Micro-layering meets fixed implant-based prosthetics
Case by DT Andreas Chatzimpatzakis and Dr Evi Lianou
Selecting the right materials for a successful rehabilitation of edentulous jaws with fixed implant-based prostheses can be quite challenging. High strength and stability are needed to securely connect the implants, biocompatibility is a must and the functional, aesthetic and financial expectations of the patient need to be respected. Experience shows that – in many situations – the combination of a titanium bar with a zirconia framework finished using the micro-layering technique is a great option. This material combination and approach meets the demands mentioned, while supporting efficient procedures and aesthetic outcomes.
In the present case, a 53-year-old male patient with a history of periodontal disease presented in the dental office of Dr Evi Lianou (Dental Clinic, Lamia, Greece). Due to a poor prognosis of the remaining teeth, it was planned to extract them. As a removable full denture was not an option for the patient, the treatment plan included the insertion of four implants in the mandible and six in the maxilla, followed by a healing phase and subsequent definitive rehabilitation with screw-retained, titanium bar-based zirconia superstructures finished by micro-layering. The following figures and captions describe the technical procedure.

Fig. 1. Initial clinical situation showing several remaining teeth with a poor prognosis.

Fig. 2. Screw-retained titanium bar for the mandible.

Fig. 3. Screw-retained titanium bar for the maxilla.

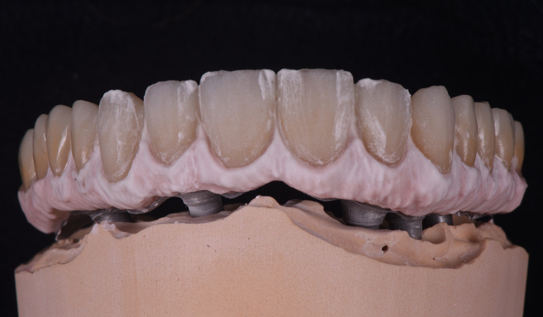
Fig. 4. Mandibular restoration: Milled framework made of KATANA™ Zirconia HTML PLUS (Kuraray Noritake Dental Inc.) with a minimal (0.3 mm) vestibular cutback placed only on the six anterior teeth.

Fig. 5. Maxillary restoration: Milled framework made of KATANA™ Zirconia HTML PLUS with a minimal vestibular cutback (0.3 mm) placed only on the six anterior teeth.

Fig. 6. Mandibular restoration, 33-43 internal staining with CERABIEN™ MiLai Internal Stains (Kuraray Noritake Dental Inc.). 34-37 & 44-47 External characterization with CERABIEN™ ZR FC Paste Stain.

Fig. 7. Maxillary restoration 13-23 internal staining with CERABIEN™ MiLai Internal Stains. 14-17, 24-27 External characterization with CERABIEN™ ZR FC Paste Stain.

Fig. 8. Mandibular and maxillary restorations on the model: Additional internal staining to the anterior. Posterior teeth were completed with CERABIEN™ ZR FC Paste Stain.

