The new way of micro-layering Case by Andreas Chatzimpatzakis With CERABIEN™ ZR, Kuraray Noritake Dental Inc. offers a whole porcelain portfolio for the finishing of restorations based on zirconia. Originally developed for complex layering techniques, the synthetic feldspathic porcelain powders, liquid ceramics, internal and external stains allow for the creation of beautiful dental artwork. We love to work with the system as it offers consistent handling and mechanical properties, allowing us to produce predictable outcomes. However, the complexity of the system with its huge number of different shades can pose challenges to less experienced users. This complexity is further increased when different substructure materials are used, as CERABIEN™ ZR works exclusively on zirconia, so that users would need to select and manage a second porcelain system when opting for a lithium disilicate framework, for example. For dental technicians who would like to keep it smartly simple, the new CERABIEN™ MiLai line-up is certainly a great solution. Specifically developed for micro-layering on pre-shaded, highly translucent substructure materials such as lithium disilicate or a latest-generation zirconia, CERABIEN™ MiLai porcelains and internal stains may be applied in a thin (micro-) layer on restorations with a small (vestibular) cut-back. Just like CERABIEN™ ZR, the new system is based on synthetic feldspathic porcelain delivering consistent properties, but the line-up is reduced to 15 internal stains and 16 porcelains. As the CERABIEN™ MiLai has a firing temperature of 740 °C (1,364 °F), it works on oxide ceramics like zirconia, but also on reinforced silicate ceramics like lithium disilicate*. *The material should have CTE value within 9.5~11.0×10-6 /K (50~500 °C) Consequently, the system may be used as the universal porcelain system for micro-layering on aesthetic ceramics. With its slim portfolio, it fits the philosophy of creating impressive restorations with fewer components, layers and bakes very well, as demonstrated in two different case examples below. VENEERS BASED ON LITHIUM DISILICATE Fig. 1. Six anterior veneers made of lithium disilicate (Amber Press LTA2 HASS Bio), designed with a slight cut-back to create the space needed for micro-layering. Fig. 2. Restorations after the application of CERABIEN™ MiLai Value Liner 1 followed by wash firing and internal staining. This type of porcelain increases the value of lithium disilicate restorations. By staining the core, we control the chroma and add some internal characteristic effects. In this case, we added Cervical 2 to the marginal area and characterized the incisal third with Cervical 2 and Incisal Blue 1 & 2. Fig. 3. First porcelain layer consisting of CERABIEN™ MiLai LT1 applied to the cervical, ELT1 to the mesial third and TX to the incisal third before … Fig. 4. … and after the first bake. Fig. 5. Application of internal stains for special effects like cracks, intense chroma etc. Fig. 6. Second porcelain layer consisting of CERABIEN™ MiLai LT1 applied to the canines as well as the cervical third of the central and lateral incisors, while the middle and incisal third of the four incisors is individualised with LTx. Fig. 7. Finished restorations on the master cast. Fig. 8. Lateral view of the restorations highlighting their natural surface texture. ANTERIOR BRIDGEWORK BASED ON ZIRCONIA Fig. 1. KATANA™ Zirconia HTML Plus (A2 shade) structure immediately after milling. Fig. 2. Appearance of the substructure after sintering. Fig. 3. High translucency of the zirconia with the applied CERABIEN™ MiLai stains and porcelains on teeth and gingiva. Fig. 4. Palatal view of the individualized restoration before the firing process. Fig. 5. Restoration ready for try-in. CONCLUSION The two different cases confirm that CERABIEN™ MiLai works very well on lithium disilicate and zirconia. Despite the reduced number of stains and shades, it is possible to imitate most of the shades and individual effects found in natural teeth, which are important for lifelike outcomes. Hence, the new material is worth a try for everyone who prefers standardized and simplified procedures. Dental technician: ANDREAS CHATZIMPATZAKIS Andreas graduated from the Dental Technology Institute (TEI) of Athens in 1999. During his studies he followed a program at the Helsinki Polytechnic Department of Dental Technique, where he trained on implant superstructures and all ceramic prosthetic restorations. As of 2000, he is running the ACH Dental Laboratory in Athens, Greece, specialized on refractory veneers, zirconia and long span implant prosthesis. In 2017 Andreas visited Japan where he trained under the guidance of Hitoshi Aoshima, Naoto Yuasa and Kazunabu Yamanda and become International Trainer for Kuraray Noritake Dental Inc.. Apr 8, 2025
Futureproof your lab with CERABIEN™ MiLai LOOKING FOR PORCELAINS AND INTERNAL STAINS FOR MICRO-LAYERING ON LITHIUM DISILICATE AND ZIRCONIA? The innovative product CERABIEN™ MiLai, based on synthetic feldspar, enables dental technicians to add the final touch to their zirconia or lithium disilicate restorations in a simple and time-saving procedure – for outstanding aesthetics right from the start. Check out the video to learn about the features of CERABIEN MiLai and the resulting benefits. Jun 10, 2025
A Fresh Look at the Future of Ceramics Recently we introduced CERABIEN™ MiLai - a brand-new line of porcelains and internal stains specially developed for micro-layering on zirconia and lithium disilicate. In this special edition of BOND magazine, we're excited to share the very first clinical cases using this innovative system. From beautifully natural veneers to streamlined lab workflows, these real-world examples show just what’s possible with CERABIEN™ MiLai. If you’re curious about what the future of aesthetic dentistry looks like, this is the place to start! Start Reading: BOND | VOLUME 12 | 07/2025 Previous versions: BOND | VOLUME 11 | 07/2024 BOND | VOLUME 10 | 10/2023 BOND | VOLUME 9 | 08/2022 BOND | VOLUME 8 | 12/2021 BOND | VOLUME 7 | 10/2020 Jul 15, 2025
Fire it right! Achieving consistent, high-quality ceramic restorations requires more than just premium materials — it demands a deep understanding of your tools and processes. The CERABIEN™ MiLai Firing Guide is designed to help dental technicians unlock the full potential of this advanced micro-layering porcelain system. With tips on optimal furnace positioning, trial baking, and troubleshooting, this guide supports efficient, aesthetic results every time. Whether you're new to CERABIEN™ MiLai or looking to refine your firing process, this resource lays the groundwork for success. Aug 26, 2025
A dynamic duo for natural-looking, functional restorations Case by Kostia Vyshamirski, DT KATANA™ Zirconia YML AND CERABIEN™ MiLai Virtually every patient in need of restorative treatment desires functional restorations with an aesthetic appearance. However, the individual expectations and needs may be very different depending on the clinical situation (state of the natural tooth structure, parafunctional behaviour, periodontal health etc.), the patient’s financial resources and personal preferences. A versatile material combination fulfilling many different needs and desires is KATANA™ Zirconia YML finished using micro-layering with the new CERABIEN™ MiLai (both Kuraray Noritake Dental Inc.). This system supports low invasive preparations due to a favourable minimum wall thickness of the merely monolithic multi-layered zirconium oxide prosthesis and a minimal thickness of the porcelain layer in the aesthetic zone. Moreover, the high strength zirconium oxide prosthesis combined with only a very thin layer of porcelains makes this technique extremely useful in patients with parafunctional habits like bruxism. Last but not least, consisting of a carefully compiled selection of internal stains and porcelain shades, CERABIEN™ MiLai supports the creation of individual 3D shade effects that mimic those of natural teeth even when space is limited. The following case example reveals how this is possible. INITIAL SITUATION The patient presented with concerns related to both function and appearance. During the diagnostic phase, it was determined that increasing the vertical dimension of occlusion (VDO) and creating a wax-up in the new jaw position would be necessary to improve both the occlusion and the aesthetic appearance of the smile. Fig. 1. Intraoral scan of the maxillary teeth revealing severe tooth wear. Fig. 2. Intraoral scan of both jaws confirming the need for an increase of the VDO. Fig. 3. Intraoral scan: Occlusal view of the maxillary teeth. TREATMENT PLANNING AND COMPUTER-AIDED DESIGN Following the approval of the wax-up, the treatment plan was created. It consisted of restoring the four anterior incisors with zirconia crowns and performing direct composite restorations on the posterior and lower teeth. To conserve as much of the healthy tooth structure as possible, the space created was aligned to the required wall thickness of the planned restoration (framework + micro-layer of porcelain in the vestibular areas only). Following an aesthetic analysis, the crowns were designed with a minimal vestibular cutback. This was due to the patient’s functional problems, which would increase the chipping risk in case of using a more heavy cutback design with a thicker, more conventional porcelain layer. KATANA™ Zirconia YML offers exceptional aesthetics, requiring only a 0.3 mm reduction for the porcelain to achieve natural results. Therefore, it was the logical material choice for this specific case. Fig. 4. Minimally invasive preparations for the crowns. Fig. 5. Occlusal view of the preparations. Fig. 6. Aesthetic analysis – a crucial step for achieving the desired new smile. Fig. 7. Frontal view of the crowns in their final cutback design. Fig. 8. Lateral view of the