Sinergia tra CERABIEN MiLai e Amber Mill: un nuovo standard per estetica e affidabilità
Caso clinico realizzato dal Dr. Vincenzo Musella
La paziente, giovane e attenta all’estetica del proprio sorriso, si è presentata con vecchie ricostruzioni in composito sugli incisivi centrali superiori (11 e 21). Tali restauri risultavano inadeguati dal punto di vista sia estetico sia funzionale, evidenziando difetti legati al materiale, alla forma e al colore. L’integrazione con i denti naturali era visibilmente compromessa, determinando un’alterazione dell’armonia complessiva del sorriso e un risultato non soddisfacente per la paziente.
Dopo un’attenta analisi estetica e funzionale, si è deciso di rimuovere i restauri in composito e di sostituirli con due faccette in disilicato di litio Amber™ Mill. Questo materiale è stato scelto per le sue eccellenti proprietà ottiche, che permettono di modulare traslucenza e opacità in base alla temperatura di cristallizzazione, garantendo un risultato altamente naturale.

Fig. 1: Visione frontale dei vecchi restauri in composito.

Fig. 2: Modello master: dopo la rimozione dei vecchi restauri in composito, è visibile l'anatomia degli elementi 11 e 21.
Per migliorare ulteriormente l’integrazione estetica con i denti adiacenti, si è optato per l’applicazione di CERABIEN MiLai Internal Stain, consentendo una personalizzazione cromatica mirata e un adattamento ottimale alle caratteristiche individuali della paziente.
Inoltre, la stratificazione con ceramica sintetica CERABIEN™ MiLai è stata impiegata per assicurare una perfetta stabilità cromatica nel tempo, mantenendo un livello di luminosità ideale e conferendo al restauro un aspetto estremamente naturale e armonioso.
Inoltre, la stratificazione con la ceramica sintetica CERABIEN MiLai ha assicurato una luminosità ottimale e un equilibrio cromatico ideale. L’integrazione tra la cottura intermedia degli stain e quella finale della massa ceramica ha rappresentato quel valore aggiunto che ha contribuito al raggiungimento del risultato finale desiderato.

Fig. 3: Cottura degli Internal Stain CERABIEN MiLai.

Fig. 4: Stratificazione della ceramica CERABIEN MiLai. La forma finale è realizzata con Luster LT1 e LTx.

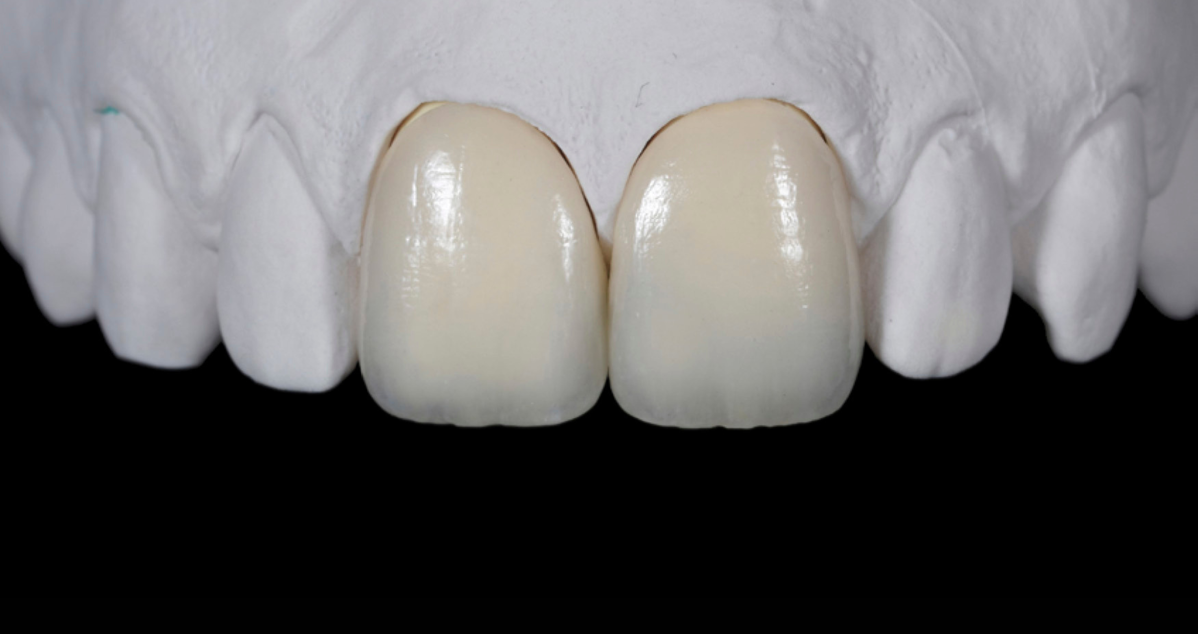
Fig. 5: Modello master con le faccette terminate. Aspetto finale dopo la lucidatura.

