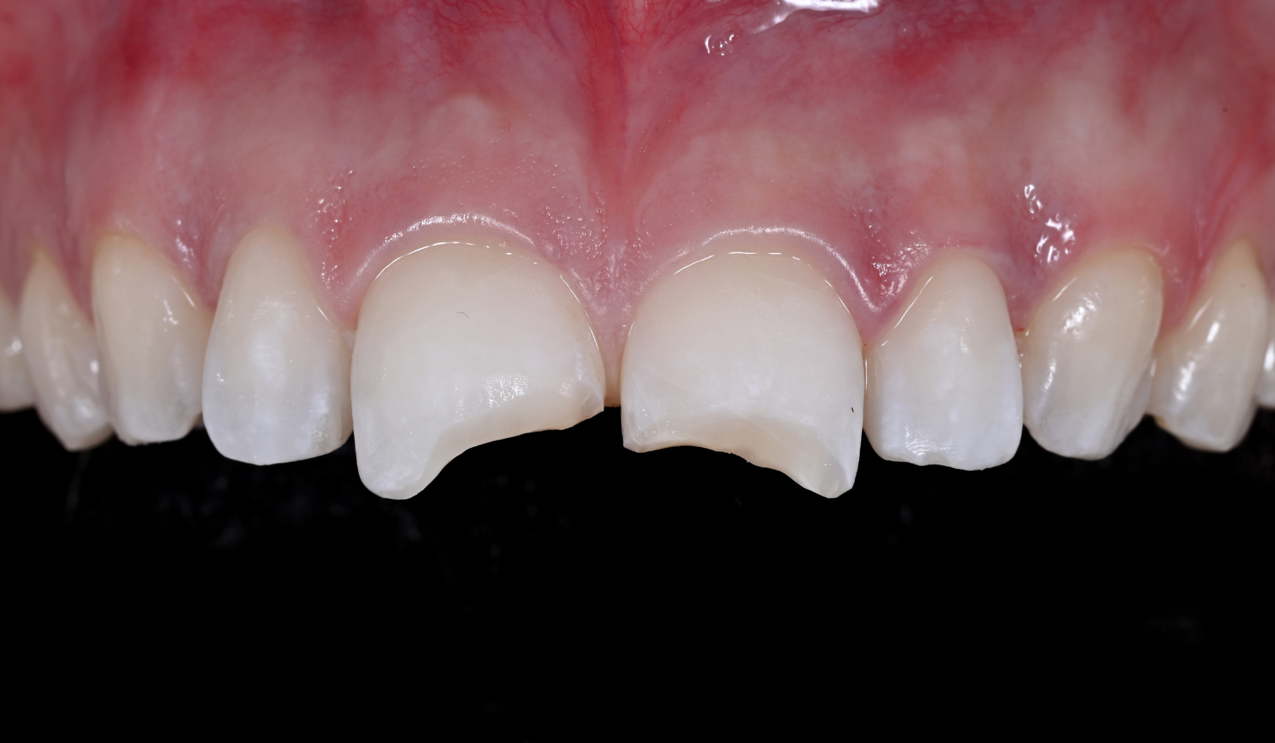
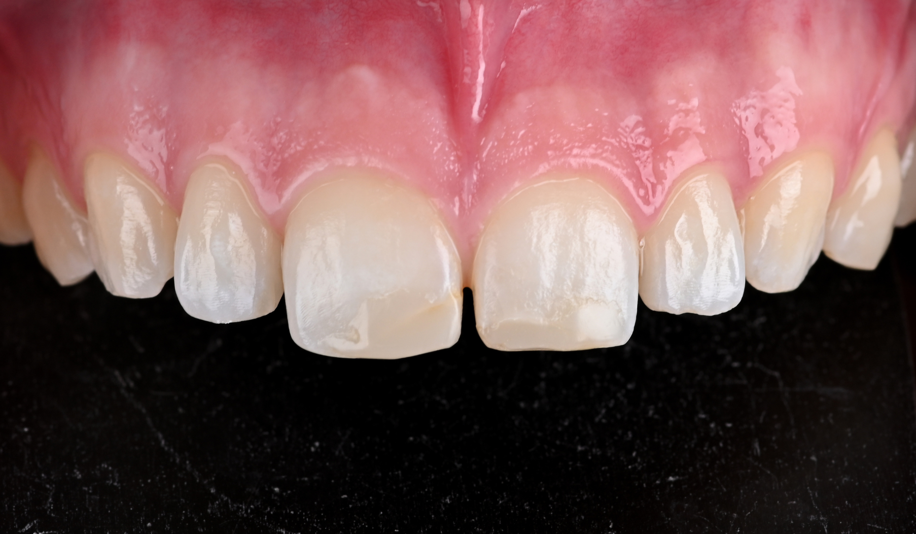
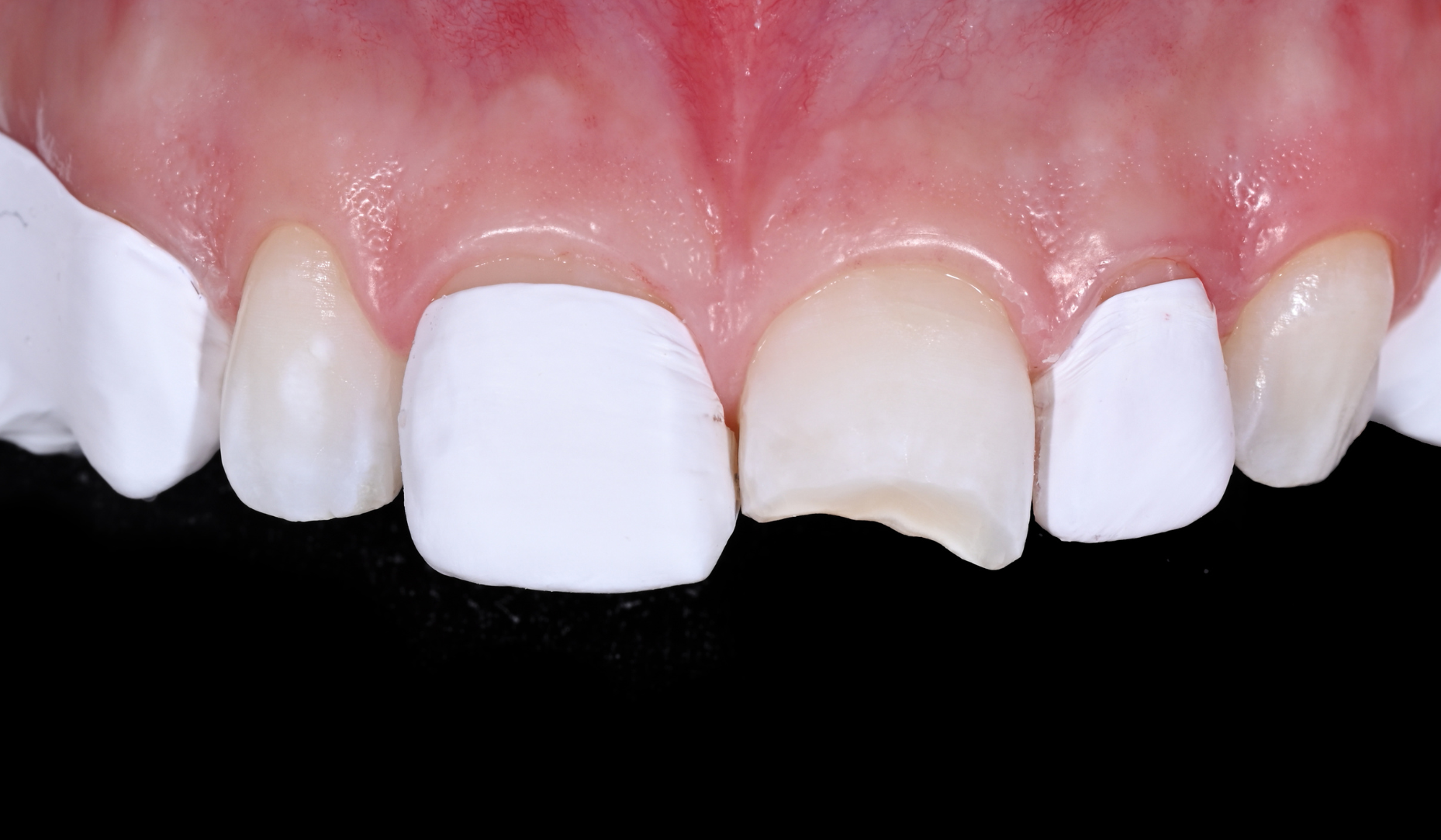
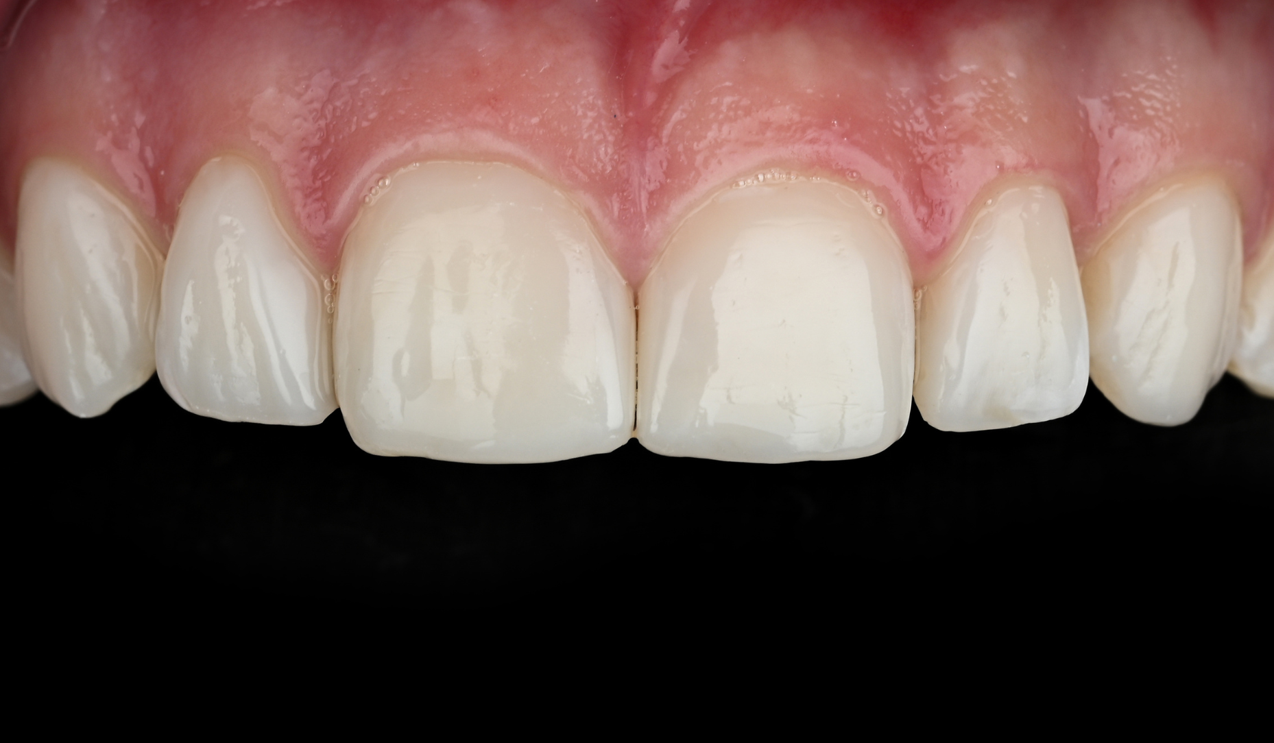
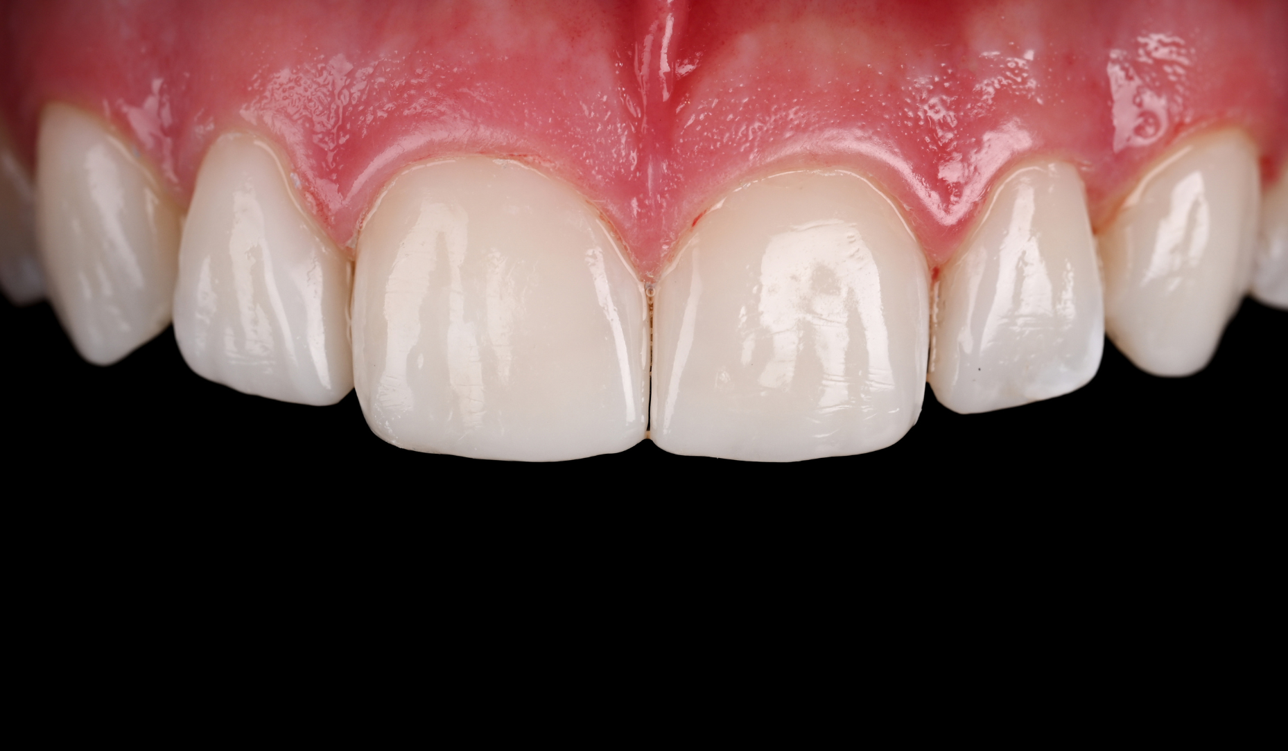
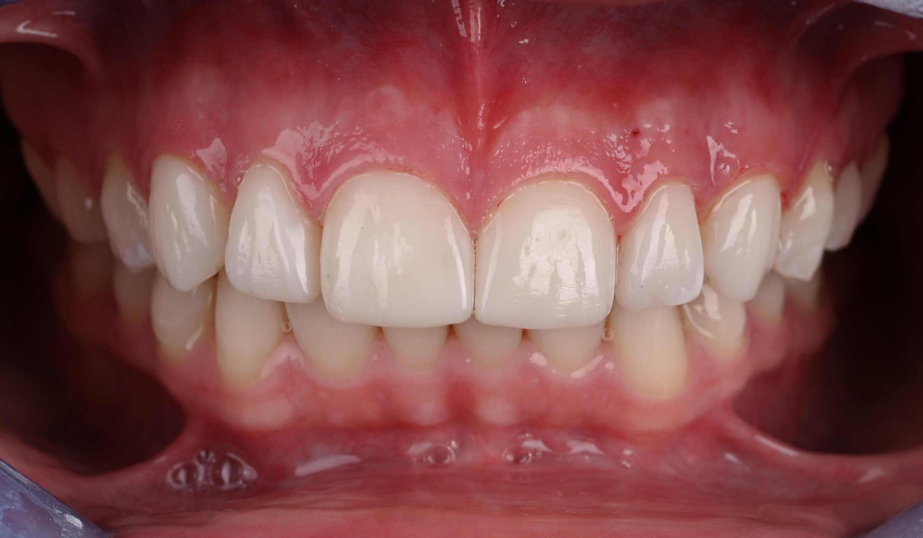
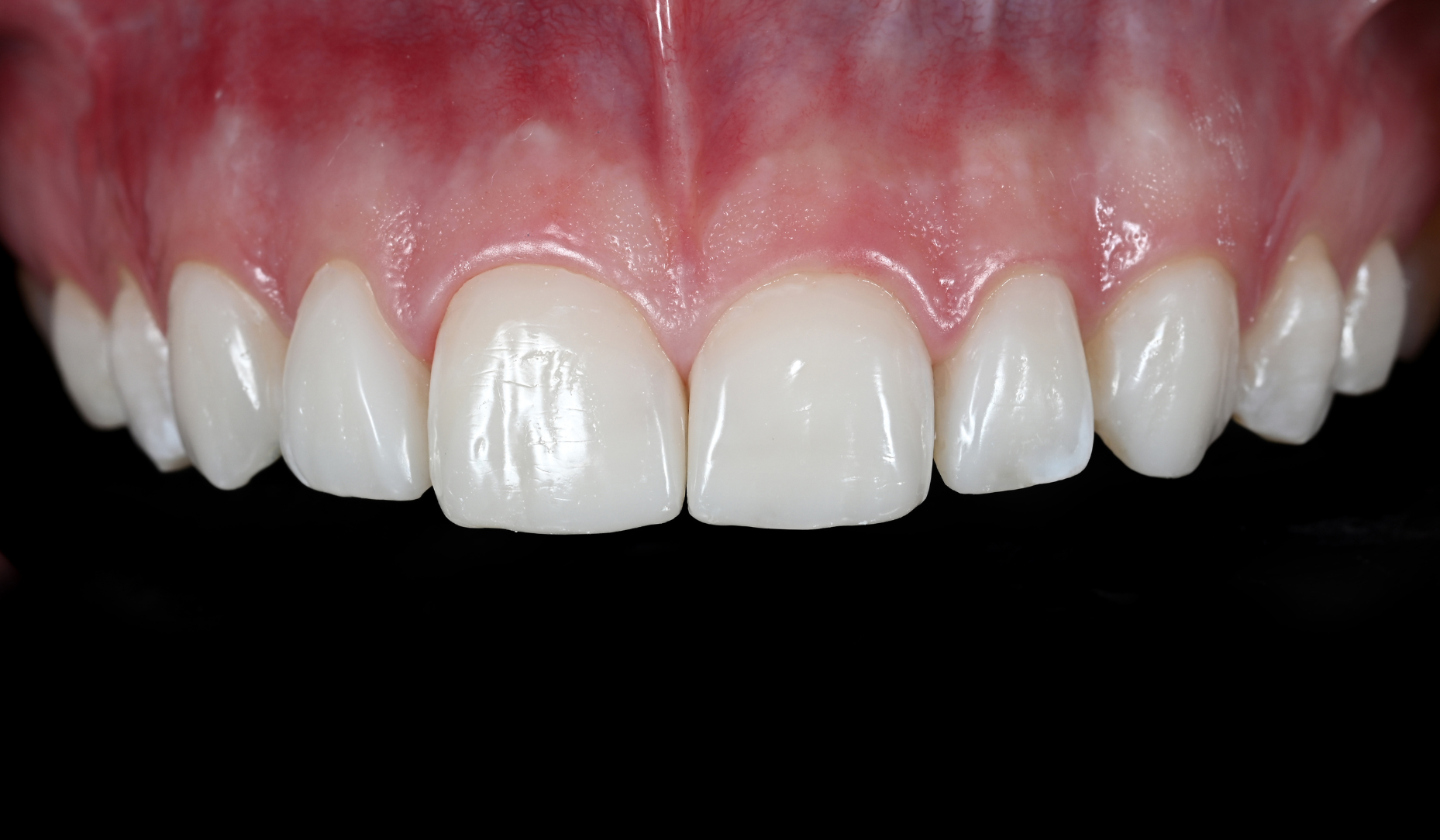
Minimally invasive dentistry and digital workflow: Clinical application of the Flowable Injection Technique Clinical case by Dr. Claudia Mazzitelli and Dr. Edoardo Mancuso INTRODUCTION Dental aesthetics are gaining increasing importance and require predictable, rapid, and affordable treatments. Minimally invasive dentistry favours direct restorations, which are now simplified by the evolution of flowable composites. Recent variants of flowable composites offer optical and mechanical characteristics equal or superior to those of paste-type composites. The evolution of flowable resins has led to widespread application using the flowable injection technique (FIT). In addition, the possibility of 3D printing an index for injection reduces operator-dependent variability, providing for high-level aesthetics. CLINICAL CASE A 24-year-old patient complained of an unattractive smile. After clinical and radiographic examinations, an aesthetic restoration using FIT was planned. A digital wax-up, created on the basis of intraoral scans (Trios 5, 3Shape), allowed for the design of a customised index or template, which was printed using transparent resin (IBT Flex Resin, Formlabs). After preparation and isolation, the teeth were sandblasted, etched, and a universal adhesive (CLEARFIL™ Universal Bond Quick 2) was