Mastering Aesthetics
MASTERING AESTHETICS
MET COMPOSIET
Een 2-daagse masterclass met
Algimantė Lošytė-Jančė en Christoffer Bjelland
Vrijdag 2 en zaterdag 3 oktober
Van der Valk Amsterdam Amstel
Op vrijdag krijg je via lezingen en demo's meer inzicht in de filosofie achter moderne esthetische tandheelkunde, leer je de principes van voornamelijk anterieure maar ook posterieure layering en ontdek je hoe je natuurlijke optische effecten met meer voorspelbaarheid kunt (re)creëren.
Op zaterdag gaat het leren verder. Je werkt hands-on in kleine groepen, onder begeleiding van de betreffende docent. Hierdoor kun je de theorie direct in de praktijk brengen.
Deze cursus brengt twee complementaire perspectieven samen: de gestructureerde, praktische aanpak van Christoffer Bjelland voor esthetische layering en posterieure opbouw, en de geavanceerde focus van Algimantė Lošytė-Jančė op natuurlijke lichteffecten, optische layering en verfijnde anterieure esthetiek.
Wat kun je verwachten;
Filosofie van moderne esthetische tandheelkunde
Anterieure en posterieure composiet layeringstrategieën
Inzicht in glazuur, dentine en lichtgedrag
Reproduceren van natuurlijke optische effecten (inclusief het halo-effect)
Hands-on trainingsoptie in kleine groepen (max. 15 deelnemers)
Leerdoelen
Na de lezing kun je:
Moderne esthetische principes en behandelplanning begrijpen
De rol van anatomie en licht in natuurlijke restauraties herkennen
Belangrijke layeringconcepten toepassen voor anterieure en posterieure composieten
Geavanceerde kenmerken analyseren zoals incisale translucentie en het halo-effect
Na de hands-on sessie, kun je:
Gestructureerde anterieure layering met meer vertrouwen uitvoeren
Geavanceerde layeringtechnieken toepassen om natuurlijke esthetiek te verbeteren
Meer controle krijgen over vorm, contour en interne effecten
Voorspelbaarder en efficiënter werken in de dagelijkse praktijk
Over het evenement
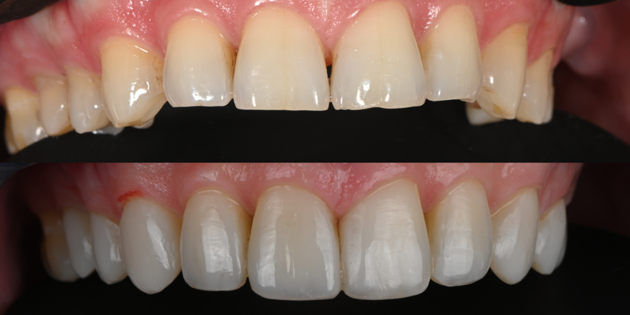
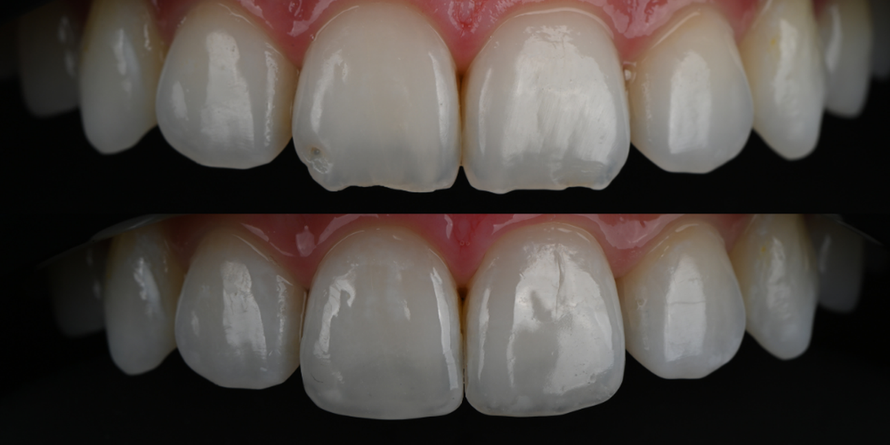
In esthetische composiet tandheelkunde zijn vorm en kleur basisfactoren. Om de natuur zo nauwkeurig mogelijk te reproduceren is er meer nodig. Een grondige kennis van anatomie, materiaalkeuze, translucentie versus opaciteit en layering is essentieel. In de masterclass Mastering Aesthetics begeleiden Christoffer Bjelland en Algimantė Lošytė-Jančė je bij het optimaliseren van je dagelijkse esthetische tandheelkunde. Niet alleen theorie, maar gevuld met voorbeelden die je de volgende dag daadwerkelijk in de praktijk kunt toepassen
Op vrijdag krijg je via lezingen en demo's meer inzicht in de filosofie achter moderne esthetische tandheelkunde, leer je de principes van voornamelijk anterieure maar ook posterieure layering en ontdek je hoe je natuurlijke optische effecten met meer voorspelbaarheid kunt (re)creëren.
