KATANA Zirconia
HTML PLUS
PIIRIDE NIHUTAMISEKS TAASLOODUD.
TUGEV, ESTEETILINE, KIIRE PAAGUTAMISTSÜKLIGA.
|
1150MPa
ÜLITUGEV
|
45%
LÄBIKUMAV
|
54MIN
ÜLIKIIRE
|
KATANA™ Zirconia HTML PLUSi iseloomustab unikaalsete toorainete kasutamine, mis on kiiresti paagutatavad ja hästi läbipaistvad ning seda kõike tugevust kaotamata. Tulemuseks on tugev karkass või monoliitne sild, mille disain ja värvus kohandub patsiendi naturaalse naeratusega.
Sobilik erinevate juhtumite puhul, kus on tagatud miinimumpaksus. Valida võib monoliitse, cut-back või karkassi disaini selle jaoks sobiliku valmistamismeetodiga.
*Kõrgeima tugevusastmega KATANA™ Zirconia seeriast (1150 MPa).
Hajus mitmekihiline tehnoloogia ei jäta nähtavaid piirjooni erinevate kihtide vahel ja kihid on naturaalses tasakaalus, see tagab kiire ja aegasäästva tööprotsessi.
Kiirtööd ja uuesti tegemise vajadus? Ei ole probleem. Kiirpaagutamine (54 minutit) pakub enneolematuid võimalusi. Vii töö lõpuni ühe päevaga.
Silmapaistev restauratsiooni täpsus pärast lõplikku paagutamist vähendab uuesti tegemise vajadust. Pole liigset aja- ja materjalikulu.
Fotod on teinud MDT Daniele Rondoni ja MDT Roberto Rossi
KATANA™ Zirconia HTML PLUS töötati välja põhimõttega luua elutruu tulemus, jäljendades täpselt ehtsate hammaste värvi ja läbikumavust.
Loob kõrge läbikumavuse esihammastega harmoneerumiseks.
Loob sujuva värvi ja läbikumavuse ülemineku emailikihiga.
Tagab sügava ja erksa värvi heledust vähendades.
Kuraray Noritake Dental Inc. eristub teistest tootjatest unikaalse toortsirkooniumi kohapeal tootmise poolest. Iga etapi kontrollimine tagab ideaalsete omadustega plokkide valmimise.
*KATANA™ Zirconia seeria tugevaim materjal.
Silmapaistev kvaliteet ja töökiirus on absoluutne KATANA™ Zirconia eelis konkurentide ees. Eriline pressimistehnoloogia ja eelpaagutamine on võtmeks kuni kolmeühikuliste restauratsioonide valmistamiseks toomata kompromissiks esteetikat ja mehaanilisi omadusi 54-minutilise* kiirpaagutustsükli käigus.
*Materjal eemaldatakse ahjust 800°C juures. Eeldab seadistatava põletusprogrammi olemasolu?
KATANA™ Zirconia HTML PLUS A3 pärast 54-minutilist paagutamist(vasakul) ja värvivõti A3(paremal).
Fotoallikas: Kuraray Noritake Dental Inc.
KATANA™ Zirconia HTML PLUS on arendatud majasiseselt, mis on võimaldanud luua
loomuliku transparentsuse ja sobiva värviga toote, mis harmoneerub suuõõnega.
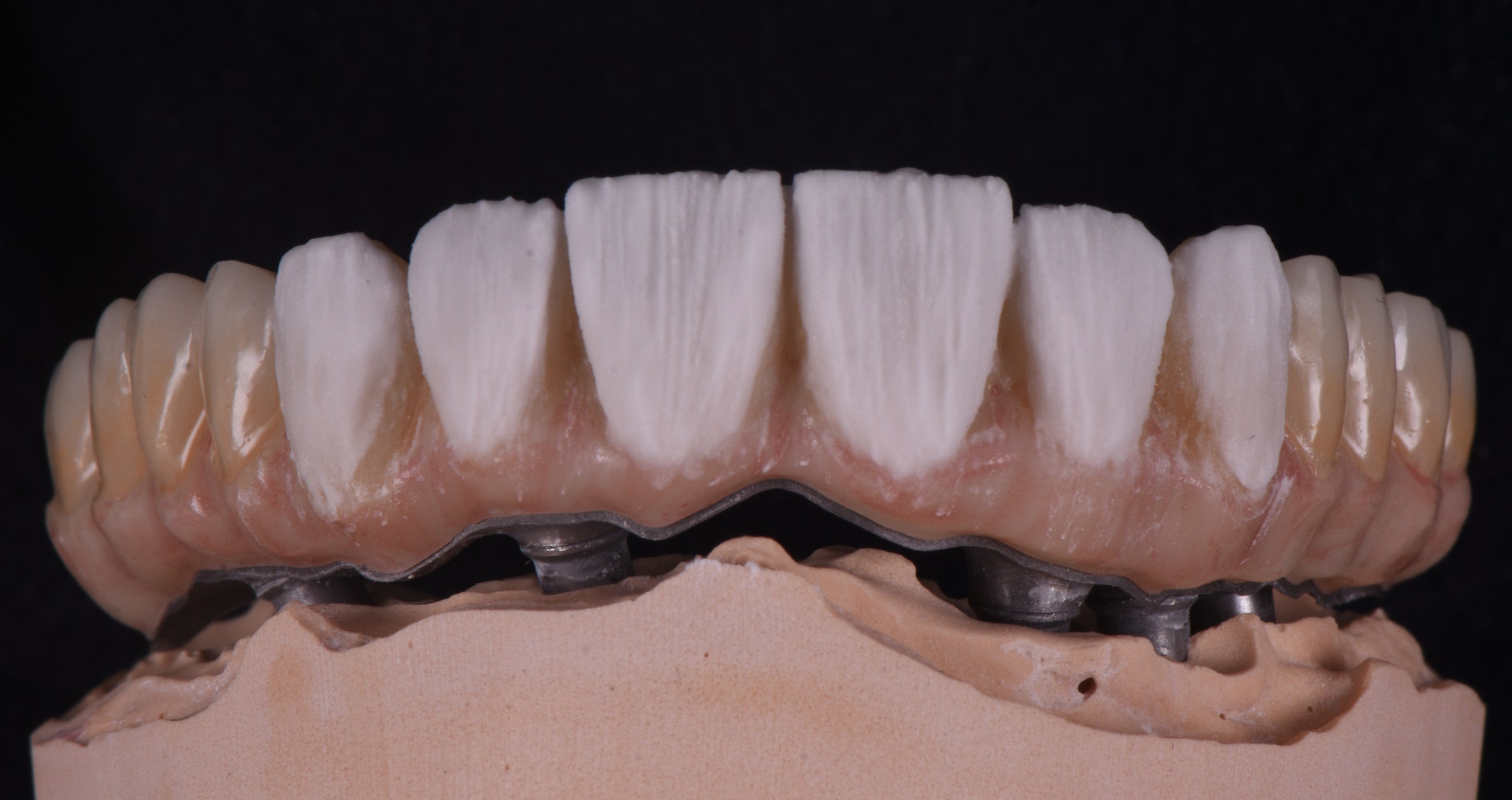
Näidisel on KATANA™ Zirconia HTML PLUS värv hele,
sügav ja elav isegi igemepiirkonnas.
Fotoallikas: Kuraray Noritake Dental Inc.
KATANA™ Zirconia HTML PLUS, YML, STML ja UTML
on paagutatavad ühe ja sama paagutamisprogrammiga.

