429 Too Many Requests

429 Too Many Requests


nginx

OMADUSED JA EELISED

1

UUENDUSLIK KÕVASTUSPROTSESS

PANAVIA V5 Tooth Primer aitab kaasa tugeva ja kestva sideme tekkimisele kõvenemise järgselt kokkupuutel pastaga. Panavia Veneer LC pikk tööaeg võimaldab mitme laminaadi samaaegset paigaldamist. Primerit ja Veneeri koos kasutades on tulemus tugev ja kauakestev.

2

ESTEETILINE TULEMUS

Eriti õhuke kiht ja hea poleeritavus võimaldavad luua siledaid üleminekuid. Neli erinevat hea värvipüsivusega tooni loovad pikaajalise esteetilise tulemuse. Sama tooni proovipastad teevad tooni valimise lihtsaks.

3

PAREM TÖÖDELDAVUS

Materjali viskoosus ja puudutamisel vedelduv omadus lihtsustavad doseerimist ja asetamist õigele kohale. Ühesekundiline nakkekõvenemine võimaldab hõlpsasti eemaldada üleliigse materjali.

NÄIDUSTUSED

PANAVIA Veneer LC võimaldab
lõplikult tsementeerida keraamikat
ja komposiite:

  • Laminaate
  • Panuseid, mis on õhemad
    kui 2 mm

NÄIDUSTUSED

PANAVIA Veneer LC võimaldab lõplikult
tsementeerida keraamikat ja komposiite:

  • Laminaate
  • Panuseid, mis on õhemad
    kui 2 mm

UUENDUSLIK KÕVENEMISPROTSESS

Kuraray Nortitake Dental Inc. on väja töötanud meetodi, kuidas uuenduslikku kokkupuutel toimivat kõvenemisprotsessi kasutada valguskõvastuva tsemendiga. Samal ajal pakkudes pikka tööaega ja tugevat püsivat siduvust.
PANAVIA Veneer LC on valguskõvastuv vaigutsemendi süsteem, mis püsib muutmatuna naturaalse valguse käes, see omakorda võimaldab 200 sekundilist* tööaega. Tänu sellele saab paigaldada mitu laminaati korraga, muretsemata tsemendi enneaegse kõvenemise pärast. Polümerisatsiooniga saab alustada siis, kui selleks valmis oled.

*Tööaeg naturaalse valguse käes (8000 lux): 200 sekundit.

200
SEK
TÖÖAEG*
ÜHEKOMPONENTNE ISEHAPENDAV PRAIMER

ÜHEKOMPONENTNE ISEHAPENDAV PRAIMER

Soodustab siduva liitekoha kõvenemist.

VALGUSKÕVASTUV TSEMENDIPASTA

VALGUSKÕVASTUV TSEMENDIPASTA

Väga stabiilne naturaalse valguse käes.

VALGUSKÕVASTUV

Siduv liitekoht kinnitub hambapinnale kokkupuutel,
kuid pakub piisavat aega töötlemiseks.

Image

Esteetiline tulemus

Kuna laminaadid on tavaliselt minimaalse paksuse ja kõrge läbikumavusega, mõjutab tsemendi toon oluliselt laminaatide esteetikat. PANAVIA Veneer LC värv ei muutu ja marginaalsed servad püsivad ka aja möödudes märkamatuna.

High Aesthetics

STABIILNE VÄRV

Panavia Veneer LC tasakaalustatud koostis ja kokkupuutel toimiv kõvenemisprotsess hoiavad ära värvimuutuse ja tagavad stabiilse värvi püsimise, mis on olulisim aspekt pikaajalise esteetilise tulemuse saavutamisel.

Tand image (Desktop)
Tand image (Mobile)

PAREM TÖÖDELDAVUS

Optimised Handling

Kas laminaatide paigadamisele kuluvat aega ja vaeva on võimalik vähendada? Panavia Veneer LC võimaldab ühtlast tsemendi asetamist, sujuvat laminaadi paigaldamist, lihtsat liigmaterjali eemaldamist ja kiiret poleerimist. Materjali asetamine on hõlpsasti kontrollitav tänu spetsiaalselt disainitud süstlale ja otsikule.

MITTEKLEEPUV

Panavia Veneer LC Nano-osakeste tehnoloogia hoiab ära venimise ja konsistents võimaldab doseerida kindlalt ja lihtsalt.

IDEAALNE KONSISTENTS

Tänu puudutamisel vedelduvale omadusele ei toimu venimist ja vajumist. Ideaalne käsitsemine on tagatud tänu äsja välja töötatud kerakujulistele räniosakestele. Panavia Veneer LC võimaldab tsementi asetada kontrollitult- see püsib seal, kuhu seda asetatakse aga voolab hästi, kui laminaat on hambale asetatud.

