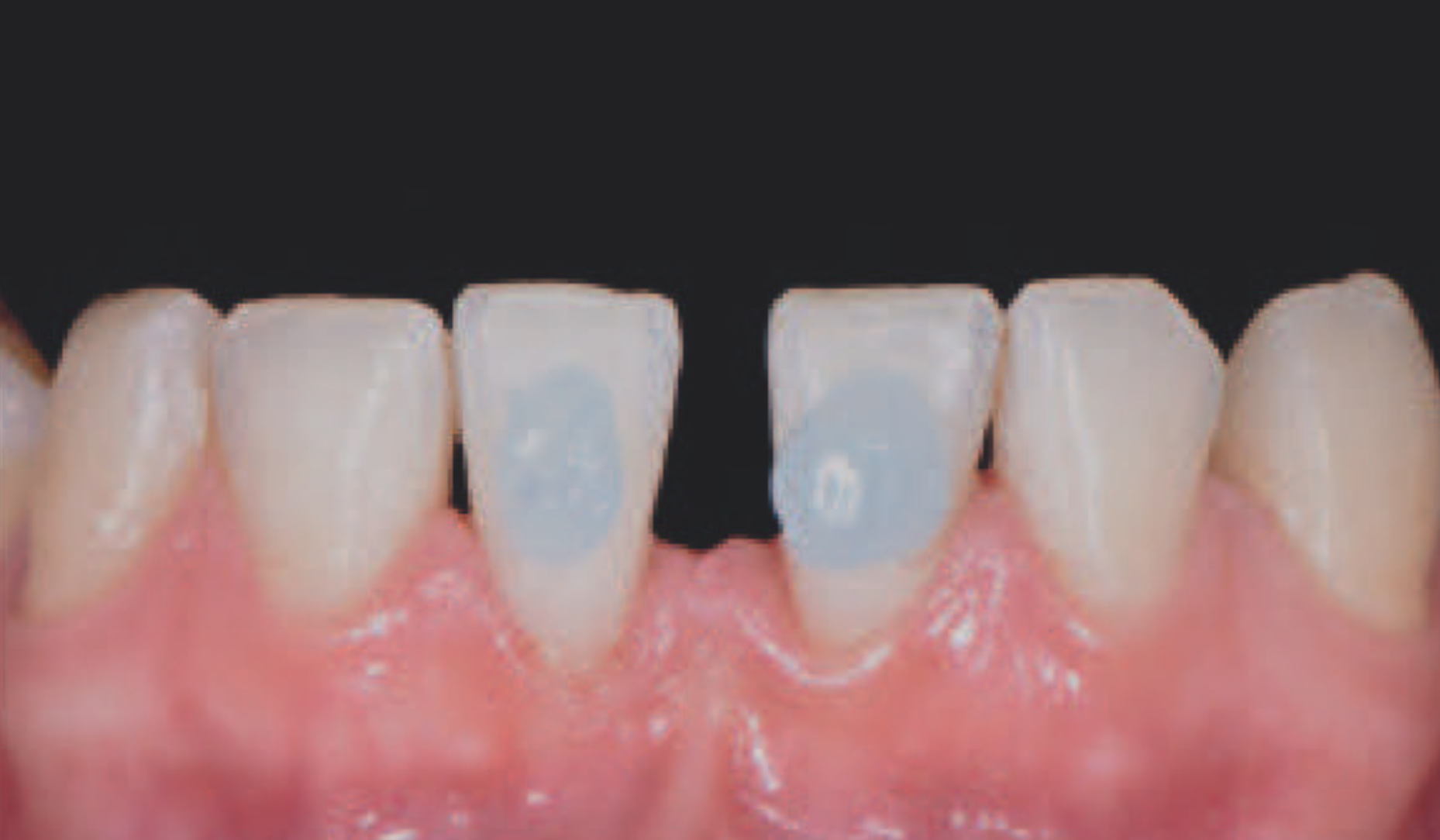
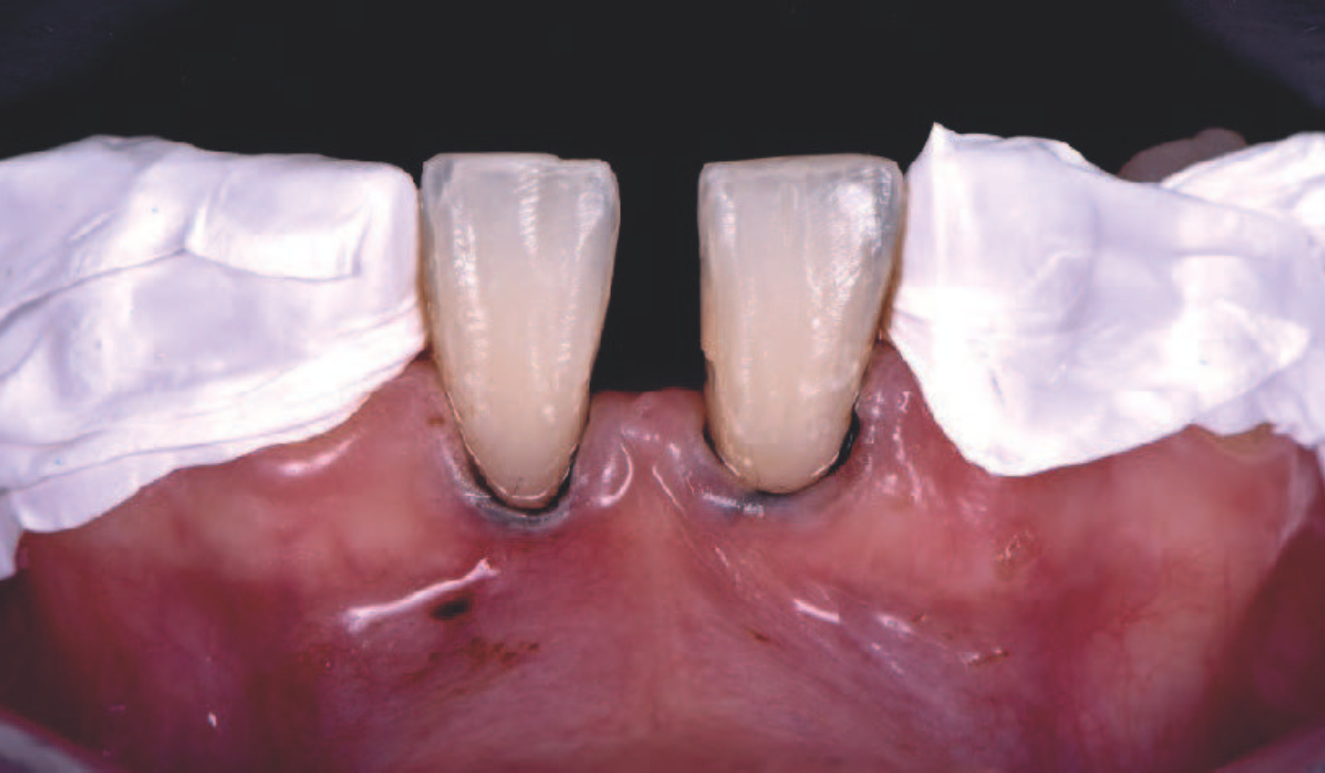
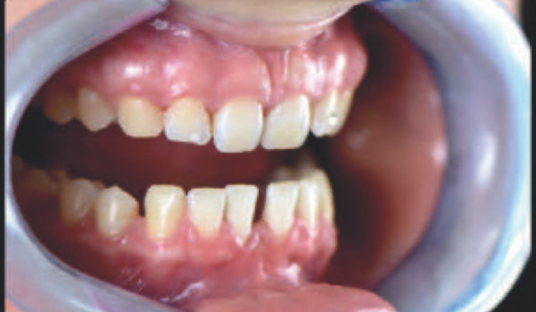
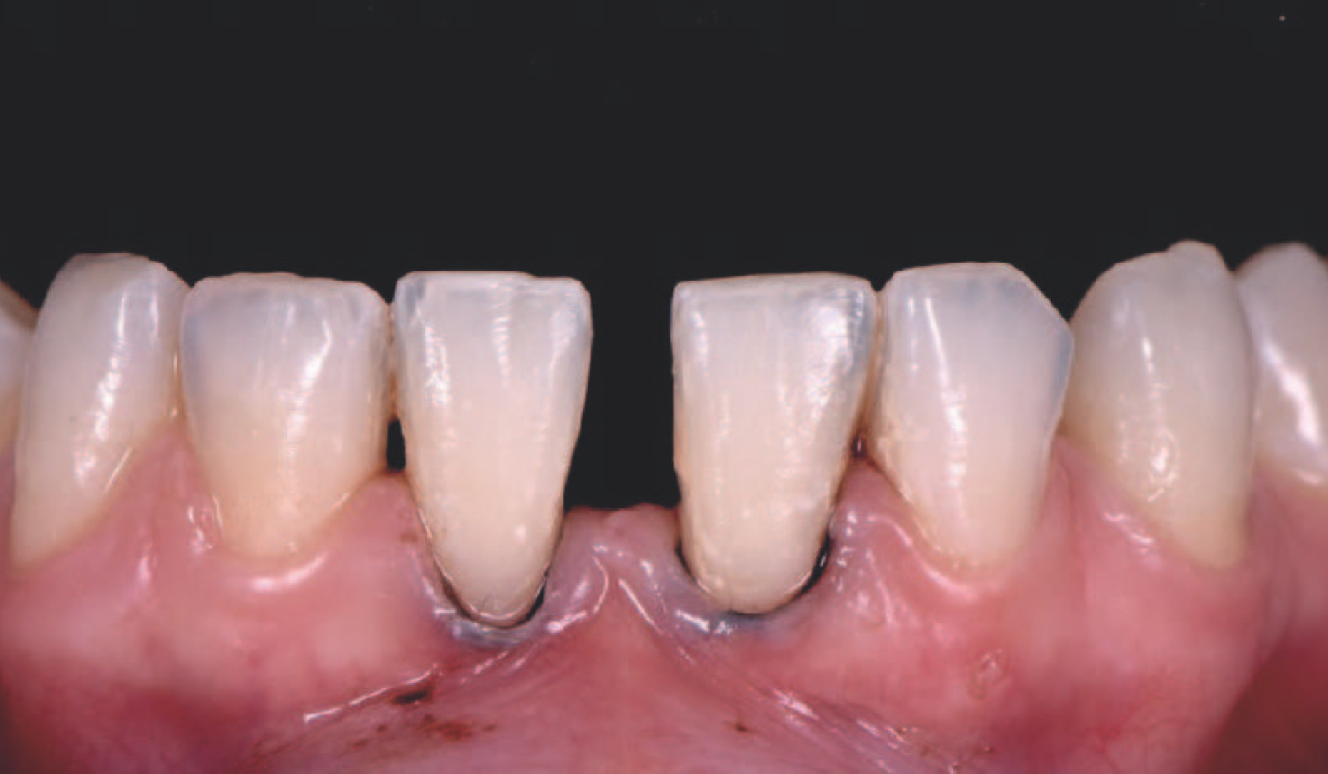
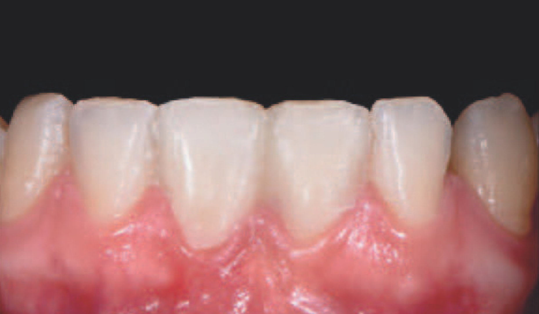
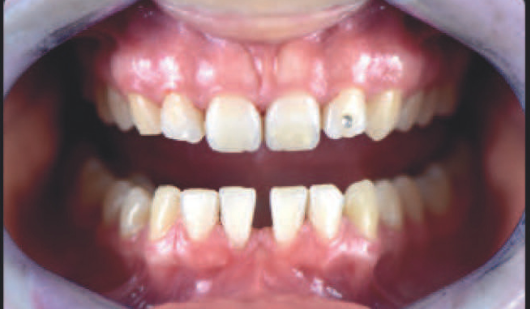
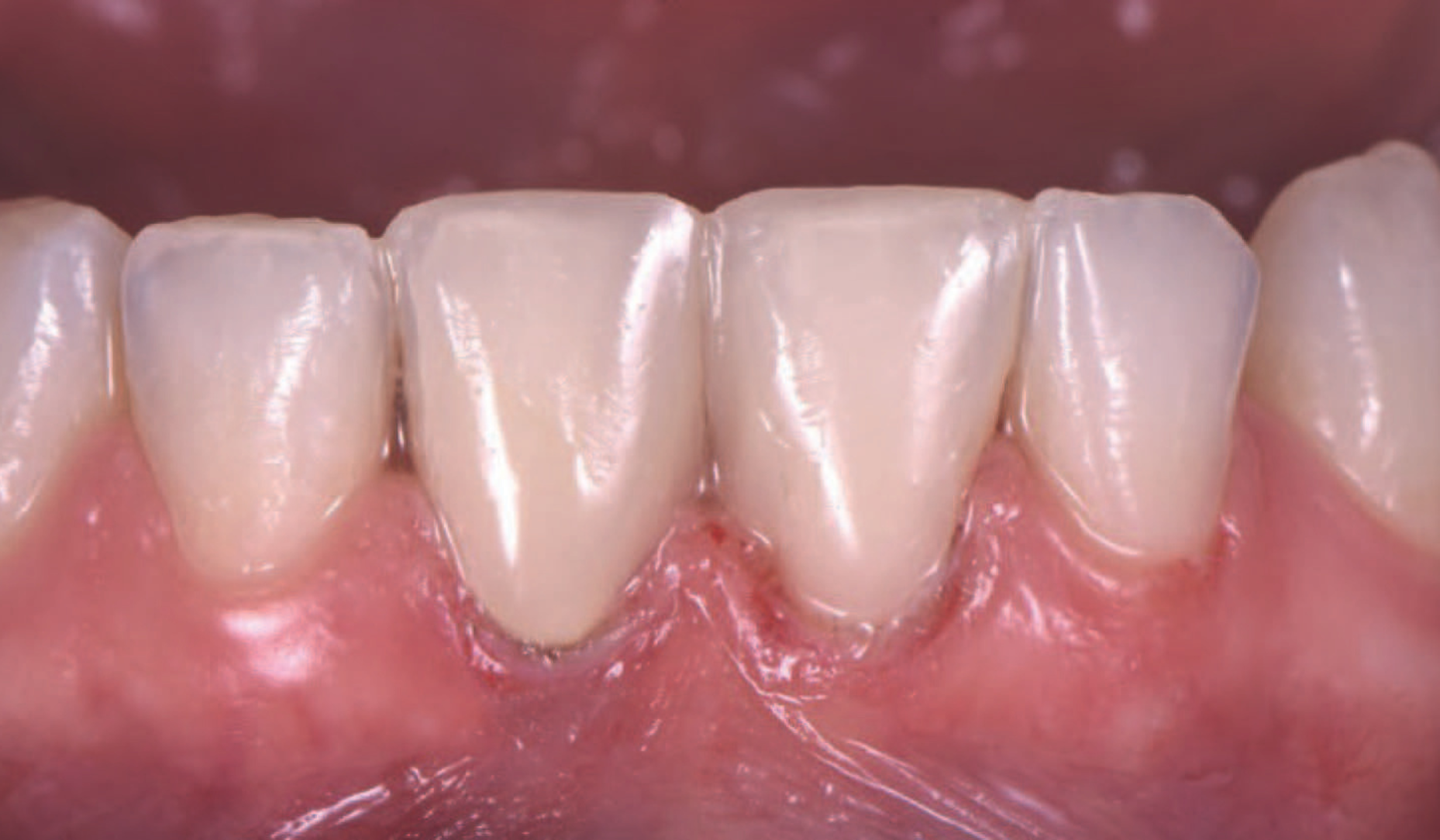
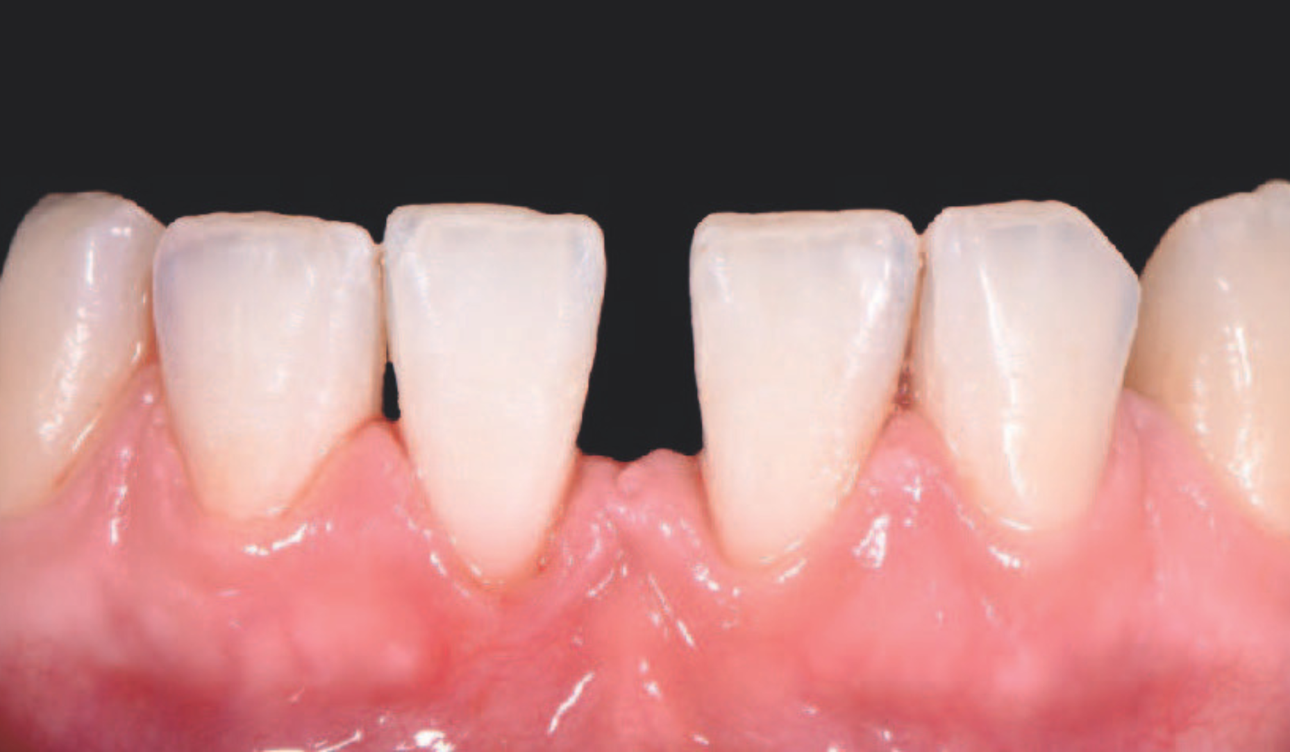
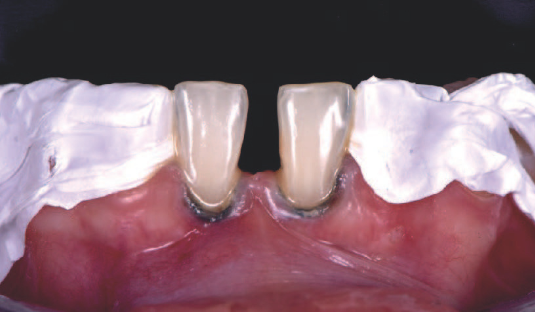
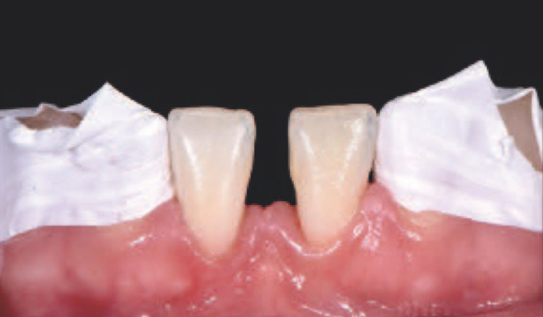
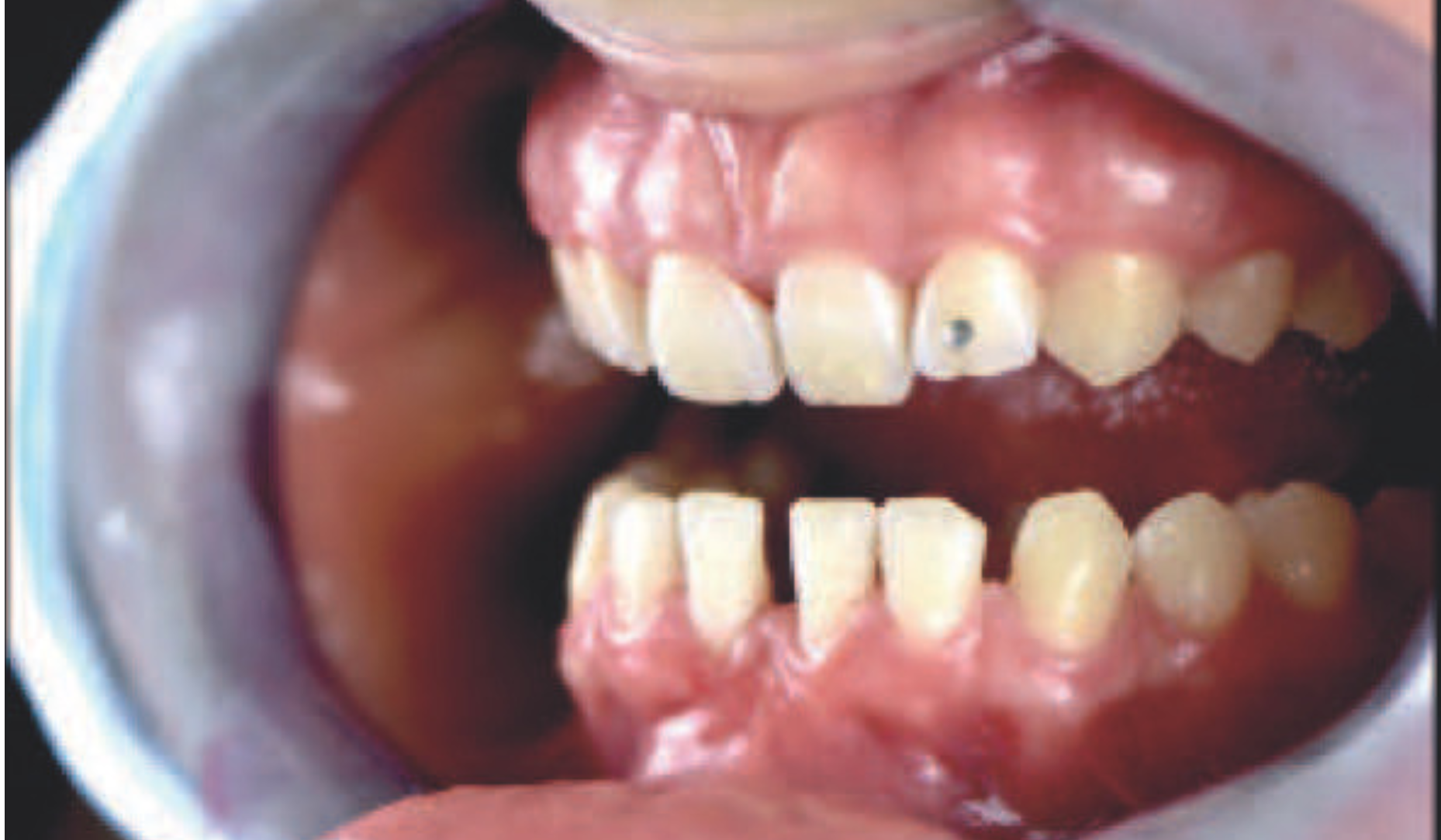
Digital workflow optimised for the Flowable Injection Technique with CLEARFIL MAJESTY ES Flow Universal Clinical case by Dr. Giuseppe