applied and light-cured. Flowable composite (CLEARFIL MAJESTY™ ES Flow Low) was injected through the injection holes in the index, followed by thorough curing, finishing and polishing (TWIST™ DIA for Composite, all Kuraray Noritake Dental Inc.). RESULTS The treatment, completed in two hours, led to immediate and stable aesthetic improvement, confirmed during check-ups after one week and six months, with excellent gum health and restoration maintenance. DISCUSSION FIT offers predictable aesthetic results, a digital workflow option, and reduced clinical time compared to indirect restorations, while maintaining the possibility of future prosthetic treatments. The evolution of flowable composites and 3D-printed indexes has improved the accuracy of clinical transfer and reproducibility, allowing for rapid, conservative aesthetic solutions. CLINICAL CASE A 24-year-old male patient presented at our practice dissatisfied with the aesthetics of his smile, with an impact on his spontaneity and social life. After taking his medical and dental history, an interview was conducted to understand his aesthetic and functional expectations as well as financial possibilities. The clinical visual examination, accompanied by photographs, static and dynamic videos, periodontal analysis, and radiographs, revealed incongruous Class IV restorations on teeth 11 and 21 (FDI notation), with asymmetry of the anterior maxillary region (Fig. 1). Aesthetic rehabilitation using the Flowable Injection Technique (FIT) extended to the six maxillary anterior teeth was therefore proposed. Fig. 1. Initial clinical