PANAVIA V5 Professional Kit PANAVIA™ V5 Tooth Primer (2ml)CLEARFIL™ Ceramic Primer Plus (2ml)PANAVIA™ V5 Paste [one syringe per shade (2.4ml/4.2g): Universal (A2), Clear, Brown (A4), White, Opaque]PANAVIA™ V5 Try-in Paste [one syringe per shade (1.8ml): Universal (A2), Clear, Brown (A4), White, Opaque]K-Etchant Syringe (3ml)30 Mixing tips10 Endo tips (S)50 Applicator brushes (fine<silver>)1 Mixing dish (FPN)20 Needle tips (E) - + Add to Cart
PANAVIA V5 Paste 4.6ml/8.1g20 Mixing tips Universal (A2)ClearBrown (A4)WhiteOpaque Shade Choose an Option... - + Add to Cart
PANAVIA V5 Try-in Paste 1.8ml Universal (A2)ClearBrown (A4)WhiteOpaque Shade Choose an Option... - + Add to Cart
PANAVIA V5 Introductory Kit PANAVIA™ V5 Tooth Primer (2ml)CLEARFIL™ CERAMIC PRIMER PLUS (2ml)PANAVIA™ V5 Paste [one syringe per shade (2.4ml/4.2 g): Universal (A2), Clear]10 Mixing tips50 Applicator brushes (fine<silver>)1 Mixing dish (FPN) Shade Choose an Option... - + Add to Cart
PANAVIA V5 Standard Kit PANAVIA™ V5 Tooth Primer (2ml)CLEARFIL™ CERAMIC PRIMER PLUS (2ml)PANAVIA™ V5 Paste [one syringe per shade (4.6ml/8.1g): Universal (A2), Clear]K-ETCHANT Syringe (3ml)15 Mixing tips5 Endo tips (S)50 Applicator brushes (fine<silver>)Mixing dish (FPN)20 Needle tips (E) Shade Choose an Option... - + Add to Cart
CLEARFIL™ Universal Bond Quick 2 Unit Dose Standard Pack 50 Unit-Dose50 Applicator Brushes (Fine Silver) - + Add to Cart
CLEARFIL™ Universal Bond Quick 2 Unit Dose Trial 5 Unit-Dose (0.1ml) 5 Applicator Brushes - + Add to Cart
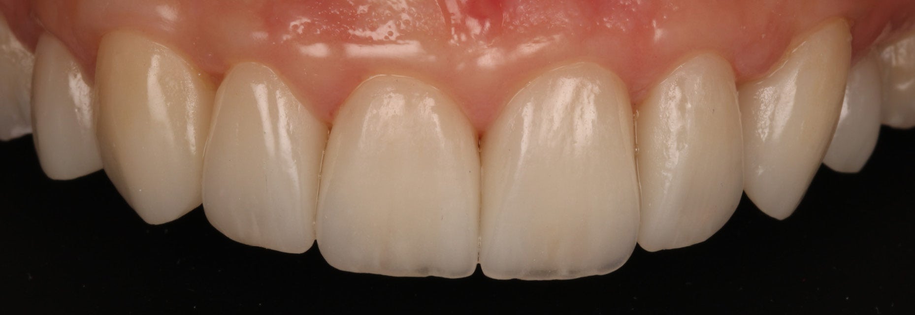
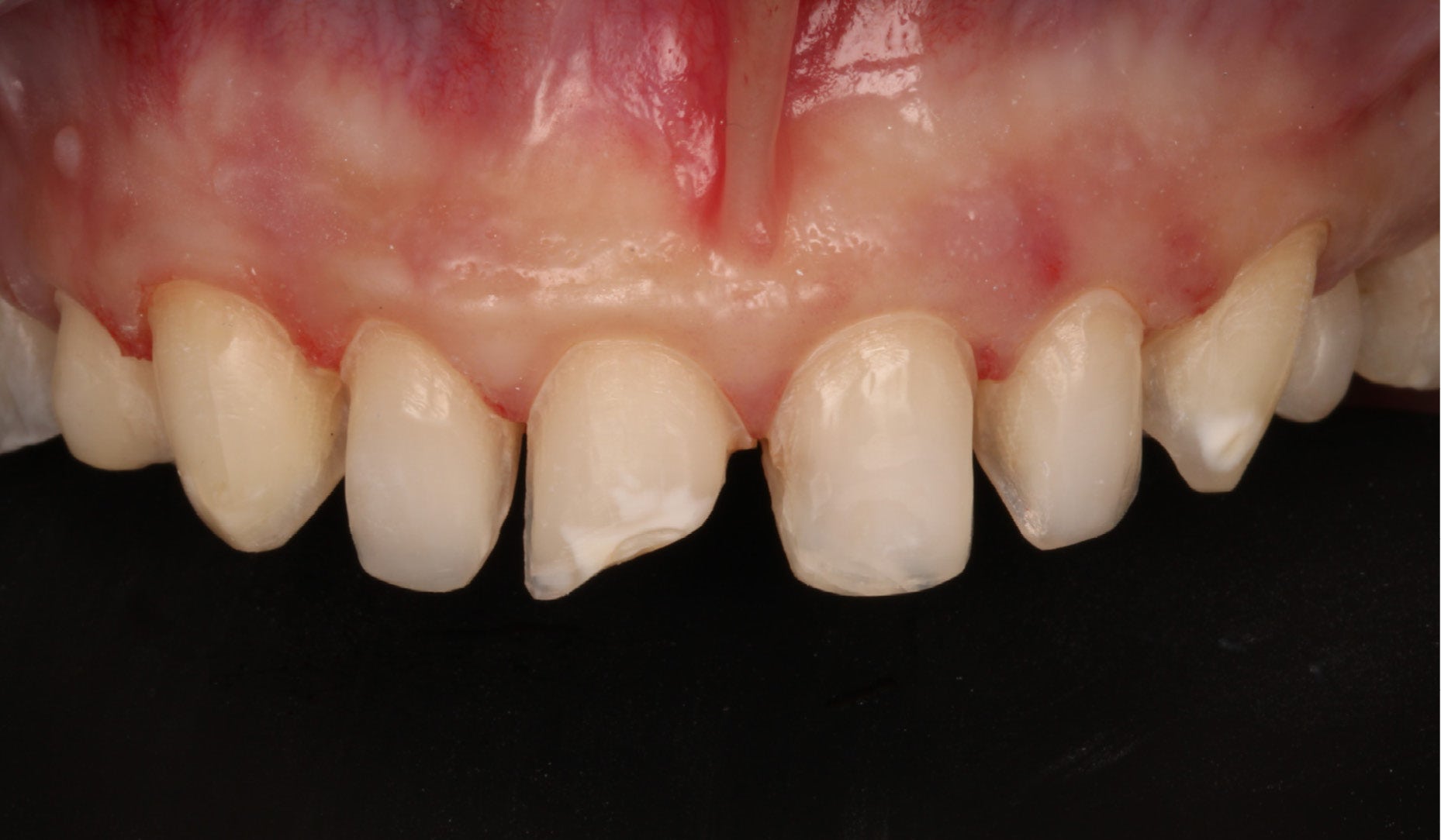
Restoring confidence after trauma: a biomimetic approach Case by Dt. Koray Kendir, DDS, Turkey (İzmir) INTRODUCTION Trauma-related fractures of anterior teeth require a precise balance between aesthetics and function, often under emotional pressure from the patient. This clinical case demonstrates the restorative rehabilitation of a previously mismanaged central incisor using CLEARFIL MAJESTY™ ES-2 Premium and PANAVIA™ V5 (both Kuraray Noritake Dental Inc.). The team followed a biomimetic approach to re-establish biological, functional, and aesthetic harmony. CASE SUMMARY A 23-year-old female patient presented one month after a traumatic injury involving tooth #11 (FDI notation). Immediate root canal treatment and a direct composite build-up had been performed elsewhere in a single visit. The existing restoration showed poor aesthetics and marginal adaptation (Fig. 1). Fig. 1. Initial clinical situation. CLINICAL PROCEDURE STEP 1: ISOLATION AND REMOVAL OF OLD RESTORATION For the planned rehabilitation, the tooth was isolated with rubber dam (Figs. 2 and 3) and the existing composite restoration was removed. Gutta-percha from the previous endodontic treatment was found to be severely coronally trimmed (Fig. 4). This poses a risk of future discolouration. Consequently, the gutta-percha was condensed apically to a more biologically appropriate level using a downpack device (Figs. 5 to 9). Fig. 2. Isolation of the working field with rubber dam: Labial view. Fig. 3. Isolation of the working field with rubber dam: Occlusal view. Fig. 4. Gutta-percha from the previous treatment. Fig. 5. Gutta-percha removed, … Fig. 6. … placed back into the root canal … Fig. 7. … and condensed … Fig. 8. … with a downpack device. Fig. 9. Result of the procedure: Occlusal view. STEP 2: CORE BUILD-UP Subsequently, a fiber-reinforced composite was used to provide root-anchored support for the core structure. Then, the bonding surface was treated with phosphoric acid etchant, CLEARFIL™ Universal Bond Quick (Kuraray Noritake Dental Inc.) was applied as a universal adhesive and the core build-up was performed with CLEARFIL MAJESTY™ ES-2 Premium A1D (Figs. 10 to 13). Fig. 10. Etching with phosphoric acid etchant. Fig. 11. Application of the universal adhesive. Fig. 12. Core build-up after thorough light curing. Fig. 13. Intra-oral periapical radiograph or the treated tooth. STEP 3: PREPARATION AND DIGITAL IMPRESSION For definitive restoration, a 3/4 crown preparation was performed and an intraoral scan was taken. Moreover, a temporary crown was fabricated (Fig. 14) and shade photos were taken to finalize the session. Fig. 14. Temporary restoration in place. STEP 4: FINAL CEMENTATION Once the lithium disilicate restoration was received from the laboratory, the temporary crown was removed and the abutment tooth was evaluated (Figs. 15 and 16). Try-in was performed using PANAVIA™ V5 Try-in Paste White to check shade and fit (Fig. 17). No modifications were required; the selected try-in paste contributed to a lifelike appearance of the restoration. For definitive placement, the intaglio surface of the crown was etched with hydrofluoric acid (Fig. 18). Figure 19 shows the appearance of the intaglio after this measure. To provide for optimal bonding conditions, the tooth surface was then cleaned with KATANA™ Cleaner (Kuraray Noritake Dental Inc.), which should be applied with a rubbing motion to the contaminated prepared tooth for more than ten seconds (Figs. 20 to 22). It may also be used to clean the intaglio of a restoration, which is contaminated with blood and saliva e.g. after try-in. Fig. 15. Situation after removal of the temporary crown: Labial view. Fig. 16. Situation after removal of the temporary crown: Occlusal view. Fig. 17. Try-in of the lithium disilicate crown. Fig. 18. Etching of the crown’s intaglio surface with hydrofluoric acid. Fig. 19. Appearance of the etched surface. Fig. 20. Cleaning of the abutment tooth … Fig. 21. … surface covered with the cleaning agent. Fig. 22. Thorough rinsing, which should be followed by drying with air. Adhesive cementation itself was accomplished with the three-component PANAVIA™ V5 (Figs. 23 to 28): The prepared tooth structure and build-up was treated with PANAVIA™ V5 Tooth Primer, the intaglio surface of the crown with CLEARFIL™ CERAMIC PRIMER PLUS. Finally, PANAVIA™ V5 Universal (White) was extruded into the crown and the crown placed. Excess cement is best removed in the gel phase – i.e. after brief polymerization for 3 to 5 seconds before final light curing is performed. Alternatively, it may be removed immediately after seating the restoration with a brush or similar instrument. In this case the first option was chosen. The treatment outcome after rubber dam removal and final clinical and aesthetic evaluation is displayed in Figure 29. Fig. 23. Priming of the tooth structure. Fig. 24. Selected resin cement. Fig. 25. Tooth structure ready for crown placement. Fig. 26. Restoration in place. Fig. 27. Lateral view of the restoration. Fig. 28. Final light curing of the crown. Fig. 29. Treatment outcome immediately after rubber dam removal. CONCLUSION This case highlights a comprehensive restorative approach to preserving a traumatized anterior tooth at risk of loss, while restoring both function and aesthetics. The strong core foundation provided by CLEARFIL MAJESTY™ ES-2 Premium and the reliable adhesive performance of PANAVIA™ V5 played a pivotal role in the successful procedure and outcome. Dentist: KORAY KENDIR Dt. Koray Kendir is a graduate of Hacettepe University Faculty of Dentistry and the co-founder of a private dental clinic in İzmir. He specializes in digital dentistry, smile design, and computer-aided restorative treatments. Known for his innovative approach, Dr. Kendir is a frequent speaker at national dental congresses and serves as an advisor to several dental companies. Jul 22, 2025
