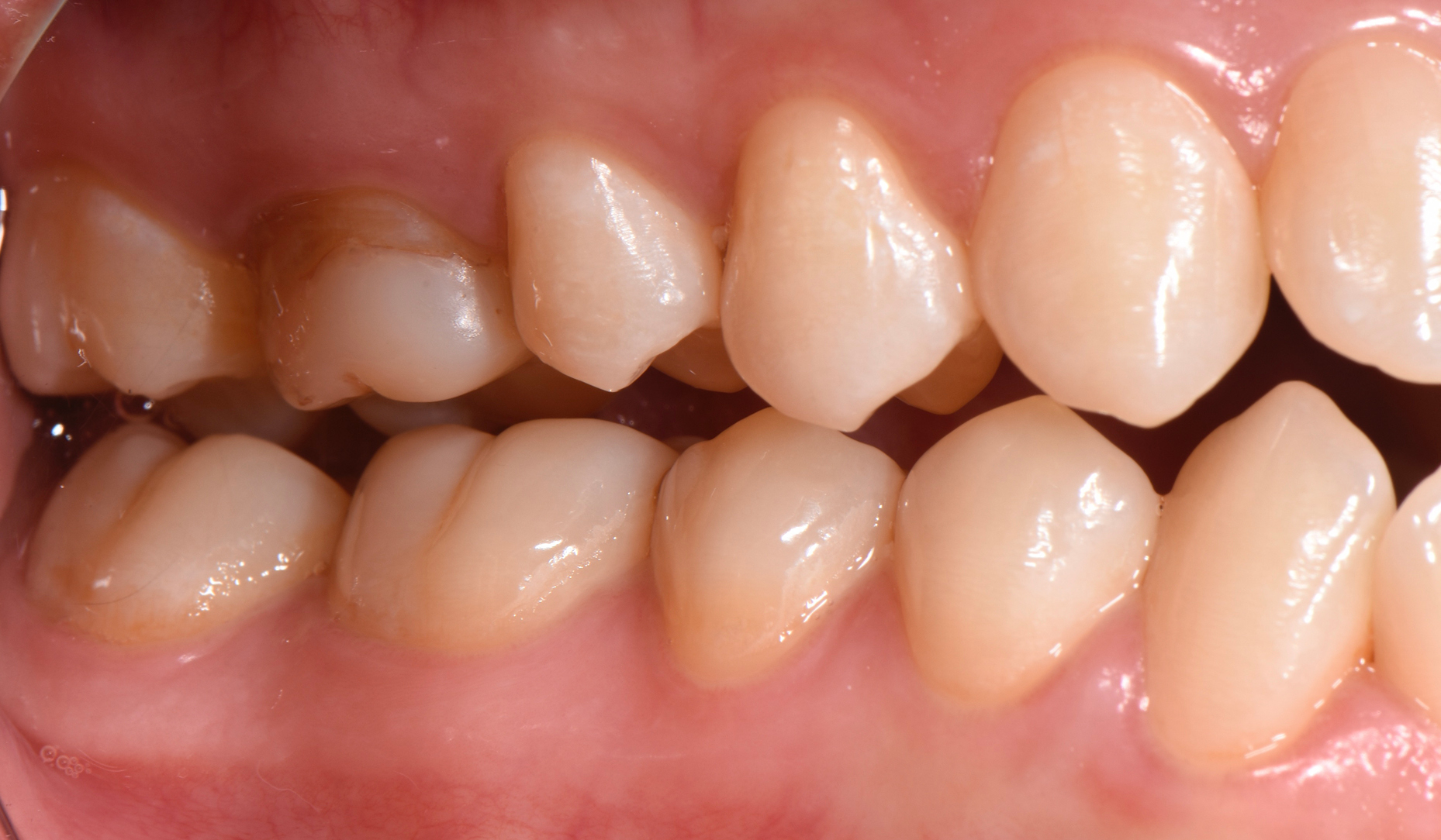
Clinical Cases, Chairside A biomimetic approach to post-endodontic restorative treatment Case by Jotautas Kaktys, DDS Post-endodontic restorative treatments can be quite challenging, mainly because so many decisions need to be made. It is up to the clinician to evaluate the structural condition of the tooth to decide whether a direct or indirect restoration should be selected, which cusps to overlay and which ones to keep, and whether a post or fiber placement is required. Depending on the amount and condition of remaining tooth structure, a direct or indirect restorative approach may be more adequate; while selecting the indirect approach means they have the choice between lots of different restorative materials and restoration designs. A CASE AS AN EXAMPLE At our &SMILE clinic in Kaunas, Lithuania, the main goal is always to preserve as much natural tooth structure as possible without compromising the longevity of the restoration. Consequently, we opt for the least invasive approach reasonable, thereby using materials that mimic the mechanical and optical properties of the natural dentition. In this context, hybrid ceramics such as KATANA™ AVENCIA™ Block 2 are often a valuable choice. The following case is used as an example to demonstrate the biomimetic approach in a situation that required an endodontic revision followed by an indirect restoration of the tooth that had previously been restored with composite. STRUCTURALLY COMPROMISED MOLAR RESTORATION The patient came in for a regular routine checkup. A massive composite restoration on her maxillary right first molar (FDI notation: tooth #16) attracted our attention as it appeared to be structurally compromised: Clinical examination revealed some occlusal porosities along the restoration margin, as well as cracked and chipped areas (Fig. 1). The buccal margin was stained and leaky (Fig. 2), while on the palatal surface, some micro-cracks were visible in the surrounding tooth structure (Fig. 3). Fig. 1. Initial clinical situation with a large composite restoration that shows porosities at the margin. Fig. 2. Buccal surface of the first molar with a stained, leaky margin. Fig. 3. Palatal surface with micro-cracked tooth structure. As the tooth had been endodontically treated elsewhere several years ago, a radiograph was taken (Fig. 4). This radiograph revealed that the canals were not filled to the apices of the roots. However, as the patient showed no symptoms, the decision was made to go for an indirect restoration without any endodontic retreatment: Reasons to opt for an indirect restoration included the large size of the existing composite restoration and the compromised condition of the surrounding tooth structure. Cementing indirect restorations offers additional benefits of virtually no polymerization shrinkage as well as minimal stress to the remaining and already compromised tooth structure and results in better mechanical properties. The tooth shade was determined immediately: The adjacent premolar had a tooth shade resembling A3 in the middle third, while the occlusal third showed some whitish spots and appeared brighter, similar to A2 (Fig. 5). This information was recorded for the dental laboratory. Would you like to continue reading as a PDF? Please leave your email address below. Apr 23, 2026 Resin Cement Kuraray Noritake Clinical Case Clearfil Ceramic Primer plus Clearfil SE Protect Restorative Dentistry Clearfil Majesty Es-2 Flow Panavia Veneer LC Pre-Treatment Esthetic Cosmetic Chair Composite Resin Dental Adhesive Clearfil AP-X Cad Cam Block Clearfil Universal Bond Quick 2 Katana Avencia Block 2 CLEARFIL SE Protect View Product CLEARFIL MAJESTY ES Flow View Product CLEARFIL AP-X View Product CLEARFIL CERAMIC PRIMER PLUS View Product TWIST DIA for Composite View Product PANAVIA Veneer LC View Product CLEARFIL Universal Bond Quick 2 View Product KATANA AVENCIA Block 2 View Product Subscribe to our Newsletter Join thousands of dental professionals and receive free advice that can help you and your career. We will not spam or share your e-mail.