crowns in the CAD software. CROWN PRODUCTION Immediately after milling, the zirconia surface was treated with effect liquids. This kind of pre-sintered characterization helps enhance the characteristics of zirconia restorations. In the presented case, orange stain was applied to the cervical area, while a blue stain was used at the incisal edge. In addition, a white opaque liquid was applied to the inner surface of the central zirconia crowns to block out any discolouration from the underlying tooth structure. Following final sintering, the vestibular layer of porcelain was built up with CERABIEN™ MiLai using a combination of internal stains and porcelain micro-layering. After morphological adjustments and surface polishing, the restorations were completed by applying CERABIEN™ ZR FC Paste Stain and Glaze. Final polishing was then performed to enhance the natural appearance of the surfaces. Fig. 9. Effect liquids applied to the cervical and incisal areas of the crowns. Fig. 10. Treatment of the central incisor crowns’ inner surfaces. Fig. 11. KATANA™ Zirconia YML framework after sintering. Fig. 12. CERABIEN™ MiLai Internal Stains and Porcelains. Fig. 13. Prepared vestibular surfaces ready for application of the internal stains. Fig. 14. Application of 0.2-0.3 mm layers of CERABIEN™ MiLai porcelain: CCV2 for the cervical area, LT1 – Creamy Enamel for the main body and luster, LTX at the incisal edge. Fig. 15. Frontal view of the final restorations on the model. Fig. 16. Lateral view of the final restorations on the model. Fig. 17. Polished and glazed palatal surfaces of the crowns. FINAL OUTCOME The finalized restorations showcase great details, crafted with CERABIEN™ MiLai internal stains and porcelains. The result are natural-looking restorations. An additional benefit of using zirconia as a restorative material is its excellent compatibility, which is evident in the healthy gingival conditions. Fig. 18. Restorations in place. Fig. 19. Natural-looking restorations in the patient’s mouth. Dental Technician: KOSTIA VYSHAMIRSKI DT Kostia Vyshamirski, Riga, Latvia After earning his Dental Technician Certificate from the Medical College in Minsk, Belarus, in 2014, Kostia began his career as a dental technician, focusing on aesthetic clinical cases that integrate the latest digital and manual technologies. Moving to Riga, Latvia, in 2015 greatly expanded his professional opportunities. With over a decade of experience, Kanstantsin Vyshamirski now conducts courses, lectures, and seminars worldwide. He is a member of the DTG (Dental Technician Guild), a professional group of dental technicians based in the USA, and an invited guest of the AAED (American Academy of Esthetic Dentistry), an exclusive, invitation-only organization. Operating his own lab in Riga, Latvia, Kanstantsin specializes in aesthetic prosthetic porcelain work and is an experienced, passionate user of KATANA™ Zirconia and Noritake porcelains. Sep 23, 2025
Practical chroma maps for anterior case CERABIEN™ MiLai in Daily Use A tooth with crack lines, a characteristic round shape, age-related changes, or medication-induced discoloration — there’s no one-size-fits-all solution when it comes to all-ceramic anterior restorations, even when the porcelain system and production technique are defined. To support technicians who wish to simplify their layering workflow using the micro-layering technique and CERABIEN™ MiLai — whether just getting started or looking to refine their process — we’ve collaborated with DT Dumitru Leahu to create a Chroma Map Catalogue featuring seven typical anterior restoration scenarios. Each case example includes a detailed screenshot of the framework design, chroma maps outlining the planned steps, images of internal staining and micro-layering procedures, and the final restoration on the model. You’ll also find essential information about the selected framework material, target shade, and other relevant details. We invite you to use the CERABIEN™ MiLai Catalogue as a step-by-step guide to success or simply as inspiration for individual cases. It offers a fast track to understanding the material’s optical properties and will make planning your next micro-layering case more intuitive. No need to start from scratch — instead, adapt what’s already there and gradually develop your own maps and techniques. Interested in the CERABIEN™ MiLai Chroma Map Catalogue? Download it here! Sep 18, 2025
Veneer Characterization with CERABIEN™ MiLai Internal Stains on KATANA™ Zirconia YML In the first part of this aesthetic veneer workflow, dental technician Roberto Rossi demonstrates how to apply internal stains to KATANA™ Zirconia YML. This crucial step enhances the restoration by adding depth, translucency, and natural character from within. After refining the anatomy and surface texture, Roberto skillfully blends and applies selected shades such as A+, Fluoro, and Incisal Blue. These shades create depth, opalescence, and inner vitality that radiate through the final restoration. A must-watch for dental technicians looking to elevate their zirconia restorations with advanced, yet straightforward, internal staining techniques. Oct 21, 2025
Finishing Veneers with CERABIEN™ MiLai Lusters on KATANA™ Zirconia YML In part two of this veneer workflow, Roberto Rossi completes the restoration by applying CERABIEN™ MiLai lusters to the pre-stained and sintered KATANA™ Zirconia YML. Watch as he enhances surface texture, gloss, and lifelike detail through precise finishing techniques. With just a few simple steps, Roberto creates depth, dynamic light effects, and natural contours that rival real enamel. The process is intuitive and efficient, delivering a high-end finish—culminating in a final self-glazing fire for a polished, natural result. An intelligent solution for dental technicians seeking efficiency without compromising on aesthetics. Oct 23, 2025
How does Nondas Vlachopoulos baking schedule optimize aesthetic quality and mechanical performance? HOW TO OPTIMIZE ALL-CERAMIC RESTORATION BOTH AESTHETIC AND MECHANICAL? A homogeneous porcelain structure, a strong bond between framework and veneering layer and a natural play of colours: All those characteristics of a high-quality all-ceramic restoration are not only strongly dependent on manual skills of the dental technician, but also on ideal firing conditions. Only with a well maintained and properly functioning furnace and the right protocols, it is possible to obtain consistently great results in terms of aesthetics and function. This is true for all kinds of all-ceramic restorations consisting of a framework and a veneering layer: It applies to full layering with a classical anatomical framework design and a relatively thick layer of porcelain, as well as to various cut-back designs finished using the modern micro-layering technique. A material that belongs to the latter category of porcelains and is becoming increasingly popular among dental technicians worldwide is CERABIEN™ MiLai (Kuraray Noritake Dental Inc.). The set of low-fusing porcelains and internal stains has been specifically developed for micro-layering, and works well with different variants of lithium disilicate and zirconia. While the firing parameters provided by manufacturers like Kuraray Noritake Dental serve as reliable and thoroughly tested guidelines, experienced technicians often explore beyond these standards to achieve the highest possible aesthetic and functional outcomes. This is precisely what MDT Nondas Vlachopoulos has done with CERABIEN MiLai. Would you like to continue reading as a PDF? Please leave your email address below. Jan 7, 2026
PURE Control: Value, Chroma and Shape in Ceramic Restorations WHAT IS THE PURE CONTROL PROTOCOL? PURE Control is a three-step evaluation protocol developed by MDT Andreas Chatzimpatzakis for dental technicians that helps achieve predictable aesthetic ceramic restorations. The protocol allows ceramists to maintain aesthetic control when working with zirconia, lithium disilicate and micro-layering techniques. INTRODUCTION Achieving natural aesthetics in ceramic restorations is one of the greatest challenges in modern dental laboratory work. While digital workflows and monolithic restorations have improved efficiency, they often lack the optical complexity and vitality of natural teeth. To address this challenge, Master Dental Technician Andreas Chatzimpatzakis developed PURE Control, a systematic evaluation protocol that helps dental ceramists achieve predictable aesthetic results—even in complex restorative cases involving different materials. The concept focuses on three critical parameters that determine the final visual outcome of ceramic restorations: Value – the lightness of the restoration Chroma – the intensity of colour Shape – morphology and surface texture By evaluating and controlling these factors step by step, dental technicians can achieve highly aesthetic and consistent results in both simple and complex prosthetic cases. The full concept and clinical cases are available in the original publication. IMPORTANCE OF CONTROL Traditional ceramic buildup techniques involve the application of multiple powders, such as opaque dentins, dentins, enamels, and lusters, through one or several firings to achieve the desired aesthetics and natural appearance. In contrast, contemporary prosthodontics often employs digital workflows and monolithic restorations. The traditional buildup technique necessitates a highly skilled ceramist to maintain control over the final outcome of the ceramic restoration, requiring a significant investment of time. On the other hand, monolithic restorations offer a straightforward and simple workflow but compromise on aesthetic appearance. Micro-layering comes in between, applying thin ceramic layers (approximately 0.2–0.6 mm) over zirconia or lithium disilicate frameworks to recreate natural optical effects. A