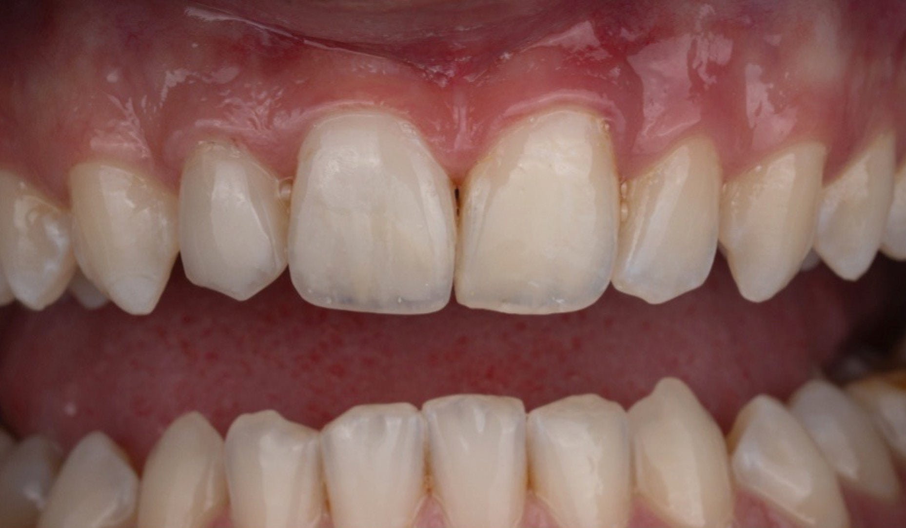
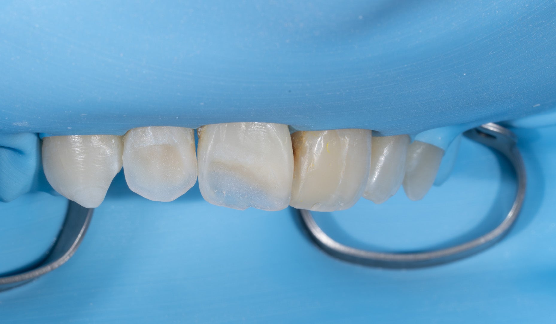
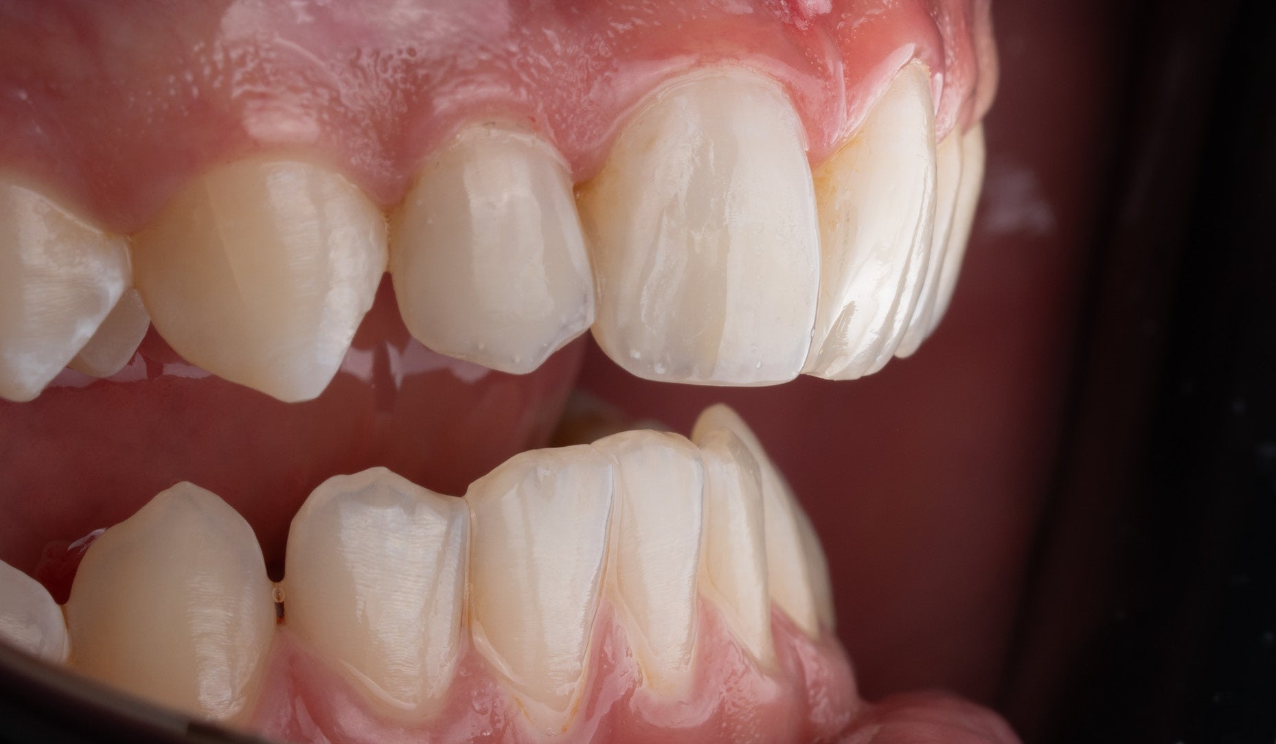
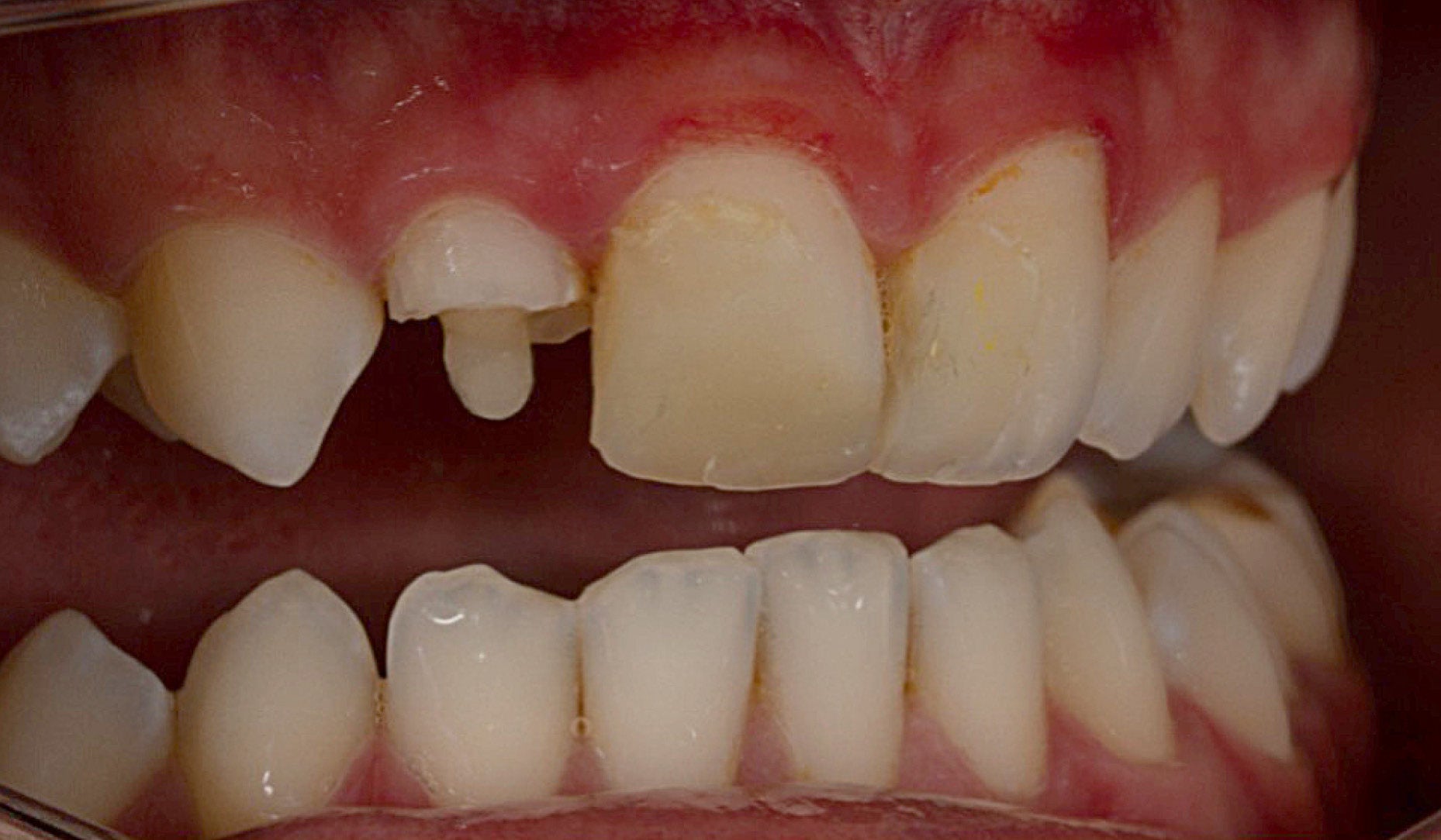
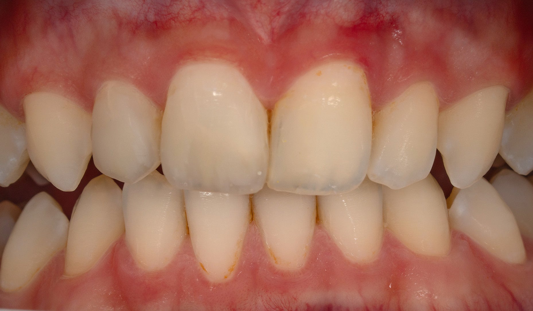
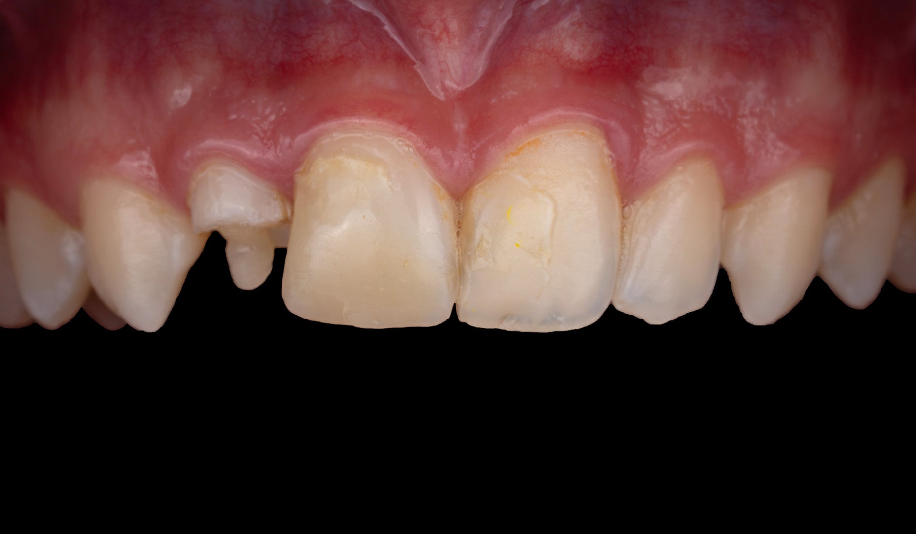
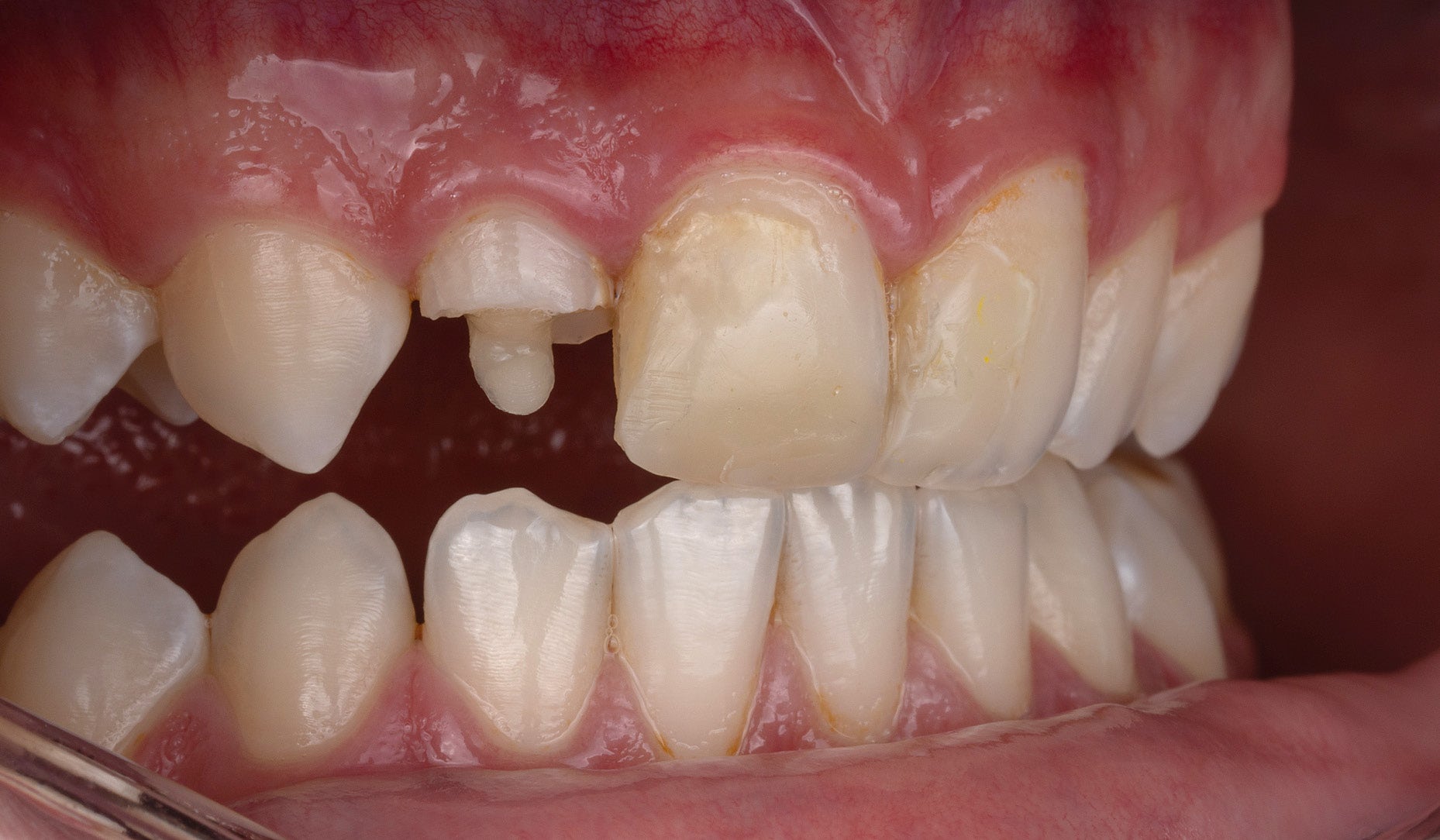
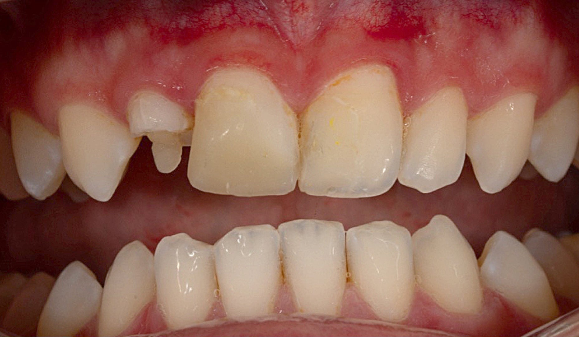
Clinical Cases, Chairside Restoring a young patient’s smile with composite Case by Dr. Onur Alp Yünük COMBINING HIGH-PERFORMANCE TOOLS AND MATERIALS FOR A PREDICTABLE OUTCOME Direct composite restorations are a high-quality treatment option even when large amounts of tooth structure need to be replaced. This is due to recent advancements in resin composite materials and adhesive technology. By selecting appropriate materials and layering techniques combined with modern digital tools for colour difference evaluation, it is possible to predictably produce highly aesthetic outcomes, as demonstrated in the following case example. THE CHALLENGE A young male patient presented to our clinic requesting the