Bridge collé canin tout numérique : apport de la zircone multicouche
BRIDGE COLLÉ CANIN TOUT NUMÉRIQUE : APPORT DE LA ZIRCONE MULTICOUCHE
La gestion de l’édentement canin est toujours un défi difficile à relever, tant d’un point esthétique que fonctionnel. Nous présentons le cas d’une jeune patiente en fin de traitement orthodontique consultant dans le but de pallier l’agénésie de sa 23.
Les nouvelles générations de zircone permettent une réalisation de ce cas par flux numérique complet, multi-attaches
en place, alliant esthétique et résistance mécanique. Un suivi à 6 mois est présenté.
Le remplacement prothétique d’une canine maxillaire chez l’adolescent est délicat en raison des fortes contraintes esthétiques et fonctionnelles. Cette clé de voûte de l’arcade est autant sollicitée dans le dessin de la ligne du sourire
que dans le guidage en diduction et la protection des dents cuspidées. Son absence sur l’arcade peut résulter d’une anomalie d’éruption dentaire, d’un geste thérapeutique ou d’un contexte génétique comme une fente labio-palatine [1, 2]. Cependant, l’agénésie d’une canine supérieure est environ 10 fois plus rare que celle de l’incisive latérale (avec des prévalences respectives de 0,1 à 0,3 % contre 1,5 à 3,1 %) [1, 3].
À l’adolescence, le patient peut exprimer une demande esthétique qui requiert le remplacement de la dent manquante, la correction de l’alignement des dents ou des dysharmonies dento-faciales.
Le praticien doit alors élaborer un plan de traitement, éventuellement multidisciplinaire, en s’appuyant notamment
sur des examens complémentaires (radiographies et cires de diagnostic). Les éventuelles déficiences osseuses en regard de l’édentement sont évaluées dans les trois plans de l’espace. La première alternative orthodontique est alors de combler l’espace vacant en déplaçant une prémolaire maquillée en antérieur, ou d’augmenter l’espace vacant pour permettre une restauration prothétique [4].
Si la croissance osseuse n’est pas finie, la solution implantaire pour le remplacement de la canine est prématurée.
Par ailleurs, l’immaturité gingivale et le délabrement irréversible des préparations s’opposent à la réalisation d’un bridge scellé. La prothèse amovible présente un certain nombre d’avantages, comme l’hygiène facilitée, l’éventuelle restauration du soutien labial et le faible coût, mais l’inconfort et l’amovibilité restent des inconvénients de taille. Dans ce contexte, le recours au bridge collé présente l’intérêt d’être peu mutilant. Cependant, le coût de cette thérapeutique transitoire peut se révéler élevé pour un résultat esthétique et mécanique discutable [5, 6].