Ülaltoodud paagutamisprogrammid on kõigest soovituslikud; olenevalt seadmest võib programmis teha muudatusi.
Kui 54- ja 90-minutilise tsükli puhul ei ole võimalik programmi vastavalt seadistada, ei ole võimalik paagutamist läbi viia.
Valige lõplik värvitoon ja sobiv ploki paksus, et saavutada loomulik
üleminek kogu krooni pikkuses emaililt dentiinile.
Tellimiseks valige järgmiste valikute hulgast.
Troubleshooting guide KATANA™ Zirconia Discs - Desktop version (EN)
Troubleshooting guide KATANA™ Zirconia Discs - Mobile version (EN)
Brochure KATANA™ Zirconia HTML PLUS (EN)
Technical guide KATANA™ Zirconia Discs (EN)
KATANA™ Zirconia Discs processing handbook - Desktop version (EN)
KATANA™ Zirconia Discs processing handbook - Mobile version (EN)
Brochure KATANA™ Zirconia Discs (EN)
Oleme koostanud kõige asjakohasemate küsimuste täieliku vastuste loendi.
Compared to KATANA™ Zirconia HTML, KATANA™ Zirconia HTML PLUS has higher translucency, and can optimize colors to harmonize better with the oral cavity. KATANA™ Zirconia HTML PLUS is compatible with the 54-minute sintering program, and can be sintered according to same sintering schedule as UTML, STML and YML.

