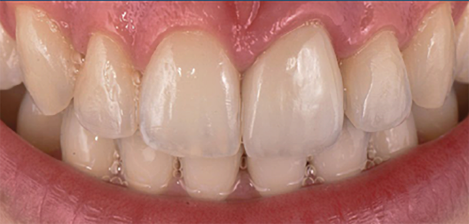
News Feature PURE Control: Value, Chroma and Shape in Ceramic Restorations WHAT IS THE PURE CONTROL PROTOCOL? PURE Control is a three-step evaluation protocol developed by MDT Andreas Chatzimpatzakis for dental technicians that helps achieve predictable aesthetic ceramic restorations. The protocol allows ceramists to maintain aesthetic control when working with zirconia, lithium disilicate and micro-layering techniques. INTRODUCTION Achieving natural aesthetics in ceramic restorations is one of the greatest challenges in modern dental laboratory work. While digital workflows and monolithic restorations have improved efficiency, they often lack the optical complexity and vitality of natural teeth. To address this challenge, Master Dental Technician Andreas Chatzimpatzakis developed PURE Control, a systematic evaluation protocol that helps dental ceramists achieve predictable aesthetic results—even in complex restorative cases involving different materials. The concept focuses on three critical parameters that determine the final visual outcome of ceramic restorations: Value – the lightness of the restoration Chroma – the intensity of colour Shape – morphology and surface texture By evaluating and controlling these factors step by step, dental technicians can achieve highly aesthetic and consistent results in both simple and complex prosthetic cases. The full concept and clinical cases are available in the original publication. IMPORTANCE OF CONTROL Traditional ceramic buildup techniques involve the application of multiple powders, such as opaque dentins, dentins, enamels, and lusters, through one or several firings to achieve the desired aesthetics and natural appearance. In contrast, contemporary prosthodontics often employs digital workflows and monolithic restorations. The traditional buildup technique necessitates a highly skilled ceramist to maintain control over the final outcome of the ceramic restoration, requiring a significant investment of time. On the other hand, monolithic restorations offer a straightforward and simple workflow but compromise on aesthetic appearance. Micro-layering comes in between, applying thin ceramic layers (approximately 0.2–0.6 mm) over zirconia or lithium disilicate frameworks to recreate natural optical effects. A PRACTICAL PHILOSOPHY FOR EVERYDAY CERAMIC WORK Philosophy of MDT Andreas Chatzimpatzakis is that, for everyday work, it is unnecessary to engage in complex procedures involving numerous powders, which can consume valuable time. Furthermore, the use of multiple powders increases the risk of losing control over the final result, particularly for ceramists who are less experienced. At the same time, there is a desire to achieve more than what a purely monolithic restoration can offer. His aim is to show ceramists that simplicity and control over their work are essential, and that a minimal yet effective ceramic layer is sufficient to achieve natural aesthetics in everyday laboratory practice. FROM MONOLITHIC TO MICRO-LAYERING All-ceramic restorations dominate modern prosthodontics thanks to their biocompatibility, strength and aesthetics. However, digital workflows and CAD/CAM production have increased the use of monolithic restorations. While monolithic materials provide precision and reliability, they often lack the depth and vitality achieved with layered ceramics. As a result, micro-layering techniques have become increasingly popular. Micro-layering involves applying thin ceramic layers (approximately 0.2–0.6 mm) over zirconia or lithium disilicate frameworks to recreate natural optical effects. THE PURE CONTROL CONCEPT PURE Control provides dental technicians with a simple and structured approach for evaluating ceramic restorations during fabrication. The process focuses on analysing three key aesthetic parameters: Value – the lightness of the restoration Chroma – the colour intensity Shape – morphology and surface texture This structured evaluation allows ceramists to maintain aesthetic control throughout the layering process. Watch the webinar of MDT Andreas Chatzimpatzakis and dive into the world of PURE Control STEP 1: VALUE – THE MOST CRITICAL FACTOR Value refers to the lightness or darkness of a restoration and is the most perceptible aspect of colour to the human eye. Factors influencing value include: Framework opacity Material thickness Opacity/translucency of the veneering ceramic Internal staining Surface texture Glazing and polishing Lighting conditions Recommended techniques: Evaluate preparation shade before selecting the core material Adjust framework opacity Use value liners and modifiers Apply ceramics with controlled translucency As a general simplified guidance is to work on a higher value framework than the desired final shade. “Value discrepancies are often immediately visible and difficult to correct later in the process.”