Op zaterdag gaat het leren verder. Je werkt hands-on in kleine groepen, onder begeleiding van de betreffende docent. Hierdoor kun je de theorie direct in de praktijk brengen.
Deze cursus brengt twee complementaire perspectieven samen: de gestructureerde, praktische aanpak van Christoffer Bjelland voor esthetische layering en posterieure opbouw, en de geavanceerde focus van Algimantė Lošytė-Jančė op natuurlijke lichteffecten, optische layering en verfijnde anterieure esthetiek.
Wat kun je verwachten;
Filosofie van moderne esthetische tandheelkunde
Anterieure en posterieure composiet layeringstrategieën
Inzicht in glazuur, dentine en lichtgedrag
Reproduceren van natuurlijke optische effecten (inclusief het halo-effect)
Hands-on trainingsoptie in kleine groepen (max. 15 deelnemers)
Leerdoelen
Na de lezing kun je:
Moderne esthetische principes en behandelplanning begrijpen
De rol van anatomie en licht in natuurlijke restauraties herkennen
Belangrijke layeringconcepten toepassen voor anterieure en posterieure composieten
Geavanceerde kenmerken analyseren zoals incisale translucentie en het halo-effect
Na de hands-on sessie, kun je:
Gestructureerde anterieure layering met meer vertrouwen uitvoeren
Geavanceerde layeringtechnieken toepassen om natuurlijke esthetiek te verbeteren
Meer controle krijgen over vorm, contour en interne effecten
Voorspelbaarder en efficiënter werken in de dagelijkse praktijk
Over Christoffer Bjelland
Christoffer Bjelland is een Noorse tandarts met meer dan 15 jaar ervaring in de privépraktijk. Daarnaast is hij al ruim 11 jaar actief als klinisch instructeur aan de Universiteit van Bergen, afdeling endodontologie.
Zijn klinische interesses liggen in esthetische composietrestauraties, klinische fotografie en endodontologie. In de afgelopen jaren heeft hij talrijke lezingen en hands-on workshops gegeven in Scandinavië, waarbij hij zich richt op het vertalen van theorie naar praktische toepassing.
Christoffer staat bekend om zijn gestructureerde en heldere manier van lesgeven. Hij helpt clinici om meer voorspelbaarheid en efficiëntie te krijgen in hun dagelijkse werk, met technieken die direct toepasbaar zijn in de praktijk.
Over Algimantė Lošytė – Jančė
Dr. Algimantė Lošytė-Jančė is een esthetisch tandarts met meer dan 17 jaar klinische ervaring, gespecialiseerd in minimaal invasieve restauratieve tandheelkunde en het ontwerpen van natuurlijke glimlachen.
Haar klinische focus ligt op anterieure composietrestauraties, optische layering en de interactie van licht met de natuurlijke tandanatomie. Zij geeft regelmatig lezingen en hands-on cursussen voor clinici, waarin zij praktische technieken deelt die direct toepasbaar zijn in de dagelijkse praktijk.
Algimantė’s werk wordt gekenmerkt door een sterke focus op natuurlijke esthetiek. In haar onderwijs helpt zij clinici om meer controle te krijgen over zowel de technische uitvoering als het esthetische resultaat, met aandacht voor de balans tussen functie en vorm.