situation. TREATMENT PLANNING An intraoral scanner (Trios 5, 3Shape) was used for impression taking. The resulting digital model was used to create a digital wax-up, which then served as the basis for digitally designing an index for the injection of the flowable composite (Fig. 2). The index was printed in transparent resin (IBT Flex Resin, Formlabs) (Fig. 3). Once post-processing was complete, calibrated injection holes were integrated. They allow for insertion of the syringe tip and precise injection of the flowable composite (Fig. 4). Fig. 2. Computer-aided index design. Fig. 3. 3D-printed transparent index for composite injection. Fig. 4. Injection holes integrated in the incisal areas of the index. OPERATIVE PROCEDURE After obtaining informed consent from the patient, the old restorations on the maxillary central incisors were removed with diamond burs under irrigation. The margins were finished and bevelled (Fig. 5). The index was positioned on the upper arch and evaluated for stability and retention. To produce the restorations alternately, PTFE tape (0.076 mm) was applied to isolate the adjacent teeth. The surfaces of the teeth to be restored were sandblasted with aluminium oxide (50 µm), etched with 37 % orthophosphoric acid etchant for 15 seconds, rinsed, and dried (Fig. 6). Fig. 5. Maxillary central incisors after restoration removal and bevelling of the margins. Fig. 6. Etching of the tooth surfaces with orthophosphoric acid etchant. A universal adhesive (CLEARFIL™ Universal Bond Quick 2, Kuraray Noritake Dental Inc.) was then applied (Fig. 7) and polymerized with an LED