429 Too Many Requests

429 Too Many Requests


nginx

Identification

Je certifie être un professionnel de la santé bucco-dentaire et être autorisé à accéder à cet espace.

PANAVIA Veneer LC (CB)

CARACTÉRISTIQUES ET AVANTAGES

1

UNE TECHNOLOGIE DE POLYMERISATION INNOVANTE

Le collage photopolymérisable offre un long temps de travail qui facilite la mise en place simultanée de plusieurs facettes. PANAVIA™ V5 Tooth Primer fixe l'interface adhésive par une polymérisation immédiate au contact de la pâte (touch-cure). Il en résulte une liaison solide et durable.

2

HAUTE ESTHÉTIQUE

Une faible épaisseur de film et une bonne polissabilité permettent aux utilisateurs de créer des limites lisses. Quatre teintes différentes, sélectionnées et très stables, offrent une esthétique durable. Des try-in pastes assorties permettent de choisir facilement la bonne teinte.

3

UNE MANIPULATION OPTIMISÉE

La viscosité et la consistance appropriées de la pâte facilitent l'application et la mise en place correcte de la restauration, tandis que la polymérisation par collage en une seconde permet d'éliminer en douceur l'excès de colle.

Indications

Collage des inlays céramiques et
composites, des onlays et des facettes
dentaires avec une épaisseur inférieure
à 2 mm

Indications

Collage des inlays céramiques et composites,
des onlays et des facettes dentaires avec une
épaisseur inférieure à 2 mm

UNE TECHNOLOGIE DE
POLYMERISATION INNOVANTE

Un collage pour facettes doit offrir un temps de travail long, tout en obtenant une force de liaison élevée et stable dans le temps. Kuraray Noritake Dental Inc. a mis au point un moyen d'utiliser la technologie Touch-Cure avec un systeme de collage photopolymérisable pour offrir les deux.
PANAVIA Veneer LC est un système de collage composite résine photopolymérisable qui offre une excellente stabilité à la lumière ambiante, ce qui permet un temps de travail de 200 secondes*. Cela vous permet de placer plusieurs facettes à la fois sans avoir à courir contre la montre. La polymérisation peut être lancée dès que vous êtes prêt.

*Temps de travail en lumière ambiante (8000 lux.) : 200 secondes.

200
SEC
TEMPS DE TRAVAIL*
PRIMER AUTO-MORDANCANT<br>MONOCOMPOSANT

PRIMER AUTO-MORDANCANT
MONOCOMPOSANT

Contribue à la polymérisation de l'interface adhésive.

COLLE PHOTOPOLYMÉRISABLE

COLLE PHOTOPOLYMÉRISABLE

Excellente stabilité à la lumière ambiante.

LIGHT-CURE

Fixe l'interface adhésive avec la structure dentaire
par polymérisation touch-cure tout en assurant un
temps de travail suffisant.

Image

Haute Esthétique

En raison de leur finesse et de leur grande translucidité, l'aspect esthétique des facettes est fortement influencé par la teinte de la colle. Il est donc essentiel d'utiliser un collage dont la teinte est stable et qui produit des limites restant indétectables dans le temps. PANAVIA Veneer LC remplit ces tâches.

High Aesthetics

RÉSISTANCE À LA DÉCOLORATION

La stabilité élevée de la couleur est probablement la caractéristique la plus importante responsable de l'esthétique durable, qui est assurée par une formulation bien équilibrée et la technologie de touch-cure.

Tand image (Desktop)
Tand image (Mobile)

UNE MANIPULATION OPTIMISÉE

Optimised Handling

Une pâte très facile à utiliser qui, à l'extrusion, diffuse une colle homogène, permettant un retrait facile des excès et rapide à polir. PANAVIA Veneer LC offre ces caractéristiques et permet de pouvoir bien contrôler l'application.

NE COLLE PAS

Le collage offre une excellente consistance, idéale pour une application facile et sûre sur la surface prothétique, car il ne colle pas à l'embout d'application grâce à la technologie nano-chargée.