Over het programma
Programma vrijdag
2 oktober
12:30 - Welkom
13:00 - Start lezing
De filosofie van moderne esthetische tandheelkunde – Algimantė Lošytė-Jančė
Introductie tot esthetische layeringtechniek – Christoffer Bjelland
15:00 - Koffiepauze
Geavanceerde layeringtechniek, op zoek naar het halo-effect – Algimantė Lošytė-Jančė
Het beheersen van posterieure layering – Christoffer Bjelland
17:30 Hapjes & drankjes
Programma vrijdag
12:30 - Welkom
13:00 - Start lezing
De filosofie van moderne esthetische tandheelkunde – Algimantė Lošytė-Jančė
Introductie tot esthetische layeringtechniek – Christoffer Bjelland
15:00 - Koffiepauze
15:30 - Vervolg lezing
Geavanceerde layeringtechniek, op zoek naar het halo-effect – Algimantė Lošytė-Jančė
Het beheersen van posterieure layering – Christoffer Bjelland
17:30 - Hapjes en drankjes
Leerdoelen
Na de lezing kun je:
Moderne esthetische principes en behandelplanning begrijpen
De rol van anatomie en licht in natuurlijke restauraties herkennen
Belangrijke layeringconcepten toepassen voor anterieure en posterieure composieten
Geavanceerde kenmerken analyseren zoals incisale translucentie en het halo-effect
Programma zaterdag
3 oktober
Ochtend
8:30 - Inloop
9:00 - Start hands-on. Jij kiest welke sessie je volgt
1. Introductie tot esthetische layering door Christoffer Bjelland
2. Geavanceerde layeringtechniek, het nastreven van het halo-effect door Algimantė Lošytė-Jančė
Middag
13:30 - Inloop
14:00 - Start hands-on. Jij kiest welke sessie je volgt
3. Introductie tot esthetische layering door Christoffer Bjelland
4. Geavanceerde layeringtechniek, het nastreven van het halo-effect door Algimantė Lošytė-Jančė
Programma zaterdag
Stel je eigen programma samen en kies je hands-on sessies
De twee hands-on sessies vinden gelijktijdig plaats. Stel uw eigen programma samen en kies de sessie en het tijdstip dat het beste bij u past.
OCHTEND
8:30 - Inloop
9:00 - Start hands-on.
Wij bieden:
1. Introductie tot esthetische layering door Christoffer Bjelland
Of
2. Geavanceerde layeringtechniek, het nastreven van het halo-effect door Algimantė Lošytė-Jančė
10:30 - Koffiepauze
10:45 - Voortgang hands-on
12:30 - Lunch
MIDDAG
13:30 - Inloop
14:00 - Start hands-on.
Wij bieden:
3. Introductie tot esthetische layering door Christoffer Bjelland
Of
4. Geavanceerde layeringtechniek, het nastreven van het halo-effect door Algimantė Lošytė-Jančė
17:30 - Hapje & drankje
BESTEL uw tickets
Stel je eigen programma samen!
Stel je eigen leertraject samen door te kiezen uit verschillende opties:
Optie 1 – Alleen lezing (vrijdag)
Een uitgebreide theoretische basis in moderne esthetische tandheelkunde, layeringconcepten en behandelstrategieën.
KRT punten: in aanvraag
Optie 2 – Lezing + hands-on Christoffer Bjelland
Ideaal voor clinici die een gestructureerde, stapsgewijze aanpak willen voor anterieure layering en posterieure mogelijkheden. De focus ligt op voorspelbaarheid en efficiëntie.
KRT punten: in aanvraag
Optie 3 – Lezing + hands-on Algimantė Lošytė-Jančė
Ontwikkeld voor clinici die hun inzicht in geavanceerde esthetische layering, optische effecten en natuurlijke tandreproductie willen verdiepen.
KRT punten: in aanvraag
Optie 4 – Volledig programma; lezing + hands-on Christoffer & hands-on Algimantė
De complete leerervaring.
Deelnemers volgen de natuurlijke opbouw van basisprincipes naar geavanceerde technieken en bouwen zowel vertrouwen als precisie op.
Deze optie is alleen beschikbaar in deze volgorde, omdat elke stap voortbouwt op de vorige.
KRT punten: in aanvraag
Kies uit 1 van de opties en stel uw eigen leertraject samen;
Alleen lezing (vrijdag)
Vrijdag lezing + zaterdag hands-on Christoffer Bjelland
U kiest zelf voor een ochtend of middag hands-onVrijdag lezing + zaterdag hands-on Algimantė Lošytė-Jančė
U kiest zelf voor een ochtend of middag hands-onVolledig programma; vrijdag lezing + zaterdagochtend hands-on Christoffer & zaterdagmiddag hands-on Algimantė
Deze optie is alleen beschikbaar in deze volgorde, omdat elke stap voortbouwt op de vorige.
Stel je eigen programma samen!