Les rapports de cas de bridges collés canins sont rares et « quasi expérimentaux » selon Mathias Kern [7].
En effet, les forces transversales exercées sur l’intermédiaire de bridge se traduisent par des contraintes importantes au niveau de la connexion au moyen d’ancrage. Les risques de fractures sont importants et irrémédiables sur des armatures aux propriétés mécaniques insuffisantes. Le Professeur Kern, qui fait figure de pionnier dans le domaine du bridge collé, a démontré que les armatures en zircone pouvaient remplacer les anciennes armatures métalliques disgracieuses [7]. Il a
par la suite montré que les bridges mono ailette, aussi appelés « bridges cantilever », présentaient un taux de survie supérieur aux classiques bridges à deux ailettes collées [7, 8]. En 2017, il a publié une étude concernant
115 bridges collés cantilever en zircone avec un taux de succès de 92 % et un taux de survie de 98,2 % à dix ans [9]. Cependant, si la zircone est plus esthétique que le métal, le temps de travail du prothésiste pour stratifier la céramique cosmétique maintient les délais d’exécution. L’hypothèse de ce rapport de cas était que le recours à un flux numérique complet permettrait de réaliser un bridge collé canin alliant propriétés esthétiques et mécaniques, en permettant confort et vitesse d’exécution.
L’objectif de cet article est de décrire la compensation de l’édentement de 23 chez une patiente adolescente, traitée
par multi-attaches, par la réalisation d’un bridge collé cantilever en zircone monobloc multicouche par flux numérique complet. Le suivi à six mois sera également présenté.
Réalisation clinique :
Une patiente âgée de 14 ans est adressée au Pôle de Médecine et Chirurgie Bucco-dentaire du CHU de Bordeaux par son orthodontiste pour pallier un édentement en position de 23. L’anamnèse révèle que cette absence canine est due à une agénésie. Cette patiente est par ailleurs en parfaite santé et ne signale aucun antécédent médical ou chirurgical. L’orthodontiste, arrivant à la fin du traitement qui visait à corriger l’alignement des dents, avait pris la décision d’ouvrir l’espace laissé vacant par la canine en vue d’une réhabilitation prothétique. Cependant, la patiente fait part de sa grande anxiété à l’idée de se retrouver avec un édentement à la très prochaine dépose des bagues. L’objectif thérapeutique était
donc de pallier – avant la dépose du multi-attaches – l’édentement de 23 en alliant esthétique et résistance
mécanique.
Analyse clinique :
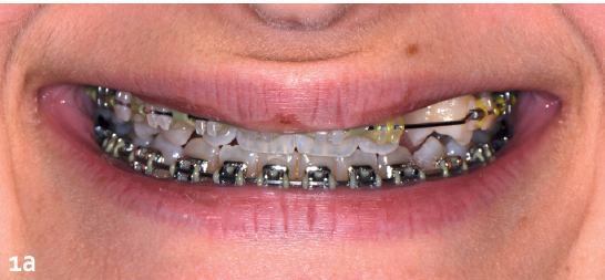
À l’examen exo-buccal, il apparaît que la patiente présente une ligne du sourire de Classe III selon la classification
de Liébart et coll. [10], paramètre favorable quant à la restauration (fig. 1a-b).