PANAVIA™ family: Three options, all general cementation needs covered Is it possible to reduce the number of different cements used in a dental office? In most cases, it is. Kuraray Noritake Dental Inc. is convinced that one or two resin cement systems are usually enough to cover every indication and every need for general cementation. The selection of products may be different depending on personal preferences and the focus on specific dental treatments. That is why the company offers three high-quality resin cements, with which it is possible to meet the needs and desires of every dentist and patient. One product is available for those who would like to keep it as simple as possible while taking advantage of the multiple benefits resin cements offer over conventional cements. Another system is designed for those who demand highest possible bond strength and aesthetics. And finally, a light-curing system has been developed as a specialized solution for veneer cementation. In order to facilitate decision making, this article provides in-depth information on each of the three systems and their specific strengths. The everyday cement Keeping cementation simple and efficient is possible by minimizing the number of work steps and components and solving existing challenges. The self-adhesive dual-cure resin cement PANAVIA™ SA Cement Universal has been designed for these purposes. The challenge of removing sticky excess cement is overcome by a formulation that allows for very easy excess clean-up. Components are reduced as the product incorporates Kuraray Noritake Dental Inc.’s Original MDP Monomer and original silane coupling agent, the LCSi Monomer, for a strong and durable bond. While MDP establishes a strong and long-lasting chemical bond to enamel, dentin, metal and zirconia, LCSi is responsible for bonding to resin composite, porcelain and silica-type ceramics (like lithium disilicate), eliminating the need for separate primers. This means that a single component is needed, which streamlines the procedure, leading to time savings and a minimized potential for errors. Due to its properties, PANAVIA™ SA Cement Universal is ideal for everyday procedures such as the permanent cementation of crowns and bridges made of zirconia, lithium disilicate, hybrid ceramic or even metal. The strong and aesthetic allrounder For those who place importance on achieving the highest possible bond strength and aesthetics, PANAVIA™ V5 is the solution. The reliable dual-cure cementation system consisting of a tooth primer, a cement paste and a ceramic primer produces the highest bond strength and aesthetics from the PANAVIA™ cement range. Therefore, it is an excellent choice for a whole range of indirect restorations and for post-and-core procedures. As the well-aligned components are always combined and applied in the same way, standardization is supported, leading to predictable outcomes. The veneer specialist When fulfilling such demanding tasks as cementing veneers, every dental practitioner needs time. Especially when placing multiple veneers at once for the best aesthetic outcomes, having to race against the setting time is counterproductive. For this reason, Kuraray Noritake Dental Inc. developed PANAVIA™ Veneer LC, a light-curing resin cement system with an extended working time of 200 seconds* on the primer, which allows users to initiate polymerization whenever they are ready for it. PANAVIA™ Veneer LC also offers a well-aligned paste viscosity and consistency for easy dispensing and seating, and comes in four highly colour-stable shades for long-lasting aesthetics. Finally, the system provides for easy excess removal after tack-curing and an excellent bond strength over time. ** Working time: sensitivity to light (8000 lux, ISO 4049) Meeting expectations The three products mentioned are precisely what is needed to cover every personal preference and specific indication. They are based on Kuraray Noritake Dental Inc.’s long-standing expertise in the development of adhesive resin cements. The first product from the PANAVIA™ brand was introduced in the 1980s and since then, the company never stopped improving the portfolio by combining existing technologies like the original MDP Monomer with newly developed ones, such as the LCSi Monomer and the Touch Cure Technology. All this ultimately resulted in the current lean portfolio of easy-to-use and highly aesthetic resin cements that provide top-level bond strength. Dec 20, 2022
“Simply apply and dry, and you’re done”: CLEARFIL™ CERAMIC PRIMER PLUS Combining ease of use and excellent viscosity, CLEARFIL™ CERAMIC PRIMER PLUS is a stable and universal prosthetic primer designed for all restorations. By incorporating Kuraray Noritake Dental’s original MDP monomer and a silane monomer, it is able to provide an enhanced adhesive surface for ceramics, hybrid ceramics, composites and even metals. CLEARFIL™ CERAMIC PRIMER PLUS is best used in conjunction with the adhesive resin cement PANAVIA™ V5 to ensure durable restorations. The key to CLEARFIL™ CERAMIC PRIMER PLUS’s performance is in the monomers it possesses. The MDP monomer strongly bonds to metals and zirconia, while the silane coupling agent MPS efficiently adheres to composites and all silica-based ceramics. “What makes CLEARFIL™ CERAMIC PRIMER PLUS different to other primers is its stability,” says Peter Schouten, Technical Manager at Kuraray Noritake Benelux. “Normally, activated silanes are very unstable. However, the well-balanced formula of CLEARFIL™ CERAMIC PRIMER PLUS provides it with a shelf life of three years after production, making it easy and predictable to use.” Procedural simplicity Every element of CLEARFIL™ CERAMIC PRIMER PLUS is designed to deliver maximal procedural simplicity. It is packaged in an easy-to-squeeze bottle that dispenses the solution easily and accurately. Whereas other similar products need to be left in place for one minute or more, this primer is immediately effective upon application. “CLEARFIL™ CERAMIC PRIMER PLUS benefits the dentists by offering a reliable primer for all materials, without being difficult to apply or use,” says Schouten. “From titanium to zirconia, from lithium disilicate to composite—simply apply and dry, and you're done.” PANAVIA™ V5 A resin cement with unrivalled procedural simplicity and predictability, PANAVIA™ V5 is a member of Kuraray Noritake Dental’s PANAVIA family. It sets a new standard for adhesion, allowing for self-cure dentine bond strengths equal to our gold-standard light-cure bonding agent, CLEARFIL SE BOND. PANAVIA™ V5 offers natural aesthetic stability in shading through its amine-free paste, which is available in five shades and has been scientifically proven to demonstrate a lower level of post-curing colour variance than amine-based cements. CLEARFIL™ CERAMIC PRIMER PLUS and PANAVIA™ V5 Providing strong bonding to not just hydroxyapatite, but to metals and zirconia as well, PANAVIA™ V5 is designed for use in conjunction with CLEARFIL™ CERAMIC PRIMER PLUS. The cementation procedure is efficient and effective: use PANAVIA V5 Tooth Primer for the pretreatment of the tooth, CLEARFIL™ CERAMIC PRIMER PLUS for the priming of the restoration, and PANAVIA™ V5 for the cementation. Apr 18, 2019
Innovative resin cements forming the basis of minimally invasive prosthodontics Article by Dr. Adham Elsayed High-performance adhesive resin cements are often the enablers of minimally invasive prosthodontic treatments. When the main aim is to save as much healthy tooth structure as possible, preparation designs that offer sufficient macro-mechanical retention for conventional cements are usually abandoned. The designs chosen instead need to rely on a strong and durable chemical adhesion established between the tooth structure and the restorative material – a task successfully accomplished by modern adhesive resin cement systems. An excellent example of a minimally invasive, non-retentive preparation and restoration design is the single-retainer resin-bonded fixed dental prosthesis (RBFDPs), nowadays usually made of 3Y-TZP zirconia. With its single cantilever bonded to the oral and proximal enamel surface of an adjacent tooth, it requires minimal to no healthy tooth structure removal. The RBFDP is often used to replace a congenitally missing tooth – in many cases a maxillary lateral incisor – in young patients with incomplete dentoalveolar development and narrow edentulous spaces unsuitable for conventional implant placement1 (Fig. 1 and 2). Additional factors hindering implant therapy – like an insufficient bone volume or angulated roots – are also not an issue for this type of restoration. And compared to orthodontic gap closure, the treatment approach with a RBFDP is less risky, as it does not affect the vertical jaw relationship, prevent canine guidance or compromise the aesthetic appearance2. Finally, it is much less invasive than conventional FDPs, which is usually not a treatment option for young patients in the anterior region. The level of patient satisfaction and the success rates of this treatment approach are impressive3-7. Fig. 1-2. Replacement of both congenitally missing maxillary lateral incisors with single-retainer zirconia RBFDPs after soft tissue augmentation and gingival margin correction. Despite the numerous advantages and excellent clinical performance – single-retainer RBFDP made of zirconia showed a survival of 98.2 percent and a success rate of 92.0 percent after ten years4 – many dental practitioners still opt for alternative treatment options. The reason may be a lack of trust in the bond strength