Stel je eigen leertraject samen door te kiezen uit verschillende opties:
Optie 1 – Alleen lezing (vrijdag)
Een uitgebreide theoretische basis in moderne esthetische tandheelkunde, layeringconcepten en behandelstrategieën. Tijdens deze lezing delen Christoffer Bjelland en Algimantė Lošytė-Jančė gezamenlijk hun inzichten en ervaring.
KRT punten: in aanvraag
Christoffer Bjelland: Introductie tot composiet layering
Ideaal voor clinici die een gestructureerde, stapsgewijze aanpak willen voor anterieure layering en posterieure mogelijkheden. De focus ligt op voorspelbaarheid en efficiëntie.
Optie 2 – Vrijdag lezing + zaterdag hands-on Christoffer Bjelland - OCHTEND
Optie 3 – Vrijdag lezing + zaterdag hands-on Christoffer Bjelland - MIDDAG
KRT punten: in aanvraag
Algimantė Lošytė-Jančė: Van layering naar lifelike esthetiek
Ontwikkeld voor clinici die hun inzicht in geavanceerde esthetische layering, optische effecten en natuurlijke tandreproductie willen verdiepen.
Optie 4 – Vrijdag lezing + zaterdag hands-on Algimantė Lošytė-Jančė - OCHTEND
Optie 5 – Vrijdag lezing + zaterdag hands-on Algimantė Lošytė-Jančė - MIDDAG
KRT punten: in aanvraag
Optie 6 – Volledig programma; lezing + hands-on Christoffer & hands-on Algimantė
De complete leerervaring.
Deelnemers volgen de natuurlijke opbouw van basisprincipes naar geavanceerde technieken en bouwen zowel vertrouwen als precisie op.
Deze optie is alleen beschikbaar in deze volgorde, omdat elke stap voortbouwt op de vorige.
KRT punten: in aanvraag
VRIJDAG
LEZING
Volg de lezing zonder hands-on
LEZING VRIJDAG € 100.00€ 100.00
13:00 - 17:30
Op vrijdag krijg je via lezingen en live demonstraties een verdiepend inzicht in de filosofie achter moderne esthetische tandheelkunde. Je leert de principes van zowel anterieure als posterieure layering en ontdekt hoe je natuurlijke optische effecten op een meer voorspelbare manier kunt recreëren. De lezing bestaat uit:
De filosofie van moderne esthetische tandheelkunde door Algimantė
Introductie tot esthetische layering door Christoffer
Geavanceerde layeringtechniek met focus op het halo-effect door Algimantė
Beheersen van posterieure layering door Christoffer.
KRT- Punten; in aanvraag
€100,00
Vrijdag lezing &
zaterdag hands-on
Christoffer
OCHTEND
Lezing en hands-on met Christoffer Bjelland
Vrijdag
13:00 - 17:30 Lezing
Zaterdag
9:00 - 12:30 Hands-on with Christoffer
Ideaal voor clinici die een gestructureerde, stapsgewijze aanpak willen voor anterieure layering en posterieure mogelijkheden. De focus ligt op voorspelbaarheid en efficiëntie.
12:30 Lunch
KRT Punten: In aanvraag
€435,00
Vrijdag lezing &
zaterdag hands-on
Christoffer
MIDDAG
Lezing en hands-on Christoffer Bjelland
Vrijdag
13:00 - 17:30 Lezing
Zaterdag
14:00 - 17:30 Hands-on met Christoffer
Ideaal voor clinici die een gestructureerde, stapsgewijze aanpak willen voor anterieure layering en posterieure mogelijkheden. De focus ligt op voorspelbaarheid en efficiëntie.
KRT Punten: In aanvraag
€415,00
Vrijdag lezing &
zaterdag hands-on
Algimantė
OCHTEND
Vrijdag lezing en zaterdag hands-on met Algimantė Lošytė-Jančė
Vrijdag
13:00 - 17:30 Lezing
Zaterdag
9:00 - 12:30 Hands-on met Algimantė
Ontwikkeld voor clinici die hun inzicht in geavanceerde esthetische layering, optische effecten en natuurlijke tandreproductie willen verdiepen.
Om het maximale uit deze hands-on cursus te halen, is het aan te raden dat je beschikt over basiskennis van layering en enige praktische ervaring.
12:30 Lunch
€435,00
KRT Punten: In aanvraag
Vrijdag lezing &
zaterdag hands-on
Algimantė
MIDDAG
Vrijdag lecture en hands-on met Algimantė Lošytė-Jančė
Vrijdag
13:00 - 17:30 Lezing
Zaterdag
14:00 - 17:30 Hands-on met Algimantė
Ontwikkeld voor clinici die hun inzicht in geavanceerde esthetische layering, optische effecten en natuurlijke tandreproductie willen verdiepen.
