L’impiego di CERABIEN MiLai in una riabilitazione con faccette
Caso clinico realizzato da Odt. Francesco Napolitano
Il caso presentato, affidato al laboratorio dal Dr. Giorgio Atzeri, tratta il ripristino dell’arcata superiore mista tra denti ed impianti.
Dopo aver eseguito una progettazione digitale del caso, che è stata approvata dal medico e dal paziente, si è proceduto con le fasi successive quali preparazione dei denti, posizionamento implantare mediante chirurgia guidata nelle zone edentule e posizionamento del provvisorio per la guarigione dei tessuti.
Ultimata la guarigione dei tessuti e l’osteointegrazione degli impianti, il medico ha eseguito delle scansioni intraorali per la progettazione del definitvo.
Il lavoro eseguito in laboratorio non è altro che la copia del provvisorio, trasformato in KATANA™ Zirconia, in forma monolitica per il settore posteriore, e con cut-back di 0,4 mm da 13 a 23.
Fresata la zirconia, il lavoro è stato finalizzato con CERABIEN™ MiLai.
Per aggiungere effetti sui restauri in zirconia, sono stati utilizzati gli internal ricoperti da una massa opalescente, LT1.

Fig. 1: Foto iniziali.

Fig. 2: KATANA Zirconia YML posizionata su modello 3D.

Fig. 3: Applicazione CERABIEN™ MiLai Internal Stain [Incisal Blue 1 + Bright (20+80), Bright + A+ (70+30), Bright + Salmon Pink + Gray + A+ (60+15+15+10)].

Fig. 4: Ricopertura con CERABIEN™ MiLai LT1 per completare il volume.

Fig. 5: Lavoro ultimato su modello.

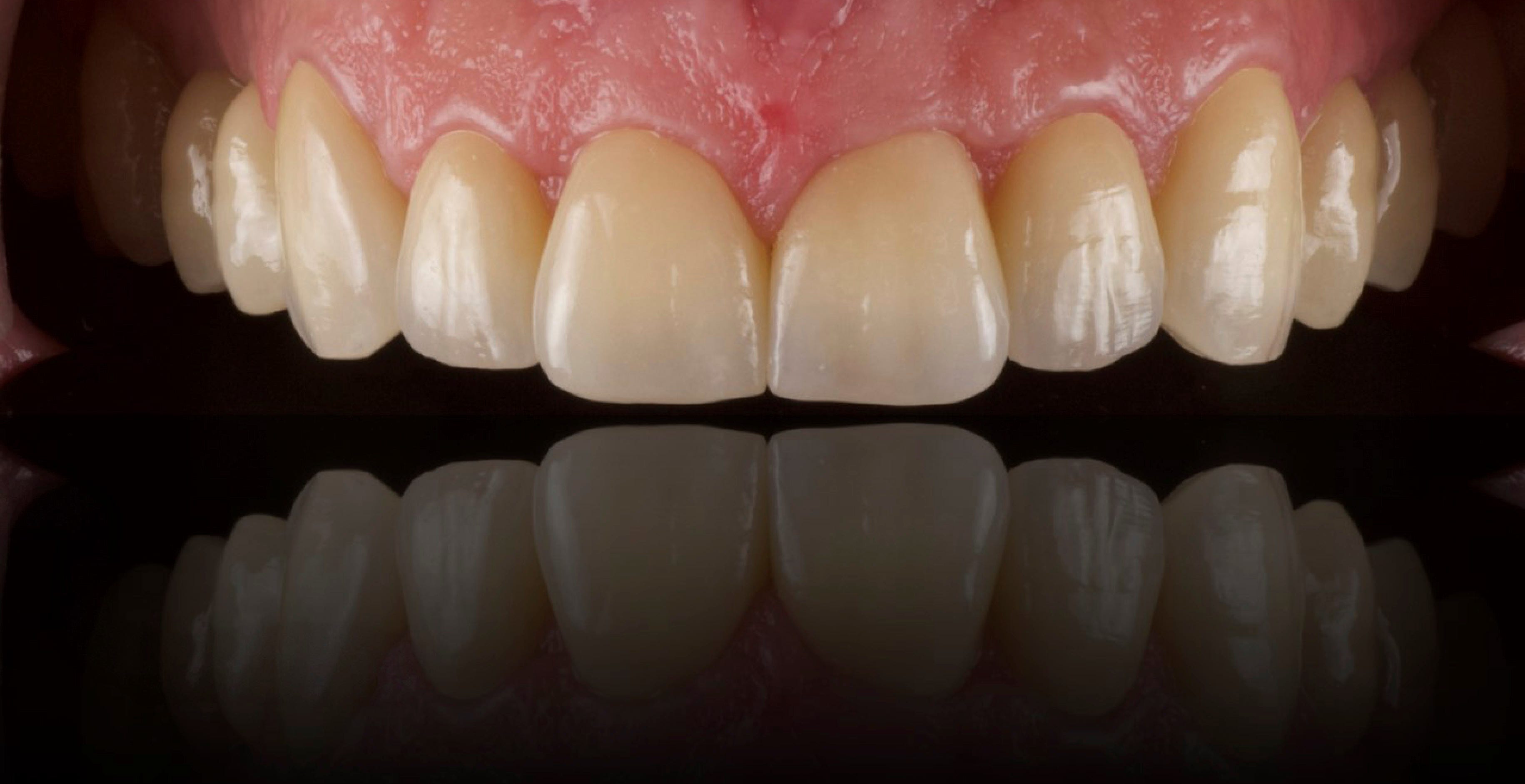
Fig. 6: Lavoro ultimato in situ.
Autore:

Odt. Francesco Napolitano
Diplomato nel 2000 all’I.P.S.I.A. “G. Giorgi” di Avellino, ha iniziato la sua carriera collaborando con laboratori di eccellenza del territorio campano, tra cui quello del Maestro Vincenzo Mutone. Nel tempo ha sviluppato una profonda specializzazione nella protesi fissa, con particolare attenzione alla zirconia, ai metalli e ai compositi, distinguendosi per competenza e precisione.
Appassionato di innovazione, si è dedicato con entusiasmo alle tecnologie CAD-CAM, partecipando a numerosi corsi di perfezionamento con esperti di fama nazionale e internazionale. Ha tenuto corsi con il Dott. Massimo Buda sull’implantologia computer assistita e ha ottenuto importanti riconoscimenti, tra cui la vittoria dei contest ANTLO 2019 e ANTLO Challenge 2020.
Dal 2019 collabora con Kuraray Noritake come relatore e formatore sulla zirconia cubica e microstratificazione, ed è docente ANTLO Formazione. Dal 2023 è socio attivo dell’AOA, continuando a promuovere una visione moderna e digitale dell’odontotecnica.
Oggi dirige il laboratorio “YOUR SMILE” a Nola, dove affianca medici di fama internazionale, unendo esperienza artigianale e tecnologie avanzate.
- 21 nov 2025