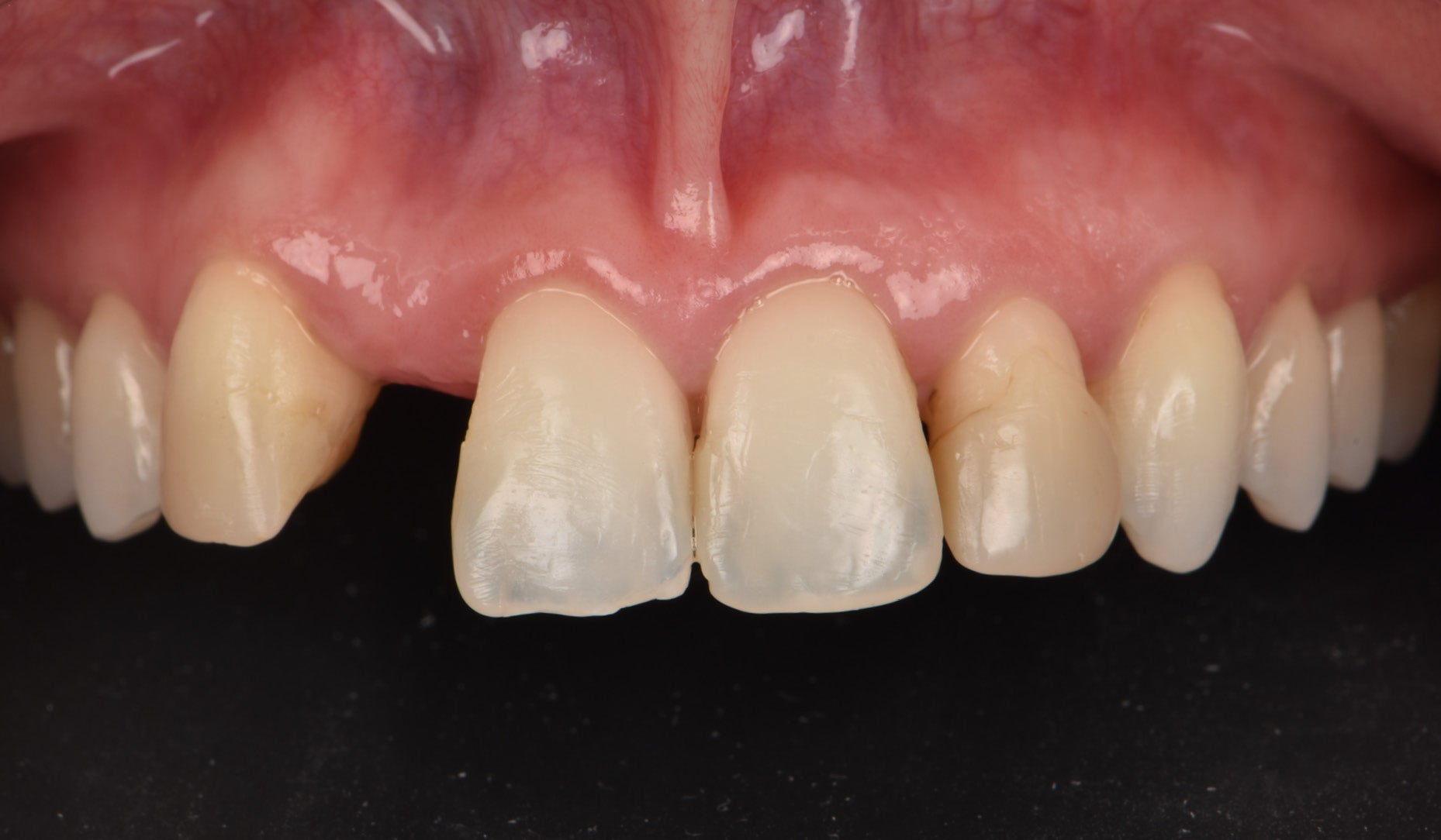
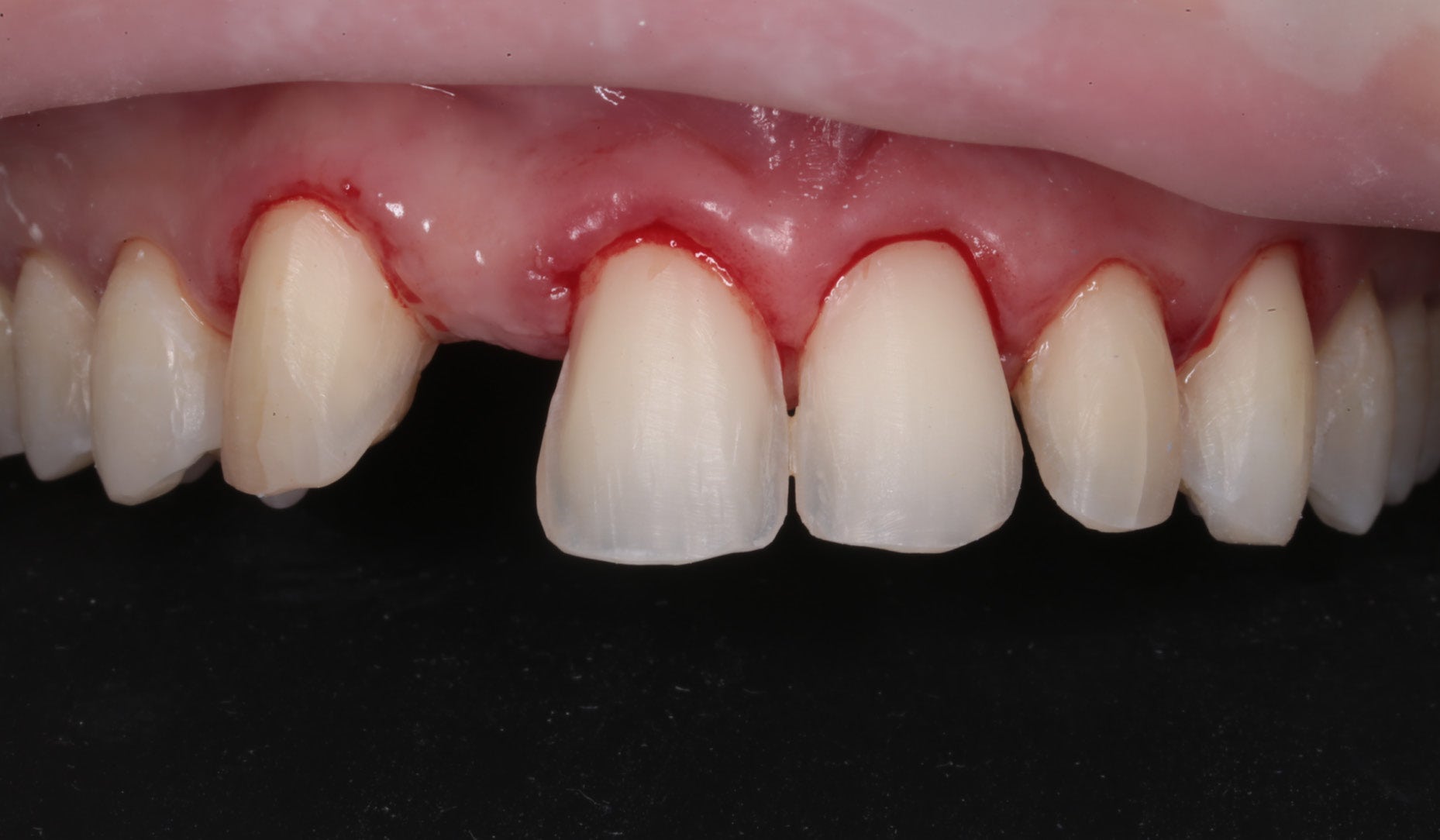
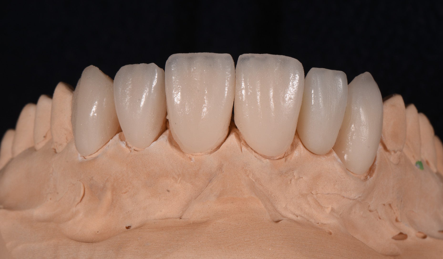
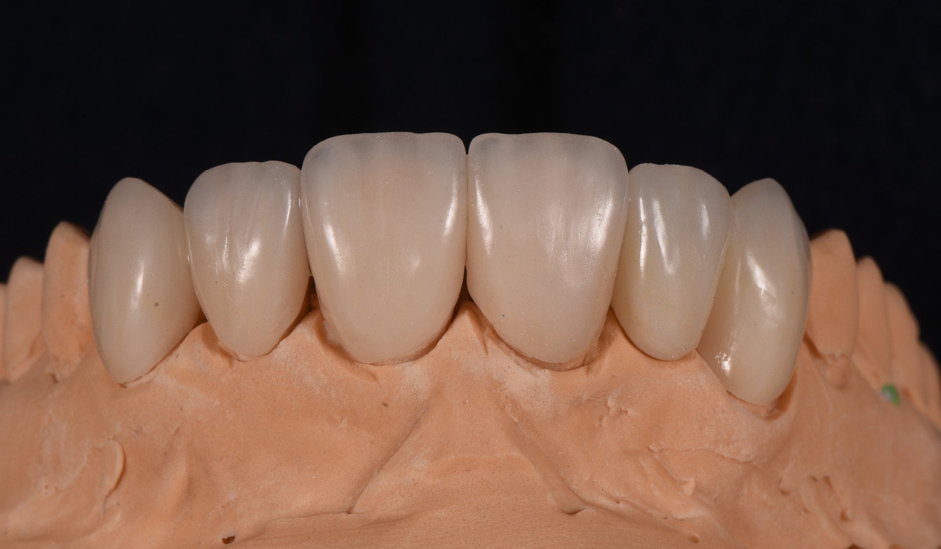
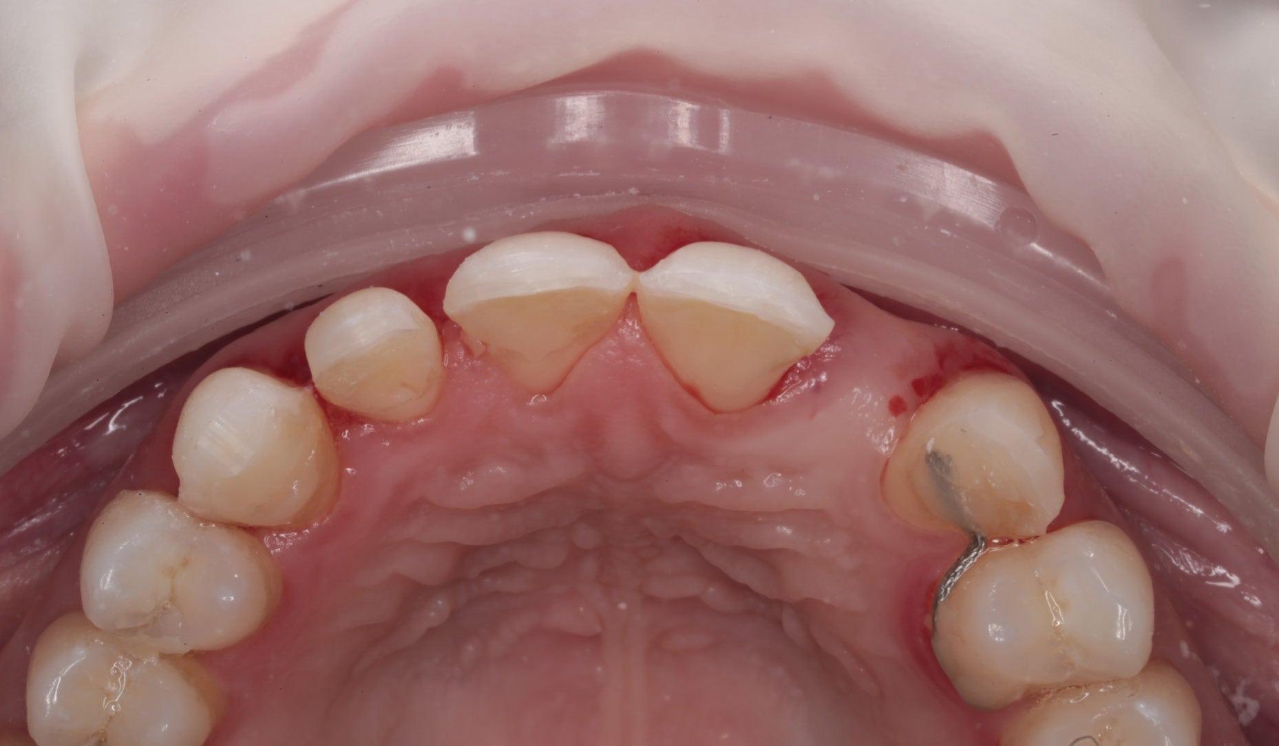
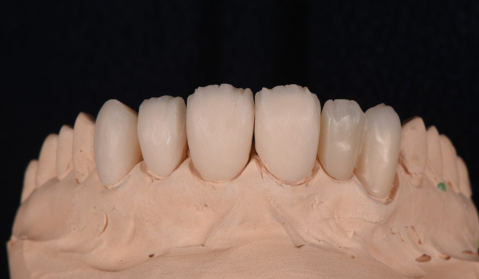
Clinical Cases, Labside Two high-strength ceramics, one micro-layering system Case by DT Andreas Chatzimpatzakis AESTHETIC AND EFFICIENT SMILE MAKEOVER Most patients asking for a smile makeover desire custom solutions rather than an off-the-peg smile: Individual tooth shapes that fit their face and their character, an internal play of colours that matches their age and natural dentition. Modern dental materials allow us to deliver what they demand in many situations – usually at a reasonable price. For a long time, however, we have been facing challenges when combining cosmetic and medically indicated treatment – e.g. a smile makeover including the rehabilitation of a missing lateral incisor. A straightforward solution – using lithium disilicate veneers alongside a zirconia cantilever bridge, both finished with their respective porcelain systems – would have been complicated by potential differences in the final appearance. With CERABIEN™ MiLai (Kuraray Noritake Dental Inc.), a set of internal stains and porcelains designed for micro-layering, the situation is different: Suitable for micro-layering on zirconia and lithium disilicate, it supports its user ideally in creating a harmonious