curing light (SmartLite® Pro, Dentsply Sirona) for 10 seconds per tooth (Fig. 8). A flowable composite (CLEARFIL MAJESTY™ ES Flow Low, colour W, Kuraray Noritake Dental Inc.) was injected through the holes until the index of the first prepared tooth was filled (Fig. 9). After light-curing for 40 seconds per tooth through the transparent index, the template was removed and the restoration was light-cured for a second time. Excess composite was then removed with a scaler. Fig. 7. Application of a universal adhesive. Fig. 8. Light-curing of the adhesive layer. Fig. 9. Flowable composite injection. The same procedure was subsequently repeated for the other teeth to be treated, isolating those already restored using PTFE tape (Figs. 10 to 15). Fig. 10. Restored teeth isolated with PTFE tape. Fig. 11. Etching of the tooth structure with 37 % orthophosphoric acid etchant. Fig. 12. Application of the universal adhesive. Fig. 13. Light-curing of the adhesive layer. Fig. 14. Injection of the flowable composite into the index. Fig. 15. Light-curing of the flowable composite through the transparent index. Once the index was removed and excess material was eliminated. Then, the teeth were isolated with rubber dam using the split dam technique to improve patient comfort and visibility, and the restorations were finished with fine-grained diamond burs. Finally, progressive polishing was performed with polishing discs (TWIST™ DIA for Composite, Kuraray Noritake Dental Inc.) (Figs. 16 and 17). Fig. 16. Polishing of the restorations with the pre-polisher. Fig. 17. Final polishing with the high-gloss