Photo source: Kuraray Noritake Dental Inc.
Comparison of color:
KATANA™ Zirconia HTML PLUS A3.5 vs. previous HTML A3.5.
Color of HTML PLUS is brighter, deeper and more vivid even on the gum area.
KATANA™ Zirconia HTML PLUS is made from a completely new raw material developed in-house, allowing us to improve its translucency.
KATANA™ Zirconia HTML PLUS has the same mechanical strength as HTML, while its translucency has been improved compared to HTML. Please refer to the inserted chart below.
Comparison of physical properties of KATANA™ Zirconia series

*Measurement condition: Evaluated by base material (white color)
1 According to ISO 6872: 2015, Sample size: 3 x 4 x 40mm.
2 All light transmittance, illuminant: D65, Thickness of sample: 1.0mm.
Data source: Kuraray Noritake Dental Inc. The numerical value varies according to existing conditions.
KATANA™ Zirconia HTML PLUS, YML, UTML, and STML can be sintered using 54-minute, 90-minute, or standard sintering schedule. UTML and STML can be sintered according to either the new or conventional sintering schedule, but HTML PLUS cannot be sintered according to the conventional HTML sintering schedule.

The above sintering recommendation is only a guideline; some adjustments may be required depending on each individual furnace.
In case of 54, 90-minute sintering, if it cannot be set according to the schedule, it cannot be sintered.
HTML PLUS and HTML are made from different raw materials. The sintering schedule has been adapted to sinter the raw materials of HTML PLUS appropriately.
This is not recommended as you will not be able to achieve your desired level of translucency or mechanical strength.
The measurement conditions differ depending on the manufacturer. Some manufacturers do not disclose this information. We adopt the All Light Transmittance Testing Method (Illuminant: D65, Thickness of sample: 1.0mm) of Tosoh, ltd., which other major manufacturers also adopt.
KATANA™ Zirconia HTML PLUS is available in a selection of 14 shades. Please refer to the following table overview for more information about shade and disc thickness.
Shade / Thickness selection

No, this is not possible. 54 or 90-minute sintering is only possible for up to a three-unit bridge restoration.
KATANA™ Zirconia HTML PLUS can be finished by glazing, staining or porcelain application.
COMPATIBLE MATERIALS
CERABIEN™ ZR
√ Glaze and Stain
- FC Paste Stain
- External & Internal Stain
- FL Glaze, VC Glaze
√ Layering porcelain
- Luster, etc.
CZR PRESS LF
√ Stain and Glaze
- LF External & Internal Stain
√ Layering porcelain
- LF Luster, etc.
Of course, this is possible. For this purpose, the desired high-polished finishing can easily be achieved with PEARL SURFACE™ Z (polishing paste).
Please note that the shade of KATANA™ Zirconia HTML PLUS should be pre-set for glazing, due to the fact that zirconia has a tendency to become darker during the polishing process. Therefore, select in advance one shade lighter than the target shade.
KATANA™ Zirconia PLUS has brighter, deeper and more vivid colors allowing it to harmonize better with the oral cavity, as well as, the gum color. The translucency has also been improved made possible by our newly developed inhouse raw materials.
Recommended frame design and points to be kept in mind for KATANA™ Zirconia HTML PLUS are the same as those of HTML. Only the sintering schedule is different. Please use the new sintering schedule for KATANA™ Zirconia HTML PLUS.
It is generally not recommended to wet-mill this product, because the desired aesthetic effect may not be achieved due to the possibility of contamination, which can reduce translucency.
If a restoration is contaminated before sintering, it will cause white spots to appear on the restoration during the sintering process. Causes for this are, for example, oily fingers, excessive purging with high air pressure, residuals of silicon point substance that were applied to the pre-sintered zirconia during adjustment procedures, the use of scanning spray, or the insufficient removal of zirconia powder that were created during the milling process/removal of sprue. Please take care not to contaminate the restoration.
The sintering parameters differ depending on manufacturers. KATANA™ Zirconia UTML, STML, YML and HTML PLUS (excluding HT and LT) can be sintered according to same sintering schedule.
The maximum sintering temperature for the 54-minute program is 1600°C (2912°F), for the 90-minute program 1560°C (2840°F) and for the 7-hour program 1550°C (2822°F).
Please refer to the sintering schedule when sintering restorations.
Any sintering furnace, regardless of the manufacturer, is capable of setting the KATANA™ Zirconia sintering program, on condition that its technical specifications can be used. If the KATANA™ Zirconia sintering program is not programmable in your sintering furnace, it is unfortunately not possible to set the furnace according to this schedule.
Yes, this is possible using several options in your CAD/CAM software. These options allow the designer to change the restoration position within the disc profile to achieve the best gradation map for the restoration.
The side on which the “occlusal surface” sketch has been imprinted represents the upper layer (the enamel layer).
The shade of KATANA™ Zirconia multi-layered series should be pre-set for glazing.
KATANA™ Zirconia is characterized by the unique in-house production of zirconia raw materials: By using materials that Kuraray Noritake Dental Inc. has developed by themselves specifically for KATANA™ Zirconia, completely different from those of other competitors, it is possible to realize high-speed sintering without compromising the aesthetic and mechanical properties.