CONSISTANCE IDÉALE

Grâce à de nouvelles charges de silice sphérique dans la colle, celle-ci reste en place à l'endroit où elle est appliquée, mais s'écoule bien lorsque la facette est posée sur la dent, - pour une mise en place facile stable et sans affaissement.

ÉLIMINATION EN DOUCEUR DES EXCÈS

L'excès de colle peut être enlevé d'un seul coup avec une sonde après un tack-cure d'une seconde.

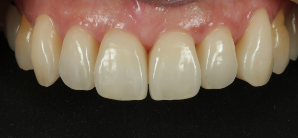
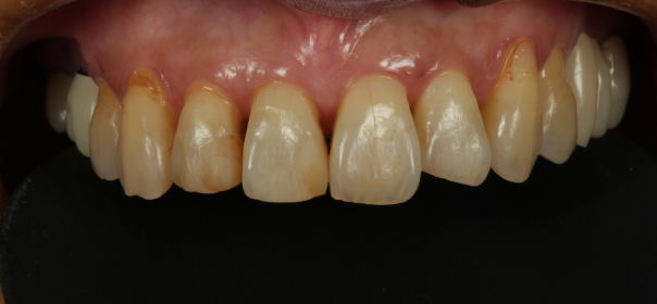
CAS CLINIQUE

Dr. Sato

CAS CLINIQUE

Dr. Sato

Image 1

1. État initial avant la préparation de 6 facettes (de #13 à #23).

Image 2

2. L'excellente consistance et la viscosité de la pâte du PANAVIA Veneer LC ont permis de faciliter l'application, la mise en place et l'élimination de l'excès de colle.

Image 3

3. Photopolymérisation de chaque zone et des limites.

Image 4

4. Résultat final après assemblage de six facettes STML en zircone KATANA™.

 

Veuillez vous reporter au mode d'emploi pour des instructions détaillées.

Science

Excellente aptitude au polissage et rétention de la brillance

Une grande polissabilité et une excellente rétention de la brillance contribuent à l'esthétisme des bords dans le temps.

PANAVIA V5 Tooth Primer est un adhésif auto-mordançant pour la structure dentaire (dentine et émail) qui colle solidement l'interface dent-adhésif dès que la pâte PANAVIA Veneer LC y est appliquée. Cette technique "touch-cure" initie la polymérisation à l'interface de l'adhésif uniquement et établit une liaison solide avec l'émail et la dentine, mais n'affecte pas la réaction de prise du collage. Une force d'adhésion élevée au matériau de restauration est obtenue par l'utilisation du CLEARFIL™ CERAMIC PRIMER PLUS, qui a fait ses preuves.

RÉTENTION DE LA BRILLANCE
RÉTENTION DE LA BRILLANCE
PANAVIA Veneer LC Paste

Source : Kuraray Noritake Dental Inc.

RÉTENTION DE LA BRILLANCE
RÉTENTION DE LA BRILLANCE
PANAVIA Veneer LC Paste
Variolink* Esthetic LC
RelyX* Veneer

Conditions d'essai : Spécimen ø10mm, épaisseur 2mm. Après lissage de la surface avec un papier abrasif résistant à l'eau de #1000 à #2500, polissage final avec un film abrasif. Valeur initiale (mesure du niveau de brillance après polissage*). Usure de la brosse à dents (mesurée après 40 000 coups de brosse à dents avec une charge de 250g, 30 coups/minute, 10 % de dentifrice en poids*). Mesuré avec un glossmètre VG 2000 (Nippon Denshoku Kogyo) à un angle de 60°. Note : Les valeurs peuvent varier en fonction des conditions de mesure.

Source : Kuraray Noritake Dental Inc.
*N'est pas une marque commercialisée par KURARAY CO., LTD.

LA RÉSISTANCE AU CISAILLEMENT
DES DENTS HUMAINES
LA RÉSISTANCE AU CISAILLEMENT<br>DES DENTS HUMAINES
Émail
Dentine

Conditions d'essai : Polissage #1000, application de chaque primer PANAVIA Veneer LC : photopolymérisation pendant 20 secondes, collage d'un éclat SUS (3 mm) avec le système de collage PANAVIA SA Universel. Mesuré après stockage dans l'eau à 37°C pendant 1 jour, Cycle thermique : 4-60°C.