smile even when the two framework materials are combined. A NEW CUSTOM SMILE The following patient case is a perfect example: A female patient with a missing lateral incisor, multiple visible composite restorations in the anterior region and an enamel fracture at her incisal edge desired a smile makeover. The selected materials were Amber Press LT (HASS), shade A1, for four veneers on the central incisors and the left lateral incisor and canine (teeth # 11, 21, 22 and 23 according to the FDI notation) and KATANA™ Zirconia YML (Kuraray Noritake Dental Inc.), shade A2, for the planned cantilever bridge on the maxillary right canine, replacing the missing lateral incisor (teeth # 12 and 13). Fig. 1. Female patient with a missing maxillary lateral incisor and multiple composite restorations in the anterior area – a smile makeover is desired. Fig. 2. Patient with mock-up. Fig. 3. Minimally invasive preparation through the mock-up, which takes into account the minimum space required for the planned materials and restorations. Fig. 4. Teeth prepared for the all-ceramic restorations. Fig. 5. Occlusal view of the maxillary teeth after tooth preparation. Fig. 6. Full-contour veneers and cantilever bridge on the model. Fig. 7. Restorations after a cutback limited to the vestibular and incisal area. Fig. 8. CERABIEN™ MiLai LT1 is applied to the middle and cervical area of the zirconia cantilever bridge. Fig. 9. CERABIEN™ MiLai Value