429 Too Many Requests

429 Too Many Requests


nginx

SAVYBĖS IR PRIVALUMAI

1

INOVATYVI KIETĖJIMO TECHNOLOGIJA

„PANAVIA™ V5 Tooth Primer“ praimerio pagalba sukuriama tvirta ir patvari jungtis, kai kietinama jam susilietus su pasta. „PANAVIA Veneer LC“ cemento darbo laikas pakankamai ilgas, todėl vienu metu galima pritvirtinti net keletą laminačių. Naudojant šias medžiagas kartu, gaunamas tvirtas ir patvarus rezultatas.

2

PUIKI ESTETIKA

Plonas išstūmimo sluoksnis bei puikios poliravimo savybės leidžia išgauti tolygų kraštų atitikimą. Galima rinktis iš keturių skirtingų itin stabilių atspalvių, kurie užtikrina ilgalaikę estetiką. Atitinkančios bandomosios pastos leidžia lengvai pasirinkti teisingą atspalvį.

3

OPTIMIZUOTAS VALDYMAS

Optimizuotas klampumas ir tiksotropija padeda lengvai įvesti ir uždėti. Trumpai pakietinus (vieną sekundę) galima lengvai pašalinti perteklių.

INDIKACIJOS

„PANAVIA Veneer LC“ cementu
gali būti nuolatinai cementuojamos
šios keramikinės ir kompozicinės
restauracijos:

  • laminatės (venyrai);
  • mažiau nei 2 mm storio
    įklotai ir užklotai.

INDIKACIJOS

„PANAVIA Veneer LC“ cementu gali būti nuolatinai
cementuojamos šios keramikinės ir kompozicinės
restauracijos:

  • laminatės (venyrai)
  • mažiau nei 2 mm storio
    įklotai ir užklotai.

INOVATYVI KIETĖJIMO TECHNOLOGIJA

„Kuraray Noritake Dental Inc.“ pritaikė savo sukurtą inovatyvią „touch-cure“ polimerizacijos technologiją šviesoje kietėjančiam cementui. Užtikrinamas ilgas darbo laikas bei išgaunamas ilgalaikis stiprus sukibimas.
„PANAVIA Veneer LC“ yra šviesoje kietėjanti dervinio cemento sistema, kuri pasižymi puikiu stabilumu aplinkos šviesoje, todėl galimas net 200 sekundžių darbo laikas*. Tai įgalina vienu metu uždėti kelias laminates, nesibaiminant, kad cementas pradės kietėti. Polimerizaciją galima pradėti bet kuriuo metu.

*Darbo laikas aplinkos šviesoje (8000 liuksų): 200 sekundžių.

200
SEK.
DARBO LAIKAS*
VIENKOMPONENTIS SAVAIME<br>ĖSDINANTIS PRAIMERIS

VIENKOMPONENTIS SAVAIME
ĖSDINANTIS PRAIMERIS

Pagerina surišimo paviršiaus ploto polimerizaciją.

ŠVIESA KIETINAMA CEMENTO PASTA

ŠVIESA KIETINAMA CEMENTO PASTA

Puikus stabilumas aplinkos šviesoje.

KIETINAMAS ŠVIESA

Užsandarinkite surišimo su danties struktūra plotą „touch-cure“
polimerizacijos būdu, tuo pačiu užtikrinant pakankamą veikimo laiką.

Image

Puiki estetika

Dėl minimalaus laminačių storio bei didelio skaidrumo svarbią įtaką estetinei išvaizdai turi naudojamo cemento atspalvis. „PANAVIA Veneer LC“ spalvos yra stabilios, o gaunami kraštai ilgai išlieka nepastebimi.

High Aesthetics

ATSPARUMAS SPALVOS POKYČIAMS

„PANAVIA Veneer LC“ gerai subalansuota formulė ir „touch-cure“ polimerizacijos technologija užtikrina atsparumą diskoloracijoms (nusidažymui), taigi garantuoja spalvos stabilumą, o tai yra vienas svarbiausių ilgalaikės estetikos veiksnių.