Source : Kuraray Noritake Dental Inc.
*N'est pas une marque commercialisée par KURARAY CO., LTD.

LA RÉSISTANCE AU CISAILLEMENT
DU MATÉRIAU PROTHÉTIQUE
LA RÉSISTANCE AU CISAILLEMENT<br>DU MATÉRIAU PROTHÉTIQUE
37°C 1 jour
TC3000

Conditions de test : Polissage #1000, sablage (Zircone KATANA HT) ou mordançage hydrofluorique (vitrocéramique), application de PANAVIA V5 Tooth Primer pendant 20 sec. Pâte PANAVIA Veneer LC : photopolymérisation pendant 20 secondes, collage de la pointe SUS (5 mm) avec le PANAVIA SA CEMENT Universel. Mesuré après stockage dans l'eau à 37°C pendant 1 jour, cycle thermique : 4-60°C.

Source : Kuraray Noritake Dental Inc.
*N'est pas une marque commercialisée par KURARAY CO., LTD.

TEINTES

PÂTE D'ESSAI PANAVIA V5
Clair
Universel
Blanc
Marron

QUATRE TEINTES
TRÈS ESTHÉTIQUES

PÂTES D'ESSAYAGE ASSORTIES

ÉPAISSEUR MINIMALE
DU FILM

Avec une teinte adaptée aux besoins individuels, on obtient facilement des résultats réalistes.

Les pâtes d'essai PANAVIA V5 sont assorties aux teintes PANAVIA Veneer LC et permettent de simuler l'aspect final.

Grâce à sa fluidité et à sa faible épaisseur de film, le PANAVIA Veneer LC produit une couche de collage fine et uniformément répartie qui contribue à un assemblage facile avec des limites hautement esthétiques.

QUATRE TEINTES TRÈS ESTHÉTIQUES

 

Avec une teinte adaptée aux besoins individuels, on obtient facilement des résultats réalistes.

PÂTES D'ESSAYAGE ASSORTIES

Les pâtes d'essai PANAVIA V5 sont assorties aux teintes PANAVIA Veneer LC et permettent de simuler l'aspect final.

ÉPAISSEUR MINIMALE DU FILM

 

Grâce à sa fluidité et à sa faible épaisseur de film, le PANAVIA Veneer LC produit une couche de collage fine et uniformément répartie qui contribue à un assemblage facile avec des limites hautement esthétiques.

  • Internationally highly valued

     

    Testimonials

  • Afbeelding Dr. Greg Campbell, DDS
  • Dr. Greg Campbell, DDS
    USA

    “Love the versatility of the new PANAVIA Veneer LC cement when it comes to delivering my Veneers and Onlays. I can use the PANAVIA V5 Tooth Primer or my CLEARFIL Universal adhesive and get the proven benefits of the Original-MDP and the “Gold Standard” bonding we have come to expect from Kuraray. Easy to use, easy to clean up and extremely strong bonds. Four shades and try-in pastes give me complete control and ensures clinical success time and time again!
    Thank you, Kuraray Noritake for another great product.”

     

  •  

    Dr. Karyn Halpern, DDS
    USA

    “I am so impressed by the bond of this new cement. It’s not only strong but it was super easy to use, place, and clean up!
    Needless to say, I am a fan!”

     

     

  • Afbeelding Dr. Karyn Halpern DDS
  • Afbeelding Dr. Gianmarco O'Brien, DDS, Inc.
  • Dr. Gianmarco O'Brien, DDS, Inc.
    USA

    "This product is what I have come to expect from a company like Kuraray, the leader in adhesive dentistry. Easy to use clinically (excellent handling), very color stable since there is NO POST-BONDING GRAYING effect from tertiary amines (aromatic amine). I have total confidence in the DURABLE bond strength with their products. This is my new go-to veneer adhesive resin cement system!"

     

Produits

Pour commander, choisissez parmi les options suivantes.

