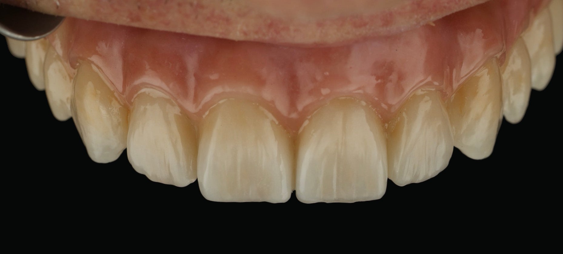
Micro-layering: a great concept for zirconia-based screw-retained implant-supported prostheses Case by Andreas Chatzimpatzakis For zirconia-based screw-retained implant-supported prostheses, diverse finishing concepts are available. Most of them are quite complex and time-consuming. A streamlined approach that brings efficiency into the finishing procedure without compromising aesthetics and function is micro-layering with CERABIEN™ MiLai (Kuraray Noritake Dental Inc.) on a zirconia superstructure with just a slight vestibular cutback. A possible technical procedure is demonstrated using the following case example. The patient was treated by prosthodontist Dr. Georgios Siavikis from Ioannina, Greece. Fig. 1. Occlusal view of an implant-supported overdenture made of KATANA™ Zirconia HTML PLUS (Kuraray Noritake Dental Inc.) for a male patient with an edentulous maxilla and a removable partial denture in the mandible. Fig. 2. Frontal view of the milled and sintered screw-retained implant-supported prosthesis. Fig. 3. Appearance after the application of CERABIEN™ MiLai SS Fluoro and internal stains to enhance the natural shading of the restoration in the tooth and gum areas. Fig. 4. Result of micro-layering with CERABIEN™ MiLai porcelains LT1 for the cervical as well as E2 and TX for the middle and incisal sections for a seamless gradient in translucency. For an optimal gingival harmony and match with the surrounding tissue, the tissue shades 1, 5 and 6 were applied. Fig. 5. The restoration after finishing. Fig. 6. The gingiva and tooth areas have a natural appearance … Fig. 7. … due to a natural colour, translucency and surface texture. Fig. 8. Intraoral harmony. PREDICTABLE OUTCOMES In this case, the use of an aesthetic, high-strength multi-layered zirconia was a true enabler of a streamlined finishing technique. As a convinced and frequent user of CERABIEN™ ZR, micro-layering with CERABIEN™ MiLai appeared to work flawlessly right from the start. The systems are perfectly aligned to each other, and as they are both based on synthetic feldspathic technology, they offer consistent material properties. These provide precise control over the layering and shading, thus supporting a highly aesthetic and well-integrated implant restoration. Dental technician: ANDREAS CHATZIMPATZAKIS Andreas graduated from the Dental Technology Institute (TEI) of Athens in 1999. During his studies he followed a program at the Helsinki Polytechnic Department of Dental Technique, where he trained on implant superstructures and all ceramic prosthetic restorations. As of 2000, he is running the ACH Dental Laboratory in Athens, Greece, specialized on refractory veneers, zirconia and long span implant prosthesis. In 2017 Andreas visited Japan where he trained under the guidance of Hitoshi Aoshima, Naoto Yuasa and Kazunabu Yamanda and become International Trainer for Kuraray Noritake Dental Inc.. 23 dec 2025 Dental Technician Kuraray Noritake Prosthodontics Clinical Case CZR Katana Zirconia HTML Plus CERABIEN MiLai Prosthetic dentistry Lab Dental Ceramics Cad Cam Discs CERABIEN ZR View Product KATANA Zirconia HTML PLUS View Product CERABIEN MiLai View Product Abonneer u op onze nieuwsbrief Sluit u aan bij duizenden tandheelkundige professionals en ontvang gratis advies dat u en uw carrière kan helpen. We zullen uw e-mailadres niet spammen of delen.