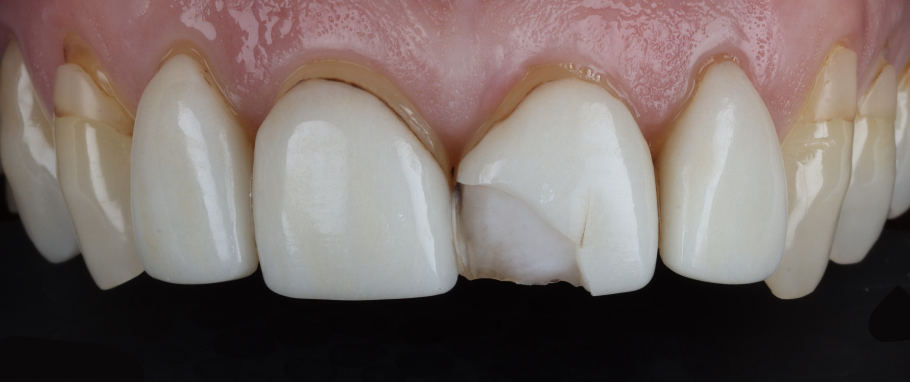
Clinical Cases and Chairside Glass Ceramic Veneer Cementation By Dr Wiktor Pietraszewski BSC(HONS) DMD INTRODUCTION According to personal experience, the cementation of glass ceramic veneers is one of the most stressful and technique-sensitive procedures in restorative dentistry. This is not only due to the minimal margin for error, but also the high aesthetic standards that must be met to deliver a result satisfying both clinician and patient. Modern protocols emphasize conservative preparation, ideally remaining entirely within enamel, or at the very least, minimising extension into dentin. It is essential to understand that both preparation design and extent should not be planned in isolation. Instead, they must be carefully co-planned through thorough communication and collaboration between clinician and technician, ensuring the final result is both biologically respectful and aesthetically predictable. THE CASE The case to be discussed today is rather unique in that it arose unexpectedly, without the luxury of typical pretreatment planning steps such as a diagnostic wax-up or mock-up. These were omitted due to time and budget constraints on the patient’s part — a reality many clinicians can relate to. The rationale behind this approach will become clearer as we progress through the case. The patient is a 70-year-old retiree, whom I have been managing for several years. Treatment thus far has focused on stabilising and gradually improving her posterior restorations, with the longer-term aim of addressing the anterior dentition to enhance both function and aesthetics. Nowadays, financial considerations often pose a significant barrier to patients accepting comprehensive treatment plans from the outset. As such, effective communication and phased treatment planning become essential tools in fostering patient trust and long-term commitment. This particular visit was an emergency appointment, with the patient presenting with a fractured porcelain veneer on her maxillary left central incisor — tooth 21 according to the FDI notation (Fig. 1). Fortunately, because of the existing phased approach to her care, we were well-positioned to transition into an aesthetic restorative phase with minimal resistance or hesitation from the patient. Fig. 1. Pre-operative view - emergency: Chipped existing ceramic veneer. Fig. 2. The plan - Digital Smile Design - 4 x porcelain veneers - 4 x direct composite restorations. THE PLAN After careful discussion, it was decided to remove and replace the four existing porcelain veneers and to replace four existing Class V stained composite restorations with fresh new direct composite (Fig. 2). Everyone involved was happy with the plan, sure it would adequately fulfil the patient’s aesthetic expectations and even surpass them. At the emergency appointment, time was so limited that only the temporary restoration of the chip with direct composite was feasible. Time was an important factor going forward: the patient wanted to proceed and have the case completed as soon as possible. Main features of the Digital Smile Design (DSD) plan 1. Lengthening - central incisors – incisal edges to reflect the length of the canine tips2. Equal gingival zeniths3. Masking of the cervical defects PREPARATION, SCAN & TEMPORISATION The first step involved building up the teeth using a flowable composite to create a rough direct mock-up (Fig. 3), guided by the DSD plan (Fig. 2). This mock-up provided a visual and functional prototype, of which an impression was taken to aid in the fabrication of interim temporary restorations for the provisional phase of treatment. Preparations were carried out using OptraGate isolation. The existing veneers were first removed using high-grit diamond burs at high speed. Once the bulk of the old material was cleared, gingival retraction was achieved using retraction cord, allowing for improved visibility and access. The preparations were then refined with lower-grit diamond burs at a reduced speed to ensure precision and tissue safety. The primary objectives of the preparation phase were to establish harmonious gingival zeniths and to adequately cover the cervical defects that were evident in the previous restorations (Figs. 4 and 5). Fig. 3. Mock-up made of flowable composite. Fig. 4. Class V composite restorations replaced on teeth 13, 23, 24 and 25. Fig. 5. Situation after preparation of the maxillary incisors. Would you like to continue reading as a PDF? Please leave your email address below. 25. mars 2026 Panavia V5 Resin Cement Kuraray Noritake Clinical Case Clearfil Ceramic Primer plus Restorative Dentistry Panavia Veneer LC Pre-Treatment Esthetic Cosmetic Chair PANAVIA V5 Se produktet CLEARFIL CERAMIC PRIMER PLUS Se produktet PANAVIA Veneer LC Se produktet Abonner på vårt nyhetsbrev Gjør som tusenvis av andre som arbeider med tannhelse og motta gratis informasjon som kan hjelpe deg i din karriere. Vi vil ikke sende ut spam eller dele din emailadresse med andre.