PRACTICAL PHILOSOPHY FOR EVERYDAY CERAMIC WORK Philosophy of MDT Andreas Chatzimpatzakis is that, for everyday work, it is unnecessary to engage in complex procedures involving numerous powders, which can consume valuable time. Furthermore, the use of multiple powders increases the risk of losing control over the final result, particularly for ceramists who are less experienced. At the same time, there is a desire to achieve more than what a purely monolithic restoration can offer. His aim is to show ceramists that simplicity and control over their work are essential, and that a minimal yet effective ceramic layer is sufficient to achieve natural aesthetics in everyday laboratory practice. FROM MONOLITHIC TO MICRO-LAYERING All-ceramic restorations dominate modern prosthodontics thanks to their biocompatibility, strength and aesthetics. However, digital workflows and CAD/CAM production have increased the use of monolithic restorations. While monolithic materials provide precision and reliability, they often lack the depth and vitality achieved with layered ceramics. As a result, micro-layering techniques have become increasingly popular. Micro-layering involves applying thin ceramic layers (approximately 0.2–0.6 mm) over zirconia or lithium disilicate frameworks to recreate natural optical effects. THE PURE CONTROL CONCEPT PURE Control provides dental technicians with a simple and structured approach for evaluating ceramic restorations during fabrication. The process focuses on analysing three key aesthetic parameters: Value – the lightness of the restoration Chroma – the colour intensity Shape – morphology and surface texture This structured evaluation allows ceramists to maintain aesthetic control throughout the layering process. Watch the webinar of MDT Andreas Chatzimpatzakis and dive into the world of PURE Control STEP 1: VALUE – THE MOST CRITICAL FACTOR Value refers to the lightness or darkness of a restoration and is the most perceptible aspect of colour to the human eye. Factors influencing value include: Framework opacity Material thickness Opacity/translucency of the veneering ceramic Internal staining Surface texture Glazing and polishing Lighting conditions Recommended techniques: Evaluate preparation shade before selecting the core material Adjust framework opacity Use value liners and modifiers Apply ceramics with controlled translucency As a general simplified guidance is to work on a higher value framework than the desired final shade. “Value discrepancies are often immediately visible and difficult to correct later in the process.”— Andreas Chatzimpatzakis MDT STEP 2: CHROMA – CREATING DEPTH Chroma refers to the intensity of colour. In natural teeth, chroma varies across the tooth structure and is often stronger in the cervical region. Dental technicians can control chroma using: Internal stains Dentins and modifiers Controlled ceramic layering “Internal stains allow ceramists to introduce depth and chromatic variation, in an easy and predictable way, even working with different core materials.” STEP 3: SHAPE – THE FINAL DETERMINANT Shape includes tooth morphology, surface texture, incisal edge design and reflective zones. These elements influence how light interacts with the restoration. Final morphology is refined using enamel porcelains and luster ceramics. “Surface texture and morphology play a crucial role in how light interacts with the restoration.”— Andreas Chatzimpatzakis MDT PRACTICAL WORKFLOW: APPLYING PURE CONTROL Step 1 – Evaluate Value Assess preparation shade Select framework material, opacity and shade Adjust value with value liners, opaque dentins or internal stains Step 2 – Control Chroma Apply internal stains Use modifiers to introduce colour intensity and depth Harmonize optical behaviour across materials Step 3 – Refine Shape Finalise with a “skin layer” of enamel porcelains Adjust morphology and surface texture Refine line angles and reflective zones Key Takeaways for Dental Technicians: Evaluate value first to establish correct lightness Adjust chroma to introduce colour depth Refine morphology to control light reflection Use internal stains and micro-layering for optical harmony Follow a structured workflow for predictable results CONCLUSION The PURE Control concept was developed to simplify aesthetic evaluation during the fabrication of ceramic restorations. By focusing on the three parameters that most strongly influence visual perception — Value, Chroma and Shape — dental technicians can analyze restorations in a structured and predictable way. CERAMIC SYSTEMS DESIGNED FOR MICRO-LAYERING Few ceramic systems are specifically developed for micro-layering techniques. One example is CERABIEN™ MiLai, a synthetic feldspar ceramic system designed for both zirconia and lithium disilicate frameworks. The system enables ceramists to create depth and natural optical effects using very thin ceramic layers (approximately 0.3–0.5 mm). Key components of the workflow include: Contains Value Liners for lightness control Offers Internal Stains for Chroma and depth Features for Enamel powders finalising the Shape and light dynamics This approach supports a simplified yet highly predictable workflow when combined with the PURE Control evaluation process. CONTINUE LEARNING ABOUT THE PURE CONTROL PROTOCOL AND RELATED PRODUCTS Watch the webinar by MDT Andreas Chatzimpatzakis Download the full PURE Control article Discover CERABIEN™ MiLai Discover KATANA™ Zirconia discs Dental technician: ANDREAS CHATZIMPATZAKIS Andreas graduated from the Dental Technology Institute (TEI) of Athens in 1999. During his studies he followed a program at the Helsinki Polytechnic Department of Dental Technique, where he trained on implant superstructures and all ceramic prosthetic restorations. As of 2000, he is running the ACH Dental Laboratory in Athens, Greece, specialized on refractory veneers, zirconia and long span implant prosthesis. In 2017 Andreas visited Japan where he trained under the guidance of Hitoshi Aoshima, Naoto Yuasa and Kazunabu Yamanda and become International Trainer for Kuraray Noritake Dental Inc.. Would you like to read the original publication as a PDF? Please leave your email address below. Mar 20, 2026
Micro-layering with CERABIEN™ MiLai Case by Andreas Chatzimpatzakis A CONCEPT EVEN FOR AESTHETICALLY DEMANDING CASES The micro-layering technique is regarded as a more efficient, streamlined approach used as an alternative for full porcelain layering. It requires aesthetic, high-strength ceramics like lithium disilicate or zirconia as a base and – ideally – a set of porcelains specifically designed for reduced layer thicknesses that allows users to focus on imitating the characteristics of enamel. A high-quality example is CERABIEN™ MiLai (Kuraray Noritake Dental Inc.). Consisting of a set of internal stains and porcelains with a firing temperature of just 740 °C and a coefficient of thermal expansion in the range of 9.5~11.0×10-6/K (50 °C – 500 °C), this product works well on lithium disilicate and zirconia. Its aesthetic potential is surprisingly high: Depending on case-specific requirements, users are given the choice between maximum efficiency using a single-bake technique and maximum aesthetics achieved with more complex layering. The latter option is demonstrated below using the example of six maxillary anterior veneers. Fig. 1. Lithium disilicate frameworks (Amber Press) on the model. Fig. 2. CERABIEN™ MiLai Value Liner 1 applied to the framework. This porcelain is typically used on lithium disilicate for wash baking. Fig. 3. First build-up with CERABIEN™ MiLai CCV2 in the cervical section, … Fig. 4. … Value Liner 2, … Fig. 5. … Creamy Enamel in the middle area … Fig. 6. … and Tx used to add ultimate translucency. Fig. 7. Appearance of the restorations after the first bake. Fig. 8. Outcome of the internal staining procedure. Fig. 9. Application of CERABIEN™ MiLai LT1 for a standard translucency and opalescence effect, … Fig. 10. … E2, … Fig. 11. … a mixture of E2 and ELT1 (mixing ratio: 50:50) for translucency and brightness and along the marginal ridges, … Fig. 12. … Tx mixed with Royal Blue (mixing ratio 70:30) for a blueish translucency in the incisal area… Fig. 13. … as well as a final layer of LTx to add ultimate translucency and opalescence to the whole enamel surface. Fig. 14. Outcome of the third bake. Fig. 15. Cutback for the final layer of porcelain. Fig. 16. Final layer of CERABIEN™ MiLai added to the central and lateral incisors for translucency. Fig. 17. Situation after the fourth bake, grinding and use of a rubber polisher. Fig. 18. Outcome of the fifth bake (self-glaze). Fig. 19. Beauty shots … Fig. 20. … of the restorations … Fig. 21. … on the model. TRULY BEAUTIFUL OUTCOMES POSSIBLE This case example reveals that CERABIEN™ MiLai is much more than just a maximum-efficiency solution: With the current line-up of porcelains and internal stains, truly beautiful restorations can be produced. Hence, users are given high flexibility regarding not only the high-strength framework material they prefer, but also the effort and time they would like to invest. This makes CERABIEN™ MiLai a versatile porcelain system that meets many needs and covers a wide range of applications in the dental laboratory. Dental technician: ANDREAS CHATZIMPATZAKIS Andreas graduated from the Dental Technology Institute (TEI) of Athens in 1999. During his studies he followed a program at the Helsinki Polytechnic Department of Dental Technique, where he trained on implant superstructures and all ceramic prosthetic restorations. As of 2000, he is running the ACH Dental Laboratory in Athens, Greece, specialized on refractory veneers, zirconia and long span implant prosthesis. In 2017 Andreas visited Japan where he trained under the guidance of Hitoshi Aoshima, Naoto Yuasa and Kazunabu Yamanda and become International Trainer for Kuraray Noritake Dental Inc.. Oct 14, 2025