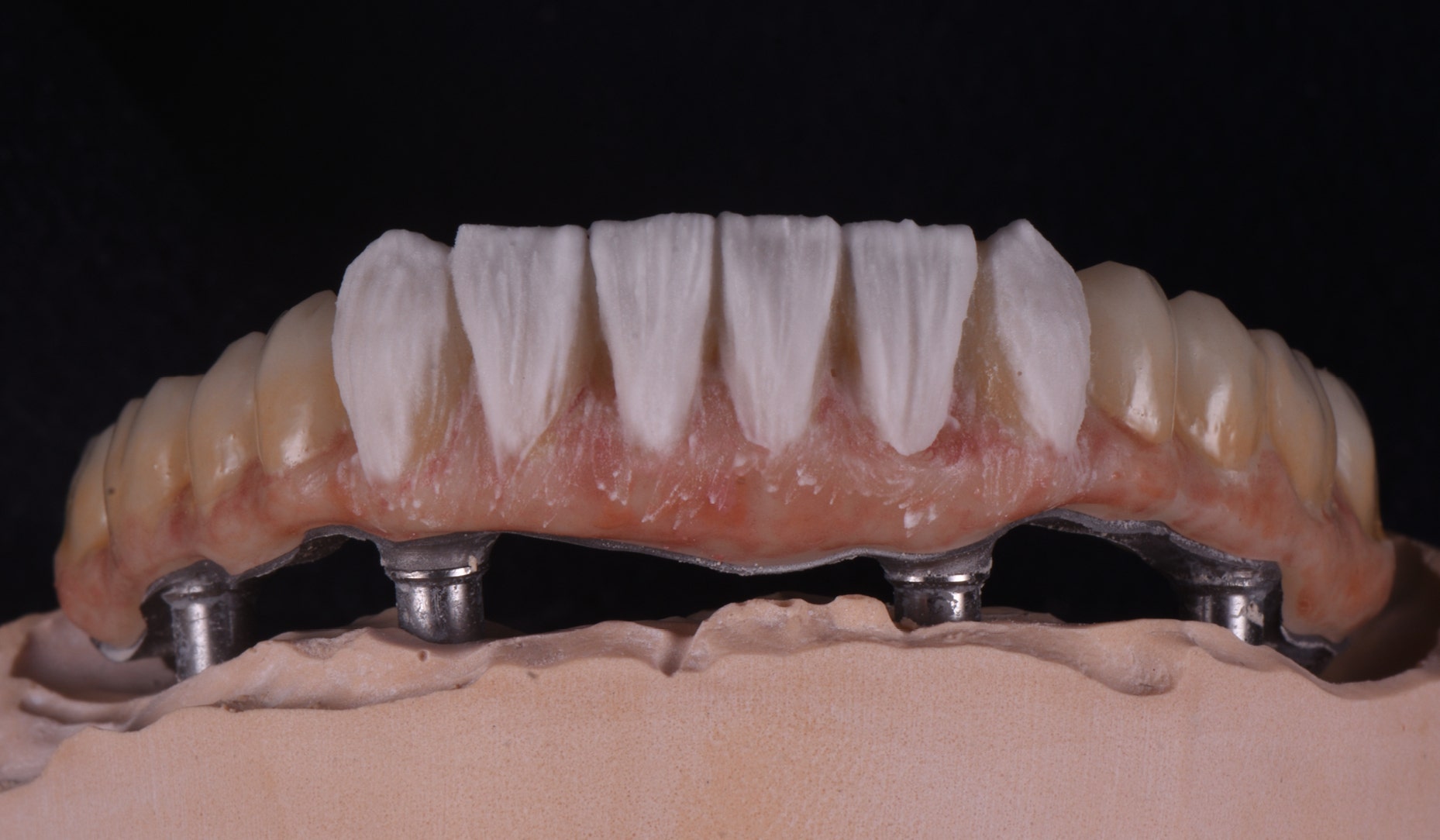
Fig. 9. Mandibular restoration after the application of CERABIEN™ MiLai Porcelains LT1 mixed with CCV2 (ratio 50:50) for the cervical and Tx for the incisal.

Fig. 10. Maxillary restoration after the application of CERABIEN™ MiLai Porcelains LT1 mixed with CCV2 (ratio 50:50) for the cervical and Tx for the incisal third.

Fig. 11. Mandibular restoration after the bake, showing some typical characteristics of aged teeth.

Fig. 12. Maxillary restoration after the bake, showing some typical characteristics of aged teeth.