1Situation initiale. a. Vue frontale du sourire

b. Vue latérale du sourire

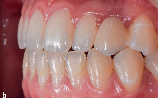
c. Vue frontale endo-buccale des arcades en occlusion
L’examen endo-buccal met en évidence une Classe I squelettique et des dents saines, dépourvues de lésion carieuse ou de restauration. L’indice de plaque est faible à modéré. La zone édentée est recouverte d’une fibro-muqueuse ferme et adhérente. La largeur et la hauteur de l’édentement sont compatibles avec une restauration prothétique. La bosse canine est évidemment effacée du fait de l’agénésie, mais ne constitue pas un obstacle esthétique (fig. 1c). L’examen des dents bordant l’édentement révèle un
indice de Le Huche plus élevé pour la 22 que pour la 24. L’incisive latérale présente un faible diamètre mésiodistal, tandis que la prémolaire, selon le plan coronal, est en rotation distale. L’examen occlusal révèle une occlusion d’intercuspidie maximale (OIM) stable avec Classe I canine et molaire. En dynamique, nous notons une fonction canine secteur 1/4 et une fonction de groupe secteur 2/3 avec une prise en charge équilibrée de 24 et 25. En revanche, les milieux interincisifs ne sont pas totalement alignés,
nous constatons un surplomb et un recouvrement très faible (< 1 mm). La patiente refusant catégoriquement la continuité du traitement orthodontique, cette situation occlusale ne sera pas appelée à évoluer. L’analyse radiographique montre un rapport racine/ couronne clinique favorable pour la prémolaire. Aucun épaississement desmodontal n’est noté. Un os dense au niveau de l’édentement ainsi qu’un ancrage très satisfaisant des dents bordantes sont notés.
Diagnostic et propositions thérapeutiques
L’hygiène de la patiente est bonne dans un contexte de multi-attaches, mais perfectible. L’édentement de 23 permet une restauration avec une canine prothétique de dimension comparable à la 13. L’absence de bosse canine ne nécessite pas de réaménagement des tissus parodontaux, notamment en raison de son masquage lors du sourire. La 24 présente suffisamment de surface de collage et la fonction de groupe en diduction protégera la prothèse des forces transversales. Pour les raisons évoquées en introduction, la proposition thérapeutique est celle d’un bridge collé mono ailette zircone prenant appui sur la 24.
Étapes cliniques
La thérapeutique est réalisée en seulement trois séances cliniques.
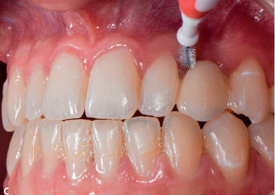
Première séance clinique : une motivation à l’hygiène et un assainissement parodontal sont réalisés. Suivent la préparation, l’empreinte optique et le choix de teinte. Les impératifs de préparation décrits pour l’incisivecentrale sont transposés et adaptés à la préparation de la prémolaire [8, 11, 12] (fig. 2a-b). Sont successivement réalisés :
- un épaulement à angle interne arrondi (E) en position supra gingivale et d’une épaisseur de 5-6/10e de millimètre.
Pour optimiser la surface de collage, la limite cervicale s’étend du point le plus distal, parcourt la face palatine et remonte le long de la face mésiale pour rejoindre la crête marginale. Cet épaulement participe à la stabilisation et la rigidité du bridge. Cette préparation permet de limiter le surcontour prothétique au niveau des limites et guide le prothésiste dans la conception ;
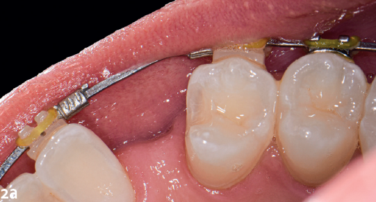
2. Préparation pour bridge collé. a. Vue occlusale de 3. Empreinte optique. a. Vue occlusale en couleur de la préparation.
la préparation avec un épaulement à angle inter-arrondi
de 6 mm et une boîte proximale de 9 mm2.

b. Vue occlusale monochrome. c. Vue vestibulaire.

b. Schématisation 3D de la position de l’ailette (E = épaulement à angle interne arrondi, C = corniche occlusale, B = boîte de connexion).
une corniche palatine (C). La corniche occlusale décrite par Mathias Kern s’oppose aux forces de clivage et de pelage du joint collé. Dans un souci d’économie tissulaire, la cuspide palatine est préservée et la limite haute de notre préparation s’arrête avec un aplat remplissant ce même rôle. La préparation de la surface palatine amenée à être recouverte par l’ailette relie donc la corniche à l’épaulement et n’est réalisée que dans le but de coller sur de l’émail prismatique (élimination de la couche aprismatique de 30 μm limitant le collage) ;
- une boîte proximale (B) en regard de l’édentement. La boîte assure une épaisseur satisfaisante de connexion avec l’intermédiaire (idéalement 6 mm2 = hauteur de 3 mm x largeur de 2 mm) pour permettre une résistance indispensable dans cette région de hautes contraintes mécaniques. L’empreinte numérique est effectuée avec un scanner intra-oral, multi-attaches encore en place (fig. 3a-c). Un écarteur est mis en place pour écarter les joues et faciliter l’empreinte. Les arcades sont séchées. La stratégie de scannage recommandée par le fabricant consiste à enregistrer d’abord les faces occlusales, puis occlusopalatines avec une angulation à 45°, et enfin les faces vestibulo-occlusales [13]. L’antagoniste, l’occlusion statique et cinématique sont enregistrés à leur tour, et envoyés au prothésiste (Laboratoire Bertin, Bordeaux). Enfin, les dents bordant l’édentement sont reprises pour corriger les éventuels manques d’enregistrement. La teinte est suggérée par le logiciel de la caméra et confirmée avec un teintier Vita traditionnel.