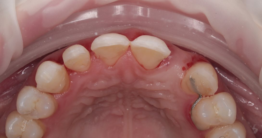
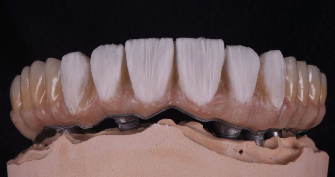
Keeping it smart and simple: Micro-layering of implant supported reconstructions Case by Andreas Chatzimpatzakis Many modern, tooth-coloured dental materials enable us to achieve more with less. By using high-strength ceramics with a multi-layered colour structure and natural translucency, for example, the path to the desired outcomes involves fewer components, smaller layers and a reduced number of bakes. A possible streamlined procedure is illustrated below. The main materials used were KATANA™ Zirconia HTML PLUS for the screw-retained implant-supported superstructure and CERABIEN™ MiLai (both Kuraray Noritake Dental Inc.) for vestibular micro-layering. Fig. 1. Zirconia-based screw-retained implant-supported prosthesis after milling and carving to obtain a natural surface texture. Fig. 2. Restoration after sintering. To intensify the colour characteristic of the multi-layered blanks, the surface was treated with Esthetic Colorant (mainly in the incisal area and the gum parts). Fig. 3. Appearance after the application of CERABIEN™ MiLai SS Fluoro. Fig. 4. Restoration after the application of CERABIEN™ MiLai internal stains. They add some natural shading effects to the tooth and gum areas. Fig. 5. Restoration on the model after micro-layering. In the cervical area, CERABIEN™ MiLai LT1 was mainly used, while the middle and incisal areas were individualized with E2 and Tx, the latter adding a seamless gradient in translucency. For the gingiva, the choice fell on the tissue porcelains 1, 5 and 6. Fig. 6. Finished restoration on the model. Fig. 7. The micro-layer of porcelain has a brilliant effect. Fig. 8. The lifelike appearance is due to a smart combination of surface texturing … Fig. 9. … and micro-layering with a comprehensive set of internal stains plus porcelains. CONFIDENCE AND CONTROL Full ceramic layering can produce beautiful results, but can be quite complex and time-consuming. In times with limited availability of skilled personnel and high-performance materials being offered, it may be a valuable strategy to opt for micro-layering with CERABIEN™ MiLai whenever appropriate. The system provides precise control over the layering and shading procedure, so that highly aesthetic and functional outcomes are easily and confidently obtained. Dental technician: ANDREAS CHATZIMPATZAKIS Andreas graduated from the Dental Technology Institute (TEI) of Athens in 1999. During his studies he followed a program at the Helsinki Polytechnic Department of Dental Technique, where he trained on implant superstructures and all ceramic prosthetic restorations. As of 2000, he is running the ACH Dental Laboratory in Athens, Greece, specialized on refractory veneers, zirconia and long span implant prosthesis. In 2017 Andreas visited Japan where he trained under the guidance of Hitoshi Aoshima, Naoto Yuasa and Kazunabu Yamanda and become International Trainer for Kuraray Noritake Dental Inc.. Nov 11, 2025
A new porcelain system for micro-layering Case by MDT Andreas Chatzimpatzakis and DDS Manousos Pissadakis ONE SOLUTION, MULTIPLE NEEDS COVERED The treatment of young patients with a dental condition that affects the appearance of multiple teeth – like enamel hypomineralisation or hyperplasia – is particularly challenging for the restorative team. Dental practitioners and technicians need to be aware of the fact that the condition often involves a life-long disease burden, which typically goes hand in hand with an immense treatment need and increasingly invasive measures required with advancing age. It is their task to make the situation as bearable as possible for patients by delivering treatment that is very well aligned to their specific aesthetic, functional and financial needs, both in the short and long term. Whenever all-ceramic restorations seem most appropriate, material and technique selection are particularly important: Protection of the affected teeth from extrinsic influences, the saving of sound tooth structure and the safeguarding of the long-term stability of the restorations are key to success. Depending on the aesthetic expectations of the patient, veneers made of zirconia or lithium disilicate, produced with a minimal vestibular cutback and finished using the micro-layering technique, are a great option. A prime example of an innovative porcelain system specifically developed for this technique is CERABIEN™ MiLai (Kuraray Noritake Dental Inc.). It includes a collection of internal stains and porcelains that fire at just 740 °C. With this low firing temperature and a coefficient of thermal expansion between 9.5~11.0×10-6/K (50 °C – 500 °C), this product is ideal for use with lithium disilicate and zirconia. In addition, it offers impressive aesthetic capabilities: Depending on the specific needs of each case, users can adjust the level of complexity and number of bakes. CASE EXAMPLE In the present case of a young female patient with hypomineralisation, it was decided to follow a straightforward approach to restore the maxillary teeth for the time being. For this purpose, we produced a wax-up and transferred it into the patient’s mouth in the form of a mock-up. Following guided tooth structure removal trough this mock-up, an impression was taken. The restorations were designed in full contour, pressed using lithium disilicate-based press ingots (Amber® Press LTW3, HASS Corp.) and cut back slightly in the vestibular area (reduction: 0.3 mm). The selected micro-layering system was applied according to the internal stain technique. The following CERABIEN™ MiLai Internal Stains were used: A little Red in the cervical, and Mamelon 2, Incisal Blue 1 and White in the incisal third. What followed was build-up with CERABIEN™ MiLai Porcelains Tx incisally and LTx proximally; some whitish lines were created with Value Liner 1. Then, I applied a mixture of E2 and ELT1 in the middle and LT1 in the cervical area. After the bake, the restorations were treated with green stones, sandpaper and rubber wheels to pre polish the surface. After glazing with CERABIEN™ ZR FC Paste Stain Clear Glaze, final polishing was carried out. The whole treatment procedure including tooth preparation, shade determination, veneer production and adhesive cementation is illustrated below. Fig. 1. Portrait of the patient prior to treatment. Fig. 2. Enamel defects in the maxilla and mandible. Fig. 3. Initial clinical situation in the maxilla with whitish-brown discolouration and composite restorations in need of replacement. Fig. 4. Mock-up in the patient’s mouth. Fig. 5. Labial reduction through the mock-up: The depth of tooth preparation is controlled by using a depth guide and by marking the created depth grooves with a colour marker. Fig. 6. Silicon index used to check the space created for the veneers. Fig. 7. Prepared teeth ready for impression taking and temporization. Fig. 8. Shade determination for the veneers. Fig. 9. Pressed lithium-disilicate restorations on the model. Fig. 10. Appearance of the restorations after internal staining. Fig. 11. Appearance of the teeth after build-up with CERABIEN™ MiLai Porcelain. Fig. 12. Final restorations on the model. Fig. 13. Adhesive cementation procedure carried out for two teeth at once: Isolated teeth and a perfectly dry working field. Fig. 14. Etching of the tooth structure with phosphoric etchant (K-ETCHANT Syringe, Kuraray Noritake Dental Inc.). Fig. 15. PANAVIA™ V5 Tooth Primer (Kuraray Noritake Dental Inc.) applied to the etched tooth surfaces. Fig. 16. Veneers – pre-treated with hydrofluoric acid and CLEARFIL™ Ceramic Primer Plus – filled with PANAVIA™ V5 Paste (Both from Kuraray Noritake Dental Inc.) and placed in the patient’s mouth. Fig. 17. Restorations after excess removal. Fig. 18. All eight restorations in place. Fig. 19. Treatment outcome after two weeks. Fig. 20. Portrait of the patient taken two weeks after treatment. CONCLUSION Repeated dental treatment, increasing invasiveness of the measures, often resulting in early tooth loss: To break the vicious cycle in young patients with enamel defects, it is important to carefully evaluate the treatment need and select the appropriate solutions. As dental technicians, we can contribute to long-term treatment success by using high quality materials and production techniques that allow us to create restorations that last. The presented material combination and the micro-layering technique are very well suited as they offer the required mechanical and optical properties for high aesthetics and durability. Plus, the risk of complications is low due to the high biocompatibility and the layer of porcelain limited to non-load-bearing areas. Dental technicians: ANDREAS CHATZIMPATZAKIS Andreas graduated from the Dental Technology Institute (TEI) of Athens in 1999. During his studies he followed a program at the Helsinki Polytechnic Department of Dental Technique, where he trained on implant superstructures and all ceramic prosthetic restorations. As of 2000, he is running the ACH Dental Laboratory in Athens, Greece, specialized on refractory veneers, zirconia and long span implant prosthesis. In 2017 Andreas visited Japan where he trained under the guidance of Hitoshi Aoshima, Naoto Yuasa and Kazunabu Yamanda and become International Trainer for Kuraray Noritake Dental Inc.. MANOUSOS PISSADAKIS Dr. Manousos Pissadakis is a graduate of the National Kapodistrian University Dental School, Athens, Greece. He completed the Master of Science curriculum in Prosthodontics at the School of Dentistry of the Aristotle University of Thessaloniki, Greece. He also holds the ITI Certificate in Implant Dentistry – Foundation and Intermediate Level (ITI Curriculum, ITI section Greece and Cyprus). He has presented at numerous prestigious international conferences, focusing on subjects such as aesthetics, implant dentistry and prosthodontics. Dec 9, 2025