LIHTNE LIIGMATERJALI EEMALDAMINE

Üleliigse tsemendi saab pärast sekundilist nakkekõvenemist eemaldada ühes tükis kasutades sondi abi.

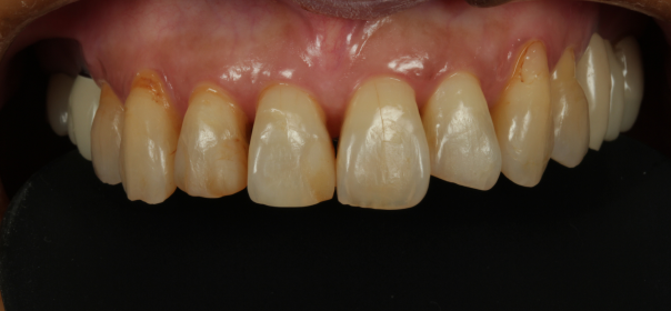
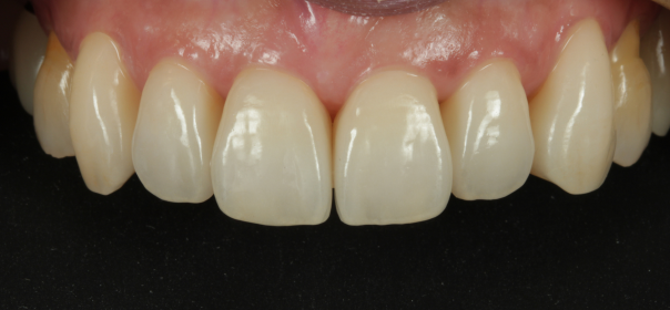
KLIINILINE JUHTUM

Autor Dr Sato

KLIINILINE JUHTUM

Autor Dr Sato

Image 1

1. Esialgne seis enne 6 laminaadi ettevalmistamist (nr 13 kuni 23).

Image 2

2. PANAVIA Veneer LCi suurepärane konsistents ja pasta viskoossus tegid doseerimise, paigutamise ja üleliigse tsemendi eemaldamise lihtsamaks.

Image 3

3. Valguskõvastage igat piirkonda ja serva.

Image 4

4. Lõplik tulemus pärast kuue KATANA™ Zirconia STML laminaadi tsementimist.

 

Täpsema teabe saamiseks lugege kasutusjuhendit.

TEADUS

Väga hea poleeritavus ja pikaajaline läige

Hea poleeritavus ja pikaajaline läike püsimine tagavad esteetilise marginaalse serva ka aja möödudes.

Panavia V5 Toothe Primer on isehapenduv adhesiiv hambapinnale (dentiinile ja emailile), mis fikseerib liitepinna kindlalt niipea, kui PANAVIA Veneer LC Pasta on sellele doseeritud. Selline kokkupuutel kõvenev protsess käivitab polümerisatsiooni ainult siduval liitepinnal ja moodustab tugeva sideme emaili ning dentiiniga, kuid ei mõjuta tsemendi kõvenemiskiirust. Tugev side restauratiivsete materjalidega saavutatakse kasutades CLEARFIL CERAMIC PRIMER PLUS-i.

LÄIKE PÜSIMINE
LÄIKE PÜSIMINE
PANAVIA Veneer LC Paste

Allikas: Kuraray Noritake Dental Inc.

LÄIKE PÜSIMINE
LÄIKE PÜSIMINE
PANAVIA Veneer LC Paste
Variolink* Esthetic LC
RelyX* Veneer

Testi tingimused: Katsekeha ø10 mm, paksus 2mm. Pärast pinna silumist veekindla #1000- #2500 abrasiivpaberiga, lõplik poleerimine viimistluskilega. Esialgne väärtus (läikivuse tase pärast poleerimist*). Hambaharjaga kulutamine (mõõdetud pärast 40 000 tõmmet 250g koormusega, 30 harjatõmmet minutis, 10 wt% hambapastaga*). Mõõdetud läikemõõtjaga VG 2000 (Nippon Denshoku Kogyo) 60° nurga all. Märkus: Väärtused võivad muutuda sõltuvalt mõõtmistingimustest.

Allikas: Kuraray Noritake Dental Inc.
*Ei ole KURARAY CO., LTD kaubamärk.