and durability to zirconia. However, this bond can be very strong and durable – provided that a few rules are respected. HOW TO ESTABLISH A STRONG BOND TO THE TOOTH STRUCTURE In order to decide whether a missing tooth may be successfully replaced by a single-retainer RBFDP made of zirconia, the abutment tooth should be examined carefully. It needs to be vital and largely free of caries or direct restorations, while the oral enamel surface must be large enough for resin bonding1. In addition, the space required for the placement of a retainer wing (thickness: about 0.7 mm) needs to be available, as a non-contact design is important for the success of the restoration. Among the preparation designs described in the literature is a lingual veneer and small proximal box preparation with retentive elements located in the enamel only1, or no preparation at all7. For restoration placement, the abutment tooth is treated as usual: after cleaning e.g., with fluoride-free prophylaxis paste, phosphoric acid etchant is applied to the bonding surface, which is then thoroughly rinsed and dried. HOW TO ESTABLISH A STRONG BOND TO THE RESTORATION The recommended pre-treatment for the bonding surface of the retainer wing made of zirconia is small-particle (50 ÎĽm) aluminium oxide air-abrasion at a low pressure (approx. 1 bar)8,9, followed by ultrasonic cleaning. Figures 3 (A-E) shows the sequence of surface treatment of zirconia restorations. As a visual aid for a controlled air-abrasion treatment, the marking of the surface with a pen has proven its worth. The whole air-abrasion procedure should be carried out after try-in, during which the tooth surface and the restoration usually becomes contaminated through contact with saliva and sometimes blood. Proteins present in saliva and blood that contaminate the bonding surface are safely removed in this way, while the required surface modification necessary to establish a strong and durable bond to the selected resin cement system is achieved10. FIGURE 3: SEQUENCE OF SURFACE TREATMENT OF ZIRCONIA RESTORATION. Fig. 3A. Cleaning of the restoration prior to luting with water steam cleaner. Fig. 3B. Marking of the bonding surface as an visual aid for the air-abrasion. Fig. 3C. Air-abrasion with 50-ÎĽm Al2O3 particles with 1 bar pressure. Fig. 3D. Application of a primer containing 10-MDP. Fig. 3E. Application of the composite resin cement. WHICH RESIN CEMENT SYSTEM TO CHOOSE Subsequently, the components of the resin cement system are applied. Regarding the selection of the system, it is generally recommended to use a restoration primer or resin cement that contains 10-Methacryloyloxydecyl dihydrogen phosphate (10-MDP)11. In this way, a high-quality chemical bond is established. Among the resin cement systems used in the available long-term clinical studies is PANAVIA™ 21 (Kuraray Noritake Dental Inc.)4-6. Launched in 1993, this anaerobic-curing adhesive resin cement contains several important technologies like the MDP monomer and the Touch Cure Technology found in PANAVIA™ V5, the state-of-the art dual-cure multi-bottle adhesive resin cement system of the company. In order to further improve the bonding performance of this present product, however, the team of developers reviewed the basic composition, updated existing technologies and combined them with completely new ingredients. Even with PANAVIA™ 21 introduced 30 years ago, high success rates were obtained4-6. The few observed failures were mainly due to chipping of the veneering ceramic or debonding. Sometimes caused by traumatic incidents, the debondings resulted in no further damage and the restorations were simply rebonded using the same cementation system and procedure. One might expect that with its improved formulation, PANAVIA™ V5 will offer an even stronger and more durable bond than predecessor products, so that it is even better suited for such demanding applications as the resin-bonded fixed dental prosthesis. In a pilot study, this assumption was confirmed7. Without any preparation of the abutment tooth, but a defined size of the bonding surface of at least 35 mm2, the team of researchers placed 24 monolithic zirconia resin-bonded bridges (made of KATANA™ Zirconia HT) to replace congenitally missing lateral incisors. The palatal sides of the central incisors were cleaned with pumice paste and treated with phosphoric acid, while the bonding surfaces of the restorations were sandblasted with aluminum oxide particles (50 ÎĽm, 2.5 bar pressure). Afterwards, twelve restorations were luted with PANAVIA™ V5, the other twelve with PANAVIA™ F2.0 (another earlier-version resin cement from Kuraray Noritake Dental Inc.). After an observation period of 32 to 50.47 months, the success and survival rates in the PANAVIA™ V5 group were 100 percent. In the other group, a connector fracture, a chipping and two debondings occurred. Based on these results, the authors of the publication concluded that “it has been seen that the new generation cement (PANAVIA™ V5) is more successful”7. CONCLUSION For many years, minimally invasive indirect restorative approaches like the replacement of missing incisors with resin-bonded fixed dental prostheses have been performed successfully by some dental practitioners. Many others, however, still seem to be hesitant whether these approaches will lead to the desired results in their hands. The available clinical study results, however, have confirmed that the procedure is highly advantageous and successful, while ongoing development efforts in the field of adhesive resin cements have led to products further decreasing the failure rates related to debonding. Even if a debonding occurs, however, no damage is usually done, so that the restoration can be rebonded again with little effort. These findings – together with the well-known benefits of minimally invasive dentistry in general – should encourage dental practitioners to start exploring the full potential of adhesive dentistry for themselves. In this context, PANAVIA™ V5 is definitely an excellent choice. References 1. Sasse M, Kern M. All-ceramic resin-bonded fixed dental prostheses: treatment planning, clinical procedures, and outcome. Quintessence Int. 2014 Apr;45(4):291-7. doi: 10.3290/j.qi.a31328. PMID: 24570997.2. Tetsch J, Spilker L, Mohrhardt S, Terheyden H (2020) Implant Therapy for Solitary and Multiple Dental Ageneses. Int J Dent Oral Health 6(6): dx.doi. org/10.16966/2378-7090.332.3. Wei YR, Wang XD, Zhang Q, Li XX, Blatz MB, Jian YT, Zhao K. Clinical performance of anterior resin-bonded fixed dental prostheses with different framework designs: A systematic review and meta-analysis. J Dent. 2016 Apr;47:1-7. doi: 10.1016/j.jdent.2016.02.003. Epub 2016 Feb 11. PMID: 26875611.4. Kern M, Passia N, Sasse M, Yazigi C. Ten-year outcome of zirconia ceramic cantilever resin-bonded fixed dental prostheses and the influence of the reasons for missing incisors. J Dent. 2017 Oct;65:51-55. doi: 10.1016/j.jdent.2017.07.003. Epub 2017 Jul 5. PMID: 28688950.5. Kern M. Fifteen-year survival of anterior all-ceramic cantilever resin-bonded fixed dental prostheses. J Dent. 2017 Jan;56:133-135.6. Sasse M, Kern M. Survival of anterior cantilevered all-ceramic resin-bonded fixed dental prostheses made from zirconia ceramic. J Dent. 2014 Jun;42(6):660-3. doi: 10.1016/j.jdent.2014.02.021. Epub 2014 Mar 5. PMID: 24613605.7. Bilir H, Yuzbasioglu E, Sayar G, Kilinc DD, Bag HGG, Ă–zcan M. CAD/CAM single-retainer monolithic zirconia ceramic resin-bonded fixed partial dentures bonded with two different resin cements: Up to 40 months clinical results of a randomized-controlled pilot study. J Esthet Restor Dent. 2022 Oct;34(7):1122-1131. doi: 10.1111/jerd.12945. Epub 2022 Aug 3. PMID: 35920051.8. Kern M. Bonding to oxide ceramics—laboratory testing versus clinical outcome. Dent Mater. 2015 Jan;31(1):8-14. doi: 10.1016/j.dental.2014.06.007. Epub 2014 Jul 21. PMID: 25059831.9. Kern M, Beuer F, Frankenberger R, Kohal RJ, Kunzelmann KH, Mehl A, Pospiech P, Reis B. All-ceramics at a glance. An introduction to the indications, material selection, preparation and insertion techniques for all-ceramic restorations. Arbeitsgemeinschaft fĂĽr Keramik in der Zahnheilkunde. 3rd English edition, January 2017.10. Comino-Garayoa R, Peláez J, Tobar C, RodrĂguez V, Suárez MJ. Adhesion to Zirconia: A Systematic Review of Surface Pretreatments and Resin Cements. Materials (Basel). 2021 May 22;14(11):2751.11. Al-Bermani ASA, Quigley NP, Ha WN. Do zirconia single-retainer resin-bonded fixed dental prostheses present a viable treatment option for the replacement of missing anterior teeth? A systematic review and meta-analysis. J Prosthet Dent. 2021 Dec 7:S0022-3913(21)00588-6. doi: 10.1016/j.prosdent.2021.10.015. Epub ahead of print. PMID: 34893319. Aug 15, 2023
