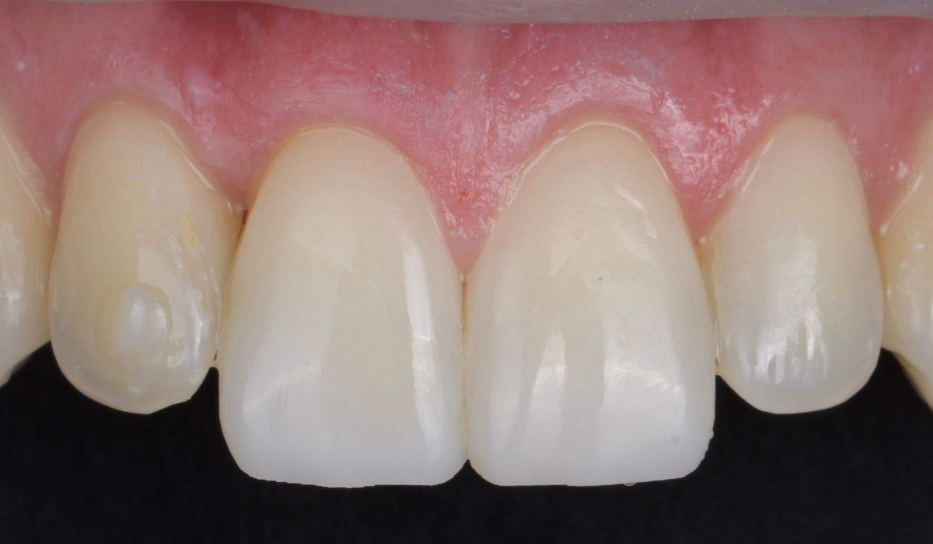
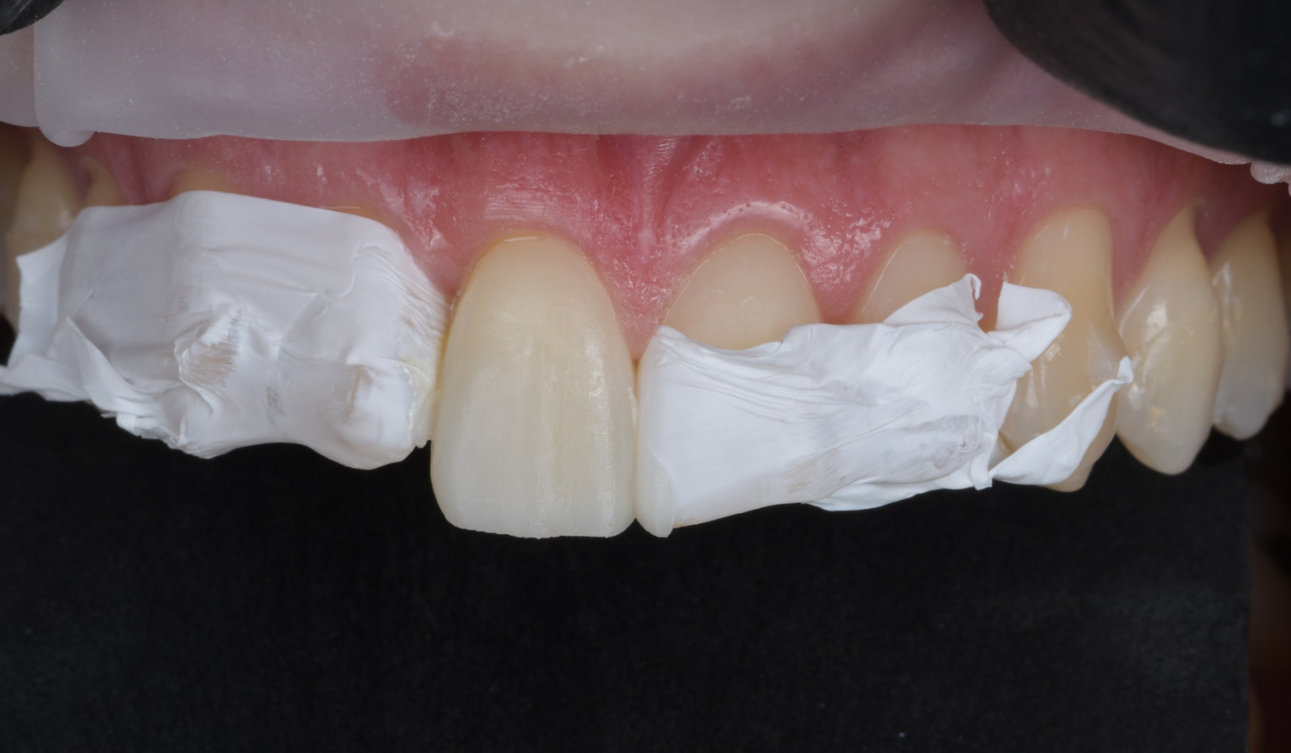
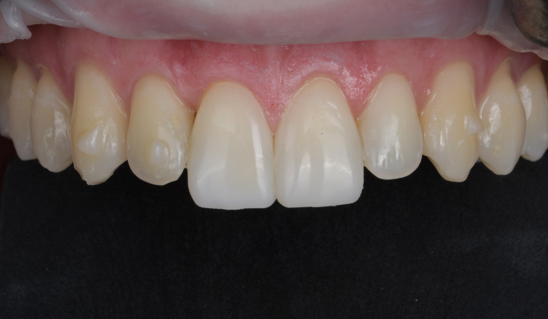
Clinical Cases and Chairside Use of the new CLEARFIL MAJESTY ES Flow Universal Case by Dr. Michał Jaczewski FLOWABLE INJECTION TECHNIQUE What are the most important properties of a flowable composite used for the flowable injection technique? Personal experience shows that balanced optical properties are essential, with an appropriate translucency, blend-in ability and surface gloss leading the way. However, the mechanical properties are also important, not least because the restorative material will be in direct contact with the antagonist teeth. And finally, handling properties are essential: The right level of flowability is needed for proper injection, while a void-free application is required for an intact, stain-resistant surface. For the last seven years, CLEARFIL MAJESTY™ ES Flow Low (Kuraray Noritake Dental Inc.) has been my go-to flowable composite for the flowable injection technique. Its level of flowability is ideal for the technique in the anterior and posterior region. Whenever a lower flowability is needed, it is possible to switch to the Super Low variant. Moreover, I like the shade offering, which – together with the superior polishability of the material – leads to natural aesthetics. Finally, its mechanical properties are so good that the product is approved for a wide indication range without load limitations. When the company announced the introduction of CLEARFIL MAJESTY™ ES Flow Universal, which comes in just two universal shades and two different levels of flowability (Low and Super Low), I immediately decided to give it a try: The prospect of balanced properties I am already familiar with, combined with a simplified shade selection sounded very promising. So far, the new product comes up to my expectations: The following case example reveals the simplicity of the procedure and the beauty of the results. The patient presented during orthodontic (aligner) treatment for a shape correction in the anterior region due to wear of the incisal edge. Fig. 1. Initial clinical situation: Patient in need of a shape correction in the maxillary incisor region. Fig. 2. Application of CLEARFIL™ Universal Bond Quick 2 (Kuraray Noritake Dental Inc.) to the enamel of a central