Tand image (Desktop)

OPTIMIZUOTAS VALDYMAS

Optimised Handling

Ar įmanoma sutrumpinti laminačių uždėjimo laiką ir dedamas pastangas? „PANAVIA Veneer LC“ savybės padeda tolygiai aplikuoti cementą, tinkamai išdėstyti laminates, lengvai pašalinti perteklių bei greitai nupoliruoti. „PANAVIA Veneer LC“ cemento įvedimą lengva kontroliuoti dėka specialaus dizaino švirkšto ir aplikavimo antgalio.

NELIPNI KONSISTENCIJA

„PANAVIA Veneer LC“ nanoklasterinio užpildo technologija neleidžia cementui nutekėti, o idealiai patogi konsistencija leidžia lengvai ir saugiai aplikuoti.

IDEALI KONSISTENCIJA

Dėl tiksotropinių savybių cementas nenuteka ir nenuslenka. Puikų valdymą užtikrina naujai sukurti sferiniai silicio oksido užpildai. „PANAVIA Veneer LC“ leidžia kontroliuoti aplikavimą, cementas lieka toje vietoje, kurioje buvo įvestas, bet gerai pasiskirsto tekėdamas paviršiumi uždėjus laminatę ant danties.

LENGVAS PERTEKLIAUS PAŠALINIMAS

Visą cemento perteklių galima pašalinti vienu kartu naudojant ondontologinį zondą praėjus vienai sekundei nuo sukietėjimo momento („tack-cure“).

KLINIKINIS ATVEJIS

Informaciją suteikė gyd. Sato

KLINIKINIS ATVEJIS

Informaciją suteikė gyd. Sato

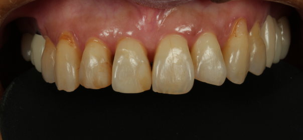
Image 1

1. Pradinė būklė prieš preparavimą 6 laminatėms (13–23).

Image 2

2. Dėl puikios „PANAVIA Veneer LC“ konsistencijos ir patogaus pastos klampumo cementą lengva įvesti, uždėti laminates bei pašalinti perteklių.

Image 3

3. Kiekvienos srities ir kraštų kietinimas šviesa.

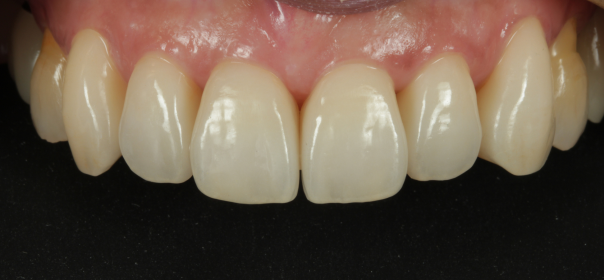
Image 4

4. Galutinis rezultatas atlikus šešių „KATANA™ Zirconia STML“ laminačių cementavimą.

 

Išsamios informacijos ieškokite naudojimo instrukcijose.

MOKSLINIAI DUOMENYS

Puikios poliravimo savybės ir blizgesio išlaikymas

Puikios poliravimo savybės ir blizgesio išlaikymas užtikrina ilgalaikę kraštų estetiką.

„PANAVIA V5 Tooth Primer“ yra savaime ėsdinantis surišiklis danties struktūroms (dentinui ir emaliui), kuris patikimai užsandarina surišimo su dantimi plotą, kai tik ant jo užtepama „PANAVIA Veneer LC Paste“ pasta. Ši „touch-cure“ technologija inicijuoja polimerizaciją surišimo paviršiaus plote ir sukuria tvirtą sukibimą su emaliu ir dentinu, tačiau neturi įtakos cemento kietėjimo reakcijai. Didelis sukibimo stiprumas su restauracinėmis medžiagomis pasiekiamas naudojant patikrinto veikimo CLEARFIL™ CERAMIC PRIMER PLUS.