4. Disque de zircone : haute translucidité et multicouche. 5. Bridge collé cantilever en zircone avant collage.

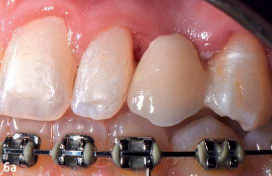
6. Bridge le jour de l’assemblage et de la dépose du multi-attache b. Vue occlusale après réglages de l’occlusion en statique et dynamique.
maxillaire. a. Vue latérale à la dépose de la digue.
Le matériau choisi a été une zircone de haute translucidité et multicouche (fig. 4). Un disque de teinte B2 a été retenu.
Deuxième séance clinique
Elle consiste en l’essayage et validation esthétique et fonctionnelle.
Troisième séance clinique
Il s’agit du collage sous champ opératoire en suivant le protocole établi par le fabricant.
• Préparation de la pièce : la pièce est essayée pour veiller à ce que le champ opératoire ne gêne pas la bonne insertion de la pièce puis un sablage est réalisé (alumine 30 mm, pression 2,5 bars). L’ailette reçoit ensuite une application d’un nettoyant de surface spécifique pendant 10 secondes, suivie d’un rinçage abondant et d’un séchage. L’application énergique d’une solution réalisant
la préparation de la surface de la zircone s’effectue pendant 60 secondes, suivie d’un séchage, termine la préparation de notre pièce zircone.
• Préparation de la dent : après nettoyage de la surface amélaire à la ponce, un mordançage à l’acide orthophosphorique de 30 secondes est réalisé. Cette déminéralisation différentielle des prismes d’émail crée des microporosités, optimise la mouillabilité de surface, et potentialise ainsi la cohésion physique et micromécanique des tissus et matériaux d’assemblage [14, 15].
Après rinçage, le tissu est délicatement tamponné à l’aide d’une microbrush propre afin de ne pas le dessécher. Le Panavia™ V5 Tooth Primer est ensuite appliqué pendant 20 secondes puis séché à l’air doux. Le collage du bridge se fait après avoir enduit l’ailette avec la résine de collage Panavia™ V5 tout en veillant à son bon positionnement. Les excès sont immédiatement retirés à l’aide d’un pinceau. Une photopolymérisation de 20 secondes initie la fixation définitive de la pièce, la lampe est positionnée en vestibulaire afin d’orienter la rétraction de polymérisation de l’ailette et la connexion vers la dent. Une photopolymérisation de
20 secondes par face est ensuite renouvelée trois fois.

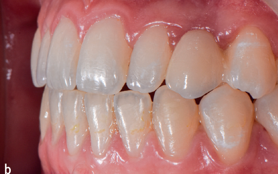
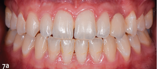
7. Contrôle à 6 mois. a. Vue du sourire. b. Vue latérale.