incisor, which has been merely roughened by air abrasion with aluminium oxide (50 μm at low pressure) followed by etching with a phosphoric acid etchant. Fig. 3. Transparent silicon index placed in the mouth and CLEARFIL MAJESTY ES Flow Universal Low (U shade) already injected in the position of the maxillary right central incisor. Fig. 4. Shape correction on the maxillary right central incisor completed. Fig. 5. Situation after finishing and polishing of the incisor restorations. Fig. 6. Nice shade match leading to a smooth blend-in with the surrounding natural tooth structure. Fig. 7. Immediate treatment outcome supporting an improvement of the smile aesthetics and hence, the patient‘s quality of life during aligner therapy. RESULTS THAT SPEAK FOR THEMSELVES Like its related product CLEARFIL MAJESTY ES Flow, the universal-shade version CLEARFIL MAJESTY ES Flow Universal offers properties which are – from a personal perspective – ideal for the flowable injection technique. The shade-matching properties are astonishing; the translucency is quite high when placed in thin layers (so that enamel is very well imitated), and the polishability is as good as that of CLEARFIL MAJESTY ES Flow. For virtually effortless, bubble-free injection, the product comes in a nicely designed syringe. And last but not least, the product’s mechanical properties provide peace of mind even in the posterior region. Dentist: MICHAŁ JACZEWSKI Michał Jaczewski graduated from Wroclaw Medical University in 2006 and today runs his private practice in the city of Legnica, Poland. He specializes in minimally invasive dentistry and digital dentistry and is the founder of the Biofunctional School of Occlusion. Here he lectures and runs workshops with focus on full comprehensive patient treatments. 4. feb. 2026 Kuraray Noritake Clinical Case Restorative Dentistry Clearfil Majesty Es-2 Flow Esthetic Cosmetic Chair Composite Resin Dental Adhesive Clearfil Universal Bond Quick 2 Clearfil Majesty Es-2 Flow Universal CLEARFIL MAJESTY ES Flow Se produktet CLEARFIL Universal Bond Quick 2 Se produktet CLEARFIL MAJESTY ES Flow Universal Se produktet Abonner på vårt nyhetsbrev Gjør som tusenvis av andre som arbeider med tannhelse og motta gratis informasjon som kan hjelpe deg i din karriere. Vi vil ikke sende ut spam eller dele din emailadresse med andre.