polisher. CLINICAL RESULTS Once the restorations were completed (Figs. 18 and 19) and the occlusal and dynamic contacts were checked, the patient expressed immediate satisfaction. This was confirmed at the one-week follow-up (Fig. 20). The rehabilitation took a total of two hours, including photographic documentation. This represents a rapid, minimally invasive and cost-effective treatment compared to indirect restorations. Fig. 18. Treatment outcome. Fig. 19. Detailed view of the freshly restored teeth. Fig. 20. Post-operative photograph taken after one week. The six-month check-up (Figs. 21 and 22) not only confirmed the survival of the restorations but also showed excellent gingival health, demonstrating the correctness of the emergence profile and the high polishability of the cervical margins obtained with this restorative technique. Fig. 21. Restorations at the six-month recall. Fig. 22. Optical integration of the new restorations into the overall picture. DISCUSSION The Flowable Injection Technique is now a valid alternative in the field of direct restoration, as it combines operational simplicity with predictable aesthetic results. The main advantage lies in the reduction of variability linked to the operator's manual skills, thanks to the guiding role of the index, which allows the digital design or initial wax-up to be transferred with high accuracy. The aesthetic outcome is therefore highly controllable, while the clinical approach complies with the principles of minimally invasive dentistry. Added to this is the efficiency of the method, which allows for shorter