429 Too Many Requests

429 Too Many Requests


nginx

Einverständniserklärung

Der Inhalt der Website www.kuraraynoritake.eu/de ist medizinischem Fachpersonal vorbehalten und enthält Informationen zu Produkten, welche die Gesundheit und Sicherheit von Patienten beeinträchtigen könnten, wenn sie nicht durch geschultes Fachpersonal gelesen, verstanden und angewendet werden.

In Übereinstimmung mit den Bestimmungen der geltenden Gesetzgebung erkläre ich daher in eigener Verantwortung, dass ich auf dem Gebiet der Zahnmedizin und/oder Zahntechnik fachlich geschult und daher berechtigt bin, die Inhalte dieser Website einzusehen.

PANAVIA Veneer LC (CB)

EIGENSCHAFTEN UND VORTEILE

1

INNOVATIVE AUSHÄRTUNGSTECHNOLOGIE

Das lichthärtende Befestigungskomposit bietet eine lange Verarbeitungszeit, die das gleichzeitige Einsetzen mehrerer Veneers ermöglicht. PANAVIA™ V5 Tooth Primer versiegelt die Klebefläche durch sofortige Aushärtung bei Kontakt mit der Paste (Touch Cure). Das Ergebnis ist ein starker und dauerhafter Verbund.

2

HOHE ÄSTHETIK

Eine geringe Schichtdicke und eine gute Polierbarkeit ermöglichen es den Anwendern, glatte Ränder zu schaffen. Vier farbstabile Farbtöne bieten eine lang anhaltende Ästhetik. Passende Try-in-Pasten erleichtern die Auswahl des richtigen Farbtons.

3

OPTIMIERTE HANDHABUNG

Eine geeignete Pastenviskosität und -konsistenz erleichtert die Applikation und die korrekte Positionierung der Restauration, während die einsekündige Tack-Cure-Funktion für eine sanfte Entfernung von überschüssigem Material sorgt.

Indikationen

PANAVIA Veneer LC dient zur
dauerhaften Befestigung von
Restaurationen aus Keramik
und Komposit:

  • Veneers
  • Inlays und Onlays
    mit einer Stärke unter 2 mm

Indikationen

PANAVIA Veneer LC dient zur dauerhaften
Befestigung von Restaurationen aus
Keramik und Komposit:

  • Veneers
  • Inlays und Onlays mit einer Stärke
    unter 2 mm

INNOVATIVE AUSHÄRTUNGSTECHNOLOGIE

Ein Befestigungsmaterial für Veneers sollte eine ausreichend lange Verarbeitungszeit bieten und zugleich einen hohen und langzeitstabilen Haftverbund ermöglichen. Kuraray Noritake Dental Inc. hat eine Lösung gefunden, um beides zu vereinen: die Touch-Cure-Technologie für ein Befestigungskomposit.
PANAVIA Veneer LC ist ein lichthärtendes Befestigungskomposit mit hervorragender Stabilität unter Umgebungslicht. Dies sorgt für eine Verarbeitungszeit von 200 Sekunden*. Somit können Sie problemlos mehrere Veneers gleichzeitig befestigen. Die Polymerisation beginnt erst, wenn Sie dazu bereit sind.

*Verarbeitungszeit bei Umgebungslicht (8000 Lux.): 200 Sekunden.

200
SEK.
VERARBEITUNGSZEIT*
SELBSTÄTZENDER PRIMER<br>(EINKOMPONENTEN)

SELBSTÄTZENDER PRIMER
(EINKOMPONENTEN)

Trägt zur Polymerisation des adhäsiven Interfaces bei.

LICHTHÄRTENDES<br>BEFESTIGUNGSKOMPOSIT

LICHTHÄRTENDES
BEFESTIGUNGSKOMPOSIT

Hervorragende Stabilität gegenüber Umgebungslicht.

LICHTHÄRTUNG

Versiegeln Sie das adhäsive Interface zur Zahnhartsubstanz
durch Touch-Cure und achten Sie dabei auf eine ausreichende
Einwirkzeit.

Image

Hohe Ästhetik

Das ästhetische Erscheinungsbild von Veneers wird aufgrund ihrer geringen Schichtstärke und hohen Transluzenz in der Regel stark von der Farbe des Befestigungsmaterials beeinflusst. Daher ist es wichtig, ein farbstabiles, passendes Befestigungskomposit zu verwenden, bei dem selbst sensible Randbereiche auch nach längerer Zeit unsichtbar bleiben. PANAVIA Veneer LC erfüllt diesen Anspruch.

High Aesthetics

RESISTENT GEGEN VERFÄRBUNG

Eine hohe Farbstabilität ist wahrscheinlich das wichtigste Merkmal, das für eine lang anhaltende Ästhetik verantwortlich ist. Diese wird durch eine ausgewogene Formulierung des Materials und die Touch-Cure-Technologie erzielt.