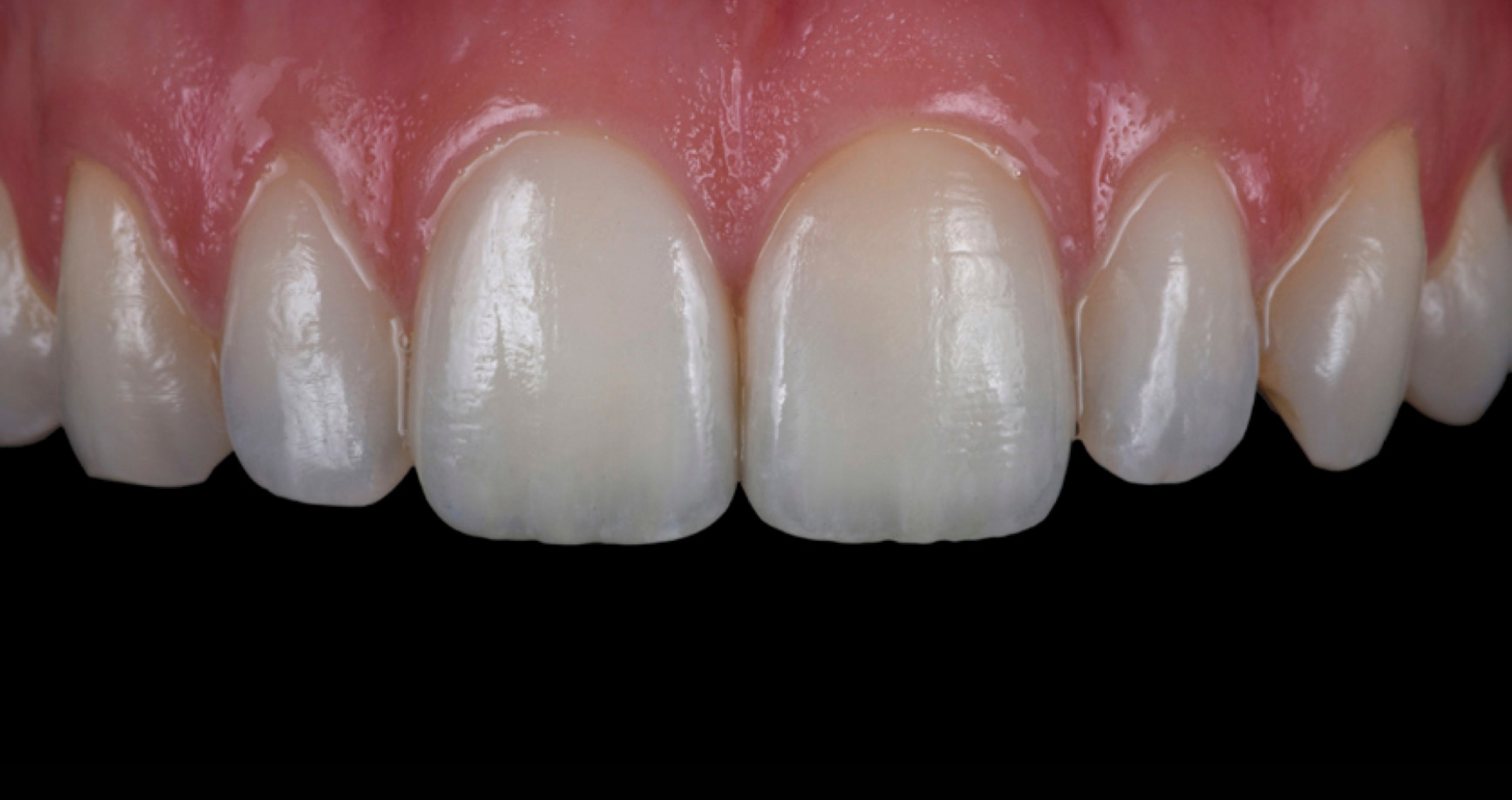
Fig. 6: Immagine intraorale dei restauri cementati. Effetto finale naturale delle faccette in disilicato di litio Amber™ Mill e CERABIEN MiLai.
Questo approccio ha permesso di ottenere un risultato estetico altamente soddisfacente, ripristinando non solo l’armonia del sorriso, ma anche la fiducia della paziente nel proprio aspetto.

Fig. 7: Modello master con faccette terminate. Verifica forma e colore prima della cementazione.
Conclusioni
L’estetica del gruppo frontale ha sempre rappresentato una delle sfide più complesse della nostra professione; tuttavia, i progressi nei materiali consentono oggi di affrontare tali difficoltà con maggiore efficacia e precisione. L’impiego combinato di Amber™ Mill e CERABIEN MiLai ha permesso di ottenere un risultato finale di elevata qualità estetica, nonostante la limitata disponibilità di spessori in questo caso.
In particolare, il notevole vantaggio offerto da Amber™ Mill – la possibilità di modulare traslucenza e opacità in funzione della temperatura di cristallizzazione – mi ha consentito di adattare le faccette alle specifiche esigenze cromatiche, garantendo un aspetto naturale insieme a un adeguato mascheramento della struttura dentale sottostante.
Inoltre, la stratificazione con la ceramica sintetica CERABIEN MiLai ha assicurato una luminosità ottimale e un equilibrio cromatico ideale. L’integrazione tra la cottura intermedia degli stain e quella finale della massa ceramica ha rappresentato quel valore aggiunto che ha contribuito al raggiungimento del risultato finale desiderato.
Autore:

Dr. Vincenzo Musella
- 24 nov 2025