SIDUVUSE TUGEVUS INIMESE HAMMASTEGA
SIDUVUSE TUGEVUS INIMESE HAMMASTEGA
Email
Dentiin

Testi tingimused: Poleerimine #1000, lisades igat eeltöötluse ainet PANAVIA Veneer LC Paste: Valguskõvastamine 20 sek., SUS-kiht (3mm). Mõõdetud pärast ühte päeva 37°C vees hoidmist. Termotsükkel: 4-60 °C.

Allikas: Kuraray Noritake Dental Inc.
*Ei ole KURARAY CO., LTD kaubamärk.

SIDUVUSE TUGEVUS PROTEESIMATERJALIGA
SIDUVUSE TUGEVUS PROTEESIMATERJALIGA
37 °C üks päev
TC3000

Testi tigimused: Poleerimine #1000, liivapritsimine (KATANA Zirconia) või vesinikfluoriidhappega töötlemine (klaaskeraamika), SUS- kiht (ø 5mm), mõõdetud pärast ühte päeva 37°C vees hoidmist või termotsükkel temperatuuril 4-60°C.

Allikas: Kuraray Noritake Dental Inc.
*Ei ole KURARAY CO., LTD kaubamärk.

VÄRVITOONID

PANAVIA V5 TRY-IN PASTE
Läbipaistev
Universaalne
Valge
Pruun

NELI VÄGA
ESTEETILIST TOONI

SOBITUVAD PROOVIPASTAD

MINIMAALNE
KIHI PAKSUS

Tänu individuaalsusest lähtuvatele toonidele saavutatakse lihtsalt elutruu tulemus.

PANAVIA V5 Try-In Pastes sobituvad PANAVIA Veneer LC toonidega ja see võimaldab jäljendada lõplikku tulemust.


Tänu voolavusele ja õhukesele kihi paksusele võimaldab PANAVIA Veneer LC tekitada õhukese ja ühtlaselt jaotunud tsemendikihi, mis lihtsustab laminaadi paigutamist ja tagab esteetilised marginaalsed servad.

NELI VÄGA ESTEETILIST TOONI

Tänu individuaalsusest lähtuvatele toonidele saavutatakse lihtsalt elutruu tulemus.

SOBITUVAD PROOVIPASTAD

PANAVIA V5 Try-In Pastes sobituvad PANAVIA Veneer LC toonidega ja see võimaldab jäljendada lõplikku tulemust.

MINIMAALNE KIHI PAKSUS

Tänu voolavusele ja õhukesele kihi paksusele võimaldab PANAVIA Veneer LC tekitada õhukese ja ühtlaselt jaotunud tsemendikihi, mis lihtsustab laminaadi paigutamist ja tagab esteetilised marginaalsed servad.

  • Internationally highly valued

     

    Testimonials

  • Afbeelding Dr. Greg Campbell, DDS
  • Dr. Greg Campbell, DDS
    USA

    “Love the versatility of the new PANAVIA Veneer LC cement when it comes to delivering my Veneers and Onlays. I can use the PANAVIA V5 Tooth Primer or my CLEARFIL Universal adhesive and get the proven benefits of the Original-MDP and the “Gold Standard” bonding we have come to expect from Kuraray. Easy to use, easy to clean up and extremely strong bonds. Four shades and try-in pastes give me complete control and ensures clinical success time and time again!
    Thank you, Kuraray Noritake for another great product.”

     

  •  

    Dr. Karyn Halpern, DDS
    USA

    “I am so impressed by the bond of this new cement. It’s not only strong but it was super easy to use, place, and clean up!
    Needless to say, I am a fan!”

     

     

  • Afbeelding Dr. Karyn Halpern DDS
  • Afbeelding Dr. Gianmarco O'Brien, DDS, Inc.
  • Dr. Gianmarco O'Brien, DDS, Inc.
    USA

    "This product is what I have come to expect from a company like Kuraray, the leader in adhesive dentistry. Easy to use clinically (excellent handling), very color stable since there is NO POST-BONDING GRAYING effect from tertiary amines (aromatic amine). I have total confidence in the DURABLE bond strength with their products. This is my new go-to veneer adhesive resin cement system!"

     

Tooted

Tellimiseks valige järgmiste valikute hulgast.

PANAVIA V5  Try-in Paste
PANAVIA V5 Try-in Paste

1.8ml

Universal (A2)
Clear
Brown (A4)
White
Opaque

-
+
PANAVIA™ Veneer LC KITS
PANAVIA™ Veneer LC KITS
-
+
CLEARFIL™ CERAMIC PRIMER PLUS
CLEARFIL™ CERAMIC PRIMER PLUS

4ml

-
+
PANAVIA™ Veneer LC Applicator tip
PANAVIA™ Veneer LC Applicator tip

20 Applicator tips (16g)

-
+
PANAVIA™ Veneer LC PASTE
PANAVIA™ Veneer LC PASTE
-
+
PANAVIA V5  Tooth Primer
PANAVIA V5 Tooth Primer

4ml

-
+

Korduma kippuvad küsimused

Oleme koostanud kõige asjakohasemate küsimuste täieliku vastuste loendi.