replacement of his existing composite restorations on his maxillary incisors (teeth #12 and #11 according to the FDI notation). Clinical examination revealed extensive restoration loss on the lateral incisor. Furthermore, anatomical irregularities, discolouration, and loss of surface gloss were observed on tooth #11. The adjacent central incisor exhibited similar issues regarding colour and surface polish. In consultation with the patient, it was decided to replace the existing restorations using a modern composite material specifically developed for dual-shade layering – CLEARFIL MAJESTY™ ES-2 Premium (Kuraray Noritake Dental Inc.). For an exact shade analysis, photographs were taken with and without a cross-polarized filter (Figs. 1 to 4). Fig. 1. Frontal view of the teeth with extensive restoration loss on the maxillary left lateral incisor. Fig. 2. Cross-polarized photograph of the teeth allowing for a detailed analysis of the shade irregularities. Fig. 3. Lateral view of the teeth. Fig. 4. Lateral view – cross-polarized photograph. THE SOLUTION Following removal of the existing restorations, rubber dam was placed for working field isolation. A self-etching adhesive (CLEARFIL™ SE Bond 2, Kuraray Noritake Dental Inc.) was applied in the selective enamel etching mode before establishing the palatal shell using CLEARFIL MAJESTY™ ES-2 Premium in the shade A1E (Figs. 5 and 6). The mamelon structures were reconstructed with CLEARFIL MAJESTY™ ES-2 Premium in the shade A1D, while the translucent shade Blue was applied to the opalescent zone. Finally, yellow and white tints were used for characterization. Fig. 7 illustrates the appearance before, Fig. 8 after finishing and polishing. Fig. 5. Palatal shell established with the enamel shade A1E of the selected composite. Fig. 6. Lateral view of the teeth during the restoration procedure. Fig. 7. Restoration before finishing and polishing. Fig. 8. Appearance of the restorations after finishing and polishing. THE OUTCOME To evaluate the final colour integration, another photograph was taken with a