Micro-layering: a great concept for zirconia-based screw-retained implant-supported prostheses Case by Andreas Chatzimpatzakis For zirconia-based screw-retained implant-supported prostheses, diverse finishing concepts are available. Most of them are quite complex and time-consuming. A streamlined approach that brings efficiency into the finishing procedure without compromising aesthetics and function is micro-layering with CERABIEN™ MiLai (Kuraray Noritake Dental Inc.) on a zirconia superstructure with just a slight vestibular cutback. A possible technical procedure is demonstrated using the following case example. The patient was treated by prosthodontist Dr. Georgios Siavikis from Ioannina, Greece. Fig. 1. Occlusal view of an implant-supported overdenture made of KATANA™ Zirconia HTML PLUS (Kuraray Noritake Dental Inc.) for a male patient with an edentulous maxilla and a removable partial denture in the mandible. Fig. 2. Frontal view of the milled and sintered screw-retained implant-supported prosthesis. Fig. 3. Appearance after the application of CERABIEN™ MiLai SS Fluoro and internal stains to enhance the natural shading of the restoration in the tooth and gum areas. Fig. 4. Result of micro-layering with CERABIEN™ MiLai porcelains LT1 for the cervical as well as E2 and TX for the middle and incisal sections for a seamless gradient in translucency. For an optimal gingival harmony and match with the surrounding tissue, the tissue shades 1, 5 and 6 were applied. Fig. 5. The restoration after finishing. Fig. 6. The gingiva and tooth areas have a natural appearance … Fig. 7. … due to a natural colour, translucency and surface texture. Fig. 8. Intraoral harmony. PREDICTABLE OUTCOMES In this case, the use of an aesthetic, high-strength multi-layered zirconia was a true enabler of a streamlined finishing technique. As a convinced and frequent user of CERABIEN™ ZR, micro-layering with CERABIEN™ MiLai appeared to work flawlessly right from the start. The systems are perfectly aligned to each other, and as they are both based on synthetic feldspathic technology, they offer consistent material properties. These provide precise control over the layering and shading, thus supporting a highly aesthetic and well-integrated implant restoration. Dental technician: ANDREAS CHATZIMPATZAKIS Andreas graduated from the Dental Technology Institute (TEI) of Athens in 1999. During his studies he followed a program at the Helsinki Polytechnic Department of Dental Technique, where he trained on implant superstructures and all ceramic prosthetic restorations. As of 2000, he is running the ACH Dental Laboratory in Athens, Greece, specialized on refractory veneers, zirconia and long span implant prosthesis. In 2017 Andreas visited Japan where he trained under the guidance of Hitoshi Aoshima, Naoto Yuasa and Kazunabu Yamanda and become International Trainer for Kuraray Noritake Dental Inc.. Dec 23, 2025
Two high-strength ceramics, one micro-layering system Case by DT Andreas Chatzimpatzakis AESTHETIC AND EFFICIENT SMILE MAKEOVER Most patients asking for a smile makeover desire custom solutions rather than an off-the-peg smile: Individual tooth shapes that fit their face and their character, an internal play of colours that matches their age and natural dentition. Modern dental materials allow us to deliver what they demand in many situations – usually at a reasonable price. For a long time, however, we have been facing challenges when combining cosmetic and medically indicated treatment – e.g. a smile makeover including the rehabilitation of a missing lateral incisor. A straightforward solution – using lithium disilicate veneers alongside a zirconia cantilever bridge, both finished with their respective porcelain systems – would have been complicated by potential differences in the final appearance. With CERABIEN™ MiLai (Kuraray Noritake Dental Inc.), a set of internal stains and porcelains designed for micro-layering, the situation is different: Suitable for micro-layering on zirconia and lithium disilicate, it supports its user ideally in creating a harmonious smile even when the two framework materials are combined. A NEW CUSTOM SMILE The following patient case is a perfect example: A female patient with a missing lateral incisor, multiple visible composite restorations in the anterior region and an enamel fracture at her incisal edge desired a smile makeover. The selected materials were Amber Press LT (HASS), shade A1, for four veneers on the central incisors and the left lateral incisor and canine (teeth # 11, 21, 22 and 23 according to the FDI notation) and KATANA™ Zirconia YML (Kuraray Noritake Dental Inc.), shade A2, for the planned cantilever bridge on the maxillary right canine, replacing the missing lateral incisor (teeth # 12 and 13). Fig. 1. Female patient with a missing maxillary lateral incisor and multiple composite restorations in the anterior area – a smile makeover is desired. Fig. 2. Patient with mock-up. Fig. 3. Minimally invasive preparation through the mock-up, which takes into account the minimum space required for the planned materials and restorations. Fig. 4. Teeth prepared for the all-ceramic restorations. Fig. 5. Occlusal view of the maxillary teeth after tooth preparation. Fig. 6. Full-contour veneers and cantilever bridge on the model. Fig. 7. Restorations after a cutback limited to the vestibular and incisal area. Fig. 8. CERABIEN™ MiLai LT1 is applied to the middle and cervical area of the zirconia cantilever bridge. Fig. 9. CERABIEN™ MiLai Value Liner 2... Fig. 10. … and Value Liner 1 applied to the incisal area of the central and lateral incisor restorations. Fig. 11. CERABIEN™ MiLai porcelain Creamy Enamel mixed with Value Liner 2 (70/30) added to the middle and cervical areas of the four lithium disilicate restorations to increase and control the value. Fig. 12. ... while E2 is added to the incisal area of both canines. Fig. 13. Restorations covered by a layer of Tx ... Fig. 14. ... and LTx. Fig. 15. Appearance of the restorations after the first bake. Fig. 16. Adding translucency and opalescence to the cervical area with LT1 and brightness to the ridges with Creamy Enamel. Fig. 17. Completion of the enamel surface with a cover layer of LTx, which is responsible for a high translucency and opalescence. Fig. 18. Result of the second bake. Fig. 19. Final restorations with a natural self-glaze effect on the model. Fig. 20. Final restorations with a natural self-glaze effect in the patient’s mouth. Fig. 21. Smooth optical integration of the restorations. Fig. 22. Beautiful treatment outcome. CONCLUSION With the described approach and selected materials, it was possible to create restorations with a natural shade, shape and texture. They matched not only the appearance of the remaining natural teeth, but also showed internal consistency across the selected framework materials. The technical procedure was quite straightforward and efficient, while the result speaks for itself. Special thanks to Dr. Kanellos Ioannis for the collaboration on this case and for kindly providing the pre- and post-treatment photographs that complemented it. Dental technician: ANDREAS CHATZIMPATZAKIS Based in Athens, Greece, Andreas Chatzimpatzakis is the founder and director of ACH Dental Laboratory (since 2000), specializing in refractory veneers, lithium disilicate, zirconia, and implant prostheses. He graduated in Dental Technology from the University of West Attica and received advanced training in all-ceramic restorations in Helsinki and Japan under renowned masters including Shigeo Kataoka. Since 2017, he has served as an international trainer for Kuraray–Noritake Dental Inc., delivering lectures and hands-on courses worldwide on advanced ceramic techniques. He has also held roles as Key Opinion Leader for MPF Brush Co., Ambassador for Hass Co., and Editor-in-Chief of Laborama. An active member of the Hellenic Academy of Aesthetic Dentistry, his work and articles have been published in both Greek and international journals. Jan 21, 2026
Welcome to the future of ceramic layering Cases by DT Ioulianos Moustakis and MDT Andreas Chatzimpatzakis Producing dental restorations that are not recognizable as such – this is probably the ultimate goal of every dental technician. For a long time, pursuing this goal was complicated by core materials whose optical properties were very different from those of natural teeth. The dark metal or opaque zirconia substructures had to be masked by applying multiple layers of intensively coloured ceramic powders, topped by more translucent porcelains imitating the enamel. The rise of modern, tooth-coloured core materials such as lithium disilicate and zirconia has changed the game. With a core that is highly aesthetic, translucent and close to the final shade, it became much easier to produce a restoration that is virtually indistinguishable from the adjacent teeth. The thickness of the porcelain layer decreased as did the number of shades to be combined and necessary bakes to be conducted. The use of the existing porcelain systems for the new micro-layering techniques posed several new challenges: those systems originally developed for opaque zirconia were indicated for the more translucent zirconia core materials, but usually not for lithium disilicate. Moreover, the complexity of the systems made their use unnecessarily complicated for inexperienced users. Consequently, Kuraray Noritake Dental Inc. developed a new porcelain system for micro layering on zirconia and lithium disilicate core materials. The portfolio of CERABIEN™ MiLai, which refers to micro-layering and the Japanese word for future (mirai), consists of 15 internal stains (13 tooth colours including Bright to boost the translucent and Fluoro to boost the fluorescent effect, and two tissue colours) and 16 porcelains (12 tooth porcelains and four