Iacona The Flowable Injection Technique represents an innovative and predictable approach for the direct aesthetic restoration of one or more teeth in a single appointment (Fig. 1). This methodology, resulting from close collaboration between clinician and technician, allows reproducible results from the very first intervention, offering patient comfort and long-term durability. In the case presented, the patient wished to close a diastema between the mandibular central incisors (teeth #31 and 41 according to the FDI notation; Fig. 1). Following clinical, radiographic and periodontal assessment, the injection technique was selected, ruling out orthodontic treatment and veneer solutions. Fig. 1. Extraoral photographs of the patient: initial situation. Fig. 2. Digital mock-up creation. The technique involves the injection of flowable composite through a transparent index (made of silicone or 3D-printed resin), produced from a digital or conventional mock-up (Figs. 1 to 2). It represents a viable treatment option thanks to the combination of advanced composite materials and digital technology. Intraoral and facial scans were taken to create digital models of the patient’s maxilla and mandible (Fig. 2). Matching the scans made it possible to virtually simulate the initial situation. Based on this dataset, a wax-up was generated and converted into a 3D-printed model and a putty index for wax-up transfer into an intra-oral mock-up. Transferred into the patient’s mouth through injection of the material into the index, the mock-up (Fig. 3) allowed aesthetic and functional evaluation by providing a preview of the final outcome. Fig. 3. Mock-up in the patient’s mouth. Subsequently, the two direct veneers were