PANAVIA V5  Try-in Paste
PANAVIA V5 Try-in Paste

1.8ml

Universal (A2)
Clear
Brown (A4)
White
Opaque

-
+
PANAVIA™ Veneer LC KITS
PANAVIA™ Veneer LC KITS
-
+
CLEARFIL™ CERAMIC PRIMER PLUS
CLEARFIL™ CERAMIC PRIMER PLUS

4ml

-
+
PANAVIA™ Veneer LC Applicator tip
PANAVIA™ Veneer LC Applicator tip

20 Applicator tips (16g)

-
+
PANAVIA™ Veneer LC PASTE
PANAVIA™ Veneer LC PASTE
-
+
PANAVIA V5  Tooth Primer
PANAVIA V5 Tooth Primer

4ml

-
+

Foire Aux Questions FAQ

Nous avons rassemblé une liste de réponses aux questions les plus pertinentes.

Qu'est-ce que le "PANAVIA™ Veneer LC" ?

"PANAVIA™ Veneer LC" est un système de ciment résine adhésif à prise légère. Il se compose de la pâte "PANAVIA™ Veneer LC" (une pâte de ciment photopolymérisable), de "CLEARFIL™ CERAMIC PRIMER PLUS" (un primaire silane, zircone et métal), de la seringue K-ETCHANT (acide phosphorique) et de la pâte d'essai "PANAVIA™ V5". "CLEARFIL™ Universal Bond Quick" ou "PANAVIA™ V5" Tooth Primer peuvent être choisis pour le traitement des dents.

Quelles sont les indications ?

Scellement d'inlays, onlays et facettes stratifiées en céramique et en composite de moins de 2 mm d'épaisseur dans les matériaux suivants : céramiques à base de silice (par exemple porcelaine conventionnelle, disilicate de lithium), céramiques hybrides, résine composite et "KATANA™ Zirconia" STML/UTML/YML (d'une épaisseur inférieure à 1,2 mm).

Comment puis-je traiter la restauration prothétique ?

Suivre les instructions d'utilisation du matériau de restauration. En l'absence d'instructions spécifiques, nous recommandons les procédures suivantes et l'application du "CLEARFIL™ CERAMIC PRIMER PLUS" fourni : si la surface adhérente est une céramique à base de silice (par exemple, porcelaine conventionnelle, disilicate de lithium), une céramique hybride ou une résine composite : En fonction du type de restauration, un traitement par mordançage à l'acide fluorhydrique ou par abrasion à l'air peut être utilisé : Traitement de mordançage à l'acide (par exemple, porcelaine conventionnelle, disilicate de lithium) : Mordancer la surface adhérente avec une solution d'acide fluorhydrique conformément au mode d'emploi de la solution. Rincer la surface adhérente à l'eau et sécher. Traitement par abrasion à l'air (par exemple, résine composite) : Rendre rugueuse la surface adhérente par projection de poudre d'alumine (30-50 μm) en utilisant une pression d'air de 0,1-0,2 MPa (1-2 kgf/cm2, 15-29 psi, 1-2 Bar). La pression d'air et la taille de la poudre doivent être correctement ajustées en fonction du matériau et/ou de la forme de la restauration prothétique, en faisant attention à ne pas s'ébrécher. Nettoyer la restauration prothétique dans une unité de nettoyage à ultrasons pendant 2 minutes ou avec le "KATANA™ Cleaner" avec 10 secondes de frottement, puis rincer à l'eau.

Est-il possible d'utiliser "CLEARFIL™ Universal Bond Quick" pour les traitements de surface des restaurations en facettes ?

Bien que techniquement possible, nous recommandons d'utiliser "CLEARFIL™ CERAMIC PRIMER PLUS" pour obtenir des performances optimales pour la vitrocéramique.

Y a-t-il des étapes supplémentaires, si j'essaie la restauration après qu'elle ait été gravée à l'acide ou abrasée à l'air ?

Oui, faire cela contaminerait la restauration et, par conséquent, diminuerait la force de liaison. Pour éliminer la contamination, utilisez le "KATANA™ Cleaner" pendant 10 secondes avec un mouvement de frottement puis rincez à l'eau jusqu'à ce que la couleur ait disparu et séchez les restaurations pour éliminer les contaminants, ou appliquez la seringue K-ETCHANT (acide phosphorique) pendant 5 secondes dans le cas de restaurations sans zircone.