BLIZGESIO IŠLAIKYMAS
BLIZGESIO IŠLAIKYMAS
PANAVIA Veneer LC Paste

Šaltinis. „Kuraray Noritake Dental Inc.“

BLIZGESIO IŠLAIKYMAS
BLIZGESIO IŠLAIKYMAS
PANAVIA Veneer LC Paste
Variolink* Esthetic LC
RelyX* Veneer

Bandymo sąlygos: bandinys 10 mm skersmens, 2 mm storio. Išlyginus paviršių vandeniui atspariu #1000–#2500 švitriniu popieriumi, atliekamas galutinis poliravimas šlifuojamąja plėvele. Pradinė vertė (blizgesio lygis matuojamas baigus poliravimą*). Dantų šepetėlio susidėvėjimas (matuojamas po 40 000 brūkštelėjimų esant 250 g apkrovai, 30 brūkštelėjimų/minutę, 10 dantų pastos masės procentų*). Išmatuota blizgomačiu VG 2000 („Nippon Denshoku Kogyo“) 60° kampu. Pastaba. Vertės gali skirtis priklausomai nuo matavimo sąlygų.

Šaltinis. „Kuraray Noritake Dental Inc.“
*Ne KURARAY CO., LTD prekių ženklas.

ŠLYTIES SUKIBIMO STIPRUMAS SU ŽMOGAUS DANTIMI
ŠLYTIES SUKIBIMO STIPRUMAS SU ŽMOGAUS DANTIMI
Emalis
Dentinas

Bandymo sąlygos: poliravimas #1000 abrazyvu, naudojamos visos paviršiaus gruntavimo priemones ir „PANAVIA Veneer LC Paste“ pasta: kietinima šviesoje 20 sek., klijuojama mėginio plokštelė (3 mm). Matuojama palaikius 37 °C temperatūros vandenyje 1 parą, terminiame cikle 4–60 °C.

Šaltinis. „Kuraray Noritake Dental Inc.“
*Ne KURARAY CO., LTD prekių ženklas.

ŠLYTIES SUKIBIMO STIPRUMAS SU PROTEZAVIMO MEDŽIAGOMIS
ŠLYTIES SUKIBIMO STIPRUMAS SU PROTEZAVIMO MEDŽIAGOMIS
37 °C, 1 para
TC3000

Bandymo sąlygos: poliravimas #1000 abrazyvu, apdorojimas smėlio srove („KATANA™ Zirconia”) arba ėsdinimas hidrofluoro rūgštimi (stiklo keramika), klijuojama mėginio plokštelė (5 mm skersmens), matuojama palaikius 37 °C temperatūros vandenyje 1 parą arba terminiame cikle 4–60 °C.

Šaltinis. „Kuraray Noritake Dental Inc.“
*Ne KURARAY CO., LTD prekių ženklas.

ATSPALVIAI

PANAVIA V5 TRY-IN PASTE
bandomosios pastos
Skaidri
(Clear)
Universali
(Universal)
Balta
(White)
Ruda
(Brown)

KETURI ITIN ESTETIŠKI ATSPALVIAI

ATSPALVĮ ATITINKANČIOS BANDOMOSIOS PASTOS

MINIMALUS IŠSTŪMIMO SLUOKSNIS

Kai atspalvis atitinka individualius poreikius, lengvai pasiekiami tikroviškai atrodantys rezultatai.

„PANAVIA V5 Try-In“ bandomosios pastos atitinka „PANAVIA Veneer LC“ cemento atspalvius ir leidžia imituoti galutinį vaizdą.

Dėl savo takumo ir plono išstūmimo sluoksnio, „PANAVIA Veneer LC“ suformuoja ploną, tolygiai paskirstytą cemento sluoksnį, kuris padeda lengvai netrukdomai uždėti laminates ir išgauti labai estetiškai atrodančius kraštus.

KETURI ITIN ESTETIŠKI ATSPALVIAI

Kai atspalvis atitinka individualius poreikius, lengvai pasiekiami tikroviškai atrodantys rezultatai.