Liner 2... Fig. 10. … and Value Liner 1 applied to the incisal area of the central and lateral incisor restorations. Fig. 11. CERABIEN™ MiLai porcelain Creamy Enamel mixed with Value Liner 2 (70/30) added to the middle and cervical areas of the four lithium disilicate restorations to increase and control the value. Fig. 12. ... while E2 is added to the incisal area of both canines. Fig. 13. Restorations covered by a layer of Tx ... Fig. 14. ... and LTx. Fig. 15. Appearance of the restorations after the first bake. Fig. 16. Adding translucency and opalescence to the cervical area with LT1 and brightness to the ridges with Creamy Enamel. Fig. 17. Completion of the enamel surface with a cover layer of LTx, which is responsible for a high translucency and opalescence. Fig. 18. Result of the second bake. Fig. 19. Final restorations with a natural self-glaze effect on the model. Fig. 20. Final restorations with a natural self-glaze effect in the patient’s mouth. Fig. 21. Smooth optical integration of the restorations. Fig. 22. Beautiful treatment outcome. CONCLUSION With the described approach and selected materials, it was possible to create restorations with a natural shade, shape and texture. They matched not only the appearance of the remaining natural teeth, but also showed internal consistency across the selected framework materials. The technical procedure was quite straightforward and efficient, while the result speaks for