Restauro con faccette in KATANA Zirconia micro-stratificata
Caso clinico realizzato da Dr. Paolo Scattarelli e Odt. Stefano Lograno
Le faccette in zirconia cubica stratificata rappresentano una soluzione protesica avanzata per il trattamento estetico del settore anteriore, grazie all’elevata resistenza e alla traslucenza comparabile alla ceramica feldspatica. In pazienti con preesistenti ricostruzioni incongrue e diastemi da migrazione dentale post-parodontale, è essenziale un approccio estetico e funzionale integrato.
Descrizione del caso clinico
Una paziente di 52 anni si è presentata con l’obiettivo di migliorare l’estetica degli incisivi centrali superiori, caratterizzati da restauri compositi datati e spazi interdentali residui dovuti a pregressa malattia parodontale. Dopo aver ottenuto la stabilità parodontale, si è optato per la realizzazione di quattro faccette in KATANA™ Zirconia.
Il piano di trattamento ha incluso:
- analisi estetica e fotografica;
- ceratura diagnostica e mock-up;
- preparazioni minimamente invasive;
- impronta digitale;
- realizzazione delle faccette in KATANA™ Zirconia con stratificazione estetica vestibolare;
- cementazione adesiva sotto diga di gomma, con tecnica adesiva selettiva per smalto.
Tecnica di internal stain e micro-stratificazione con CZR
Per la realizzazione delle faccette in zirconia cubica stratificata KATANA™ Zirconia YML, è stata adottata la tecnica Internal Live Stain, abbinata alla micro-stratificazione con ceramica CZR™.
La zirconia cubica di 5° generazione, grazie alla sua traslucenza e durezza progressiva, permette di simulare la resa estetica di un dente naturale e di ottenere, con minimi spessori, risultati molto naturali.
La tecnica di Internal Stain ha previsto l’applicazione di ceramiche colorate specifiche direttamente sulla superficie della zirconia, prima della stratificazione, per personalizzare cromaticamente le faccette, replicando le sfumature naturali del dente e migliorando l’integrazione estetica con i denti adiacenti. Successivamente, la micro-stratificazione con CZR con tecnica 4.4.1. è stata eseguita con strati sottili di smalti Luster, applicati in modo selettivo, per ottimizzare la traslucenza e la resa estetica vestibolare senza compromettere la resistenza strutturale. Questo approccio ha permesso di ottenere un risultato altamente estetico, con una chiusura efficace dei diastemi e un’armonizzazione del sorriso, mantenendo uno spessore protesico ridotto e un’integrazione naturale con i tessuti parodontali.

Fig. 1: Situazione iniziale della paziente con richieste di ripristino estetico funzionale degli elementi dentali frontali superiori.

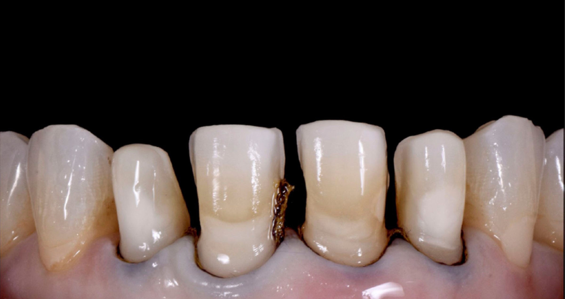
Fig. 2: Dettaglio delle preparazioni.

Fig. 3: Fasi di stratificazione della ceramica di rivestimento.

Fig. 4: Condizionamento delle faccette e dei tessuti con primer CLEARFIL™ Ceramic Primer Plus prima della cementazione.

Fig. 5: Condizionamento delle faccette e dei tessuti con primer PANAVIA™ prima della cementazione.