c. Possibilité de passage de brossette sous le pontique.
Le polissage du joint sous champ opératoire complète l’assemblage.
A la dépose de la digue, le bridge apparaît très saturé du fait de la déshydratation des dents adjacentes (fig. 6a).
Un contrôle d’occlusion avec papier à articulé termine l’intégration fonctionnelle du BCCC. Le pontique et la boîte de connexion sont libérés de toutes contraintes occlusales (fig. 6b).
Suivi et maintenance
Le contrôle à 6 mois confirme l’intégration esthétique du bridge full zircone (fig. 7a-b). Le passage facilité de la brossette garantit une hygiène contrôlée et efficace (fig. 7c).
Discussion
La mise en oeuvre du flux numérique a été capitale dans la gestion du temps, du stress et du confort de la patiente [16, 17].
Tout d’abord, la mise en oeuvre de l’empreinte optique est beaucoup plus aisée que celle de l’empreinte physico- chimique de manière générale, mais plus particulièrement en présence de multi-attaches. Ensuite, les interférences en propulsion ont pu être évitées grâce à l’enregistrement dynamique proposé par la caméra intra-orale. Toutefois, il est regrettable que la diduction,
surtout dans un cas de réhabilitation canine, ne puisse être enregistrée. Enfin, le prothésiste a pu concevoir le dispositif et l’usiner directement, sans passer par la réalisation de modèles de travail. Ce gain de temps tout au long de la chaîne numérique s’accompagne d’un impact financier favorable pour le patient. Comparativement à la vitrocéramique, le choix de la zircone
comme matériau d’infrastructure apporte un avantage certain, celui de sa grande résistance mécanique. Les complications les plus fréquentes sont les décollements, et sont donc réversibles. Les impératifs de conception de notre bridge collé cantilever en zircone vont dans le sens d’une économie tissulaire plus importante. En effet, l’ailette doit présenter une épaisseur minimale de 0,5, alors
qu’elle serait de 0,8 à 1 mm pour une ailette en vitrocéramique [8, 9, 11, 12]. Par ailleurs, les recommandations
concernant la section de connexion entre ailette et pontique sont de 6 mm2 contre 12 à 16 mm2 pour le disilicate de lithium. Cela permet de laisser un espace proximal suffisant pour le passage de brossettes. Ces directives incisives ne sont cependant pas établies pour le remplacement de canines. Nous avons opté pour une ailette de 0,6 mm d’épaisseur et une zone de connexion de 9 mm2. Le matériau choisi a été une zircone multicouche (fig. 4). Sa structure à quatre couches mime les nuances de teinte de la dentition naturelle, et montre d’excellentes propriétés mécaniques avec une résistance à la flexion de 1 125 Mpa [18, 19].
Pour ce cas clinique en particulier, la rapidité d’exécution était un paramètre important. Le montage de céramique stratifiée n’étant pas nécessaire avec cette zircone multicouche, le bridge collé monolithique teinté dans la masse n’a nécessité qu’une étape
d’usinage et de sintérisation.
Lors de l’assemblage d’un bridge collé, l’utilisation d’un guide de positionnement est vivement conseillée. Ces guides en résine s’appuient sur les dents adjacentes, et permettent de positionner parfaitement l’ailette malgré l’interposition de la colle qui masque les limites. Dans le cadre d’un flux numérique, il est tout à fait possible pour le prothésiste d’en modéliser un après la conception du bridge, puis de l’usiner ou de l’imprimer. Dans ce cas clinique particulier, nous avions fait le choix risqué de nous en passer à l’issue de la séance d’essayage.
Conclusion
La gestion de l’édentement canin est un défi difficile à relever. La nouvelle génération de zircone permet de remplir nos objectifs de traitement à la fois mécaniquement et esthétiquement. Au-delà d’un pronostic à court terme, le bridge collé cantilever pourrait constituer une réelle alternative contemporaine et réaliste à l’implant antérieur. Cependant, des études de plus longue durée sont nécessaires.
Les auteurs remercient M. Adrien Garot pour sa participation à l’élaboration du schéma 3D (figure 2b).
Les auteurs ne déclarent aucun lien d’intérêt.

Léa MASSÉ
AHU département prothèse dentaire,UFR des sciences odontologique de Bordeaux,
Hôpital Saint-André, CHU de Bordeaux
Correspondance : lea.masse@u-bordeaux.fr