tissue porcelains). Hence, it enables dental technicians to implement a modernized version of the original Internal Live Stain Technique developed by Hitoshi Aoshima in the early 1990s in a porcelain layer of minimal thickness. The following demo cases are used to show how to achieve lifelike aesthetic restorations based on aesthetic zirconia and on lithium disilicate. Illustrating each step, the cases allow users to anticipate how much time and effort can be saved compared to traditional layering techniques. CASE 1 MAXIMALLY SIMPLE APPROACH ON LITHIUM DISILICATE In this case, the idea was to restore the six maxillary anterior teeth in a simple way. The selected core material for the planned veneers was Amber Press (HASS Bio) LT in the shade B1. The lithium disilicate restorations were pressed with a micro cut-back and their fit was checked on the model, followed by surface texturing, sandblasting and steam cleaning [Fig. 1a]. When the veneers are milled instead of pressed, the procedure is the same. After that, the restorations are ready for the application of the CERABIEN™ MiLai internal stains for characterization of the core. In order to achieve the desired result, it is critical to mix the selected stains with the internal stain Bright responsible for a translucent effect. The chroma map for internal staining is shown in figure 1b, the outcome of the procedure in figure 1c. Subsequently, the veneers were built up to their final anatomy with selected CERABIEN™ MiLai Porcelains [Fig. 1d] to imitate the enamel and create a window effect. In this approach, simple layering and a single bake are sufficient to create the desired restoration. After glazing with Clear Glaze, finishing of the restorations was accomplished with paper-abrasive cones, a rubber polisher and polishing paste. The outcome is shown in figure 1e. Fig. 1a. Pressed lithium disilicate veneers after surface optimization (grinding), sandblasting and steam cleaning on the model. Fig. 1b. Chroma map for the application of CERABIEN™ MiLai Internal Stains to the lithium disilicate surface. We selected B+ (red colour) for the cervical area. For the proximal and middle incisal areas, Incisal Blue 1 & 2 (gradient blue colour) were applied and incisally in the middle, we chose Cervical 2 (orange colour). Tip: all internal stains were mixed with Bright and IS Liquid. Fig. 1c. Appearance of the veneers after the application of CERABIEN™ MiLai Internal Stains. Fig. 1d. CERABIEN™ MiLai Porcelains applied on top of the internal stains: LT1 is used for the cervical area (red) and a mixture of TX and E2 (30:70 ratio) for the middle and the incisal third. Fig. 1e. The final restorations after glazing with Clear Glaze and mechanical polishing using paper-abrasive cones, a rubber polisher and Pearl Surface Z (Kuraray Noritake Dental Inc.). Images courtesy of Andreas Chatzimpatzakis. CASE 2 ADVANCED APPROACH ON LITHIUM DISILICATE In order to imitate a more complex inner colour structure with mamelons, different levels of translucency and more individual effects, a slightly more complex micro-layering approach was selected. Again, the core was produced using Amber Press in the LT variant and the shade B1. After pressing and fitting on the model, we reduced the incisal third to create space for the transparent porcelain [Fig. 2a]. Subsequently, an extremely thin layer of CERABIEN™ MiLai Porcelain adding translucency to the enamel surface (TX) was applied in the incisal third of the veneers [Fig. 2b]. In this way, it is possible to create an optimally translucent basis for the application of the internal stains. The first bake was conducted and the surfaces were sandblasted as well as steam cleaned to create the conditions needed for internal staining [Figs. 2c and 2d]. The chroma map for and outcome of the internal stain application are shown in figures 2e and 2f. Afterwards, a final layer of CERABIEN™ MiLai Porcelain was applied [Fig. 2g]. All four incisors received a layer of LTx to add ultimate translucency and opalescence to the enamel, while LT1 was the material of choice in the cervical third of the canines, where LTx completed the layer in the other areas. As LT1 is slightly less translucent and opalescent, a natural effect is obtained in this way. The outcome obtained after glazing and mechanical polishing is shown in Figure 2h. Fig. 2a. Lithium disilicate veneers reduced for the advanced layering procedure involving more porcelains and bakes. Fig. 2b. Thin layer of TX applied to the incisal third of the restorations to boost the translucency in this area. Fig. 2c. Appearance of the veneers after the first bake. Fig. 2d. Ceramic surfaces after sandblasting and steam cleaning. Fig. 2e. Chroma map for the application of the internal stains. Cervical 2 was used for the cervical third, Incisal Blue 2 for the proximal regions and Mamelon Orange 2 for the mamelons. As mentioned before, the selected internal stains were mixed with Bright. Fig. 2f. Appearance of the veneers after the bake of the applied CERABIEN™ MiLai Internal Stains. Fig. 2g. Final build-up to reach the desired shape of the veneers. LTx is the only material applied to the central and lateral incisors, while the canines are built up with LTx in the incisal and middle and LT1 in the cervical third. Fig. 2h. Glazed and polished veneers on the model. Images courtesy of Andreas Chatzimpatzakis. CASE 3 ADVANCED APPROACH WITH GUM AREAS ON ZIRCONIA In this case, a highly complex ten-unit bridge with gum parts in the anterior region had to be produced. The selected framework material was KATANA™ Zirconia HTML Plus (Kuraray Noritake Dental Inc.), which offers a multi-layered colour structure, an optimized translucency and the high flexural strength required for long-span bridges. The restoration was milled in an anatomically reduced design and the surface texture was optimized with rotating instruments before sintering [Fig. 3a]. After the final sintering procedure, the restoration had a favourably high translucency in the incisal region and a natural shade structure [Figs. 3b and 3c]. In the first step of the micro-layering procedure, the application of the CERABIEN™ MiLai Internal Stains was planned and carried out [Figs. 3d and 3e]. Subsequently, different layers of CERABIEN™ MiLai Porcelain were applied. The images 3f to 3h reveal which shades were combined and illustrate the procedure, while the outcome before and after the last bake is shown in Figures 3i to 3k. In the next step, the gum areas were completed using the CERABIEN™ MiLai tissue porcelains Tissue 4, 5 and 6 in the order and locations described in Figures 3l to 3o. In the final layer, Tissue 1 was mixed with ELT1 to imitate the labial frenulum and with LTx to create a smooth transition to the natural gingiva [Figs. 3p and 3q]. The final restoration is shown in Figure 3r. Fig. 3a. Milled restoration after surface texturing. Fig. 3b. Shade and translucency of the sintered zirconia restoration. Fig. 3c. Highly translucent bridge on the model. Fig. 3d. Chroma map for the application of CERABIEN™ MiLai Internal Stains. Fig. 3e. Applying a mixture of Bright, Salmon Pink and Tissue Pink to the gum area. Fig. 3f. Application of CERABIEN™ MiLai E2 to add translucency to the structure. Fig. 3g. Application of Tx and a mixture of Tx and CCV-2 to individualize the cervical and incisal areas while boosting the translucency of the enamel in the middle and incisal third. Fig. 3h. Adding a final layer of LT1 for additional translucency and opalescence. Fig. 3i. Appearance of the ten-unit bridge before the bake – labial view. Fig. 3j. Appearance of the ten-unit bridge before the bake – palatal view. Fig. 3k. Appearance of the ten-unit bridge after the bake. Fig. 3l. Application of small amounts of Tissue 5 … Fig. 3m. … covered with a layer of Tissue 6 alternating with Tissue 5. Fig. 3n. Following another bake, Tissue 5 is applied in the proximal areas. Fig. 3o. How to combine Tissue 6 and Tissue 4 in the next layer. Fig. 3p. How to complete the tissue layer with Tissue 1, locally mixed with ELT1 or LTx. Fig. 3q. Restoration before the final bake. Fig. 3r. Final ten-unit bridge ready for placement. Images courtesy of Ioulianos Moustakis. ABOUT THE AUTHORS DT IOULIANOS MOUSTAKISGermany Dental Technician/Photographer1985 - 1987 Studied at the School of Dental Technology (SBIE) in Athens / Greece1997 - 1998 Master school in Berlin2007 - Education as Maxillofacial prosthetic technician (IASPE)2010 - Advanced education in Functional diagnosis temporomandibular joint2011 - 2012 Curriculum implant prosthetics for dental technicians (DGZI)2013 - 2014 Education as a graphic designer at the Media Design Hochschule (MDH) in Berlin2015 - 2017 Education as a photographer at the Photocentrum of the Gilberto Bosques VHS Friedrichshain-Kreuzberg2014 - 2016 - 2018 Further training at Noritake/Kuraray in Japan2019 - International Instructor Noritake/Kuraray2019 - Certified trainer of Teeth Morphology carving (Osaka Ceramic Training Center)1998 - Implant Dental Studio - Athens/Greece2010 - Zirkler & Moustakis Dental Technology - Falkensee/Germany2020 - Giuliano Dentaldesign - Falkensee/Germany Publications in Dental Journals2014 - 5/2014 Dental Dialogue/Germany2015 - 10/2015 The International Journal of Dental Technology/Japan2018 - 1/2018 Cosmetic Dentistry/Germany2018 - 4/2018 Zahntechnik Zeitung/Germany2018 - 5/2018 Das Dental Labor/Germany2018 - 5/2018 Dental Dialogue/Italy2018 - 10/2018 Laborama/Greece2019 - 1/2019 LabLine/Hungary2019 - 3-4/2019 Dental Technologies/UK2020 - 4/2020 LabLine/Hungary2021 - 1+2 LabLine/Hungary2021 - 5/2021 + 12/2021 Quintessenz Zahntechnik/Germany2021 - 4/2021 QDRP France Competitions2013 – 6th place at the 8th KunstZahnWerk contest by Candulor2017 – 5th place at the 10th KunstZahnWerk contest by Candulor2017 – 1st place at the 10th KunstZahnWerk contest by Candulor as "Best Documentation“2020 – 