La matrice per la Flow Injection: un’innovazione per l’estetica in composito predicibile e sostenibile
Caso clinico realizzato dal Dr. Luca Alibrandi
Nel settore dell’odontoiatria estetica, ottenere risultati naturali, duraturi e predicibili richiede materiali avanzati, strumenti precisi e abilità clinica. CLEARFIL MAJESTY™ ES Flow Universal, grazie alla sua versatilità e tecnologia innovativa, aiuta a standardizzare la riabilitazione estetica anche in casi complessi (Fig. 1-3).

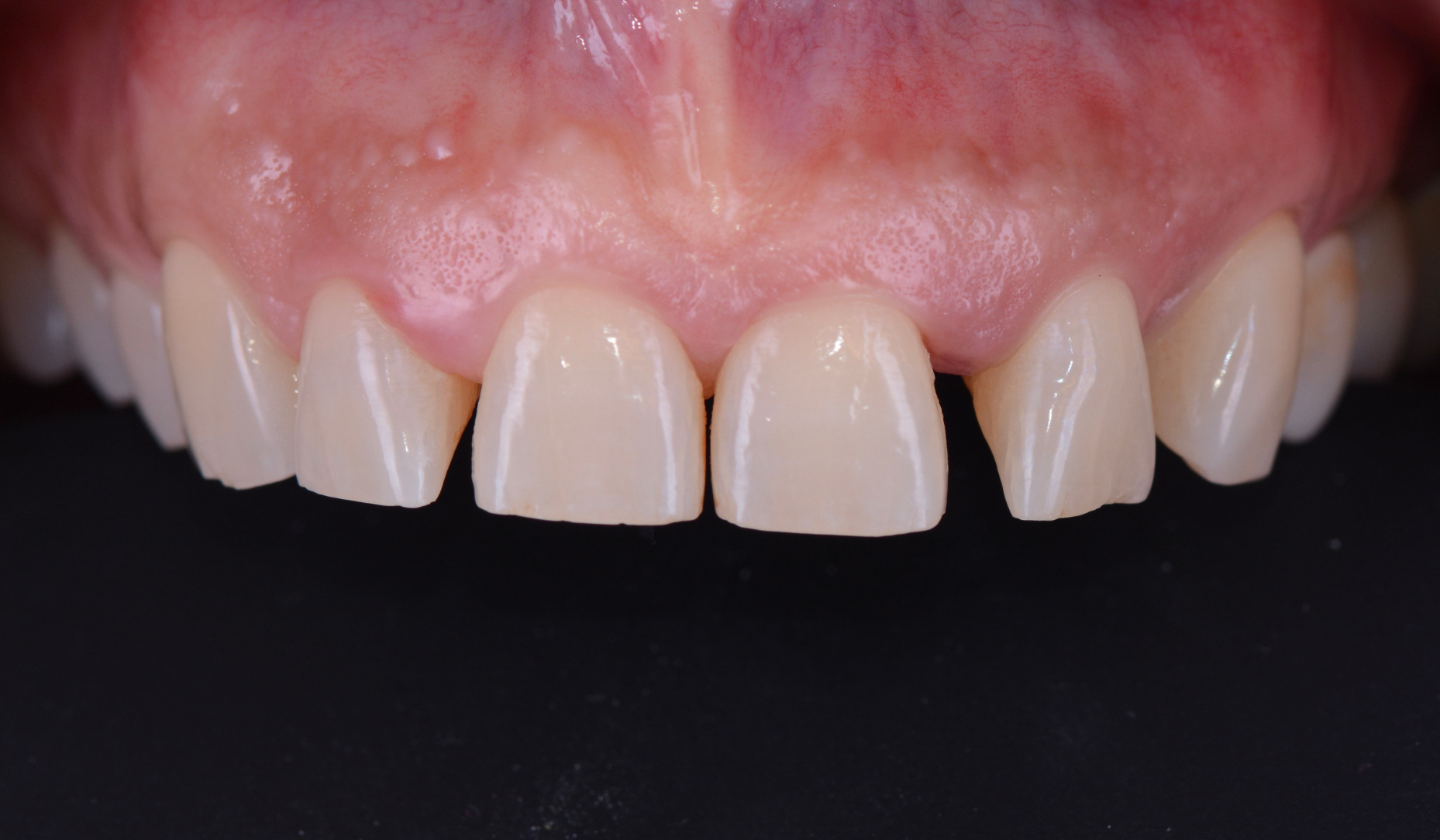
Fig. 1: Situazione iniziale: presenza di multipli diastemi. La paziente non vuole affrontare una trerapia di veneering indiretta.