— Andreas Chatzimpatzakis MDT STEP 2: CHROMA – CREATING DEPTH Chroma refers to the intensity of colour. In natural teeth, chroma varies across the tooth structure and is often stronger in the cervical region. Dental technicians can control chroma using: Internal stains Dentins and modifiers Controlled ceramic layering “Internal stains allow ceramists to introduce depth and chromatic variation, in an easy and predictable way, even working with different core materials.” STEP 3: SHAPE – THE FINAL DETERMINANT Shape includes tooth morphology, surface texture, incisal edge design and reflective zones. These elements influence how light interacts with the restoration. Final morphology is refined using enamel porcelains and luster ceramics. “Surface texture and morphology play a crucial role in how light interacts with the restoration.”— Andreas Chatzimpatzakis MDT PRACTICAL WORKFLOW: APPLYING PURE CONTROL Step 1 – Evaluate Value Assess preparation shade Select framework material, opacity and shade Adjust value with value liners, opaque dentins or internal stains Step 2 – Control Chroma Apply internal stains Use modifiers to introduce colour intensity and depth Harmonize optical behaviour across materials Step 3 – Refine Shape Finalise with a “skin layer” of enamel porcelains Adjust morphology and surface texture Refine line angles and reflective zones Key Takeaways for Dental Technicians: Evaluate value first to establish correct lightness Adjust chroma to introduce colour depth Refine morphology to control light reflection Use internal stains and micro-layering for optical harmony Follow a structured workflow for predictable results CONCLUSION The PURE Control concept was developed to simplify aesthetic evaluation during the fabrication of ceramic restorations. By focusing on the three parameters that most strongly influence visual perception — Value, Chroma and Shape — dental technicians can analyze restorations in a structured and predictable way. CERAMIC SYSTEMS DESIGNED FOR MICRO-LAYERING Few ceramic systems are specifically developed for micro-layering techniques. One example is CERABIEN™ MiLai, a synthetic feldspar ceramic system designed for both zirconia and lithium disilicate frameworks. The system enables ceramists to create depth and natural optical effects using very thin ceramic layers (approximately 0.3–0.5 mm). Key components of the workflow include: Contains Value Liners for lightness control Offers Internal Stains for Chroma and depth Features for Enamel powders finalising the Shape and light dynamics This approach supports a simplified yet highly predictable workflow when combined with the PURE Control evaluation process. CONTINUE LEARNING ABOUT THE PURE CONTROL PROTOCOL AND RELATED PRODUCTS Watch the webinar by MDT Andreas Chatzimpatzakis Download the full PURE Control article Discover CERABIEN™ MiLai Discover KATANA™ Zirconia discs Dental technician: ANDREAS CHATZIMPATZAKIS Andreas graduated from the Dental Technology Institute (TEI) of Athens in 1999. During his studies he followed a program at the Helsinki Polytechnic Department of Dental Technique, where he trained on implant superstructures and all ceramic prosthetic restorations. As of 2000, he is running the ACH Dental Laboratory in Athens, Greece, specialized on refractory veneers, zirconia and long span implant prosthesis. In 2017 Andreas visited Japan where he trained under the guidance of Hitoshi Aoshima, Naoto Yuasa and Kazunabu Yamanda and become International Trainer for Kuraray Noritake Dental Inc.. Would you like to read the original publication as a PDF? Please leave your email address below. 20. märts 2026 Dental Technician Kuraray Noritake Prosthodontics Article Katana Zirconia UTML Katana Zirconia STML Katana Zirconia YML Katana Zirconia HTML Plus CERABIEN MiLai Prosthetic dentistry Lab Dental Ceramics Cad Cam Discs Katana Zirconia HT KATANA Zirconia UTML Vaata toodet KATANA Zirconia STML Vaata toodet KATANA Zirconia HT Vaata toodet KATANA Zirconia YML Vaata toodet KATANA Zirconia HTML PLUS Vaata toodet CERABIEN MiLai Vaata toodet Uudiskirja tellimine