429 Too Many Requests

429 Too Many Requests


nginx

Identyfikacja

Dziękujemy za wizytę na naszej stronie

Zgodnie z aktualnymi przepisami prawa, treści zamieszczone na stronie Kuraray Noritake Polska zastrzeżone są dla profesjonalistów z branży stomatologicznej (lekarz stomatolog, asystentka, higienistka, technik dentystyczny lub inna osoba zawodowo związana z branżą).

Prosimy potwierdź swój status poniżej:
Oświadczam, iż jestem profesjonalistą związanym zawodowo z branżą stomatologiczną.

PANAVIA Veneer LC (CB)

WŁAŚCIWOŚCI I ZALETY

1

INNOWACYJNA TECHNOLOGIA POLIMERYZACJI

Cementy światłoutwardzalne zapewniają długi czas pracy, który ułatwia jednoczasowe osadzenie wielu licówek. Samotrawiący PANAVIA™ V5 Tooth Primer tworzy połączenie adhezyjne z tkankami zęba poprzez natychmiastowe wiązanie kontaktowe (touch-cure) z cementem. W efekcie uzyskujemy silne i trwałe połączenie.

2

ZOPTYMALIZOWANA ŁATWOŚĆ PRACY

Konsystencja cementu pozwala na łatwą aplikację ze strzykawki oraz właściwe osadzenie uzupełnienia na zębie. Funkcja jednosekundowego wiązania wstępnego (tack-cure) zapewnia łatwe usunięcie nadmiarów cementu.

3

WYSOKA ESTETYKA

Niewielka grubość warstwy cementu i wysoka polerowalność pozwalają na uzyskanie gładkiego przejścia licówki w tkanki zęba. 4 różne odcienie o wysokiej stabilności kolorystycznej zapewniają długoczasową estetykę. Dedykowane pasty próbne Try-In ułatwiają właściwy dobór docelowego odcienia cementu.

Aktualności
Zobacz naszą sekcję aktualności, aby znaleźć najświeższe informacje o naszej firmie i produktach.

WSKAZANIA

Cement PANAVIA™ Veneer LC
może być użyty do ostatecznego
cementowania:

  • Licówek
  • Wkładów inlay i onlay o grubości
    nieprzekraczającej 2 mm

WSKAZANIA

Cement PANAVIA™ Veneer LC może być użyty
do ostatecznego cementowania:

  • Licówek
  • Wkładów inlay i onlay o grubości
    nieprzekraczającej 2 mm

INNOWACYJNA TECHNOLOGIA POLIMERYZACJI

Cement do osadzania licówek powinien mieć długi czas pracy, ale jednocześnie zapewnić wysoką, stabilną w czasie, siłę wiązania. Dzięki zastosowaniu technologii wiązania kontaktowego (touch-cure) w cemencie światłoutwardzalnym, firma Kuraray Noritake stworzyła materiał, który połączy obie powyższe zalety. PANAVIA™ Veneer LC jest zestawem światłoutwardzalnych cementów kompozytowych o doskonałej stabilności w świetle otoczenia, co daje aż 200 sekund czasu pracy materiałem. Pozwala to na swobodne osadzenie wielu licówek bez ścigania się z czasem wiązania. Polimeryzacja rozpocznie się dokładnie wtedy, kiedy tego potrzebujesz.

*Czas w świetle rozproszonym (8000 luksów): 200 sek.

200
S
CZAS PRACY*
JEDNOSKŁADNIKOWY PRIMER SAMOTRAWIĄCY

JEDNOSKŁADNIKOWY PRIMER SAMOTRAWIĄCY

Przyczynia się do polimeryzacji połączenia ząb-cement.

ŚWIATŁOUTWARDZALNY CEMENT

ŚWIATŁOUTWARDZALNY CEMENT

Doskonała stabilność w świetle rozproszonym [ew. dziennym, otoczenia].

POLIMERYZACJA ŚWIATŁEM

Zwiększ siłę połączenia z tkankami zęba w technologii wiązania kontaktowego
(touch-cure), jednocześnie zachowując dostatecznie długi czas pracy.

Image

Wysoka estetyka

Efekt estetyczny licówek, zazwyczaj cienkich i wysoce przeziernych, jest silnie związany z kolorem cementu. Dlatego zasadnicze znaczenie będzie miała stabilność koloru w czasie oraz niezauważalność granicy cementowania. PANAVIA™ Veneer LC w pełni spełnia te wyzwania.

High Aesthetics

ODPORNY NA PRZEBARWIENIA

Wysoka stabilność kolorystyczna jest prawdopodobnie najważniejszą cechą odpowiedzialną za długoczasowy efekt estetyczny. Zapewnia ją zbalansowany skład cementu i technologia wiązania kontaktowego (touch-cure).