Om het maximale uit deze hands-on cursus te halen, is het aan te raden dat je beschikt over basiskennis van layering en enige praktische ervaring.
KRT Punten: In aanvraag
€415,00
Volledig Programma
Vrijdag 13:00 - 17:30 Lezing
Zaterdag 9:00 - 12:30 Hands-on with Christoffer
Zaterdag 14:00 - 17:30 Hands-on with Algimantė
Volledig programma
Vrijdag 13:00 - 17:30 Lezing
Je start met de lezing op vrijdag, waarin je de essentiële principes van moderne esthetische tandheelkunde en layering leert begrijpen..
Zaterdag 9:00 - 12:30 Hands-on with Christoffer
Daarna werk je hands-on met Christoffer Bjelland aan een gestructureerde en efficiënte aanpak voor anterieure en posterieure composietopbouw.
Zaterdag 14:00 - 17:30 Hands-on with Algimantė
Vervolgens ga je een stap verder met Algimantė Lošytė-Jančė, waar de focus ligt op verfijnde esthetiek, optische effecten en het natuurgetrouw reproduceren van tandstructuren.
Een complete leerervaring die je direct kunt vertalen naar je dagelijkse praktijk.
Deze optie is alleen beschikbaar in deze volgorde, omdat elke stap voortbouwt op de vorige.
KRT Punten: In aanvraag
€800,00
Meer informatie
Van der Valk Amsterdam Amstel
Locatie
Van der Valk Amsterdam Amstel
Joan Muyskenweg 20
1096CJ Amsterdam
Route
Vanuit Schiphol
Ga de A4 op vanaf de Havenmeesterweg.
Ga verder op de A4. Neem de A10 naar de Nieuwe Utrechtseweg/A2/s110 in Amsterdam.
Neem afrit Knooppunt Amstel vanaf de A10.
Ga verder op de Nieuwe Utrechtseweg/A2/s110 en neem voor de brug de afrit.
Rijd naar de Joan Muyskenweg.
U vindt het hotel aan uw linkerhand.
Public transport
Trein vanaf Schiphol naar station Amsterdam Zuid of Amsterdam RAI
Vanaf station Amsterdam Zuid of Amsterdam RAI metro naar halte Overamstel. Vanaf Schiphol neemt u de trein naar Amsterdam Zuid/RAI. Vanaf Amsterdam Zuid/RAI neemt u metro 50 richting Gein of metro 51 richting Amsterdam Centraal, halte Overamstel. Neem de uitgang “Joan Muyskenweg”. Er zijn meerdere routes beschikbaar vanaf Schiphol.
Metro vanaf Amsterdam Centraal naar Overamstel
Vanaf Amsterdam Centraal neemt u metro 51 richting Isolatorweg, halte Overamstel en neemt u de uitgang “Joan Muyskenweg”.
Parkeren
Van der Valk Hotel Amsterdam - Amstel beschikt over een eigen ondergrondse parkeergarage met 131 parkeerplaatsen. Deze parkeergarage is beschikbaar voor gasten van het hotel, restaurants en vergaderzalen. Er bevinden zich twee mindervalide parkeerplekken. Uw elektrische auto opladen? Dat kan aan één van de zes laadpalen. Vanuit de parkeergarage kunt u direct de lift nemen naar de overige verdiepingen. De kamerverdiepingen zijn alleen te bereiken met een sleutelkaart.
Er is helaas geen mogelijkheid om een parkeerplaats op voorhand te reserveren. Dit betekent dat parkeren op basis van beschikbaarheid is.
Let op, de inrijhoogte van onze ondergrondse parkeergarage is 2,10 meter. De ingang van de parkeergarage bevindt zich aan de linkerzijde van het hotel.
Uurtarief: €4
Dagtarief: €25
U kunt de parkeerkosten afrekenen bij de receptie of bij de slagboom. Eventuele kortingen dienen vooraf verrekend te worden en kunnen achteraf niet worden gecorrigeerd.
Parkeren op straat. Op straat geldt betaald parkeren van maandag t/m vrijdag van 09.00 tot 19.00 uur. U betaalt hier €5 per uur. Wij adviseren u om waardevolle spullen uit uw auto te halen.
.
.
.
WE KIJKEN ER NAAR UIT OM U TE VERWELKOMEN OP 2 EN 3 OKTOBER!