Comment puis-je traiter la dent préparée ?

Il existe 2 façons de traiter la dent préparée : avec le primaire dentaire "PANAVIA™ V5" ou le "CLEARFIL™ Universal Bond Quick". a) "PANAVIA™ V5" Tooth Primer : mordre l'émail avec le K-ETCHANT (acide phosphorique) pendant 10 secondes, rincer et sécher. Appliquer le Tooth Primer sur toute la surface de la dent préparée, avec une brosse applicatrice et le laisser en place pendant 20 secondes. Sécher suffisamment toute la surface adhérente en soufflant de l'air doux et sans huile jusqu'à ce que toute l'eau soit évaporée du primer. b) "CLEARFIL™ Universal Bond Quick" : Graver sélectivement l'émail avec la seringue K-ETCHANT (acide phosphorique) pendant 10 secondes, rincer et sécher. Appliquer BOND avec un mouvement de frottement sur l'ensemble de la préparation avec le pinceau applicateur. Aucun temps d'attente n'est nécessaire. Sécher suffisamment l'ensemble du mur creux en soufflant de l'air doux pendant plus de 5 secondes jusqu'à ce que BOND ne bouge plus. Lors du collage de placages stratifiés, il n'est pas nécessaire de photopolymériser BOND avant de placer les placages stratifiés. Il doit être polymérisé après la mise en place des facettes stratifiées avec le ciment "PANAVIA™ Veneer LC". Lors de la cimentation d'inlays ou d'onlays, le BOND doit être photopolymérisé avant la mise en place de la restauration. Veuillez confirmer le temps de polymérisation en vous référant au mode d'emploi.

Quelles sont les différences entre l'utilisation du primaire dentaire "PANAVIA™ V5" ou du "CLEARFIL™ Universal Bond Quick" lors du traitement de la dent préparée ?

En termes de force de liaison, les deux sont similaires et donnent d'excellents résultats. Néanmoins, le primaire pour dents "PANAVIA™ V5" fournira un mécanisme de "touch-cure" qui scellera l'interface de collage avant la photopolymérisation finale. De plus, alors que le temps d'application est plus court avec le "CLEARFIL™ Universal Bond Quick" (pas de temps d'attente contre 20 s), il y a un temps de travail plus long sous la lumière ambiante avec le "PANAVIA™ V5" Tooth Primer (200 secondes contre 160 secondes avec le BOND).

Quels sont les avantages du "PANAVIA™ Veneer LC" par rapport aux produits concurrents ?

PANAVIA™ Veneer LC" offre une consistance de pâte idéale, ni trop élevée ni trop faible comme plusieurs produits concurrents. Cela facilitera la distribution de la pâte sur la restauration et l'assise en douceur de cette restauration. Une faible épaisseur de film et un long temps de travail sont également des avantages par rapport aux produits concurrents. En outre, en cas d'utilisation avec le primaire dentaire "PANAVIA™ V5", le mécanisme de "touch-cure" assurera l'étanchéité de l'interface de collage.

Comment retirer l'excès de collage ?

L'une des deux techniques suivantes peut être utilisée : Technique de nettoyage par collage : Photopolymériser tout excès de ciment en plusieurs endroits pendant 1 seconde à une distance de 10-15 mm. Maintenir la restauration prothétique en position, retirer l'excès de ciment tack-cure à l'aide d'un instrument dentaire. Technique de nettoyage humide : Tout excès de ciment restant sur les bords peut être retiré à l'aide d'une petite brosse, d'une pastille de mousse, d'un fil dentaire ou d'un explorateur dentaire. Quelle que soit la technique utilisée, la polymérisation finale sera l'étape suivante. Veuillez consulter le mode d'emploi.

Les marges doivent-elles être recouvertes d'un gel protecteur pendant le durcissement final ?