Tand image (Desktop)
Tand image (Mobile)

DOSKONAŁE WŁAŚCIWOŚCI UŻYTKOWE

Optimised Handling

Ograniczenie czasu i wysiłku podczas cementowania licówek jest możliwe dzięki dobremu cementowi. Powinien on cechować się jednorodną aplikacją ze strzykawki, łatwością pozycjonowania licówek, mieć możliwość prostego usuwania nadmiarów oraz szybko się polerować. PANAVIA™ Veneer LC spełnia wszystkie powyższe wymagania i daje Ci pełną kontrolę podczas aplikacji, dzięki specjalnie zaprojektowanej strzykawce.

IDEALNA KONSYSTENCJA

Dzięki technologii wypełniaczy nanoklastrowych cement kompozytowy ma idealną konsystencję do łatwego pokrywania powierzchni uzupełnienia protetycznego, choć jednocześnie „nie ciągnie się” za strzykawką.

DOSKONAŁA TIKSOTROPIA

Nowoopracowany sferyczny wypełniacz krzemionkowy zapewnia pozostanie cementu w miejscu aplikacji na licówce. Jednocześnie w czasie jej osadzania na zębie, cement będzie uplastyczniał się – łatwe cementowanie, bez przesunięć i spływania.

ŁATWE USUWANIE NADMIARÓW

Nadmiary cementu mogą być usunięte w jednym kawałku po jednosekundowej wstępnej polimeryzacji (tack-cure).

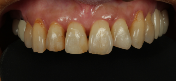
PRZYPADEK KLINICZNY

Dzięki uprzejmości dr Sato

PRZYPADEK KLINICZNY

Dzięki uprzejmości dr Sato

Image 1

1. Sytuacja początkowa przed preparacją zębów 13-23 pod licówki.

Image 2

2. Doskonała konsystencja cementu PANAVIA™ Veneer LC pozwala na łatwą aplikację, osadzenie i usunięcie nadmiarów.

Image 3

3. Polimeryzacja światłem każdej powierzchni i pobrzeża.

Image 4

4. Efekt końcowy po zacementowaniu sześciu licówek z KATANA™ Zirconia” STML.

Szczegółowe informacje znajdują się w instrukcji użytkowania.

Dowody

Świetna polerowalność i utrzymywanie połysku

Świetna polerowalność i doskonałe utrzymanie połysku są fundamentami estetycznych przejść licówki w tkanki zęba.

PANAVIA™ V5 Tooth Primer to samotrawiący primer do tkanek zęba (szkliwa i zębiny), który bezpiecznie tworzy połączenie ząb-cement w chwili aplikacji cementu PANAVIA™ Veneer LC. Technologia wiązania kontaktowego (touch-cure) inicjuje polimeryzację tylko na powierzchni zęba z cementem, zapewniając silne wiązanie do szkliwa i zębiny. Jednocześnie nie wpływa ona na szybkość utwardzania pozostałej części cementu w okolicy pracy protetycznej. Wysoka siła wiązania z materiałami protetycznymi jest uzyskiwania poprzez użycie CLEARFIL™ CERAMIC PRIMER PLUS.

UTRZYMANIE POŁYSKU
UTRZYMANIE POŁYSKU
PANAVIA Veneer LC Paste

Źródło: Kuraray Noritake Dental Inc.

UTRZYMANIE POŁYSKU
UTRZYMANIE POŁYSKU
PANAVIA Veneer LC Paste
Variolink* Esthetic LC
RelyX* Veneer

Warunki testowe: próbka wielkości 10mmφ, grubości 2mm. Po wygładzeniu powierzchni nierozpuszczalnym w wodzie papierem ściernym z gradacją od #1000 do #2500 i pastą polerską. Wartości początkowe (pomiar połysku po polerowaniu). Cykle szczotkowania (pomiar po 40 000 cyklach obciążenie 250g, 30 cykl/min, pasta do zębów 10% wag.). Pomiarów dokonano urządzeniem VG 2000 (Nippon Denshoku Kogyo) pod katem 60°. Uwaga: Wartości mogą się różnić w zależności od warunków pomiaru.

Źródło: Kuraray Noritake Dental Inc.
Nie jest znakiem towarowym KURARAY CO., LTD

Siła adhezji do zębów ludzkich w teście wytrzymałości na ścinanie
Siła adhezji do zębów ludzkich w teście wytrzymałości na ścinanie
Szkliwo
Zębina

Warunki testowe: polerowanie papierem ściernym #1000, wytrawienie szkliwa kw. fosforowym, próbka wielkości 3mmφ przechowywana w wodzie (37°C) przez 1 dzień.

