Tecniche e tecnologie dei materiali per la ricostruzione conservativa nel settore posteriore
Caso clinico realizzato dal Dr. Manuel Tinto
Il restauro diretto dei denti posteriori oggi privilegia tecniche minimamente invasive, volte a preservare la struttura dentale sana. In questo contesto, i materiali universali permettono di ottimizzare i tempi clinici e ottenere risultati estetici e funzionali di qualità.
Questo caso illustra l’uso combinato di Caries Detector, CLEARFIL™ Universal Bond Quick 2, CLEARFIL MAJESTY™ ES Flow Universal Low e Super Low e CLEARFIL MAJESTY™ ES-2 Universal per il trattamento di due lesioni interprossimali su 1.5 e 1.6 (Fig. 1).
Fig. 1: Foto pre-operatoria.
Fig. 2: Applicazione di Caries Detector.
Fig. 3: Il colore è tanto più intenso quanto più il tessuto è cariato.
Per guidare la rimozione selettiva della dentina cariata, si utilizza Caries Detector, che distingue visivamente tra dentina infetta e affetta (Fig. 2, 3). L’escavazione avviene a secco, a bassi giri, con fresa Cera-Bur fino a completa rimozione del colorante, ottenendo una cavità detersa e non geometrica (Fig. 4).
Fig. 4: Cavità rifinite e deterse
Fig. 5: Matrici in sede e cuneo a doppia punta (Quad Matrix) per migliorare il sigillo cervicale su entrambe le matrici.
Fig. 6: Anello Quad Matrix in sede.
Si applica quindi CLEARFIL™ Universal Bond Quick 2 (Fig. 7), adesivo universale con film sottile e ottima bagnabilità, particolarmente adatto in presenza di sottosquadri. L’autore predilige l’approccio self-etch con mordenzatura selettiva dello smalto per 15 secondi.
Sul fondo cavitario si posiziona CLEARFIL MAJESTY™ ES Flow Universal Low (Fig. 8) per uniformare le irregolarità, seguito dalla ricostruzione delle pareti interprossimali con CLEARFIL MAJESTY™ ES-2 Universal in pasta. La sistematica Quad Matrix consente di modellare entrambe le pareti simultaneamente.
Fig. 7: Applicazione di CLEARFIL™ Universal Bond Quick 2 previa mordenzatura selettiva dello smalto (15 s).
Fig. 8: Posizionamento di CLEARFIL MAJESTY™ ES Flow Universal (U) Low come liner cavitario.
La cavità di I classe viene completata stratificando due materiali:
- CLEARFIL MAJESTY™ ES Flow Universal (UD) Super Low per le zone profonde e difficili da raggiungere, simulando la dentina.
- CLEARFIL MAJESTY™ ES-2 Universal per lo strato finale, grazie a maneggevolezza, resistenza ed estetica. La tonalità universale si integra perfettamente (Fig. 9, 10, 11).