cross-polarized filter, holding a grey reference card in place for calibration (Figs. 9 and 10). The lateral view of the restored teeth (Fig. 11) reveals that not only the right colour combination, but also a natural surface texture is required for a highly aesthetic outcome. Fig. 9. Frontal view of the restored teeth taken with a cross-polarized filter. Fig. 10. Gray reference card calibration and the resulting L*a*b* coordinates of the restoration. Fig. 11. Lateral view of the restored teeth stressing the importance of surface texture. DISCUSSION AND CONCLUSION Observation, supported by modern tools for photography and image analysis (like polarized filters and L*a*b* coordinates), is an important skill needed for the lifelike reconstruction of teeth with direct composite materials. By combining this skill with a high-performance composite system that offers fixed shade combinations and innovative light diffusion technology for a nice blend-in with the surrounding tooth structure, creating beautiful restorations becomes a predictable business. In the case presented, the patient was very satisfied with the outcome in terms of aesthetics and function. At regular recalls, the quality of the restorations is checked – they still offer a very nice functional and aesthetic integration. Dentist: ONUR ALP YÜNÜK Dr. Onur Alp Yünük completed both his undergraduate and doctoral education at Istanbul University. He currently serves as an Assistant Professor in the Department of Restorative Dentistry at the Istinye University Faculty of Dentistry. His work primarily focuses on direct composite restorations of anterior teeth and on polychromatic layering systems. Mar 6, 2026 Kuraray Noritake Clinical Case Clearfil Majesty Es-2 Premium Clearfil SE Bond Restorative Dentistry Esthetic Cosmetic Chair Composite Resin Dental Adhesive CLEARFIL SE BOND 2 View Product CLEARFIL MAJESTY ES-2 Premium View Product Subscribe to our Newsletter Join thousands of dental professionals and receive free advice that can help you and your career. We will not spam or share your e-mail.