Źródło: Kuraray Noritake Dental Inc.
Nie jest znakiem towarowym KURARAY CO., LTD

Siła adhezji do materiałów protetycznych w teście wytrzymałości na ścinanie
Siła adhezji do materiałów protetycznych w teście wytrzymałości na ścinanie
37°C 1 dzień
TC3000

Warunki testowe: polerowanie papierem ściernym #1000, piaskowanie (KATANA™ Zirconia) lub wytrawianie kw. fluorowodorowym (ceramika szklana), próbka wielkości 5mmφ przechowywana w wodzie (37°C) przez 1 dzień lub poddana termocyklingowi w zakresie 4-60°C.

Źródło: Kuraray Noritake Dental Inc.
Nie jest znakiem towarowym KURARAY CO., LTD

Odcienie

PANAVIA™ TRY-IN PASTE
Clear
Universal (A2)
White
Brown (A4)

CZTERY WYSOKOESTETYCZNE ODCIENIE

KOMPATYBILNE
PASTY TRY-IN

WARSTWA MINIMALNEJ GRUBOŚCI

 

Uzyskanie doskonałego efektu jest niezwykle proste dzięki indywidualnemu doborze odcienia.

 

Pasty próbne Try-in są w pełni kompatybilne z odcieniami PANAVIA™ Veneer LC i pozwalają na wizualizację efektu ostatecznego.

 

Dzięki swojej konsystencji PANAVIA™ Veneer LC daje możliwość pracy w bardzo cienkiej, równomiernie rozprowadzalnej warstwie. Pozwala to na łatwe, bezkolizyjne osadzanie licówek na filarach oraz uzyskanie wysokoestetycznych przejść uzupełnienia protetycznego w tkanki zęba.

CZTERY WYSOKOESTETYCZNE ODCIENIE

Uzyskanie doskonałego efektu jest niezwykle proste dzięki indywidualnemu doborze odcienia.

KOMPATYBILNE PASTY TRY-IN

 

Pasty próbne Try-in są w pełni kompatybilne z odcieniami PANAVIA™ Veneer LC i pozwalają na wizualizację efektu ostatecznego.

WARSTWA MINIMALNEJ GRUBOŚCI

 

Dzięki swojej konsystencji PANAVIA™ Veneer LC daje możliwość pracy w bardzo cienkiej, równomiernie rozprowadzalnej warstwie. Pozwala to na łatwe, bezkolizyjne osadzanie licówek na filarach oraz uzyskanie wysokoestetycznych przejść uzupełnienia protetycznego w tkanki zęba.

  • Internationally highly valued

     

    Testimonials

  • Afbeelding Dr. Greg Campbell, DDS
  • Dr. Greg Campbell, DDS
    USA

    “Love the versatility of the new PANAVIA Veneer LC cement when it comes to delivering my Veneers and Onlays. I can use the PANAVIA V5 Tooth Primer or my CLEARFIL Universal adhesive and get the proven benefits of the Original-MDP and the “Gold Standard” bonding we have come to expect from Kuraray. Easy to use, easy to clean up and extremely strong bonds. Four shades and try-in pastes give me complete control and ensures clinical success time and time again!
    Thank you, Kuraray Noritake for another great product.”

     

  •  

    Dr. Karyn Halpern, DDS
    USA

    “I am so impressed by the bond of this new cement. It’s not only strong but it was super easy to use, place, and clean up!
    Needless to say, I am a fan!”

     

     

  • Afbeelding Dr. Karyn Halpern DDS
  • Afbeelding Dr. Gianmarco O'Brien, DDS, Inc.
  • Dr. Gianmarco O'Brien, DDS, Inc.
    USA

    "This product is what I have come to expect from a company like Kuraray, the leader in adhesive dentistry. Easy to use clinically (excellent handling), very color stable since there is NO POST-BONDING GRAYING effect from tertiary amines (aromatic amine). I have total confidence in the DURABLE bond strength with their products. This is my new go-to veneer adhesive resin cement system!"

     

Produkty

Aby zamówić, wybierz.

PANAVIA™ V5  Try-in Pasta
PANAVIA™ V5 Try-in Pasta

1.8ml

Universal (A2)
Clear
Brown (A4)
White
Opaque

-
+
PANAVIA™ Veneer LC KITS
PANAVIA™ Veneer LC KITS
-
+
CLEARFIL™ CERAMIC PRIMER PLUS
CLEARFIL™ CERAMIC PRIMER PLUS

4ml

-
+
PANAVIA™ Veneer LC aplikatory (16g)
PANAVIA™ Veneer LC aplikatory (16g)

20 Applicator tips (16g)

-
+
PANAVIA™ Veneer LC
PANAVIA™ Veneer LC
-
+
PANAVIA™ V5 Tooth Primer
PANAVIA™ V5 Tooth Primer

4ml

-
+