Innovation - Optimising bond quality with Katana Cleaner from Kuraray Noritake dental A strong and durable bond between the tooth and the restoration is a decisive factor influencing the long-term performance of dental restorations. The quality of the bond, however, is not only affected by the bonding agent or cementation solution used, but also by the condition of the bonding surface. For those who would like to ensure clean tooth and restoration surfaces in an easy way, Kuraray Noritake Dental has developed KATANA™ Cleaner, a universal cleaner with MDP salt and a pH of 4.5 for intra- and extra-oral application. It has been proven that proteins present in saliva and blood have a negative effect on the performance of dental adhesives. Especially in indirect procedures, however, it is impossible to keep the bonding surfaces free of oral fluids. At try-in at the latest, the prepared tooth and the restoration are contaminated and need to be cleaned. Rinsing with water does not have the desired effect, and even with many available cleaners, a certain amount of proteins are usually left on the surface. Tests show that by using KATANA™ Cleaner or by sandblasting, the desired high cleaning effect needed is obtained, without compromising bond strength. This is true for KATANA™ Zirconia restorations, while KATANA™ Cleaner also leads to the desired results on dentin and enamel – surfaces in the oral cavity for which sandblasting and most of the other cleaners are not indicated. The use of KATANA™ Cleaner offers yet another advantage: the cleaning procedure is extraordinarily simple, quick and neat. The universal cleaner comes in a bottle with an innovative flip-top cap, enabling single-handed dispensing onto the dish. It is then rubbed into the surface of the restoration and the prepared tooth structure or the abutment for ten seconds, rinsed with water and dried. Thanks to the high surface activity of MDP salt, these ten seconds are sufficient to remove the proteins on the substrate almost completely, creating conditions very similar to those found on a non-contaminated bonding surface. Subsequently, the selected bonding agent or cementation solution – e.g. PANAVIA™ V5 or PANAVIA™ SA Cement Universal – is applied according to the maufacturer’s usage instructions. The result is a strong long-lasting bond, which gives users a peace of mind. Pilot users who have already tested the product agree that KATANA™ Cleaner is the easy way to optimise bond quality and streamline any adhesive procedure. Feb 19, 2020
Restoration of a single central incisor: Mastering the art of observation Case by Andreas Chatzimpatzakis Observe and copy: This is the key to nature-like dental restorations. There are many optical effects, colour transitions and morphological details in natural teeth that need to be taken in and understood – and replicating them is only possible for those who know exactly how their materials work. Once these skills are acquired, however, they enable a dental technician to produce their restorations as truly beautiful copies of nature. Even when restoring a single maxillary central incisor, the technique delivers outstanding – or inconspicuous - outcomes, as revealed by the following example. Using high-quality, translucent and gradient-shaded zirconia frameworks and porcelains, the layering technique does not have to be highly complicated. Two bakes and a number of selected effect liquids, internal stains and porcelains are usually sufficient for outcomes that exceed expectations. CASE EXAMPLE In the present case, a young male patient had a quite opaque crown on his maxillary right central incisor that needed to be replaced. During shade selection in the dental laboratory (Fig. 1), it was observed that the cervical third of the adjacent central incisor is lighter than the rest. Its shade in other areas corresponded to B4 on the VITA classical A1-D4® Shade Guide. Hence, it was decided to use a somewhat lighter material for the framework and darken the restoration especially in the middle and incisal areas with internal stains. The concrete plan was to mill a coping made of KATANA™ Zirconia STML (Kuraray Noritake Dental Inc.) in the shade A3, characterize it with Esthetic Colorant (both Kuraray Noritake Dental Inc.) and sinter the piece (Figs 2 to 4). In the following layering procedure including just two bakes, a combination of internal stains and selected porcelains (CERABIEN™ ZR, Kuraray Noritake Dental Inc.) was applied as illustrated in Figures 5 to 12. Figures 13 to 17 display the result on the model, minor adjustments during try-in and the final treatment outcome. Fig. 1. Shade selection. The cervical third of the adjacent central incisor is lighter than usual compared to the middle and incisal areas. Fig. 2. Coping made of KATANA™ Zirconia STML in the shade A3. Fig. 3. Intensification of some shade characteristics of the multi-layered blank using Esthetic Colorant in the shades Grey (middle) and Blue and Grey (incisal area). Fig. 4. Coping after sintering. Fig. 5. Colour map for internal staining, using CERABIEN™ ZR Internal Stains. Fig. 6. Result of the use of Shade Base Stain Modifier Fluoro to increase the fluorescence and internal staining as planned. Fig. 7. Application of Opacious Body OBA2, … Fig. 8. … Translucent Tx … Fig. 9.: … and Luster CCV-2. Fig. 10. Crown after the first bake. Fig. 11. Crown after the application of CERABIEN™ ZR Internal Stains: A+, Aqua Blue 2, White mixed with Cervical 2 (ratio: 30/70) for the cracks, and Cervical 2. Fig. 12. Application of Luster LT1 to finalize the shape. Fig. 13. Finished crown after the second bake on the model. Fig. 14. Evaluation of the surface texture: Observing and copying the surface details is as important as the imitation of the shade characteristics. Fig. 15. Minor texture adjustments during try-in. Fig. 16. Final restoration in place after cementation with PANAVIA™ V5 (Kuraray Noritake Dental Inc.). Fig. 17. Treatment outcome. CONCLUSION Mastering the art of observing natural teeth is the key to lifelike restorations. It allows a dental technician to develop a deep understanding of shade and morphology, which is – apart from knowing the selected materials very well – the only talent needed to reach a high level of excellence. Those who are observant and take in every detail with their eyes can be sure that their mind will understand and their hands will automatically follow. Dental technician: ANDREAS CHATZIMPATZAKIS Andreas graduated from the Dental Technology Institute (TEI) of Athens in 1999. During his studies he followed a program at the Helsinki Polytechnic Department of Dental Technique, where he trained on implant superstructures and all ceramic prosthetic restorations. As of 2000, he is running the ACH Dental Laboratory in Athens, Greece, specialized on refractory veneers, zirconia and long span implant prosthesis. In 2017 Andreas visited Japan where he trained under the guidance of Hitoshi Aoshima, Naoto Yuasa and Kazunabu Yamanda and become International Trainer for Kuraray Noritake Dental Inc.. Sep 3, 2024