Tand image (Desktop)
Tand image (Mobile)

OPTIMIERTE HANDHABUNG

Optimised Handling

Ist es möglich, den Zeit- und Arbeitsaufwand für das Einsetzen von Veneers mit einem Befestigungskomposit zu reduzieren und eine homogene Applikation, eine exakte Veneer-Positionierung, eine komfortable Überschussentfernung sowie eine schnelle Politur zu unterstützen? PANAVIA Veneer LC erfüllt all diese Anforderungen und bietet dank der speziell entwickelten Applikationsspitze eine hohe Kontrolle bei der Anwendung.

KLEBEFREIHEIT

Das Befestigungskomposit bietet eine hervorragende, ideale Konsistenz für eine einfache sowie sichere Anwendung. Dank der Nanocluster-Füllertechnologie bleibt es nicht an der Applikationsspitze kleben und lässt sich gut applizieren.

IDEALE KONSISTENZ

Neu entwickelte kugelförmige Silikat-Füllstoffe sorgen dafür, dass das Material da bleibt, wo es aufgetragen wurde und zugleich gut fließt, wenn das Veneer auf den Zahn gesetzt wird – für eine einfache Platzierung ohne Verrutschen.

SANFTE EINFACHE ÜBERSCHUSSENTFERNUNG

Überschüssiges Komposit lässt sich nach einer einsekündigen Tack-Aushärtung in einem Stück mit der Sonde ganz leicht und sanft entfernt.

KLINISCHE FALLBEISPIELE

Mit freundlicher Genehmigung von Dr. Sato

KLINISCHE FALLBEISPIELE

Mit freundlicher Genehmigung von Dr. Sato

Image 1

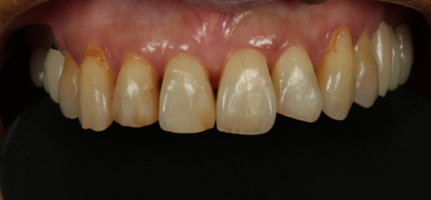
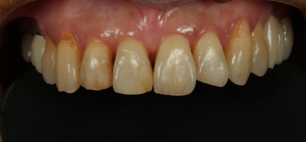
1. Ausgangssituation: Zustand vor der Präparation von sechs Veneers (13 - 23).

Image 2

2. Die ideale Konsistenz und ausgezeichnete Pastenviskosität von PANAVIA Veneer LC ermöglichen eine einfachere Dosierung, ein exaktes Einsetzen und die komfortable Entfernung von überschüssigem Befestigungsmaterial.

Image 3

3. Lichthärtung in allen Bereichen; auch in den Randbereichen.

Image 4

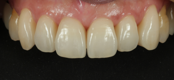
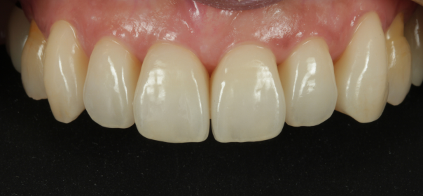
4. Ergebnis nach der Befestigung der sechs Veneers aus KATANA™ Zirconia STML.

Detaillierte Anleitung zum Vorgehen finden Sie in der Gebrauchsanweisung.

WISSENSCHAFT

Langzeitstabiles Ergebnis

PANAVIA V5 Tooth Primer ist ein selbstätzendes Adhäsiv für Zahnsubstanz (Dentin und Schmelz), das die Zahn-Adhäsiv-Grenzfläche sicher abdichtet, sobald PANAVIA Veneer LC-Paste aufgetragen wird. Diese Touch-Cure-Technologie initiiert die Polymerisation nur am adhäsiven Interface und stellt eine starke Bindung zu Schmelz und Dentin her, beeinflusst jedoch nicht die Abbindereaktion des Befestigungsmaterials. Die hohe Haftfestigkeit am Restaurationsmaterial wird durch die Verwendung des bewährten CLEARFIL™ CERAMIC PRIMER PLUS erreicht.

Die sehr gute Polierbarkeit und die sichere Glanzbeständigkeit unterstützen ein langzeitstabiles ästhetisches Ergebnis auch im Bereich der Ränder.

GLANZBESTÄNDIGKEIT
GLANZBESTÄNDIGKEIT
PANAVIA Veneer LC Paste

Quelle: Kuraray Noritake Dental Inc.

GLANZBESTÄNDIGKEIT
GLANZBESTÄNDIGKEIT
PANAVIA Veneer LC Paste
Variolink* Esthetic LC
RelyX* Veneer

Testbedingungen: Probe ø10 mm, Dicke 2 mm. Nach dem Glätten der Oberfläche mit wasserbeständigem Schleifpapier Nr. 1000 bis Nr. 2500 Endpolieren mit Läppfolie. Ausgangswert (Messen Sie den Glanzgrad nach dem Polieren*). Zahnbürstenverschleiß (gemessen nach 40.000 Zügen mit 250 g Belastung, 30 Zügen/Minute, 10 Gew.-% Zahnpasta*); gemessen mit einem Glanzmessgerät VG 2000 (Nippon Denshoku Kogyo) bei einem Winkel von 60° Hinweis: Werte können je nach Messbedingungen variieren.

