Workflow digitale ottimizzato per la tecnica di Flow Injection con CLEARFIL MAJESTY ES Flow Universal
Caso clinico realizzato dal Dr. Giuseppe Iacona
La Flow Injection Technique rappresenta un approccio innovativo e predicibile per il restauro estetico di uno o più elementi in una singola seduta (Fig. 1). Questa metodologia, frutto della sinergia tra clinico e laboratorio, consente risultati ripetibili già dal primo intervento, offrendo comfort e durata nel tempo per il paziente.
Nel caso descritto, la paziente desiderava chiudere un diastema tra 3.1 e 4.1 (Fig. 1). Dopo valutazioni cliniche, radiografiche e parodontali, si è optato per la tecnica iniettiva, scartando soluzioni ortodontiche e con veneers.

Fig. 1: Foto extraorali della paziente: situazione iniziale.
![]() |
![]() |
![]() |
| Fig. 2: Realizzazione mock-up digitale. | ||
La tecnica prevede l’iniezione di composito fluido tramite una dima trasparente (in silicone o resina stampata), realizzata a partire da un mock-up digitale o analogico (Fig. 1-2). È una valida opzione terapeutica grazie alla combinazione tra materiali compositi avanzati e tecnologia digitale.
Si è proceduto con scansioni intraorale e facciale, per creare un modello digitale del caso (Fig. 2). Il matching delle due scansioni ha permesso di simulare virtualmente la situazione iniziale. Da qui, si è generato un wax-up trasformato in modello 3D stampato e mascherina in putty per la prova mock-up.
La prova mock-up (Fig. 3) ha permesso una valutazione estetica e funzionale attraverso mordenzatura selettiva e stampaggio del materiale nella dima, offrendo un’anteprima del risultato.

Fig. 3: Prova mock-up.
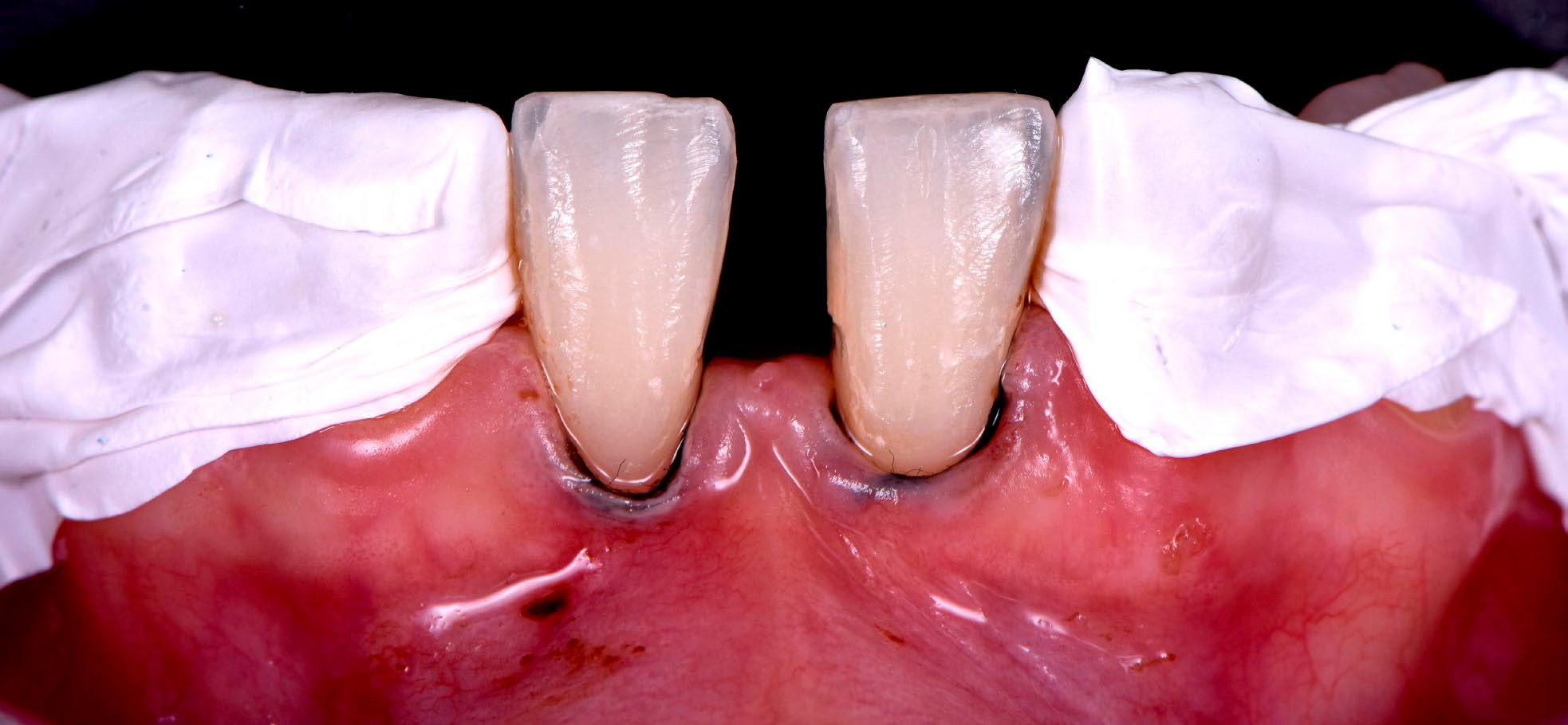
Successivamente, si è proceduto con la realizzazione delle due faccette dirette mediante Injection Technique, in un’unica seduta (Fig. 4). Dopo l’applicazione del filo di retrazione gengivale e gel astringente (Fig. 5), si è isolato con teflon e mordenzato (Fig. 6-7), quindi applicato l’adesivo CLEARFIL™ Universal Bond Quick 2 (Fig. 8).