PANAVIA and KATANA: The perfect combination PANAVIA and KATANA: The perfect combination Scientific research has demonstrated that, when bonding zirconia, optimal bond values can only be achieved with resin cements—specifically, MDP monomer-based resin cements. With PANAVIA V5, we offer a dual-cure resin cement with dentine bond strengths equal to our gold standard light-cure bonding agent CLEARFIL SE BOND, even when used in self-cure mode. Through our KATANA Zirconia range, Kuraray Noritake Dental presents a ceramic material for restorative procedures that has excellent translucency and shade options. Together, PANAVIA V5 and KATANA Zirconia make an ideal team for durable and reliable indirect restorations. PANAVIA V5 In 1983, Kuraray introduced its patented MDP monomer in PANAVIA EX cement. With its clinically proven adhesion, our PANAVIA family has set the industry standard for adhesion for over 30 years. As the newest addition to the PANAVIA cement line, PANAVIA V5 provides strong bonding not just to zirconia but to hydroxyapatite and metals as well. Unlike other dual-cure resin cements, PANAVIA V5 offers improved bond strength to all tooth structures. Simple to use and with predictable results, PANAVIA V5 is unique in its user friendliness and procedural consistency. KATANA Zirconia Our KATANA Zirconia discs are processed using a proprietary zirconia powder, allowing it to have as natural a translucency and colour as possible. The KATANA range consists of several options designed for full-contour zirconia prostheses, from single crown to full arch: KATANA Zirconia UTML (Ultra Translucent Multi Layered), STML (Super Translucent Multi Layered), ML (Multi Layered) and HT (High Translucent). The multilayered build-up of KATANA Zirconia STML provides a translucency and chroma that gradually decrease from the cervical to incisal regions, just like natural dentition. KATANA Zirconia UTML is perfect for anterior restorations, such as veneers, owing to its natural translucency and colour gradient. With a flexural strength considerably higher than that of lithium disilicate, KATANA Zirconia has the mechanical and aesthetic properties to achieve well-balanced restorations between natural teeth in the anterior zone. An ideal team PANAVIA V5 provides a strong and durable bond between KATANA Zirconia-based restorations and the tooth structure. PANAVIA V5 resin cement offers optimal margins and predictable restorations. Always use PANAVIA V5 Tooth Primer for the pretreatment of the tooth and CLEARFIL CERAMIC PRIMER PLUS for the priming of the restoration. “We’re thrilled by the possibilities presented from the combination of PANAVIA V5 and KATANA Zirconia,” said Mitsuru Takei, Head of Technical Services at Kuraray Europe. “Together, they make achieving natural-looking restorations easier than ever.” May 28, 2018
Optimizing clinical outcomes of KATANA™ Zirconia restorations The KATANA™ Zirconia Multi-Layered series from Kuraray Noritake Dental Inc. (Kuraray Noritake Dental) is popular among dental technicians and dentists around the world, as it offers great mechanical and optical properties. The available materials have different levels of translucency and strength, and a multi-layered structure that facilitates the creation of lifelike restorations. Furthermore, they are very well processable, which results in a high milling accuracy and smooth margins. Together, these properties are highly valuable for every dental office, as they result in precisely fitting, durable and beautiful restorations that help you exceed your patients’ expectations. Clinical long-term success of these zirconia restorations, however, is not only determined by the material choice and laboratory processing alone. The way clinical procedures such as cementation and intra-oral adjustments are carried out have a decisive impact as well. In order to support you in your striving for a long-lasting bond between the tooth and the restoration, and to facilitate intra-oral polishing, Kuraray Noritake Dental has developed a wide variety of in-office products designed to make your life easier and your practice even more successful. Remove bond-strength compromising proteins When proteins present in blood and saliva are deposited on the bonding surfaces of teeth or dental restorations, the bonding performance of dental adhesives and self-adhesive resin cements will be compromised. As it is impossible to keep these surfaces free of oral fluids at try-in, effective cleaning strategies are required. In tests comparing different methods and cleaning agents, sandblasting and the use of KATANA™ Cleaner have been highly successful in removing the proteins from the bonding surfaces1. As KATANA™ Cleaner is a biocompatible material (unlike other often strongly alkaline zirconia cleaners), it is suitable for intra- and extra-oral use. Hence, it is the perfect solution for cleaning your KATANA™ Zirconia restorations as well as prepared enamel and dentin before cementation. The product has a high cleaning effect and is easy to use: simply rub it in for ten seconds, rinse and dry. Obtain a reliable bond with fewer components Fewer components and fewer procedure steps, this is what an increasing number of dental practitioners strives for when it comes to cementing zirconia restorations. For all of them, PANAVIA™ SA Cement Universal is the solution. The self-adhesive resin cement contains the proprietary long carbon-chain silane coupling agent (LCSi Monomer) developed by Kuraray Noritake Dental that delivers a strong, durable chemical bond to porcelain, lithium disilicate and composite resin without the need for a separate primer. The original MDP monomer, also present in the paste, allows for chemical reactiveness with zirconia, dentin and enamel. Therefore, the product is indicated for a wide range of indications (including adhesion bridges) without the need for separate priming and bonding. Another important fact is that excess removal requires a significantly lower force compared to other cements. This was already the case for product’s predecessor PANAVIA™ SA Cement Plus, as reported by a researcher from Tufts University in Boston, Massachusetts2. For specifically demanding cases, you may increase the bond strength of PANAVIA™ SA Cement Universal to tooth structure with the aid of CLEARFIL™ Universal Bond Quick. Choose the proven and familiar multi-step system For all those who would like to stick to multi-step procedures they have trusted for years, PANAVIA™ V5 is the go-to product. It is suitable for all restorations, including those that demand the highest possible bond strength. It is the strongest cement Kuraray Noritake Dental ever developed, and with five shades, it is the most aesthetic one, too. This allows you to cement all tooth-coloured restorations with confidence, no matter whether they have a retentive or non-retentive design. PANAVIA™ V5 is designed to work perfectly with KATANA™ Zirconia, and is indicated for cementing a wide range of indirect restorations, and also for post-and-core procedures and amalgam bonding. Create antagonist-friendly surfaces Studies have shown that surface roughness of a restoration has a larger impact on the wear of the antagonist than the hardness of the dental material. This means that for an antagonist-friendly behaviour, the restoration surfaces need to be perfectly polished. This task is easily accomplished with TWIST™ DIA for Zirconia, which may be used after intra-oral adjustments or in the context of maintenance measures. The flexible polishing spirals with an innovative shape offer you various application benefits for excellent polishing results. TWIST™ DIA for Zirconia is highly suitable for occlusal surface polishing as the shape and contour of the zirconia restoration is maintained. As they are sterilizable, the spirals may be reused. A winning team for reliable results By using a restorative material, cleaning solution, cementation system and polishing spirals from Kuraray Noritake Dental, you will benefit from streamlined procedures and reliable results. The products are not only designed to work with each other, but also thoroughly tried and tested for combined use, so that you can carry out your procedures with utmost confidence. References 1 Data source: Kuraray Noritake Dental Inc.2 A. Roberta et. al., J Dent Res Vol #98 (Spec Iss A), #3624, Determination of Excess Removability of Self-adhesive Resin Cements May 10, 2022
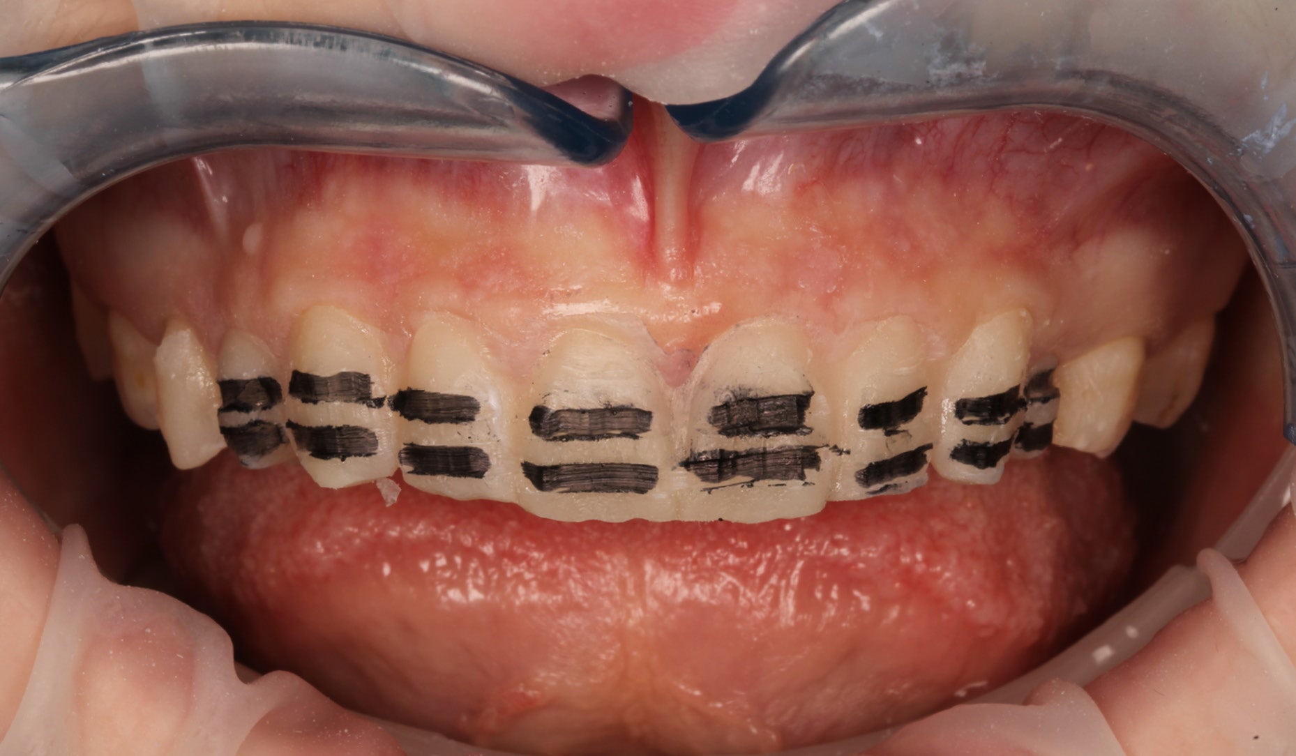
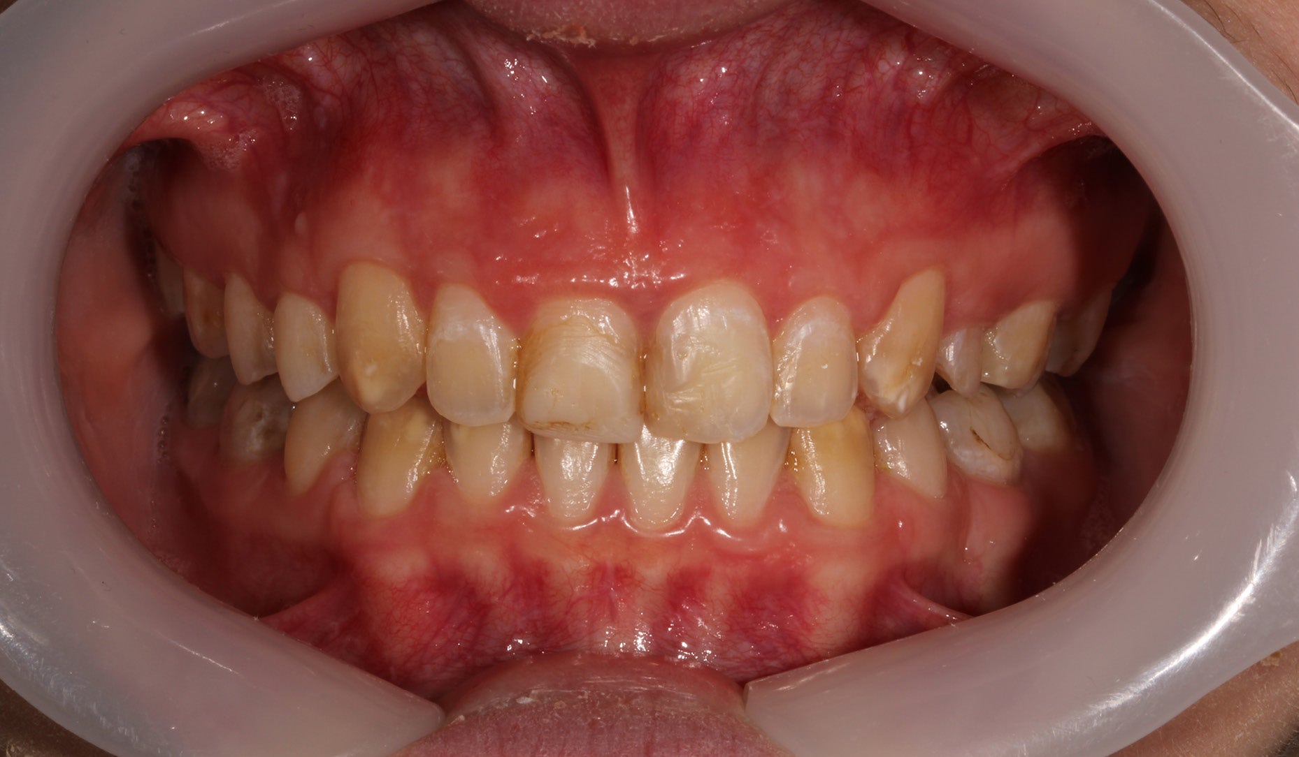
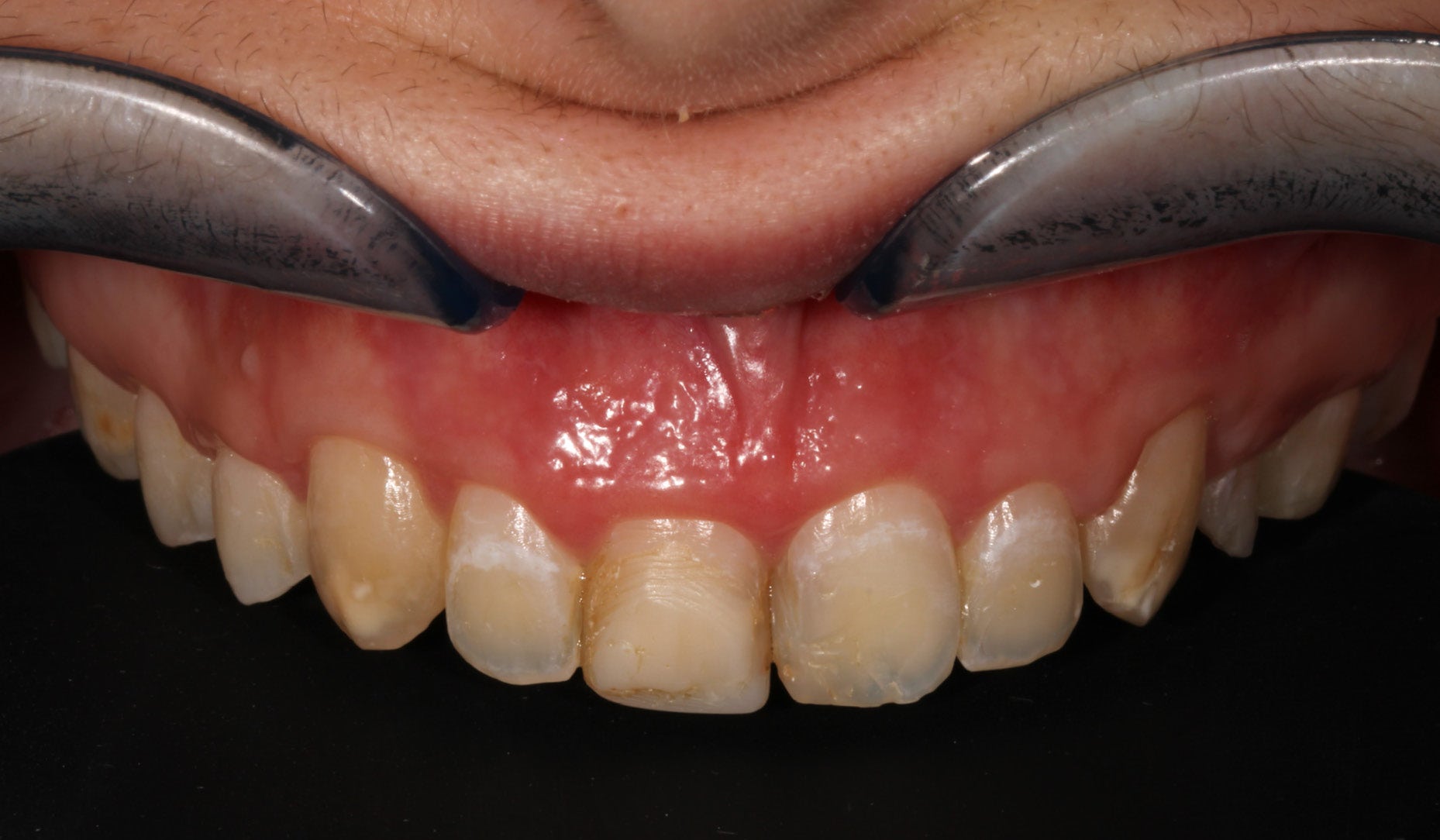
