429 Too Many Requests

429 Too Many Requests


nginx

Identificazione

Il contenuto del sito www.kuraraynoritake.eu/it è riservato agli operatori sanitari e riporta informazioni sui prodotti che possono creare situazioni di pericolo per la salute e la sicurezza del paziente se non correttamente lette, comprese ed applicate da un professionista.

In ottemperanza con quanto previsto dalla normativa vigente, dichiaro quindi, sotto la mia responsabilità, di essere un professionista del settore odontoiatrico e/o odontotecnico e di essere pertanto autorizzato a prendere visione del contenuto presente in questo sito internet

Riabilitazione con faccette e corone MiLai-KATANA STML

Caso clinico realizzato da Dr. Federico Emiliani, Odt. Francesco e Fabrizio Ferretti

 

Negli ultimi anni, l’introduzione della zirconia traslucente ha permesso di combinare resistenza meccanica ed estetica, rendendola una valida alternativa alle faccette in disilicato di litio in casi selezionati.

 

Descrizione del caso clinico

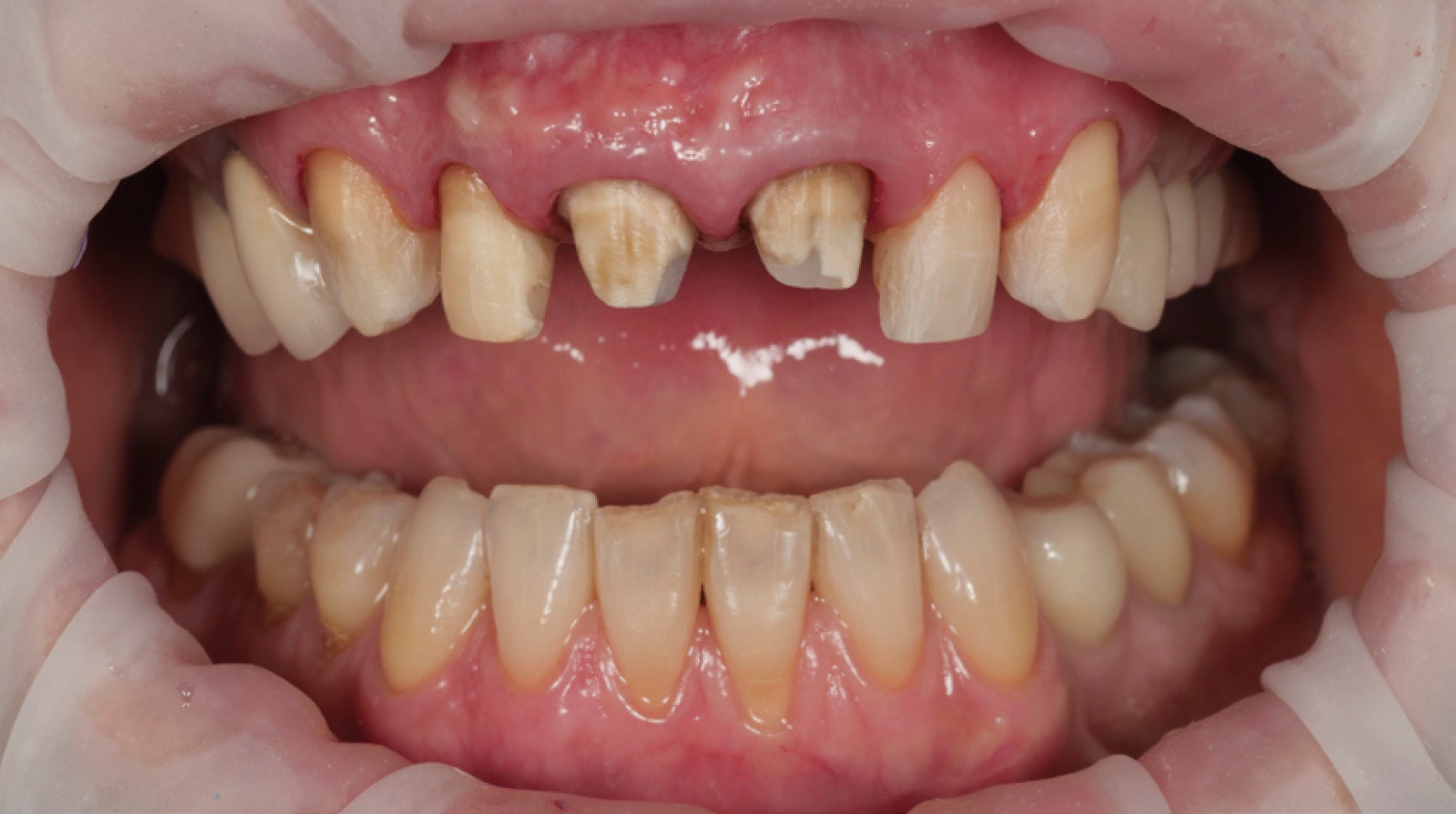
Una paziente di 52 anni, in buono stato di salute, presentava corone incongrue su 11 e 21 con discromie dei monconi e desiderava migliorare l’armonia cromatica e morfologica del sorriso.
La preparazione dentale è stata minimamente invasiva (riduzione dello smalto 0,3–0,5 mm) con linea di finitura a chamfer sottogengivale, seguita da scansione orale digitale.
In laboratorio, si è proceduto alla progettazione CAD e alla fresatura delle faccette in KATANA™ Zirconia STML
Per compensare le differenze di spessore tra corone e faccette e mascherare le discromie, è stato applicato un opacizzante interno prima della sinterizzazione, seguito da una stratificazione sottile con ceramica CERABIEN™ MiLai e liquido IS per ottimizzare il controllo cromatico.