Fig. 4: Baseline.

Fig. 5: Applicazione filo di retrazione con gel astringente.

Fig. 6: Isolamento denti contigui con teflon dentale.

Fig. 7: Mordenzatura.

Fig. 8: Applicazione CLEARFIL™ Universal Bond Quick 2.

Fig. 9: Dime iniettive.

Fig. 10: Applicazione Dima Injection.

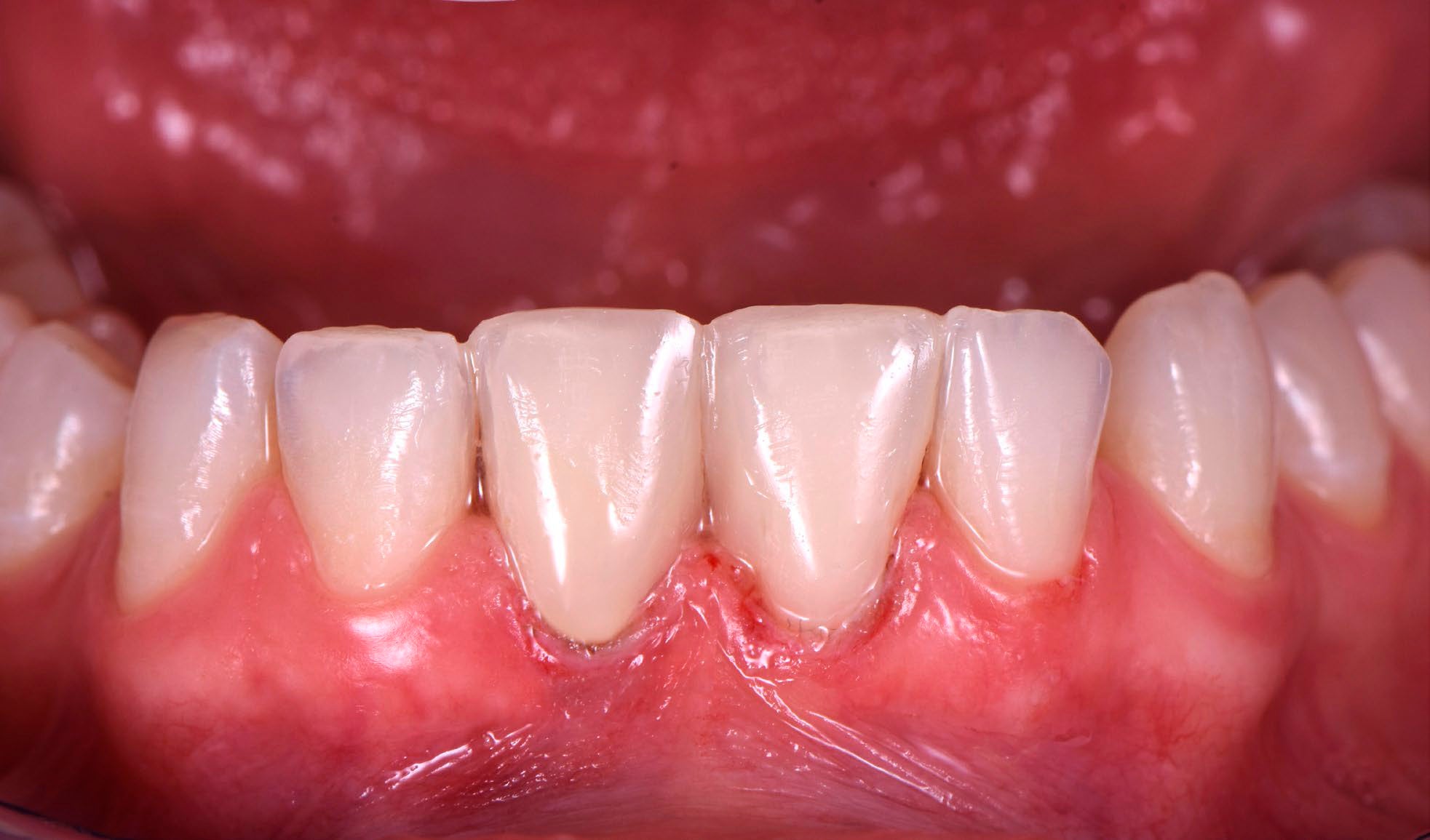
Fig. 11: Risultato finale.
Considerazioni finali
CLEARFIL MAJESTY™ ES Flow Universal si distingue per eccellenti caratteristiche estetiche, resistenza a compressione e flessione, e capacità mimetica. Le sue proprietà di translucenza, variabili con lo spessore, consentono una resa policromatica con un solo materiale, soprattutto nella versione Universal. L’effetto camaleonte del materiale garantisce una fusione cromatica con i denti adiacenti, rendendo il restauro indistinguibile. Ciò assicura durata nel tempo, bassa incidenza di fratture e risultati altamente soddisfacenti, ideali per affrontare un’ampia gamma di esigenze estetico-funzionali.
- 14 nov 2025