ATSPALVĮ ATITINKANČIOS BANDOMOSIOS PASTOS

„PANAVIA V5 Try-In“ bandomosios pastos atitinka „PANAVIA Veneer LC“ cemento atspalvius ir leidžia imituoti galutinį vaizdą.

MINIMALUS IŠSTŪMIMO SLUOKSNIS

Dėl savo takumo ir plono išstūmimo sluoksnio, „PANAVIA Veneer LC“ suformuoja ploną, tolygiai paskirstytą cemento sluoksnį, kuris padeda lengvai netrukdomai uždėti laminates ir išgauti labai estetiškai atrodančius kraštus.

  • Internationally highly valued

     

    Testimonials

  • Afbeelding Dr. Greg Campbell, DDS
  • Dr. Greg Campbell, DDS
    USA

    “Love the versatility of the new PANAVIA Veneer LC cement when it comes to delivering my Veneers and Onlays. I can use the PANAVIA V5 Tooth Primer or my CLEARFIL Universal adhesive and get the proven benefits of the Original-MDP and the “Gold Standard” bonding we have come to expect from Kuraray. Easy to use, easy to clean up and extremely strong bonds. Four shades and try-in pastes give me complete control and ensures clinical success time and time again!
    Thank you, Kuraray Noritake for another great product.”

     

  •  

    Dr. Karyn Halpern, DDS
    USA

    “I am so impressed by the bond of this new cement. It’s not only strong but it was super easy to use, place, and clean up!
    Needless to say, I am a fan!”

     

     

  • Afbeelding Dr. Karyn Halpern DDS
  • Afbeelding Dr. Gianmarco O'Brien, DDS, Inc.
  • Dr. Gianmarco O'Brien, DDS, Inc.
    USA

    "This product is what I have come to expect from a company like Kuraray, the leader in adhesive dentistry. Easy to use clinically (excellent handling), very color stable since there is NO POST-BONDING GRAYING effect from tertiary amines (aromatic amine). I have total confidence in the DURABLE bond strength with their products. This is my new go-to veneer adhesive resin cement system!"

     

Gaminiai

Norėdami užsisakyti pasirinkite iš toliau nurodytų variantų.

PANAVIA V5  Try-in Paste
PANAVIA V5 Try-in Paste

1.8ml

Universal (A2)
Clear
Brown (A4)
White
Opaque

-
+
PANAVIA™ Veneer LC KITS
PANAVIA™ Veneer LC KITS
-
+
CLEARFIL™ CERAMIC PRIMER PLUS
CLEARFIL™ CERAMIC PRIMER PLUS

4ml

-
+
PANAVIA™ Veneer LC Applicator tip
PANAVIA™ Veneer LC Applicator tip

20 Applicator tips (16g)

-
+
PANAVIA™ Veneer LC PASTE
PANAVIA™ Veneer LC PASTE
-
+
PANAVIA V5  Tooth Primer
PANAVIA V5 Tooth Primer

4ml

-
+

Dažnai užduodami klausimai

Mes sukūrėme atsakymų į svarbiausius klausimus sąrašą

What is “PANAVIA™ Veneer LC”?

“PANAVIA™ Veneer LC” is a light-cure adhesive resin cement system. It consists of the “PANAVIA™ Veneer LC” Paste (a light-cure cement paste), “CLEARFIL™ CERAMIC PRIMER PLUS” (a silane, zirconia & metal primer), K-ETCHANT Syringe (Phosphoric Acid), and “PANAVIA™ V5” Try-in Paste. “CLEARFIL™ Universal Bond Quick” or “PANAVIA™ V5” Tooth Primer can be chosen for tooth treatment.

What are the indications?

Cementation of ceramic and composite inlays, onlays and laminate veneers with less than 2 mm thickness of the following materials: silica-based ceramics (e.g. conventional porcelain, lithium disilicate), hybrid ceramics, composite resin and “KATANA™ Zirconia” STML/UTML/YML (with a thickness of less than 1.2 mm).