Adrien NAVEAU
MCU-PH département prothèse dentaire,
UFR des Sciences Odontologiques de Bordeaux,
Hôpital Saint-André, CHU de Bordeaux
BIBLIOGRAPHIE
1. Finkelstein T et al. Agenesis of permanent canines in orthodontic patients : prevalence, location, treatment
options and outcomes. J Dent Child (Chic) 2018 ; 85 (3) : 133-8.
2. Germec Cakan D, Nur Yilmaz RB, Bulut FN, Aksoy A. Dental Anomalies in Different Types of Cleft Lip and Palate : Is There Any Relation ? J Craniofac Surg 2018 ; 29 (5) : 1316-21.
3. Polder BJ, Van't Hof MA, Van der Linden FP, Kuijpers-Jagtman AM. A meta-analysis of the prevalence of dental agenesis of permanent teeth. Community Dent Oral Epidemiol 2004 ; 32 (3) : 217-26.
4. Kafantaris SN, Tortopidis D, Pissiotis AL, Kafantaris NM. Factors affecting decision-making for congenitally missing permanent maxillary lateral incisors : A retrospective study. Eur J Prosthodont Restor Dent
2020 ; 28 (1) : 43-52.
5. Priest G. The treatment dilemma of missing maxillary lateral incisors-Part I : Canine substitution and resin-bonded fixed dental prostheses. J Esthet Restor Dent 2019 ; 31 (4) : 311-8.
6. Priest G. The treatment dilemma of missing maxillary lateral incisors-Part II: Implant restoration. J Esthet Restor Dent 2019 ; 31 (4) : 319-26.
7. Kern M, Knode H, Strub JR. The all-porcelain, resinbonded bridge. Quintessence Int 1991 ; 22 (257) : 62.
8. Kern M. Resin-bonded fixed dental prostheses, minimally invasive – esthetic – reliable. Quintessence Publishing. 1st Edition 2018:264 pages.
9. Kern M, Passia N, Sasse M, Yazigi C. Ten-year outcome of zirconia ceramic cantilever resin-bonded fixed dental prostheses and the influence of the reasons for missing incisors. J Dent 2017 ; 65 : 51-5.
10. Liébart MF, Fouque-Deruelle C, Santini A. Smile line and periodontium visibility. Perio 2004 : 1 (1) : 17-25.
11. Attal JP, Tirlet G. Le cantilever : une nouvelle géométrie pour le bridge collé. Revue de littérature. Real Clin 2015 ; 26 : 25-34.
12. Kern M. Clinical long-term survival of two-retainer and single-retainer all-ceramic resin-bonded fixed partial dentures. Quintessence Int 2005 ; 36 (2) : 141-7.
13. Müller P, Ender A, Joda T, Katsoulis J. Impact of digital intraoral scan strategies on the impression accuracy using the TRIOS Pod scanner. Quintessence Int 2016 ; 47 (4) : 343-9.
14. Rohr N, Fischer J. Tooth surface treatment strategies for adhesive cementation. J Adv Prosthodont.2017 ; 9 (2) : 85-92.
15. Lopes GC, Thys DG, Klaus P, Oliveira GM, Widmer N. Enamel acid etching : a review. Compend Contin Educ Dent 2007 ; 28 : 18-24.
16. Yuzbasioglu E, Kurt H, Turunc R, Bilir H. Comparison of digital and conventional impression techniques : evaluation of patients' perception, treatment comfort, effectiveness and clinical outcomes. BMC Oral Health 2014 ; 14 : 10.
17. Gallardo YR, Bohner L, Tortamano P, Pigozzo MN, Laganá DC, Sesma N. Patient outcomes and procedure working time for digital versus conventional impressions : A systematic review. J Prosthet Dent 2018 ; 119 (2) : 214-9.
18. Kwon SJ, Lawson NC, McLaren EE, Nejat AH, Burgess JO. Comparison of the mechanical properties of translucent zirconia and lithium disilicate. J Prosthet Dent 2018 ; 120 (1) : 132-7.
19. Kolakarnprasert N, Kaizer MR, Kim DK, Zhang Y. New multi-layered zirconias : Composition, microstructure and translucency. Dent Mater 2019 ; 35 (5) : 797-806.
- 6 mai 2022