High
- Fremragende fugteevne og tilpasning
- Til små kaviteter
- Som liner
- Bøjningsstyrke 145 MPa
- Trykstyrke 358 MPa
CLEARFIL MAJESTY™ ES Flow. Den flydende universalkompositter fås nu i tre forskellige flydeevnegrader. Den kan nu tilpasses efter dine behov, så det er nemt at lave holdbare og æstetiske restaureringer.
Designet med tanke på de bedste håndteringsegenskaber. Vi gør brug af vores egnet silankoblingsmiddel til at behandle fyldstofferne. Alt dette, samt at vores komposit indeholder både submikron- og klyngefyldstoffer (0,18 µm til 3,5 µm), giver pastaen uovertrufne håndteringsegenskaber, så den er nem at dispensere, håndtere og forme. CLEARFIL MAJESTY™ ES Flow er en klæbefri komposit, som, takket være sprøjtens særlige design, leverer en boblefri dispensering.
| Glansbevaring er et af de vigtigste egenskaber i kompositrestaureringer. Fyldstofpartiklerne i CLEARFIL MAJESTY™ ES Flow er blevet udviklet til at sikre høj glans, som holder i lang tid. CLEARFIL MAJESTY™ ES Flow er ekstremt nem og hurtig at polere på blot få sekunder. | Selv ved blot at tørre overfladen med gaze eller en vatrulle vædet med alkohol kan der opnås et højt glansniveau. Æstetikken forbedres yderligere af de særlige klynger af lysdiffusionsfyldstoffer, der sikrer enestående farvetilpasningsegenskaber, så farven smelter sømløst sammen med den omgivende tandstruktur. |
CLEARFIL MAJESTY™ ES Flow
Filtek Supreme Ultra Flowable*
Tetric EvoFlow*
* Ikke et varemærke tilhørende Kuraray Noritake Dental Inc.
Lysdiffusion henviser til et materiales evne til at sprede og tilbagekaste lysstråler i mange forskellige vinkler. Lysdiffusionsteknologien (LD) fra Kuraray Noritake Dental inkorporerer fyldstoffer med lysdiffusionspartikler, som forbedrer materialets æstetiske egenskaber. Dette gør det muligt at sprede lyset i alle retninger på stort set samme måde som i naturligt tandvæv, således at der opnås en højæstetisk restaurering.
CLEARFIL MAJESTY™ ES Flow sikrer en troværdig gengivelse af lysdiffusionsegenskaberne i naturligt tandvæv. Den giver en højere grad af lysdiffusion i de mere opakke farver (dentin) og et lavere niveau i de gennemskinnelige farver. I praksis medfører det ganske enkelt et slutresultat: denne lysdiffusion er det ultimative "redskab" til at skabe restaureringer med en fremtoning, der smelter ubesværet sammen med de omgivende tænder.
1 = CLEARFIL MAJESTY™ ES Flow
2 = 3M ESPE Filtek Supreme Ultra Flowable*
3 = Ivoclar Vivadent Tetric EvoFlow*
* Ikke et varemærke tilhørende Kuraray Noritake Dental Inc.
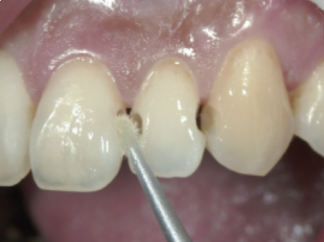
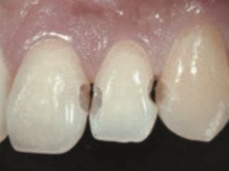
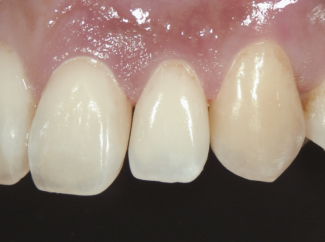
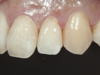
Præparér kaviteten
Applicér adhæsivet i henhold til fabrikantens anvisninger
Dispenser og form CLEARFIL MAJESTY™ ES Flow*
Polér restaureringen
For at bestille, vælg mellem følgende valgmuligheder.