Performance and practicality Case by A/Prof Alan Yap, BDS (Syd), MDSc Hons (Pros)(Syd), FAANZP Since 1983 PANAVIA™ by Kuraray Noritake Dental Inc. has been the gold standard for dental cements throughout the world. Their latest cement, PANAVIA™ Veneer LC, sets a new standard for porcelain veneer cements through incredible performance and ease of use. The following clinical case demonstrates the use of PANAVIA™ Veneer LC. A 31-year-old female (Fig. 1) was referred for porcelain veneers to replace lost tooth structure and to improve aesthetics. The patient exhibited moderate attrition of her anterior and bicuspid teeth (Fig. 2), the result of nocturnal bruxism and a tendency to an edge-to-edge occlusion. She had a Class I malocclusion on a Skeletal Class I tending III base with the right maxillary canine in cross-bite. The treatment plan included orthodontic treatment, porcelain veneers, and an occlusal splint. Fig. 1 Fig. 2 Orthodontic treatment (by Dr Nour Tarraf) included full-fixed appliances with TADs and IPR of mandibular anteriors, and arch retractions to reduce protrusion (Fig. 3, post-orthodontic treatment). A preliminary digital design (Fig. 4) was performed to guide the diagnostic wax-up and a digital mock-up (Fig. 5) was utilised to verify the diagnostic wax-up prior to carrying out the intra-oral mock-up. The patient was unable to afford the restoration of the maxillary bicuspids until a later stage so the reconstruction was limited to the maxillary anterior teeth. Fig. 3 Fig. 4 Fig. 5 Using the diagnostic wax-up, silicone keys were fabricated to guide tooth preparations. Orthodontic treatment allowed prosthetic treatment to be additive in design which meant that tooth preparations could be conservative. Labial reductions were limited to 0.3 mm and incisal reductions were performed only where needed to create an incisal butt joint for the veneer (Fig. 6). Minimal preparations allowed the veneers to be bonded almost entirely to enamel, which is important for the long-term survival of porcelain veneers (Ref 1). There was no need to significantly mask the colour of the cervical region of the tooth and non-carious cervical lesions were absent, so fine chamfer margins were prepared at equi-gingival level. Fig. 6 Splinted provisional veneers (Fig. 7) were fabricated using bisacryl ensuring sufficient interdental space to allow hygiene access for small interdental brushes. The labial surface of the provisional veneers were glazed with a unfilled resin and cemented using the spot-etch technique, ensuring all excess flowable composite was removed prior to curing (Fig. 8). Twice daily interdental cleaning of the provisional veneers and thorough brushing of labial margins during the provisional phase maintained soft tissue health, important for the try-in and cementation of the definitive veneers. Fig. 7 Fig. 8 A dry try-in of the definitive veneers was performed to check the fit of the veneers and a wet try-in was performed using try-in paste to assess aesthetics. The PANAVIA™ Try-in pastes accurately mimic the cement shades. Four useful shades are available (Fig. 9). The White and Brown shades are useful to correct small discrepancies in shade requiring subtle increases or decreases in shade value respectively. Conveniently the try-in pastes are the same as the PANAVIA™ V5 range of try-in pastes (excluding opaque). Following the try-in procedure the teeth were isolated using rubber dam and the floss ligature technique. KATANA™ Cleaner (Fig. 10) was used to clean the veneers prior to silanating with CLEARFIL™ CERAMIC PRIMER PLUS (Fig. 11). Fig. 9 Fig. 10 Fig. 11 Veneers that have not been pre-etched should be etched with hydrofluoric acid prior to silanization. The use of the ProsMate™ Baton allows the cleaning, etching and silanization of all veneers simultaneously (Fig. 12). The veneers are arranged systematically on the ProsMate™ Tray ready for the cementation procedure (Fig. 13). Tooth surfaces were pre-treated with phosphoric acid (K-ETCHANT Syringe) and PANAVIA™ V5 Tooth Primer (Fig. 14). Fig. 12 Fig. 13 Fig. 14 The newly designed cement applicator tip reduces air bubbles and the wide 16-gauge tip (Fig. 15) allows light and easy control of cement extrusion while also providing efficient wide coverage during application. PANAVIA™ Veneer LC has excellent handling because of its ideal paste consistency. It is non-sticky and its viscosity prevents the cement from flowing beyond the veneer margins until the veneer is seated. It is not runny or stringy. Furthermore its thixotropic properties results in lower film thickness during seating of the veneer. These excellent handling properties are due to the development of new filler technology which consists of spherical silica and nano cluster fillers (Fig. 16). The “touch-cure” mechanism of PANAVIA™ V5 Tooth Primer importantly seals the bonding interface while the extended working time and stability of the cement under ambient light allows the simultaneous cementation of multiple veneers. In this case all six lithium disilicate veneers (technical work by Yugo Hatai) were cemented simultaneously with PANAVIA™ Veneer LC Paste (Clear). Fig. 15 Fig. 16 Tack-curing each veneer for one second allowed smooth and easy bulk removal of excess cement with an explorer (Fig. 17). Remaining excess of uncured paste was removed with brushes. Final curing was performed by light curing lingual and labial surfaces. Fig. 17 The optical characteristics of PANAVIA™ Veneer LC, use of fine chamfer margins, and well-fitting translucent restorations produces a gradual and smooth transition of colour from tooth to veneer where margins disappear and soft tissues respond in a healthy way (Fig. 18). The color stability, excellent abrasion resistance and high gloss durability of PANAVIA™ Veneer LC preserves integrity and aesthetics at the margins over the long term. The extraordinary bond strength of PANAVIA™ products, so familiar to our profession over the last 20 years, is still second to none (Fig. 19). Fig. 18 Fig. 19 “KATANA” is a registered trademark or trademark of NORITAKE CO., LIMITED - “PANAVIA” and “CLEARFIL” are registered trademarks or trademarks of KURARAY CO., LTD. References 1. Layton DM, Walton TR. The up to 21-year clinical outcome and survival of feldspathic porcelain veneers: accounting for clustering. Int J Prosthodont. 2012 Nov-Dec; 25(6):604-12. PMID: 23101040. Jan 14, 2025
Transforming dentistry with ground-breaking technologies: Cementation of indirect restorations Some companies mainly make use of basic technologies developed by others to improve their products and introduce new ones, while other companies conduct fundamental research and technology development inhouse. Is this difference relevant for someone who uses the resulting products in the dental practice or laboratory on a daily basis? It is – as companies with a deep understanding of the underlying components, chemistry and technologies are able to solve existing problems and respond to market needs flexibly and quickly. This article describes the impact of several basic technologies developed by Kuraray Noritake Dental Inc. on the cementing of indirect restorations. Adhesive cementation then and now The possibility of milling dental restorations from different kinds of ceramics has opened up new opportunities in prosthodontics: highly aesthetic restorations can be produced and placed. What is often undervalued in this context is the role of adhesive cementation systems, which not only support the aesthetic appearance of the translucent, tooth-coloured restorations, but also pave the way for less invasive preparation and restoration designs. Early systems that provided for chemical adhesion between teeth and indirect restorations unfortunately offered a compromised long-term behaviour and high technique-sensitivity, while the application procedure was extremely complex. Technology development at Kuraray Noritake Dental Inc. made significant contributions to an improved long-term bonding performance of the systems and a simplified handling. Optimizing the long-term bonding performance In order to achieve long-term bonding of early cementation systems to tooth structure (especially dentin), Kuraray, a parent company of Kuraray Noritake Dental Inc., decided to focus on the development of a more powerful adhesive monomer in the 1970s. As a first step on its road to excellence, it introduced the phosphate monomer Phenyl-P in 1976. Five years later, continued efforts in improving and refining its molecular structure led to the introduction of the popular MDP Monomer that is capable of establishing a particularly strong and long-lasting bond to enamel, dentin, metal and zirconia. The fact that it is still part of every adhesive and adhesive cementation system from Kuraray Noritake Dental Inc., and meanwhile also used by other manufacturers to optimize the bond strength and bond durability of their products, stresses the ingenuity of the invention. Compared to MDP synthesized elsewhere, the Original MDP Monomer from Kuraray Noritake Dental Inc. stands out due to an unmatched level of purity. Independent Studies show that this level of purity has a positive effect on its bonding behaviour1. By offering stability in a moist environment, the MDP Monomer has contributed to a more consistent performance of the products containing it. Different MDP Monomers offer different levels of purity and a different bonding performance. Three experimental self-etch primers were prepared consisting of 15 wt.