Recreating nature’s beauty
Case report by Vasilis Vasiliou
AESTHETIC RESTORATION OF MAXILLARY INCISORS
Falling in love, applying for a first job, attending a best friend’s wedding: There are so many occasions for young people when looking gorgeous is important. That is why restoring a young patient’s smile to its natural beauty is a special task that demands a lot from us. We need to listen to their touching stories, understand their specific needs and desires – and finally find a way to exceed their expectations. Whenever our plan works and is performed correctly, the outcome will be rewarded with extreme gratitude by those affected. After all, it is not only the smile we restore, but also the patients’ self-confidence and quality of life.
SINGLE BAKE, NATURAL RESULT
The good news: Even highly aesthetic all-ceramic restorations can be produced with a minimal number of bakes. Modern framework materials and porcelain systems allow us to imitate a natural play of colours and translucencies, a virtually unlimited number of individual effects and a vivid surface texture in a predictable way. A possible procedure is illustrated below. The materials utilized in this case were KATANA™ Zirconia STML and CERABIEN™ ZR (Kuraray Noritake Dental Inc.) and the restoration was completed using the One-Bake technique developed by MDT Nondas Vlachopoulos.

Fig. 1. Frameworks made of KATANA Zirconia STML in the shade A1.

Fig. 2. Single-bake layering procedure: Application of CERABIEN ZR Opacious Body in the cervical …

Fig. 3. … and mamelon areas.

Fig. 4. CERABIEN ZR Body porcelain applied in the body area.

Fig. 5. CERABIEN ZR Transitional Dentine used to increase the translucency in the incisal part.

Fig. 6. CERABIEN ZR Opacious Body added in specific areas to create more reflaction.

Fig. 7. Incisal cut-back and creation of the mamelon structure as well as adding of T Blue to give depth.

Fig. 8. … in the body and distal incisal areas.

Fig. 9. Application of Aqua Blue 1 and T Blue on the incisal edges to produce a youthful translucency.

Fig. 10. Creation … effect

Fig. 11. … of mamelons.

Fig. 12. Application of Luster porcelains: LTx, …

Fig. 13. … ELT1 …

Fig. 14. … and LT1.

Fig. 15. Cutback of the dentin for the creation of a halo effect.

Fig. 16. Final shape: Halo effect created with Body.

Fig. 17. Treatment outcome after a first bake followed by minor adjustments, surface texturing and glazing with CERABIEN™ ZR FC Paste Stain Clear Glaze.