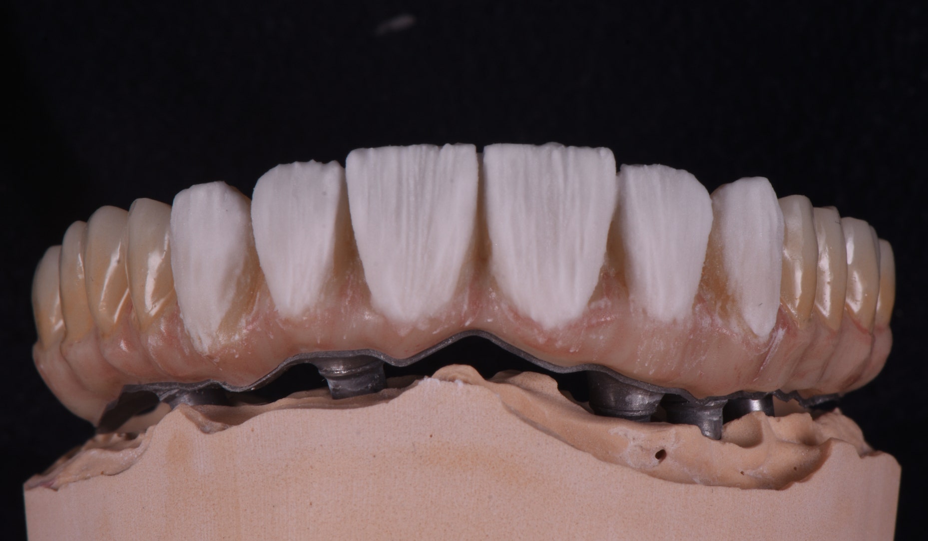
Fig. 13. Mandibular restoration with applied tissue porcelains and corrections in the tooth area.

Fig. 14. Maxillary restoration with applied tissue porcelains and corrections in the tooth area.