operating times and lower costs compared to rehabilitation with indirect restorations. At the same time, it maintains the possibility of a subsequent transition to more complex prosthetic solutions. A key enabler of this approach is the evolution of flowable composites. The latest generation has overcome the historical limitations of fragility and wear, offering mechanical and optical characteristics comparable to, if not superior to, paste-type composite materials. This progress has made it possible to use flowable materials not only as a complementary support, but as the real protagonist of a restorative technique that aims to simplify clinical work and improve the predictability of results. Furthermore, the development of 3D printing applied to the production of transparent indexes has introduced a further leap in quality. The digital workflow makes it possible to reduce manufacturing times, standardize procedures, achieve high reproducibility, and design customized templates based on intraoral scans. The accuracy of clinical transfer is thus significantly increased, with a positive impact on the quality and stability of the final restoration. The synergy between high-performance flowable resins and 3D-printed digital index therefore offers clinicians the option of offering patients aesthetic solutions that are rapid, accessible, and at the same time adhere to the principles of modern conservative dentistry. CONCLUSION The Flowable Injection Technique, supported by the latest generation of flowable composites and the potential of 3D printing, represents a modern and effective restorative strategy. The clinical case presented highlights how it is possible to offer patients a satisfactory, rapid, and conservative aesthetic treatment, while keeping open the option of a future transition to indirect restorations. By combining innovative materials and digital technologies, this technique marks a step forward towards increasingly predictable, accessible, and patient-centred cosmetic dentistry. Dental technicians: CLAUDIA MAZZITELLI Scientific director of the Dental Biomaterials Laboratory. Clinical tutor for the International Master's Degree in Conservative Dentistry and Aesthetic Prosthetics, head of teaching activities for the Degree Course in Dental Hygiene at the University of Bologna. Speaker at numerous national and international conferences and author of scientific publications in high-impact indexed journals. EDOARDO MANCUSO Expert in conservative and prosthetic dentistry with a minimally invasive approach. Collaborates with international research groups on adhesive techniques and minimally invasive preparations. Practices as a freelancer in Bologna. Speaker and author of scientific papers presented at national and international conferences, publishes articles in leading scientific journals. References Terry DA, Powers JM. A predictable resin composite injection technique, Part I. Dent Today. 2014 Apr;33(4):96, 98-101. Checchi V, Generali L, Corciolani L, Breschi L, Mazzitelli C, Maravic T. Wear and roughness analysis of two highly filled flowable composites. Odontology. 