance with the Instructions for Use of the solution. Rinse the adherent surface with water and dry.

 

Air Abrasion Treatment (e.g. composite resin):
Roughen the adherent surface by blasting with alumina powder (30-50 μm) using air pressure of 0.1-0.2 MPa (1-2 kgf/cm2, 15-29 psi, 1-2 Bar). The air pressure and powder size should be properly adjusted to suit the material and/or shape of the prosthetic restoration, using caution to prevent chipping. Clean the prosthetic restoration in an ultrasonic cleaning unit for 2 minutes or with “KATANA™ Cleaner” with 10 seconds of rubbing and then rinse with water.

Is it possible to use “CLEARFIL™ Universal Bond Quick” for the surface treatments of veneer restorations?

Although technically possible, we recommend to use “CLEARFIL™ CERAMIC PRIMER PLUS” to get optimal performance for glass ceramics.

Are there additional steps, if I try-in the restoration after it is acid etched or air abraded?

Yes, doing that would contaminate the restoration and, hence, decrease the bond strength. To remove the contamination, use “KATANA™ Cleaner” for 10 seconds with a rubbing motion then rinse with water until the color has been disappeared and dry the restorations to remove contaminants, or apply K-ETCHANT Syringe (Phosphoric Acid) for 5 seconds in case of non-zirconia restorations.

How can I treat the prepared tooth?

There are 2 ways to treat the prepared tooth: with the “PANAVIA™ V5” Tooth Primer or “CLEARFIL™ Universal Bond Quick”.

 

a) “PANAVIA™ V5” Tooth Primer: Etch the enamel with the K-ETCHANT (phosphoric acid) for 10 seconds, rinse and dry. Apply the Tooth Primer to the entire prepared tooth surface, with an applicator brush and leave it in place for 20 seconds. Thoroughly dry the entire adherent surface sufficiently by blowing mild, oil-free air until all water is evaporated from the primer.

 

b) “CLEARFIL™ Universal Bond Quick”: Selective etch the enamel with K-ETCHANT syringe (phosphoric acid) for 10 seconds, rinse and dry. Apply BOND with a rubbing motion to the entire preparation with the applicator brush. No waiting time is required. Dry the entire cavity wall sufficiently by blowing mild air for more than 5 seconds until BOND does not move.

 

When cementing laminate veneers, there is no need to light-cure BOND prior to seating the laminate veneers. It should be cured after seating the laminate veneers with the “PANAVIA™ Veneer LC” cement. When cementing inlays or onlays, BOND should be light-cured before seating the restoration. Please confirm the curing time by referencing the Instructions for Use.

What are the differences of using the “PANAVIA™ V5” Tooth Primer or “CLEARFIL™ Universal Bond Quick” when treating the prepared tooth?

In terms of bond strength, both are similar and provide excellent results. Nevertheless, the “PANAVIA™ V5” Tooth Primer will provide a “touch-cure” mechanism that will seal the bonding interface before the final light curing. Additionally, while the application time is shorter with “CLEARFIL™ Universal Bond Quick” (no waiting time versus 20 s), there is a longer working time under ambient light with the “PANAVIA™ V5” Tooth Primer (200 seconds vs 160 seconds with the BOND).

What are the advantages of “PANAVIA™ Veneer LC” over competing products?

PANAVIA™ Veneer LC” offers the ideal paste consistency, not being too high or too low as several competitive products. This will facilitate the dispensing of the paste onto the restoration and smooth seating of such restoration. A low film thickness and long working time are also advantages over competitive products. In addition, in case of using it with the “PANAVIA™ V5” Tooth Primer, the “touch-cure” mechanism will provide bonding interface sealing.

How should the excess cement be removed?

One of the following two techniques can be used:

 

Tack-Cure Clean-Up Technique: Light-cure any excess cement in several spots for 1 second at a distance of 10-15 mm. Hold the prosthetic restoration in position, remove the tack-cured excess cement using a dental instrument.

 

Wet Clean-Up Technique: Any excess cement remaining at the margins can be removed with a small brush, foam pellet, dental floss or dental explorer.

 

Regardless of the technique used, final curing will be required as the next step. Please refer to the Instructions for Use.

Should the margins be covered with a protective gel during final curing?

The use of a protective gel, like “PANAVIA™ F 2.0” OXYGUARD II, is beneficial to prevent the forming of an oxygen inhibited layer thus helping to create smooth margins.

How many shades of “PANAVIA™ Veneer LC” Paste are available?

There are 4 shades of “PANAVIA™ Veneer LC” Paste available: Clear, Universal (A2); White and Brown (A4). Each shade has a corresponding glycerin based, water soluble Try-In Paste.

How is the “PANAVIA™ V5” Try-in Paste used?

The “PANAVIA™ V5” Try-In Paste shades match the “PANAVIA™ Veneer LC” shades (in light-cured state) and allow for a simulation of the final appearance of the restoration. The “PANAVIA™ V5” Try-In Paste cannot be (light) cured, and can be removed easily with water.

Is “PANAVIA™ Veneer LC” color stable?

Yes, “PANAVIA™ Veneer LC” Paste is color stable.

What makes “PANAVIA™ Veneer LC” color stable?

Since “PANAVIA™ Veneer LC” Paste is only light curing, no amine reducing agent based redox curing system is included avoiding unwanted discoloration over time.

What is the filler load and particle size?

The total amount of inorganic filler is approximately, 66 wt%, 47 vol%. The particle size of inorganic fillers range from 0.05 μm to 8 μm.

What is the main filler form of “PANAVIA™ Veneer LC”?

“PANAVIA™ Veneer LC” Paste has spherical silica and nano cluster fillers. This provides a paste which is not runny, has excellent handling, and resistance to sagging.

What is the film thickness of “PANAVIA™ Veneer LC”?

“PANAVIA™ Veneer LC” Paste film thickness is around 8 μm.

Can “PANAVIA™ Veneer LC” be used to cement zirconia veneers and inlays/onlays?

Zirconia should not be used because it may not have sufficient translucency. However, zirconia of our products with high translucency (“KATANA™ Zirconia” STML/UTML, “KATANA™ Zirconia” Block STML) can be used with a thickness of less than 1.2 mm.

How is the bond strength of “PANAVIA™ Veneer LC”?

“PANAVIA™ Veneer LC” has excellent bond strength to several substrates (e.g. enamel, dentin, lithium disilicate, “KATANA™ Zirconia”, feldspar ceramic) at a similar level to the acclaimed “PANAVIA™ V5”.

How many treatments can be cemented with a single syringe?

Approximately 20-30 teeth for laminate veneer.

Do “CLEARFIL MAJESTY™ ES Flow” and “PANAVIA™ Veneer LC” use the same application tips?

No, the “PANAVIA™ Veneer LC” Paste tips are specially designed for an easy extrusion and application and their gauge, which is 16 (1.65 mm in diameter) and differ from the “CLEARFIL MAJESTY™ ES Flow” ones.

How do I store “PANAVIA™ Veneer LC”?

The product should be stored in the refrigerator. All components stored in the refrigerator should be brought to room temperature for 15 minutes before use in order to restore its normal viscosity and curing properties.

What is the shelf-life of the “PANAVIA™ Veneer LC” components?

The shelf-life of “PANAVIA™ Veneer LC” components is 36 months from date of manufacture with refrigeration.