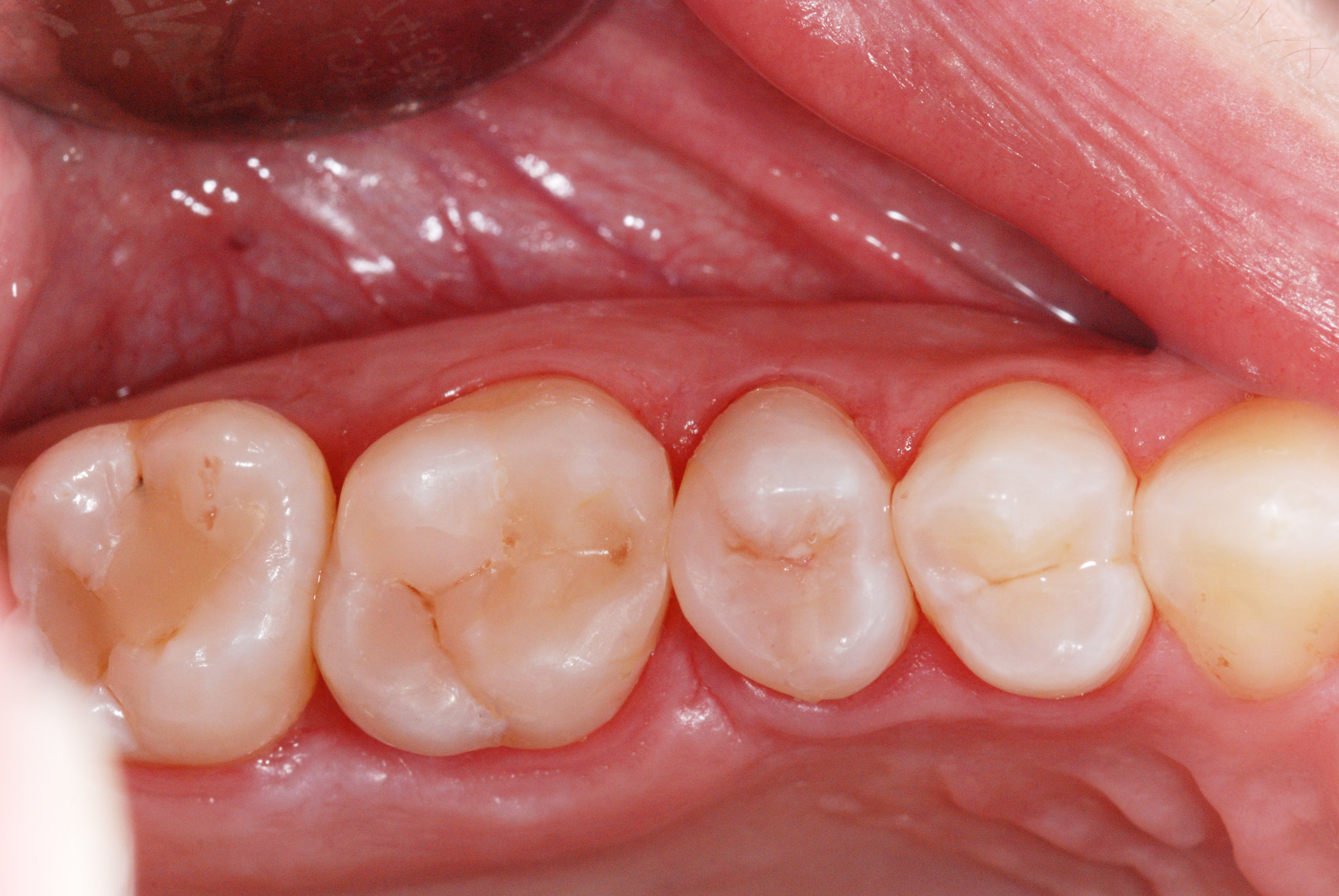
Fig. 9: Restauri realizzati con una combinazione di composito fluido e composito in pasta (vedi testo).
Fig. 10: Restauri ultimati rifiniti e lucidati sotto diga.
Fig. 11: Restauri ultimati dopo check occlusale.
Considerazioni finali
Caries Detector consente una rimozione selettiva della dentina infetta, preservando la struttura sana. CLEARFIL™ Universal Bond Quick 2 garantisce penetrazione ottimale anche in cavità complesse. L’abbinamento dei materiali CLEARFIL MAJESTY™ offre riempimento preciso, estetica naturale e durabilità. L’uso di materiali universali consente di semplificare il protocollo clinico, ottenendo restauri predicibili, minimamente invasivi e durevoli nel tempo.
Autore:

Dr. Manuel Tinto
Nel 2019 ha conseguito la Laurea in Odontoiatria e Protesi Dentaria con una tesi sulla chirurgia implantare guidata presso la Scuola di Medicina e Chirurgia di Milano-Bicocca.
Nel 2019 ha concluso il Post-Graduate “Problem Solving in Parodontologia” presso l’Università di Ferrara.
Nel 2021 ha completato il Post-Graduate in “Chirurgia estetica ricostruttiva parodontale e peri-implantare” presso l’Università Vita-Salute San Raffaele.
Nella quotidianità si dedica all’odontoiatria restaurativa, alla protesi adesiva, alla parodontologia e al trattamento dei disordini temporo-mandibolari.
- 24 ott 2025