itself. Special thanks to Dr. Kanellos Ioannis for the collaboration on this case and for kindly providing the pre- and post-treatment photographs that complemented it. Dental technician: ANDREAS CHATZIMPATZAKIS Based in Athens, Greece, Andreas Chatzimpatzakis is the founder and director of ACH Dental Laboratory (since 2000), specializing in refractory veneers, lithium disilicate, zirconia, and implant prostheses. He graduated in Dental Technology from the University of West Attica and received advanced training in all-ceramic restorations in Helsinki and Japan under renowned masters including Shigeo Kataoka. Since 2017, he has served as an international trainer for Kuraray–Noritake Dental Inc., delivering lectures and hands-on courses worldwide on advanced ceramic techniques. He has also held roles as Key Opinion Leader for MPF Brush Co., Ambassador for Hass Co., and Editor-in-Chief of Laborama. An active member of the Hellenic Academy of Aesthetic Dentistry, his work and articles have been published in both Greek and international journals. Jan 21, 2026 Dental Technician Kuraray Noritake Prosthodontics Clinical Case Katana Zirconia YML CERABIEN MiLai Prosthetic dentistry Lab Dental Ceramics Cad Cam Discs KATANA Zirconia YML View Product CERABIEN MiLai View Product Subscribe to our Newsletter Join thousands of dental professionals and receive free advice that can help you and your career. We will not spam or share your e-mail.