2025 Apr;113(2):724-733. doi: 10.1007/s10266-024-01013-0. Liaropoulou YM, Jiménez AK, Chierico F, Blatz MB. The Multilayer Flowable Injection Technique for Highly Esthetic Restorations. J Esthet Restor Dent. 2025 Jun 27. doi: 10.1111/jerd.13500. Watanabe K, Tanaka E, Kamoi K, Tichy A, Shiba T, Yonerakura K, Nakajima M, Han R, Hosaka K. A dual composite resin injection molding technique with 3D-printed flexible indices for biomimetic replacement of a missing mandibular lateral incisor. J Prosthodont Res. 2024 Oct 16;68(4):667-671. doi: 10.2186/jpr.JPR_D_23_00239. Shui Y, Wu J, Luo T, Sun M, Yu H. Three dimensionally printed template with an interproximal isolation design guide consecutive closure of multiple diastema with injectable resin composite. J Esthet Restor Dent. 2024 Oct;36(10):1381-1387. doi: 10.1111/jerd.13268. Hulac S, Kois JC. Managing the transition to a complex full mouth rehabilitation utilizing injectable composite. J Esthet Restor Dent. 2023 Jul;35(5):796-802. doi: 10.1111/jerd.13065. Lawson NC, Greene Z, Machado N, Tadros D, Robles A, Rocha M. Resin Composite Depth of Cure Through Transparent Matrix Materials Used for Injection Molding. Oper Dent. 2025 Mar 1;50(2):185-193. doi: 10.2341/24-100-L. 15 apr. 2026 Kuraray Noritake Clinical Case aesthetic Restorative Dentistry Clearfil Majesty Es-2 Flow Cosmetic Chair Composite Resin Dental Adhesive Clearfil Universal Bond Quick 2 CLEARFIL MAJESTY ES Flow Visa produkt TWIST DIA for Composite Visa produkt CLEARFIL Universal Bond Quick 2 Visa produkt Anmäl dig för nyheter Gå med tusentals tandläkare och få gratis råd som kan hjälpa dig och din karriär. Vi kommer inte skräppost eller dela din e-post.