% 10-MDP provided by different sources: KN (Kuraray Noritake Dental), PCM (Germany) or DMI (Designer molecules Inc., USA). Data courtesy of Dr. Kumiko Yoshihara. For adhesive resin cement systems to deliver a strong bond with an outstanding marginal seal, however, simply containing an adhesive monomer is not enough. Effective polymerization of this monomer is necessary as well – and not always that easily accomplished. In order to provide for an effective light-cure and dark-cure performance of PANAVIA™ V5, Kuraray Noritake Dental Inc. developed the Touch-Cure Technology. The key part of this technology is a newly developed, highly-active polymerisation accelerator in PANAVIA™ V5 Tooth Primer that is able to coexist with the acidic MDP Monomer promotes polymerisation starting from the interface between the tooth and the cement as soon as PANAVIA™ V5 Paste is applied to the already primed tooth surface. In PANAVIA™ Veneer LC – a light-curing resin cement system that works with the same primers – the polymerisation accelerator in PANAVIA™ V5 Tooth Primer shows the same mechanism of action. It contributes to the polymerization of the adhesive interface, while PANAVIA™ Veneer LC Paste offers excellent ambient light stability and is polymerized by light curing. For example, this phenomenon was evaluated for PANAVIA™ F2.0, the predecessor of PANAVIA™ V5. The result of the study: PANAVIA™ F2.0 showed much better marginal sealing properties than other cement systems evaluated2. This documented secure sealing of the interface leads to a lower incidence of marginal leakage, to a very high polymerisation ratio even in the self-cure mode (without light curing or wherever the light is blocked by the restorative material) and hence to a particularly strong bond. An additional benefit arising from the incorporation of the polymerisation accelerator is its function as a strong reductant. It neutralizes sodium hypochlorite, which is commonly used as an irrigation solution during endodontic treatment, and thus eliminates its negative effect on the bond strength of the subsequently applied cement paste. A highly active polymerisation accelerator in PANAVIA™ V5 Tooth Primer promotes effective polymerisation of the cement at the adhesive interface. Simplifying glass-ceramic cementation Fewer bottles, fewer steps and streamlined cementation procedures: that is why self-adhesive resin cements have been developed and introduced in the early 2000s. Most of these products, however, have a limited indication range. They work well on zirconia, metal, enamel and dentin, but are either not recommended or need an extra silane primer for glass-ceramic bonding. The MDP-containing PANAVIA™ SA Cement Universal is different due to another proprietary technology from Kuraray Noritake Dental Inc.: the LCSi Monomer, a Long Carbon-chain Silane coupling agent. This monomer forms a strong chemical bond with resin composite, porcelain and silica-type ceramics (like lithium disilicate), so that the need for a separate silane component (a primer or adhesive) is eliminated. By leveraging the benefits of this technology, PANAVIA™ SA Cement Universal clearly sets itself apart from other self-adhesive resin cements as a true single-component cementation system even for restorations made of glass ceramics. If desired, the product’s bond strength to tooth structure can be increased by use of the popular universal adhesive CLEARFIL™ Universal Bond Quick featuring Rapid Bond Technology. This technology has been developed by Kuraray Noritake Dental Inc. to solve problems related to the slow penetration of tooth structure, especially wet dentin, typical for universal adhesives. In order to provide proper penetration, these adhesives need to be actively rubbed into the tooth structure for a long time or users have to wait for some time before light-curing the layer. Consisting of the Original MDP monomer combined with hydrophilic amide monomers, the proprietary Rapid Bond Technology provides for a high affinity to water leading to a rapid and deep penetration of wet dentin. As a consequence, application times are shortened and handling is simplified without negatively affecting the bonding performance. Conclusion Technologies developed by Kuraray Noritake Dental Inc. have strongly contributed to an improved bonding performance of adhesive cementation systems and a truly universal use of self-adhesive resin cements. As a consequence, the company offers a streamlined portfolio of high-performance resin cements for every user, for the typical clinical situations. Fewer components and fewer steps are necessary and procedures simplified – for fewer errors and aesthetic restorations that last. Apart from the technology-related benefits, the products mentioned offer many additional beneficial features. A detailed description is found online at kuraraynoritake.eu. References 1) Functional monomer impurity affects adhesive performance.; Yoshihara K, Nagaoka N, Okihara T, Kuroboshi M, Hayakawa S, Maruo Y, Nishigawa G, De Munck J, Yoshida Y, Van Meerbeek B. Dent Mater. 2015 Dec;31(12):1493-501.2) Touch-Cure Polymerization at the Composite Cement-Dentin Interface.; Yoshihara K, Nagaoka N, Benino Y, Nakamura A, Hara T, Maruo Y, Yoshida Y, Van Meerbeek B.J Dent Res. 2021 Aug;100(9):935-94. May 23, 2023
Adhesive cementation of a KATANA™ Zirconia HT 3-unit bridge with PANAVIA™ V5 Case by Dr. Shoji Kato of Takanawa Dental Office, Japan 1. After preparing the abutments An anterior bridge made of crown and bridge resin has become dislodged. The abutments are vital teeth. 2. Prosthesis A PFZ bridge with a frame fabricated using KATANA™ Zirconia HT12. 3. Application of Try-in Paste Evaluate the shade of the cement before cementation. 4. Try-in After checking the cement’s shade, rinse the prosthesis and tooth surface with water to remove Try-in Paste. 5. Pretreatment of the prosthesis (A) Sandblast the prosthesis (at 0.3 to 0.4 MPa), clean with an ultrasonic cleaner for 2 minutes, then dry. 6. Pretreatment of the prosthesis (B) Apply CLEARFIL™ CERAMIC PRIMER PLUS and blow dry with air. 7. Pretreatment of the abutments (C) Apply Tooth Primer, allow it to react for 20 seconds, then blow dry with air. 8. Application of Paste Use Universal. 9. Placement of the prosthesis After placement, remove excess cement using a piece of gauze, a small brush, etc. 10. Light-curing Light-cure the entire surface of the prosthesis, including the margins. 11. Final polymerization Make sure the prosthesis is left in place, unmoved, for 3 minutes. Nov 9, 2021
A new porcelain system for micro-layering Case by MDT Andreas Chatzimpatzakis and DDS Manousos Pissadakis ONE SOLUTION, MULTIPLE NEEDS COVERED The treatment of young patients with a dental condition that affects the appearance of multiple teeth – like enamel hypomineralisation or hyperplasia – is particularly challenging for the restorative team. Dental practitioners and technicians need to be aware of the fact that the condition often involves a life-long disease burden, which typically goes hand in hand with an immense treatment need and increasingly invasive measures required with advancing age. It is their task to make the situation as bearable as possible for patients by delivering treatment that is very well aligned to their specific aesthetic, functional and financial needs, both in the short and long term. Whenever all-ceramic restorations seem most appropriate, material and technique selection are particularly important: Protection of the affected teeth from extrinsic influences, the saving of sound tooth structure and the safeguarding of the long-term stability of the restorations are key to success. Depending on the aesthetic expectations of the patient, veneers made of zirconia or lithium disilicate, produced with a minimal vestibular cutback and finished using the micro-layering technique, are a great option. A prime example of an innovative porcelain system specifically developed for this technique is CERABIEN™ MiLai (Kuraray Noritake Dental Inc.). It includes a collection of internal stains and porcelains that fire at just 740 °C. With this low firing temperature and a coefficient of thermal expansion between 9.5~11.0×10-6/K (50 °C – 500 °C), this product is ideal for use with lithium disilicate and zirconia. In addition, it offers impressive aesthetic capabilities: Depending on the specific needs of each case, users can adjust the level of complexity and number of bakes. CASE EXAMPLE In the present case of a young female patient with hypomineralisation, it was decided to follow a straightforward approach to restore the maxillary teeth for the time being. For this purpose, we produced a wax-up and transferred it into the patient’s mouth in the form of a mock-up. Following guided tooth