What is “PANAVIA™ Veneer LC”?

“PANAVIA™ Veneer LC” is a light-cure adhesive resin cement system. It consists of the “PANAVIA™ Veneer LC” Paste (a light-cure cement paste), “CLEARFIL™ CERAMIC PRIMER PLUS” (a silane, zirconia & metal primer), K-ETCHANT Syringe (Phosphoric Acid), and “PANAVIA™ V5” Try-in Paste. “CLEARFIL™ Universal Bond Quick” or “PANAVIA™ V5” Tooth Primer can be chosen for tooth treatment.

What are the indications?

Cementation of ceramic and composite inlays, onlays and laminate veneers with less than 2 mm thickness of the following materials: silica-based ceramics (e.g. conventional porcelain, lithium disilicate), hybrid ceramics, composite resin and “KATANA™ Zirconia” STML/UTML/YML (with a thickness of less than 1.2 mm).

How can I treat the prosthetic restoration?

Follow the Instructions for Use of the restorative material. In the absence of specific instructions, we recommend the following procedures and application of the provided “CLEARFIL™ CERAMIC PRIMER PLUS”: if the adherent surface is silica-based ceramic (e.g. conventional porcelain, lithium disilicate), hybrid ceramic or composite resin: Based on the type of restoration, hydrofluoric acid etching or air abrasion treatment may be used:

 

Acid Etching Treatment (e.g. conventional porcelain, lithium disilicate):
Etch the adherent surface with a hydrofluoric acid solution in accordance with the Instructions for Use of the solution. Rinse the adherent surface with water and dry.

 

Air Abrasion Treatment (e.g. composite resin):
Roughen the adherent surface by blasting with alumina powder (30-50 μm) using air pressure of 0.1-0.2 MPa (1-2 kgf/cm2, 15-29 psi, 1-2 Bar). The air pressure and powder size should be properly adjusted to suit the material and/or shape of the prosthetic restoration, using caution to prevent chipping. Clean the prosthetic restoration in an ultrasonic cleaning unit for 2 minutes or with “KATANA™ Cleaner” with 10 seconds of rubbing and then rinse with water.

Is it possible to use “CLEARFIL™ Universal Bond Quick” for the surface treatments of veneer restorations?

Although technically possible, we recommend to use “CLEARFIL™ CERAMIC PRIMER PLUS” to get optimal performance for glass ceramics.

Are there additional steps, if I try-in the restoration after it is acid etched or air abraded?

Yes, doing that would contaminate the restoration and, hence, decrease the bond strength. To remove the contamination, use “KATANA™ Cleaner” for 10 seconds with a rubbing motion then rinse with water until the color has been disappeared and dry the restorations to remove contaminants, or apply K-ETCHANT Syringe (Phosphoric Acid) for 5 seconds in case of non-zirconia restorations.

How can I treat the prepared tooth?

There are 2 ways to treat the prepared tooth: with the “PANAVIA™ V5” Tooth Primer or “CLEARFIL™ Universal Bond Quick”.

 

a) “PANAVIA™ V5” Tooth Primer: Etch the enamel with the K-ETCHANT (phosphoric acid) for 10 seconds, rinse and dry. Apply the Tooth Primer to the entire prepared tooth surface, with an applicator brush and leave it in place for 20 seconds. Thoroughly dry the entire adherent surface sufficiently by blowing mild, oil-free air until all water is evaporated from the primer.

 

b) “CLEARFIL™ Universal Bond Quick”: Selective etch the enamel with K-ETCHANT syringe (phosphoric acid) for 10 seconds, rinse and dry. Apply BOND with a rubbing motion to the entire preparation with the applicator brush. No waiting time is required. Dry the entire cavity wall sufficiently by blowing mild air for more than 5 seconds until BOND does not move.

 

When cementing laminate veneers, there is no need to light-cure BOND prior to seating the laminate veneers. It should be cured after seating the laminate veneers with the “PANAVIA™ Veneer LC” cement. When cementing inlays or onlays, BOND should be light-cured before seating the restoration. Please confirm the curing time by referencing the Instructions for Use.

What are the differences of using the “PANAVIA™ V5” Tooth Primer or “CLEARFIL™ Universal Bond Quick” when treating the prepared tooth?