L'utilisation d'un gel protecteur, comme le "PANAVIA™ F 2.0" OXYGUARD II, est bénéfique pour empêcher la formation d'une couche inhibée par l'oxygène, ce qui aide à créer des marges lisses.

Combien de teintes de la pâte "PANAVIA™ Veneer LC" sont disponibles ?

Il existe 4 teintes de pâte "PANAVIA™ Veneer LC" disponibles : Clair, Universel (A2) ; Blanc et Brun (A4). À chaque teinte correspond une pâte Try-In à base de glycérine, soluble dans l'eau.

Comment la pâte d'essai "PANAVIA™ V5" est-elle utilisée ?

Les teintes de la pâte d'essai "PANAVIA™ V5" correspondent aux teintes du "PANAVIA™ Veneer LC" (à l'état photopolymérisé) et permettent de simuler l'aspect final de la restauration. La pâte d'essai "PANAVIA™ V5" ne peut pas être (photopolymérisée) et s'enlève facilement à l'eau.

La couleur du “PANAVIA™ Veneer LC” est-elle stable ?

Oui, la pâte "PANAVIA™ Veneer LC" est stable en couleur.

Qu'est-ce qui rend la couleur du “PANAVIA™ Veneer LC” stable ?

La pâte "PANAVIA™ Veneer LC" n'étant que photopolymérisable, aucun système de polymérisation redox à base d'agent réducteur d'amine n'est inclus, ce qui évite toute décoloration indésirable au fil du temps.

Quelle est la charge et la taille des particules ?

La quantité totale de charge inorganique est approximativement, 66 % en poids, 47 % en volume. La taille des particules des charges inorganiques est comprise entre 0,05 μm et 8 μm.

Quelle est la principale forme de remplissage du "PANAVIA™ Veneer LC" ?

La pâte "PANAVIA™ Veneer LC" contient des charges de silice sphérique et de nano cluster. Cela permet d'obtenir une pâte qui n'est pas coulante, qui présente une excellente maniabilité et une résistance à l'affaissement.

Quelle est l'épaisseur du film du "PANAVIA™ Veneer LC" ?

L'épaisseur du film de la pâte " PANAVIA™ Veneer LC " est d'environ 8 μm.

Le "PANAVIA™ Veneer LC" peut-il être utilisé pour coller des facettes et des inlays/onlays en zircone ?

La zircone ne doit pas être utilisée car elle peut ne pas avoir une translucidité suffisante. Toutefois, la zircone de nos produits à haute translucidité ("KATANA™ Zirconia" STML/UTML, "KATANA™ Zirconia" Block STML) peut être utilisée avec une épaisseur inférieure à 1,2 mm.

Quelle est la force d'adhérence du "PANAVIA™ Veneer LC" ?

Le "PANAVIA™ Veneer LC" présente une excellente force d'adhérence à plusieurs substrats (par exemple, l'émail, la dentine, le disilicate de lithium, le "KATANA™ Zirconia", la céramique feldspathique) à un niveau similaire à celui du "PANAVIA™ V5" qui a été acclamé.

Combien de traitements peuvent être coller avec une seule seringue ?

Environ 20 à 30 dents pour une facette laminée.

Est-ce que "CLEARFIL MAJESTY™ ES Flow" et "PANAVIA™ Veneer LC" utilisent les mêmes conseils d'application ?

Non, les embouts de pâte "PANAVIA™ Veneer LC" sont spécialement conçus pour une extrusion et une application faciles et leur calibre, qui est de 16 (1,65 mm de diamètre), diffère de celui des embouts "CLEARFIL MAJESTY™ ES Flow".

Comment dois-je stocker le "PANAVIA™ Veneer LC" ?

Le produit doit être stocké au réfrigérateur. Tous les composants stockés au réfrigérateur doivent être ramenés à température ambiante pendant 15 minutes avant utilisation afin de retrouver leur viscosité et leurs propriétés de durcissement normales.

Quelle est la durée de conservation des composants du "PANAVIA™ Veneer LC" ?

La durée de conservation des composants du "PANAVIA™ Veneer LC" est de 36 mois à compter de la date de fabrication avec réfrigération.