1st place at the 4th Panthera Master Cup by Panthera Dental MembershipsNGSC Noritake Greek Study ClubDGZI German Society of Dental ImplantologyIASPE International Association for Surgical Prosthetics and EpitheticsKey Opinion Leader (KOL) at company MPF Brush CompanyKey Opinion Leader (KOL) at company CandulorKey Opinion Leader (KOL) at company Kuraray/Noritake MDT ANDREAS CHATZIMPATZAKISGreece Andreas graduated from the Dental Technology Institute (TEI) of Athens in 1999. During his studies he followed a program at the Helsinki Polytechnic Department of Dental Technique, where he trained on implant superstructures and all ceramic prosthetic restorations. From the year 2000, he is running the ACH Dental Laboratory in Athens, Greece, specialized on refractory veneers, zirconia and long span implant prosthesis. ACH Dental Laboratory is Co-operating lab with the National and Kapodistrian University of Athens for the MSc degree in Dental Laboratory Materials. From 2016 he is key opinion leader for the MPF Brush.co. On 2017 he visits Japan where he trained from Hitoshi Aoshima, Naoto Yuasa and Kazunabu Yamanda and becomes International Trainer for Kuraray – Noritake company. In 2018 he became Editor-in-chief for the dental technician magazine “LABORAMA” published by OMNIPRESS co. On 2019 he studies carving, morphology and all ceramic restorations at the Osaka Ceramic Training Center by Shigeo Kataoka. On 2019 he establishes the Dental Technicians’ Coaching Services and coaches dental technicians to improve their work. Andreas has also conducted several lectures and hands on seminars in Greece and abroad and published articles in Greek and international magazines. His lecture “An exciting journey … to be a dental technician” is about inspiring dental technicians to improve their work by observing and emulate natural teeth using the internal live stain technique. Article first published in Labline Magazine Issue 45, Spring 2022 edition. Mar 25, 2025
Micro-layering: are there benefits of using a dedicated porcelain system? Case by Andreas Chatzimpatzakis When dental technicians from all over the world started using the micro-layering technique, they simply combined a reduced number of porcelains and stains from their original porcelain system. After some time, porcelains specifically designed for micro-layering were introduced to the dental market. Consequently, early adopters had to decide whether or not to switch to one of those new systems. For me as a frequent user of CERABIEN™ ZR (Kuraray Noritake Dental Inc.), a porcelain system based on synthetic feldspathic porcelain developed for porcelain layering on zirconia frameworks, switching to any micro layering porcelain system was not an option. However, when I had the chance to test the brand-new CERABIEN™ MiLai porcelains and internal stains (Kuraray Noritake Dental Inc.), I grabbed it for two reasons. Firstly, the simplicity! I was surprised how easily I could achieve a high aesthetic result without using too many different ceramic powders. Secondly with this system, I have a micro-layering porcelain system at my disposal that works for both, zirconia and lithium disilicate. Farther more, the product is well-aligned to CERABIEN™ ZR – and offers a very similar handling. CASE EXAMPLE The following case is a nice example of how it may be used in the anterior region. The male patient had already been treated with monolithic zirconia crowns from another dental laboratory in the posterior region. Now, he desired a maxillary anterior smile makeover due to discoloured composite restorations and signs of tooth wear. The decision was made to produce six veneers with frameworks made of lithium disilicate (Amber Press), individualized with CERABIEN™ MiLai using the micro-layering technique. I would like to thank the prosthodontist Dr Konstantina Aggelara for the excellent collaboration and the intra oral photos. For layering, I simply applied CERABIEN™ MiLai Value Liner 1. Then, I used CCV2 in the cervical and Tx in the incisal area, as well as Liner 2 for the mamelons. Internal stains were applied after the first bake. Subsequently, the canines were completed with LT1. The lateral and central incisors were built up with LT1 in the cervical area, Creamy Enamel on the marginal ridges and the middle and E2 mixed with Tx in the ratio 70/30 in the incisal area. Fig. 1. Initial situation: The patient was unhappy with his lip line and facial appearance, … Fig. 2. … particularly due to discoloured composite restorations and severe wear in the maxillary anterior region. Fig. 3. Shade determination after tooth preparation. Fig. 4. Restorations produced with Amper Press (Shade LT A2), individualized with CERABIEN™ MiLai. Fig. 5. Lateral view: The internal play of colours (internal stains) creates a nice effect. Natural shading and surface texture. FINAL SITUATION Fig. 6a and 6b. Restorations placed in the patient’s mouth. THE PERFECT COMPLEMENT TO MY STANDARD PORCELAIN SYSTEM As hoped, CERABIEN™ MiLai offers similarly great handling properties as CERABIEN™ ZR – probably mainly due to the fact that it is also based on synthetic feldspathic ceramic. It is not only responsible for consistent handling, but also for predictable optical properties, eliminating unwanted shadow effects. As the system is designed for micro-layering, it offers a natural appearance when applied in thin layers. This fact – in addition to the broader compatibility (to high-strength oxide and silicate ceramics) – makes it worthwhile to consider using a specific porcelain system for micro-layering. Experience shows that it works just as well on zirconia as it does on lithium disilicate, so that combining both framework materials in a single patient becomes a lot easier, while the line-up is neat. Dental technician: ANDREAS CHATZIMPATZAKIS Andreas graduated from the Dental Technology Institute (TEI) of Athens in 1999. During his studies he followed a program at the Helsinki Polytechnic Department of Dental Technique, where he trained on implant superstructures and all ceramic prosthetic restorations. As of 2000, he is running the ACH Dental Laboratory in Athens, Greece, specialized on refractory veneers, zirconia and long span implant prosthesis. In 2017 Andreas visited Japan where he trained under the guidance of Hitoshi Aoshima, Naoto Yuasa and Kazunabu Yamanda and become International Trainer for Kuraray Noritake Dental Inc.. Aug 12, 2025
Micro-layering on lithium disilicate Case by Francesco Ferretti, MDT Is it possible to produce lifelike porcelain veneers using lithium disilicate and a porcelain system with a reduced number of internal stains and porcelains designed for micro-layering? This is what we wanted to find out when we decided to test the new CERABIEN™ MiLai line-up. As loyal users of the CERABIEN ZR family for porcelain layering on zirconia, we hoped that the new product would offer similar handling and optical properties. The CERABIEN™ MiLai line-up consists of 15 internal stains and 16 porcelains, which are - like CERABIEN ZR - based on synthetic feldspathic porcelain technology from Kuraray Noritake Dental Inc. With a comparatively low firing temperature of 740 °C (or 1,364 °F), the system may be used on zirconia as well as silicate ceramic restorations, provided that the CTE value of the materials is between 10.2 and 10.5 × 10-6/K (50 °C – 500 °C). This is true for lithium disilicate, our preferred base material for the production of ceramic veneers. The thickness of the porcelain layer is usually smaller than 0.5 mm, which allows us to exploit the aesthetic potential of the underlaying ceramic, while creating some individual effects for the underlying structure and the enamel. A clinical case predestined for the use of the new system is shown below. Fig. 1. Young male patient with discoloured composite restorations on his maxillary central incisors. Fig. 2. The patient was unhappy with his smile aesthetics, so that it was decided to place more durable ceramic veneers. Fig. 3. Appearance of the central incisors after minimally invasive tooth preparation. Fig. 4. Veneers made of lithium disilicate individualized with CERABIEN™ MiLai placed on the model. Fig. 5. Intraoral view of the teeth after adhesive cementation of the veneers. Fig. 6. Close-up view of the anterior teeth. Fig. 7. Smooth optical integration of the veneers: They show some individual effects and are virtually indistinguishable from natural tooth structure of the adjacent lateral incisors. Fig. 8. Black-and-white photograph of the maxillary anterior teeth. Fig. 9. Smile aesthetics. Fig. 10. Beautiful treatment outcome. COMPACT SYSTEM The compact line-up of CERABIEN™ MiLai with its nicely developed internal stains and porcelains enables us to imitate the patient’s natural teeth very well in the great majority of cases. Shades are easily selected and the favourable consistency of the porcelains facilitates application in thin layers. Due to the reduced thickness of the porcelain layer, it is possible to play with the optical properties of the underlying lithium disilicate, creating a final restoration with a natural appearance despite the simplified procedure. Dentist: FRANCESCO FERRETTI, MDT Born in Rome on March 15, 1957, Francesco Ferretti received his dental technician diploma from the Edmondo de Amicis Institute in Rome and began working independently in 1980. His dental career has been versatile and impressive - working under Prof. Mario Martignoni, being partner at ORAL DESIGN Center in Rome (founded by Mr. Willi Geller and Mr. Francesco Felli) and having his own Estech Dental Studios, are just some of the highlights. He taught the advanced course in prosthesis at the University of Chieti from 2002 to 2010 and the postgraduate course in prosthesis at the University of Naples Federico II in 2007. He has been using metal free methods for more than 30 years, specialized in prosthesis and implants, has published articles and research in Italian, American, Russian and Asian magazines and has been a speaker at various international conferences and courses. Jul 8, 2025