In terms of bond strength, both are similar and provide excellent results. Nevertheless, the “PANAVIA™ V5” Tooth Primer will provide a “touch-cure” mechanism that will seal the bonding interface before the final light curing. Additionally, while the application time is shorter with “CLEARFIL™ Universal Bond Quick” (no waiting time versus 20 s), there is a longer working time under ambient light with the “PANAVIA™ V5” Tooth Primer (200 seconds vs 160 seconds with the BOND).

What are the advantages of “PANAVIA™ Veneer LC” over competing products?

PANAVIA™ Veneer LC” offers the ideal paste consistency, not being too high or too low as several competitive products. This will facilitate the dispensing of the paste onto the restoration and smooth seating of such restoration. A low film thickness and long working time are also advantages over competitive products. In addition, in case of using it with the “PANAVIA™ V5” Tooth Primer, the “touch-cure” mechanism will provide bonding interface sealing.

How should the excess cement be removed?

One of the following two techniques can be used:

 

Tack-Cure Clean-Up Technique: Light-cure any excess cement in several spots for 1 second at a distance of 10-15 mm. Hold the prosthetic restoration in position, remove the tack-cured excess cement using a dental instrument.

 

Wet Clean-Up Technique: Any excess cement remaining at the margins can be removed with a small brush, foam pellet, dental floss or dental explorer.

 

Regardless of the technique used, final curing will be required as the next step. Please refer to the Instructions for Use.

Should the margins be covered with a protective gel during final curing?

The use of a protective gel, like “PANAVIA™ F 2.0” OXYGUARD II, is beneficial to prevent the forming of an oxygen inhibited layer thus helping to create smooth margins.

How many shades of “PANAVIA™ Veneer LC” Paste are available?

There are 4 shades of “PANAVIA™ Veneer LC” Paste available: Clear, Universal (A2); White and Brown (A4). Each shade has a corresponding glycerin based, water soluble Try-In Paste.

How is the “PANAVIA™ V5” Try-in Paste used?

The “PANAVIA™ V5” Try-In Paste shades match the “PANAVIA™ Veneer LC” shades (in light-cured state) and allow for a simulation of the final appearance of the restoration. The “PANAVIA™ V5” Try-In Paste cannot be (light) cured, and can be removed easily with water.

Is “PANAVIA™ Veneer LC” color stable?

Yes, “PANAVIA™ Veneer LC” Paste is color stable.

What makes “PANAVIA™ Veneer LC” color stable?

Since “PANAVIA™ Veneer LC” Paste is only light curing, no amine reducing agent based redox curing system is included avoiding unwanted discoloration over time.

What is the filler load and particle size?

The total amount of inorganic filler is approximately, 66 wt%, 47 vol%. The particle size of inorganic fillers range from 0.05 μm to 8 μm.

What is the main filler form of “PANAVIA™ Veneer LC”?

“PANAVIA™ Veneer LC” Paste has spherical silica and nano cluster fillers. This provides a paste which is not runny, has excellent handling, and resistance to sagging.

What is the film thickness of “PANAVIA™ Veneer LC”?

“PANAVIA™ Veneer LC” Paste film thickness is around 8 μm.

Can “PANAVIA™ Veneer LC” be used to cement zirconia veneers and inlays/onlays?

Zirconia should not be used because it may not have sufficient translucency. However, zirconia of our products with high translucency (“KATANA™ Zirconia” STML/UTML, “KATANA™ Zirconia” Block STML) can be used with a thickness of less than 1.2 mm.

How is the bond strength of “PANAVIA™ Veneer LC”?

“PANAVIA™ Veneer LC” has excellent bond strength to several substrates (e.g. enamel, dentin, lithium disilicate, “KATANA™ Zirconia”, feldspar ceramic) at a similar level to the acclaimed “PANAVIA™ V5”.

How many treatments can be cemented with a single syringe?

Approximately 20-30 teeth for laminate veneer.

Do “CLEARFIL MAJESTY™ ES Flow” and “PANAVIA™ Veneer LC” use the same application tips?

No, the “PANAVIA™ Veneer LC” Paste tips are specially designed for an easy extrusion and application and their gauge, which is 16 (1.65 mm in diameter) and differ from the “CLEARFIL MAJESTY™ ES Flow” ones.

How do I store “PANAVIA™ Veneer LC”?

The product should be stored in the refrigerator. All components stored in the refrigerator should be brought to room temperature for 15 minutes before use in order to restore its normal viscosity and curing properties.

What is the shelf-life of the “PANAVIA™ Veneer LC” components?

The shelf-life of “PANAVIA™ Veneer LC” components is 36 months from date of manufacture with refrigeration.