structure removal trough this mock-up, an impression was taken. The restorations were designed in full contour, pressed using lithium disilicate-based press ingots (Amber® Press LTW3, HASS Corp.) and cut back slightly in the vestibular area (reduction: 0.3 mm). The selected micro-layering system was applied according to the internal stain technique. The following CERABIEN™ MiLai Internal Stains were used: A little Red in the cervical, and Mamelon 2, Incisal Blue 1 and White in the incisal third. What followed was build-up with CERABIEN™ MiLai Porcelains Tx incisally and LTx proximally; some whitish lines were created with Value Liner 1. Then, I applied a mixture of E2 and ELT1 in the middle and LT1 in the cervical area. After the bake, the restorations were treated with green stones, sandpaper and rubber wheels to pre polish the surface. After glazing with CERABIEN™ ZR FC Paste Stain Clear Glaze, final polishing was carried out. The whole treatment procedure including tooth preparation, shade determination, veneer production and adhesive cementation is illustrated below. Fig. 1. Portrait of the patient prior to treatment. Fig. 2. Enamel defects in the maxilla and mandible. Fig. 3. Initial clinical situation in the maxilla with whitish-brown discolouration and composite restorations in need of replacement. Fig. 4. Mock-up in the patient’s mouth. Fig. 5. Labial reduction through the mock-up: The depth of tooth preparation is controlled by using a depth guide and by marking the created depth grooves with a colour marker. Fig. 6. Silicon index used to check the space created for the veneers. Fig. 7. Prepared teeth ready for impression taking and temporization. Fig. 8. Shade determination for the veneers. Fig. 9. Pressed lithium-disilicate restorations on the model. Fig. 10. Appearance of the restorations after internal staining. Fig. 11. Appearance of the teeth after build-up with CERABIEN™ MiLai Porcelain. Fig. 12. Final restorations on the model. Fig. 13. Adhesive cementation procedure carried out for two teeth at once: Isolated teeth and a perfectly dry working field. Fig. 14. Etching of the tooth structure with phosphoric etchant (K-ETCHANT Syringe, Kuraray Noritake Dental Inc.). Fig. 15. PANAVIA™ V5 Tooth Primer (Kuraray Noritake Dental Inc.) applied to the etched tooth surfaces. Fig. 16. Veneers – pre-treated with hydrofluoric acid and CLEARFIL™ Ceramic Primer Plus – filled with PANAVIA™ V5 Paste (Both from Kuraray Noritake Dental Inc.) and placed in the patient’s mouth. Fig. 17. Restorations after excess removal. Fig. 18. All eight restorations in place. Fig. 19. Treatment outcome after two weeks. Fig. 20. Portrait of the patient taken two weeks after treatment. CONCLUSION Repeated dental treatment, increasing invasiveness of the measures, often resulting in early tooth loss: To break the vicious cycle in young patients with enamel defects, it is important to carefully evaluate the treatment need and select the appropriate solutions. As dental technicians, we can contribute to long-term treatment success by using high quality materials and production techniques that allow us to create restorations that last. The presented material combination and the micro-layering technique are very well suited as they offer the required mechanical and optical properties for high aesthetics and durability. Plus, the risk of complications is low due to the high biocompatibility and the layer of porcelain limited to non-load-bearing areas. Dental technicians: ANDREAS CHATZIMPATZAKIS Andreas graduated from the Dental Technology Institute (TEI) of Athens in 1999. During his studies he followed a program at the Helsinki Polytechnic Department of Dental Technique, where he trained on implant superstructures and all ceramic prosthetic restorations. As of 2000, he is running the ACH Dental Laboratory in Athens, Greece, specialized on refractory veneers, zirconia and long span implant prosthesis. In 2017 Andreas visited Japan where he trained under the guidance of Hitoshi Aoshima, Naoto Yuasa and Kazunabu Yamanda and become International Trainer for Kuraray Noritake Dental Inc.. MANOUSOS PISSADAKIS Dr. Manousos Pissadakis is a graduate of the National Kapodistrian University Dental School, Athens, Greece. He completed the Master of Science curriculum in Prosthodontics at the School of Dentistry of the Aristotle University of Thessaloniki, Greece. He also holds the ITI Certificate in Implant Dentistry – Foundation and Intermediate Level (ITI Curriculum, ITI section Greece and Cyprus). He has presented at numerous prestigious international conferences, focusing on subjects such as aesthetics, implant dentistry and prosthodontics. Dec 9, 2025
Clinical case - Central incisor veneers with PANAVIA V5 By Irfan AbasDental implantologist & restorative dentist Irfan Abas is a specialist in the field of oral implantology & restorative dentistry and an international speaker on the subject. He has given more than 20 presentations, workshops and live surgery courses throughout the world. TP - a dutch dental magazine, of which he is also editor, has published multiple articles under his name. Another highlight is a publication in the NTvT, in collaboration with Prof. Gert Meijer (Radboud UMC), under whose supervision Abas successfully completed the four-year postdoctoral training Reconstructive Dentistry in 2014. He is also an instructor and lecturer for the AAIE and chair of MINEC Netherlands. Irfan Abas has his own practice in Bussum, the Netherlands (tandartsabas.nl). A healthy 42 year-old male patient requested reconstruction of his central incisors, which were badly worn. Pre-Treatment After producing the mock-up, grooves were prepared through the mock-up. To fit two lithium disilicate veneers, a preparation of 1 mm was required. After removing the mock-up, the preparation was perfected. Checking the space using a silicone mold. Definitive preparation (frontal) Temporary veneers made from temporary resin based material (Protemp) Spot-etching before bonding the temporary veneers in place. A small amount of flowable composite applied to the etched surfaces. Light curing the entire surface of the temporary veneers. Finished temporary veneers. The veneers constructed by the dental technician. Checking the fit of the veneers Rubber dam fitted to enable controlled adhesive cementation. Etching with 35% phosphoric acid K-Etchant Syringe for 10 seconds. Treatment with selfetching primer PANAVIA™ V5 Tooth Primer (left on for 20 sec.) Etching of the lithium disilicate veneers with hydrogen fluoride. Clearfil Ceramic Primer Plus MDP-silane primer applied to the veneers. Veneers secured to a placement instrument before definitive cementation PANAVIA V5 Paste applied to the inner surface of the veneer. PANAVIA V5 Paste spread over the veneer. Veneer fitted and excess removed. Light curing (minimum 10 sec.). Immediately after the adhesive cementation with PANAVIA V5. Immediately post-op. Immediately post-op. Two months post-op. One year post-op. One year post-op. Dec 16, 2019
PANAVIA V5 Professional Kit PANAVIA™ V5 Tooth Primer (2ml)CLEARFIL™ Ceramic Primer Plus (2ml)PANAVIA™ V5 Paste [one syringe per shade (2.4ml/4.2g): Universal (A2), Clear, Brown (A4), White, Opaque]PANAVIA™ V5 Try-in Paste [one syringe per shade (1.8ml): Universal (A2), Clear, Brown (A4), White, Opaque]K-Etchant Syringe (3ml)30 Mixing tips10 Endo tips (S)50 Applicator brushes (fine<silver>)1 Mixing dish (FPN)20 Needle tips (E) - + Add to Cart
PANAVIA V5 Paste 4.6ml/8.1g20 Mixing tips Universal (A2)ClearBrown (A4)WhiteOpaque Shade Choose an Option... - + Add to Cart
PANAVIA V5 Try-in Paste 1.8ml Universal (A2)ClearBrown (A4)WhiteOpaque Shade Choose an Option... - + Add to Cart
PANAVIA V5 Introductory Kit PANAVIA™ V5 Tooth Primer (2ml)CLEARFIL™ CERAMIC PRIMER PLUS (2ml)PANAVIA™ V5 Paste [one syringe per shade (2.4ml/4.2 g): Universal (A2), Clear]10 Mixing tips50 Applicator brushes (fine<silver>)1 Mixing dish (FPN) Shade Choose an Option... - + Add to Cart
PANAVIA V5 Standard Kit PANAVIA™ V5 Tooth Primer (2ml)CLEARFIL™ CERAMIC PRIMER PLUS (2ml)PANAVIA™ V5 Paste [one syringe per shade (4.6ml/8.1g): Universal (A2), Clear]K-ETCHANT Syringe (3ml)15 Mixing tips5 Endo tips (S)50 Applicator brushes (fine<silver>)Mixing dish (FPN)20 Needle tips (E) Shade Choose an Option... - + Add to Cart
CLEARFIL™ Universal Bond Quick 2 Unit Dose Standard Pack 50 Unit-Dose50 Applicator Brushes (Fine Silver) - + Add to Cart
CLEARFIL™ Universal Bond Quick 2 Unit Dose Trial 5 Unit-Dose (0.1ml) 5 Applicator Brushes - + Add to Cart