 

Fig. 1: Situazione iniziale.

 

Fig. 2: Preparazioni e presa del colore del substrato.

 

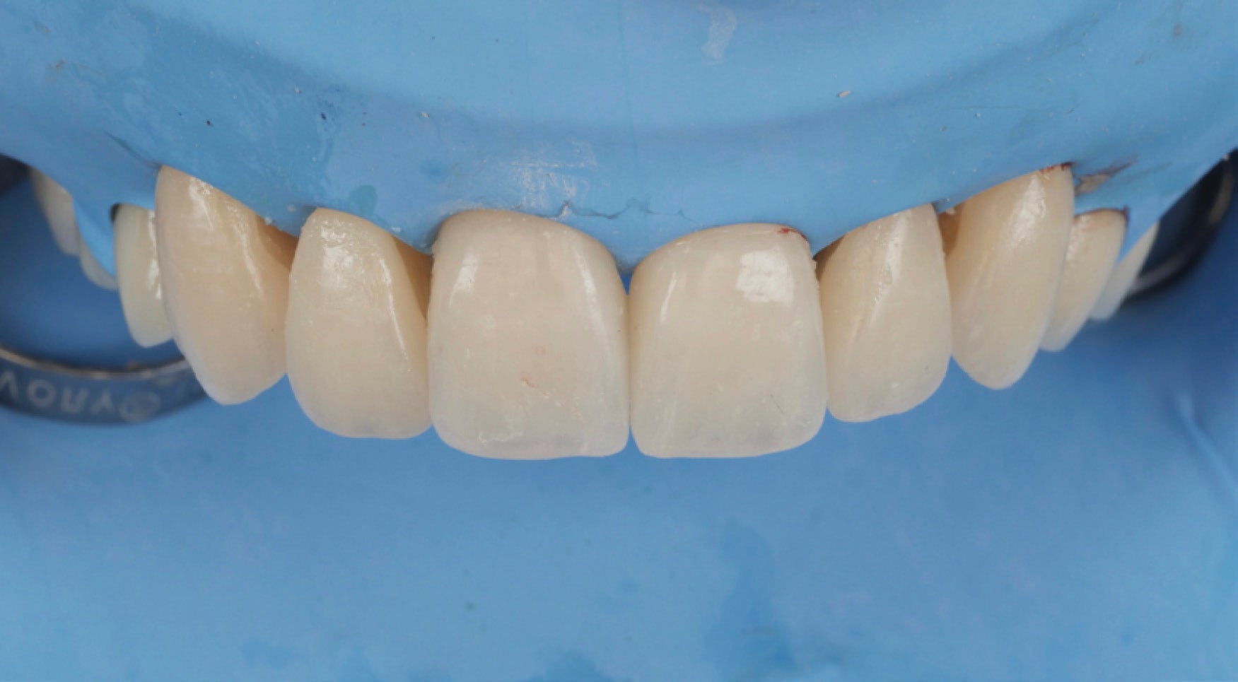
Fig. 3: Faccette e corone in KATANA Zirconia STML.

 

Fig. 4: CERABIEN MiLai Internal Stain.

 

Fig. 5: Stratificazione masse opalescenti e traslucenti CERABIEN MiLai.

 

Fig. 6: Faccette finite pronte per l'invio allo studio.

 

Dopo la prova estetico-funzionale con approvazione della paziente, tutti i restauri (corone su 11 e 21, faccette su 13, 12, 22 e 23) sono stati cementati con PANAVIA™ V5, cemento composito adesivo a doppia polimerizzazione con monomero MDP, che garantisce elevata affinità chimica con la zirconia.

Il protocollo di cementazione ha incluso:

  • sabbiatura leggera dei manufatti in zirconia;
  • applicazione di CLEARFIL™ Ceramic Primer Plus;
  • mordenzatura selettiva dello smalto e primer dentinale;
  • cementazione sotto isolamento, con accurato posizionamento e fotopolimerizzazione sequenziale.

 

Fig. 7: Fase di cementazione sotto isolamento.

 

Fig. 8: Risultato finale sotto diga.


Fig. 8: Risultato estetico finale.

 

Conclusioni

Le faccette in zirconia, sebbene meno utilizzate rispetto a quelle in disilicato di litio, offrono un’elevata resistenza e una buona estetica in pazienti selezionati. L’utilizzo della zirconia ultra-traslucente consente un’ottima mimetizzazione con i tessuti dentali naturali, specialmente in pazienti con substrati dentali discromici o quando si richiede una maggiore opacità per mascherare difetti.
La scelta dell’adesivo e la tecnica di cementazione rappresentano fattori critici per il successo a lungo termine. L’approccio digitale ha consentito una pianificazione precisa e predicibile.
Le faccette in zirconia rappresentano una valida opzione per la riabilitazione estetica anteriore in pazienti selezionati, con il vantaggio di una maggiore resistenza e un’estetica soddisfacente, soprattutto se supportate da una pianificazione digitale dettagliata e una corretta esecuzione clinica.

 

Autori:

 

Dr. Federico Emiliani

Odt. Francesco Ferretti Odt. Fabrizio Ferretti