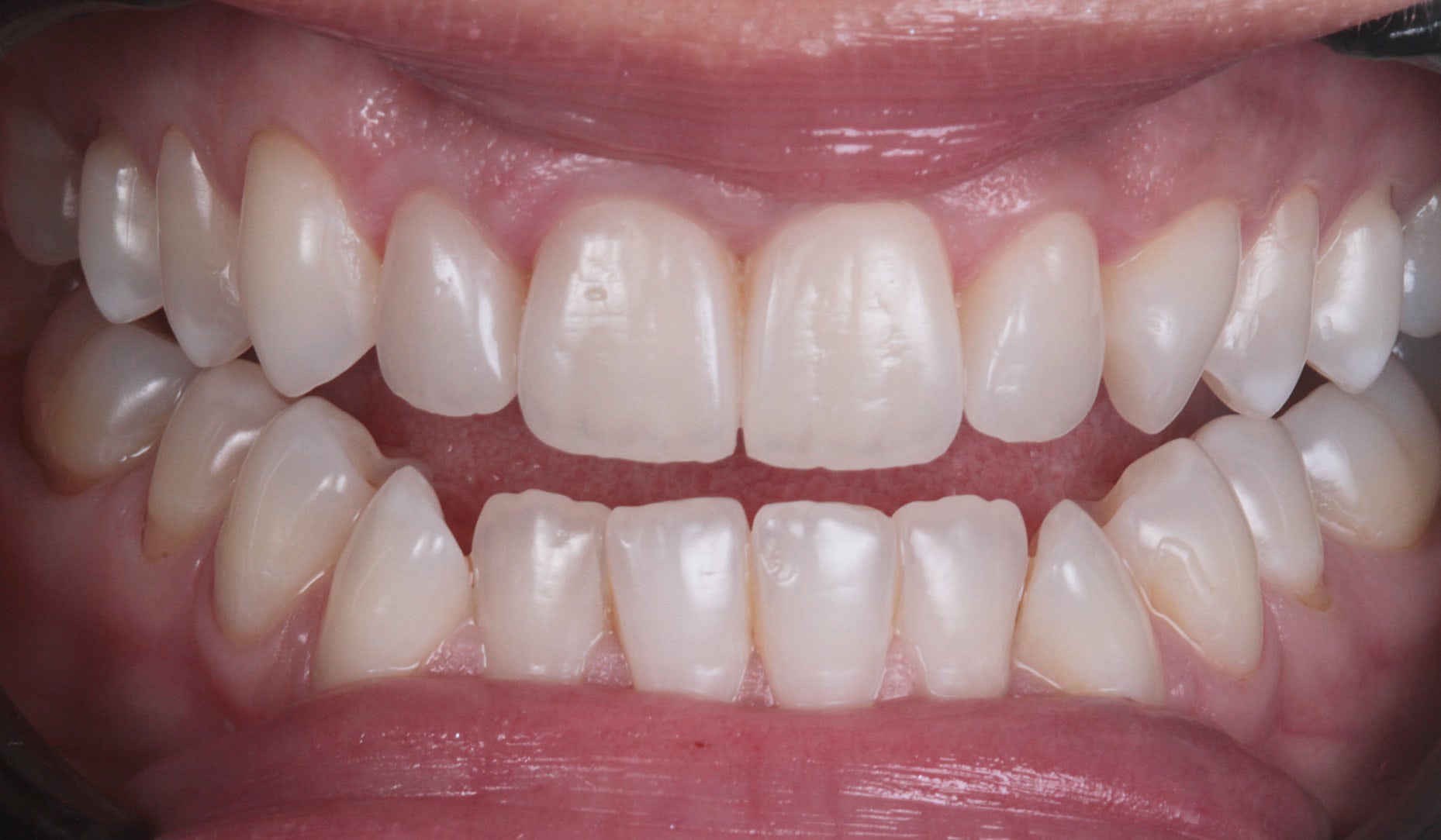
Fig. 18. Restorations adhesively cemented in the patient’s mouth.
CONCLUSION
Restoring a young patient’s smile is a particularly challenging task, as the quality of the outcome has a huge effect on the self-confidence and quality of life of the affected person. By listening closely to our patients’ stories, understanding their needs and knowing our materials well, we are able to deliver exactly what they need. It is their positive feedback and happiness that drives me to never stop learning and practicing with my ceramics and porcelains for continued improvement and even better outcomes.
I would like to express my gratitude to Dr. Loukia Pedoulou for the professional partnership and clinical support in achieving this result.
Dental Technician:

VASILIS VASILIOU
Vasilis Vasiliou was born in Nicosia, Cyprus, and graduated from the Technical School for Dental Technicians in Athens in 2004. He has furthered his education by attending several advanced seminars led by mentors and experts in the field, such as Ilias Psarris and Nondas Vlachopoulos.
Throughout his career, Vasilis has made significant contributions to the dental community, including presenting at various conferences in Greece and publishing articles in Greek dental magazines. Since 2020, he has been a key opinion leader for MPF Brush Company and, since 2022, a HASS Ambassador. Vasilis has been an active member of the International Team for Implantology (ITI) since 2019.
Together with his father, Vasilis runs a successful dental laboratory in Nicosia, specializing in all-ceramic and implant restorations. His extensive experience and commitment to excellence have established him as a respected professional in his field.
- Mar 4, 2026