Fig. 2: Paziente con morso profondo e deglutizione atipica che ha determinato lo sventagliamento soprattutto del settore anterosuperiore di sinistra. La paziente rifiuta il trattamento ortodontico.

Fig. 3: Dettaglio del sestante superiore.
CLEARFIL MAJESTY™ ES Flow Universal, composito fluido monocromatico, semplifica la gestione del colore grazie al sistema di tonalità guidate, garantendo armonia estetica senza la complessità delle sfumature multiple. Disponibile in due livelli di fluidità (Low e Super Low), offre ottima lavorabilità per le diverse aree di restauro.
La versione Low (75 wt%, 59 vol%) ha resistenza alla flessione di 151 MPa e alla compressione di 373 MPa ed è ideale per le zone anteriori e per l’iniezione nelle matrici IVENEER, grazie alla gestione agevole e alla brillantezza duratura. La radiopacità (140% Al) assicura visibilità nelle radiografie di controllo.
La versione Super Low, con riempitivo al 78 wt% (60 vol%) e radiopacità al 150% Al, garantisce resistenza di 152 MPa in flessione e 374 MPa in compressione. Perfetto per settori posteriori, offre durabilità e resistenza anche sotto sollecitazioni elevate.
Il design intelligente della siringa permette un’estrazione precisa, riducendo sprechi e facilitando l’applicazione. Entrambe le formulazioni permettono lucidatura semplice e lunga brillantezza.
L’uso combinato con le matrici IVENEER (Fig. 4) consente di modellare con precisione la morfologia incisiva, creando un contorno ideale e un ambiente chiuso che migliora la polimerizzazione superficiale (Fig. 5). Si ottiene così un restauro più resistente, lucido e duraturo. I compositi fluidi facilitano l’adattamento delle forme e la correzione delle proporzioni naturali, per un risultato armonioso.
Le componeer possono poi essere rifinite in modo sottrattivo o additivo (Fig. 6-8), adattandosi a situazioni come diastemi ampi e irregolari, semplificando il workflow e migliorando il risultato finale.

Fig. 4: IVENEER in posizione sotto diga: queste matrici innovative, utilizzate con l’isolamento classico, permettono un sigillo molto performante, per evitare contaminazioni durante la fase di iniezione.

Fig. 5: La prima polimerizzazione sempre dal palato per permettere la contrazione delle resine verso lo smalto e aumentare l’adesione dei restauri diretti.

Fig. 6: La fase di lucidatura è favorita dalla creazione, tramite le matrici, di un ambiente che aiuta a limitare la superficie inibita dall’ossigeno, in questo caso però siamo costretti a modellare per sottrazione gli elementi per ricreare un’armonia d’insieme.

Fig. 7: Situazione post injection.

Fig. 8: Tessitura superficiale con caratterizzazioni morfologiche longitudinali per migliorare le proporzioni coronali.