Quelle: Kuraray Noritake Dental Inc.
*Keine Marke von KURARAY CO., LTD.

SCHERHAFTFESTIGKEIT AM MENSCHLICHEN ZAHN
SCHERHAFTFESTIGKEIT AM MENSCHLICHEN ZAHN
Schmelz
Dentin

Testbedingungen: Polieren Nr. 1000, Auftragen jedes Primers PANAVIA Veneer LC-Paste: Lichthärten für 20 Sek., Befestigen des SUS-Chips (3 mm) mit PANAVIA SA Cement Universal. Gemessen nach Lagerung in Wasser 37 °C für 1 Tag, Wärmezyklus: 4 – 60 °C.

Quelle: Kuraray Noritake Dental Inc.
*Keine Marke von KURARAY CO., LTD.

SCHERHAFTFESTIGKEIT AM RESTAURATIONSMATERIAL
SCHERHAFTFESTIGKEIT AM RESTAURATIONSMATERIAL
37 °C 1 Tag
TC3000

Testbedingungen: Polieren Nr. 1000, Sandstrahlen (KATANA Zirconia HT) oder Flussäureätzen (Glaskeramik), Auftragen von PANAVIA V5 Tooth Primer für 20 Sek. PANAVIA Veneer LC-Paste: 20 Sek. lichthärten, SUS-Spitze (5 mm) mit PANAVIA SA Cement Universal befestigen. Gemessen nach Lagerung in Wasser 37 °C für 1 Tag, Wärmezyklus: 4 – 60 °C.

Quelle: Kuraray Noritake Dental Inc.
*Keine Marke von KURARAY CO., LTD.

FARBTÖNE

PANAVIA V5 TRY-IN PASTE
Clear
Universal
White
Brown

VIER HOCHÄSTHETISCHE
FARBTÖNE

PASSENDE TRY-IN-PASTEN

MINIMALE SCHICHTDICKE

Mit einem Farbton, der den individuellen Anforderungen entspricht, werden lebensechte Ergebnisse leicht erzielt.

Die PANAVIA V5 Try-In-Pasten passen zu den PANAVIA Veneer LC-Farben und ermöglichen eine Simulation des Ergebnisses.

Dank der Fließfähigkeit und der geringen Schichtdicke erzeugt PANAVIA Veneer LC eine dünne, gleichmäßig verteilte Kompositschicht, die zu einem leichten, störungsfreien Einsetzen und hochästhetischen Ergebnis mit unsichtbaren Randbereichen beiträgt.

VIER HOCHÄSTHETISCHE FARBTÖNE

Mit einem Farbton, der den individuellen Anforderungen entspricht, werden lebensechte Ergebnisse leicht erzielt.

PASSENDE TRY-IN-PASTEN

Die PANAVIA V5 Try-In-Pasten passen zu den PANAVIA Veneer LC-Farben und ermöglichen eine Simulation des Ergebnisses.

MINIMALE SCHICHTDICKE

Dank der Fließfähigkeit und der geringen Schichtdicke erzeugt PANAVIA Veneer LC eine dünne, gleichmäßig verteilte Kompositschicht, die zu einem leichten, störungsfreien Einsetzen und hochästhetischen Ergebnis mit unsichtbaren Randbereichen beiträgt.

  • Internationally highly valued

     

    Testimonials

  • Afbeelding Dr. Greg Campbell, DDS
  • Dr. Greg Campbell, DDS
    USA

    “Love the versatility of the new PANAVIA Veneer LC cement when it comes to delivering my Veneers and Onlays. I can use the PANAVIA V5 Tooth Primer or my CLEARFIL Universal adhesive and get the proven benefits of the Original-MDP and the “Gold Standard” bonding we have come to expect from Kuraray. Easy to use, easy to clean up and extremely strong bonds. Four shades and try-in pastes give me complete control and ensures clinical success time and time again!
    Thank you, Kuraray Noritake for another great product.”

     

  •  

    Dr. Karyn Halpern, DDS
    USA

    “I am so impressed by the bond of this new cement. It’s not only strong but it was super easy to use, place, and clean up!
    Needless to say, I am a fan!”

     

     

  • Afbeelding Dr. Karyn Halpern DDS
  • Afbeelding Dr. Gianmarco O'Brien, DDS, Inc.
  • Dr. Gianmarco O'Brien, DDS, Inc.
    USA

    "This product is what I have come to expect from a company like Kuraray, the leader in adhesive dentistry. Easy to use clinically (excellent handling), very color stable since there is NO POST-BONDING GRAYING effect from tertiary amines (aromatic amine). I have total confidence in the DURABLE bond strength with their products. This is my new go-to veneer adhesive resin cement system!"