How can I treat the prosthetic restoration?

Follow the Instructions for Use of the restorative material. In the absence of specific instructions, we recommend the following procedures and application of the provided “CLEARFIL™ CERAMIC PRIMER PLUS”: if the adherent surface is silica-based ceramic (e.g. conventional porcelain, lithium disilicate), hybrid ceramic or composite resin: Based on the type of restoration, hydrofluoric acid etching or air abrasion treatment may be used:

 

Acid Etching Treatment (e.g. conventional porcelain, lithium disilicate):
Etch the adherent surface with a hydrofluoric acid solution in accordance with the Instructions for Use of the solution. Rinse the adherent surface with water and dry.

 

Air Abrasion Treatment (e.g. composite resin):
Roughen the adherent surface by blasting with alumina powder (30-50 μm) using air pressure of 0.1-0.2 MPa (1-2 kgf/cm2, 15-29 psi, 1-2 Bar). The air pressure and powder size should be properly adjusted to suit the material and/or shape of the prosthetic restoration, using caution to prevent chipping. Clean the prosthetic restoration in an ultrasonic cleaning unit for 2 minutes or with “KATANA™ Cleaner” with 10 seconds of rubbing and then rinse with water.

Is it possible to use “CLEARFIL™ Universal Bond Quick” for the surface treatments of veneer restorations?

Although technically possible, we recommend to use “CLEARFIL™ CERAMIC PRIMER PLUS” to get optimal performance for glass ceramics.

Are there additional steps, if I try-in the restoration after it is acid etched or air abraded?

Yes, doing that would contaminate the restoration and, hence, decrease the bond strength. To remove the contamination, use “KATANA™ Cleaner” for 10 seconds with a rubbing motion then rinse with water until the color has been disappeared and dry the restorations to remove contaminants, or apply K-ETCHANT Syringe (Phosphoric Acid) for 5 seconds in case of non-zirconia restorations.

How can I treat the prepared tooth?

There are 2 ways to treat the prepared tooth: with the “PANAVIA™ V5” Tooth Primer or “CLEARFIL™ Universal Bond Quick”.

 

a) “PANAVIA™ V5” Tooth Primer: Etch the enamel with the K-ETCHANT (phosphoric acid) for 10 seconds, rinse and dry. Apply the Tooth Primer to the entire prepared tooth surface, with an applicator brush and leave it in place for 20 seconds. Thoroughly dry the entire adherent surface sufficiently by blowing mild, oil-free air until all water is evaporated from the primer.

 

b) “CLEARFIL™ Universal Bond Quick”: Selective etch the enamel with K-ETCHANT syringe (phosphoric acid) for 10 seconds, rinse and dry. Apply BOND with a rubbing motion to the entire preparation with the applicator brush. No waiting time is required. Dry the entire cavity wall sufficiently by blowing mild air for more than 5 seconds until BOND does not move.

 

When cementing laminate veneers, there is no need to light-cure BOND prior to seating the laminate veneers. It should be cured after seating the laminate veneers with the “PANAVIA™ Veneer LC” cement. When cementing inlays or onlays, BOND should be light-cured before seating the restoration. Please confirm the curing time by referencing the Instructions for Use.

What are the differences of using the “PANAVIA™ V5” Tooth Primer or “CLEARFIL™ Universal Bond Quick” when treating the prepared tooth?

In terms of bond strength, both are similar and provide excellent results. Nevertheless, the “PANAVIA™ V5” Tooth Primer will provide a “touch-cure” mechanism that will seal the bonding interface before the final light curing. Additionally, while the application time is shorter with “CLEARFIL™ Universal Bond Quick” (no waiting time versus 20 s), there is a longer working time under ambient light with the “PANAVIA™ V5” Tooth Primer (200 seconds vs 160 seconds with the BOND).

What are the advantages of “PANAVIA™ Veneer LC” over competing products?