fabricated using the Flowable Injection Technique in a single appointment (Fig. 4). After placing gingival retraction cords with astringent gel (Fig. 5), isolation with PTFE tape was performed and the surfaces were etched (Figs. 6 and 7), followed by application of the adhesive CLEARFIL™ Universal Bond Quick 2 (Kuraray Noritake Dental Inc., Fig. 8). Fig. 4. Baseline. Fig. 5. Application of retraction cords soaked in astringent gel. Fig. 6. Isolation of adjacent teeth with dental PTFE tape. Fig. 7. Etching with phosphoric acid etchant. Fig. 8. Application of CLEARFIL™ Universal Bond Quick 2. Fig. 9. Injection indices. Fig. 10. Placement of the injection index. Fig. 11. Final treatment outcome. FINAL CONSIDERATIONS CLEARFIL MAJESTY™ ES Flow Universal (Kuraray Noritake Dental Inc.) stands out for its excellent aesthetic properties, high compressive and flexural strength, and outstanding blend-in ability. Its translucency characteristics, which vary according to thickness, allow for a polychromatic effect using a single material, particularly in the universal variant. The material’s chameleon effect supports seamless colour integration with adjacent teeth, making the restoration indistinguishable from natural tooth structure. This provides for long-term durability, a low incidence of fractures and highly satisfactory results, making it ideal for addressing a wide range of aesthetic and functional requirements. Dentist: GIUSEPPE IACONA 29 avr. 2026 Kuraray Noritake Clinical Case aesthetic Restorative Dentistry Cosmetic Chair Composite Resin Dental Adhesive Clearfil Universal Bond Quick 2 Clearfil Majesty Es-2 Flow Universal CLEARFIL Universal Bond Quick 2 Voir le produit CLEARFIL MAJESTY ES Flow Universal Voir le produit