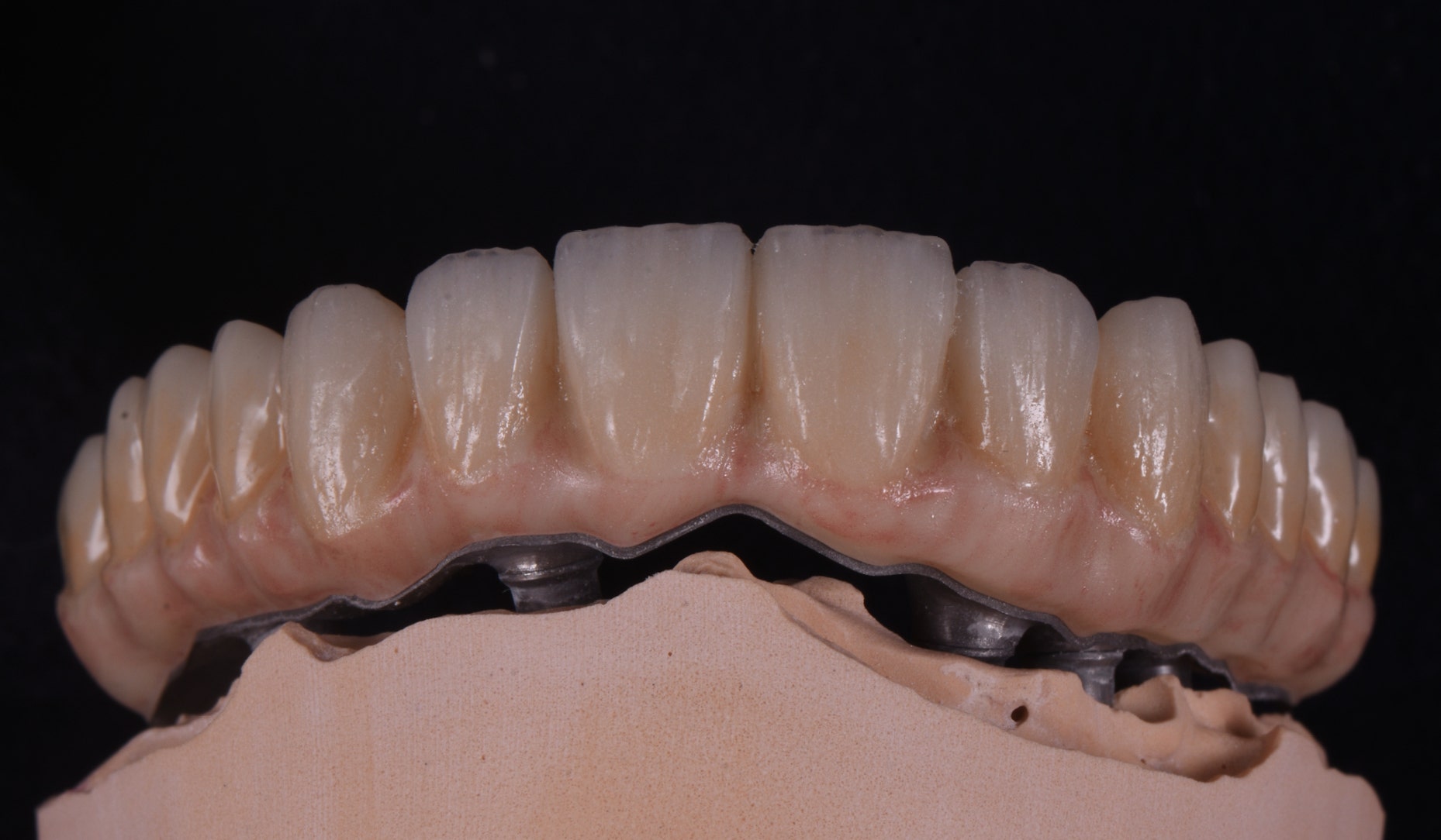
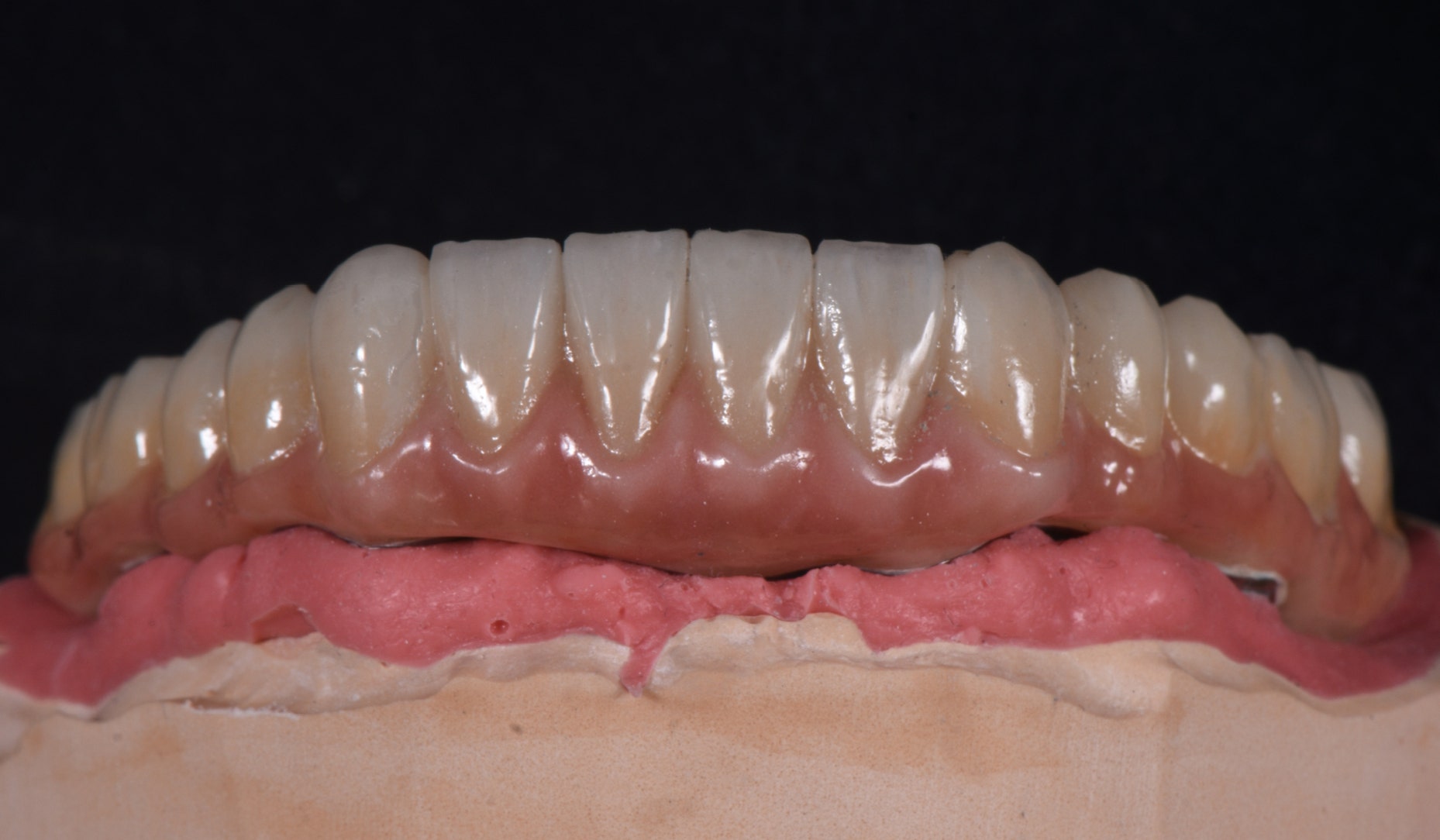
Fig. 15. Mandibular restoration after finishing glazing and polishing.