Standard Pack
1.5 ml (2.7g)
20 tips
Standard Pack
1.5 ml (2.7g)
Standard Pack
1.5 ml (2.7g)
Vi har sammensat en liste over svar på de mest relevante spørgsmål.
Why does Kuraray Noritake Dental Inc. have 3 paste consistency variations?
CLEARFIL MAJESTY™ ES Flow has been on the European market since 2013. Kuraray Noritake Dental Inc. has extended the flowability range to provide dentists with the best option to suit their needs.
HIGH (New/Added)
High Flowability
- Excellent wettability and adaptation
- For small cavities
- As a liner
LOW (Available already since 2013 on the European market)
Intermediate Flowability and Sculptability
- For a wide range of anterior and posterior restorations
SUPER LOW (New/Added)
Low flowability
- Retains the given shape
- Ideal for building posterior cusps and ridges
- For class I and V cavities.


What is the difference between the current version and new ones?
Apart from the different flowabilities, Kuraray Noritake Dental Inc. has also added cementation indication for all three paste consistencies to make the products more versatile.The product’s high filled nano-particles, its excellent mechanical properties and high flowability make inlays, onlays, and veneer cementation (less than 2mm thickness) possible.
What is the recommendation for polishing CLEARFIL MAJESTY™ ES Flow?
CLEARFIL MAJESTY™ ES Flow is exceptionally easy to polish. A high level gloss can be achieved by simply wiping the cured resin with a gauze or cotton roll soaked in ethanol. A highly polished surface prevents plaque accumulation. A high level of polishability can be achieved in 10-20 seconds, using only one-step. After occlusal adjustment, polish the whole restoration with silicon polishers (CLEARFIL™ Twist DIA, etc.), or polishing discs in the usual manner.
Does CLEARFIL MAJESTY™ ES Flow exhibit polish retention?
The filled particles used in CLEARFIL MAJESTY™ ES Flow have been designed to produce optimum polish retention, even after repeated tooth brushing.
Does CLEARFIL MAJESTY™ ES Flow have light diffusion technology?
Yes. The products have light-diffusion cluster fillers that deliver outstanding colour adaptation, helping it blend seamlessly with
the tooth structure.
What shades are available in CLEARFIL MAJESTY™ ES Flow?
CLEARFIL MAJESTY™ ES Flow is available in the following 3 paste consistency variations (High, Low and Super Low), and shades. KA6 is darker than A4 and is ideal for cervical lesions. A2D and A3 are darker and more opaque (and have higher light diffusion) than A2 and A3 respectively, and ideal for cavity base/liner.
| High | A1, A2, A3, A2D, A3D |
| Low | A1, A2, A3, A3.5, A4, KA6, B1, B2, XW, A2D, A3D, W |
| Super Low | A1, A2, A3, A3.5 |
Are the shades for CLEARFIL MAJESTY™ ES Flow VITA Approved like for CLEARFIL MAJESTY™ ES-2?
The shades for CLEARFIL MAJESTY™ ES Flow are not officially VITA Approved; however, they have the same color chemistry as CLEARFIL MAJESTY™ ES-2 and use the same shade guide.
What is the filler content of CLEARFIL MAJESTY™ ES Flow?
Kuraray Noritake Dental’s proprietary silane coupling agent allows for the high filler loading (up to 78 wt%, 60 vol%) to provide superior mechanical properties making it suitable even for posterior restorations.
Does CLEARFIL MAJESTY™ ES Flow have the same dispensing and handling characteristics as CLEARFIL MAJESTY™ Flow?
Yes. It also utilizes the same tried and tested syringe/tip design to offer bubble/void-free restorations (less dead space).