A smooth path towards beautiful smiles Case by DT Vasilis Vasiliou MICRO-LAYERING WITH CERABIEN MiLai No matter whether young or old, male or female: Our patients deserve a beautiful smile that matches their adjacent teeth, their face, their character and their individual needs. To be able to produce beautiful restorations that change their life for the better, we (as dental technicians) have to observe closely – and to listen attentively to the stories they tell. ‘We have to observe closely – and to listen attentively to the stories our patients tell us.’– Vasilis Vasiliou – Mr Andreas is a perfect example. He presented in the dental office in need of a full-mouth rehabilitation and the wish to improve the aesthetics of his smile. He asked for an age-appropriate, natural restoration design. After careful observation and listening, I decided that the best way to restore his maxillary incisors would be with zirconia restorations. The plan was to mill the frameworks using low-value KATANA™ Zirconia YML, shade D3 (Kuraray Noritake Dental Inc.). To facilitate the integration of some natural characteristic effects, a framework design with a primarily vestibular cutback was selected. The finishing technique of choice was micro-layering with CERABIEN™ MiLai (Kuraray Noritake Dental Inc.), a porcelain designed specifically for this approach. Important steps in the finishing procedure were: Characterization of the milled zirconia with colouring liquids Pre-treatment of the sandblasted zirconia surfaces with SS Fluoro and Margin porcelain Internal staining with CERABIEN™ MiLai internal stains Application of CERABIEN™ MiLai luster porcelains LABORATORY WORKFLOW Zirconia splinted crowns were designed in full contour with the aid of the Leahu Library featuring tailored tooth designs (part of the Truedental Library available for exocad DentalCAD design software; Fig. 1), cut back merely in the vestibular area using the ‘calma’ reduction option (Fig. 2), and then milled and characterized with colouring liquids to optimize the chroma. Figure 3 shows the sintered frameworks on the model, Figure 4 the try-in in the patient’s mouth. As the fit and shape of the restorations turned out to be excellent, it was time to plan the internal staining and micro-layering procedure (Figs. 5 and 6), always trying to imitate nature as closely as possible. The tricky part is to use the available space wisely – the reason why a detailed layering sketch is useful even when in the context of micro-layering. Once the planned layering procedure had been put to practice (Figs. 7 to 10), the surface texture was finalized and the restorations were tried in again for an aesthetic evaluation. Finally, they were cemented with the adhesive resin cement PANAVIA™ V5 (Kuraray Noritake Dental Inc.). The beautiful treatment outcome is shown in Figure 11. Fig. 1. Computer-aided design of the zirconia frameworks: Splinted crows displayed in a transparent mode to show the abutment teeth. Fig. 2. Computer-aided design of the zirconia frameworks: Outer contour of the splinted crowns with a strongly elaborated surface texture and sufficient room for micro-layering. Fig. 3. Restorations after characterization with colouring liquids and sintering on the model. Fig. 4. Try-in of the restorations. Fig. 5. Layering sketch for the restorations: Internal staining. Fig. 6. Layering sketch for the restorations: Luster porcelain application. Fig. 7. Internal staining – specific characteristics elaborated for a natural depth effect. Fig. 8. Layering in the cervical and body areas. Fig. 9. Final layering with luster porcelains to complete the morphology. Fig. 10. Final restorations after surface finishing and polishing as well as glazing on the model. Fig. 11. Treatment outcome. CONCLUSION The patient was thoroughly satisfied with the treatment outcome and confident that his investment was well worth it. By tailoring my approach to his unique needs, carefully observing his teeth, smile, and facial expressions, and utilizing my extensive knowledge of materials, I was able to achieve this goal successfully. Nonetheless, I remain committed to continuous improvement by critically evaluating each restoration and seeking areas for enhancement. My dedication to growth, supported by exceptional mentors who share innovative techniques and insights, supports me in staying at the forefront of my field, striving at consistently delivering the best possible care. I am deeply grateful to Dr. Zinonas Evagorou for invaluable partnership and clinical expertise, which were instrumental in achieving this result. Dental Technician: VASILIS VASILIOU Vasilis Vasiliou was born in Nicosia, Cyprus, and graduated from the Technical School for Dental Technicians in Athens in 2004. He has furthered his education by attending several advanced seminars led by mentors and experts in the field, such as Ilias Psarris and Nondas Vlachopoulos. Throughout his career, Vasilis has made significant contributions to the dental community, including presenting at various conferences in Greece and publishing articles in Greek dental magazines. Since 2020, he has been a key opinion leader for MPF Brush Company and, since 2022, a HASS Ambassador. Vasilis has been an active member of the International Team for Implantology (ITI) since 2019. Together with his father, Vasilis runs a successful dental laboratory in Nicosia, specializing in all-ceramic and implant restorations. His extensive experience and commitment to excellence have established him as a respected professional in his field. Feb 18, 2026
Micro-layering meets fixed implant-based prosthetics Case by DT Andreas Chatzimpatzakis and Dr Evi Lianou Selecting the right materials for a successful rehabilitation of edentulous jaws with fixed implant-based prostheses can be quite challenging. High strength and stability are needed to securely connect the implants, biocompatibility is a must and the functional, aesthetic and financial expectations of the patient need to be respected. Experience shows that – in many situations – the combination of a titanium bar with a zirconia framework finished using the micro-layering technique is a great option. This material combination and approach meets the demands mentioned, while supporting efficient procedures and aesthetic outcomes. In the present case, a 53-year-old male patient with a history of periodontal disease presented in the dental office of Dr Evi Lianou (Dental Clinic, Lamia, Greece). Due to a poor prognosis of the remaining teeth, it was planned to extract them. As a removable full denture was not an option for the patient, the treatment plan included the insertion of four implants in the mandible and six in the maxilla, followed by a healing phase and subsequent definitive rehabilitation with screw-retained, titanium bar-based zirconia superstructures finished by micro-layering. The following figures and captions describe the technical procedure. Fig. 1. Initial clinical situation showing several remaining teeth with a poor prognosis. Fig. 2. Screw-retained titanium bar for the mandible. Fig. 3. Screw-retained titanium bar for the maxilla. Fig. 4. Mandibular restoration: Milled framework made of KATANA™ Zirconia HTML PLUS (Kuraray Noritake Dental Inc.) with a minimal (0.3 mm) vestibular cutback placed only on the six anterior teeth. Fig. 5. Maxillary restoration: Milled framework made of KATANA™ Zirconia HTML PLUS with a minimal vestibular cutback (0.3 mm) placed only on the six anterior teeth. Fig. 6. Mandibular restoration, 33-43 internal staining with CERABIEN™ MiLai Internal Stains (Kuraray Noritake Dental Inc.). 34-37 & 44-47 External characterization with CERABIEN™ ZR FC Paste Stain. Fig. 7. Maxillary restoration 13-23 internal staining with CERABIEN™ MiLai Internal Stains. 14-17, 24-27 External characterization with CERABIEN™ ZR FC Paste Stain. Fig. 8. Mandibular and maxillary restorations on the model: Additional internal staining to the anterior. Posterior teeth were completed with CERABIEN™ ZR FC Paste Stain. Fig. 9. Mandibular restoration after the application of CERABIEN™ MiLai Porcelains LT1 mixed with CCV2 (ratio 50:50) for the cervical and Tx for the incisal. Fig. 10. Maxillary restoration after the application of CERABIEN™ MiLai Porcelains LT1 mixed with CCV2 (ratio 50:50) for the cervical and Tx for the incisal third. Fig. 11. Mandibular restoration after the bake, showing some typical characteristics of aged teeth. Fig. 12. Maxillary restoration after the bake, showing some typical characteristics of aged teeth. Fig. 13. Mandibular restoration with applied tissue porcelains and corrections in the tooth area. Fig. 14. Maxillary restoration with applied tissue porcelains and corrections in the tooth area. Fig. 15. Mandibular restoration after finishing glazing and polishing. Fig. 16. Maxillary restoration after finishing glazing and polishing. Fig. 17. Final restorations on the model. Fig. 18. Final restorations in the patient’s mouth. Fig. 19. New smile of the patient. Fig. 20. Patient with new fixed dental prostheses. CONCLUSION The described material combination and technique allows for efficient workflows, while supporting aesthetic, durable treatment outcomes. With functional surfaces designed in plain, polished zirconia and just a tiny layer of porcelain in the vestibular region, the restorations are made to last. Moreover, the selected framework material and porcelain system are a perfect match. The chosen porcelain system works well with other zirconia brands and even with lithium disilicate. It can be used with or without internal stains, making it a versatile tool suitable for a wide range of applications, patient needs, and aesthetic demands. Mar 18, 2026