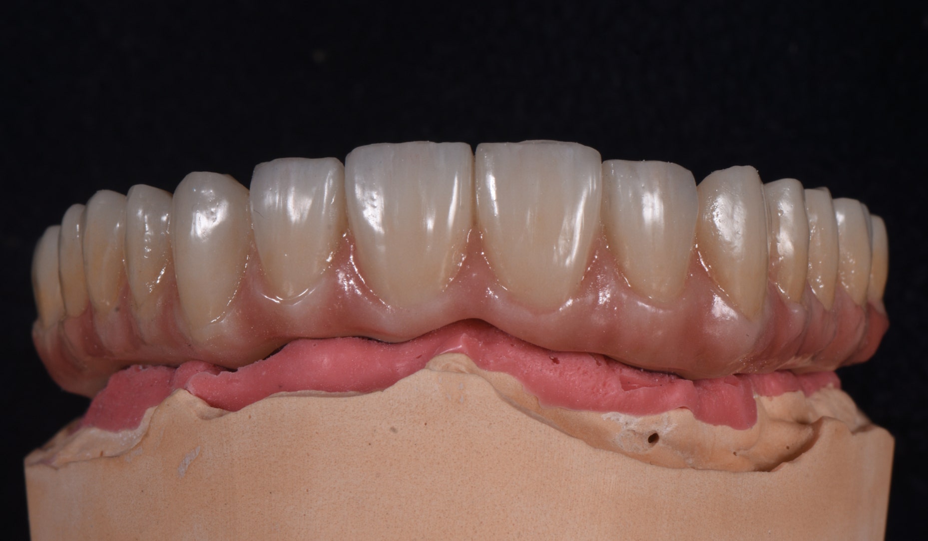
Fig. 16. Maxillary restoration after finishing glazing and polishing.

Fig. 17. Final restorations on the model.