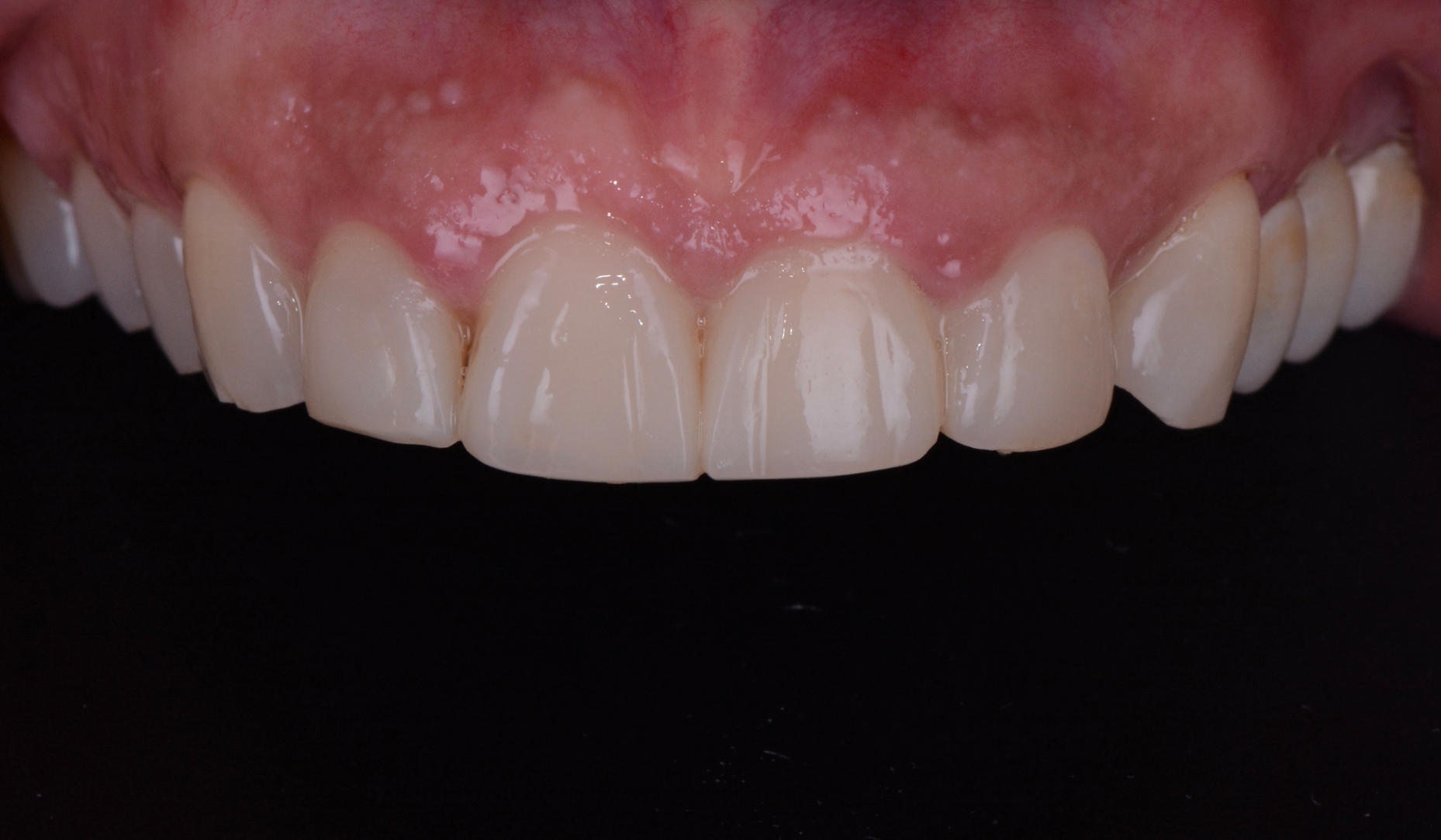
Fig. 9: Dettaglio dei centrali dopo la lucidatura.
Considerazioni finali
L’uso combinato di CLEARFIL MAJESTY™ ES Flow Universal e delle matrici IVENEER rappresenta un progresso nel restauro estetico degli incisivi. Le proprietà del composito (resistenza, lavorabilità, brillantezza) unite alle matrici preformate permettono risultati naturali e di alta qualità in tempi ridotti. Anche pazienti con limitazioni economiche possono accedere a trattamenti efficaci e tornare a sorridere (Fig. 9).
Autore:

Dr. Luca Alibrandi
Laureato in odontoiatria e protesi dentale presso l’Universidad Europea De Madrid nel 2014, dal 2015 al 2017 si specializza in “Parodontologia ed Impiantologia” con un master biennale full time presso la stessa università con la tesi “Valutazione dei diversi trattamenti periimplantari” frequentando attivamente lo studio del Professor Ricardo Fernandez.
Socio Sipro, Aiop, Sidp, Sepa, Sepes e ITI dal 2014 integra la sua preparazione frequentando lo studio del Dott. Agostino Scipioni e collaborando presso lo studio privato del Professor Dario De Leonardis.
Partecipa al corso annuale Aiop di protesi nel 2018/19.
Lavora presso lo studio Odontoiatrico Alibrandi come specialista in parodontologia, impiantologia e protesi.
Dal 2023 collabora come relatore per l’azienda di scanner intraorali 3shape realizzando vari materiali didattici e serate formative in ambito protesico.
- 24 ott 2025