PANAVIA™ Veneer LC” offers the ideal paste consistency, not being too high or too low as several competitive products. This will facilitate the dispensing of the paste onto the restoration and smooth seating of such restoration. A low film thickness and long working time are also advantages over competitive products. In addition, in case of using it with the “PANAVIA™ V5” Tooth Primer, the “touch-cure” mechanism will provide bonding interface sealing.

How should the excess cement be removed?

One of the following two techniques can be used:

 

Tack-Cure Clean-Up Technique: Light-cure any excess cement in several spots for 1 second at a distance of 10-15 mm. Hold the prosthetic restoration in position, remove the tack-cured excess cement using a dental instrument.

 

Wet Clean-Up Technique: Any excess cement remaining at the margins can be removed with a small brush, foam pellet, dental floss or dental explorer.

 

Regardless of the technique used, final curing will be required as the next step. Please refer to the Instructions for Use.

Should the margins be covered with a protective gel during final curing?

The use of a protective gel, like “PANAVIA™ F 2.0” OXYGUARD II, is beneficial to prevent the forming of an oxygen inhibited layer thus helping to create smooth margins.

How many shades of “PANAVIA™ Veneer LC” Paste are available?

There are 4 shades of “PANAVIA™ Veneer LC” Paste available: Clear, Universal (A2); White and Brown (A4). Each shade has a corresponding glycerin based, water soluble Try-In Paste.

How is the “PANAVIA™ V5” Try-in Paste used?

The “PANAVIA™ V5” Try-In Paste shades match the “PANAVIA™ Veneer LC” shades (in light-cured state) and allow for a simulation of the final appearance of the restoration. The “PANAVIA™ V5” Try-In Paste cannot be (light) cured, and can be removed easily with water.

Is “PANAVIA™ Veneer LC” color stable?

Yes, “PANAVIA™ Veneer LC” Paste is color stable.

What makes “PANAVIA™ Veneer LC” color stable?

Since “PANAVIA™ Veneer LC” Paste is only light curing, no amine reducing agent based redox curing system is included avoiding unwanted discoloration over time.

What is the filler load and particle size?

The total amount of inorganic filler is approximately, 66 wt%, 47 vol%. The particle size of inorganic fillers range from 0.05 μm to 8 μm.

What is the main filler form of “PANAVIA™ Veneer LC”?

“PANAVIA™ Veneer LC” Paste has spherical silica and nano cluster fillers. This provides a paste which is not runny, has excellent handling, and resistance to sagging.

What is the film thickness of “PANAVIA™ Veneer LC”?

“PANAVIA™ Veneer LC” Paste film thickness is around 8 μm.

Can “PANAVIA™ Veneer LC” be used to cement zirconia veneers and inlays/onlays?

Zirconia should not be used because it may not have sufficient translucency. However, zirconia of our products with high translucency (“KATANA™ Zirconia” STML/UTML, “KATANA™ Zirconia” Block STML) can be used with a thickness of less than 1.2 mm.

How is the bond strength of “PANAVIA™ Veneer LC”?

“PANAVIA™ Veneer LC” has excellent bond strength to several substrates (e.g. enamel, dentin, lithium disilicate, “KATANA™ Zirconia”, feldspar ceramic) at a similar level to the acclaimed “PANAVIA™ V5”.

How many treatments can be cemented with a single syringe?

Approximately 20-30 teeth for laminate veneer.

Do “CLEARFIL MAJESTY™ ES Flow” and “PANAVIA™ Veneer LC” use the same application tips?

No, the “PANAVIA™ Veneer LC” Paste tips are specially designed for an easy extrusion and application and their gauge, which is 16 (1.65 mm in diameter) and differ from the “CLEARFIL MAJESTY™ ES Flow” ones.

How do I store “PANAVIA™ Veneer LC”?

The product should be stored in the refrigerator. All components stored in the refrigerator should be brought to room temperature for 15 minutes before use in order to restore its normal viscosity and curing properties.

What is the shelf-life of the “PANAVIA™ Veneer LC” components?

The shelf-life of “PANAVIA™ Veneer LC” components is 36 months from date of manufacture with refrigeration.