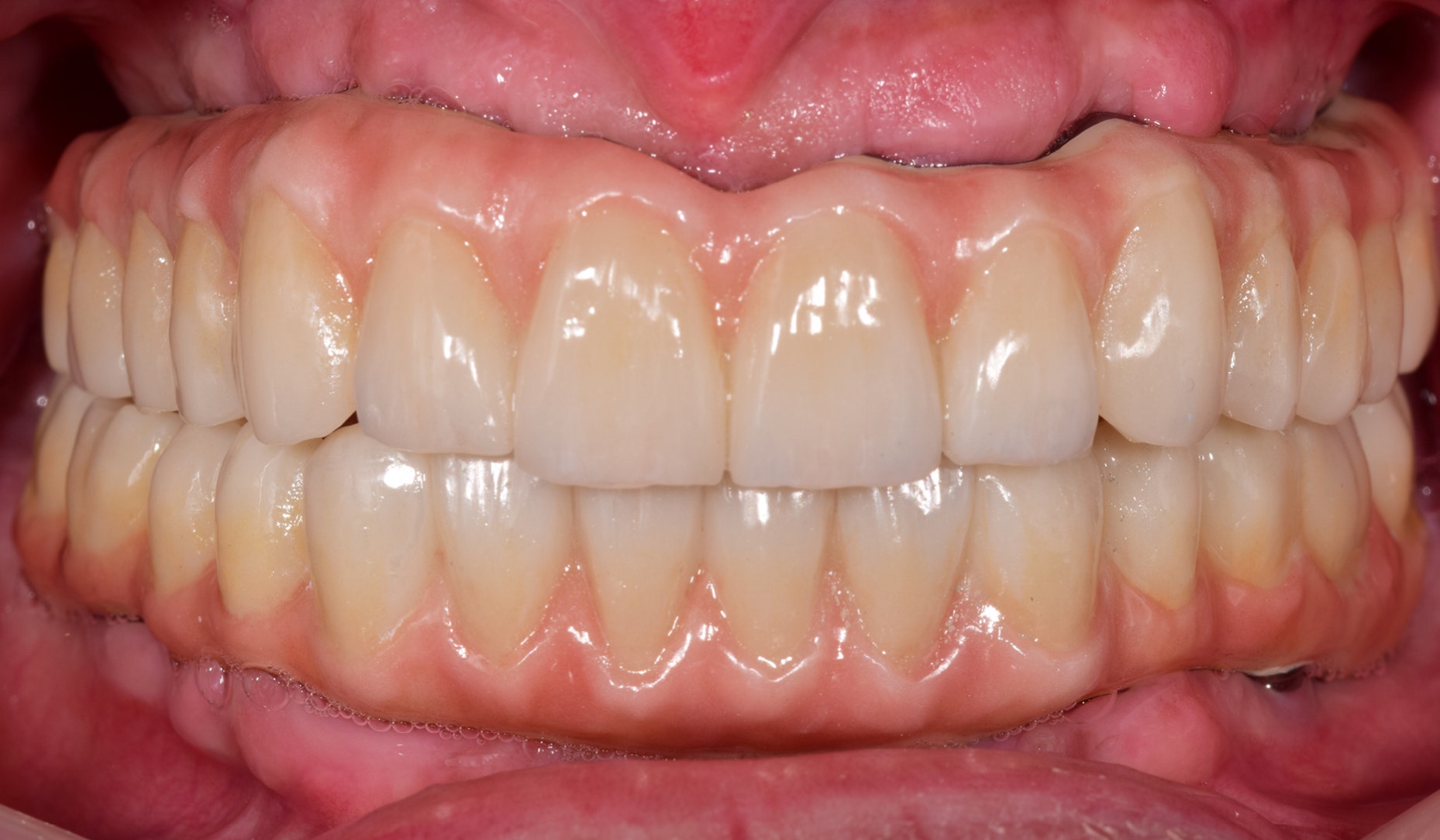
Fig. 18. Final restorations in the patient’s mouth.

Fig. 19. New smile of the patient.

Fig. 20. Patient with new fixed dental prostheses.
CONCLUSION
The described material combination and technique allows for efficient workflows, while supporting aesthetic, durable treatment outcomes. With functional surfaces designed in plain, polished zirconia and just a tiny layer of porcelain in the vestibular region, the restorations are made to last. Moreover, the selected framework material and porcelain system are a perfect match.
The chosen porcelain system works well with other zirconia brands and even with lithium disilicate. It can be used with or without internal stains, making it a versatile tool suitable for a wide range of applications, patient needs, and aesthetic demands.

- Mar 18, 2026