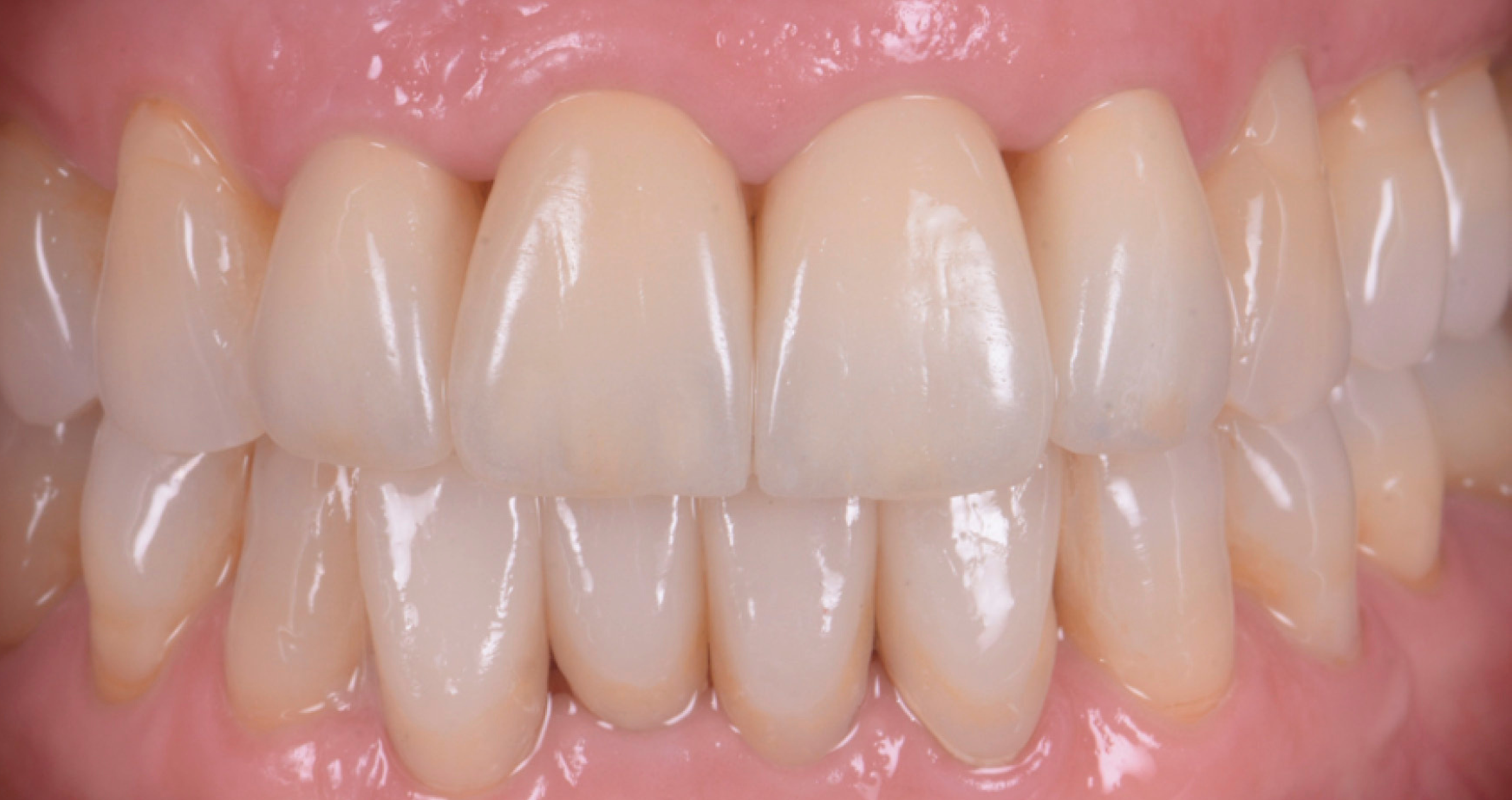
Fig. 6: Situazione finale della paziente con integrazione funzionale ed estetica dei restauri.

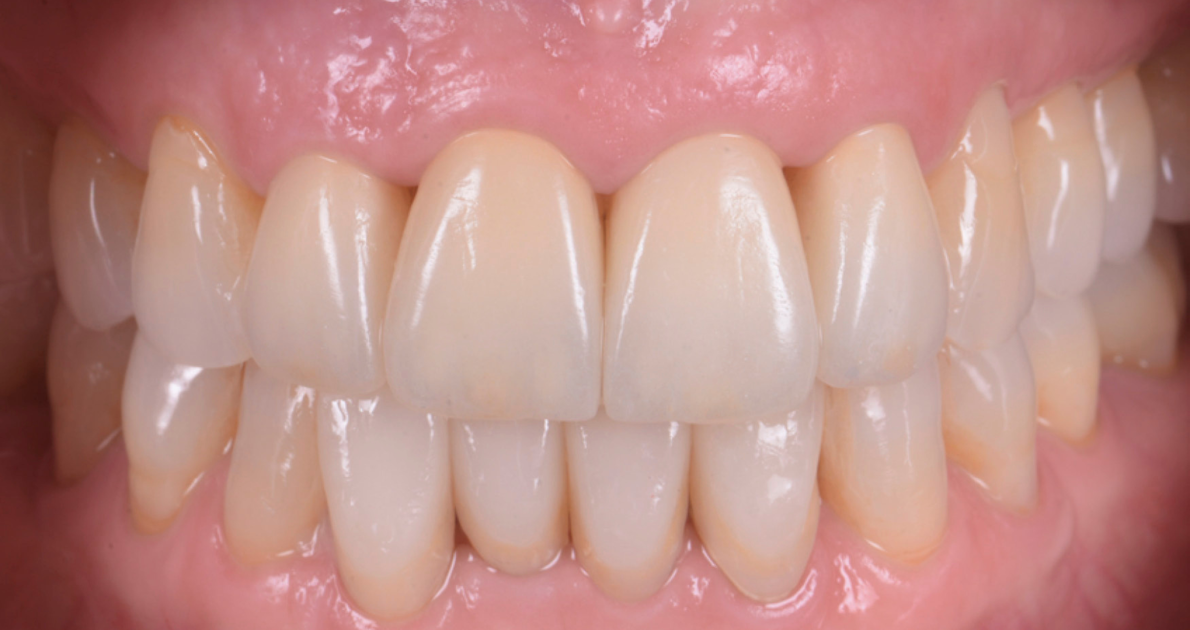
Fig. 7: Dettaglio dei rapporti protesico-parodontali dei restauri.

Fig. 8: Follow up a 3 anni.
Conclusioni
A 6 mesi dalla cementazione, le faccette mostrano un’eccellente integrazione estetica, stabilità cromatica e buona risposta dei tessuti parodontali.
Le faccette in zirconia cubica stratificata KATANA Zirconia YML combinano resistenza strutturale e resa estetica elevata, rendendole ideali in casi clinici in cui sia necessario bilanciare esigenze funzionali e richieste estetiche. Il design minimamente invasivo e la progettazione digitale sono fondamentali per il successo a lungo termine.
Il caso dimostra l’efficacia dell’impiego di faccette in zirconia cubica stratificata KATANA Zirconia nella riabilitazione estetica del settore anteriore, soprattutto in presenza di diastemi post-parodontali e restauri preesistenti.
Autori:
![]() |
![]() |
|
Dr. Paolo Scattarelli |
Odt. Stefano Lograno |
- 24 nov 2025

